The Value of a Coronary Computed Tomography Angiography plus Stress Cardiac Magnetic Resonance Imaging Strategy for the Evaluation of Patients with Chronic Coronary Syndrome
Abstract
1. Introduction
2. Materials and Methods
2.1. Endpoint
2.2. Follow-Up
2.3. CCTA Scan Protocol
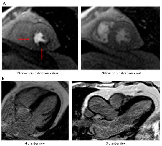
2.4. Stress CMR Protocol
2.5. Statistical Analysis
3. Results
Follow-Up
4. Discussion
Study Limitations
5. Conclusions
Author Contributions
Funding
Institutional Review Board Statement
Informed Consent Statement
Data Availability Statement
Acknowledgments
Conflicts of Interest
Abbreviations
| bSSFP | balanced steady-state free precession |
| CABG | coronary artery bypass grafting |
| CAD | coronary artery disease |
| CCS | chronic coronary syndrome |
| CCTA | coronary computed tomography angiography |
| DES | drug-eluting stent |
| DLP | dose-length product |
| ED | effective dose |
| ESC | European Society of Cardiology |
| FFR | fractional flow reserve |
| GDMT | guideline-directed medical therapy |
| HUs | Hounsfield units |
| ICA | invasive coronary angiography |
| iFR | instantaneous wave-free ratio |
| IQR | interquartile range |
| LGE | late gadolinium enhancement |
| LV | left ventricle |
| O-CAD | obstructive coronary artery disease |
| PCI | percutaneous coronary intervention |
| ROI | region of interest |
| S-CMR | stress cardiac magnetic resonance imaging |
| SD | standard deviation |
| TR/TE | repetition time/echo time |
References
- Benjamin, E.J.; Muntner, P.; Alonso, A.; Bittencourt, M.S.; Callaway, C.W.; Carson, A.P.; Chamberlain, A.M.; Chang, A.R.; Cheng, S.; Das, S.R.; et al. Heart Disease and Stroke Statistics-2019 Update: A Report From the American Heart Association. Circulation 2019, 139, e56–e528. [Google Scholar] [CrossRef]
- Stergiopoulos, K.; Boden, W.E.; Hartigan, P.; Möbius-Winkler, S.; Hambrecht, R.; Hueb, W.; Hardison, R.M.; Abbott, J.D.; Brown, D.L. Percutaneous coronary intervention outcomes in patients with stable obstructive coronary artery disease and myocardial ischemia: A collaborative meta-analysis of contemporary randomized clinical trials. JAMA Intern. Med. 2014, 174, 232–240. [Google Scholar] [CrossRef]
- Knuuti, J.; Wijns, W.; Saraste, A.; Capodanno, D.; Barbato, E.; Funck-Brentano, C.; Prescott, E.; Storey, R.F.; Deaton, C.; Cuisset, T.; et al. 2019 ESC Guidelines for the diagnosis and management of chronic coronary syndromes. Eur. Heart J. 2020, 41, 407–477. [Google Scholar] [CrossRef]
- Esposito, A.; Francone, M.; Andreini, D.; Buffa, V.; Cademartiri, F.; Carbone, I.; Clemente, A.; Guaricci, A.I.; Guglielmo, M.; Indolfi, C.; et al. SIRM-SIC appropriateness criteria for the use of Cardiac Computed Tomography. Part 1: Congenital heart diseases, primary prevention, risk assessment before surgery, suspected CAD in symptomatic patients, plaque and epicardial adipose tissue characterization, and functional assessment of stenosis. Radiol. Med. 2021, 126, 1236–1248. [Google Scholar] [CrossRef] [PubMed]
