The Diagnostic Value of CEUS in Assessing Non-Ossified Thyroid Cartilage Invasion in Patients with Laryngeal Squamous Cell Carcinoma
Abstract
1. Introduction
2. Materials and Methods
2.1. Patients
2.2. CECT Examination
2.3. CEUS Examination
2.4. MRI Examination
2.5. Image Analysis
2.5.1. CEUS Imaging
2.5.2. Cross-Sectional Imaging
2.6. Histologic Examination
2.7. Statistical Analysis
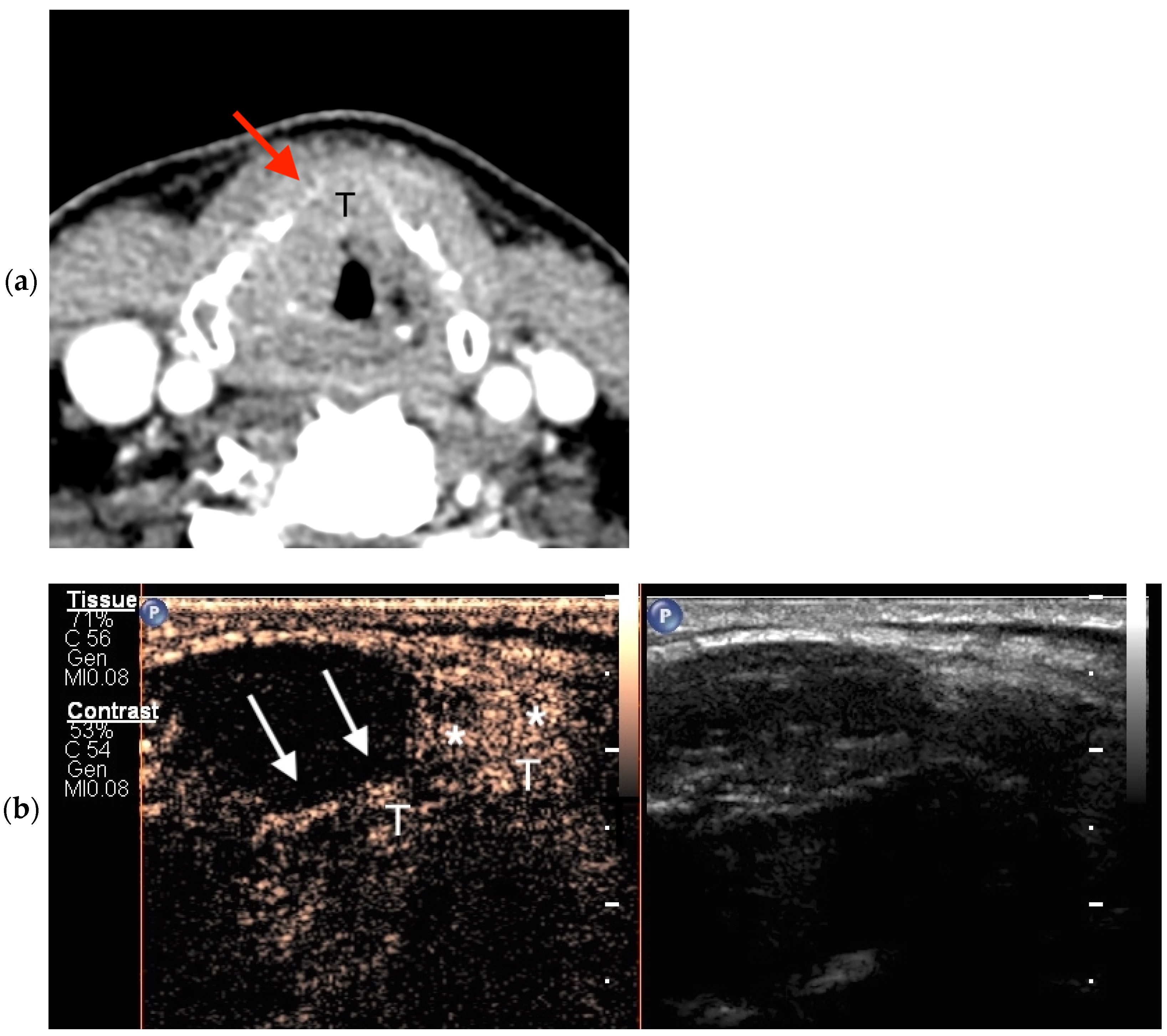
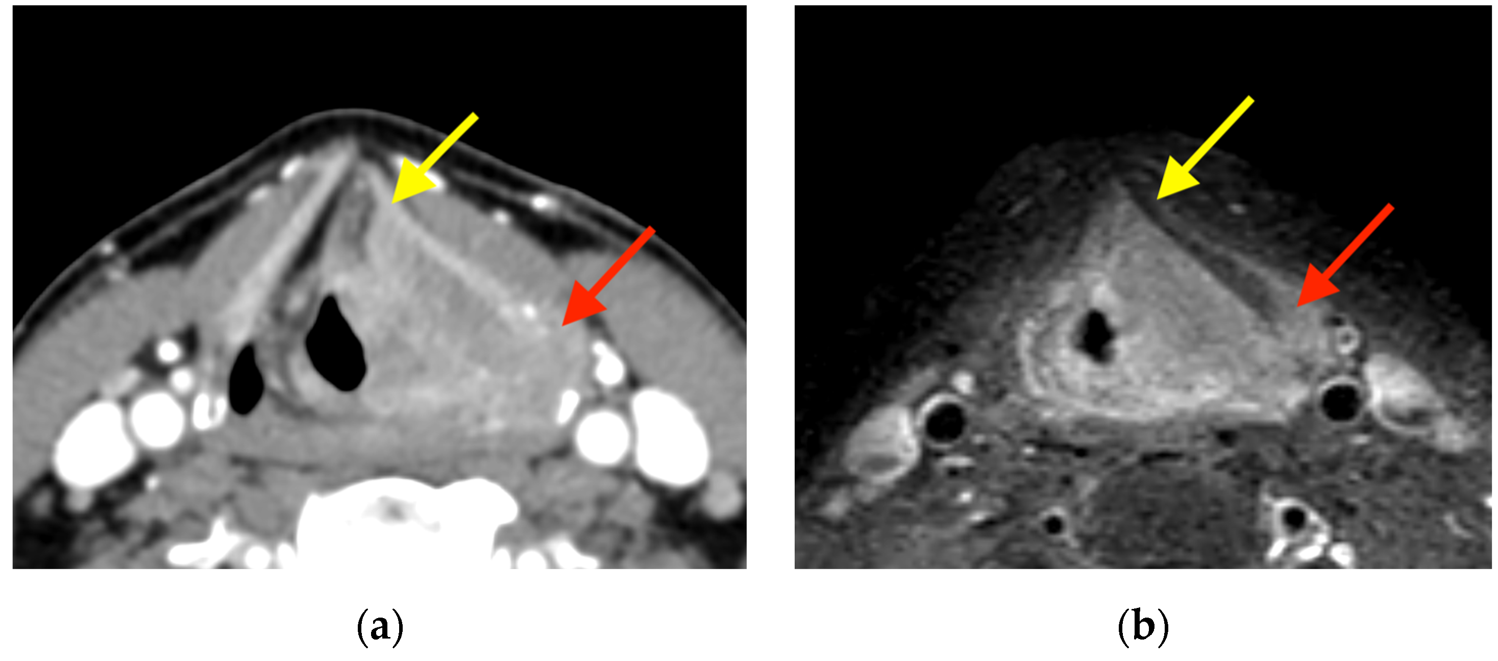
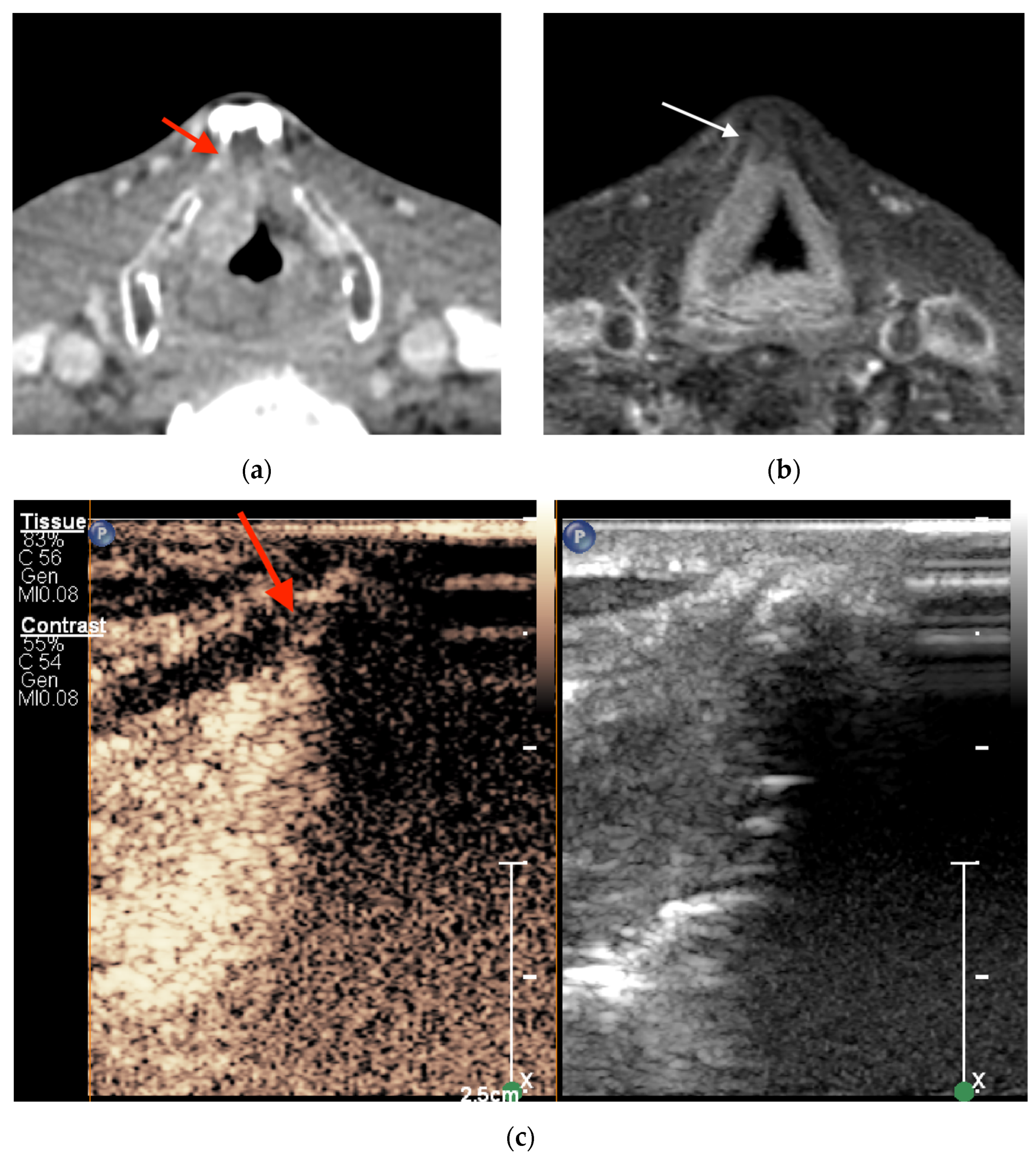
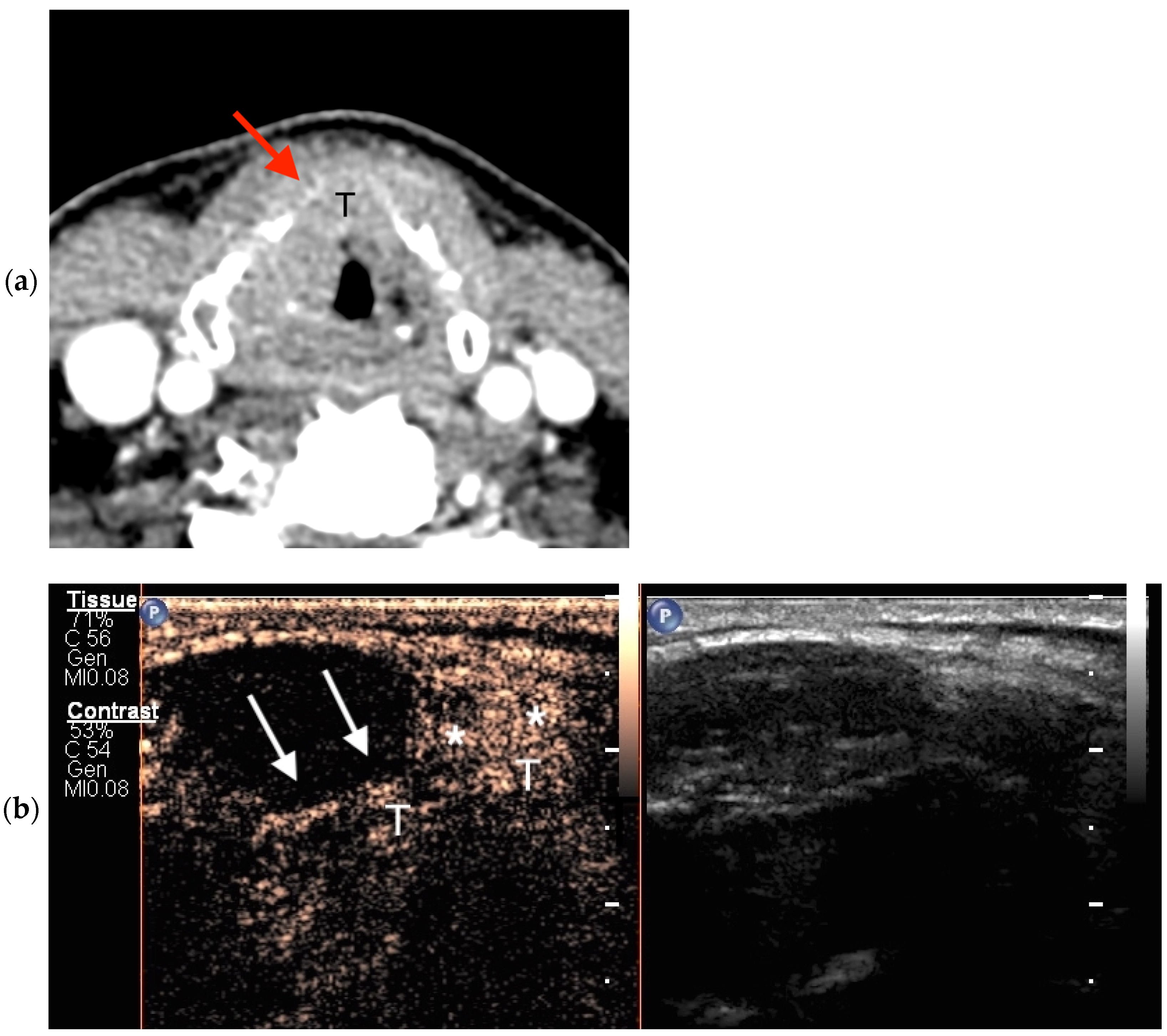
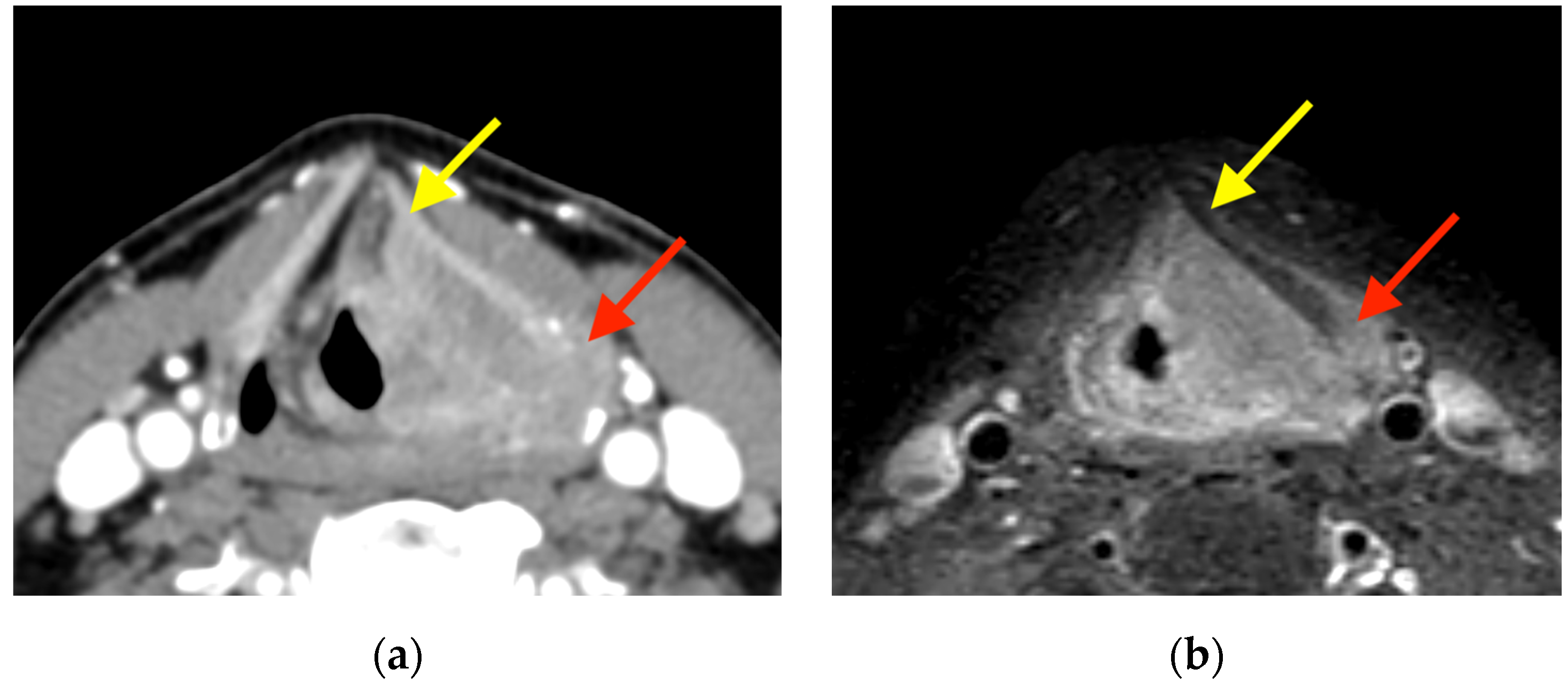
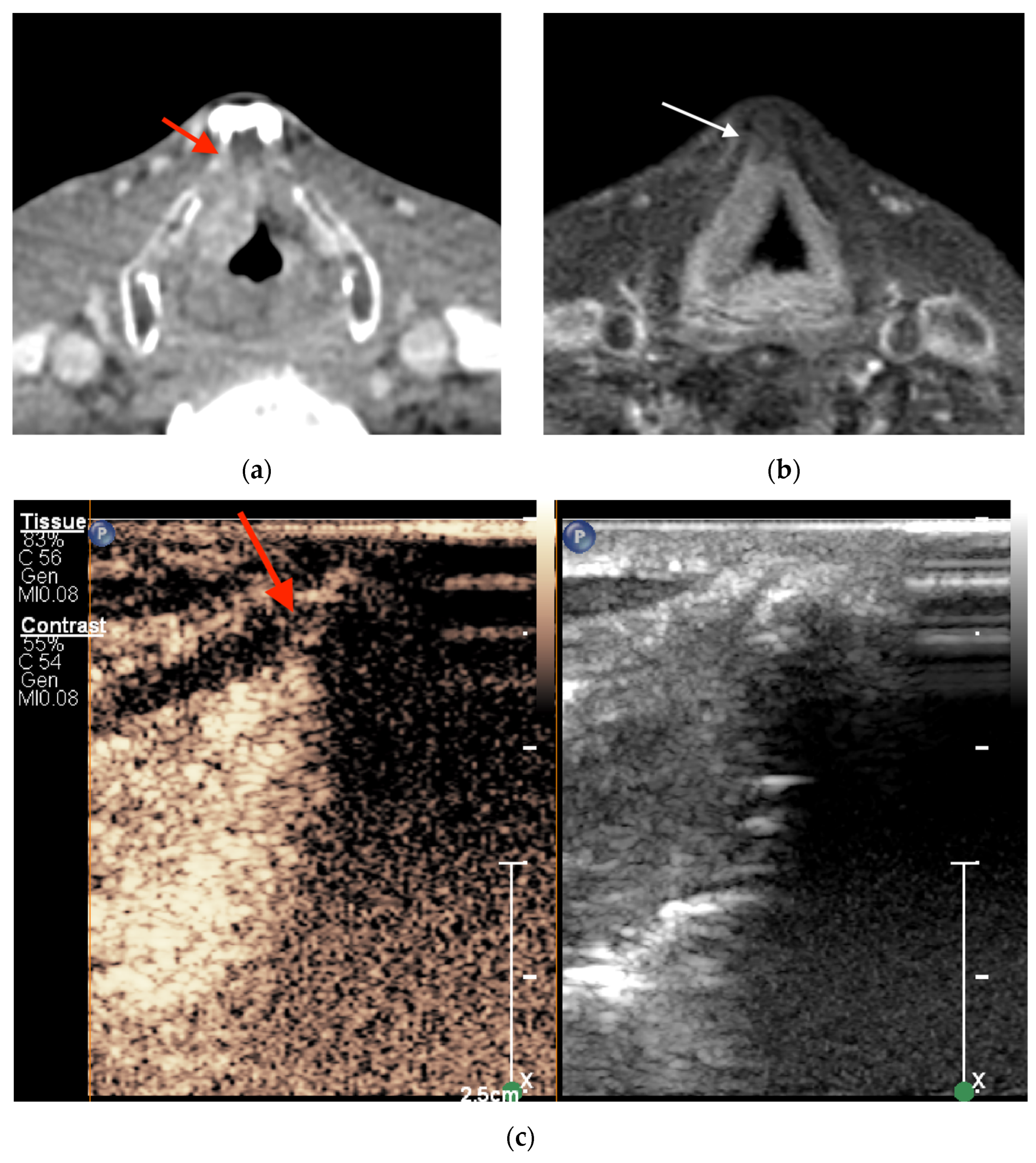
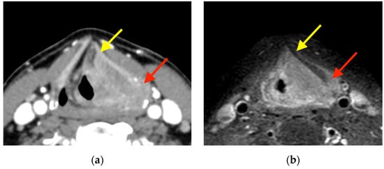
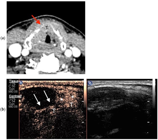
3. Results
4. Discussion
5. Conclusions
Author Contributions
Funding
Institutional Review Board Statement
Informed Consent Statement
Data Availability Statement
Conflicts of Interest
References
- Shoushtari, S.T.; Gal, J.; Chamorey, E.; Schiappa, R.; Dassonville, O.; Poissonnet, G.; Aloi, D.; Barret, M.; Safta, I.; Saada, E.; et al. Salvage vs. Primary Total Laryngectomy in Patients with Locally Advanced Laryngeal or Hypopharyngeal Carcinoma: Oncologic Outcomes and Their Predictive Factors. J. Clin. Med. 2023, 12, 1305. [Google Scholar] [CrossRef]
- Connor, S. Laryngeal cancer: How does the radiologist help? Cancer Imaging 2007, 7, 93–103. [Google Scholar] [CrossRef]
