The Use of Clear Aligners in Multi-Segmental Maxillary Surgery: A Case–Control Study in Cleft Lip and Palate and Skeletal Class III Patients
Abstract
1. Introduction
2. Patients and Methods
2.1. Study Sample
2.2. Control Sample
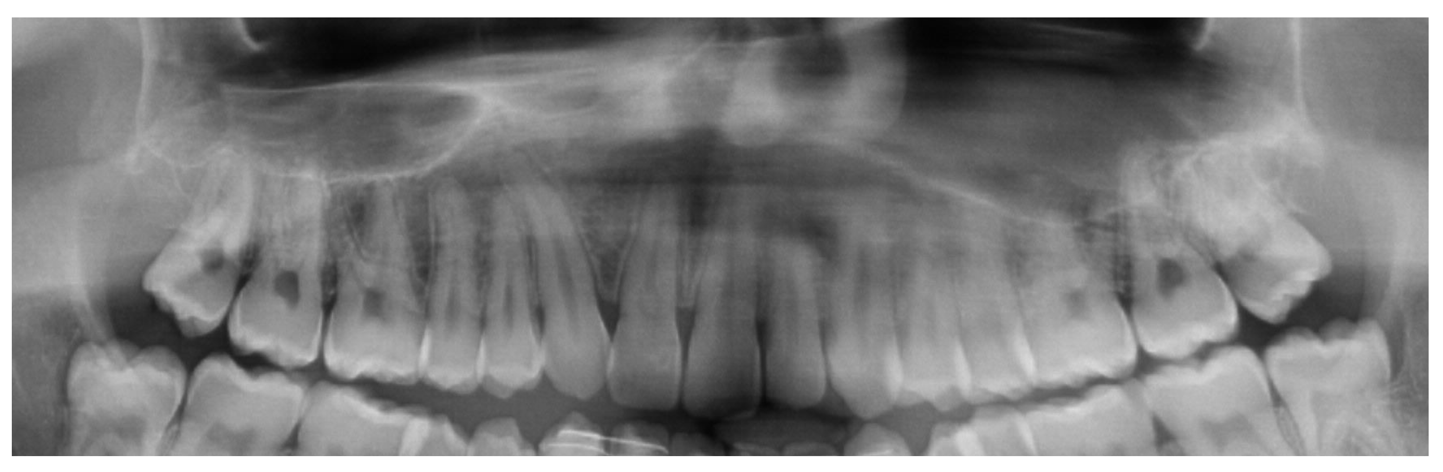
Pre-Surgical Orthodontic Treatment
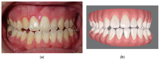
- Conventional fixed appliances technique
- 2.
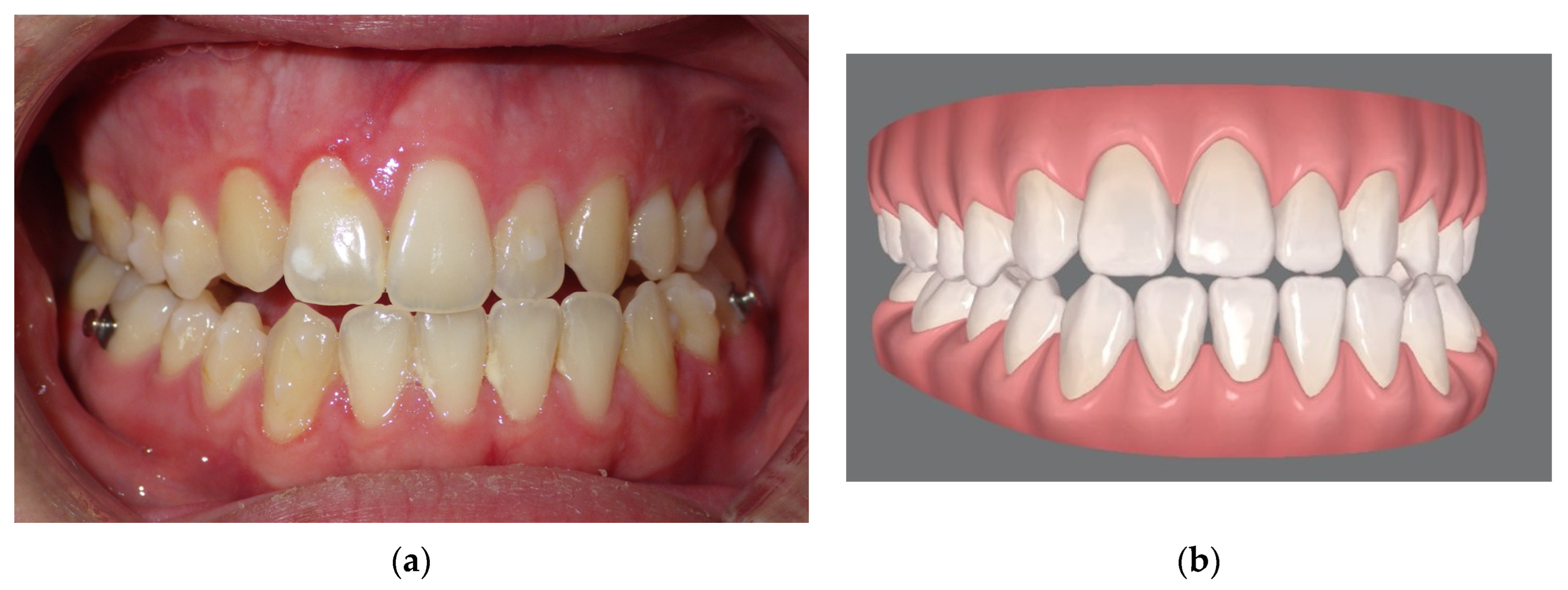
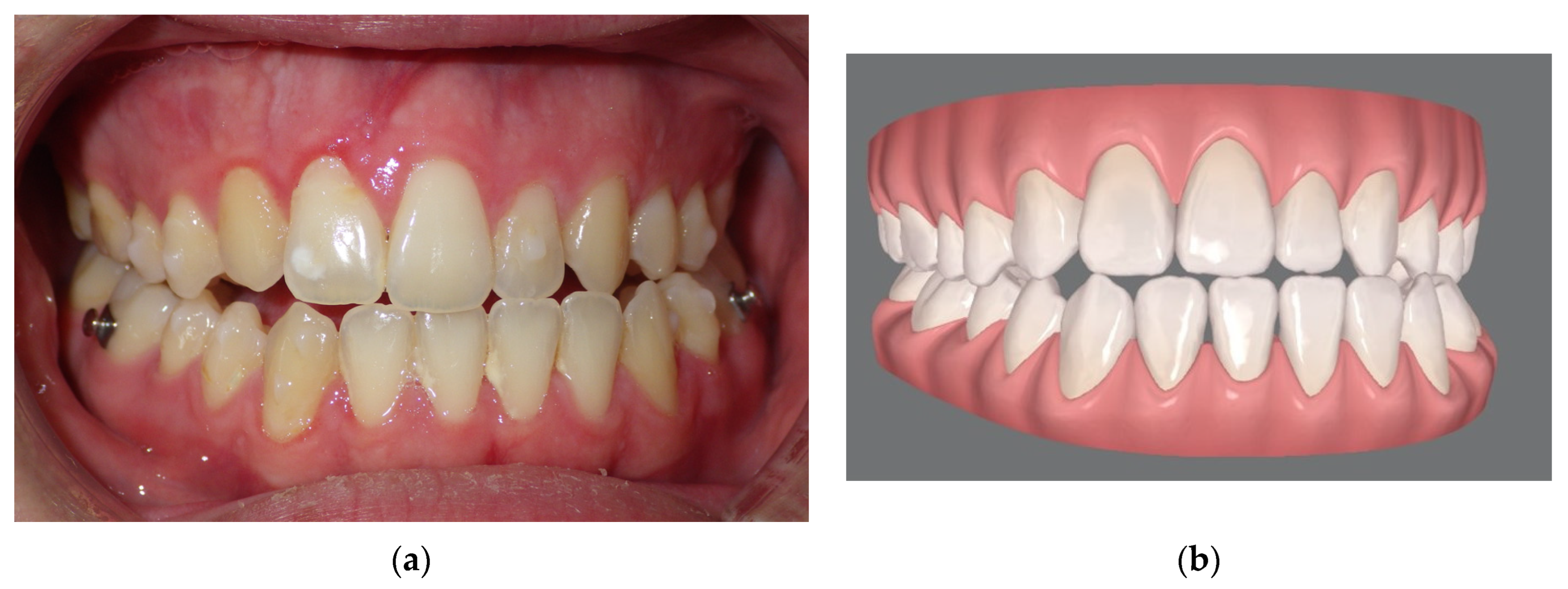
- Clear aligner technique



3. Summary of the Surgical Procedure
4. Results
5. Discussion
6. Conclusions
Author Contributions
Funding
Institutional Review Board Statement
Informed Consent Statement
Data Availability Statement
Acknowledgments
Conflicts of Interest
References
- Lin, X.; Li, H.-Y.; Xie, Q.-T.; Zhang, T.; Huang, X.-P.; Zhou, N. The Soft Tissue Angular Analysis of Facial Profile in Unoperated Adult Patients with Unilateral Cleft Palate. Aesthetic Plast. Surg. 2019, 43, 982–992, Erratum in Aesthetic Plast Surg. 2019, 43, 1423–1427. [Google Scholar] [CrossRef]
- Paknahad, M.M.; Shahidi, S.; Bahrampour, E.; Beladi, A.S.; Khojastepour, L. Cone Beam Computed Tomographic Evaluation of Mandibular Asymmetry in Patients with Cleft Lip and Palate. Cleft Palate-Craniofacial J. 2018, 55, 919–924. [Google Scholar] [CrossRef]
- Wassmund, M. Frakturen und Luxationen des Gesichtsschädels unter Berücksichtigung der Komplikationen des Hirnschädels. Ihre Klinik und Therapie; Meusser: Leipzig, Germany, 1927. [Google Scholar]
- Moorhead, A.; Serra, M. Le Fort Osteotomy; StatPearls Publishing: Treasure Island, FL, USA, 2024. [Google Scholar]
- Meazzini, M.C.; Capello, A.V.; Ventrini, F.; Autelitano, L.; Morabito, A.; Garattini, G.; Brusati, R. Long-Term Follow-Up of UCLP Patients: Surgical and Orthodontic Burden of Care during Growth and Final Orthognathic Surgery Need. Cleft Palate-Craniofacial J. 2015, 52, 688–697. [Google Scholar] [CrossRef]
- Raposo, R.; Peleteiro, B.; Paço, M.; Pinho, T. Orthodontic camouflage versus orthodontic-orthognathic surgical treatment in class II malocclusion: A systematic review and meta-analysis. Int. J. Oral Maxillofac. Surg. 2018, 47, 445–455. [Google Scholar] [CrossRef]
