Menstrual Disorders in Adolescence: Diagnostic and Therapeutic Challenges
Abstract
1. Introduction
2. Review
Literature Search
3. The Onset of Puberty as a Transition from Childhood to Adolescence
4. Menarche and the Menstrual Cycle in Adolescence
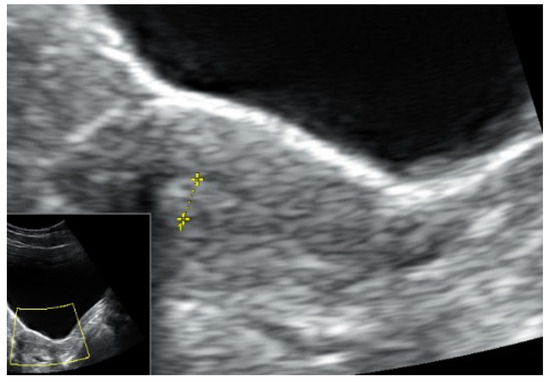
5. Special Features in Diagnostics
6. Menstrual Irregularities and Disorders in Adolescence
6.1. Dysfunctional, Juvenile Hypermenorrhea
6.2. Amenorrhea
6.3. Hypogonadotropic Hypogonadism
6.4. Delayed Puberty/Pubertas Tarda
6.5. Premature Ovarian Insufficiency
6.6. Hyperandrogenemia
6.7. Congenital Adrenal Hyperplasia (CAH)/Late-Onset Adrenogential Syndrome (AGS)
6.8. High Risk for Polycystic Ovary Syndrome (PCOS)