- Hermans, R. Staging of laryngeal and hypopharyngeal cancer: Value of imaging studies. Eur. Radiol. 2006, 16, 2386–2400. [Google Scholar] [CrossRef]
- Deganello, A.; Ruaro, A.; Gualtieri, T.; Berretti, G.; Rampinelli, V.; Borsetto, D.; Russo, S.; Boscolo-Rizzo, P.; Ferrari, M.; Bussu, F. Central Compartment Neck Dissection in Laryngeal and Hypopharyngeal Squamous Cell Carcinoma: Clinical Considerations. Cancers 2023, 15, 804. [Google Scholar] [CrossRef] [PubMed]
- Dadfar, N.; Seyyedi, M.; Forghani, R.; Curtin, H.D. Computed Tomography Appearance of Normal Nonossified Thyroid Cartilage Implication for Tumor Invasion Diagnosis. J. Comput. Assist. Tomogr. 2015, 39, 240–243. [Google Scholar] [CrossRef] [PubMed]
- Becker, M.; Zbären, P.; Casselman, J.W.; Kohler, R.; Dulguerov, P.; Becker, C.D. Neoplastic invasion of laryngeal cartilage: Reassessment of criteria for diagnosis at MR imaging. Radiology 2008, 249, 551–559. [Google Scholar] [CrossRef]
- Becker, M.; Burkhardt, K.; Dulguerov, P.; Allal, A. Imaging of the larynx and hypopharynx. Eur. J. Radiol. 2008, 66, 460–479. [Google Scholar] [CrossRef]
- Dankbaar, J.W.; Oosterbroek, J.; Jager, E.A.; de Jong, H.W.; Raaijmakers, C.P.; Willems, S.M.; Terhaard, C.H.; Philippens, M.E.; Pameijer, F.A. Detection of cartilage invasion in laryngeal carcinoma with dynamic contrast-enhanced CT. Laryngoscope Investig. Otolaryngol. 2017, 2, 373–379. [Google Scholar] [CrossRef]
