Intraoral Approach Through the Nasal Floor for Surgical Removal of Inverted Mesiodens: Protocol and Case Series
Abstract
1. Introduction
2. Materials and Methods
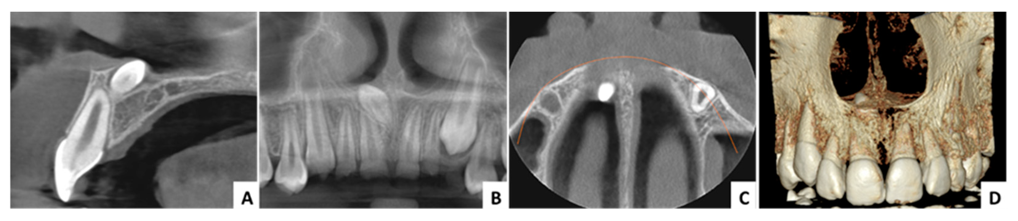
2.1. Diagnosis Process
2.2. Choice of Surgical Approach
2.3. Nasal Floor Approach Procedure
2.4. Case Series
3. Results
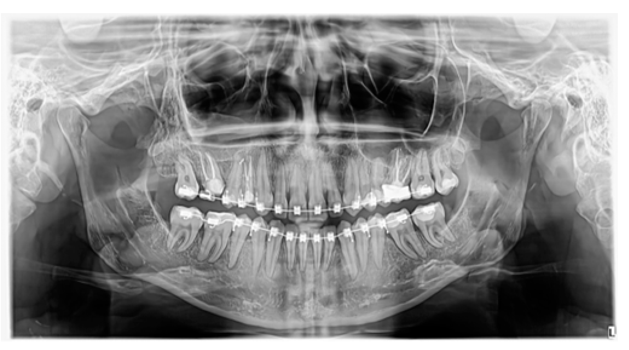
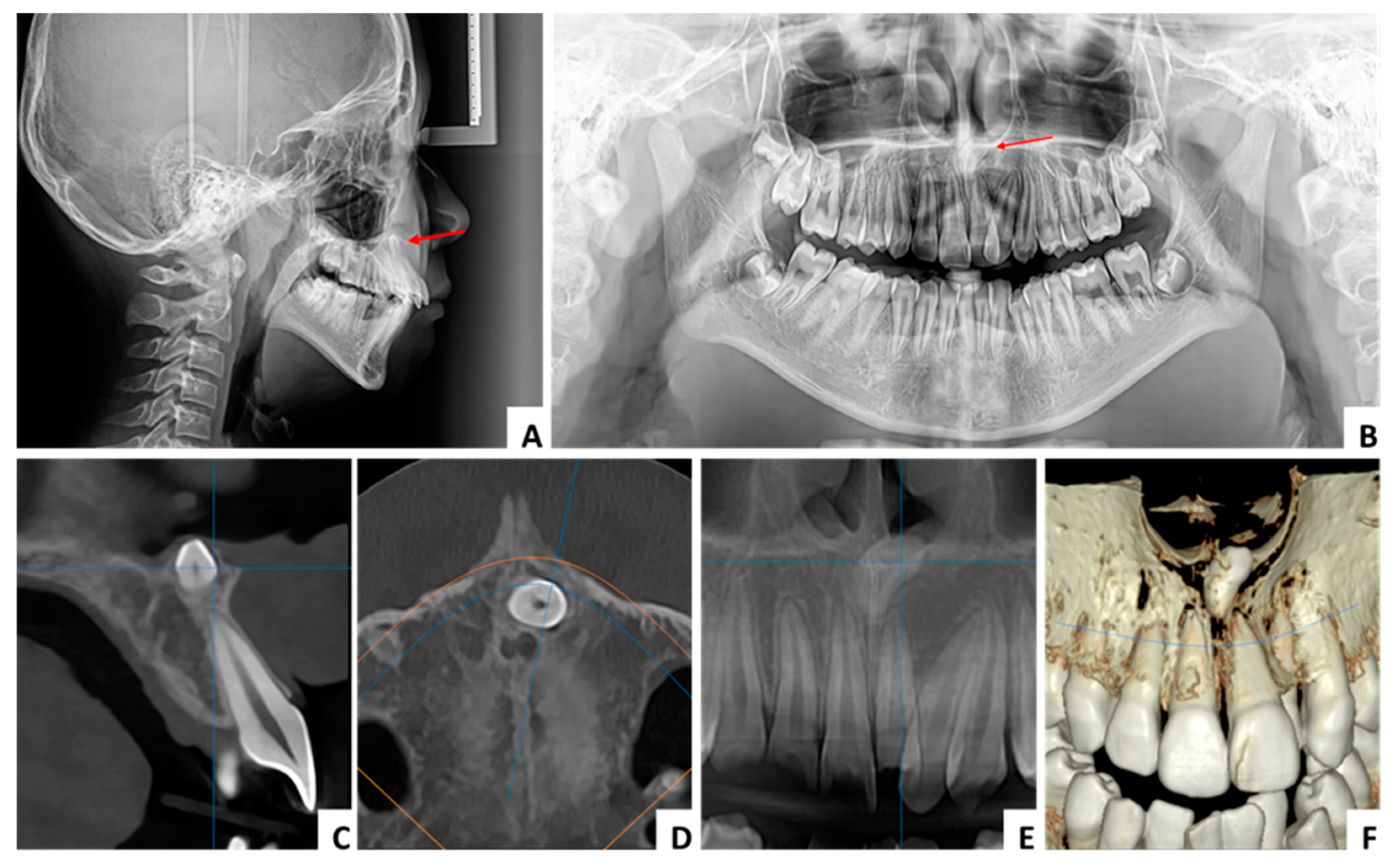
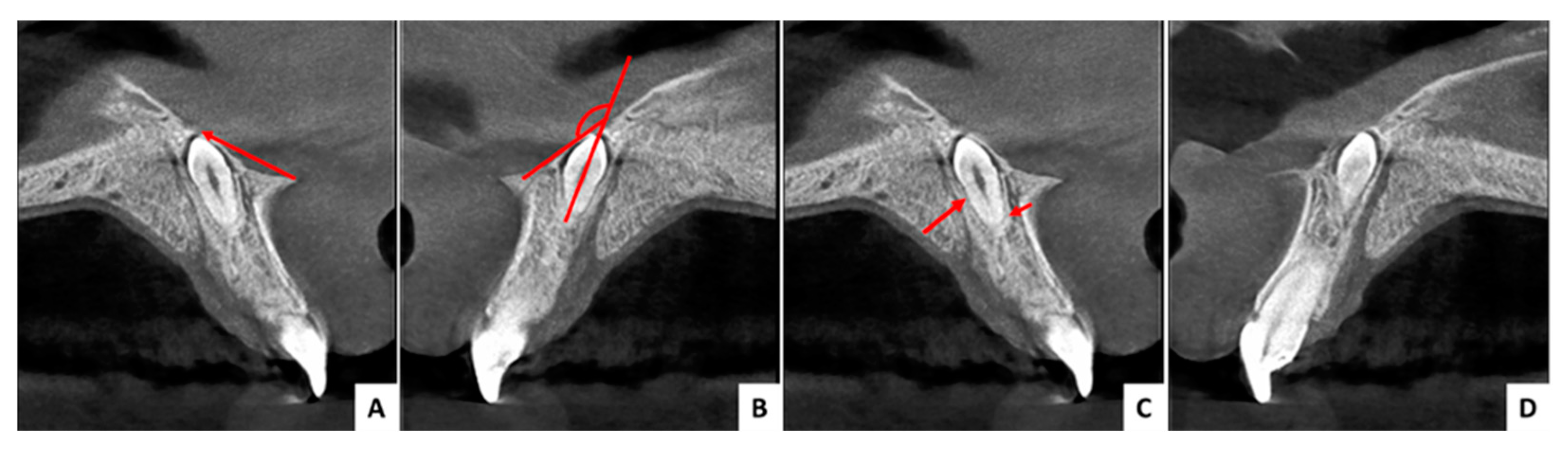
3.1. Case 1 (Figure 3, Figure 4 and Figure 5)



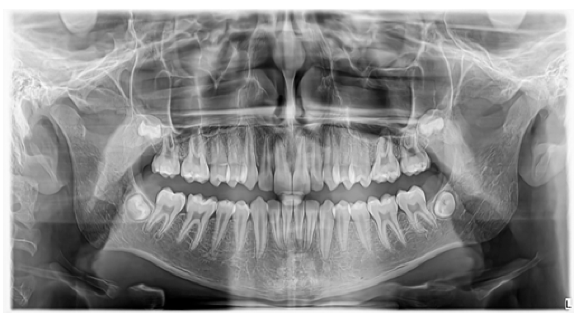
3.2. Case 2 (Figure 6, Figure 7 and Figure 8)



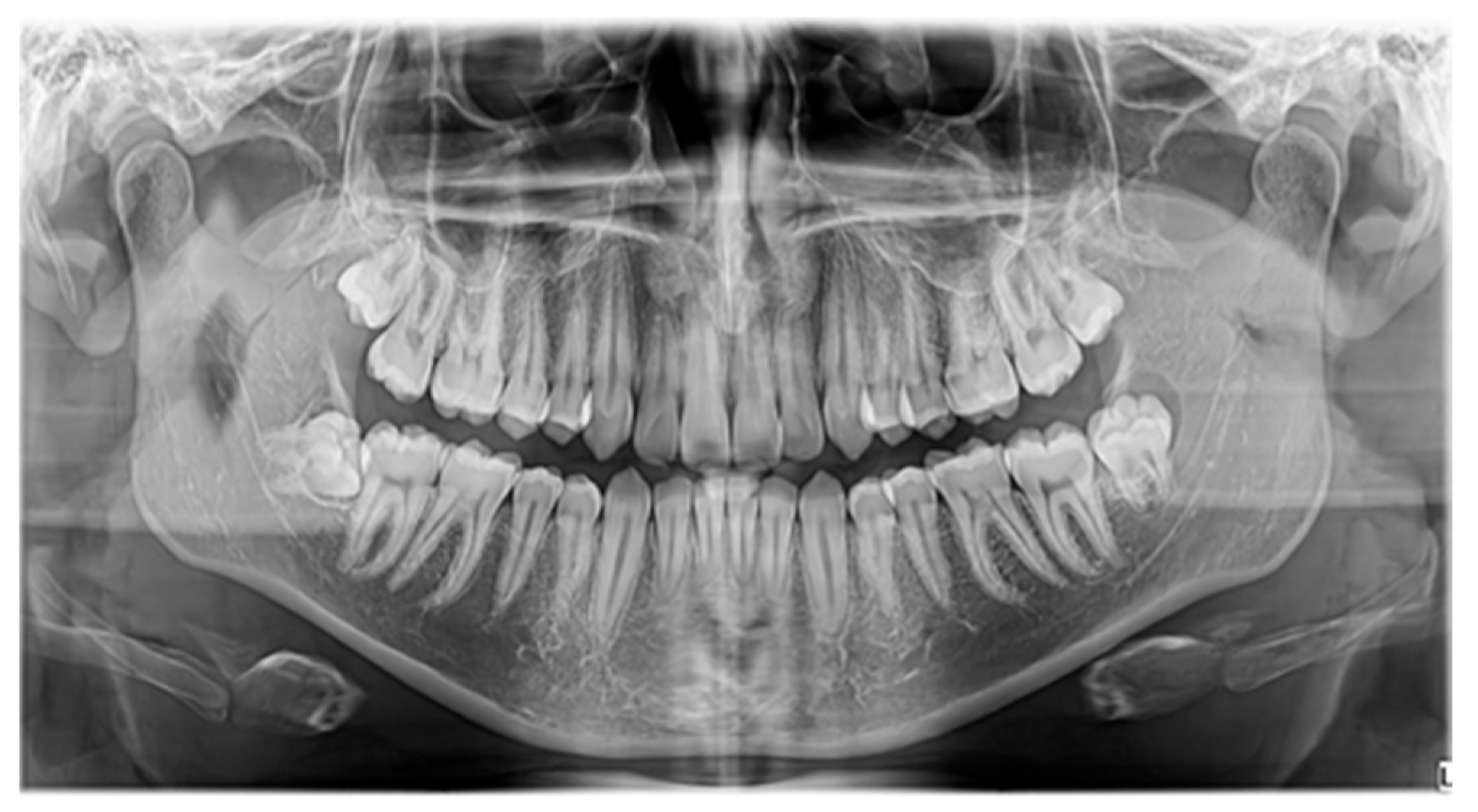
3.3. Case 3 (Figure 9, Figure 10 and Figure 11)



4. Discussion
5. Conclusions
Author Contributions
Funding
Institutional Review Board Statement
Informed Consent Statement
Data Availability Statement
Conflicts of Interest
References
- Goksel, S.; Agirgol, E.; Karabas, H.C.; Ozcan, I. Evaluation of Prevalence and Positions of Mesiodens Using Cone-Beam Computed Tomography. J. Oral Maxillofac. Res. 2018, 9, e1. [Google Scholar] [CrossRef] [PubMed] [PubMed Central]
- Rajaram Mohan, K.; Pethagounder Thangavelu, R.; Fenn, S.M. Bilateral Inverted Mesiodens: A Rare Case Evaluated by Cone-Beam Computed Tomography. Cureus 2022, 14, e26629. [Google Scholar] [CrossRef] [PubMed] [PubMed Central]
- Ahmed, T.; Ahmed, S.; Kaushal, N. Extraction of Supernumerary Nasal Tooth by Endoscopic Approach. Contemp. Clin. Dent. 2021, 12, 321–323. [Google Scholar] [CrossRef] [PubMed] [PubMed Central]
- Beschiu, L.M.; Craiovan, B.A.; Popa, S.; Micle, D.; Ardelean, L.C.; Rusu, L.C. An Ancient Mesiodens Investigated by Cone Beam CT. Appl. Sci. 2021, 11, 11703. [Google Scholar] [CrossRef]
- Subasioglu, A.; Savas, S.; Kucukyilmaz, E.; Kesim, S.; Yagci, A.; Dundar, M. Genetic background of supernumerary teeth. Eur. J. Dent. 2015, 9, 153–158. [Google Scholar] [CrossRef] [PubMed] [PubMed Central]
