Diagnostic and Therapeutic Approach in Pediatric Pulmonary Abscess: Two Cases and Literature Review
Abstract
1. Introduction
1.1. Definition
1.2. Classification
1.3. Etiology and Pathogenesis
1.4. Clinical Features
1.5. Diagnostic Evaluation
1.6. Management
1.7. Conservative Management
1.8. Surgical Treatment
1.9. Evolution, Complication, and Prognosis
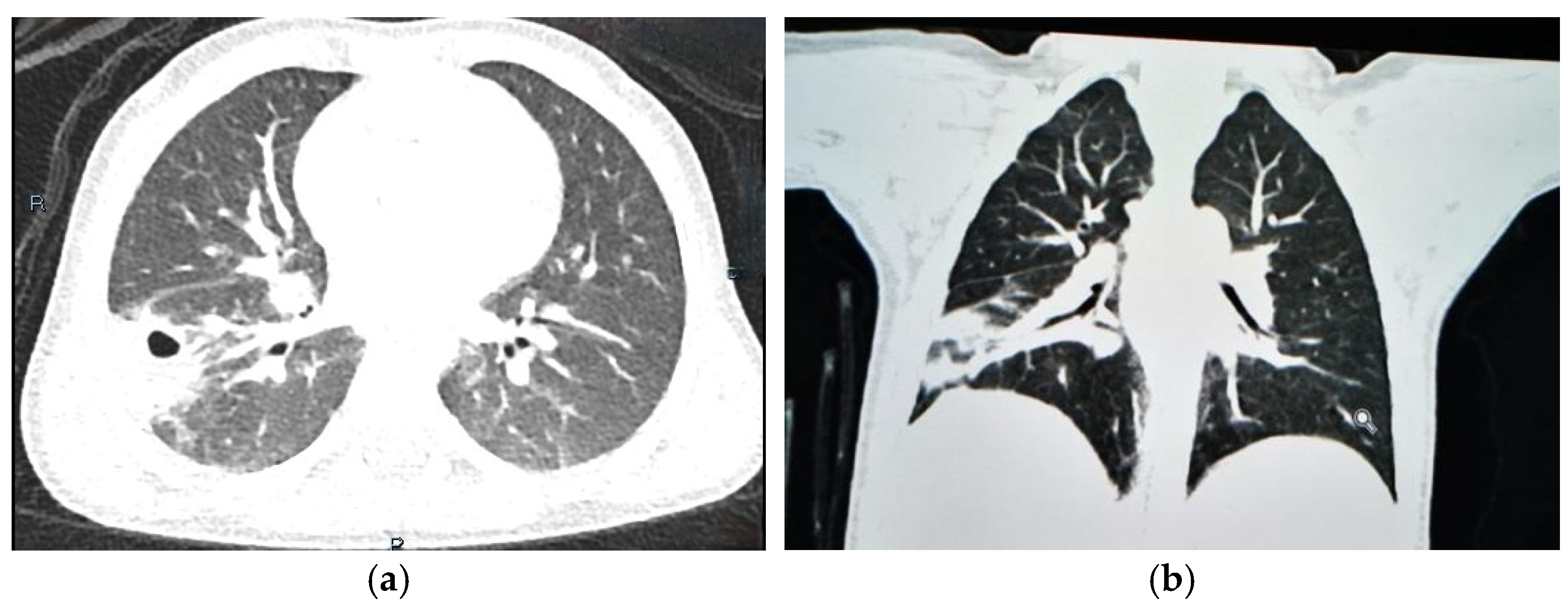
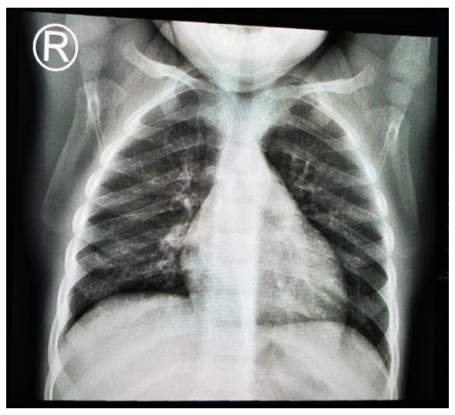
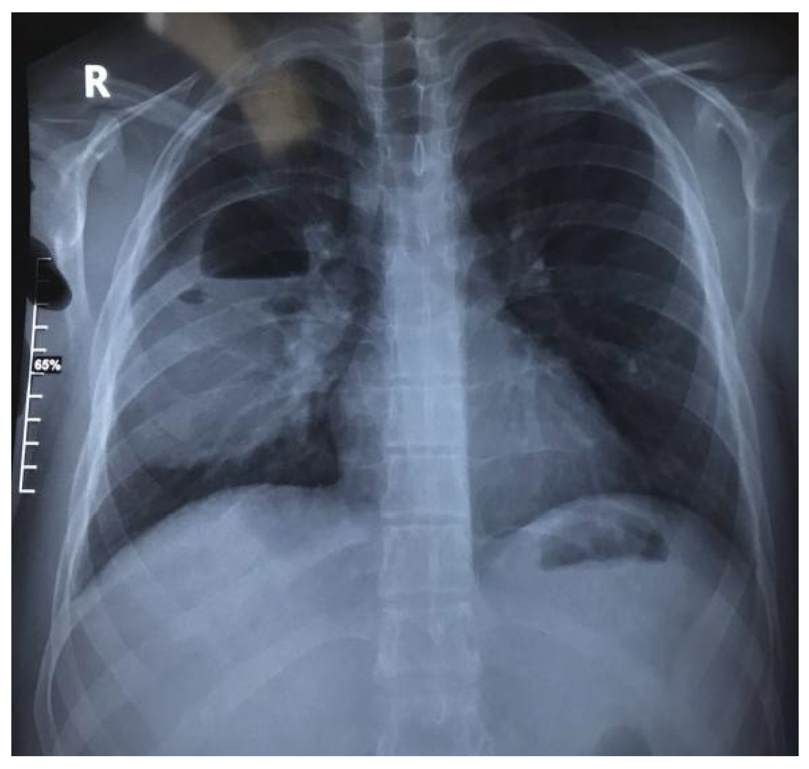
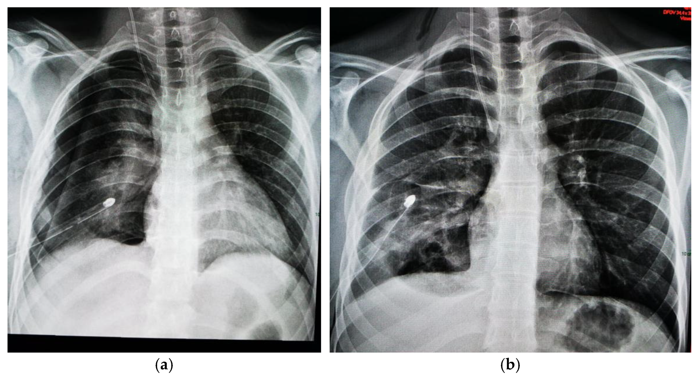
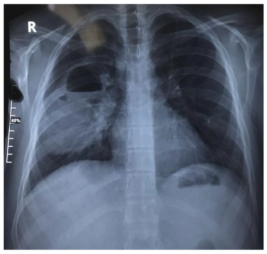
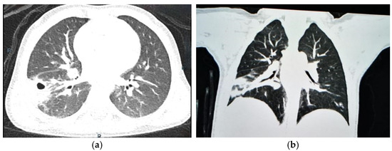
1.9.1. Case 1
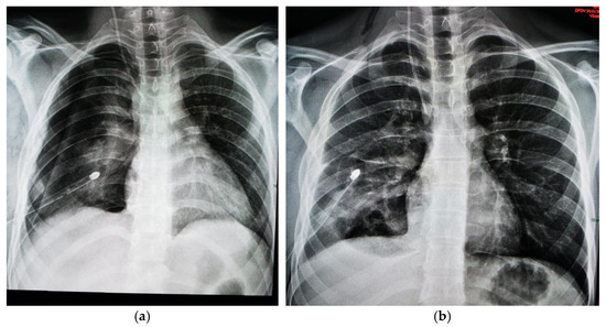
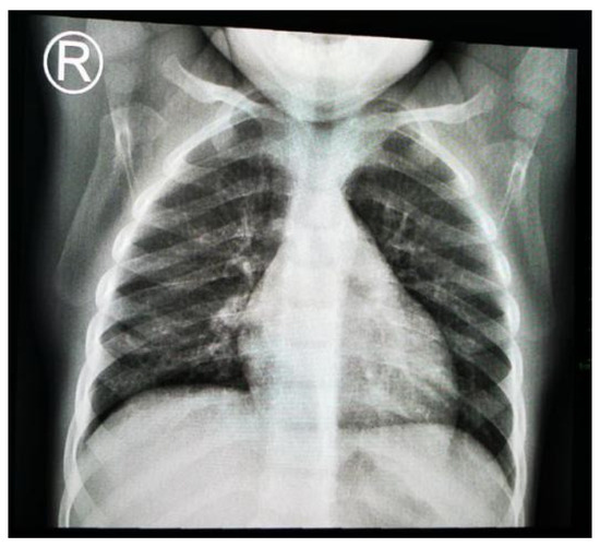
1.9.2. Case 2
2. Discussions
3. Conclusions
Author Contributions
Funding
Institutional Review Board Statement
Informed Consent Statement
Data Availability Statement
Conflicts of Interest
References
- Patradoon-Ho, P.; Fitzgerald, D.A. Lung abscess in children. Paediatr. Respir. Rev. 2007, 8, 77–84. [Google Scholar] [CrossRef] [PubMed]
- De Benedictis, F.M.; Kerem, E.; Chang, A.B.; Colin, A.A.; Zar, H.J.; Bush, A. Complicated pneumonia in children. Lancet 2020, 396, 786–798. [Google Scholar] [CrossRef] [PubMed]
- Yousef, L.; Yousef, A.; Al-Shamrani, A. Lung Abscess Case Series and Review of the Literature. Children 2022, 9, 1047. [Google Scholar] [CrossRef] [PubMed]
- Kuhajda, I.; Zarogoulidis, K.; Tsirgogianni, K.; Tsavlis, D.; Kioumis, I.; Kosmidis, C.; Tsakiridis, K.; Mpakas, A.; Zarogoulidis, P.; Zissimopoulos, A.; et al. Lung abscess-etiology, diagnostic and treatment options. Ann. Transl. Med. 2015, 3, 183. [Google Scholar] [PubMed]
- Roik, D.; Mosior, T.; Sopyło, B.; Małdyk, J.; Brzewski, M. Abscess mimicking lung metastasis in a 10-year-old boy—Case report. Pol. J. Radiol. 2010, 75, 55–57. [Google Scholar]
- Vlahova, A.; Antonova, Z.; Rangelov, E.; Kartulev, N.; Oparanova, V.; Gabrovska, N.; Spasova, A.; Velizarova, S.; Shivachev, H. Surgical Treatment of Lung Abscess Due to an Awn Aspiration in a 9-Year-Old Child: A Case Report. Children 2023, 10, 910. [Google Scholar] [CrossRef] [PubMed]
- Puligandla, P.S.; Laberge, J.-M. Respiratory infections: Pneumonia, lung abscess, and empyema. Semin. Pediatr. Surg. 2008, 17, 42–52. [Google Scholar] [CrossRef] [PubMed]
