CT and MR Appearance of Teeth: Analysis of Anatomy and Embryology and Implications for Disease
Abstract
1. Introduction
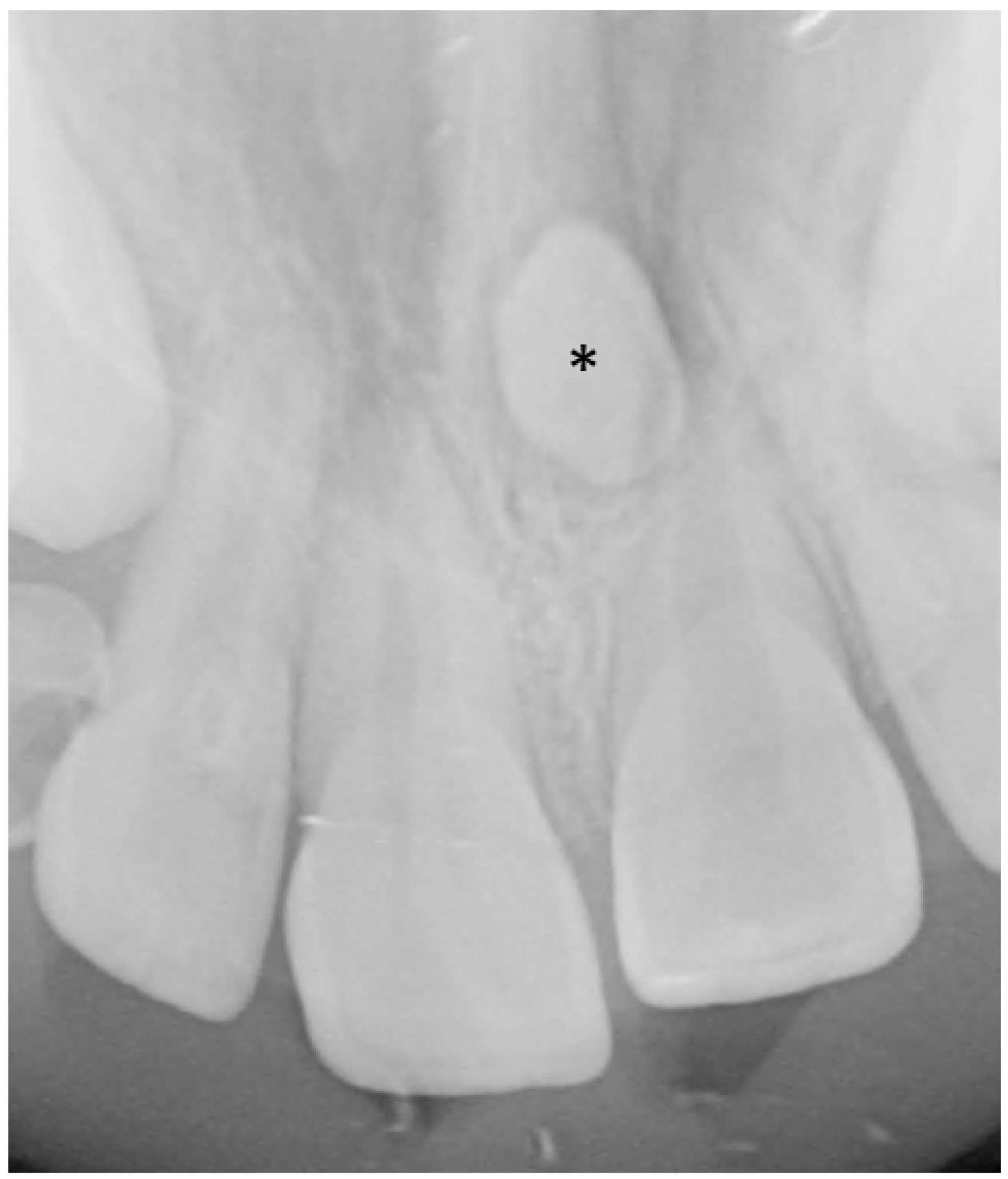
2. Materials and Methods
3. Results
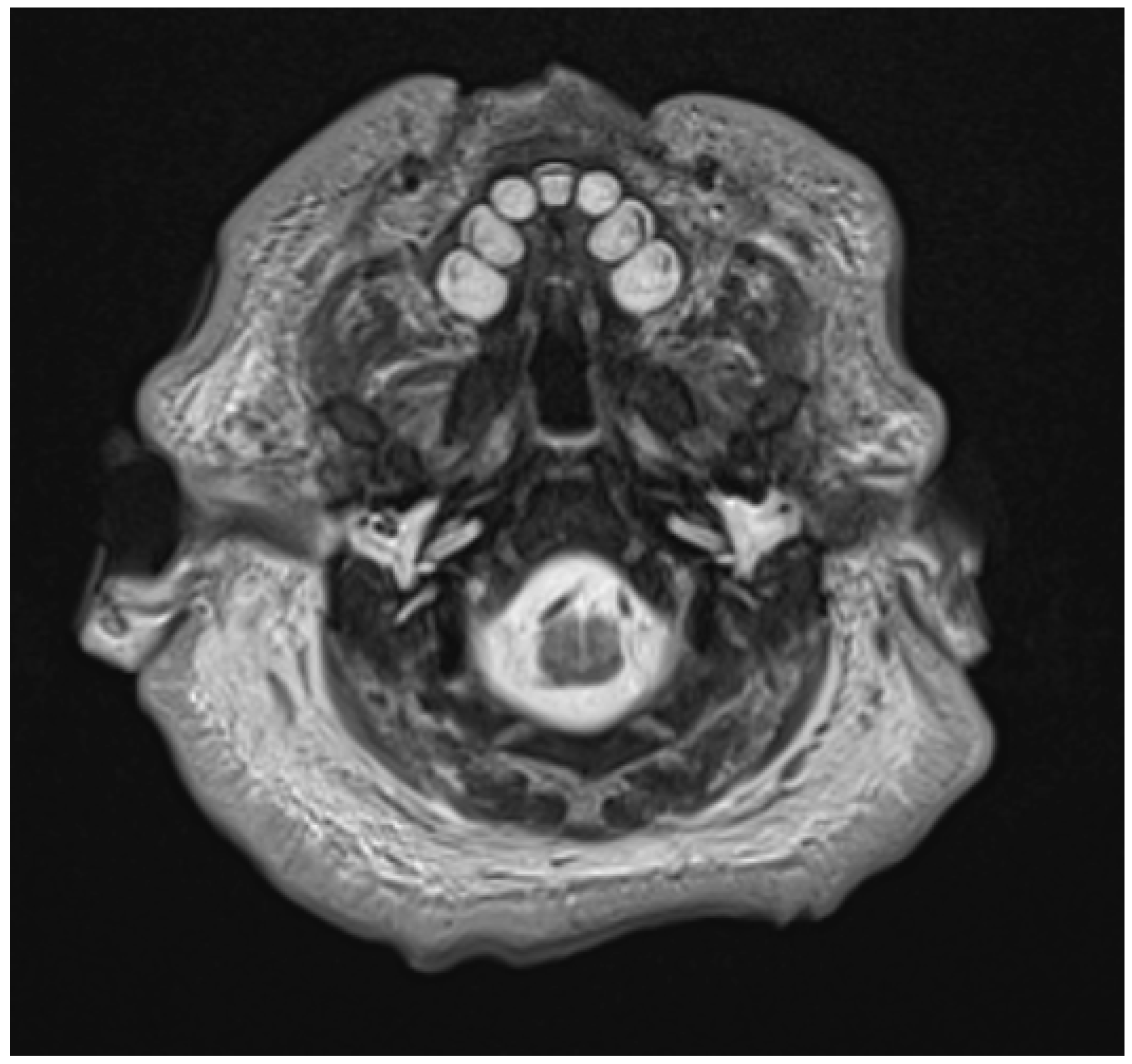
