A Non-Coronary, Peripheral Arterial Atherosclerotic Disease (Carotid, Renal, Lower Limb) in Elderly Patients—A Review: Part I—Epidemiology, Risk Factors, and Atherosclerosis-Related Diversities in Elderly Patients
Abstract
1. Introduction
1.1. Arterial Ageing
1.1.1. Atherosclerosis
1.1.2. Vascular Remodeling, Arterial Stiffness, and Compliance
2. Methodology
3. The Faces of Atherosclerosis
3.1. Atherogenesis in Different Locations
3.2. Differences in the Morphology of Atherosclerotic Lesions in Elderly People
4. Epidemiology, Risk Factors, and Clinical Course of Atherosclerosis in Arterial Territories outside Coronary Arteries, with a Particular Emphasis in Elderly Patients
4.1. Familial Hypercholesterolemia and the Extent of Atherosclerotic Lesions
4.2. Lower Extremity Peripheral Arterial Disease
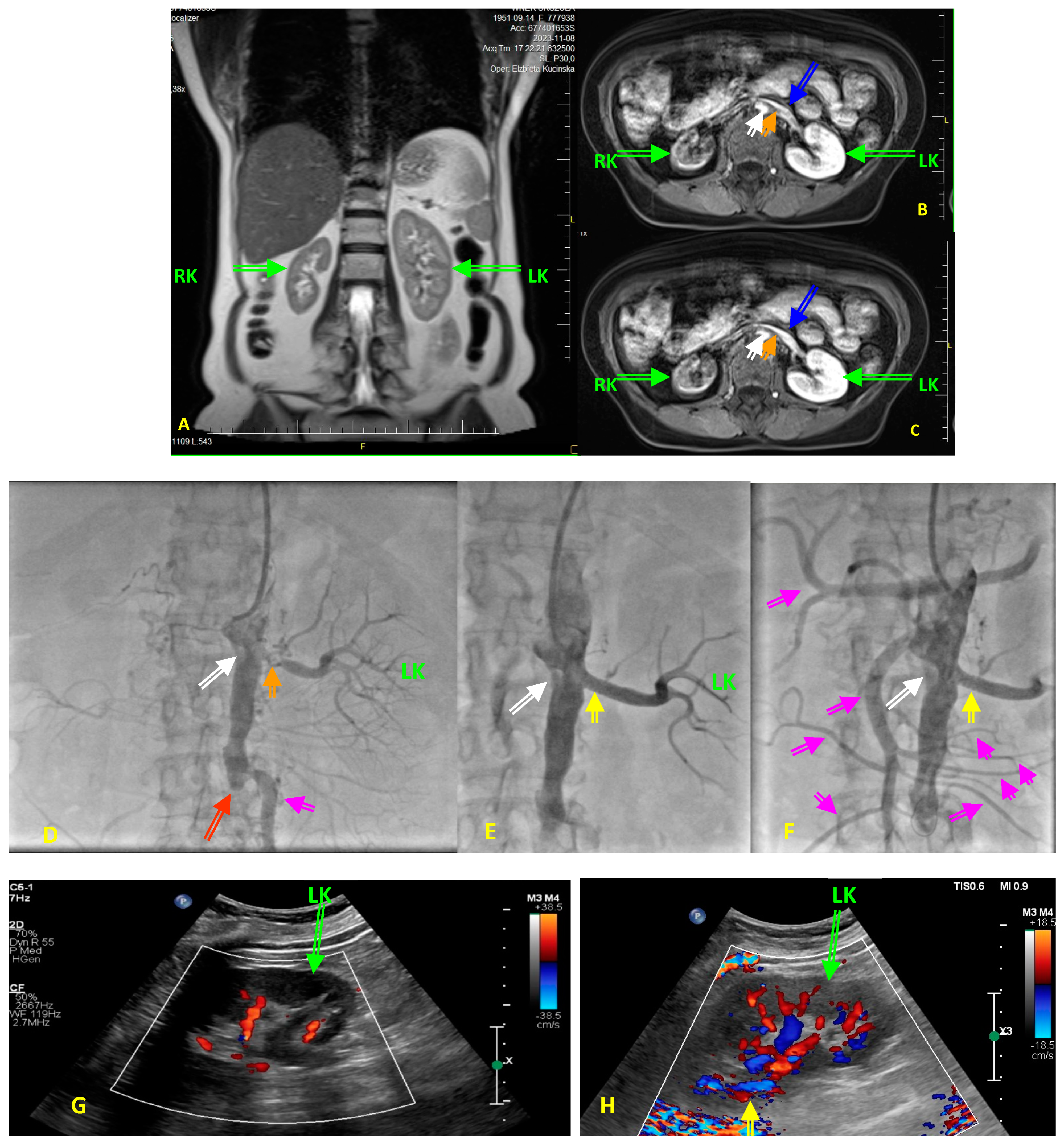
4.3. Renal Artery Atherosclerosis
4.4. Carotid Artery Atherosclerosis
5. Ischemic Preconditioning
5.1. Peripheral Arterial Disease
5.2. Head
6. Closing Remarks and Future Directions
Author Contributions
Funding
Institutional Review Board Statement
Informed Consent Statement
Data Availability Statement
Conflicts of Interest
References
- Libby, P. The Changing Landscape of Atherosclerosis. Nature 2021, 592, 524–533. [Google Scholar] [CrossRef]
- Hernyes, A.; Piroska, M.; Fejer, B.; Szalontai, L.; Szabo, H.; Forgo, B.; Jermendy, A.L.; Molnar, A.A.; Maurovich-Horvat, P.; Jermendy, G.; et al. Overlapping Genetic Background of Coronary Artery and Carotid/Femoral Atherosclerotic Calcification. Medicina 2021, 57, 252. [Google Scholar] [CrossRef]
- Roth, G.A.; Mensah, G.A.; Johnson, C.O.; Addolorato, G.; Ammirati, E.; Baddour, L.M.; Barengo, N.C.; Beaton, A.Z.; Benjamin, E.J.; Benziger, C.P.; et al. GBD-NHLBI-JACC Global Burden of Cardiovascular Diseases Writing Group. Global Burden of Cardiovascular Diseases and Risk Factors, 1990–2019: Update From the GBD 2019 Study. J. Am. Coll. Cardiol. 2020, 76, 2982–3021. [Google Scholar] [CrossRef]
- Aitken, S.J. Peripheral artery disease in the lower limbs: The importance of secondary risk prevention for improved long-term prognosis. Am. J. Gen. Pract. 2022, 49, 239–244. [Google Scholar] [CrossRef]
- Cartland, S.P.; Stanley, C.P.; Bursill, C.; Passam, F.; Figtree, G.A.; Patel, S.; Loa, J.; Golledge, J.; Robinson, D.A.; Aitken, S.J.; et al. Sex, Endothelial Cell Functions, and Peripheral Artery Disease. Int. J. Mol. Sci. 2023, 24, 17439. [Google Scholar] [CrossRef]
- Tsao, C.W.; Aday, A.W.; Almarzooq, Z.I.; Alonso, A.; Beaton, A.Z.; Bittencourt, M.S.; Boehme, A.K.; Buxton, A.E.; Carson, A.P.; Commodore-Mensah, Y. Heart Disease and Stroke Statistics-2022 Update: A Report From the American Heart Association. Circulation 2022, 145, e153–e639. [Google Scholar] [CrossRef] [PubMed]
- Vaduganathan, M.; Mensah, G.A.; Turco, J.V.; Fuster, V.; Roth, G.A. The Global Burden of Cardiovascular Diseases and Risk: A Compass for Future Health. J. Am. Coll. Cardiol. 2022, 80, 2361–2371. [Google Scholar] [CrossRef] [PubMed]
- Nguyen, D.; Mika, G.; Ninh, A. Age-based exclusions in clinical trials: A review and new perspectives. Contemp. Clin. Trials. 2022, 114, 106683. [Google Scholar] [CrossRef]
- Denkinger, M.; Knol, W.; Cherubini, A.; Simonds, A.; Lionis, C.; Lacombe, D.; Petelos, E.; McCarthy, M.; Ouvrard, P.; Van Kerrebroeck, P.; et al. Inclusion of functional measures and frailty in the development and evaluation of medicines for older adults. Lancet Healthy Longev. 2023, 4, e724–e729. [Google Scholar] [CrossRef] [PubMed]
- Napoli, C.; D’Armiento, F.P.; Mancini, F.P.; Postiglione, A.; Witztum, J.L.; Palumbo, G.; Palinski, W. Fatty Streak Formation Occurs in Human Fetal Aortas and Is Greatly Enhanced by Maternal Hypercholesterolemia. Intimal Accumulation of Low Density Lipoprotein and Its Oxidation Precede Monocyte Recruitment into Early Atherosclerotic Lesions. J. Clin. Investig. 1997, 100, 2680–2690. [Google Scholar] [CrossRef]
- Palinski, W.; Napoli, C. The Fetal Origins of Atherosclerosis: Maternal Hypercholesterolemia, and Cholesterol-Lowering or Antioxidant Treatment during Pregnancy Influence in Utero Programming and Postnatal Susceptibility to Atherogenesis. FASEB J. 2002, 16, 1348–1360. [Google Scholar] [CrossRef] [PubMed]
- Woollett, L.A. Maternal Cholesterol in Fetal Development: Transport of Cholesterol from the Maternal to the Fetal Circulation. Am. J. Clin. Nutr. 2005, 82, 1155–1161. [Google Scholar] [CrossRef] [PubMed]
- Boroń, D.; Kornacki, J.; Wender-Ozegowska, E. The Assessment of Maternal and Fetal Intima-Media Thickness in Perinatology. J. Clin. Med. 2022, 11, 1168. [Google Scholar] [CrossRef] [PubMed]
- Cohen, H.W.; Sloop, G.D. Glucose Interaction Magnifies Atherosclerotic Risk from Cholesterol. Findings from the PDAY Study. Atherosclerosis 2004, 172, 115–120. [Google Scholar] [CrossRef] [PubMed]
- Beręsewicz, A.; Skierczyńska, A. Miażdżyca—Choroba Całego Życia i Całej Populacji Krajów Cywilizacji Zachodniej. Chor. Serca Naczyń 2006, 3, 1–6. [Google Scholar]
- Napoli, C.; Glass, C.K.; Witztum, J.L.; Deutsch, R.; D’Armiento, F.P.; Palinski, W. Influence of Maternal Hypercholesterolaemia during Pregnancy on Progression of Early Atherosclerotic Lesions in Childhood: Fate of Early Lesions in Children (FELIC) Study. Lancet 1999, 354, 1234–1241. [Google Scholar] [CrossRef] [PubMed]
- Luca, A.C.; David, S.G.; David, A.G.; Țarcă, V.; Pădureț, I.-A.; Mîndru, D.E.; Roșu, S.T.; Roșu, E.V.; Adumitrăchioaiei, H.; Bernic, J.; et al. Atherosclerosis from Newborn to Adult-Epidemiology, Pathological Aspects, and Risk Factors. Life 2023, 13, 2056. [Google Scholar] [CrossRef]
- Zieske, A.W.; Malcom, G.T.; Strong, J.P. Natural History and Risk Factors of Atherosclerosis in Children and Youth: The PDAY Study. Pediatr. Pathol. Mol. Med. 2002, 21, 213–237. [Google Scholar] [CrossRef]
- Napoli, C.; Casamassimi, A.; Grimaldi, V.; Schiano, C.; Infante, T.; Zullo, A.; Montesano, M.L.; Auriemma, L.; Luca, F.P.D.; Iorio, G.D.; et al. The Novel Role of Epigenetics in Primary Prevention of Cardiovascular Diseases. Cardiogenetics 2012, 2, e12. [Google Scholar] [CrossRef]
- Visseren, F.; Mach, F.; Smulders, Y.M.; Carballo, D.; Koskinas, K.C.; Bäck, M.; Benetos, A.; Biffi, A.; Boavida, J.M.; Capodanno, D.; et al. 2021 ESC Guidelines on Cardiovascular Disease Prevention in Clinical Practice. Eur. Heart J. 2021, 42, 3227–3337. [Google Scholar] [CrossRef]
- Gacoń, J.; Przewlocki, T.; Podolec, J.; Badacz, R.; Pieniazek, P.; Ryniewicz, W.; Żmudka, K.; Kabłak-Ziembicka, A. The Role of Serial Carotid Intima-Media Thickness Assessment as a Surrogate Marker of Atherosclerosis Control in Patients with Recent Myocardial Infarction. Postep. Kardiol. Interwencyjnej 2019, 15, 74–80. [Google Scholar] [CrossRef]
- Eleid, M.F.; Lester, S.J.; Wiedenbeck, T.L.; Patel, S.D.; Appleton, C.P.; Nelson, M.R.; Humphries, J.; Hurst, R.T. Carotid Ultrasound Identifies High Risk Subclinical Atherosclerosis in Adults with Low Framingham Risk Scores. J. Am. Soc. Echocardiogr. 2010, 23, 802–808. [Google Scholar] [CrossRef] [PubMed]
- Mihuta, M.S.; Paul, C.; Ciulpan, A.; Dacca, F.; Velea, I.P.; Mozos, I.; Stoian, D. Subclinical Atherosclerosis Progression in Obese Children with Relevant Cardiometabolic Risk Factors Can Be Assessed through Carotid Intima Media Thickness. Appl. Sci. 2021, 11, 10721. [Google Scholar] [CrossRef]
- Diaz, A.; Bia, D.; Zócalo, Y.; Manterola, H.; Larrabide, I.; Lo Vercio, L.; Del Fresno, M.; Cabrera Fischer, E. Carotid Intima Media Thickness Reference Intervals for a Healthy Argentinean Population Aged 11–81 Years. Int. J. Hypertens. 2018, 2018, 8086714. [Google Scholar] [CrossRef] [PubMed]
- Engelen, L.; Ferreira, I.; Stehouwer, C.D.; Boutouyrie, P.; Laurent, S. Reference Intervals for Common Carotid Intima-Media Thickness Measured with Echotracking: Relation with Risk Factors. Eur. Heart J. 2013, 34, 2368–2380. [Google Scholar] [CrossRef] [PubMed]
- Kablak-Ziembicka, A.; Przewlocki, T.; Pieniazek, P.; Musialek, P.; Sokolowski, A.; Drwila, R.; Sadowski, J.; Zmudka, K.; Tracz, W. The role of carotid intima-media thickness assessment in cardiovascular risk evaluation in patients with polyvascular atherosclerosis. Atherosclerosis 2010, 209, 125–130. [Google Scholar] [CrossRef] [PubMed]
- Sertedaki, E.; Veroutis, D.; Zagouri, F.; Galyfos, G.; Filis, K.; Papalambros, A.; Aggeli, K.; Tsioli, P.; Charalambous, G.; Zografos, G.; et al. Carotid Disease and Ageing: A Literature Review on the Pathogenesis of Vascular Senescence in Older Subjects. Curr. Gerontol. Geriatr. Res. 2020, 2020, 8601762. [Google Scholar] [CrossRef]