- Kuno, H.; Onaya, H.; Fujii, S.; Ojiri, H.; Otani, K.; Satake, M. Primary staging of laryngeal and hypopharyngeal cancer: CT, MR imaging and dual-energy CT. Eur. J. Radiol. 2014, 83, e23–e35. [Google Scholar] [CrossRef]
- Li, B.; Bobinski, M.; Gandour-Edwards, R.; Farwell, D.G.; Chen, A.M. Overstaging of cartilage invasion by multidetector CT scan for laryngeal cancer and its potential effect on the use of organ preservation with chemoradiation. Br. J. Radiol. 2011, 84, 64–69. [Google Scholar] [CrossRef] [PubMed]
- Tamas-Szora, A.; Badea, A.F.; Opincariu, I.; Badea, R.I. Noninvasive Evaluation of Microcirculation under Normal and Pathological Conditions Using Contrast-Enhanced Ultrasonography (CEUS). In Microcirculation Revisited—From Molecules to Clinical Practice; InTech: Vienna, Austria, 2016. [Google Scholar]
- D’Onofrio, M.; Crosara, S.; De Robertis, R.; Canestrini, S.; Mucelli, R.P. Contrast-enhanced ultrasound of focal liver lesions. Am. J. Roentgenol. 2015, 205, W56–W66. [Google Scholar] [CrossRef] [PubMed]
- Furrer, M.A.; Spycher, S.C.; Büttiker, S.M.; Gross, T.; Bosshard, P.; Thalmann, G.N.; Schneider, M.P.; Roth, B. Comparison of the Diagnostic Performance of Contrast-enhanced Ultrasound with That of Contrast-enhanced Computed Tomography and Contrast-enhanced Magnetic Resonance Imaging in the Evaluation of Renal Masses: A Systematic Review and Meta-analysis. Eur. Urol. Oncol. 