- Mossaz, J.; Kloukos, D.; Pandis, N.; Suter, V.G.; Katsaros, C.; Bornstein, M.M. Morphologic characteristics, location, and associated complications of maxillary and mandibular supernumerary teeth as evaluated using cone beam computed tomography. Eur. J. Orthod. 2014, 36, 708–718. [Google Scholar] [CrossRef]
- Sanei-Moghaddam, A.; Hyde, N.; Williamson, P. Endoscopic removal of a supernumerary tooth from the nasal cavity in an adult. Br. J. Oral Maxillofac. Surg. 2009, 47, 484–485. [Google Scholar] [CrossRef] [PubMed]
- Shih, W.Y.; Hsieh, C.Y.; Tsai, T.P. Clinical evaluation of the timing of mesiodens removal. J. Chin. Med. Assoc. 2016, 79, 345–350. [Google Scholar] [CrossRef] [PubMed]
- Hauer, L.; Hrusak, D.; Jambura, J.; Gencur, J.; Hosticka, L.; Andrle, P.; Posta, P. Modified maxillary vestibular approach with subperiostal intranasal dissection for surgical extractions of mesiodentes impacted in the floor of the nasal cavity. J. Cranio-Maxillofac. Surg. 2019, 47, 1–5. [Google Scholar] [CrossRef]
- Ku, J.K.; Jeon, W.Y.; Baek, J.A. Case series and technical report of nasal floor approach for mesiodens. J. Korean Assoc. Oral Maxillofac. Surg. 2023, 49, 214–217. [Google Scholar] [CrossRef] [PubMed] [PubMed Central]
- Li, H.; Cheng, Y.; Lu, J.; Zhang, P.; Ning, Y.; Xue, L.; Zhang, Y.; Wang, J.; Hao, Y.; Wang, X. Extraction of high inverted mesiodentes via the labial, palatal and subperiostal intranasal approach: A clinical prospective study. J. Cranio-Maxillofac. Surg. 2023, 51, 433–440. [Google Scholar] [CrossRef] [PubMed]
- Sammartino, G.; Trosino, O.; Perillo, L.; Cioffi, A.; Marenzi, G.; Mortellaro, C. Alternative transoral approach for intranasal tooth extraction. J. Craniofac. Surg. 2011, 22, 1944–1946. [Google Scholar] [CrossRef] [PubMed]
