Utilization of Tenting Pole Abutments for the Reconstruction of Severely Resorbed Alveolar Bone: Technical Considerations and Case Series Reports
Abstract
1. Introduction
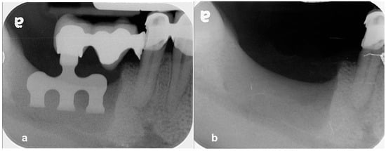
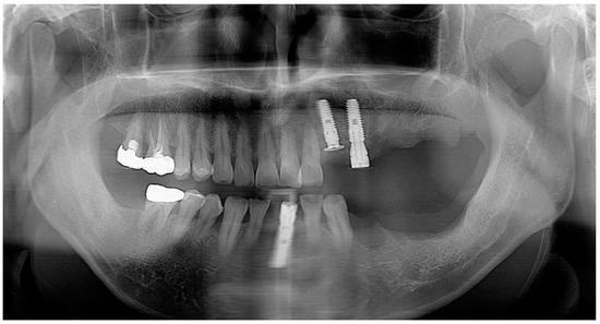
2. Case Presentations
3. Discussion
4. Conclusions
Author Contributions
Funding
Institutional Review Board Statement
Informed Consent Statement
Data Availability Statement
Acknowledgments
Conflicts of Interest
References
- Gerritsen, A.E.; Allen, P.F.; Witter, D.J.; Bronkhorst, E.M.; Creugers, N.H. Tooth loss and oral health-related quality of life: A systematic review and meta-analysis. Health Qual. Life Outcomes 2010, 8, 126. [Google Scholar] [CrossRef]
- Chiapasco, M.; Casentini, P.; Zaniboni, M. Bone augmentation procedures in implant dentistrry. Int. J. Oral. Maxillofacial Implant. 2009, 24, 237–259. [Google Scholar]
- Tan, H.; Peres, K.G.; Peres, M.A. Retention of Teeth and Oral Health-Related Quality of Life. J Dent. Res. 2016, 95, 1350–1357. [Google Scholar] [CrossRef]
- Nobuto, T.; Imai, H.; Suwa, F.; Kono, T.; Suga, H.; Jyoshi, K.; Obayashi, K. Microvascular response in the periodontal ligament following mucoperiosteal flap surgery. J. Periodontol. 2003, 74, 521–528. [Google Scholar] [CrossRef] [PubMed]
- Botticelli, D.; Berglundh, T.; Lindhe, J. Hard-tissue alterations following immediate implant placement in extraction sites. J. Clin. Periodontol. 2004, 31, 820–828. [Google Scholar] [CrossRef]
- Minetti, E.; Celko, M.; Contessi, M.; Carini, F.; Gambardella, U.; Giacometti, E.; Santillana, J.; Beca Campoy, T.; Schmitz, J.H.; Libertucci, M.; et al. Implants Survival Rate in Regenerated Sites with Innovative Graft Biomaterials: 1 Year Follow-Up. Materials 2021, 14, 5292. [Google Scholar] [CrossRef]
- Tulio, A.V.; Kang, C.D.; Fabian, O.A.; Kim, G.E.; Kim, H.G.; Sohn, D.S. Socket preservation using demineralized tooth graft: A case series report with histological analysis. Int. J. Growth Factors Stem Cells Dent. 2020, 3, 28–35. [Google Scholar]
- Menchini-Fabris, G.B.; Cosola, S.; Toti, P.; Hwan Hwang, M.; Crespi, R.; Covani, U. Immediate Implant and Customized Healing Abutment for a Periodontally Compromised Socket: 1-Year Follow-Up Retrospective Evaluation. J. Clin. Med. 2023, 12, 2783. [Google Scholar] [CrossRef]
- Dhadse, P.V.; Yeltiwar, R.K.; Bhongade, M.L.; Pendor, S.D. Soft tissue expansion before vertical ridge augmentation: Inflatable silicone balloons or self-filling osmotic tissue expanders? J. Indian Soc. Periodontol. 2014, 18, 433–440. [Google Scholar] [CrossRef]
- Bera, R.N.; Tandon, S.; Singh, A.K.; Bhattacharjee, B.; Pandey, S.; Chirakkattu, T. Sandwich osteotomy with interpositional grafts for vertical augmentation of the mandible: A meta-analysis. Natl. J. Maxillofac. Surg. 2022, 13, 347–356. [Google Scholar] [CrossRef]
- Urban, I.A.; Lozada, J.L.; Wessing, B.; Suárez-López del Amo, F.; Wang, H.L. Vertical bone grafting and periosteal vertical mattress suture for the fixation of resorbable membranes and stabilization of particulate grafts in horizontal guided bone regeneration to achieve more predictable results: A technical report. Int. J. Periodontics Restor. Dent. 2016, 36, 153–159. [Google Scholar] [CrossRef]