2020, 3, 464–473. [Google Scholar] [CrossRef] [PubMed]
- Hu, Q.; Zhu, S.Y.; Liu, R.C.; Zheng, H.Y.; Lun, H.M.; Wei, H.M.; Weng, J.J. Contrast-enhanced ultrasound for the preoperative assessment of laryngeal carcinoma: A preliminary study. Acta Radiol. 2021, 62, 1016–1024. [Google Scholar] [CrossRef] [PubMed]
- Maroldi, R.; Ravanelli, M.; Farina, D. Magnetic resonance for laryngeal cancer. Curr. Opin. Otolaryngol. Head Neck Surg. 2014, 22, 131–139. [Google Scholar] [CrossRef] [PubMed]
- Westra, W.H. Surgical Pathology Dissection: An Illustrated Guide, 2nd ed.; Springer: New York, NY, USA, 2003; pp. 38–42. [Google Scholar]
- Šimundić, A.M. Measures of Diagnostic Accuracy: Basic Definitions. EJIFCC 2009, 19, 203–211. [Google Scholar] [PubMed]
- Baratloo, A.; Hosseini, M.; Negida, A.; El Ashal, G. Part 1: Simple Definition and Calculation of Accuracy, Sensitivity and Specificity. Emergency 2015, 3, 48–49. [Google Scholar]
- Scherl, C.; Mantsopoulos, K.; Semrau, S.; Fietkau, R.; Kapsreiter, M.; Koch, M.; Traxdorf, M.; Grundtner, P.; Iro, H. Management of advanced hypopharyngeal and laryngeal cancer with and without cartilage invasion. Auris Nasus Larynx 2017, 44, 333–339. [Google Scholar] [CrossRef]