- Elseyoufi, M.; Alrabiaa, A.H.; Tsakiris, P. Removal of nasally impacted mesiodens by maxillary vestibular transnasal approach. Adv. Oral Maxillofac. Surg. 2023, 10, 100420. [Google Scholar] [CrossRef]
- Fernández Montenegro, P.; Valmaseda Castellón, E.; Berini Aytés, L.; Gay Escoda, C. Retrospective study of 145 supernumerary teeth. Med. Oral Patol. Oral Cir. Bucal. 2006, 11, E339–E344. [Google Scholar] [PubMed]
- Ferrés-Padró, E.; Prats-Armengol, J.; Ferrés-Amat, E. A descriptive study of 113 unerupted supernumerary teeth in 79 pediatric patients in Barcelona. Med. Oral Patol. Oral Cir. Bucal. 2009, 14, E146–E152. [Google Scholar] [PubMed]
- Finkelstein, T.; Shapira, Y.; Pavlidi, A.M.; Schonberger, S.; Blumer, S.; Sarne, O.; Shpack, N. Prevalence and Characteristics of Supernumerary Teeth in Israeli Orthodontic Patients. J. Clin. Pediatr. Dent. 2019, 43, 244–251. [Google Scholar] [CrossRef] [PubMed]
- Kim, Y.; Jeong, T.; Kim, J.; Shin, J.; Kim, S. Effects of mesiodens on adjacent permanent teeth: A retrospective study in Korean children based on cone-beam computed tomography. Int. J. Paediatr. Dent. 2018, 28, 161–169. [Google Scholar] [CrossRef] [PubMed]
- Russell, K.A.; Folwarczna, M.A. Mesiodens–diagnosis and management of a common supernumerary tooth. J. Can. Dent. Assoc. 2003, 69, 362–366. [Google Scholar] [PubMed]
- Ayers, E.; Kennedy, D.; Wiebe, C. Clinical recommendations for management of mesiodens and unerupted permanent maxillary central incisors. Eur. Arch. Paediatr. Dent. 2014, 15, 421–428. [Google Scholar] [CrossRef] [PubMed]
- Pescia, R.; Kiliaridis, S.; Antonarakis, G.S. Spontaneous eruption of impacted maxillary incisors after surgical extraction of supernumerary teeth: A systematic review and meta-analysis. Clin. Oral Investig. 2020, 24, 3749–3759. [Google Scholar] [CrossRef] [PubMed]