- Chavda, S.; Levin, L. Human Studies of Vertical and Horizontal Alveolar Ridge Augmentation Comparing Different Types of Bone Graft Materials: A Systematic Review. J. Oral. Implantol. 2018, 44, 74–84. [Google Scholar] [CrossRef]
- Fekry, Y.E.; Mahmoud, N.R. Vertical ridge augmentation of atrophic posterior mandible with corticocancellous onlay symphysis graft versus sandwich technique: Clinical and radiographic analysis. Odontology 2023, 111, 993–1002. [Google Scholar] [CrossRef]
- Sáez-Alcaide, L.M.; González Gallego, B.; Fernando Moreno, J.; Moreno Navarro, M.; Cobo-Vázquez, C.; Cortés-Bretón Brinkmann, J.; Meniz-García, C. Complications associated with vertical bone augmentation techniques in implant dentistry: A systematic review of clinical studies published in the last ten years. J. Stomatol. Oral. Maxillofac. Surg. 2023, 124, 101574. [Google Scholar] [CrossRef]
- Marx, R.E.; Shellenberger, T.; Wimsatt, J.; Correa, P. Severely resorbed mandible: Predictable reconstruction with soft tissue matrix expansion (tent pole) grafts. J. Oral. Maxillofac. Surg. 2002, 60, 878–888; discussion 888–889. [Google Scholar] [CrossRef]
- Woo, R.H.; Kim, H.G.; Kim, G.; Park, W.E.; Sohn, D.S. Simplified 3-dimensional ridge augmentation using a tenting abutment. Adv. Dent. Oral. Health 2020, 12, 185–205. [Google Scholar]
- Sohn, D.S.; Huang, B.; Kim, J.; Park, W.E.; Park, C.C. Utilization of autologous concentrated growth factors (CGF) enriched bone graft matrix (Sticky Bone) and CGF-enriched fibrin membrane in implant dentistry. J. Implant. Adv. Clin. Dent. 2015, 7, 11–29. [Google Scholar]
- Misch, C.M.; Misch, C.E.; Resnik, R.R.; Ismail, Y.H. Reconstruction of maxillary alveolar defects with mandibular symphysis grafts for dental implants; a preliminary procedural report. Int. J. Oral. Maxillofac. Implant. 1992, 7, 360–366. [Google Scholar]
- Vermeeren, J.I.; Wismeijer, D.; van Waas, M.A. One-step reconstruction of the severely resorbed mandible with onlay bone grafts and endosteal implants. A 5-year follow-up. Int. J. Oral. Maxillofac. Surg. 1996, 25, 112–115. [Google Scholar] [CrossRef]
- Sbordone, L.; Toti, P.; Menchini-Fabris, G.B.; Sbordone, C.; Piombino, P.; Guidetti, F. Volume changes of autogenous bone grafts after alveolar ridge augmentation of atrophic maxillae and mandibles. Int. J. Oral. Maxillofac. Surg. 2009, 38, 1059–1065. [Google Scholar] [CrossRef] [PubMed]
- Sakkas, A.; Schramm, A.; Winter, K.; Wilde, F. Risk factors for post-operative complications after procedures for autologous bone augmentation from different donor sites. J. Craniomaxillofac. Surg. 2018, 46, 312–322. [Google Scholar] [CrossRef]
- Sanz-Sánchez, I.; Sanz-Martín, I.; Ortiz-Vigón, A.; Molina, A.; Sanz, M. Complications in bone-grafting procedures: Classification and management. Periodontology 2000 2022, 88, 86–102. [Google Scholar] [CrossRef]
- Chiapasco, M.; Consolo, U.; Bianchi, A.; Ronchi, P. Alveolar distraction osteogenesis for the correction of vertically deficient edentulous ridges: A multicenter prospective study on humans. Int. J. Oral. Maxillofac. Implant. 2004, 19, 399–407. [Google Scholar] [CrossRef]