- Nicolini, A.; Cilloniz, C.; Senarega, R.; Ferraioli, G.; Barlascini, C. Lung Abscess Due to Streptococcus pneumoniae: A Case Series and Brief Review of the Literature. Adv. Respir. Med. 2014, 82, 276–285. [Google Scholar] [CrossRef]
- Takayanagi, N.; Kagiyama, N.; Ishiguro, T.; Tokunaga, D.; Sugita, Y. Etiology and Outcome of Community-Acquired Lung Abscess. Respiration 2010, 80, 98–105. [Google Scholar] [CrossRef]
- Madhani, K.; McGrath, E.; Guglani, L. A 10-year retrospective review of pediatric lung abscesses from a single center. Ann. Thorac. Med. 2016, 11, 191–196. [Google Scholar] [CrossRef]
- Redding, G.J.; Carter, E.R. Chronic Suppurative Lung Disease in Children: Definition and Spectrum of Disease. Front. Pediatr. 2017, 5, 30. [Google Scholar] [CrossRef] [PubMed]
- Loukeri, A.A.; Kampolis, C.F.; Tomos, P.; Papapetrou, D.; Pantazopoulos, I.; Tzagkaraki, A.; Veldekis, D.; Lolis, N. Diagnosis, treatment and prognosis of lung abscess. Pneumon 2015, 28, 54. [Google Scholar]
- Choi, M.S.; Chun, J.H.; Lee, K.S.; Rha, Y.H.; Choi, S.H. Clinical characteristics of lung abscess in children: 15-year experience at two university hospitals. Korean J. Pediatr. 2015, 58, 478. [Google Scholar] [CrossRef]
- Breuer, O.; Picard, E.; Benabu, N.; Erlichman, I.; Reiter, J.; Tsabari, R.; Shoseyov, D.; Kerem, E.; Cohen-Cymberknoh, M. Predictors of Prolonged Hospitalizations in Pediatric Complicated Pneumonia. Chest 2018, 153, 172–180. [Google Scholar] [CrossRef] [PubMed]
- Yen, C.-C.; Tang, R.-B.; Chen, S.-J.; Chin, T. Pediatric lung abscess: A retrospective review of 23 cases. J. Microbiol. Immunol. Infect. 2004, 37, 45–49. [Google Scholar] [PubMed]
- Bennett, J.E.; Dolin, R.; Blaser, M.J. Mandell, Douglas, and Bennett’s Principles and Practice of Infectious Diseases: 2-Volume Set; Elsevier Health Sciences: Amsterdam, The Netherlands, 2019; ISBN 978-0-323-55027-7. [Google Scholar]
- Ionescu, M.D.; Popescu, N.A.; Stănescu, D.; Enculescu, A.; Bălgrădean, M.; Căpitănescu, G.M.; Bumbăcea, D. The Challenging Diagnosis of Interstitial Lung Disease in Children—One Case Report and Literature Review. J. Clin. Med. 2022, 11, 6736. [Google Scholar] [CrossRef] [PubMed]