- Chiesa-Estomba, C.M.; Ravanelli, M.; Farina, D.; Remacle, M.; Simo, R.; Peretti, G.; Sjogren, E.; Sistiaga-Suarez, J.A.; Gónzalez-García, J.A.; Larruscain, E.; et al. Imaging checklist for preoperative evaluation of laryngeal tumors to be treated by transoral microsurgery: Guidelines from the European Laryngological Society. Eur. Arch. Oto-Rhino-Laryngol. 2020, 277, 1707–1714. [Google Scholar] [CrossRef]
- Obid, R.; Redlich, M.; Tomeh, C. The Treatment of Laryngeal Cancer. Oral and Maxillofacial Surgery Clinics of North America; W.B. Saunders: Philadelphia, PA, USA, 2019; Volume 31, pp. 1–11. [Google Scholar]
- Cho, S.J.; Lee, J.H.; Suh, C.H.; Kim, J.Y.; Kim, D.; Bin Lee, J.; Lee, M.K.; Chung, S.R.; Choi, Y.J.; Baek, J.H. Comparison of diagnostic performance between CT and MRI for detection of cartilage invasion for primary tumor staging in patients with laryngo-hypopharyngeal cancer: A systematic review and meta-analysis. Eur. Radiol. 2020, 30, 3803–3812. [Google Scholar] [CrossRef]
- Juliano, A.; Moonis, G. Computed Tomography Versus Magnetic Resonance in Head and Neck Cancer: When to Use What and Image Optimization Strategies. Magn. Reson. Imaging Clin. N. Am. 2018, 26, 63–84. [Google Scholar] [CrossRef] [PubMed]
- Becker, M.; Monnier, Y.; de Vito, C. MR Imaging of Laryngeal and Hypopharyngeal Cancer. Magn. Reson. Imaging Clin. N. Am. 2022, 30, 53–72. [Google Scholar] [CrossRef] [PubMed]