- Melikov, E.A.; Dibirov, T.M.; Klipa, I.A.; Drobyshev, A.Y. Al’veolyarnyi distraktsionnyi osteogenez: Vozmozhnye oslozhneniya i sposoby ikh ustraneniya [Alveolar distraction osteogenesis: Possible complications and methods of their treatment]. Stomatologiya 2022, 101, 25–30. (In Russian) [Google Scholar] [CrossRef] [PubMed]
- Khoury, F.; Hanser, T. Three-Dimensional Vertical Alveolar Ridge Augmentation in the Posterior Maxilla: A 10-year Clinical Study. Int. J. Oral. Maxillofac. Implant. 2019, 34, 471–480. [Google Scholar] [CrossRef]
- Troeltzsch, M.; Troeltzsch, M.; Kauffmann, P.; Gruber, R.; Brockmeyer, P.; Moser, N.; Rau, A.; Schliephake, H. Clinical efficacy of grafting materials in alveolar ridge augmentation: A systematic review. J. Craniomaxillofac Surg. 2016, 44, 1618–1629. [Google Scholar] [CrossRef]
- Soldatos, N.K.; Stylianou, P.; Koidou, V.P.; Angelov, N.; Yukna, R.; Romanos, G.E. Limitations and options using resorbable versus nonresorbable membranes for successful guided bone regeneration. Quintessence Int. 2017, 48, 131–147. [Google Scholar]
- Urban, I.A.; Montero, E.; Monje, A.; Sanz-Sánchez, I. Effectiveness of vertical ridge augmentation interventions: A systematic review and meta-analysis. J. Clin. Periodontol. 2019, 46 (Suppl. 21), 319–339. [Google Scholar] [CrossRef]
- Fugazzotto, P.A. Ridge augmentation with titanium screws and guided tissue regeneration: Technique and report of a case. Int. J. Oral. Maxillofac. Implant. 1993, 8, 335–339. [Google Scholar]
- Hempton, T.J.; Fugazzotto, P.A. Ridge augmentation utilizing guided tissue regeneration, titanium screws, freeze-dried bone, and tricalcium phosphate: Clinical report. Implant. Dent. 1994, 3, 35–37. [Google Scholar] [CrossRef]
- Le, B.; Rohrer, M.D.; Prasad, H.S. Screw "tent-pole" grafting technique for reconstruction of large vertical alveolar ridge defects using human mineralized allograft for implant site preparation. J. Oral. Maxillofac. Surg. 2010, 68, 428–435. [Google Scholar] [CrossRef]
- Daga, D.; Mehrotra, D.; Mohammad, S.; Singh, G.; Natu, S.M. Tent pole technique for bone regeneration in vertically deficient alveolar ridges: A review. J. Oral. Biol. Craniofac. Res. 2015, 5, 92–97. [Google Scholar] [CrossRef] [PubMed]
- Deeb, G.R.; Tran, D.; Carrico, C.K.; Block, E.; Laskin, D.M.; Deeb, J.G. How Effective Is the Tent Screw Pole Technique Compared to Other Forms of Horizontal Ridge Augmentation? J. Oral. Maxillofac. Surg. 2017, 75, 2093–2098. [Google Scholar] [CrossRef]
- Fenton, C.C.; Nish, I.A.; Carmichael, R.P.; Sàndor, G.K. Metastatic mandibular retinoblastoma in a child reconstructed with soft tissue matrix expansion grafting: A preliminary report. J. Oral. Maxillofac. Surg. 2007, 65, 2329–2335. [Google Scholar] [CrossRef]
- Manfro, R.; Batassini, F.; Bortoluzzi, M.C. Severely Resorbed Mandible Treated by Soft Tissue Matrix Expansion (Tent Pole) Grafts: Case Report. Implant. Dent. 2008, 17, 408–413. [Google Scholar] [CrossRef]