- Eslamy, H.K.; Newman, B. Pneumonia in Normal and Immunocompromised Children: An Overview and Update. Radiol. Clin. N. Am. 2011, 49, 895–920. [Google Scholar] [CrossRef] [PubMed]
- Mukae, H.; Noguchi, S.; Naito, K.; Kawanami, T.; Yamasaki, K.; Fukuda, K.; Akata, K.; Fukuda, Y.; Kido, T.; Ishimoto, H.; et al. The Importance of Obligate Anaerobes and the Streptococcus anginosus Group in Pulmonary Abscess: A Clone Library Analysis Using Bronchoalveolar Lavage Fluid. Respiration 2016, 92, 80–89. [Google Scholar] [CrossRef] [PubMed]
- Klein, J.S.; Schultz, S.; Heffner, J.E. Interventional radiology of the chest: Image-guided percutaneous drainage of pleural effusions, lung abscess, and pneumothorax. Am. J. Roentgenol. 1995, 164, 581–588. [Google Scholar] [CrossRef]
- Quick, R.D.; Auth, M.J.; Fernandez, M.; Meyer, T.; Merkel, K.G.; Thoreson, L.M.; Hauger, S.B. Decreasing Exposure to Radiation, Surgical Risk, and Costs for Pediatric Complicated Pneumonia: A Guideline Evaluation. Hosp. Pediatr. 2017, 7, 287–293. [Google Scholar] [CrossRef]
- Odev, K.; Guler, İ.; Altinok, T.; Pekcan, S.; Batur, A.; Ozbiner, H. Cystic and Cavitary Lung Lesions in Children: Radiologic Findings with Pathologic Correlation. J. Clin. Imaging Sci. 2013, 3, 60. [Google Scholar] [CrossRef] [PubMed]
- Nagasawa, K.K.; Johnson, S.M. Thoracoscopic treatment of pediatric lung abscesses. J. Pediatr. Surg. 2010, 45, 574–578. [Google Scholar] [CrossRef] [PubMed]
- Shah, S.S.; Srivastava, R.; Wu, S.; Colvin, J.D.; Williams, D.J.; Rangel, S.J.; Samady, W.; Rao, S.; Miller, C.; Cross, C.; et al. Intravenous Versus Oral Antibiotics for Postdischarge Treatment of Complicated Pneumonia. Pediatrics 2016, 138, e20161692. [Google Scholar] [CrossRef] [PubMed]
- De Benedictis, F.M.; Carloni, I. Management of necrotizing pneumonia in children: Time for a patient-oriented approach. Pediatr. Pulmonol. 2019, 54, 1351–1353. [Google Scholar] [CrossRef] [PubMed]
- Reimel, B.A.; Krishnadasen, B.; Cuschieri, J.; Klein, M.B.; Gross, J.; Karmy-Jones, R. Surgical Management of Acute Necrotizing Lung Infections. Can. Respir. J. 2006, 13, 369–373. [Google Scholar] [CrossRef] [PubMed]