- Humphrey, J.D.; Harrison, D.G.; Figueroa, C.A.; Lacolley, P.; Laurent, S. Central Artery Stiffness in Hypertension and Aging: A Problem With Cause and Consequence. Circ. Res. 2016, 118, 379–381. [Google Scholar] [CrossRef]
- Baran, J.; Kleczyński, P.; Niewiara, Ł.; Podolec, J.; Badacz, R.; Gackowski, A.; Pieniażek, P.; Legutko, J.; Żmudka, K.; Przewłocki, T.; et al. Importance of Increased Arterial Resistance in Risk Prediction in Patients with Cardiovascular Risk Factors and Degenerative Aortic Stenosis. J. Clin. Med. 2021, 10, 2109. [Google Scholar] [CrossRef]
- Sequí-Domínguez, I.; Cavero-Redondo, I.; Álvarez-Bueno, C.; Pozuelo-Carrascosa, D.P.; de Arenas-Arroyo, S.N.; Martínez-Vizcaíno, V. Accuracy of Pulse Wave Velocity Predicting Cardiovascular and All-Cause Mortality. A Systematic Review and Meta-Analysis. J. Clin. Med. 2020, 9, 2080. [Google Scholar] [CrossRef]
- Miyano, I.; Nishinaga, M.; Takata, J.; Shimizu, Y.; Okumiya, K.; Matsubayashi, K.; Ozawa, T.; Sugiura, T.; Yasuda, N.; Doi, Y. Association between Brachial-Ankle Pulse Wave Velocity and 3-Year Mortality in Community-Dwelling Older Adults. Hypertens. Res. 2010, 33, 678–682. [Google Scholar] [CrossRef]
- Hirata, T.; Arai, Y.; Takayama, M.; Abe, Y.; Ohkuma, K.; Takebayashi, T. Carotid Plaque Score and Risk of Cardiovascular Mortality in the Oldest Old: Results from the TOOTH Study. J. Atheroscler. Thromb. 2018, 25, 55–64. [Google Scholar] [CrossRef]
- Carallo, C.; Tripolino, C.; de Franceschi, M.S.; Irace, C.; Xu, X.Y.; Gnasso, A. Carotid Endothelial Shear Stress Reduction with Aging Is Associated with Plaque Development in Twelve Years. Atherosclerosis 2016, 251, 63–69. [Google Scholar] [CrossRef]
- Badacz, R.; Podolec, J.; Przewlocki, T.; Siedlinski, M.; Jozefczuk, E.; Oleksy, H.; Baran, J.; Pieniazek, P.; Zmudka, K.; Kablak-Ziembicka, A. The Role of Chemokine CCL5/RANTES and Metalloproteinase-9 as Inflammatory Modulators in Symptomatic Internal Carotid Artery Stenosis. J. Physiol. Pharmacol. 2019, 70, 545–555. [Google Scholar] [CrossRef]
- Li, J.; Xu, J.; Zhang, W.; Li, P.; Zhang, W.; Wang, H.; Tang, B. Detection and Imaging of Active Substances in Early Atherosclerotic Lesions Using Fluorescent Probes. ChemBioChem 2023, 24, e202300105. [Google Scholar] [CrossRef] [PubMed]
- Zhao, Y.-C.; Zhang, J.; Wang, F.; He, Y.-M.; Xu, M.-Y.; Wang, D.-H.; Zhang, M. Value of carotid intima thickness in assessing advanced carotid plaque vulnerability: A study based on carotid artery ultrasonography and carotid plaque histology. Quant. Imaging Med. Surg. 2024, 14, 1994–2007. [Google Scholar] [CrossRef]
- Vaccarezza, M.; Galassi, F.M. Inflammation Beats Cholesterol: A Comment on the Unequivocal Driver of Cardiovascular Disease Risk. J. Clin. Med. 2023, 12, 2519. [Google Scholar] [CrossRef]
- Badacz, R.; Przewłocki, T.; Legutko, J.; Żmudka, K.; Kabłak-Ziembicka, A. MicroRNAs Associated with Carotid Plaque Development and Vulnerability: The Clinician’s Perspective. Int. J. Mol. Sci. 2022, 23, 15645. [Google Scholar] [CrossRef]
- Pereira-Da-silva, T.; Napoleão, P.; Costa, M.C.; Gabriel, A.F.; Selas, M.; Silva, F.; Enguita, F.J.; Ferreira, R.C.; Carmo, M.M. Cigarette Smoking, MiR-27b Downregulation, and Peripheral Artery Disease: Insights into the Mechanisms of Smoking Toxicity. J. Clin. Med. 2021, 10, 890. [Google Scholar] [CrossRef]
- Kabłak-Ziembicka, A.; Badacz, R.; Przewłocki, T. Clinical Application of Serum MicroRNAs in Atherosclerotic Coronary Artery Disease. J. Clin. Med. 2022, 11, 6849. [Google Scholar] [CrossRef] [PubMed]
- Sagris, M.; Theofilis, P.; Antonopoulos, A.S.; Tsioufis, K.; Tousoulis, D. Telomere Length: A Cardiovascular Biomarker and a Novel Therapeutic Target. Int. J. Mol. Sci. 2022, 23, 16010. [Google Scholar] [CrossRef]
- Kabłak-Ziembicka, A.; Badacz, R.; Okarski, M.; Wawak, M.; Przewłocki, T.; Podolec, J. Cardiac MicroRNAs: Diagnostic and Therapeutic Potential. Arch. Med. Sci. 2023, 19, 1360–1381. [Google Scholar] [CrossRef]
- Ma, X.; Wang, J.; Li, Z.; Zhou, X.; Liang, X.; Wang, J.; Duan, Y.; Zhao, P. Early Assessment of Atherosclerotic Lesions and Vulnerable Plaques in Vivo by Targeting Apoptotic Macrophages with AV Nanobubbles. Int. J. Nanomed. 2022, 17, 4933–4946. [Google Scholar] [CrossRef]
- Poredos, P.; Poredos, P.; Jezovnik, M.K. Structure of Atherosclerotic Plaques in Different Vascular Territories: Clinical Relevance. Curr. Vasc. Pharmacol. 2018, 16, 125–129. [Google Scholar] [CrossRef]
- Muszyński, P.; Pawluczuk, E.; Pasławska, M.; Kowalczuk, M.; Kozakiewicz, J.; Sot-Muszyńska, N.; Kożuch, M.; Dobrzycki, S. Sex-Related Differences in the Prevalence of Classical, Non-Classical Risk Factors and Management of the Chronic Coronary Syndrome. J. Clin. Med. 2023, 12, 7320. [Google Scholar] [CrossRef]
- Márquez, A.B.; van der Vorst, E.P.C.; Maas, S.L. Key Chemokine Pathways in Atherosclerosis and Their Therapeutic Potential. J. Clin. Med. 2021, 10, 3825. [Google Scholar] [CrossRef] [PubMed]
- Aboyans, V.; Ricco, J.B.; Bartelink, M.L.E.L.; Björck, M.; Brodmann, M.; Cohnert, T.; Collet, J.P.; Czerny, M.; De Carlo, M.; Debus, S.; et al. 2017 ESC Guidelines on the Diagnosis and Treatment of Peripheral Arterial Diseases, in Collaboration with the European Society for Vascular Surgery (ESVS): Document Covering Atherosclerotic Disease of Extracranial Carotid and Vertebral, Mesenteric, Renal, Upper and Lower Extremity Arteries Endorsed by: The European Stroke Organization (ESO) The Task Force for the Diagnosis and Treatment of Peripheral Arterial Diseases of the European Society of Cardiology (ESC) and of the European Society for Vasc. Eur. Heart J. 2018, 39, 763–816. [Google Scholar] [CrossRef] [PubMed]
- Shi, X.; Gao, J.; Lv, Q.; Cai, H.; Wang, F.; Ye, R.; Liu, X. Calcification in Atherosclerotic Plaque Vulnerability: Friend or Foe? Front. Physiol. 2020, 11, 56. [Google Scholar] [CrossRef]
- Saleh, M.; Ali, H.; Atalla, K.; Shahat, M.; Cieri, E. Predictors of Carotid Artery Stenting-Induced Hemodynamic Instability. Vasc. Endovasc. Surg. 2021, 55, 475–481. [Google Scholar] [CrossRef] [PubMed]
- Jiang, C.; Meng, Q.; Zhao, K.; Zhao, H.; Zheng, Z.; Weiwei Wu, W.; Zhao, X. Vulnerable carotid plaque characteristics on magnetic resonance vessel wall imaging: Potential predictors for hemodynamic instability during carotid artery stenting. Quant. Imaging Med. Surg. 2023, 13, 3441–3450. [Google Scholar] [CrossRef] [PubMed]
- Tekieli, L.; Mazurek, A.; Dzierwa, K.; Stefaniak, J.; Kablak-Ziembicka, A.; Knapik, M.; Moczulski, Z.; Banys, R.P.; Urbanczyk-Zawadzka, M.; Dabrowski, W.; et al. Misclassification of Carotid Stenosis Severity with Area Stenosis-Based Evaluation by Computed Tomography Angiography: Impact on Erroneous Indication to Revascularization or Patient (Lesion) Migration to a Higher Guideline Recommendation Class as per ESC/ESVS/ESO/SVS and CMS-FDA Thresholds. Postep. Kardiol. Interwencyjnej 2022, 18, 500–513. [Google Scholar] [CrossRef]
- Bryniarski, K.; Gasior, P.; Legutko, J.; Makowicz, D.; Kedziora, A.; Szolc, P.; Bryniarski, L.; Kleczynski, P.; Jang, I.K. OCT Findings in MINOCA. J. Clin. Med. 2021, 10, 2759. [Google Scholar] [CrossRef]
- Zajdel, W.; Miszalski-Jamka, T.; Zalewski, J.; Legutko, J.; Żmudka, K.; Paszek, E. Cardiac Magnetic Resonance Shows Improved Outcomes in Patients with an ST-Segment Elevation Myocardial Infarction and a High Thrombus Burden Treated with Adjuvant Aspiration Thrombectomy. J. Clin. Med. 2022, 11, 5000. [Google Scholar] [CrossRef] [PubMed]
- Formanowicz, D.; Krawczyk, J.B.; Perek, B.; Lipski, D.; Tykarski, A. Management of High-Risk Atherosclerotic Patients by Statins May Be Supported by Logistic Model of Intima-Media Thickening. J. Clin. Med. 2021, 10, 2876. [Google Scholar] [CrossRef] [PubMed]
- Senoner, T.; Plank, F.; Beyer, C.; Langer, C.; Birkl, K.; Steinkohl, F.; Widmann, G.; Barbieri, F.; Adukauskaite, A.; Friedrich, G.; et al. Gender Differences in the Atherosclerosis Profile by Coronary CTA in Coronary Artery Calcium Score Zero Patients. J. Clin. Med. 2021, 10, 1220. [Google Scholar] [CrossRef] [PubMed]
- Rane, M.; Orkaby, A.R. Considerations for Carotid Artery Disease Management in a Frail Population. Exp. Gerontol. 2021, 152, 111426. [Google Scholar] [CrossRef]