- Neglia, D.; Liga, R.; Gimelli, A.; Podlesnikar, T.; Cvijić, M.; Pontone, G.; Miglioranza, M.H.; Guaricci, A.I.; Seitun, S.; Clemente, A.; et al. Use of cardiac imaging in chronic coronary syndromes: The EURECA Imaging registry. Eur. Heart J. 2023, 44, 142–158. [Google Scholar] [CrossRef] [PubMed]
- Heitner, J.F.; Kim, R.J.; Kim, H.W.; Klem, I.; Shah, D.J.; Debs, D.; Farzaneh-Far, A.; Polsani, V.; Kim, J.; Weinsaft, J.; et al. Prognostic Value of Vasodilator Stress Cardiac Magnetic Resonance Imaging: A Multicenter Study with 48,000 Patient-Years of Follow-Up. JAMA Cardiol. 2019, 4, 256–264. [Google Scholar] [CrossRef]
- Vincenti, G.; Masci, P.G.; Monney, P.; Rutz, T.; Hugelshofer, S.; Gaxherri, M.; Muller, O.; Iglesias, J.F.; Eeckhout, E.; Lorenzoni, V.; et al. Stress Perfusion CMR in Patients with Known and Suspected CAD: Prognostic Value and Optimal Ischemic Threshold for Revascularization. JACC Cardiovasc. Imaging 2017, 10, 526–537. [Google Scholar] [CrossRef] [PubMed]
- Kiaos, A.; Tziatzios, I.; Hadjimiltiades, S.; Karvounis, C.; Karamitsos, T.D. Diagnostic performance of stress perfusion cardiac magnetic resonance for the detection of coronary artery disease: A systematic review and meta-analysis. Int. J. Cardiol. 2018, 252, 229–233. [Google Scholar] [CrossRef] [PubMed]
- Nagel, E.; Greenwood, J.P.; McCann, G.P.; Bettencourt, N.; Shah, A.M.; Hussain, S.T.; Perera, D.; Plein, S.; Bucciarelli-Ducci, C.; Paul, M.; et al. Magnetic Resonance Perfusion or Fractional Flow Reserve in Coronary Disease. N. Engl. J. Med. 2019, 380, 2418–2428. [Google Scholar] [CrossRef] [PubMed]
- Weinreb, J.C.; Rodby, R.A.; Yee, J.; Wang, C.L.; Fine, D.; McDonald, R.J.; Perazella, M.A.; Dillman, J.R.; Davenport, M.S. Use of Intravenous Gadolinium-based Contrast Media in Patients with Kidney Disease: Consensus Statements from the American College of Radiology and the National Kidney Foundation. Radiology 2021, 298, 28–35. [Google Scholar] [CrossRef] [PubMed]
- Juarez-Orozco, L.E.; Saraste, A.; Capodanno, D.; Prescott, E.; Ballo, H.; Bax, J.J.; Wijns, W.; Knuuti, J. Impact of a decreasing pre-test probability on the performance of diagnostic tests for coronary artery disease. Eur. Heart J. Cardiovasc. Imaging 2019, 20, 1198–1207. [Google Scholar] [CrossRef]
- Cury, R.C.; Leipsic, J.; Abbara, S.; Achenbach, S.; Berman, D.; Bittencourt, M.; Budoff, M.; Chinnaiyan, K.; Choi, A.D.; Ghoshhajra, B.; et al. CAD-RADS™ 2.0-2022 Coronary Artery Disease-Reporting and Data System An Expert Consensus Document of the Society of Cardiovascular Computed Tomography (SCCT), the American College of Cardiology (ACC), the American College of Radiology (ACR) and the North America Society of Cardiovascular Imaging (NASCI). Radiol. Cardiothorac. Imaging 2022, 4, e220183. [Google Scholar] [CrossRef]