- Sueyoshi, R.; Koga, H.; Suzuki, K.; Miyano, G.; Okawada, M.; Doi, T.; Lane, G.J.; Yamataka, A. Surgical intervention for congenital pulmonary airway malformation (CPAM) patients with preoperative pneumonia and abscess formation: “open versus thoracoscopic lobectomy”. Pediatr. Surg. Int. 2016, 32, 347–351. [Google Scholar] [CrossRef] [PubMed]
- Al-Salem, A.H.; Ali, E.A. Computed tomography-guided percutaneous needle aspiration of lung abscesses in neonates and children. Pediatr. Surg. Int. 1997, 12, 417–419. [Google Scholar] [CrossRef] [PubMed]
- Saito, T.; Matano, M.; Kodachi, T.; Fukui, K.; Monden, Y.; Fuchimoto, Y. Pulmonary abscess in an infant treated with ultrasound-guided drainage. J. Pediatr. Surg. Case Rep. 2020, 60, 101549. [Google Scholar] [CrossRef]
- Chiang, P.-C.; Lin, C.-Y.; Hsu, Y.-C.; Huang, L.-T.; Chung, T.-J.; Liu, Y.-S.; Chang, C.-C. Early drainage reduces the length of hospital stay in patients with lung abscess. Front. Med. 2023, 10, 1206419. [Google Scholar] [CrossRef] [PubMed]
- Hogan, M.J.; Coley, B.D. Interventional radiology treatment of empyema and lung abscesses. Paediatr. Respir. Rev. 2008, 9, 77–84. [Google Scholar] [CrossRef] [PubMed]
- Wali, S.O.; Samman, Y.S.; Abdelaziz, M.; Shugaeri, A. Percutaneous Drainage of Pyogenic Lung Abscess. Scand. J. Infect. Dis. 2002, 34, 673–679. [Google Scholar] [CrossRef]
- Macedo, M.; Meyer, K.F.; Oliveira, T.C.M. Pneumonia necrosante em crianças submetidas à toracoscopia por empiema pleural: Incidência, tratamento e evolução clínica. J. Bras. Pneumol. 2010, 36, 301–305. [Google Scholar] [CrossRef] [PubMed][Green Version]
- Stockmann, C.; Ampofo, K.; Pavia, A.T.; Byington, C.L.; Sheng, X.; Greene, T.H.; Korgenski, E.K.; Hersh, A.L. Comparative Effectiveness of Oral Versus Outpatient Parenteral Antibiotic Therapy for Empyema. Hosp. Pediatr. 2015, 5, 605–612. [Google Scholar] [CrossRef] [PubMed]
- Masarweh, K.; Gur, M.; Toukan, Y.; Bar-Yoseph, R.; Kassis, I.; Gut, G.; Hakim, F.; Nir, V.; Bentur, L. Factors associated with complicated pneumonia in children. Pediatr. Pulmonol. 2021, 56, 2700–2706. [Google Scholar] [CrossRef]
- Cowles, R.A.; Lelli, J.L.; Takayasu, J.; Coran, A.G. Lung resection in infants and children with pulmonary infections refractory to medical therapy. J. Pediatr. Surg. 2002, 37, 643–647. [Google Scholar] [CrossRef] [PubMed]
