Tumor Embolic Stroke: The Importance of Pathological Assessment of Clots after Thrombectomy
Abstract
1. Introduction
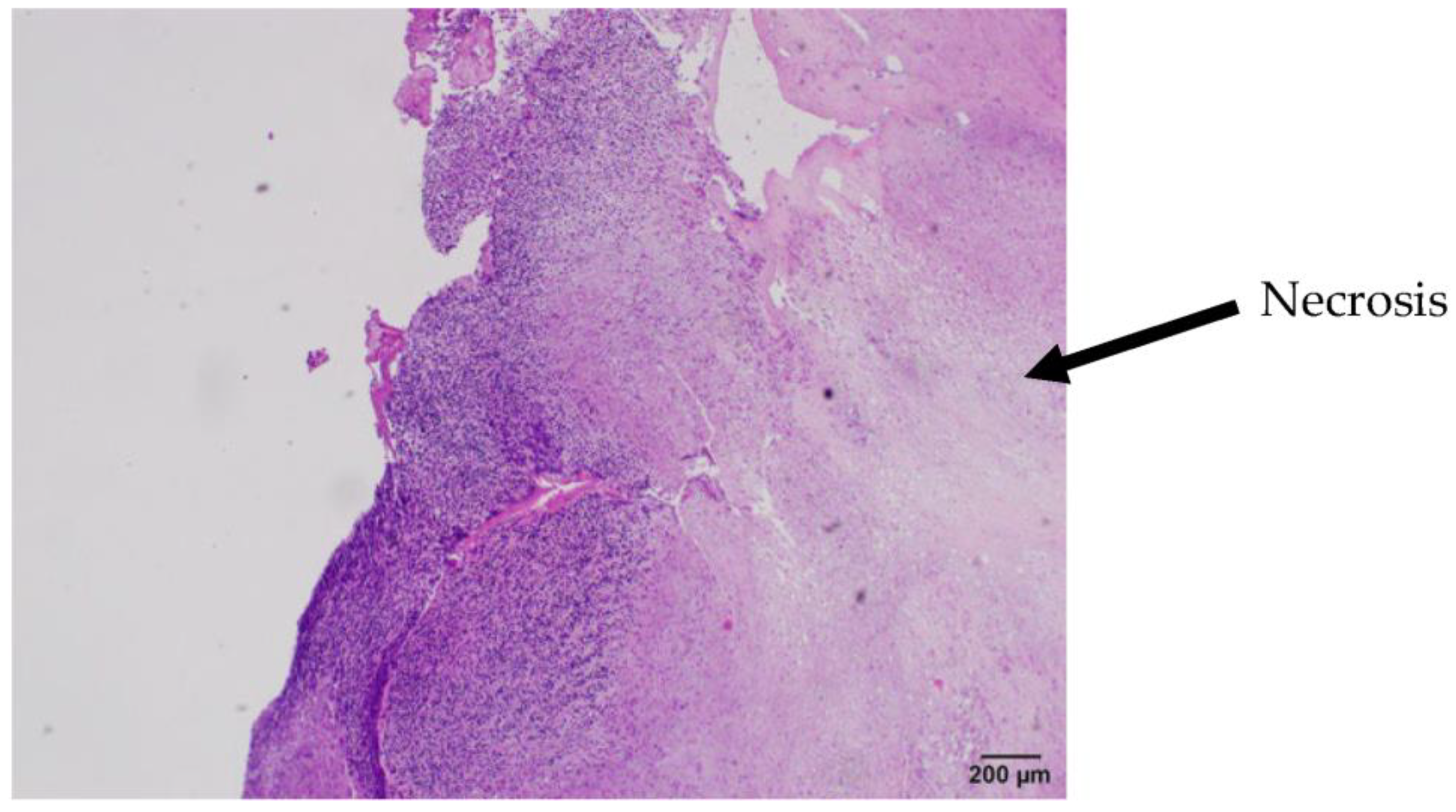
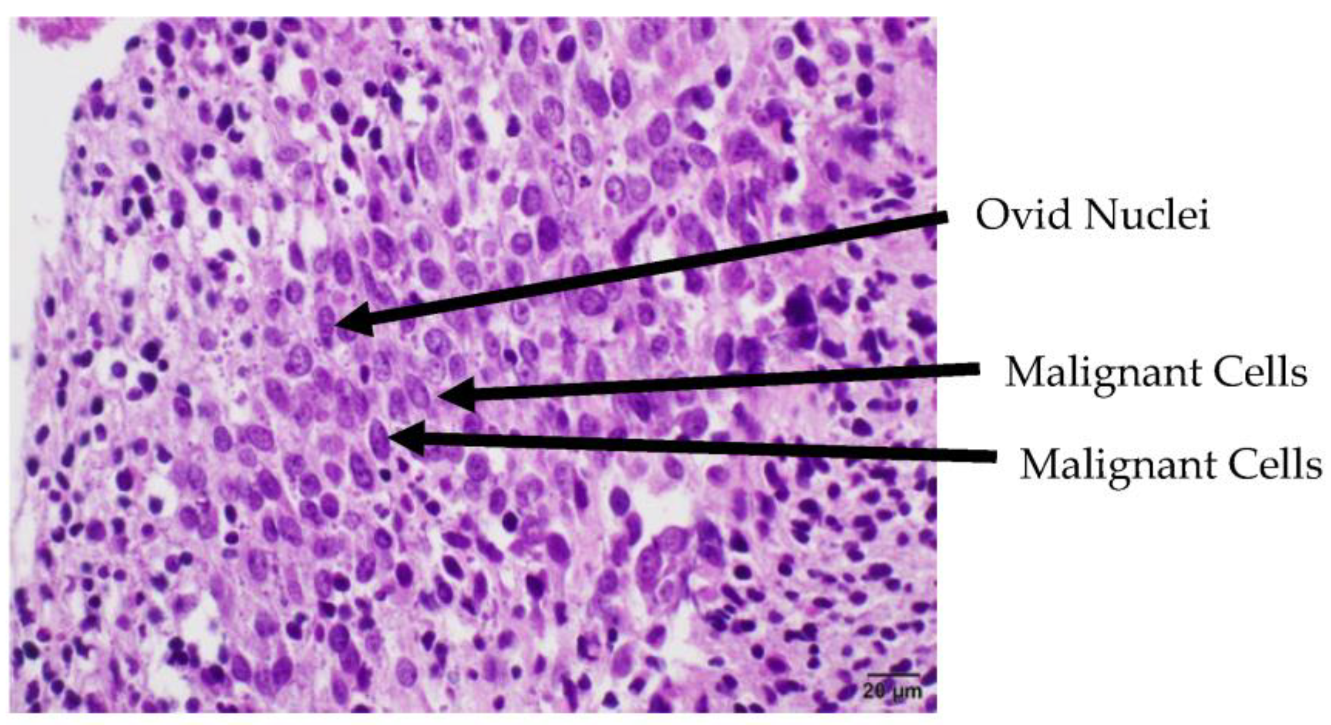
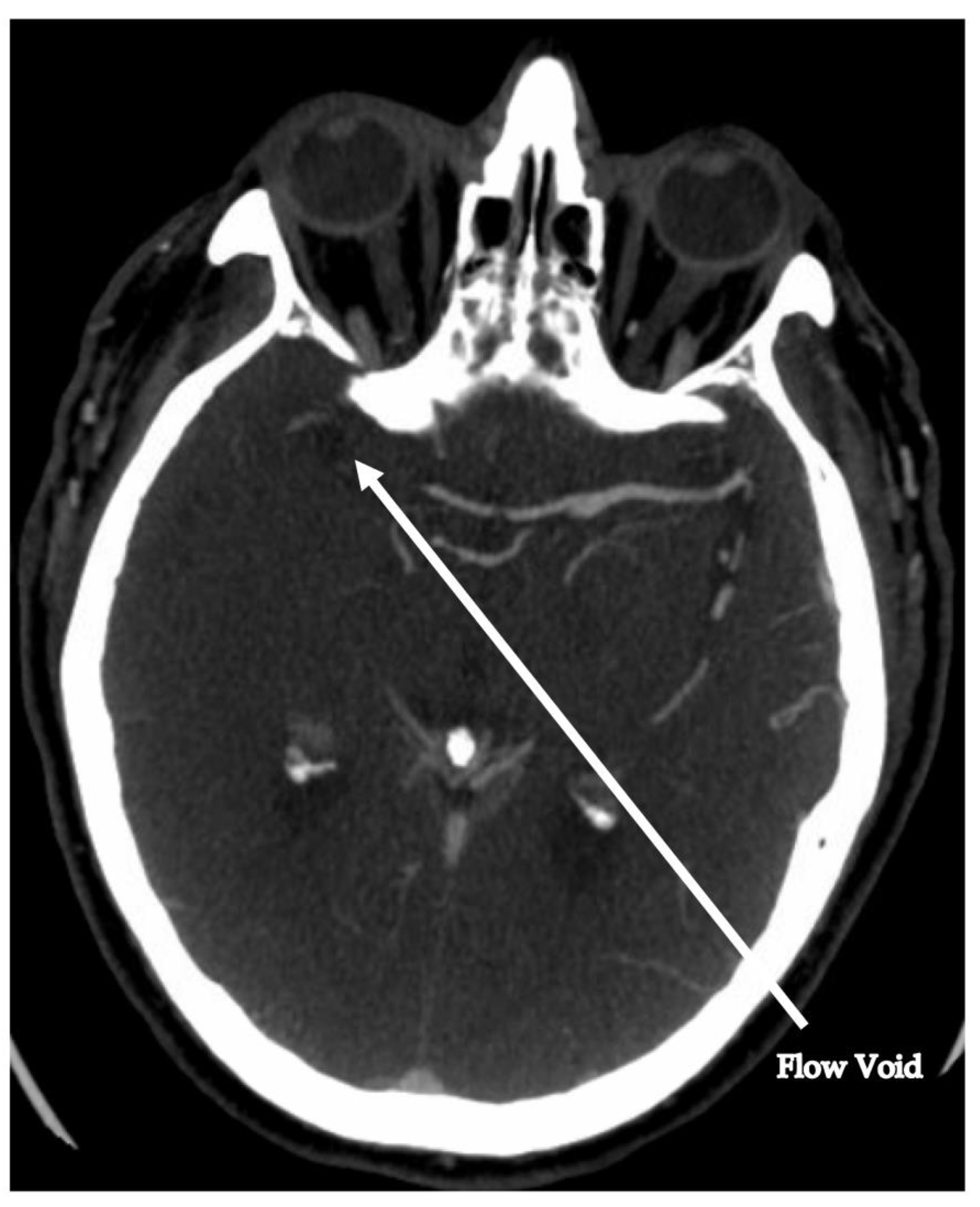
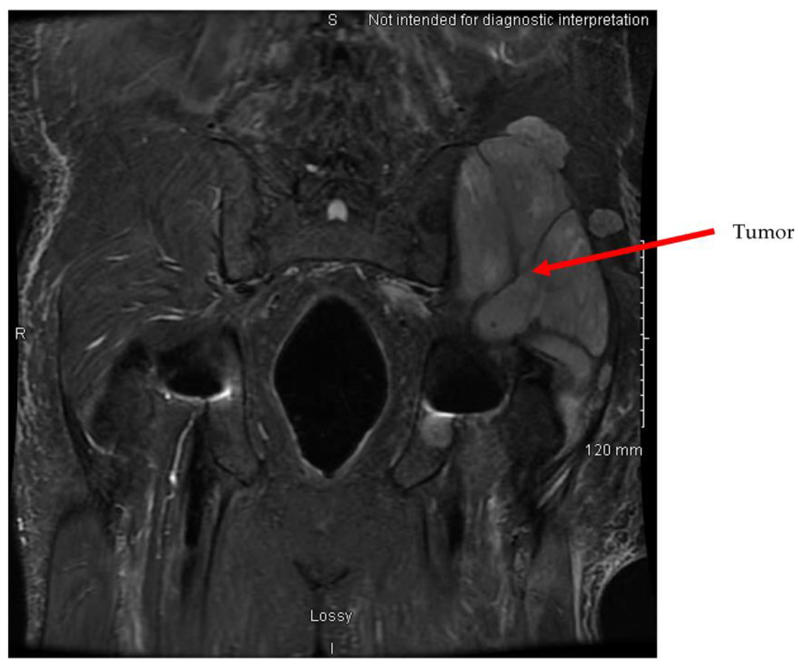
2. Case
3. Discussion
4. Conclusions
Author Contributions
Funding
Institutional Review Board Statement
Informed Consent Statement
Data Availability Statement
Conflicts of Interest
References
- Imaizumi, K.; Murate, T.; Ohno, J.; Shimokata, K. Cerebral infarction due to a spontaneous tumor embolus from lung cancer. Respiration 1995, 62, 155–156. [Google Scholar] [CrossRef] [PubMed]
- Navi, B.B.; Kawaguchi, K.; Hriljac, I.; Lavi, E.; DeAngelis, L.M.; Jamieson, D.G. Multifocal stroke from tumor emboli. Arch. Neurol. 2009, 66, 1174–1175. [Google Scholar] [CrossRef] [PubMed]