3.1. Anatomy of the Dental Arch
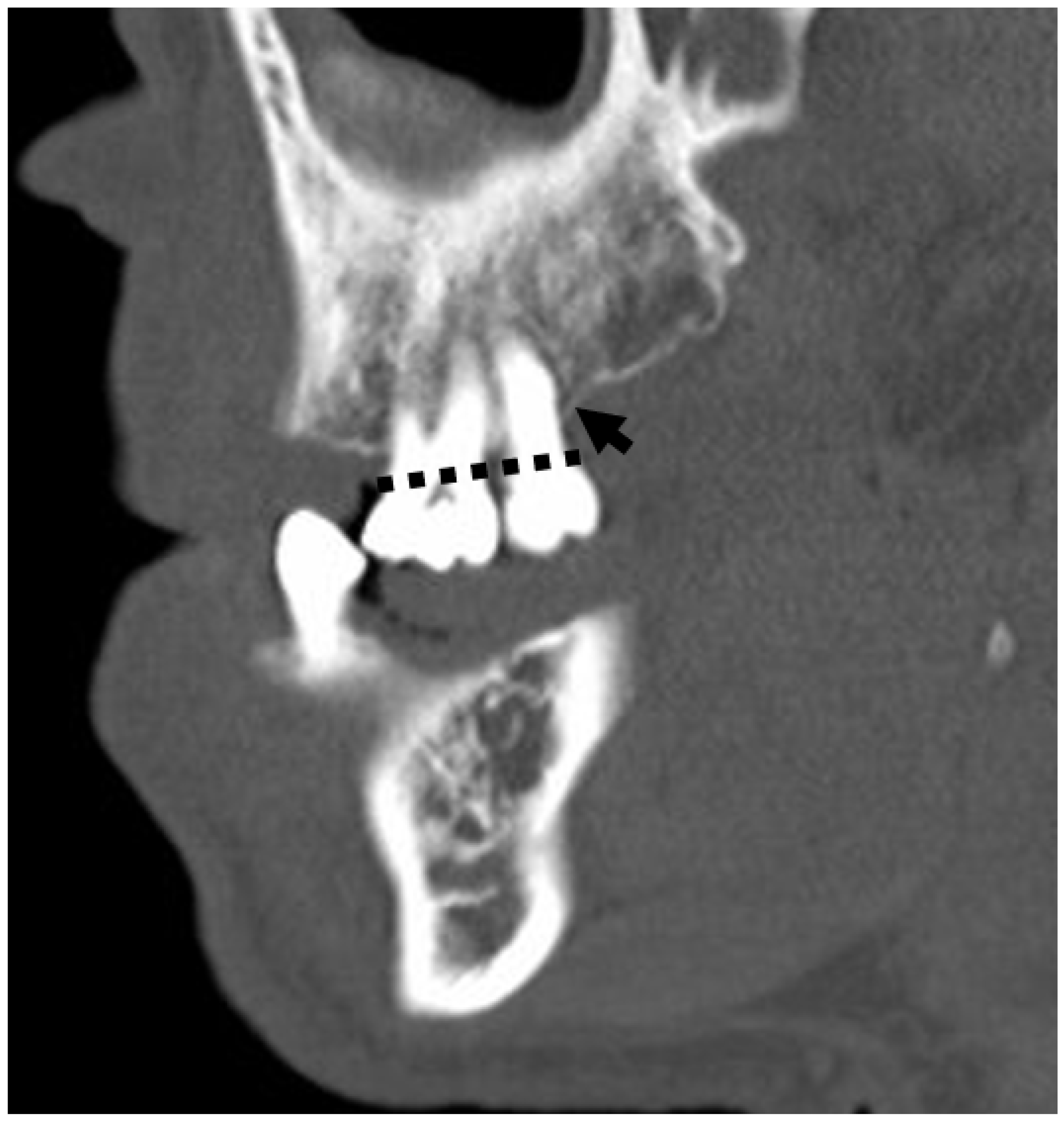
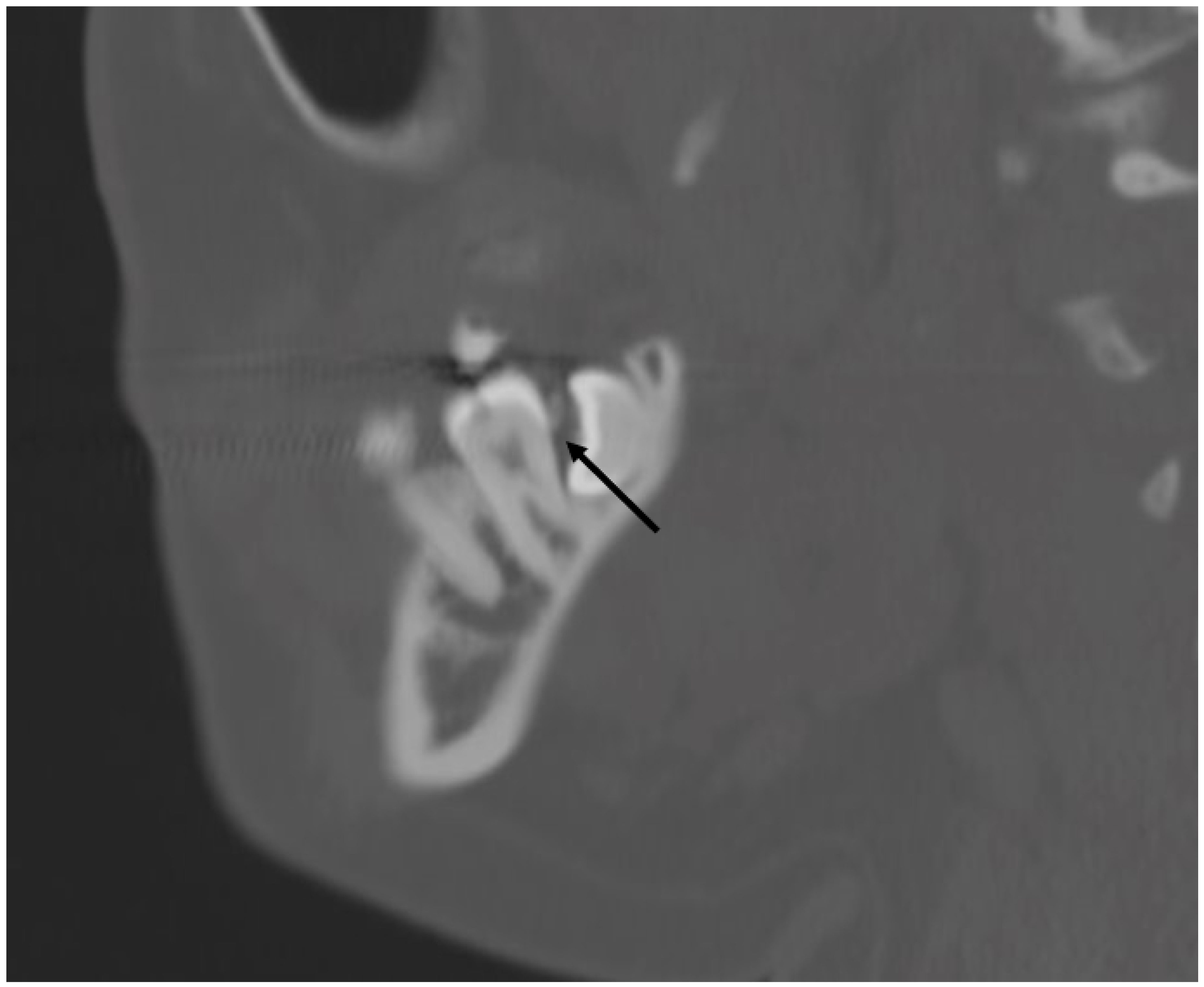
3.1.1. Anatomy of Tooth Structure
3.1.2. Periodontal Tissues
3.2. Dental Development
3.2.1. Initiation of Odontogenesis and Bud Stage