- Jeremias, A.; Maehara, A.; Généreux, P.; Asrress, K.N.; Berry, C.; De Bruyne, B.; Davies, J.E.; Escaned, J.; Fearon, W.F.; Gould, K.L.; et al. Multicenter core laboratory comparison of the instantaneous wave-free ratio and resting Pd/Pa with fractional flow reserve: The RESOLVE study. J. Am. Coll. Cardiol. 2014, 63, 1253–1261. [Google Scholar] [CrossRef]
- Leipsic, J.; Abbara, S.; Achenbach, S.; Cury, R.; Earls, J.P.; Mancini, G.J.; Nieman, K.; Pontone, G.; Raff, G.L. SCCT guidelines for the interpretation and reporting of coronary CT angiography: A report of the Society of Cardiovascular Computed Tomography Guidelines Committee. J. Cardiovasc. Comput. Tomogr. 2014, 8, 342–358. [Google Scholar] [CrossRef]
- Wang, Z.; Chen, Y.; Wang, Y.; Xue, H.; Jin, Z.; Kong, L.; Cao, J.; Li, S. Feasibility of low-dose contrast medium high pitch CT angiography for the combined evaluation of coronary, head and neck arteries. PLoS ONE 2014, 9, e90268. [Google Scholar] [CrossRef]
- Hausleiter, J.; Meyer, T.; Hermann, F.; Hadamitzky, M.; Krebs, M.; Gerber, T.C.; McCollough, C.; Martinoff, S.; Kastrati, A.; Schömig, A.; et al. Estimated radiation dose associated with cardiac CT angiography. JAMA 2009, 301, 500–507. [Google Scholar] [CrossRef] [PubMed]
- Kramer, C.M.; Barkhausen, J.; Bucciarelli-Ducci, C.; Flamm, S.D.; Kim, R.J.; Nagel, E. Standardized cardiovascular magnetic resonance imaging (CMR) protocols: 2020 update. J. Cardiovasc. Magn. Reson. 2020, 22, 17. [Google Scholar] [CrossRef] [PubMed]
- Carrabba, N.; Berteotti, M.; Taborchi, G.; Ciatti, F.; Acquafresca, M.; Moroni, M.; Migliorini, A.; Miele, V.; Marchionni, N.; Valenti, R. Integration of CTA in the Diagnostic Workup of New Onset Chest Pain in Clinical Practice. Biomed. Res. Int. 2019, 2019, 2647079. [Google Scholar] [CrossRef] [PubMed]
- Boden, W.E.; O’Rourke, R.A.; Teo, K.K.; Hartigan, P.M.; Maron, D.J.; Kostuk, W.J.; Knudtson, M.; Dada, M.; Casperson, P.; Harris, C.L.; et al. Optimal medical therapy with or without PCI for stable coronary disease. N. Engl. J. Med. 2007, 356, 1503–1516. [Google Scholar] [CrossRef] [PubMed]
- Frye, R.L.; August, P.; Brooks, M.M.; Hardison, R.M.; Kelsey, S.F.; MacGregor, J.M.; Orchard, T.J.; Chaitman, B.R.; Genuth, S.M.; Goldberg, S.H.; et al. A randomized trial of therapies for type 2 diabetes and coronary artery disease. N. Engl. J. Med. 2009, 360, 2503–2515. [Google Scholar] [CrossRef] [PubMed]
- De Bruyne, B.; Pijls, N.H.; Kalesan, B.; Barbato, E.; Tonino, P.A.; Piroth, Z.; Jagic, N.; Möbius-Winkler, S.; Rioufol, G.; Witt, N.; et al. Fractional flow reserve-guided PCI versus medical therapy in stable coronary disease. N. Engl. J. Med. 2012, 367, 991–1001. [Google Scholar] [CrossRef]
- Al-Lamee, R.; Thompson, D.; Dehbi, H.M.; Sen, S.; Tang, K.; Davies, J.; Keeble, T.; Mielewczik, M.; Kaprielian, R.; Malik, I.S.; et al. Percutaneous coronary intervention in stable angina (ORBITA): A double-blind, randomised controlled trial. Lancet 2018, 391, 31–40. [Google Scholar] [CrossRef] [PubMed]