- Forghani, R.; Levental, M.; Gupta, R.; Lam, S.; Dadfar, N.; Curtin, H. Different spectral Hounsfield unit curve and high-energy virtual monochromatic image characteristics of squamous cell carcinoma compared with nonossified thyroid cartilage. Am. J. Neuroradiol. 2015, 36, 1194–1200. [Google Scholar] [CrossRef]
- Dhoot, N.M.; Choudhury, B.; Kataki, A.C.; Kakoti, L.; Ahmed, S.; Sharma, J. Effectiveness of ultrasonography and computed to-mography in assessing thyroid cartilage invasion in laryngeal and hypopharyngeal cancers. J. Ultrasound 2017, 20, 205–211. [Google Scholar] [CrossRef] [PubMed]
- Xia, C.-X.; Zhu, Q.; Zhao, H.-X.; Yan, F.; Li, S.-L.; Zhang, S.-M. Usefulness of ultrasonography in assessment of laryngeal carcinoma. Br. J. Radiol. 2013, 86, 20130343. [Google Scholar] [CrossRef] [PubMed]





| Sequence | Plane | Slice Thickness, mm | Repetition Time, ms | Time to Echo, ms | Field of View, mm |
|---|---|---|---|---|---|
| High-resolution T2-weighted turbo spin echo Dixon | Axial, coronal, sagittal | 2.5–3 | 2888 | 80 | 190–210 |
| High-resolution T1-weighted turbo spin echo Dixon | Axial | 2.1–2.5 | 634 | 8 | 190–210 |
| DWI and ADC | Axial | 2 | 14,439; 220 | 66 | 250 |
| Contrast-enhanced high-resolution T1-weighted turbo spin echo Dixon | Axial, coronal | 2.1–2.5 | 634 | 8 | 190–210 |