- Wilson, P.W.F.; Hoeg, J.M.; D’Agostino, R.B.; Silbershatz, H.; Belanger, A.M.; Poehlmann, H.; O’Leary, D.; Wolf, P.A. Cumulative Effects of High Cholesterol Levels, High Blood Pressure, and Cigarette Smoking on Carotid Stenosis. N. Engl. J. Med. 1997, 337, 516–522. [Google Scholar] [CrossRef]
- Lin, F.R.; Zhou, J.; Ma, Z.Z.; Pang, J.X. Pathological Features of Coronary Atherosclerotic Plaques in Nonagenarians. Chin. Med. J. 1994, 107, 858–861. [Google Scholar] [PubMed]
- Krittanawong, C.; Escobar, J.; Virk, H.U.H.; Alam, M.; Skeik, N.; Campia, U.; Henke, P.K.; Sharma, S. Carotid and Renal Vascular Disease. Curr. Probl. Cardiol. 2024, 49, 102056. [Google Scholar] [CrossRef]
- Kabłak-Ziembicka, A.; Rosławiecka, A.; Badacz, R.; Sokołowski, A.; Rzeźnik, D.; Pieniążek, P.; Legutko, J.; Żmudka, K.; Przewłocki, T. Preoperative Clinical and Renal Ultrasonography Variables Associated with Improved Systolic and Diastolic Blood Pressure Reduction after Renal Artery Stenting. Arch. Med. Sci. 2021. [Google Scholar] [CrossRef]
- Reutersberg, B.; Düppers, P.; Menges, A.L.; Schrimpf, C.; Zimmermann, A.; Pelisek, J. Age-Related Vascular Changes Exemplified by the Carotid Artery. Gefasschirurgie 2022, 27, 231–238. [Google Scholar] [CrossRef] [PubMed]
- Badacz, R.; Przewłocki, T.; Karch, I.; Pieniązek, P.; Rosławiecka, A.; Mleczko, S.; Brzychczy, A.; Trystuła, M.; Zmudka, K.; Kabłak-Ziembicka, A. Low Prevalence of Collateral Cerebral Circulation in the Circle of Willis in Patients with Severe Carotid Artery Stenosis and Recent Ischemic Stroke. Postep. Kardiol. Interwencyjnej 2015, 11, 312–317. [Google Scholar] [CrossRef]
- Mihály, Z.; István, L.; Czakó, C.; Benyó, F.; Borzsák, S.; Varga, A.; Magyar-Stang, R.; Banga, P.V.; Élő, Á.; Debreczeni, R.; et al. The Effect of Circle of Willis Morphology on Retinal Blood Flow in Patients with Carotid Stenosis Measured by Optical Coherence Tomography Angiography. J. Clin. Med. 2023, 12, 5335. [Google Scholar] [CrossRef]
- Kablak-Ziembicka, A.; Przewlocki, T.; Pieniazek, P.; Musialek, P.; Motyl, R.; Moczulski, Z.; Tracz, W. Assessment of Flow Changes in the Circle of Willis after Stenting for Severe Internal Carotid Artery Stenosis. J. Endovasc. Ther. 2006, 13, 205–213. [Google Scholar] [CrossRef]
- Herrmann, S.M.; Textor, S.C. Renovascular Hypertension. Endocrinol. Metab. Clin. N. Am. 2019, 48, 765–778. [Google Scholar] [CrossRef] [PubMed]
- Adameova, A.; Xu, Y.; Duhamel, T.; Tappia, P.; Shan, L.; Dhalla, N. Anti-Atherosclerotic Molecules Targeting Oxidative Stress and Inflammation. Curr. Pharm. Des. 2009, 15, 3094–3107. [Google Scholar] [CrossRef]
- Triposkiadis, F.; Xanthopoulos, A.; Lampropoulos, K.; Briasoulis, A.; Sarafidis, P.; Skoularigis, J.; Boudoulas, H. Aortic Stiffness: A Major Risk Factor for Multimorbidity in the Elderly. J. Clin. Med. 2023, 12, 2321. [Google Scholar] [CrossRef]
- Marfella, R.; Prattichizzo, F.; Sardu, C.; Paolisso, P.; D’Onofrio, N.; Scisciola, L.; La Grotta, R.; Frigé, C.; Ferraraccio, F.; Panarese, I.; et al. Evidence of an Anti-Inflammatory Effect of PCSK9 Inhibitors within the Human Atherosclerotic Plaque. Atherosclerosis 2023, 378, 117180. [Google Scholar] [CrossRef] [PubMed]
- Dimosiari, A.; Patoulias, D.; Kitas, G.D.; Dimitroulas, T. Do Interleukin-1 and Interleukin-6 Antagonists Hold Any Place in the Treatment of Atherosclerotic Cardiovascular Disease and Related Co-Morbidities? An Overview of Available Clinical Evidence. J. Clin. Med. 2023, 12, 1302. [Google Scholar] [CrossRef]
- Alshahrani, A.; O’Nunain, S. Is Triple Antithrombotic Therapy a Safe Option in Patients with AF Who Receive Drug-Eluting Stents?: A Review Article. Egypt. Heart J. 2023, 75, 74. [Google Scholar] [CrossRef]
- Bădilă, E.; Japie, C.; Weiss, E.; Balahura, A.M.; Bartoș, D.; Udriște, A.S. The Road to Better Management in Resistant Hypertension-Diagnostic and Therapeutic Insights. Pharmaceutics 2021, 13, 714. [Google Scholar] [CrossRef] [PubMed]
- Meyer, B.M.; Campos, J.K.; Collard de Beaufort, J.C.; Chen, I.; Khan, M.W.; Amin, G.; Zarrin, D.A.; Lien, B.V.; Coon, A.L. Trends in Dual Antiplatelet Therapy Use for Neurointerventional Procedures for the Management of Intracranial Aneurysms. Biomedicines 2023, 11, 2234. [Google Scholar] [CrossRef]
- Dovjak, P. Polypharmacy in Elderly People. Wien. Med. Wochenschr. 2022, 172, 109–113. [Google Scholar] [CrossRef] [PubMed]
- Kabłak-Ziembicka, A. Improving Cardiovascular Outcomes: The Era of Personalized Therapy in Atherosclerosis. J. Clin. Med. 2022, 11, 3077. [Google Scholar] [CrossRef] [PubMed]
- Uchmanowicz, I.; Rosano, G.; Piepoli, M.F.; Vellone, E.; Czapla, M.; Lisiak, M.; Diakowska, D.; Prokopowicz, A.; Aleksandrowicz, K.; Nowak, B.; et al. The Concurrent Impact of Mild Cognitive Impairment and Frailty Syndrome in Heart Failure. Arch. Med. Sci. 2023, 19, 912–920. [Google Scholar] [CrossRef] [PubMed]
- Katsanos, S.; Mavrogenis, A.F.; Kafkas, N.; Sardu, C.; Kamperidis, V.; Katsanou, P.; Farmakis, D.; Parissis, J. Cardiac Biomarkers Predict 1-Year Mortality in Elderly Patients Undergoing Hip Fracture Surgery. Orthopedics 2017, 40, e417–e424. [Google Scholar] [CrossRef] [PubMed]
- Simões, P.A.; Santiago, L.M.; Xavier, B.D.O.; Simões, J.A. Elderly Patients and the Idea of Having Medication Deprescribed: A Mixed Method Study in Portuguese Primary Health Care. Arch. Med. Sci. 2021. [Google Scholar] [CrossRef]
- Przewłocki, T.; Kabłak-Ziembicka, A.; Kozanecki, A.; Rzeźnik, D.; Pieniazek, P.; Musiałek, P.; Piskorz, A.; Sokołowski, A.; Rosławiecka, A.; Tracz, W. Polyvascular Extracoronary Atherosclerotic Disease in Patients with Coronary Artery Disease. Kardiol. Pol. 2009, 67, 978–984. [Google Scholar]
- Ness, J.; Aronow, W.S. Prevalence of Coexistence of Coronary Artery Disease, Ischemic Stroke, and Peripheral Arterial Disease in Older Persons, Mean Age 80 Years, in an Academic Hospital-Based Geriatrics Practice. J. Am. Geriatr. Soc. 1999, 47, 1255–1256. [Google Scholar] [CrossRef]
- Adams, H.P. Secondary Prevention of Atherothrombotic Events after Ischemic Stroke. Mayo Clin. Proc. 2009, 84, 43–51. [Google Scholar] [CrossRef]
- Fleg, J.L.; Forman, D.E.; Berra, K.; Bittner, V.; Blumenthal, J.A.; Chen, M.A.; Cheng, S.; Kitzman, D.W.; Maurer, M.S.; Rich, M.W.; et al. Secondary Prevention of Atherosclerotic Cardiovascular Disease in Older Adults: A Scientific Statement from the American Heart Association. Circulation 2013, 128, 2422–2446. [Google Scholar] [CrossRef]
- Samsky, M.D.; Mentz, R.J.; Stebbins, A.; Lokhnygina, Y.; Aday, A.W.; Pagidipati, N.J.; Jones, W.S.; Katona, B.G.; Patel, M.R.; Holman, R.R.; et al. Polyvascular disease and increased risk of cardiovascular events in patients with type 2 diabetes: Insights from the EXSCEL trial. Atherosclerosis 2021, 338, 1–6. [Google Scholar] [CrossRef]
- Eagle, K.A.; Hirsch, A.T.; Califf, R.M.; Alberts, M.J.; Steg, P.G.; Cannon, C.P.; Brennan, D.M.; Bhatt, D.L.; REACH Registry Investigators. Cardiovascular ischemic event rates in outpatients with symptomatic atherothrombosis or risk factors in the united states: Insights from the REACH Registry. Crit. Pathw. Cardiol. 2009, 8, 91–97. [Google Scholar] [CrossRef]
- Yakubov, S. Polyvascular atherosclerotic disease: Recognizing the risks and managing the syndrome. Curr. Med. Res. Opin. 2009, 25, 2631–2641. [Google Scholar] [CrossRef] [PubMed]
- Badacz, R.; Przewłocki, T.; Pieniażek, P.; Rosławiecka, A.; Kleczyński, P.; Legutko, J.; Żmudka, K.; Kabłak-Ziembicka, A. MicroRNA-134-5p and the Extent of Arterial Occlusive Disease Are Associated with Risk of Future Adverse Cardiac and Cerebral Events in Diabetic Patients Undergoing Carotid Artery Stenting for Symptomatic Carotid Artery Disease. Molecules 2022, 27, 2472. [Google Scholar] [CrossRef]
- Matsushita, K.; Sang, Y.; Ning, H.; Ballew, S.H.; Chow, E.K.; Grams, M.E.; Selvin, E.; Allison, M.; Criqui, M.; Coresh, J.; et al. Lifetime Risk of Lower-Extremity Peripheral Artery Disease Defined by Ankle-Brachial Index in the United States. J. Am. Heart Assoc. 2019, 8, 012177. [Google Scholar] [CrossRef] [PubMed]
- Meijer, W.T.; Grobbee, D.E.; Hunink, M.G.M.; Hofman, A.; Hoes, A.W. Determinants of Peripheral Arterial Disease in the Elderly. Arch. Intern. Med. 2000, 160, 2934. [Google Scholar] [CrossRef] [PubMed]
- Triana-Ricci, R.; Martinez-de-Jesús, F.; Aragón-Carreño, M.P.; Saurral, R.; Tamayo-Acosta, C.A.; García-Puerta, M.; Bernal, P.V.; Silva-Quiñonez, K.; Feijo, D.F.; Reyes, C.; et al. Management Recommendations for Diabetic Foot Patients. Instructional Course. Rev. Colomb. Ortop. Traumatol. 2021, 35, 330–357. [Google Scholar] [CrossRef]