- Shaw, L.J.; Berman, D.S.; Maron, D.J.; Mancini, G.B.; Hayes, S.W.; Hartigan, P.M.; Weintraub, W.S.; O’Rourke, R.A.; Dada, M.; Spertus, J.A.; et al. Optimal medical therapy with or without percutaneous coronary intervention to reduce ischemic burden: Results from the Clinical Outcomes Utilizing Revascularization and Aggressive Drug Evaluation (COURAGE) trial nuclear substudy. Circulation 2008, 117, 1283–1291. [Google Scholar] [CrossRef]
- Lin, G.A.; Dudley, R.A.; Lucas, F.L.; Malenka, D.J.; Vittinghoff, E.; Redberg, R.F. Frequency of stress testing to document ischemia prior to elective percutaneous coronary intervention. JAMA 2008, 300, 1765–1773. [Google Scholar] [CrossRef]
- Maron, D.J.; Hochman, J.S.; Reynolds, H.R.; Bangalore, S.; O’Brien, S.M.; Boden, W.E.; Chaitman, B.R.; Senior, R.; López-Sendón, J.; Alexander, K.P.; et al. Initial Invasive or Conservative Strategy for Stable Coronary Disease. N. Engl. J. Med. 2020, 382, 1395–1407. [Google Scholar] [CrossRef] [PubMed]
- Hochman, J.S.; Anthopolos, R.; Reynolds, H.R.; Bangalore, S.; Xu, Y.; O’Brien, S.M.; Mavromichalis, S.; Chang, M.; Contreras, A.; Rosenberg, Y.; et al. Survival After Invasive or Conservative Management of Stable Coronary Disease. Circulation 2023, 147, 8–19. [Google Scholar] [CrossRef] [PubMed]
- Perera, D.; Clayton, T.; O’Kane, P.D.; Greenwood, J.P.; Weerackody, R.; Ryan, M.; Morgan, H.P.; Dodd, M.; Evans, R.; Canter, R.; et al. Percutaneous Revascularization for Ischemic Left Ventricular Dysfunction. N. Engl. J. Med. 2022, 387, 1351–1360. [Google Scholar] [CrossRef] [PubMed]
- Bruder, O.; Wagner, A.; Lombardi, M.; Schwitter, J.; van Rossum, A.; Pilz, G.; Nothnagel, D.; Steen, H.; Petersen, S.; Nagel, E.; et al. European Cardiovascular Magnetic Resonance (EuroCMR) registry--multi national results from 57 centers in 15 countries. J. Cardiovasc. Magn. Reson. 2013, 15, 9. [Google Scholar] [CrossRef]
- Kwong, R.Y.; Ge, Y.; Steel, K.; Bingham, S.; Abdullah, S.; Fujikura, K.; Wang, W.; Pandya, A.; Chen, Y.Y.; Mikolich, J.R.; et al. Cardiac Magnetic Resonance Stress Perfusion Imaging for Evaluation of Patients with Chest Pain. J. Am. Coll. Cardiol. 2019, 74, 1741–1755. [Google Scholar] [CrossRef]
- Min, J.K.; Dunning, A.; Lin, F.Y.; Achenbach, S.; Al-Mallah, M.; Budoff, M.J.; Cademartiri, F.; Callister, T.Q.; Chang, H.J.; Cheng, V.; et al. Age- and sex-related differences in all-cause mortality risk based on coronary computed tomography angiography findings results from the International Multicenter CONFIRM (Coronary CT Angiography Evaluation for Clinical Outcomes: An International Multicenter Registry) of 23,854 patients without known coronary artery disease. J. Am. Coll. Cardiol. 2011, 58, 849–860. [Google Scholar] [CrossRef]