- Elnayef, B.; Monje, A.; Gargallo-Albiol, J.; Galindo-Moreno, P.; Wang, H.L.; Hernández-Alfaro, F. Vertical Ridge Augmentation in the Atrophic Mandible: A Systematic Review and Meta-Analysis. Int. J. Oral. Maxillofac. Implant. 2017, 32, 291–312. [Google Scholar] [CrossRef]
- Park, Y.H.; Choi, S.H.; Cho, K.S.; Lee, J.S. Dimensional alterations following vertical ridge augmentation using collagen membrane and three types of bone grafting materials: A retrospective observational study. Clin. Implant. Dent. Relat. Res. 2017, 19, 742–749. [Google Scholar] [CrossRef]
- Palkovics, D.; Solyom, E.; Somodi, K.; Pinter, C.; Windisch, P.; Bartha, F.; Molnar, B. Three-dimensional volumetric assessment of hard tissue alterations following horizontal guided bone regeneration using a split-thickness flap design: A case series. BMC Oral. Health 2023, 23, 118. [Google Scholar] [CrossRef]
- Sohn, D.S. Reconstruction of three-dimensional alveolar ridge defects utilizing screws and implant abutments for the tent-pole grafting’ techniques. In Essential Techniques of Alveolar Bone Augmentation in Implant Dentistry, 2nd ed.; Tolstunov, L., Ed.; Wiley Blackwell: Hoboken, NJ, USA, 2023; pp. 404–418. [Google Scholar]
- Iglesias-Velázquez, Ó.; Zamora, R.S.; López-Pintor, R.M.; Tresguerres, F.G.F.; Berrocal, I.L.; García, C.M.; Tresguerres, I.F.; García-Denche, J.T. Periosteal Pocket Flap technique for lateral ridge augmentation. A comparative pilot study versus guide bone regeneration. Ann. Anat. 2022, 243, 151950. [Google Scholar] [CrossRef]

















Disclaimer/Publisher’s Note: The statements, opinions and data contained in all publications are solely those of the individual author(s) and contributor(s) and not of MDPI and/or the editor(s). MDPI and/or the editor(s) disclaim responsibility for any injury to people or property resulting from any ideas, methods, instructions or products referred to in the content. |
© 2024 by the authors. Licensee MDPI, Basel, Switzerland. This article is an open access article distributed under the terms and conditions of the Creative Commons Attribution (CC BY) license (https://creativecommons.org/licenses/by/4.0/).
Share and Cite
Sohn, D.-S.; Lui, A.; Choi, H. Utilization of Tenting Pole Abutments for the Reconstruction of Severely Resorbed Alveolar Bone: Technical Considerations and Case Series Reports. J. Clin. Med. 2024, 13, 1156. https://doi.org/10.3390/jcm13041156
Sohn D-S, Lui A, Choi H. Utilization of Tenting Pole Abutments for the Reconstruction of Severely Resorbed Alveolar Bone: Technical Considerations and Case Series Reports. Journal of Clinical Medicine. 2024; 13(4):1156. https://doi.org/10.3390/jcm13041156
Chicago/Turabian StyleSohn, Dong-Seok, Albert Lui, and Hyunsuk Choi. 2024. "Utilization of Tenting Pole Abutments for the Reconstruction of Severely Resorbed Alveolar Bone: Technical Considerations and Case Series Reports" Journal of Clinical Medicine 13, no. 4: 1156. https://doi.org/10.3390/jcm13041156
APA StyleSohn, D.-S., Lui, A., & Choi, H. (2024). Utilization of Tenting Pole Abutments for the Reconstruction of Severely Resorbed Alveolar Bone: Technical Considerations and Case Series Reports. Journal of Clinical Medicine, 13(4), 1156. https://doi.org/10.3390/jcm13041156