- Stergiopoulos, K.; Vasu, S.; Bilfinger, T.; Poon, M. Embolic stroke in a patient with metastatic renal cell cancer. Hellenic J. Cardiol. 2011, 52, 256–258. [Google Scholar] [PubMed]
- Grazziotin, M.U.; Turnipseed, W.D. Arterial tumor embolism caused by metastatic melanoma: Case report and literature review. J. Vasc. Surg. 2002, 36, 191–193. [Google Scholar] [CrossRef] [PubMed]
- Xiromeritis, N.; Klonaris, C.; Papas, S.; Valsamis, M.; Bastounis, E. Recurrent peripheral arterial embolism from pulmonary cancer. Case report and review of the literature. Int. Angiol. 2000, 19, 79–83. [Google Scholar]
- Singh, A.; Jenkins, D.P.; Dahdal, M.; Dhar, S.; Ratnatunga, C.P. Recurrent arterial embolization from a metastatic germ cell tumor invading the left atrium. Ann. Thorac. Surg. 2000, 70, 2155–2156. [Google Scholar] [CrossRef]
- Ramchandani, P.; Morris, M.C.; Zeit, R.M. Acute limb ischemia due to arterial embolism of tumor. Cardiovasc. Interv. Radiol. 1990, 13, 372–374. [Google Scholar] [CrossRef]
- Bloch, R.S.; Jacobs, L.A.; Lewis, L.S.; Bernys, C.F. Malignant tumor embolism: A rare presentation of malignant disease. J. Cardiovasc. Surg. 1986, 27, 630–631. [Google Scholar]
- Gómez, J.-R.; Vañó, J.; Luengo, L.; Escuder, J.; Castellote, M.; Ros, S.; Diaz, J.; Martin-Paredero, V. Tumor embolism after pneumonectomy for primary pulmonary neoplasia. Ann. Vasc. Surg. 1995, 9, 199–203. [Google Scholar] [CrossRef]
- Stein, M.E.; Drumea, K.; Ben-Itshak, O.; Hoffman, A.; Eyal, A.; Moshkovitz, B.; Haim, N. Acute limb ischemia due to malignant arterial embolism from a metastatic germ cell tumor. Med. Pediatr. Oncol. 1995, 25, 126–129. [Google Scholar] [CrossRef]
- Fernandez, B.B.; Grove, M.; Carman, T.L. An unusual presentation of simultaneous bilateral popliteal artery embolism—A case report. Angiology 1998, 49, 573–576. [Google Scholar] [CrossRef]
- Harris, R.W.; Andros, G.; Dulawa, L.B.; Oblath, R.W. Malignant melanoma embolus as a cause of acute aortic occlusion: Report of a case. J. Vasc. Surg. 1986, 3, 550–553. [Google Scholar] [CrossRef]
- ElBardissi, A.W.; Dearani, J.A.; Daly, R.C.; Mullany, C.J.; Orszulak, T.A.; Puga, F.J.; Schaff, H.V. Embolic potential of cardiac tumors and outcome after resection: A case-control study. Stroke 2009, 40, 156–162. [Google Scholar] [CrossRef]
- Reed, M.; Kerndt, C.C.; Nicolas, D. Alteplase. In StatPearls; StatPearls Publishing: Treasure Island, FL, USA, 2023. Available online: https://www.ncbi.nlm.nih.gov/books/NBK499977/ (accessed on 9 November 2023).