3.2.2. Cap Stage
3.2.3. Bell Stage
3.2.4. Apposition and Maturation
3.2.5. Root Formation
3.2.6. Eruption
3.2.7. Post-Maturation Changes
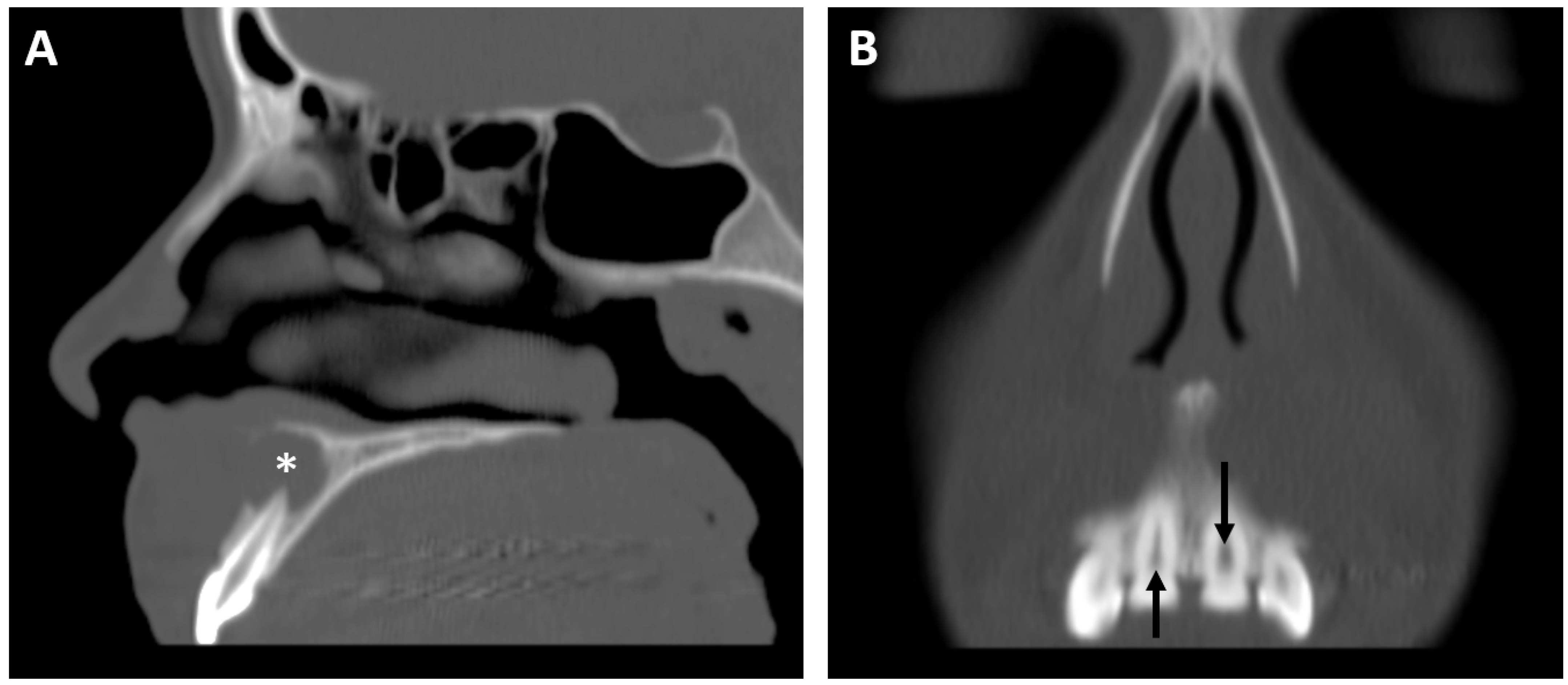
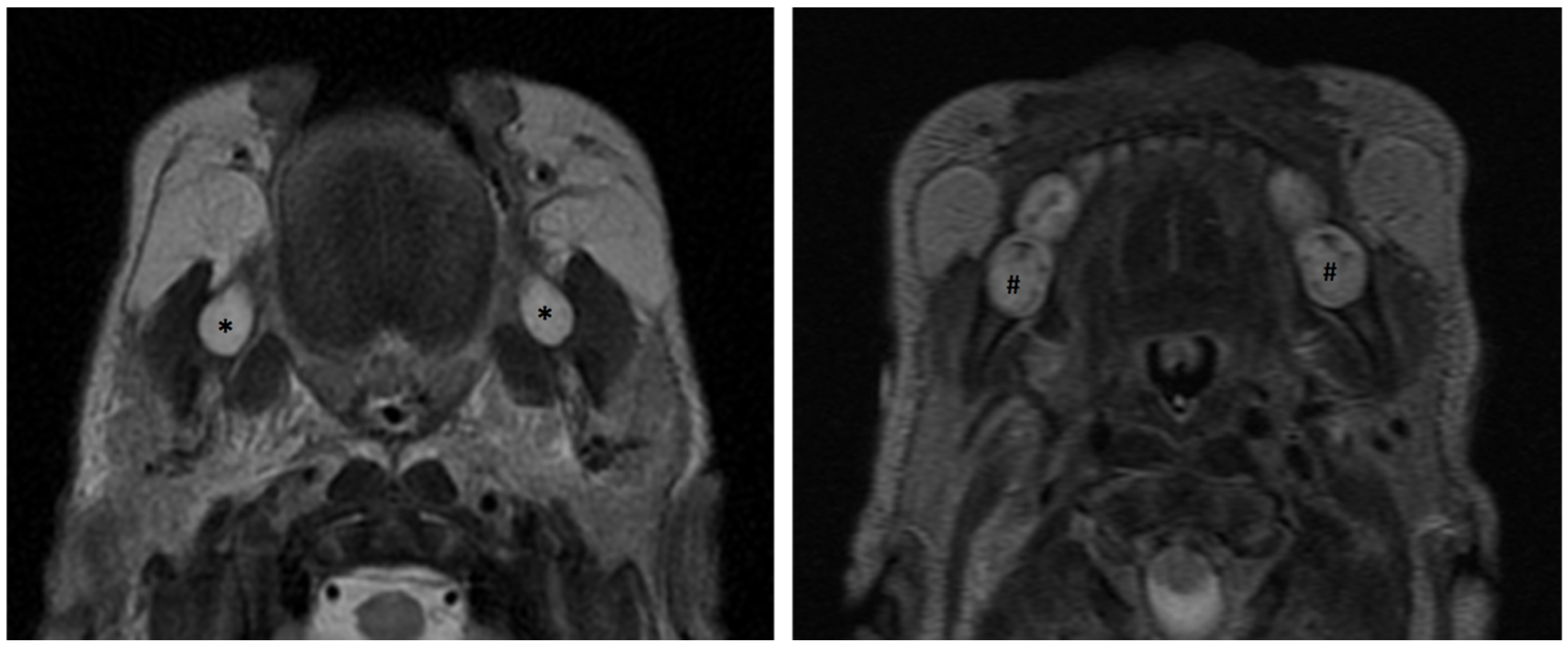
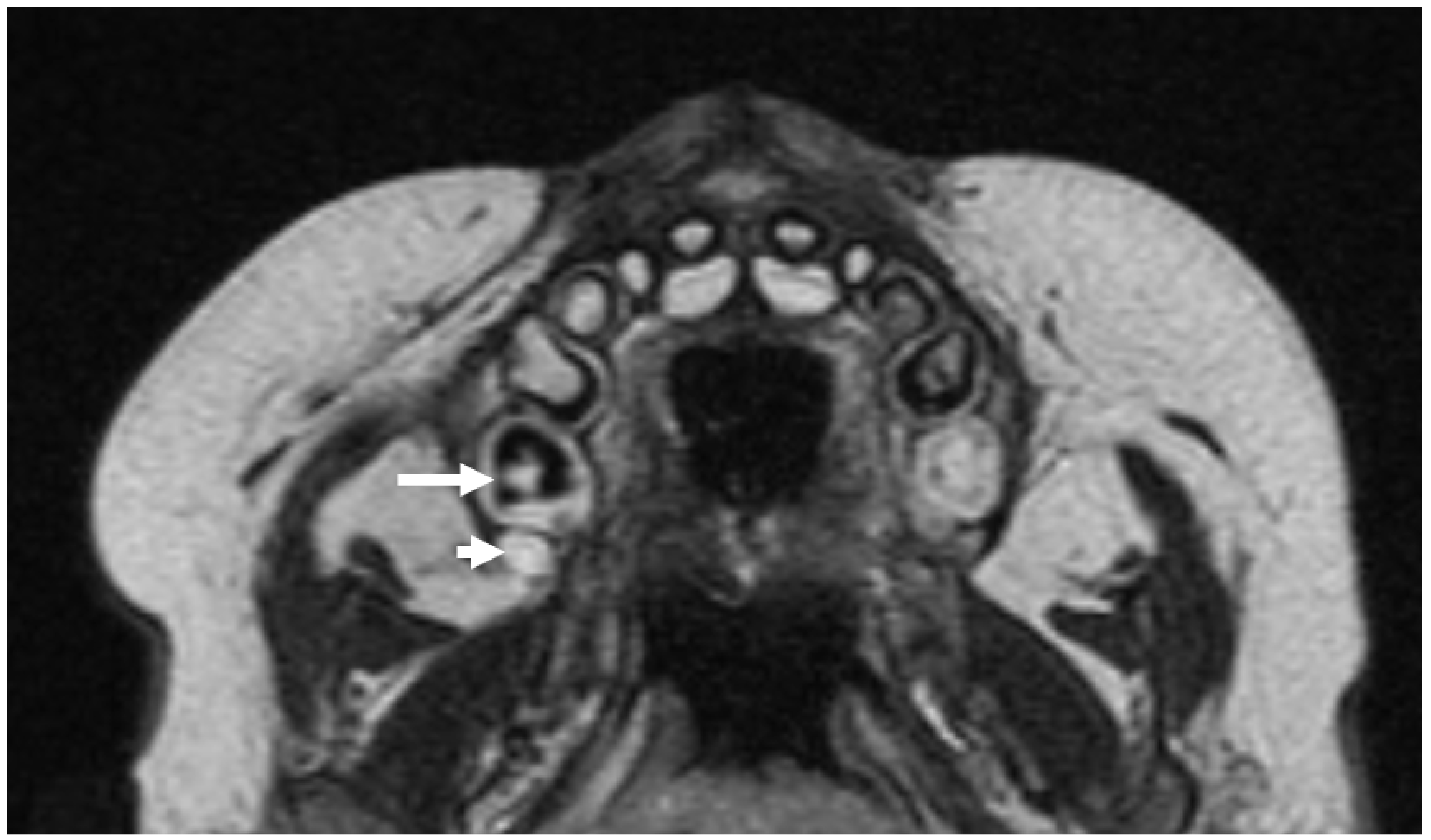