- Li, Y.; Liu, Y.; Liu, S.; Gao, M.; Wang, W.; Chen, K.; Huang, L.; Liu, Y. Diabetic vascular diseases: Molecular mechanisms and therapeutic strategies. Signal Transduct. Target. Ther. 2023, 8, 152. [Google Scholar] [CrossRef] [PubMed]
- Zhou, X.; Yu, L.; Zhao, Y.; Ge, J. Panvascular medicine: An emerging discipline focusing on atherosclerotic diseases. Eur. Heart. J. 2022, 43, 4528–4531. [Google Scholar] [CrossRef] [PubMed]
- Sniderman, A.D.; Glavinovic, T.; Thanassoulis, G. Key questions about familial hypercholesterolemia: JACC review topic of the week. J. Am. Coll. Cardiol. 2022, 79, 1023–1031. [Google Scholar] [CrossRef]
- Jóźwiak, J.J.; Kasperczyk, S.; Tomasik, T.; Osadnik, T.; Windak, A.; Studziński, K.; Mastej, M.; Catapano, A.; Ray, K.K.; Mikhailidis, D.P.; et al. Design and rationale of a nationwide screening analysis from the LIPIDOGRAM2015 and LIPIDOGEN2015 studies. Arch. Med. Sci. 2020, 18, 604–616. [Google Scholar] [CrossRef]
- Shah, N.P.; Ahmed, H.M.; Wilson Tang, W.H. Familial hypercholesterolemia: Detect, treat, and ask about family. Cleve. Clin. J. Med. 2020, 87, 109–120. [Google Scholar] [CrossRef] [PubMed]
- Aparicio, A.; Villazón, F.; Suárez-Gutiérrez, L.; Gómez, J.; Martínez-Faedo, C.; Méndez-Torre, E.; Avanzas, P.; Álvarez-Velasco, R.; Cuesta-Llavona, E.; García-Lago, C.; et al. Clinical Evaluation of Patients with Genetically Confirmed Familial Hypercholesterolemia. J. Clin. Med. 2023, 12, 1030. [Google Scholar] [CrossRef]
- Timoshchenko, O.; Ivanoshchuk, D.; Semaev, S.; Orlov, P.; Zorina, V.; Shakhtshneider, E. Diagnosis of Familial Hypercholesterolemia in Children and Young Adults. Int. J. Mol. Sci. 2024, 25, 314. [Google Scholar] [CrossRef]
- Dobrowolski, P.; Kabat, M.; Kepka, C.; Januszewicz, A.; Prejbisz, A. Atherosclerotic cardiovascular disease burden in patients with familial hypercholesterolemia: Interpretation of data on involvement of different vascular beds. Pol. Arch. Intern. Med. 2022, 132, 16248. [Google Scholar] [CrossRef]
- Pajak, A.; Szafraniec, K.; Polak, M.; Drygas, W.; Piotrowski, W.; Zdrojewski, T.; Jankowski, P. Prevalence of familial hypercholesterolemia: A meta-analysis of six large, observational, population-based studies in Poland. Arch. Med. Sci. 2016, 4, 687–696. [Google Scholar] [CrossRef]
- Araki, M.; Yonetsu, T.; Kurihara, O.; Nakajima, A.; Lee, H.; Soeda, T.; Minami, Y.; McNulty, I.; Uemura, S.; Kakuta, T.; et al. Predictors of Rapid Plaque Progression: An Optical Coherence Tomography Study. JACC Cardiovasc. Imaging 2021, 14, 1628–1638. [Google Scholar] [CrossRef] [PubMed]
- Anagnostis, P.; Vaitsi, K.; Mintziori, G.; Goulis, D.G.; Mikhailidis, D.P. Non-coronary atherosclerotic cardiovascular disease in patients with familial hypercholesterolaemia. Curr. Med. Res. Opin. 2020, 36, 731–740. [Google Scholar] [CrossRef] [PubMed]
- Gałąska, R.; Kulawiak-Gałąska, D.; Dorniak, K.; Stróżyk, A.; Sabisz, A.; Chmara, M.; Wasąg, B.; Mickiewicz, A.; Rynkiewicz, A.; Fijałkowski, M.; et al. Aortic Wall Thickness as a Surrogate for Subclinical Atherosclerosis in Familial and Nonfamilial Hypercholesterolemia: Quantitative 3D Magnetic Resonance Imaging Study and Interrelations with Computed Tomography Calcium Scores, and Carotid Ultrasonography. J. Clin. Med. 2023, 12, 5589. [Google Scholar] [CrossRef]
- Anagnostis, P.; Antza, C.; Florentin, M.; Kotsis, V. Familial hypercholesterolemia and its manifestations: Practical considerations for general practitioners. Kardiol. Pol. 2023, 81, 1081–1088. [Google Scholar] [CrossRef]
- Simon Broome Register Group. Risk of fatal coronary heart disease in familial hypercholesterolaemia. Scientific Steering Committee on behalf of the Simon Broome Register Group. BMJ 1991, 303, 893–896. [Google Scholar] [CrossRef]
- Marco-Benedí, V.; Bea, A.M.; Cenarro, A.; Jarauta, E.; Laclaustra, M.; Civeira, F. Current causes of death in familial hypercholesterolemia. Lipids Health Dis. 2022, 21, 64. [Google Scholar] [CrossRef]
- Criqui, M.H.; Matsushita, K.; Aboyans, V.; Hess, C.N.; Hicks, C.W.; Kwan, T.W.; McDermott, M.M.; Misra, S.; Ujueta, F.; American Heart Association Council on Epidemiology and Prevention; et al. Lower Extremity Peripheral Artery Disease: Contemporary Epidemiology, Management Gaps, and Future Directions: A Scientific Statement From the American Heart Association. Circulation 2021, 144, e171–e191. [Google Scholar] [CrossRef] [PubMed]
- Ziegler-Graham, K.; MacKenzie, E.J.; Ephraim, P.L.; Travison, T.G.; Brookmeyer, R. Estimating the Prevalence of Limb Loss in the United States: 2005 to 2050. Arch. Phys. Med. Rehabil. 2008, 89, 422–429. [Google Scholar] [CrossRef]
- Krasinski, Z.; Gaciong, Z.; Szymański, F.; Kowalewski, R.; Urbanek, T. The Position of Polish Experts on Conservative Management in Patients with Artery Diseases of Lower Limbs. Acta Angiol. 2019, 25, 41–76. [Google Scholar] [CrossRef]
- Lin, J.; Chen, Y.; Jiang, N.; Li, Z.; Xu, S. Burden of Peripheral Artery Disease and Its Attributable Risk Factors in 204 Countries and Territories From 1990 to 2019. Front. Cardiovasc. Med. 2022, 9, 868370. [Google Scholar] [CrossRef]
- De Matteis, G.; Biscetti, F.; Della Polla, D.A.; Serra, A.; Burzo, M.L.; Fuorlo, M.; Nicolazzi, M.A.; Novelli, A.; Santoliquido, A.; Gambassi, G.; et al. Sex-Based Differences in Clinical Characteristics and Outcomes among Patients with Peripheral Artery Disease: A Retrospective Analysis. J. Clin. Med. 2023, 12, 5094. [Google Scholar] [CrossRef] [PubMed]
- Meijer, W.T.; Hoes, A.W.; Rutgers, D.; Bots, M.L.; Hofman, A.; Grobbee, D.E. Peripheral Arterial Disease in the Elderly: The Rotterdam Study. Arterioscler. Thromb. Vasc. Biol. 1998, 18, 645–654. [Google Scholar] [CrossRef]
- Park, Y.S.; Ryu, G.W.; Choi, M. Multiple Metabolic Comorbidities and Their Consequences among Patients with Peripheral Arterial Disease. PLoS ONE 2022, 17, e0268201. [Google Scholar] [CrossRef]
- Bevan, G.H.; White Solaru, K.T. Evidence-Based Medical Management of Peripheral Artery Disease. Arterioscler. Thromb. Vasc. Biol. 2020, 40, 541–553. [Google Scholar] [CrossRef]
- Sykora, D.; Firth, C.; Girardo, M.; Bhatt, S.; Matti, L.; Tseng, A.; Shipman, J.; Liedl, D.; Wennberg, P.; Shamoun, F.E. Patient Age at Diagnosis of Peripheral Artery Disease and Its Impact on Cardiovascular and Limb Outcomes. Am. J. Cardiol. 2022, 177, 144–150. [Google Scholar] [CrossRef] [PubMed]
- Rammos, C.; Kontogiannis, A.; Mahabadi, A.A.; Steinmetz, M.; Messiha, D.; Lortz, J.; Rassaf, T. Risk Stratification and Mortality Prediction in Octo- and Nonagenarians with Peripheral Artery Disease: A Retrospective Analysis. BMC Cardiovasc. Disord. 2021, 21, 370. [Google Scholar] [CrossRef] [PubMed]
- Aboyans, V.; Ho, E.; Denenberg, J.O.; Ho, L.A.; Natarajan, L.; Criqui, M.H. The Association between Elevated Ankle Systolic Pressures and Peripheral Occlusive Arterial Disease in Diabetic and Nondiabetic Subjects. J. Vasc. Surg. 2008, 48, 1197–1203. [Google Scholar] [CrossRef] [PubMed]
- Zhang, P.; Ma, X.; Guo, R.; Ye, Z.; Fu, H.; Fu, N.; Guo, Z.; Zhang, J.; Zhang, J. Organic Nanoplatforms for Iodinated Contrast Media in CT Imaging. Molecules 2021, 26, 7063. [Google Scholar] [CrossRef]
- Acar, R.D.; Sahin, M.; Kirma, C. One of the Most Urgent Vascular Circumstances: Acute Limb Ischemia. SAGE Open Med. 2013, 1, 205031211351611. [Google Scholar] [CrossRef] [PubMed]
- Baumgartner, I.; Lerman, L.O. Renovascular Hypertension: Screening and Modern Management. Eur. Heart J. 2011, 32, 1590–1598. [Google Scholar] [CrossRef] [PubMed]
- Harding, M.B.; Smith, L.R.; Himmelstein, S.I.; Harrison, K.; Phillips, H.R.; Schwab, S.J.; Hermiller, J.B.; Davidson, C.J.; Bashore, T.M. Renal Artery Stenosis: Prevalence and Associated Risk Factors in Patients Undergoing Routine Cardiac Catheterization. J. Am. Soc. Nephrol. 1992, 2, 609–611. [Google Scholar] [CrossRef]
- Olin, J.W.; Melia, M.; Young, J.R.; Graor, R.A.; Risius, B. Prevalence of Atherosclerotic Renal Artery Stenosis in Patients with Atherosclerosis Elsewhere. Am. J. Med. 1990, 88, 46N–51N. [Google Scholar]
- de Leeuw, P.W.; Postma, C.T.; Spiering, W.; Kroon, A.A. Atherosclerotic Renal Artery Stenosis: Should We Intervene Earlier? Curr. Hypertens. Rep. 2018, 20, 35. [Google Scholar] [CrossRef]
- Shekhar, S.; Varghese, K.; Li, M.; Fan, L.; Booz, G.W.; Roman, R.J.; Fan, F. Conflicting Roles of 20-HETE in Hypertension and Stroke. Int. J. Mol. Sci. 2019, 20, 4500. [Google Scholar] [CrossRef] [PubMed]