- Wold, L.E.; Lie, J.T. Cardiac myxomas: A clinicopathologic profile. Am. J. Pathol. 1980, 101, 219–240. [Google Scholar]
- Hart, R.G.; Diener, H.C.; Coutts, S.B.; Easton, J.D.; Granger, C.B.; O’Donnell, M.J.; Sacco, R.L.; Connolly, S.J. Embolic strokes of undetermined source: The case for a new clinical construct. Lancet Neurol. 2014, 13, 429–438. [Google Scholar] [CrossRef] [PubMed]
- Navi, B.B.; Kasner, S.E.; Elkind, M.S.V.; Cushman, M.; Bang, O.Y.; DeAngelis, L.M. Cancer and Embolic Stroke of Undetermined Source. Stroke 2021, 52, 1121–1130. [Google Scholar] [CrossRef]
- Dardiotis, E.; Aloizou, A.-M.; Markoula, S.; Siokas, V.; Tsarouhas, K.; Tzanakakis, G.; Libra, M.; Kyritsis, A.P.; Brotis, A.G.; Aschner, M.; et al. Cancer-associated stroke: Pathophysiology, detection and management (Review). Int. J. Oncol. 2019, 54, 779–796. [Google Scholar] [CrossRef]
- Gore, M.; Bansal, K.; Khan Suheb, M.Z.; Asuncion, R.M.D. Lacunar Stroke. In StatPearls; StatPearls Publishing: Treasure Island, FL, USA, 2023. Available online: https://www.ncbi.nlm.nih.gov/books/NBK563216/ (accessed on 9 November 2023).
- Graus, F.; Rogers, L.R.; Posner, J.B. Cerebrovascular complications in patients with cancer. Medicine 1985, 64, 16–35. [Google Scholar] [CrossRef] [PubMed]
- Navi, B.B.; Reiner, A.S.; Kamel, H.; Iadecola, C.; Elkind, M.S.; Panageas, K.S.; DeAngelis, L.M. Association between incident cancer and subsequent stroke. Ann. Neurol. 2015, 77, 291–300. [Google Scholar] [CrossRef]
- Navi, B.B.; Howard, G.; Howard, V.J.; Zhao, H.; Judd, S.E.; Elkind, M.S.; Iadecola, C.; DeAngelis, L.M.; Kamel, H.; Okin, P.M.; et al. New diagnosis of cancer and the risk of subsequent cerebrovascular events. Neurology 2018, 90, e2025–e2033. [Google Scholar] [CrossRef]
- Navi, B.B.; Iadecola, C. Ischemic stroke in cancer patients: A review of an underappreciated pathology. Ann. Neurol. 2018, 83, 873–883. [Google Scholar] [CrossRef] [PubMed]
- Bang, O.Y.; Chung, J.W.; Lee, M.J.; Seo, W.K.; Kim, G.M.; Ahn, M.J.; OASIS-Cancer Study Investigators. Cancer-Related Stroke: An Emerging Subtype of Ischemic Stroke with Unique Pathomechanisms. J. Stroke 2020, 22, 1–10. [Google Scholar] [CrossRef]
- Bick, R.L. Cancer-associated thrombosis. N. Engl. J. Med. 2003, 349, 109–111. [Google Scholar] [CrossRef]
- Bang, O.Y.; Chung, J.-W.; Lee, M.J.; Kim, S.J.; Cho, Y.H.; Kim, G.-M.; Chung, C.-S.; Lee, K.H.; Ahn, M.J.; Moon, G.J. Cancer Cell-Derived Extracellular Vesicles Are Associated with Coagulopathy Causing Ischemic Stroke via Tissue Factor-Independent Way: The OASIS-CANCER Study. PLoS ONE 2016, 11, e0159170. [Google Scholar] [CrossRef] [PubMed]