- Primosch, R.E. Anterior supernumerary teeth—Assessment and surgical intervention in children. Pediatr. Dent. 1981, 3, 204–215. [Google Scholar] [PubMed]
- Canoglu, E.; Er, N.; Cehreli, Z.C. Double inverted mesiodentes: Report of an unusual case. Eur. J. Dent. 2009, 3, 219–223. [Google Scholar] [CrossRef] [PubMed] [PubMed Central]
- Syriac, G.; Joseph, E.; Rupesh, S.; Philip, J.; Cherian, S.A.; Mathew, J. Prevalence, Characteristics, and Complications of Supernumerary Teeth in Nonsyndromic Pediatric Population of South India: A Clinical and Radiographic Study. J. Pharm. Bioallied Sci. 2017, 9 (Suppl. 1), S231–S236. [Google Scholar] [CrossRef] [PubMed] [PubMed Central]
- Aoun, G.; Nasseh, I. Mesiodens Within the Nasopalatine Canal: An Exceptional Entity. Clin. Pract. 2016, 6, 903. [Google Scholar] [CrossRef] [PubMed] [PubMed Central]
- Clementini, M.; Morlupi, A.; Agrestini, C.; DIGirolamo, M.; DIGirolamo, S.; Ottria, L. Endoscopic removal of supernumerary tooth from the nasal cavity of a child: A case report. Oral Implantol. 2012, 5, 21–25. [Google Scholar] [PubMed] [PubMed Central]
- Kong, J.; Peng, Z.; Zhong, T.; Shu, H.; Wang, J.; Kuang, Y.; Ding, G. Clinical Analysis of Approach Selection of Extraction of Maxillary Embedded Mesiodens in Children. Dis. Markers 2022, 2022, 6517024. [Google Scholar] [CrossRef] [PubMed] [PubMed Central]
- Kimura, M.; Yasui, T.; Asoda, S.; Nagamine, H.; Soma, T.; Karube, T.; Kodaka, R.; Muraoka, W.; Nakagawa, T.; Onizawa, K. Evaluation of the surgical approach based on impacted position and direction of mesiodens. J. Oral Maxillofac. Surg. Med. Pathol. 2023, 35, 23–29. [Google Scholar] [CrossRef]