- Conlon, P.J.; Little, M.A.; Pieper, K.; Mark, D.B. Severity of Renal Vascular Disease Predicts Mortality in Patients Undergoing Coronary Angiography. Kidney Int. 2001, 60, 1490–1497. [Google Scholar] [CrossRef] [PubMed]
- Kalra, P.A.; Guo, H.; Kausz, A.T.; Gilbertson, D.T.; Liu, J.; Chen, S.C.; Ishani, A.; Collins, A.J.; Foley, R.N. Atherosclerotic Renovascular Disease in United States Patients Aged 67 Years or Older: Risk Factors, Revascularization, and Prognosis. Kidney Int. 2005, 68, 293–301. [Google Scholar] [CrossRef] [PubMed]
- Przewłocki, T.; Kabłak-Ziembicka, A.; Tracz, W.; Kozanecki, A.; Kopeć, G.; Rubiś, P.; Kostkiewicz, M.; Rosławiecka, A.; Rzeźnik, D.; Stompór, T. Renal Artery Stenosis in Patients with Coronary Artery Disease. Kardiol. Pol. 2008, 66, 856–862. [Google Scholar]
- Hansen, K.J.; Edwards, M.S.; Craven, T.E.; Cherr, G.S.; Jackson, S.A.; Appel, R.G.; Burke, G.L.; Dean, R.H. Prevalence of Renovascular Disease in the Elderly: A Population-Based Study. J. Vasc. Surg. 2002, 36, 443–451. [Google Scholar] [CrossRef] [PubMed]
- Buller, C.E.; Nogareda, J.G.; Ramanathan, K.; Ricci, D.R.; Djurdjev, O.; Tinckam, K.J.; Penn, I.M.; Fox, R.S.; Stevens, L.A.; Duncan, J.A.; et al. The Profile of Cardiac Patients with Renal Artery Stenosis. J. Am. Coll. Cardiol. 2004, 43, 1606–1613. [Google Scholar] [CrossRef] [PubMed]
- De Mast, Q.; Beutler, J.J. The Prevalence of Atherosclerotic Renal Artery Stenosis in Risk Groups: A Systematic Literature Review. J. Hypertens. 2009, 27, 1333–1340. [Google Scholar] [CrossRef]
- Gunawardena, T. Atherosclerotic Renal Artery Stenosis: A Review. AORTA 2021, 9, 95–99. [Google Scholar] [CrossRef]
- Przewlocki, T.; Kablak-Ziembicka, A.; Tracz, W.; Kopec, G.; Rubis, P.; Pasowicz, M.; Musialek, P.; Kostkiewicz, M.; Kozanecki, A.; Stompór, T.; et al. Prevalence and Prediction of Renal Artery Stenosis in Patients with Coronary and Supraaortic Artery Atherosclerotic Disease. Nephrol. Dial. Transplant. 2008, 23, 580–585. [Google Scholar] [CrossRef]
- van Jaarsveld, B.C.; Krijnen, P.; Pieterman, H.; Derkx, F.H.M.; Deinum, J.; Postma, C.T.; Dees, A.; Woittiez, A.J.J.; Bartelink, A.K.M.; Man in `t Veld, A.J.; et al. The Effect of Balloon Angioplasty on Hypertension in Atherosclerotic Renal-Artery Stenosis. Dutch Renal Artery Stenosis Intervention Cooperative Study Group. N. Engl. J. Med. 2000, 342, 1007–1014. [Google Scholar] [CrossRef]
- Olin, J.W.; Piedmonte, M.R.; Young, J.R.; DeAnna, S.; Grubb, M.; Childs, M.B. The Utility of Duplex Ultrasound Scanning of the Renal Arteries for Diagnosing Significant Renal Artery Stenosis. Ann. Intern. Med. 1995, 122, 833–838. [Google Scholar] [CrossRef]
- Wang, X.; Cai, S.; Wang, H.; Li, J.; Yang, Y. Deep-learning-based renal artery stenosis diagnosis via multimodal fusion. J. Appl. Clin. Med. Phys. 2024, e14298, Epub ahead of print. [Google Scholar] [CrossRef]
- Orman, G.; Masand, P.M.; Kukreja, K.U.; Acosta, A.A.; Guillerman, R.P.; Jadhav, S.P. Diagnostic sensitivity and specificity of CT angiography for renal artery stenosis in children. Pediatr. Radiol. 2021, 51, 419–426. [Google Scholar] [CrossRef]
- Flors, L.; Leiva-Salinas, C.; Ahmad, E.A.; Norton, P.T.; Turba, U.C.; Bozlar, U.; Hagspiel, K.D. MD CT angiography and MR angiography of nonatherosclerotic renal artery disease. Cardiovasc. Interv. Radiol. 2011, 34, 1151–1164. [Google Scholar] [CrossRef] [PubMed]
- Guo, X.; Gong, Y.; Wu, Z.; Yan, F.; Ding, X.; Xu, X. Renal artery assessment with non-enhanced MR angiography versus digital subtraction angiography: Comparison between 1.5 and 3.0 T. Eur. Radiol. 2020, 30, 1747–1754. [Google Scholar] [CrossRef]
- Hirsch, A.T.; Haskal, Z.J.; Hertzer, N.R.; Bakal, C.W.; Creager, M.A.; Halperin, J.L.; Hiratzka, L.F.; Murphy, W.R.C.; Olin, J.W.; Puschett, J.B.; et al. ACC/AHA 2005 Practice Guidelines for the Management of Patients With Peripheral Arterial Disease (Lower Extremity, Renal, Mesenteric, and Abdominal Aortic). Circulation 2006, 113, e463–e654. [Google Scholar] [CrossRef] [PubMed]
- Chrysochou, C.; Foley, R.N.; Young, J.F.; Khavandi, K.; Cheung, C.M.; Kalra, P.A. Dispelling the Myth: The Use of Renin-Angiotensin Blockade in Atheromatous Renovascular Disease. Nephrol. Dial. Transplant. 2012, 27, 1403–1409. [Google Scholar] [CrossRef]
- Losito, A.; Errico, R.; Santirosi, P.; Lupattelli, T.; Scalera, G.B.; Lupattelli, L. Long-Term Follow-up of Atherosclerotic Renovascular Disease. Beneficial Effect of ACE Inhibition. Nephrol. Dial. Transplant. 2005, 20, 1604–1609. [Google Scholar] [CrossRef]
- Cheung, C.M.; Patel, A.; Shaheen, N.; Cain, S.; Eddington, H.; Hegarty, J.; Middleton, R.J.; Cowie, A.; Mamtora, H.; Kalra, P.A. The Effects of Statins on the Progression of Atherosclerotic Renovascular Disease. Nephron Clin. Pract. 2007, 107, c35–c42. [Google Scholar] [CrossRef]
- De Silva, R.; Nikitin, N.P.; Bhandari, S.; Nicholson, A.; Clark, A.L.; Cleland, J.G.F. Atherosclerotic Renovascular Disease in Chronic Heart Failure: Should We Intervene? Eur. Heart J. 2005, 26, 1596–1605. [Google Scholar] [CrossRef]
- Bates, M.C.; Campbell, J.E.; Stone, P.A.; Jaff, M.R.; Broce, M.; Lavigne, P.S. Factors affecting long-term survival following renal artery stenting. Catheter Cardiovasc. Interv. 2007, 69, 1037–1043. [Google Scholar] [CrossRef]
- Hackam, D.G.; Wu, F.; Li, P.; Austin, P.C.; Tobe, S.W.; Mamdani, M.M.; Garg, A.X. Statins and Renovascular Disease in the Elderly: A Population-Based Cohort Study. Eur. Heart J. 2011, 32, 598–610. [Google Scholar] [CrossRef]
- Hackam, D.G.; Duong-Hua, M.L.; Mamdani, M.; Li, P.; Tobe, S.W.; Spence, J.D.; Garg, A.X. Angiotensin Inhibition in Renovascular Disease: A Population-Based Cohort Study. Am. Heart J. 2008, 156, 549–555. [Google Scholar] [CrossRef] [PubMed]
- Deshmukh, H.; Barker, E.; Anbarasan, T.; Levin, D.; Bell, S.; Witham, M.D.; George, J. Calcium Channel Blockers Are Associated with Improved Survival and Lower Cardiovascular Mortality in Patients with Renovascular Disease. Cardiovasc. Ther. 2018, 36, e12474. [Google Scholar] [CrossRef] [PubMed]
- Ritchie, J.; Green, D.; Alderson, H.V.; Chrysochou, C.; Vassallo, D.; Sinha, S.; Kalra, P.A. Associations of Antiplatelet Therapy and Beta Blockade with Patient Outcomes in Atherosclerotic Renovascular Disease. J. Am. Soc. Hypertens. 2016, 10, 149–158.e3. [Google Scholar] [CrossRef]
- Badacz, R.; Kabłak-Ziembicka, A.; Rosławiecka, A.; Rzeźnik, D.; Baran, J.; Trystuła, M.; Legutko, J.; Przewłocki, T. The Maintained Glycemic Target Goal and Renal Function Are Associated with Cardiovascular and Renal Outcomes in Diabetic Patients Following Stent-Supported Angioplasty for Renovascular Atherosclerotic Disease. J. Pers. Med. 2022, 12, 537. [Google Scholar] [CrossRef]
- Moura, F.A.; Berg, D.D.; Bellavia, A.; Dwyer, J.P.; Mosenzon, O.; Scirica, B.M.; Wiviott, S.D.; Bhatt, D.L.; Raz, I.; Feinberg, M.W.; et al. Risk Assessment of Kidney Disease Progression and Efficacy of SGLT2 Inhibition in Patients With Type 2 Diabetes. Diabetes Care 2023, 46, 1807–1815. [Google Scholar] [CrossRef]
- Leertouwer, T.C.; Gussenhoven, E.J.; Bosch, J.L.; Van Jaarsveld, B.C.; Van Dijk, L.C.; Deinum, J.; Manin’t Veld, A.J. Stent Placement for Renal Arterial Stenosis: Where Do We Stand? A Meta-Analysis. Radiology 2000, 216, 78–85. [Google Scholar] [CrossRef] [PubMed]
- Bhalla, V.; Textor, S.C.; Beckman, J.A.; Casanegra, A.I.; Cooper, C.J.; Kim, E.S.H.; Luther, J.M.; Misra, S.; Oderich, G.S. Revascularization for Renovascular Disease: A Scientific Statement From the American Heart Association. Hypertension 2022, 79, E128–E143. [Google Scholar] [CrossRef]
- Caielli, P.; Frigo, A.C.; Pengo, M.F.; Rossitto, G.; Maiolino, G.; Seccia, T.M.; Calò, L.A.; Miotto, D.; Rossi, G.P. Treatment of Atherosclerotic Renovascular Hypertension: Review of Observational Studies and a Meta-Analysis of Randomized Clinical Trials. Nephrol. Dial. Transplant. 2015, 30, 541–553. [Google Scholar] [CrossRef] [PubMed]
- Kane, G.C.; Xu, N.; Mistrik, E.; Roubicek, T.; Stanson, A.W.; Garovic, V.D. Renal Artery Revascularization Improves Heart Failure Control in Patients with Atherosclerotic Renal Artery Stenosis. Nephrol. Dial. Transplant. 2010, 25, 813–820. [Google Scholar] [CrossRef]
- Ritchie, J.; Green, D.; Chrysochou, C.; Chalmers, N.; Foley, R.N.; Kalra, P.A. High-Risk Clinical Presentations in Atherosclerotic Renovascular Disease: Prognosis and Response to Renal Artery Revascularization. Am. J. Kidney Dis. 2014, 63, 186–197. [Google Scholar] [CrossRef] [PubMed]