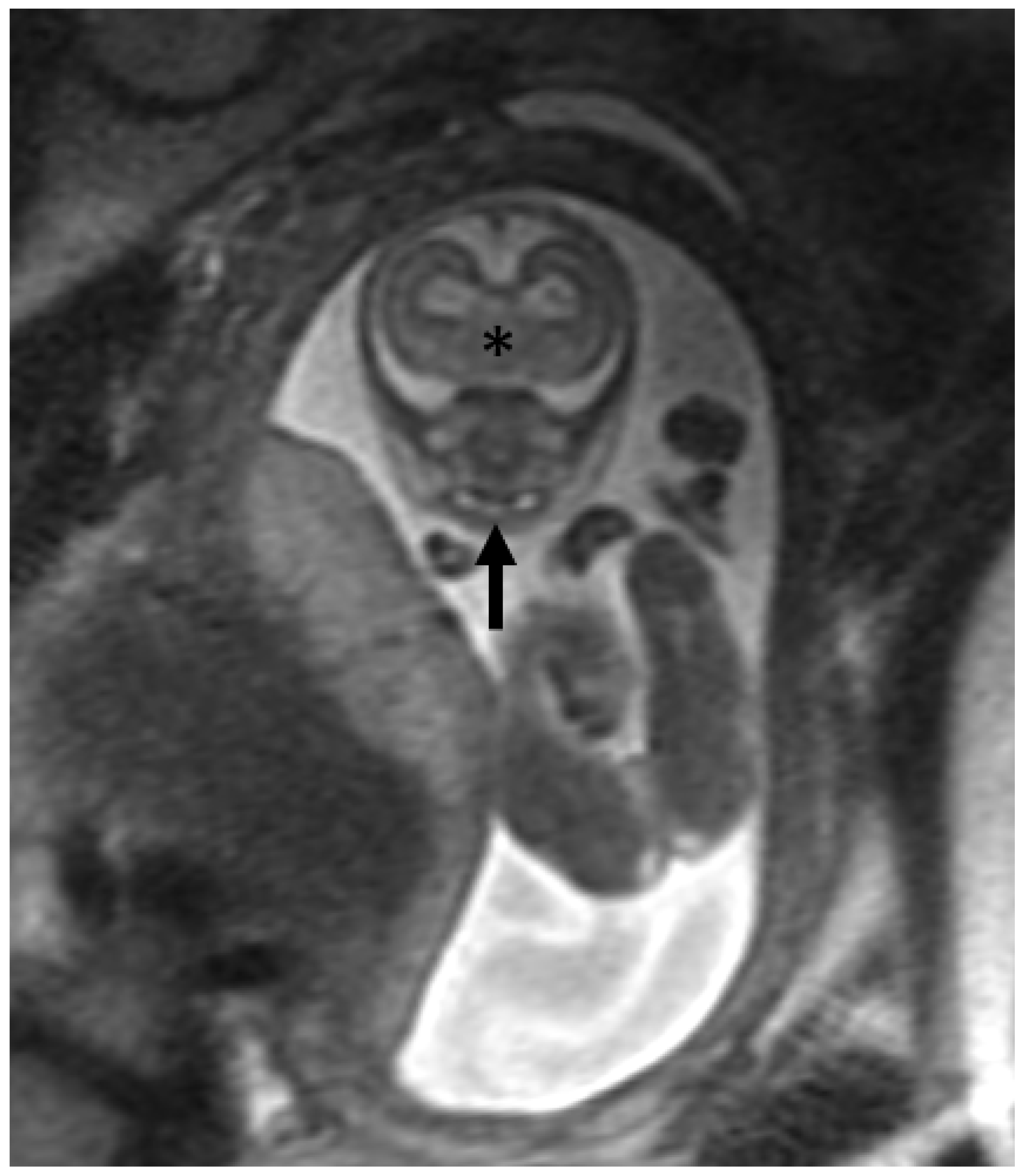
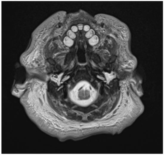
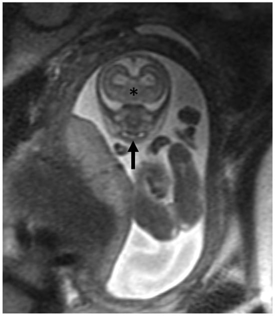
3.3. Radiologic Correlations of Embryological Development
- Hydrophilic tissues have greater water content and consequent higher signal on T2-weighted sequences and decreased density on CT;
- Calcification on MRI presents as hypointense on T2-weighted imaging. On CT, calcification presents as increased density with density greater or equal to bone.