- Garcia-Denche, J.T.; Abbushi, A.; Hernández, G.; Fernández-Tresguerres, I.; Lopez-Cabarcos, E.; Tamimi, F. Nasal Floor Elevation for Implant Treatment in the Atrophic Premaxilla: A Within-Patient Comparative Study. Clin. Implant. Dent. Relat. Res. 2015, 17 (Suppl. 2), e520–e530. [Google Scholar] [CrossRef] [PubMed]
- Yamamoto, A.; Hanazawa, Y. An effective mesiodens extraction method involving an intraoral approach through the nasal floor bone. Oral Sci. Int. 2019, 16, 193–195. [Google Scholar] [CrossRef]


| Diagnosis Process | Observations |
|---|---|
| Clinical examination | The inverted mesiodens are mainly asymptomatic, but in some cases, they can cause midline displacement, diastema, rotation, dental crowding, delayed eruption or impaction of normal dentition, and spacing disturbances. |
| Conventional radiography (OPG, occlusal, periapical, lateral cephalometric radiographs) | In the case of conventional 2D radiographs, mainly OPGs, the structures outside the focal area may be covered by other structures and cannot be visualized. Also, precise localization in relation to other anatomical elements or neighboring teeth will require the use of an additional occlusal radiograph. |
| CBCT | A 3D radiographic imaging method is an excellent method of evaluation and diagnosis. It has a fundamental role in the precise localization of the mesiodens and a connection with the neighboring anatomical structures and teeth. Thus, it has an important role in choosing the appropriate surgical procedure. |
| Criteria | Observations |
|---|---|
| Distance to the mesiodens | It is preferable to use the approach that offers the shortest distance to the included mesiodens. |
| Surgical field | The traditional buccal approach provides an excellent surgical view compared with the palatal approach. It has its limitations due to the fact that the included mesiodens are found predominantly on the palatal side. The nasal floor approach can also offer an optimal surgical view. |