- Kabłak-Ziembicka, A.; Rosławiecka, A.; Badacz, R.; Sokołowski, A.; Rzeźnik, D.; Trystuła, M.; Musiałek, P.; Przewłocki, T. Simple Clinical Scores to Predict Blood Pressure and Renal Function Response to Renal Artery Stenting for Atherosclerotic Renal Artery Stenosis. Pol. Arch. Intern. Med. 2020, 130, 953–959. [Google Scholar] [CrossRef]
- Rosławiecka, A.; Kabłak-Ziembicka, A.; Rzeźnik, D.; Pieniązek, P.; Badacz, R.; Trystuła, M.; Przewłocki, T. Determinants of Long-Term Outcome in Patients after Percutaneous Stent-Assisted Intervention for Renal Artery Steno-Occlusive Atherosclerotic Disease. Pol. Arch. Intern. Med. 2019, 129, 747–760. [Google Scholar] [CrossRef]
- De Weerd, M.; Greving, J.P.; De Jong, A.W.F.; Buskens, E.; Bots, M.L. Prevalence of Asymptomatic Carotid Artery Stenosis According to Age and Sex: Systematic Review and Metaregression Analysis. Stroke 2009, 40, 1105–1113. [Google Scholar] [CrossRef] [PubMed]
- Van Oostrom, O.; Velema, E.; Schoneveld, A.H.; De Vries, J.P.P.M.; De Bruin, P.; Seldenrijk, C.A.; De Kleijn, D.P.V.; Busser, E.; Moll, F.L.; Verheijen, J.H.; et al. Age-Related Changes in Plaque Composition: A Study in Patients Suffering from Carotid Artery Stenosis. Cardiovasc. Pathol. 2005, 14, 126–134. [Google Scholar] [CrossRef]
- Heo, S.H.; Bushnell, C.D. Factors Influencing Decision Making for Carotid Endarterectomy versus Stenting in the Very Elderly. Front. Neurol. 2017, 8, 220. [Google Scholar] [CrossRef] [PubMed]
- Underhill, H.R.; Yuan, C.; Zhao, X.Q.; Kraiss, L.W.; Parker, D.L.; Saam, T.; Chu, B.; Takaya, N.; Liu, F.; Polissar, N.L.; et al. Effect of Rosuvastatin Therapy on Carotid Plaque Morphology and Composition in Moderately Hypercholesterolemic Patients: A High-Resolution Magnetic Resonance Imaging Trial. Am. Heart J. 2008, 155, 584.e1–584.e8. [Google Scholar] [CrossRef]
- Stoll, F.; Eidam, A.; Michael, L.; Bauer, J.M.; Haefeli, W.E. Drug Treatment of Hypercholesterolemia in Older Adults: Focus on Newer Agents. Drugs Aging 2022, 39, 251–256. [Google Scholar] [CrossRef]
- Faggiano, P.; Scodro, M.; Sbolli, M.; Branca, L.; Cani, D.; Valentini, F.; Perego, C.; Provini, M. Blood Pressure Control in Older Patients with Carotid Artery Stenosis. Monaldi Arch. Chest Dis. 2018, 88, 41–43. [Google Scholar] [CrossRef]
- Klimontov, V.V.; Koroleva, E.A.; Khapaev, R.S.; Korbut, A.I.; Lykov, A.P. Carotid Artery Disease in Subjects with Type 2 Diabetes: Risk Factors and Biomarkers. J. Clin. Med. 2021, 11, 72. [Google Scholar] [CrossRef]
- Marquardt, L.; Geraghty, O.C.; Mehta, Z.; Rothwell, P.M. Low risk of ipsilateral stroke in patients with asymptomatic carotid stenosis on best medical treatment: A prospective, population-based study. Stroke 2010, 41, e11–e17. [Google Scholar] [CrossRef]
- Abbott, A.L. Medical (nonsurgical) intervention alone is now best for prevention of stroke associated with asymptomatic severe carotid stenosis: Results of a systematic review and analysis. Stroke 2009, 40, e573–e583. [Google Scholar] [CrossRef]
- Narins, C.R.; Illig, K.A. Patient Selection for Carotid Stenting versus Endarterectomy: A Systematic Review. J. Vasc. Surg. 2006, 44, 661–672. [Google Scholar] [CrossRef]
- Roffi, M.; Mukherjee, D.; Clair, D.G. Carotid artery stenting vs. endarterectomy. Eur. Heart J. 2009, 30, 2693–2704. [Google Scholar] [CrossRef]
- Bonati, L.H.; Dobson, J.; Featherstone, R.L.; Ederle, J.; Van Der Worp, H.B.; De Borst, G.J.; Mali, W.P.T.M.; Beard, J.D.; Cleveland, T.; Engelter, S.T.; et al. Long-Term Outcomes after Stenting versus Endarterectomy for Treatment of Symptomatic Carotid Stenosis: The International Carotid Stenting Study (ICSS) Randomised Trial. Lancet 2015, 385, 529–538. [Google Scholar] [CrossRef]
- Kernan, W.N.; Ovbiagele, B.; Black, H.R.; Bravata, D.M.; Chimowitz, M.I.; Ezekowitz, M.D.; Fang, M.C.; Fisher, M.; Furie, K.L.; Heck, D.V.; et al. Guidelines for the Prevention of Stroke in Patients with Stroke and Transient Ischemic Attack: A Guideline for Healthcare Professionals from the American Heart Association/American Stroke Association. Stroke 2014, 45, 2160–2236. [Google Scholar] [CrossRef]
- Pandit, V.; Lee, A.; Zeeshan, M.; Goshima, K.; Tan, T.-W.; Jhajj, S.; Trinidad, B.; Weinkauf, C.; Zhou, W. Effect of Frailty Syndrome on the Outcomes of Patients with Carotid Stenosis. J. Vasc. Surg. 2020, 71, 1595–1600. [Google Scholar] [CrossRef] [PubMed]
- Ballotta, E.; Toniato, A.; Da Roit, A.; Lorenzetti, R.; Piatto, G.; Baracchini, C. Carotid Endarterectomy for Asymptomatic Carotid Stenosis in the Very Elderly. J. Vasc. Surg. 2015, 61, 382–388. [Google Scholar] [CrossRef] [PubMed]
- Chiam, P.T.L.; Roubin, G.S.; Panagopoulos, G.; Iyer, S.S.; Green, R.M.; Brennan, C.; Vitek, J.J. One-Year Clinical Outcomes, Midterm Survival, and Predictors of Mortality after Carotid Stenting in Elderly Patients. Circulation 2009, 119, 2343–2348. [Google Scholar] [CrossRef] [PubMed]
- Grant, A.; White, C.; Ansel, G.; Bacharach, M.; Metzger, C.; Velez, C. Safety and Efficacy of Carotid Stenting in the Very Elderly. Catheter. Cardiovasc. Interv. 2010, 75, 651–655. [Google Scholar] [CrossRef] [PubMed]
- Dzierwa, K.; Pieniazek, P.; Tekieli, L.; Musialek, P.; Przewlocki, T.; Kablak-Ziembicka, A.; Kosobucka-Peszat, R.; Machnik, R.; Trystula, M.; Podolec, P. Carotid Artery Stenting According to the “Tailored CAS” Algorithm Performed in the Very Elderly Patients: The Thirty Day Outcome. Catheter. Cardiovasc. Interv. 2013, 82, 681–688. [Google Scholar] [CrossRef]
- Paraskevas, K.I.; Mikhailidis, D.P.; Spinelli, F.; Faggioli, G.; Saba, L.; Silvestrini, M.; Svetlikov, A.; Stilo, F.; Pini, R.; Myrcha, P.; et al. Asymptomatic Carotid Stenosis and Cognitive Impairment. J. Cardiovasc. Surg. 2023, 64, 167–173. [Google Scholar] [CrossRef] [PubMed]
- Nichols, E.; Steinmetz, J.D.; Vollset, S.E.; Fukutaki, K.; Chalek, J.; Abd-Allah, F.; Abdoli, A.; Abualhasan, A.; Abu-Gharbieh, E.; Akram, T.T.; et al. Estimation of the Global Prevalence of Dementia in 2019 and Forecasted Prevalence in 2050: An Analysis for the Global Burden of Disease Study 2019. Lancet Public Health 2022, 7, e105–e125. [Google Scholar] [CrossRef]
- Krasteva, M.P.; Lau, K.K.; Mordasini, P.; Tsang, A.C.O.; Heldner, M.R. Intracranial Atherosclerotic Stenoses: Pathophysiology, Epidemiology, Risk Factors and Current Therapy Options. Adv. Ther. 2020, 37, 1829–1865. [Google Scholar] [CrossRef]
- Zhang, Y.R.; Xu, W.; Zhang, W.; Wang, H.F.; Ou, Y.N.; Qu, Y.; Shen, X.N.; Chen, S.D.; Wu, K.M.; Zhao, Q.H.; et al. Modifiable Risk Factors for Incident Dementia and Cognitive Impairment: An Umbrella Review of Evidence. J. Affect. Disord. 2022, 314, 160–167. [Google Scholar] [CrossRef] [PubMed]
- Purandare, N. Preventing Dementia: Role of Vascular Risk Factors and Cerebral Emboli. Br. Med. Bull. 2009, 91, 49–59. [Google Scholar] [CrossRef]
- Baran, J.; Przewłocki, T.; Podolec, J.; Gryglicka, K.; Badacz, R.; Gackowski, A.; Pieniązek, P.; Legutko, J.; Zmudka, K.; Kabłak-Ziembicka, A. Assessment of the Willis Circle Flow Changes and the Severity of Degenerative Aortic Stenosis and Cognitive Impairment. Kardiol. Pol. 2021, 79, 46–52. [Google Scholar] [CrossRef] [PubMed]
- Forette, F.; Seux, M.L.; Staessen, J.A.; Thijs, L.; Babarskiene, M.R.; Babeanu, S.; Bossini, A.; Fagard, R.; Gil-Extremera, B.; Laks, T.; et al. The Prevention of Dementia with Antihypertensive Treatment: New Evidence from the Systolic Hypertension in Europe (Syst-Eur) Study. Arch. Intern. Med. 2002, 162, 2046–2052. [Google Scholar] [CrossRef] [PubMed]
- Hu, W.; Li, Y.; Zhao, Y.; Dong, Y.; Cui, Y.; Sun, S.; Gong, G.; Zhang, H.; Chai, Q.; Wang, J.; et al. Telmisartan and Rosuvastatin Synergistically Ameliorate Dementia and Cognitive Impairment in Older Hypertensive Patients With Apolipoprotein E Genotype. Front. Aging Neurosci. 2020, 12, 154. [Google Scholar] [CrossRef] [PubMed]
- Munsch, F.; Sagnier, S.; Asselineau, J.; Bigourdan, A.; Guttmann, C.R.; Debruxelles, S.; Poli, M.; Renou, P.; Perez, P.; Dousset, V.; et al. Stroke Location Is an Independent Predictor of Cognitive Outcome. Stroke 2016, 47, 66–73. [Google Scholar] [CrossRef] [PubMed]
- Condefer, K.A.; Haworth, J.; Wilcock, G.K. Clinical Utility of Computed Tomography in the Assessment of Dementia: A Memory Clinic Study. Int. J. Geriatr. Psychiatry 2004, 19, 414–421. [Google Scholar] [CrossRef] [PubMed]
- O’Brien, J.; Baerlocher, M.O.; Asch, M.; Myers, A. Role of Radiology in Geriatric Care: A Primer for Family Physicians. Can. Fam. Physician 2009, 55, 32–37. [Google Scholar] [PubMed]