- Masters, I.B.; Isles, A.F.; Grimwood, K. Necrotizing pneumonia: An emerging problem in children? Pneumonia 2017, 9, 11. [Google Scholar] [CrossRef] [PubMed]
- Zar, H.J.; Andronikou, S.; Nicol, M.P. Advances in the diagnosis of pneumonia in children. BMJ 2017, 358, j2739. [Google Scholar] [CrossRef]
- Eren, Ş.; Balci, A.E.; Dikici, B.; Doblan, M.; Eren, M.N. Foreign body aspiration in children: Experience of 1160 cases. Ann. Trop. Paediatr. 2003, 23, 31–37. [Google Scholar] [CrossRef]
- Nasir, Z.M.; Subha, S.T. A Five-Year Review on Pediatric Foreign Body Aspiration. Int. Arch. Otorhinolaryngol. 2021, 25, e193–e199. [Google Scholar] [CrossRef] [PubMed]
- Zaki, H.A.; Albaroudi, B.; Shaban, E.E.; Shaban, A.; Elgassim, M.; Almarri, N.D.; Basharat, K.; Azad, A.M. Advancement in pleura effusion diagnosis: A systematic review and meta-analysis of point-of-care ultrasound versus radiographic thoracic imaging. Ultrasound J. 2024, 16, 3. [Google Scholar] [CrossRef] [PubMed]
- Aryal, K.; Regmi, P.R.; Adhikari, G.; Bhhattarai, U.; Sedhain, S.P. Congenital pulmonary airway malformation (CPAM): A case report and review of the literature. Radiol. Case Rep. 2023, 18, 3483–3486. [Google Scholar] [CrossRef] [PubMed]
- Anadol, D.; Göçmen, A.; Kiper, N.; Özçelik, U. Hydatid disease in childhood: A retrospective analysis of 376 cases. Pediatr. Pulmonol. 1998, 26, 190–196. [Google Scholar] [CrossRef]
- Lees, E.A.; Ives, A.; Fowler, D.; Lakhoo, K.; Grant, D.; Kelly, D.; Paulus, S.; Segal, S.; Gilchrist, J.J.; Kew, A.; et al. Pulmonary Cystic Echinococcosis in a Child Presenting in the United Kingdom with Fever and Chest Pain: A Brief Report and Discussion on Management. Pediatr. Infect. Dis. J. 2023, 42, e343–e345. [Google Scholar] [CrossRef] [PubMed]
- Thadchanamoorthy, V.; Dayasiri, K. Pulmonary tuberculosis presenting as lung abscess in a 10-month-Old infant. Respir. Med. Case Rep. 2020, 31, 101229. [Google Scholar] [CrossRef] [PubMed]
- Yalaki, Z.; Taşar, M.A.; Yıldız, E.; Zengin, T.; Çiftçi, E.; Dallar, Y.B. Primary cavitary tuberculosis in an infant. Türk Pediatri Arş. 2018, 53, 189–192. [Google Scholar] [CrossRef] [PubMed]