- Kim, H.; Cha, K.-S. Evaluation of the stability of maxillary expansion using cone-beam computed tomography after segmental Le Fort I osteotomy in adult patients with skeletal Class III malocclusion. Korean J. Orthod. 2018, 48, 63–70. [Google Scholar] [CrossRef]
- Tortora, C.; Meazzini, M.C.; Garattini, G.; Brusati, R. Prevalence of Abnormalities in Dental Structure, Position, and Eruption Pattern in a Population of Unilateral and Bilateral Cleft Lip and Palate Patients. Cleft Palate-Craniofacial J. 2008, 45, 154–162. [Google Scholar] [CrossRef] [PubMed]
- Posnick, J.C.; Tompson, B. Modification of the maxillary Le Fort I osteotomy in cleft-orthognathic surgery: The unilateral cleft lip and palate deformity. J. Oral Maxillofac. Surg. 1992, 50, 666–675. [Google Scholar] [CrossRef]
- Susarla, S.M.D.; Ettinger, R.; Preston, K.D.; Kapadia, H.; Egbert, M.A.D. Technical Modifications Specific to the Cleft Le Fort I Osteotomy. J. Craniofacial Surg. 2020, 31, 1459–1463. [Google Scholar] [CrossRef] [PubMed]
- Kacprzak, A.; Strzecki, A. Methods of accelerating orthodontic tooth movement: A review of contemporary literature. Dent. Med. Probl. 2018, 55, 197–206. [Google Scholar] [CrossRef] [PubMed]
- Jeremiah, H.G.; Bister, D.; Newton, J.T. Social perceptions of adults wearing orthodontic appliances: A cross-sectional study. Eur. J. Orthod. 2010, 33, 476–482. [Google Scholar] [CrossRef]
- Meazzini, M.C.; Tortora, C.; Mazzoleni, F.; Autelitano, L. Comparison of Pain Perception in Patients Affected by Cleft and Cranio Facial Anomalies Treated with Traditional Fixed Appliances or Invisalign. Cleft Palate-Craniofacial J. 2019, 57, 35–42. [Google Scholar] [CrossRef]
- Pereira, V.J.; Tuomainen, J.; Hay, N.; Mars, M.; Suchak, A.; Sell, D.A. Effect of Maxillary Osteotomy on Speech in Cleft Lip and Palate: Instrumental Outcomes of Velopharyngeal Function. Cleft Palate-Craniofacial J. 2020, 57, 1320–1331. [Google Scholar] [CrossRef]
- Arnett, G.W.; D’Agostino, A.; Grendene, E.; McLaughlin, R.P.; Trevisiol, L. Combined orthodontic and surgical open bite correction: Principles for success. Part 2. Angle Orthod. 2022, 92, 431–445. [Google Scholar] [CrossRef]