- Diener, H.-C.; Sacco, R.L.; Easton, J.D.; Granger, C.B.; Bernstein, R.A.; Uchiyama, S.; Kreuzer, J.; Cronin, L.; Cotton, D.; Grauer, C.; et al. Dabigatran for Prevention of Stroke after Embolic Stroke of Undetermined Source. N. Engl. J. Med. 2019, 380, 1906–1917. [Google Scholar] [CrossRef] [PubMed]
- Ntaios, G. Embolic Stroke of Undetermined Source: JACC Review Topic of the Week. J. Am. Coll. Cardiol. 2020, 75, 333–340. [Google Scholar] [CrossRef] [PubMed]
- Hart, R.G.; Connolly, S.J.; Mundl, H. Rivaroxaban for Stroke Prevention after Embolic Stroke of Undetermined Source. N. Engl. J. Med. 2018, 379, 987. [Google Scholar] [CrossRef] [PubMed]
- Gon, Y.; Okazaki, S.; Terasaki, Y.; Sasaki, T.; Yoshimine, T.; Sakaguchi, M.; Mochizuki, H. Characteristics of cryptogenic stroke in cancer patients. Ann. Clin. Transl. Neurol. 2016, 3, 280–287. [Google Scholar] [CrossRef]






Disclaimer/Publisher’s Note: The statements, opinions and data contained in all publications are solely those of the individual author(s) and contributor(s) and not of MDPI and/or the editor(s). MDPI and/or the editor(s) disclaim responsibility for any injury to people or property resulting from any ideas, methods, instructions or products referred to in the content. |
© 2024 by the authors. Licensee MDPI, Basel, Switzerland. This article is an open access article distributed under the terms and conditions of the Creative Commons Attribution (CC BY) license (https://creativecommons.org/licenses/by/4.0/).
Share and Cite
Baker, R.; Bakali, Z.; Crocker, J.S.; Mowla, A.; Smith, M.; Grossman, A.; Hagen, M.C.; Prestigiacomo, C.J.; Shirani, P. Tumor Embolic Stroke: The Importance of Pathological Assessment of Clots after Thrombectomy. J. Clin. Med. 2024, 13, 1834. https://doi.org/10.3390/jcm13071834
Baker R, Bakali Z, Crocker JS, Mowla A, Smith M, Grossman A, Hagen MC, Prestigiacomo CJ, Shirani P. Tumor Embolic Stroke: The Importance of Pathological Assessment of Clots after Thrombectomy. Journal of Clinical Medicine. 2024; 13(7):1834. https://doi.org/10.3390/jcm13071834
Chicago/Turabian StyleBaker, Richard, Zohabe Bakali, Jeffrey S. Crocker, Ashkan Mowla, Matthew Smith, Aaron Grossman, Matthew C. Hagen, Charles J. Prestigiacomo, and Peyman Shirani. 2024. "Tumor Embolic Stroke: The Importance of Pathological Assessment of Clots after Thrombectomy" Journal of Clinical Medicine 13, no. 7: 1834. https://doi.org/10.3390/jcm13071834
APA StyleBaker, R., Bakali, Z., Crocker, J. S., Mowla, A., Smith, M., Grossman, A., Hagen, M. C., Prestigiacomo, C. J., & Shirani, P. (2024). Tumor Embolic Stroke: The Importance of Pathological Assessment of Clots after Thrombectomy. Journal of Clinical Medicine, 13(7), 1834. https://doi.org/10.3390/jcm13071834