- Aoki, B.B.; Fram, D.; Taminato, M.; Batista, R.E.S.; Belasco, A.; Barbosa, D.A. Acute Kidney Injury after Contrast-Enhanced Examination among Elderly. Rev. Lat. Am. Enferm. 2014, 22, 637–644. [Google Scholar] [CrossRef] [PubMed]
- Qu, H.; Gao, Y.; Li, M.; Zhai, S.; Zhang, M.; Lu, J. Dual Energy Computed Tomography of Internal Carotid Artery: A Modified Dual-Energy Algorithm for Calcified Plaque Removal, Compared With Digital Subtraction Angiography. Front. Neurol. 2021, 11, 621202. [Google Scholar] [CrossRef]
- Fu, J.; Lin, Z.; Zhang, B.; Song, L.; Qin, N.; Qiu, J.; Yang, M.; Zou, Y. Magnetic Resonance Imaging in Atherosclerotic Renal Artery Stenosis: The Update and Future Directions from Interventional Perspective. Kidney Dis. 2023, 10, 23–31. [Google Scholar] [CrossRef]
- Thinggaard, M.; McGue, M.; Jeune, B.; Osler, M.; Vaupel, J.W.; Christensen, K. Survival Prognosis in Very Old Adults. J. Am. Geriatr. Soc. 2016, 64, 81–88. [Google Scholar] [CrossRef]
- Yu, W.; Ren, C.; Ji, X. A Review of Remote Ischemic Conditioning as a Potential Strategy for Neural Repair Poststroke. CNS Neurosci. Ther. 2023, 29, 516–524. [Google Scholar] [CrossRef]
- England, T.J.; Hedstrom, A.; O’Sullivan, S.; Donnelly, R.; Barrett, D.A.; Sarmad, S.; Sprigg, N.; Bath, P.M. RECAST (Remote Ischemic Conditioning After Stroke Trial): A Pilot Randomized Placebo Controlled Phase II Trial in Acute Ischemic Stroke. Stroke 2017, 48, 1412–1415. [Google Scholar] [CrossRef]
- Baran, J.; Podolec, J.; Tomala, M.T.; Nawrotek, B.; Niewiara, Ł.; Gackowski, A.; Przewłocki, T.; Żmudka, K.; Kabłak-Ziembicka, A. Increased risk profile in the treatment of patients with symptomatic degenerative aortic valve stenosis over the last 10 years. Adv. Interv. Cardiol. 2018, 14, 276–284. [Google Scholar] [CrossRef]
- Pacinella, G.; Ciaccio, A.M.; Tuttolomondo, A. Endothelial Dysfunction and Chronic Inflammation: The Cornerstones of Vascular Alterations in Age-Related Diseases. Int. J. Mol. Sci. 2022, 23, 15722. [Google Scholar] [CrossRef] [PubMed]
- Gusev, E.; Sarapultsev, A. Atherosclerosis and Inflammation: Insights from the Theory of General Pathological Processes. Int. J. Mol. Sci. 2023, 24, 7910. [Google Scholar] [CrossRef] [PubMed]
- Buckland, G.; Northstone, K.; Emmett, P.M.; Taylor, C.M. Associations of childhood diet quality scores with arterial stiffness and carotid artery intima-media thickness in adolescence/early adulthood: Findings from the ALSPAC cohort. Br. J. Nutr. 2024, 131, 720–735. [Google Scholar] [CrossRef] [PubMed]
- Huang, Y.; Song, C.; He, J.; Li, M. Research progress in endothelial cell injury and repair. Front. Pharmacol. 2022, 13, 997272. [Google Scholar] [CrossRef] [PubMed]
- Madrigal-Matute, J.; de Bruijn, J.; van Kuijk, K.; Riascos-Bernal, D.F.; Diaz, A.; Tasset, I.; Martín-Segura, A.; Gijbels, M.J.J.; Sander, B.; Kaushik, S.; et al. Protective role of chaperone-mediated autophagy against atherosclerosis. Proc. Natl. Acad. Sci. USA 2022, 119, e2121133119. [Google Scholar] [CrossRef]
- Luo, R.F.; Wang, J.H.; Hu, L.J.; Fu, Q.A.; Zhang, S.Y.; Jiang, L. Applications of machine learning in familial hypercholesterolemia. Front. Cardiovasc. Med. 2023, 10, 1237258. [Google Scholar] [CrossRef]
- Masi, D.; Zilich, R.; Candido, R.; Giancaterini, A.; Guaita, G.; Muselli, M.; Ponzani, P.; Santin, P.; Verda, D.; Musacchio, N.; et al. Uncovering Predictors of Lipid Goal Attainment in Type 2 Diabetes Outpatients Using Logic Learning Machine: Insights from the AMD Annals and AMD Artificial Intelligence Study Group. J. Clin. Med. 2023, 12, 4095. [Google Scholar] [CrossRef]
- Phrommintikul, A.; Krittayaphong, R.; Wongcharoen, W.; Yamwong, S.; Boonyaratavej, S.; Kunjara-Na-Ayudhya, R.; Tatsanavivat, P.; Sritara, P.; CORE-Thailand Investigators. Management of atherosclerosis risk factors for patients at high cardiovascular risk in real-world practice: A multicentre study. Singap. Med. J. 2017, 58, 535–542. [Google Scholar] [CrossRef]
- Brandts, J.; Bray, S.; Villa, G.; Catapano, A.L.; Poulter, N.R.; Vallejo-Vaz, A.J.; Ray, K.K.; DA VINCI Study Group. Optimal implementation of the 2019 ESC/EAS dyslipidaemia guidelines in patients with and without atherosclerotic cardiovascular disease across Europe: A simulation based on the DA VINCI study. Lancet Reg. Health Eur. 2023, 31, 100665. [Google Scholar] [CrossRef]
- Cao, Y.; Zhao, H.; Meng, F.; Deng, Q.; Cai, L.; Guo, X.; Chen, Y.; Yang, X.; Xie, Z.; Yi, G.; et al. Exploring the shared molecular mechanism of microvascular and macrovascular complications in diabetes: Seeking the hub of circulatory system injury. Front. Endocrinol. 2023, 14, 1032015. [Google Scholar]
- Cheung, J.T.K.; Yu, R.; Wu, Z.; Wong, S.Y.S.; Woo, J. Geriatric syndromes, multimorbidity, and disability overlap and increase healthcare use among older Chinese. BMC Geriatr. 2018, 18, 147. [Google Scholar] [CrossRef] [PubMed]
- Schorr, E.N.; Treat-Jacobson, D. Methods of symptom evaluation and their impact on peripheral artery disease (PAD) symptom prevalence: A review. Vasc. Med. 2013, 18, 95–111. [Google Scholar] [CrossRef] [PubMed]
- Kowara, M.; Cudnoch-Jedrzejewska, A. Different Approaches in Therapy Aiming to Stabilize an Unstable Atherosclerotic Plaque. Int. J. Mol. Sci. 2021, 22, 4354. [Google Scholar] [CrossRef]
- Krawczyk-Suszek, M.; Kleinrok, A. Health-Related Quality of Life (HRQoL) of People over 65 Years of Age. Int. J. Environ. Res. Public Health 2022, 19, 625. [Google Scholar] [CrossRef]
- Konrat, C.; Boutron, I.; Trinquart, L.; Auleley, G.R.; Ricordeau, P.; Ravaud, P. Underrepresentation of elderly people in randomised controlled trials. The example of trials of 4 widely prescribed drugs. PLoS ONE 2012, 7, e33559. [Google Scholar] [CrossRef] [PubMed]



| Arterial Territory | Internal Carotid Arteries | Femoral Arteries | Coronary Arteries | Renal Arteries | |
|---|---|---|---|---|---|
| Characteristics | |||||
| Risk factors | Main | Hypertension | Smoking, diabetes, age | Hyperlipidemia | Age, hypertension |
| Others | Hyperlipidemia Age Diabetes Smoking | Hyperlipidemia Male gender | Diabetes Hypertension Male gender Age | Diabetes Hyperlipidemia Smoking | |
| Predominant morphology and pattern of mature atherosclerotic plaque | Large lipid and necrotic core, decreasing thickness of fibrous cap, high infiltration of inflammatory cells, neo-angiogenesis, reduction in smooth muscle cells, propensity for plaque surface ulceration and embolization. | Few lipid and necrotic elements, thick fibrous cap, sparse vasa-vasorum, many smooth muscle cells, limited accumulation of inflammatory cells. | Large lipid and necrotic core, decreasing thickness of fibrous cap, high inflammatory cell infiltration, neo-angiogenesis, reduction in smooth muscle cells, plaque rupture leading to thrombosis and vessel occlusion. | Late manifestation of atherosclerosis, atherosclerotic lesions form at a later age and are therefore ‘young’ despite the older age of the individual. Plaque morphology: infiltration of inflammatory cells, lipid and necrotic core, excessive calcification process. | |
| Diversities in the elderly patients | Severely calcified atherosclerotic lesions; stenosis in more than one carotid/vertebral artery; excessively elongated vessels, often with loop formation or acute angles <90%; high arterial stiffness and raised vascular resistance; atherosclerotic lesions in intracranial segments and cerebral arteries. | Diffuse, multilevel atherosclerotic lesions, also involving the tibiofemoral trunk and arteries below the knee; development of collateral circulation. In diabetics, superimposed lesions of diabetic angiopathy and peripheral neuropathy, hyalinization of the endothelium, ulcerations, trophic changes, reddening of the toes, and gangrene. | Stable atherosclerotic lesions, with a similar degree of progression and lumen reduction to those before age 70, but less prone to rupture and thrombosis. More fibrous components and calcification in plaques, fewer inflammatory cells and lower lipid composition, regression of necrotic and lipid core, better developed peripheral circulation. | Active atherosclerotic lesions, often coexisting with advanced atherosclerotic lesions in the coronary, carotid/vertebral arteries; abdominal aortic aneurysm and Leriche syndrome. | |