| pT Group | n (%) |
|---|---|
| pTis | 1 (3.7) |
| pT1 | 7 (25.9) |
| pT2 | 7 (25.9) |
| pT3 | 8 (29.6) |
| pT4 | 4 (14.8) |
| Imaging Modality | TP, n | TN, n | FP, n | FN, n | Sensitivity, % (95% CI) | Specificity, % (95% CI) | Accuracy, % (95% CI) | PPV, % | NPV, % |
|---|---|---|---|---|---|---|---|---|---|
| CEUS (n = 31) | 6 | 21 | 4 | 0 | 100.0 (54.1–100.0) | 84.0 (63.2–95.5) | 87.1 (70.2–96.4) | 60.0 | 100.0 |
| CECT (n = 31) | 4 | 16 | 9 | 2 | 66.7 (22.3–95.7) | 64.0 (42.5–82.0) | 64.5 (45.4–80.8) | 30.8 | 88.9 |
| MRI (n = 25) | 3 | 16 | 6 | 0 | 100.0 (29.2–100.0) | 72.7 (49.8–89.3) | 76.0 (54.9–90.6) | 33.3 | 100.0 |
Disclaimer/Publisher’s Note: The statements, opinions and data contained in all publications are solely those of the individual author(s) and contributor(s) and not of MDPI and/or the editor(s). MDPI and/or the editor(s) disclaim responsibility for any injury to people or property resulting from any ideas, methods, instructions or products referred to in the content. |
© 2024 by the authors. Licensee MDPI, Basel, Switzerland. This article is an open access article distributed under the terms and conditions of the Creative Commons Attribution (CC BY) license (https://creativecommons.org/licenses/by/4.0/).
Share and Cite