| Osteotomy | Extensive osteotomy should be avoided because it may lead to an increase in intraoperative accidents and postoperative complications. It can also lead to severe swelling and pain in the days following surgery. Using the nasal floor approach, an extensive osteotomy is avoided. |
| Neighboring teeth | Included mesiodens mostly develop on the palatal side. Using the buccal approach involves a major risk of damaging the roots of neighboring teeth. For this reason, a palatal approach for surgical extraction is preferred. |
| Neurovascular injury | The palatal approach involves the risk of neurovascular damage to the nasopalatine nerve, especially when the mesiodens are positioned in front of the nasopalatine canal. |
| Operation time | Prolonged operation time may affect blood perfusion and vitality of neighboring teeth. Also, in these cases, postoperative swelling and pain will be significantly exacerbated. |
| Patient postoperative discomfort | None of the approaches used for the surgical removal of an inverted mesiodens guarantees a reduction in postoperative discomfort, but limited osteotomy and short operation time can lead to a significant decrease in postoperative swelling and pain. |
| Case No. | 1 | 2 | 3 |
|---|---|---|---|
| Age (years)/sex | 29/F | 11/M | 16/M |
| Angle formed by the mesiodens axis with the nasal floor | 85.93° | 143.5° | 144.4° |
| Distance from the ANS (mm) | 8.98 | 8.11 | 13.22 |
| Distance to mesiodens from buccal aspect (mm) | 4.71 | 3.70 | 3.84 |
| Distance to mesiodens from palatal aspect (mm) | 6.43 | 5.47 | 6.82 |
| Relation with nasal cavity | Covered with bone | Submucosally | Covered with bone |
| Position regarding nasopalatine canal | In front | In front | In front |
| Operation time (minutes) | 30 | 28 | 31 |