| Typical clinical manifestation in the elderly | Often | Dizziness, memory impairment, tinnitus, progressive deterioration of cognitive functions, dementia, general disability, falls and their consequences, increasing frailty syndrome, stroke from large extracranial arteries. | Asymptomatic or mild intermittent claudication, whole-leg fatigue, numbness, leg pain on palpitation, hypoesthesia. | Dyspnea, easy fatigue, palpitations, atrial and ventricular arrhythmia chronic coronary syndrome, increasing symptoms of HF, reduced exercise tolerance. | Sudden worsening of blood pressure control, increasing symptoms of HF, decreased exercise tolerance, angina complaints, escalation of ACEI/ARB doses may cause acute renal failure, progression of of renal failure. |
| Infrequently | Asymptomatic course. | Critical ischemia, acute lower limb ischemia, gangrene, non-healing ulcers, amputation. | Acute coronary syndrome with ST-segment elevation. | Pulmonary flash oedema, chronic coronary syndrome, acute renal failure. | |
| Predominant mechanism of acute ischemia of the supplied organ | Often | Embolization of cerebral arteries, facilitated by the morphology and histopathological composition of the plaque and the distribution of stress shear forces resulting from the anatomy of the carotid artery bulb, 70–80%. | Decrease in blood flow, e.g., due to patient dehydration, infection, or calcification of the intimal layer. Obstruction of small peripheral arteries (favored by diabetes, dialysis). | Acute arterial occlusion due to plaque rupture and thrombus formation, 80–90%, mainly in men, often in women over the age of 60–65 years and above. | Hypertensive crisis, pulmonary oedema, acute circulatory failure. |
| Rarely | Acute arterial occlusion due to plaque rupture and thrombus formation, 10–20%. Hypoperfusion mechanism, 5–10% (older people tend to have well-developed collateral cerebral circulation). | Non-atherosclerotic acute limb ischemia (e.g., cardiogenic embolism—thrombus, myxoma). Plaque rupture and thrombus (usually well-developed collateral circulation protects against acute lower limb ischemia). | Microvascular embolism—ulcerated plaques rich in proteoglycans, 10–20%, common etiology in women before the age of 60–65 years. | Acute renal ischemia—generally renal failure progresses slowly in a chronic manner—it is estimated that in about 20% of chronic dialysis patients, the cause is renal artery stenosis/obstruction. | |
| Warning signs in the elderly | Syncope, loss of consciousness, dysregulation of previously well-controlled blood pressure. Other typical—transient limb weakness, amaurosis fugax, features of facial nerve palsy, hemiparesis. | Forced posture with the lower limb lowered (alleviates subjective symptoms of critical ischemia), inability to put the leg up (increases pain), swelling of the lower limb, ulceration, skin atrophy, redness and gangrene of the fingers. | Chest pain, sweating, pulmonary oedema, new-onset left bundle branch block on ECG, fatigue, nausea, abdominal pain. Chest pain is not always typical and characteristic | Dysregulation of previously well-controlled blood pressure, rapidly progressive renal failure, decreasing renal dimension on subsequent ultrasound examinations, 20–30% decline in eGFR after starting ACEIs, ARBs or SGLT2 inhibitors. | |
| Methods of diagnosing atherosclerotic lesions in older people | Preferred | Doppler-duplex ultrasound—good resolution, no need for a contrast agent. Limitation—calcifications causing an acoustic shadow make it difficult to assess the vessel lumen. CT and MRI of the brain—diagnosis of ischemic lesions. | Doppler-duplex ultrasound—good resolution, no need for a contrast agent. Limitation—calcifications giving an acoustic shadow make it difficult to assess the vessel lumen. ABI indicates lower limb atherosclerosis when it is <0.9, but it is often nondiagnostic in people with diabetes due to intimal calcifications (ABI > 1.4). TBI in patients with diabetes and non-diagnostic ABI (>1.4); TBI < 0.7 is diagnostic for PAD. Pulse oximetry—measurement of blood pressure on the toe—a prognostic indicator of ulcer healing. | Treadmill test—assessment of exercise tolerance and detection of new ischemic changes. Echocardiography—assessment of left ventricular systolic function; wall motion abnormalities; diastolic function; exclusion of intracardiac problems such as thrombus, valve disease, pericardial effusion, features of pulmonary embolism. SPECT—assessment of viability and ischemic area on isotope. | Doppler-duplex ultrasound—good resolution, no need for a contrast agent. Limitation—obesity makes the examination difficult/impossible. |
| Limited | CTA—anatomical assessment, but test affects renal and thyroid function, caution if renal failure with eGFR below 50 mL/min/kg, calcifications make assessment of vascular stenosis difficult. MRA—anatomical assessment, possible assessment of plaque morphology, but long examination, requires administration of gadolinium (caution if eGFR < 30 mL/min); claustrophobia. | CTA—anatomical assessment, but test affects renal and thyroid function; caution if renal failure with eGFR below 50 mL/min/kg, calcifications make assessment of vascular stenosis difficult. MRA—anatomical assessment; possible assessment of plaque morphology, but long examination, requires administration of gadolinium (caution if eGFR < 30 mL/min); claustrophobia. | CTA—anatomical assessment, but test affects renal and thyroid function; caution if renal failure with eGFR below 50 mL/min/kg; calcifications make assessment of vascular stenosis difficult. MRA—anatomical assessment; possible assessment of plaque morphology, but long examination, requires administration of gadolinium (caution if eGFR < 30 mL/min); claustrophobia. | CTA offers anatomical assessment, but it affects renal and thyroid function; caution if renal failure with eGFR below 50 mL/min/kg; calcifications make assessment of vascular stenosis difficult. MRA—anatomical assessment; possible assessment of plaque morphology, but long examination, requires administration of gadolinium (caution if eGFR < 30 mL/min); claustrophobia. Scintigraphy with captopril test—not recommended for diagnosis of RAS (class III recommendation). Renal vein renin activity assessment—not recommended (class III recommendations). | |
Disclaimer/Publisher’s Note: The statements, opinions and data contained in all publications are solely those of the individual author(s) and contributor(s) and not of MDPI and/or the editor(s). MDPI and/or the editor(s) disclaim responsibility for any injury to people or property resulting from any ideas, methods, instructions or products referred to in the content. |
© 2024 by the authors. Licensee MDPI, Basel, Switzerland. This article is an open access article distributed under the terms and conditions of the Creative Commons Attribution (CC BY) license (https://creativecommons.org/licenses/by/4.0/).
Share and Cite
Piechocki, M.; Przewłocki, T.; Pieniążek, P.; Trystuła, M.; Podolec, J.; Kabłak-Ziembicka, A. A Non-Coronary, Peripheral Arterial Atherosclerotic Disease (Carotid, Renal, Lower Limb) in Elderly Patients—A Review: Part I—Epidemiology, Risk Factors, and Atherosclerosis-Related Diversities in Elderly Patients. J. Clin. Med. 2024, 13, 1471. https://doi.org/10.3390/jcm13051471
Piechocki M, Przewłocki T, Pieniążek P, Trystuła M, Podolec J, Kabłak-Ziembicka A. A Non-Coronary, Peripheral Arterial Atherosclerotic Disease (Carotid, Renal, Lower Limb) in Elderly Patients—A Review: Part I—Epidemiology, Risk Factors, and Atherosclerosis-Related Diversities in Elderly Patients. Journal of Clinical Medicine. 2024; 13(5):1471. https://doi.org/10.3390/jcm13051471
Chicago/Turabian StylePiechocki, Marcin, Tadeusz Przewłocki, Piotr Pieniążek, Mariusz Trystuła, Jakub Podolec, and Anna Kabłak-Ziembicka. 2024. "A Non-Coronary, Peripheral Arterial Atherosclerotic Disease (Carotid, Renal, Lower Limb) in Elderly Patients—A Review: Part I—Epidemiology, Risk Factors, and Atherosclerosis-Related Diversities in Elderly Patients" Journal of Clinical Medicine 13, no. 5: 1471. https://doi.org/10.3390/jcm13051471
APA StylePiechocki, M., Przewłocki, T., Pieniążek, P., Trystuła, M., Podolec, J., & Kabłak-Ziembicka, A. (2024). A Non-Coronary, Peripheral Arterial Atherosclerotic Disease (Carotid, Renal, Lower Limb) in Elderly Patients—A Review: Part I—Epidemiology, Risk Factors, and Atherosclerosis-Related Diversities in Elderly Patients. Journal of Clinical Medicine, 13(5), 1471. https://doi.org/10.3390/jcm13051471