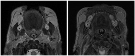
3.4. Application of Principles to Consecutive MR Exams
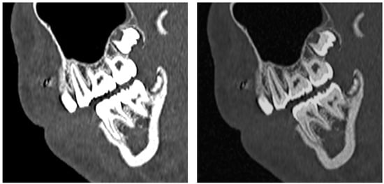
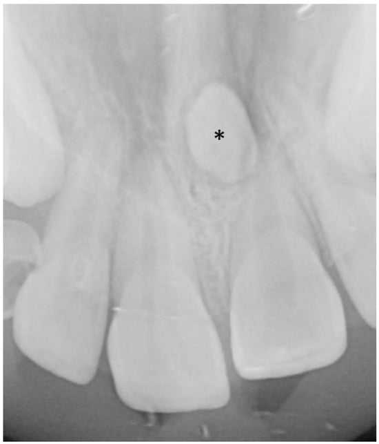
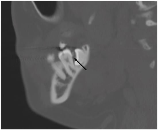
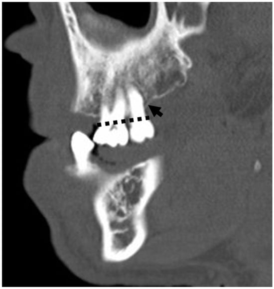
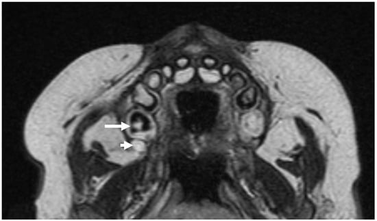
3.5. Anatomical and Imaging Correlations to Odontogenic Infectious Disease
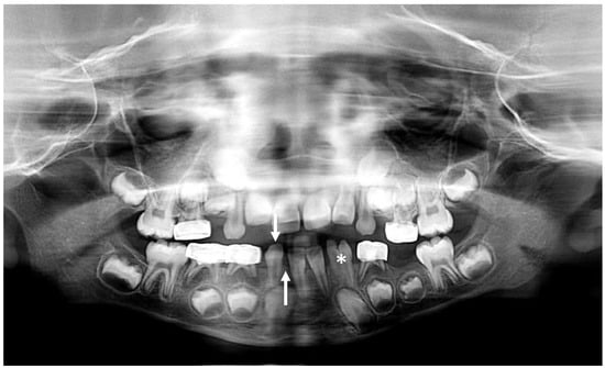
3.5.1. Dental Decay Pathophysiology
3.5.2. Dental Decay Radiologic Correlations
3.5.3. Periodontal Disease Pathophysiology
3.5.4. Periodontal Disease Radiologic Correlations
4. Conclusions
Future Directions
Author Contributions
Funding
Data Availability Statement
Acknowledgments
Conflicts of Interest
References
- Bailleul-Forestier, I.; Berdal, A.; Vinckier, F.; de Ravel, T.; Fryns, J.P.; Verloes, A. The Genetic Basis of Inherited Anomalies of the Teeth. Part 2: Syndromes with Significant Dental Involvement. Eur. J. Med. Genet. 2008, 51, 383–408. [Google Scholar] [CrossRef] [PubMed]
- Schuurs, A. Pathology of the Hard Dental Tissues; John Wiley & Sons: Hoboken, NJ, USA, 2012; ISBN 9781118381342. [Google Scholar]
- Vandenberghe, B.; Jacobs, R.; Bosmans, H. Modern Dental Imaging: A Review of the Current Technology and Clinical Applications in Dental Practice. Eur. Radiol. 2010, 20, 2637–2655. [Google Scholar] [CrossRef] [PubMed]
- Scheinfeld, M.H.; Shifteh, K.; Avery, L.L.; Dym, H.; Dym, R.J. Teeth: What Radiologists Should Know. Radiographics 2012, 32, 1927–1944. [Google Scholar] [CrossRef] [PubMed]
- Alves, I.D.S.; Vendramini, D.F.V.; Leite, C.D.C.; Gebrim, E.M.M.S.; Passos, U.L. Dental Findings on Face and Neck Imaging. Radiol. Bras. 2021, 54, 107–114. [Google Scholar] [CrossRef] [PubMed]
- Steinklein, J.; Nguyen, V. Dental Anatomy and Pathology Encountered on Routine CT of the Head and Neck. AJR Am. J. Roentgenol. 2013, 201, W843–W853. [Google Scholar] [CrossRef]
- Ash, M.J. Wheeler’s Dental Anatomy, Physiology and Occlusion; WB Saunders Co.: Philadelphia, PA, USA, 1993. [Google Scholar]
- Bs, M. Chapter-03 Tooth Numbering Systems. In Textbook of Dental Anatomy and Oral Physiology; Bs, M., Ed.; Jaypee Brothers Medical Publishers (P) Ltd.: New Delhi, India, 2013; pp. 24–29. ISBN 9789350259955. [Google Scholar]
- Bäckman, B.; Wahlin, Y.B. Variations in Number and Morphology of Permanent Teeth in 7-Year-Old Swedish Children. Int. J. Paediatr. Dent. 2001, 11, 11–17. [Google Scholar] [CrossRef] [PubMed]
- Altug-Atac, A.T.; Erdem, D. Prevalence and Distribution of Dental Anomalies in Orthodontic Patients. Am. J. Orthod. Dentofacial Orthop. 2007, 131, 510–514. [Google Scholar] [CrossRef]
- Daugaard-Jensen, J.; Nodal, M.; Skovgaard, L.T.; Kjaer, I. Comparison of the Pattern of Agenesis in the Primary and Permanent Dentitions in a Population Characterized by Agenesis in the Primary Dentition. Int. J. Paediatr. Dent. 1997, 7, 143–148. [Google Scholar] [CrossRef]
- Daugaard-Jensen, J.; Nodal, M.; Kjaer, I. Pattern of Agenesis in the Primary Dentition: A Radiographic Study of 193 Cases. Int. J. Paediatr. Dent. 1997, 7, 3–7. [Google Scholar] [CrossRef]
- Ben Salem, M.; Chouchene, F.; Masmoudi, F.; Baaziz, A.; Maatouk, F.; Ghedira, H. Fusion or Gemination? Diagnosis and Management in Primary Teeth: A Report of Two Cases. Case Rep. Dent. 2021, 2021, 6661776. [Google Scholar] [CrossRef]
- Piesco, N.; Avery, J. Development of Teeth: Crown Formation. In Oral Development and Histology; Thieme: New York, NY, USA, 2002. [Google Scholar]
- Ghannam, M.G.; Alameddine, H.; Bordoni, B. Anatomy, Head and Neck, Pulp (Tooth). In StatPearls; StatPearls Publishing: Treasure Island, FL, USA, 2023. [Google Scholar]
- Martos, J.; Lubian, C.; Silveira, L.F.M.; Suita de Castro, L.A.; Ferrer Luque, C.M. Morphologic Analysis of the Root Apex in Human Teeth. J. Endod. 2010, 36, 664–667. [Google Scholar] [CrossRef] [PubMed]
- Gupta, M.; Madhok, K.; Kulshrestha, R.; Chain, S.; Kaur, H.; Yadav, A. Determination of Stress Distribution on Periodontal Ligament and Alveolar Bone by Various Tooth Movements—A 3D FEM Study. J. Oral Biol. Craniofac. Res. 2020, 10, 758–763. [Google Scholar] [CrossRef] [PubMed]