- Posnick, J.C.; Adachie, A.; Choi, E. Segmental Maxillary Osteotomies in Conjunction with Bimaxillary Orthognathic Surgery: Indications—Safety—Outcome. J. Oral Maxillofac. Surg. 2016, 74, 1422–1440. [Google Scholar] [CrossRef]
- She Tsang Tsang, F.; Abunevičiūtė, A.; Fiorelli, G. Visualizing Treatment Objectives and Treatment Planning Using 2D and 3D Occlusograms. In 3D Diagnosis and Treatment Planning in Orthodontics; Retrouvey, J.M., Abdallah, M.N., Eds.; Springer: Cham, Switzerland, 2021. [Google Scholar] [CrossRef]
- Kankam, H.; Madari, S.; Sawh-Martinez, R.; Bruckman, K.C.; Steinbacher, D.M. Comparing Outcomes in Orthognathic Surgery Using Clear Aligners versus Conventional Fixed Appliances. J. Craniofacial Surg. 2019, 30, 1488–1491. [Google Scholar] [CrossRef]
- Galan-Lopez, L.; Barcia-Gonzalez, J.; Plasencia, E. A systematic review of the accuracy and efficiency of dental movements with Invisalign®. Korean J. Orthod. 2019, 49, 140–149. [Google Scholar] [CrossRef] [PubMed]
- Izhar, A.; Singh, G.; Goyal, V.; Singh, R.; Gupta, N.; Pahuja, P. Comparative Assessment of Clinical and Predicted Treatment Outcomes of Clear Aligner Treatment: An In Vivo Study. Turk. J. Orthod. 2019, 32, 229–235. [Google Scholar] [CrossRef] [PubMed]
- Cong, A.; Ruellas, A.C.d.O.; Tai, S.K.; Loh, C.T.; Barkley, M.; Yatabe, M.; Caminiti, M.; Massaro, C.; Bianchi, J.; Deleat-Besson, R.; et al. Presurgical orthodontic decompensation with clear aligners. Am. J. Orthod. Dentofac. Orthop. 2022, 162, 538–553. [Google Scholar] [CrossRef]
- Moshiri, M. Considerations for treatment of patients undergoing orthognathic surgery using clear aligners. AJO-DO Clin. Companion 2022, 2, 229–239. [Google Scholar] [CrossRef]
- Kobayashi, T.; Honma, K.; Nakajima, T.; Hanada, K. Masticatory Function in Patients with Mandibular Prognathism before and After Orthognathic Surgery. J. Oral Maxillofac. Surg. 1993, 51, 997–1001. [Google Scholar] [CrossRef]