| On Admission | 7th Day of Treatment | 10th Day of Treatment | Normal Range | |
|---|---|---|---|---|
| Complete blood count | ||||
| Leucocytes | 19,600/μL | 17,950/μL | 15,400/μL | 6–17 × 103/μL |
| Lymphocytes | 4400/μL | 3100/μL | 4300/μL | 3–9.5 × 103/μL |
| Monocytes | 1160/μL | 1050/μL | 1180/μL | 0–1 × 103/μL |
| Neutrophils | 9900/μL | 8800/μL | 8600/μL | 1.5–8.5 × 103/μL |
| Platelets | 621,000/μL | 520,000/μL | 560,000/μL | 150,000–450,000/μL |
| Hemoglobin | 9.5 g/dL | 10.2g/dL | 10.8 g/dL | 11–14 g/dL |
| MCV | 70/fL | 72.1/fL | 73/fL | 73–89/fL |
| MCHC | 29.6 g/dL | 31 g/dL | 32.9 g/dL | 32–37 g/dL |
| Inflammatory markers | ||||
| CRP | 120.4 mg/L | 80 mg/L | 63 mg/L | 0–5 mg/L |
| Procalcitonin | 5.9 ng/mL | 0.08 ng/mL | <0.05 ng/mL | |
| LDH | 238 U/L | 120–300 U/L | ||
| Coagulation | ||||
| PT | 15.9 s | 11.3–15.6 s | ||
| APTT | 32.5 s | 24–37 s | ||
| INR | 1.19 | 0.84–1.2 | ||
| Liver function | ||||
| AST | 29.4 U/L | 2–59 U/L | ||
| ALT | 16.2 U/L | 2–29 U/L | ||
| Kidney function | ||||
| Creatinine | 0.19 mg/dL | <0.47 mg/dL | ||
| BUN | 9.6 mg/dL | <41 mg/dL | ||
| Serum iron | 10.7 μg/dL | 29–91 μg/dL | ||
| Serum protein | 7.06 g/dL | 5.6–7.5 g/dL |
| On Admission | 7th Day of Treatment | 15th Day of Treatment | Normal Range | |
|---|---|---|---|---|
| Complete blood count | ||||
| Leucocytes | 17,300/μL | 17,900/μL | 19,900/μL | 4.5–13 × 103/μL |
| Lymphocytes | 740/μL | 1100/μL | 1900/μL | 1.5–6.5 × 103/μL |
| Monocytes | 1250/μL | 900/μL | 2000/μL | 0–1 × 103/μL |
| Neutrophils | 15,250/μL | 16,500/μL | 15,500/μL | 1.8–8.0 × 103/μL |
| Eosinophils | 600/μL | 500/μL | 300/μL | 0–0.7 × 103/μL |
| Platelets | 352,000/μL | 420.000/μL | 350,000/μL | 150,000–450,000/μL |
| Hemoglobin | 14 g/dL | 13.6 g/dL | 13.7 g/dL | 11.7–16.6 g/dL |
| Inflammatory markers | ||||
| ESR | 70 mm/1 h | 2–15 mm/1 h | ||
| CRP | 244 mg/L | 201 mg/L | 191 mg/L | 0–5 mg/L |
| Procalcitonin | 7 ng/mL | 1.5 ng/mL | <0.05 ng/mL | |
| LDH | 630 U/L | 120–300 U/L | ||
| Fibrinogen | 961 mg/dL | 160–390 mg/dL | ||
| Coagulation | ||||
| PT | 16.2 s | 16.3 s | 11.3–15.6 s | |
| APTT | 27.5 s | 28 s | 24–37 s | |