- Tucker, A.S.; Sharpe, P.T. Molecular Genetics of Tooth Morphogenesis and Patterning: The Right Shape in the Right Place. J. Dent. Res. 1999, 78, 826–834. [Google Scholar] [CrossRef] [PubMed]
- Thesleff, I. The Genetic Basis of Tooth Development and Dental Defects. Am. J. Med. Genet. A 2006, 140, 2530–2535. [Google Scholar] [CrossRef] [PubMed]
- Rathee, M.; Jain, P. Embryology, Teeth. In StatPearls; StatPearls Publishing: Treasure Island, FL, USA, 2023. [Google Scholar]
- Nanci, A. Ten Cate’s Oral Histology Development, Structure, and Function, 8/e; Elsevier: New Delhi, India, 2012; ISBN 9788131233436. [Google Scholar]
- Wang, X.-P. Tooth Eruption without Roots. J. Dent. Res. 2013, 92, 212–214. [Google Scholar] [CrossRef]
- Billings, R.J.; Berkowitz, R.J.; Watson, G. Teeth. Pediatrics 2004, 113, 1120–1127. [Google Scholar] [CrossRef]
- Proffit, W.R.; Frazier-Bowers, S.A. Mechanism and Control of Tooth Eruption: Overview and Clinical Implications. Orthod. Craniofac. Res. 2009, 12, 59–66. [Google Scholar] [CrossRef]
- Kutesa, A.; Nkamba, E.M.; Muwazi, L.; Buwembo, W.; Rwenyonyi, C.M. Weight, Height and Eruption Times of Permanent Teeth of Children Aged 4–15 Years in Kampala, Uganda. BMC Oral Health 2013, 13, 1–8. [Google Scholar] [CrossRef]
- Lakshmappa, A.; Guledgud, M.V.; Patil, K. Eruption Times and Patterns of Permanent Teeth in School Children of India. Indian J. Dent. Res. 2011, 22, 755–763. [Google Scholar]
- Kunzendorf, B.; Diogo, M.C.; Covini, D.I.; Weber, M.; Gruber, G.M.; Zeilhofer, H.-F.; Berg, B.-I.; Prayer, D. Comparison of the Visibility of Fetal Tooth Buds on 1.5 and 3 Tesla MRI. J. Clin. Med. Res. 2020, 9, 3424. [Google Scholar] [CrossRef]
- Bodenhoff, J.; Gorlin, R.J. Natal and neonatal teeth: Folklore and fact. Pediatrics 1963, 32, 1087–1093. [Google Scholar] [CrossRef] [PubMed]
- Cunha, R.F.; Boer, F.A.; Torriani, D.D.; Frossard, W.T. Natal and Neonatal Teeth: Review of the Literature. Pediatr. Dent. 2001, 23, 158–162. [Google Scholar] [PubMed]
- Haith, M.M.; Benson, J.B. Encyclopedia of Infant and Early Childhood Development; Elsevier Science: Amsterdam, The Netherlands, 2008; ISBN 9780123704603. [Google Scholar]
- Pawelzik, J.; Cohnen, M.; Willers, R.; Becker, J. A Comparison of Conventional Panoramic Radiographs with Volumetric Computed Tomography Images in the Preoperative Assessment of Impacted Mandibular Third Molars. J. Oral Maxillofac. Surg. 2002, 60, 979–984. [Google Scholar] [CrossRef] [PubMed]
- Puricelli, E.; Martins, G.L.; Ponzoni, D.; Corsetti, A.; Langie, R.; Morganti, M.A. Comparative Study of Puricelli’s Panorametry in Conventional Panoramic Radiography and Cone Beam Computed Tomography Panoramic Reconstruction. Rev. Fac. Odontol.-UPF 2013, 18, 18–23. [Google Scholar] [CrossRef][Green Version]
- Pauwels, R.; Araki, K.; Siewerdsen, J.H.; Thongvigitmanee, S.S. Technical Aspects of Dental CBCT: State of the Art. Dentomaxillofac. Radiol. 2015, 44, 20140224. [Google Scholar] [CrossRef] [PubMed]
- Abramson, Z.; Scoggins, M.A.; Burton, C.; Choudhri, A.F.; Holladay, C.; Pont Briant, N.R.; Sheyn, A.; Susarla, S. CT-Based Modeling of the Dentition for Craniomaxillofacial Surgical Planning. J. Craniofac. Surg. 2021, 33, 1574–1577. [Google Scholar] [CrossRef] [PubMed]
- Maret, D.; Molinier, F.; Braga, J.; Peters, O.A.; Telmon, N.; Treil, J.; Inglèse, J.M.; Cossié, A.; Kahn, J.L.; Sixou, M. Accuracy of 3D Reconstructions Based on Cone Beam Computed Tomography. J. Dent. Res. 2010, 89, 1465–1469. [Google Scholar] [CrossRef]
- Kapila, S.D. Cone Beam Computed Tomography in Orthodontics: Indications, Insights, and Innovations; John Wiley & Sons: Hoboken, NJ, USA, 2014; ISBN 9781118646595. [Google Scholar]
- Lin, E.; Alessio, A. What Are the Basic Concepts of Temporal, Contrast, and Spatial Resolution in Cardiac CT? J. Cardiovasc. Comput. Tomogr. 2009, 3, 403–408. [Google Scholar] [CrossRef]