Pucėtaitė, M.; Farina, D.; Ryškienė, S.; Mitraitė, D.; Tarasevičius, R.; Lukoševičius, S.; Padervinskis, E.; Vaitkus, S. The Diagnostic Value of CEUS in Assessing Non-Ossified Thyroid Cartilage Invasion in Patients with Laryngeal Squamous Cell Carcinoma. J. Clin. Med. 2024, 13, 891. https://doi.org/10.3390/jcm13030891
Pucėtaitė M, Farina D, Ryškienė S, Mitraitė D, Tarasevičius R, Lukoševičius S, Padervinskis E, Vaitkus S. The Diagnostic Value of CEUS in Assessing Non-Ossified Thyroid Cartilage Invasion in Patients with Laryngeal Squamous Cell Carcinoma. Journal of Clinical Medicine. 2024; 13(3):891. https://doi.org/10.3390/jcm13030891
Chicago/Turabian StylePucėtaitė, Milda, Davide Farina, Silvija Ryškienė, Dalia Mitraitė, Rytis Tarasevičius, Saulius Lukoševičius, Evaldas Padervinskis, and Saulius Vaitkus. 2024. "The Diagnostic Value of CEUS in Assessing Non-Ossified Thyroid Cartilage Invasion in Patients with Laryngeal Squamous Cell Carcinoma" Journal of Clinical Medicine 13, no. 3: 891. https://doi.org/10.3390/jcm13030891
APA StylePucėtaitė, M., Farina, D., Ryškienė, S., Mitraitė, D., Tarasevičius, R., Lukoševičius, S., Padervinskis, E., & Vaitkus, S. (2024). The Diagnostic Value of CEUS in Assessing Non-Ossified Thyroid Cartilage Invasion in Patients with Laryngeal Squamous Cell Carcinoma. Journal of Clinical Medicine, 13(3), 891. https://doi.org/10.3390/jcm13030891