- Piepoli, M.F.; Hoes, A.W.; Agewall, S.; Albus, C.; Brotons, C.; Catapano, A.L.; Cooney, M.T.; Corrà, U.; Cosyns, B.; Deaton, C.; et al. 2016 European Guidelines on cardiovascular disease prevention in clinical practice: The Sixth Joint Task Force of the European Society of Cardiology and Other Societies on Cardiovascular Disease Prevention in Clinical Practice (constituted by representatives of 10 societies and by invited experts) Developed with the special contribution of the European Association for Cardiovascular Prevention & Rehabilitation (EACPR). Eur. Heart J. 2016, 37, 2315–2381. [Google Scholar] [CrossRef] [PubMed]
- Williams, M.C.; Moss, A.J.; Dweck, M.; Adamson, P.D.; Alam, S.; Hunter, A.; Shah, A.S.V.; Pawade, T.; Weir-McCall, J.R.; Roditi, G.; et al. Coronary Artery Plaque Characteristics Associated with Adverse Outcomes in the SCOT-HEART Study. J. Am. Coll. Cardiol. 2019, 73, 291–301. [Google Scholar] [CrossRef] [PubMed]
- Ferencik, M.; Mayrhofer, T.; Bittner, D.O.; Emami, H.; Puchner, S.B.; Lu, M.T.; Meyersohn, N.M.; Ivanov, A.V.; Adami, E.C.; Patel, M.R.; et al. Use of High-Risk Coronary Atherosclerotic Plaque Detection for Risk Stratification of Patients with Stable Chest Pain: A Secondary Analysis of the PROMISE Randomized Clinical Trial. JAMA Cardiol. 2018, 3, 144–152. [Google Scholar] [CrossRef] [PubMed]



| Demographic and Clinical Characteristics | Total (N = 62) | Negative S-CMR (N = 45) | Positive S-CMR (N = 17) | p |
|---|---|---|---|---|
| Age—year | 67.7 ± 9.6 | 67.1 ± 9.8 | 69.3 ± 9.0 | 0.405 |
| Sex | 0.746 | |||
| 49 (79.0%) | 35 (77.8%) | 14 (82.4%) | |
| 13 (21.0%) | 10 (22.2%) | 3 (17.6%) | |
| BMI | 27.2 ± 3.2 | 26.9 ± 2.6 | 27.4 ± 3.6 | 0.733 |
| Hypertension | 43 (69.4%) | 30 (66.7%) | 13 (76.5%) | 0.545 |
| Diabetes mellitus | 15 (24.2%) | 9 (20.0%) | 6 (35.3%) | 0.197 |
| Dyslipidemia | 46 (74.2%) | 34 (75.6%) | 12 (70.6%) | 0.745 |
| Current or previous smoker | 31 (50.0%) | 22 (48.9%) | 9 (52.9%) | 0.779 |
| Positive family Hx for CAD | 16 (25.8%) | 10 (22.2%) | 6 (35.3%) | 0.328 |
| Pre-test probability of O-CAD | 29.0% | 28.4% | 32.0% | |
| CKD | 4 (6.5%) | 3 (6.7%) | 1 (5.9%) | 0.999 |
| COPD | 1 (1.6%) | 1 (2.2%) | 0 (0.0%) | 0.999 |
| PAD | 6 (9.7%) | 4 (8.9%) | 2 (11.8%) | 0.999 |
| History of stroke | 1 (1.6%) | 0 (0.0%) | 1 (5.9%) | 0.288 |
| LVEF < 40% | 1 (1.6%) | 1 (2.2%) | 0 (0.0%) | 0.999 |
| Medical Therapy | ||||
| Aspirin | 47 (75.8%) | 33 (73.3%) | 14 (82.3%) | 0.528 |
| Beta-blockers | 31 (50.0%) | 24 (53.3%) | 7 (41.2%) | 0.570 |
| ACE inhibitors/ARBs | 37 (59.7%) | 26 (57.8%) | 11 (64.7%) | 0.773 |
| Statins | 51 (82.3%) | 37 (82.2%) | 14 (82.3%) | 0.999 |
| Nitrates | 3 (4.8%) | 1 (2.2%) | 2 (11.8%) | 0.179 |
| Calcium channel blockers | 22 (35.5%) | 13 (28.9%) | 9 (52.9%) | 0.135 |
| Analysis by Patients | Total (N = 62) | Negative S-CMR (N = 45) | Positive S-CMR (N = 17) | p |
|---|---|---|---|---|
| Coronary arteries: | ||||
| Left main | 2 (3.2%) | 2 (4.4%) | 0 (0.0%) | 0.820 |
| LAD | 43 (69.3%) | 31 (68.9%) | 12 (70.6%) | |