- Hajizadeh, S.; Zadeh, R.Y.; Vatanparast, N. Pulp Revascularization in Three Immature Permanent Mandibular Molars with Necrotic Pulps: A Case Series. Iran. Endod. J. 2019, 14, 301. [Google Scholar]
- Cohen, M.M., Jr. Syndromology: An Updated Conceptual Overview. VIII. Deformations and Disruptions. Int. J. Oral Maxillofac. Surg. 1990, 19, 33–37. [Google Scholar] [CrossRef] [PubMed]
- Rathee, M.; Sapra, A. Dental Caries. In StatPearls; StatPearls Publishing: Treasure Island, FL, USA, 2023. [Google Scholar]
- Sáenz Aguirre, M.; Gómez Muga, J.J.; Antón Méndez, L.; Fornell Pérez, R. CT Findings for Dental Disease. Radiología 2022, 64, 573–584. [Google Scholar] [CrossRef]
- Kumar, K.; Merwade, S.; Prabakaran, P.; Ch, L.P.; Annapoorna, B.S.; Guruprasad, C.N. Magnetic Resonance Imaging versus Cone Beam Computed Tomography in Diagnosis of Periapical Pathosis—A Systematic Review. Saudi Dent. J. 2021, 33, 784–794. [Google Scholar]
- Gliga, A.; Imre, M.; Grandini, S.; Marruganti, C.; Gaeta, C.; Bodnar, D.; Dimitriu, B.A.; Foschi, F. The Limitations of Periapical X-ray Assessment in Endodontic Diagnosis-A Systematic Review. J. Clin. Med. Res. 2023, 12, 4647. [Google Scholar] [CrossRef] [PubMed]
- Ogura, I.; Minami, Y.; Sugawara, Y.; Mizuhashi, R.; Mizuhashi, F.; Oohashi, M.; Saegusa, H. Odontogenic Infection Pathway to the Parapharyngeal Space: CT Imaging Assessment. J. Maxillofac. Oral Surg. 2022, 21, 235–239. [Google Scholar] [CrossRef] [PubMed]
- Gasner, N.S.; Schure, R.S. Periodontal Disease. In StatPearls; StatPearls Publishing: Treasure Island, FL, USA, 2023. [Google Scholar]
- Zhao, H.J.; Pan, Y.P. Characteristics of alveolar bone loss in severe periodontitis and consideration of rehabilitation with implant. Zhonghua Kou Qiang Yi Xue Za Zhi 2023, 58, 298–304. [Google Scholar]




























| Ectomesenchyme | Mesenchymal Tissue Derived from Neural Crest Cells (Ectoderm) |
|---|---|
| Tooth germ | A developing tooth containing enamel organ, dental papilla, and dental follicle. Also referred to as tooth anlagen. |
| Enamel organ | Epithelial-derived structure that helps form the crown of a developing tooth, specifically providing the cells that produce enamel. |
| Dental papilla | Condensed mass of ectomesenchyme surrounded by enamel organ, which ultimately forms the dentin and pulp of the developing tooth. |
| Dental follicle | Ectomesenchyme surrounding dental papilla, which becomes cementum and periodontal ligament. Also referred to as dental sac. |
Disclaimer/Publisher’s Note: The statements, opinions and data contained in all publications are solely those of the individual author(s) and contributor(s) and not of MDPI and/or the editor(s). MDPI and/or the editor(s) disclaim responsibility for any injury to people or property resulting from any ideas, methods, instructions or products referred to in the content. |
© 2024 by the authors. Licensee MDPI, Basel, Switzerland. This article is an open access article distributed under the terms and conditions of the Creative Commons Attribution (CC BY) license (https://creativecommons.org/licenses/by/4.0/).
Share and Cite
Abramson, Z.; Oh, C.; Wells, M.; Choudhri, A.F.; Whitehead, M.T. CT and MR Appearance of Teeth: Analysis of Anatomy and Embryology and Implications for Disease. J. Clin. Med. 2024, 13, 1187. https://doi.org/10.3390/jcm13051187
Abramson Z, Oh C, Wells M, Choudhri AF, Whitehead MT. CT and MR Appearance of Teeth: Analysis of Anatomy and Embryology and Implications for Disease. Journal of Clinical Medicine. 2024; 13(5):1187. https://doi.org/10.3390/jcm13051187
Chicago/Turabian StyleAbramson, Zachary, Chris Oh, Martha Wells, Asim F. Choudhri, and Matthew T. Whitehead. 2024. "CT and MR Appearance of Teeth: Analysis of Anatomy and Embryology and Implications for Disease" Journal of Clinical Medicine 13, no. 5: 1187. https://doi.org/10.3390/jcm13051187
APA StyleAbramson, Z., Oh, C., Wells, M., Choudhri, A. F., & Whitehead, M. T. (2024). CT and MR Appearance of Teeth: Analysis of Anatomy and Embryology and Implications for Disease. Journal of Clinical Medicine, 13(5), 1187. https://doi.org/10.3390/jcm13051187