| INR | 1.24 | 1.25 | 0.84–1.2 | |
| Liver function | ||||
| AST | 42 U/L | 19 U/L | 2–40 U/L | |
| ALT | 67 U/L | 27 U/L | 2–41 U/L | |
| Kidney function | ||||
| Creatinine | 0.72 mg/dL | 0.7 mg/dL | <1.2 mg/dL | |
| BUN | 25 mg/dL | 43 mg/dL | <41 mg/dL |
Disclaimer/Publisher’s Note: The statements, opinions and data contained in all publications are solely those of the individual author(s) and contributor(s) and not of MDPI and/or the editor(s). MDPI and/or the editor(s) disclaim responsibility for any injury to people or property resulting from any ideas, methods, instructions or products referred to in the content. |
© 2024 by the authors. Licensee MDPI, Basel, Switzerland. This article is an open access article distributed under the terms and conditions of the Creative Commons Attribution (CC BY) license (https://creativecommons.org/licenses/by/4.0/).
Share and Cite
Costin, M.; Cinteză, E.; Marcu, V.; Pavelescu, M.L.; Cherecheș-Panța, P.; Bălănescu, J.S.; Slăvulete, R.E.; Roxana, T.; Ionescu, M.D. Diagnostic and Therapeutic Approach in Pediatric Pulmonary Abscess: Two Cases and Literature Review. J. Clin. Med. 2024, 13, 7790. https://doi.org/10.3390/jcm13247790
Costin M, Cinteză E, Marcu V, Pavelescu ML, Cherecheș-Panța P, Bălănescu JS, Slăvulete RE, Roxana T, Ionescu MD. Diagnostic and Therapeutic Approach in Pediatric Pulmonary Abscess: Two Cases and Literature Review. Journal of Clinical Medicine. 2024; 13(24):7790. https://doi.org/10.3390/jcm13247790
Chicago/Turabian StyleCostin, Mariana, Eliza Cinteză, Veronica Marcu, Mirela Luminița Pavelescu, Paraschiva Cherecheș-Panța, Julia Susanne Bălănescu, Ramona Elena Slăvulete, Taraș Roxana, and Marcela Daniela Ionescu. 2024. "Diagnostic and Therapeutic Approach in Pediatric Pulmonary Abscess: Two Cases and Literature Review" Journal of Clinical Medicine 13, no. 24: 7790. https://doi.org/10.3390/jcm13247790
APA StyleCostin, M., Cinteză, E., Marcu, V., Pavelescu, M. L., Cherecheș-Panța, P., Bălănescu, J. S., Slăvulete, R. E., Roxana, T., & Ionescu, M. D. (2024). Diagnostic and Therapeutic Approach in Pediatric Pulmonary Abscess: Two Cases and Literature Review. Journal of Clinical Medicine, 13(24), 7790. https://doi.org/10.3390/jcm13247790