- Bollato, B.; Barone, M.; Gracco, A.; Baciliero, U.; Crivellin, G.; Bruno, G.; De Stefani, A. The Accuracy of Jaws Repositioning in Bimaxillary Orthognathic Surgery in Patients with Cleft Lip and Palate Compared to Non-Syndromic Skeletal Class III Patients. J. Clin. Med. 2022, 11, 2675. [Google Scholar] [CrossRef] [PubMed]




Disclaimer/Publisher’s Note: The statements, opinions and data contained in all publications are solely those of the individual author(s) and contributor(s) and not of MDPI and/or the editor(s). MDPI and/or the editor(s) disclaim responsibility for any injury to people or property resulting from any ideas, methods, instructions or products referred to in the content. |
© 2024 by the authors. Licensee MDPI, Basel, Switzerland. This article is an open access article distributed under the terms and conditions of the Creative Commons Attribution (CC BY) license (https://creativecommons.org/licenses/by/4.0/).
Share and Cite
Meazzini, M.C.; Demonte, L.P.; Cohen, N.; Battista, V.M.A.; Rabbiosi, D.; Autelitano, L. The Use of Clear Aligners in Multi-Segmental Maxillary Surgery: A Case–Control Study in Cleft Lip and Palate and Skeletal Class III Patients. J. Clin. Med. 2024, 13, 1329. https://doi.org/10.3390/jcm13051329
Meazzini MC, Demonte LP, Cohen N, Battista VMA, Rabbiosi D, Autelitano L. The Use of Clear Aligners in Multi-Segmental Maxillary Surgery: A Case–Control Study in Cleft Lip and Palate and Skeletal Class III Patients. Journal of Clinical Medicine. 2024; 13(5):1329. https://doi.org/10.3390/jcm13051329
Chicago/Turabian StyleMeazzini, Maria Costanza, Leonardo Paolo Demonte, Noah Cohen, Valeria Marinella Augusta Battista, Dimitri Rabbiosi, and Luca Autelitano. 2024. "The Use of Clear Aligners in Multi-Segmental Maxillary Surgery: A Case–Control Study in Cleft Lip and Palate and Skeletal Class III Patients" Journal of Clinical Medicine 13, no. 5: 1329. https://doi.org/10.3390/jcm13051329
APA StyleMeazzini, M. C., Demonte, L. P., Cohen, N., Battista, V. M. A., Rabbiosi, D., & Autelitano, L. (2024). The Use of Clear Aligners in Multi-Segmental Maxillary Surgery: A Case–Control Study in Cleft Lip and Palate and Skeletal Class III Patients. Journal of Clinical Medicine, 13(5), 1329. https://doi.org/10.3390/jcm13051329