| Circumflex | 26 (41.9%) | 18 (40.0%) | 8 (47.1%) | |
| Right coronary | 26 (41.9%) | 18 (40.0%) | 8 (47.1%) | |
| Analysis by segments | ||||
| Proximal part | 31 (50.0%) | 20 (44.4%) | 11 (64.7%) | 0.684 |
| Middle part | 28 (45.2%) | 18 (40.0%) | 8 (47.1%) | |
| Distal part | 20 (32.3%) | 15 (33.3%) | 5 (29.4%) | |
| Analysis by plaques | Total (N = 136) | Negative S-CMR (N = 107) | Positive S-CMR (N = 29) | |
| Calcified | 27 (19.9%) | 22 (20.6%) | 5 (17.3%) | 0.578 |
| Non-calcified | 24 (17.6%) | 17 (15.9%) | 7 (24.1%) | |
| Partially calcified | 85 (62.5%) | 68 (63.5%) | 17 (58.6%) |
Disclaimer/Publisher’s Note: The statements, opinions and data contained in all publications are solely those of the individual author(s) and contributor(s) and not of MDPI and/or the editor(s). MDPI and/or the editor(s) disclaim responsibility for any injury to people or property resulting from any ideas, methods, instructions or products referred to in the content. |
© 2024 by the authors. Licensee MDPI, Basel, Switzerland. This article is an open access article distributed under the terms and conditions of the Creative Commons Attribution (CC BY) license (https://creativecommons.org/licenses/by/4.0/).
Share and Cite
Busi, G.; Amico, M.A.; Vannini, M.; Virgili, G.; Migliorini, A.; Pontecorboli, G.; Pradella, S.; Acquafresca, M.; Moroni, M.; Di Mario, C.; et al. The Value of a Coronary Computed Tomography Angiography plus Stress Cardiac Magnetic Resonance Imaging Strategy for the Evaluation of Patients with Chronic Coronary Syndrome. J. Clin. Med. 2024, 13, 1556. https://doi.org/10.3390/jcm13061556
Busi G, Amico MA, Vannini M, Virgili G, Migliorini A, Pontecorboli G, Pradella S, Acquafresca M, Moroni M, Di Mario C, et al. The Value of a Coronary Computed Tomography Angiography plus Stress Cardiac Magnetic Resonance Imaging Strategy for the Evaluation of Patients with Chronic Coronary Syndrome. Journal of Clinical Medicine. 2024; 13(6):1556. https://doi.org/10.3390/jcm13061556
Chicago/Turabian StyleBusi, Gherardo, Mattia Alexis Amico, Matteo Vannini, Giacomo Virgili, Angela Migliorini, Giulia Pontecorboli, Silvia Pradella, Manlio Acquafresca, Mario Moroni, Carlo Di Mario, and et al. 2024. "The Value of a Coronary Computed Tomography Angiography plus Stress Cardiac Magnetic Resonance Imaging Strategy for the Evaluation of Patients with Chronic Coronary Syndrome" Journal of Clinical Medicine 13, no. 6: 1556. https://doi.org/10.3390/jcm13061556
APA StyleBusi, G., Amico, M. A., Vannini, M., Virgili, G., Migliorini, A., Pontecorboli, G., Pradella, S., Acquafresca, M., Moroni, M., Di Mario, C., Valenti, R., & Carrabba, N. (2024). The Value of a Coronary Computed Tomography Angiography plus Stress Cardiac Magnetic Resonance Imaging Strategy for the Evaluation of Patients with Chronic Coronary Syndrome. Journal of Clinical Medicine, 13(6), 1556. https://doi.org/10.3390/jcm13061556