| Complications | No | No | No |
Disclaimer/Publisher’s Note: The statements, opinions and data contained in all publications are solely those of the individual author(s) and contributor(s) and not of MDPI and/or the editor(s). MDPI and/or the editor(s) disclaim responsibility for any injury to people or property resulting from any ideas, methods, instructions or products referred to in the content. |
© 2024 by the authors. Licensee MDPI, Basel, Switzerland. This article is an open access article distributed under the terms and conditions of the Creative Commons Attribution (CC BY) license (https://creativecommons.org/licenses/by/4.0/).
Share and Cite
Urechescu, H.; Banu, A.; Streian, F.; Urtila, F.; Cuzic, C.; Dinu, S.; Pricop, M. Intraoral Approach Through the Nasal Floor for Surgical Removal of Inverted Mesiodens: Protocol and Case Series. J. Clin. Med. 2024, 13, 7831. https://doi.org/10.3390/jcm13247831
Urechescu H, Banu A, Streian F, Urtila F, Cuzic C, Dinu S, Pricop M. Intraoral Approach Through the Nasal Floor for Surgical Removal of Inverted Mesiodens: Protocol and Case Series. Journal of Clinical Medicine. 2024; 13(24):7831. https://doi.org/10.3390/jcm13247831
Chicago/Turabian StyleUrechescu, Horatiu, Ancuta Banu, Felicia Streian, Florin Urtila, Cristiana Cuzic, Stefania Dinu, and Marius Pricop. 2024. "Intraoral Approach Through the Nasal Floor for Surgical Removal of Inverted Mesiodens: Protocol and Case Series" Journal of Clinical Medicine 13, no. 24: 7831. https://doi.org/10.3390/jcm13247831
APA StyleUrechescu, H., Banu, A., Streian, F., Urtila, F., Cuzic, C., Dinu, S., & Pricop, M. (2024). Intraoral Approach Through the Nasal Floor for Surgical Removal of Inverted Mesiodens: Protocol and Case Series. Journal of Clinical Medicine, 13(24), 7831. https://doi.org/10.3390/jcm13247831