- -
- Oligo-/amenorrhea;
- -
- Hyperandrogenemia or androgenization symptoms;
- -
- Sonomorphological signs of polycystic ovaries.
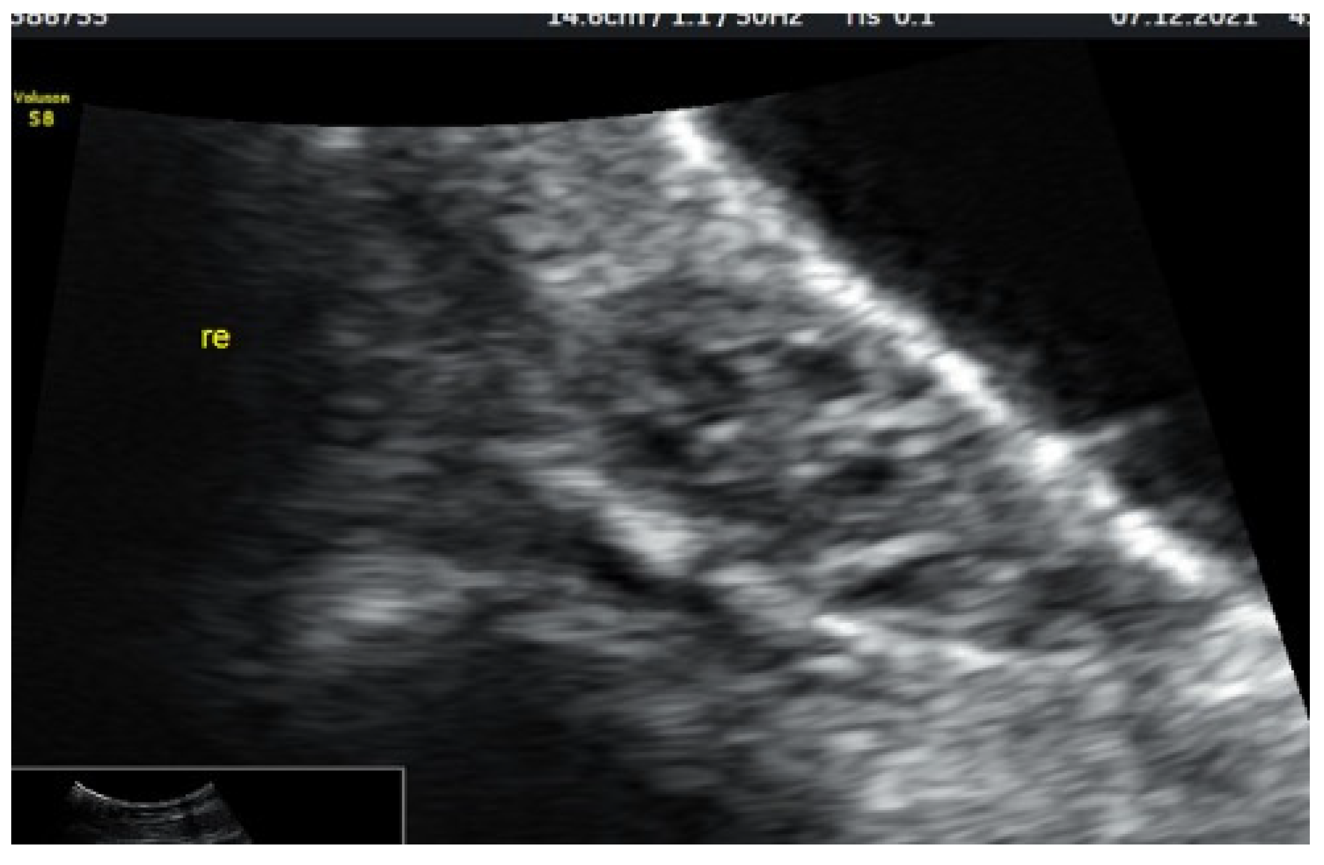
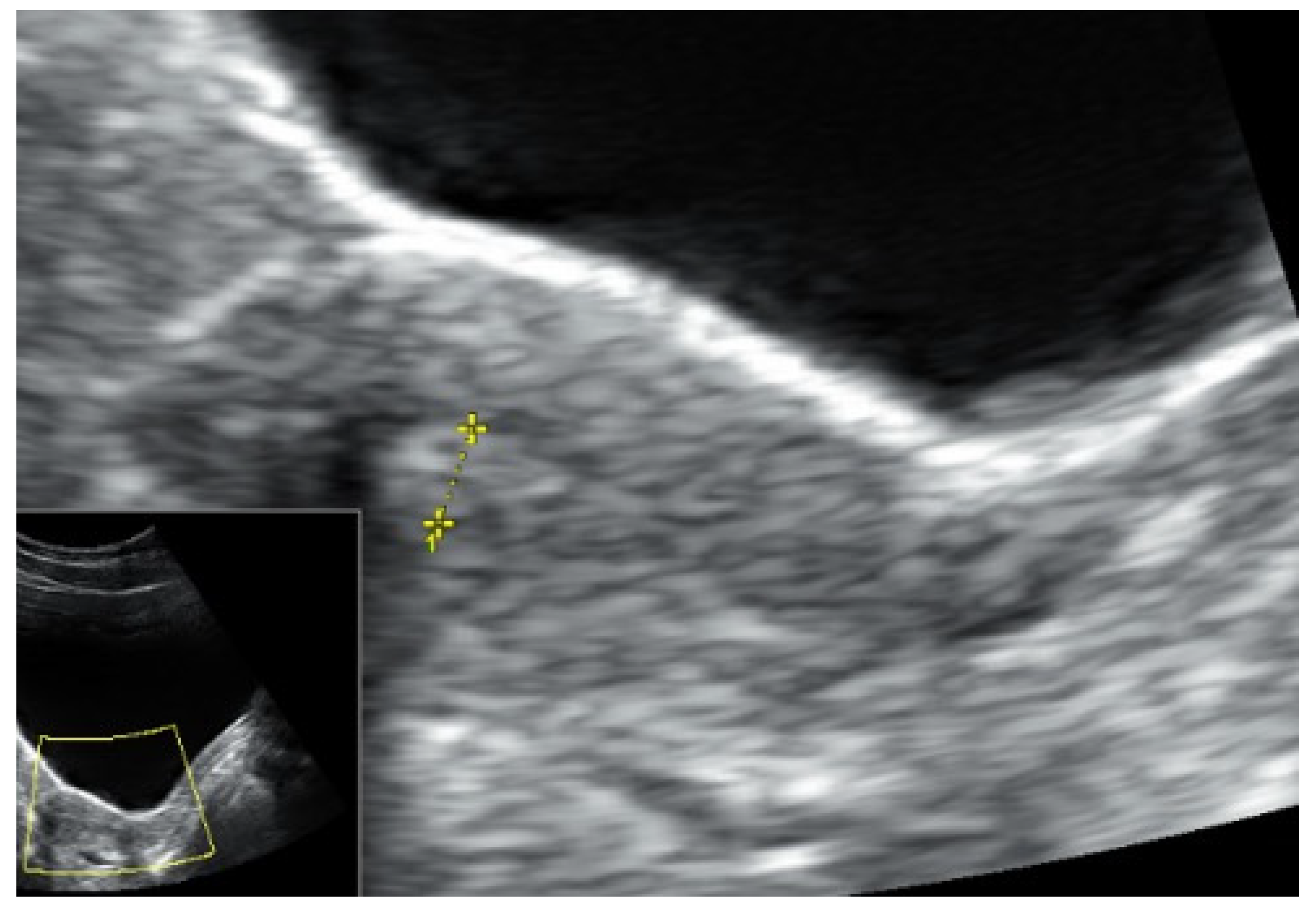
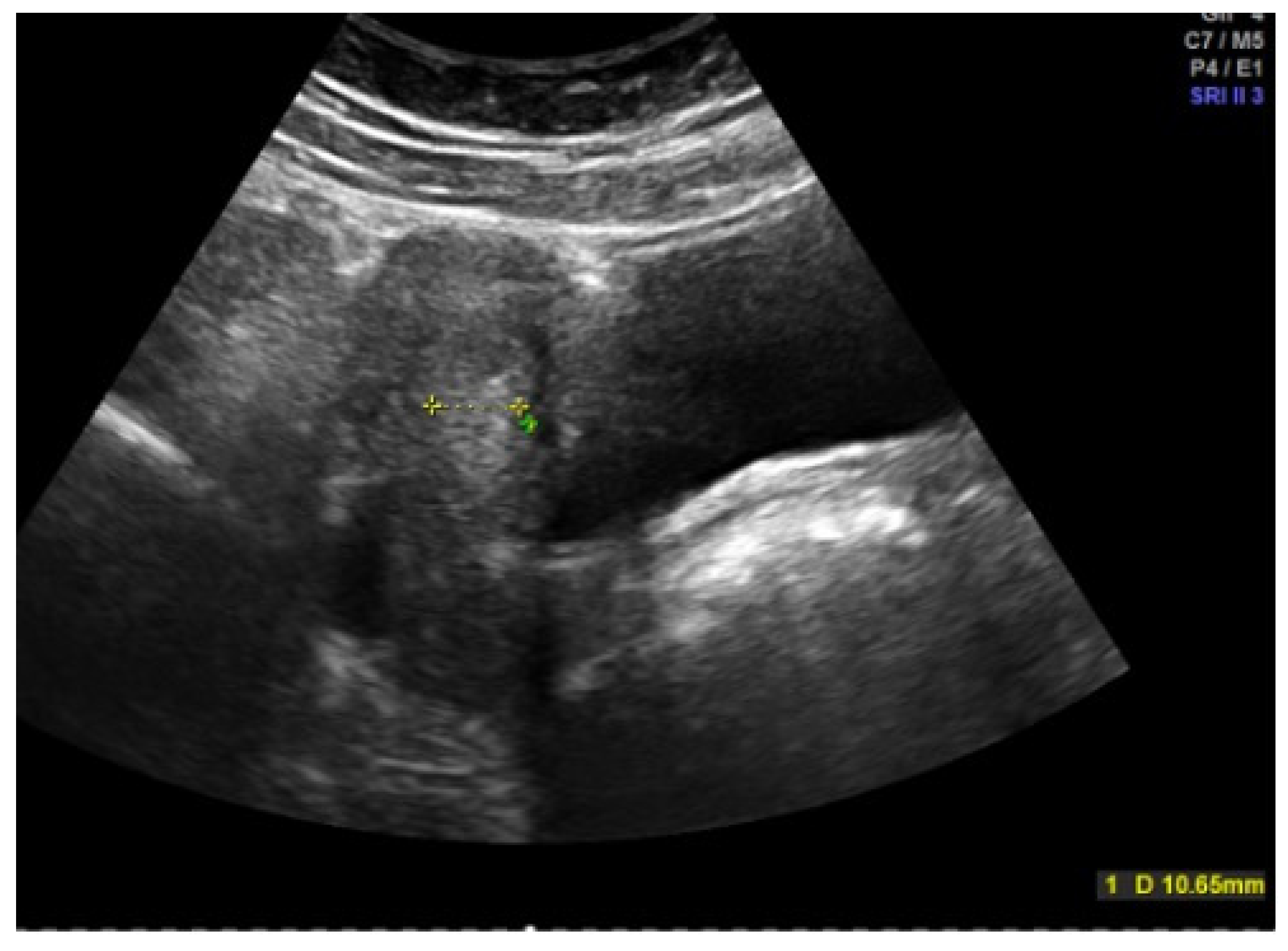
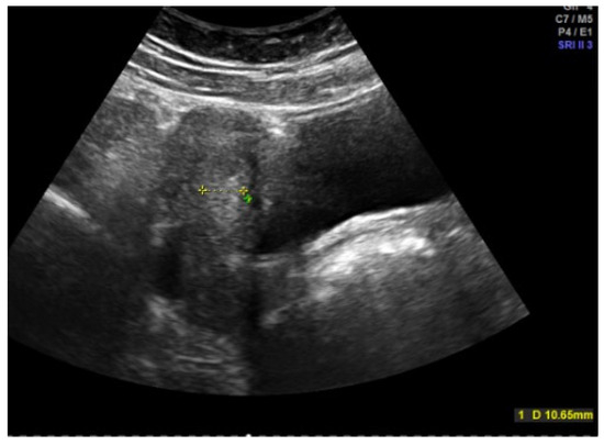
6.9. Dysmenorrhea with Endometriosis and Genital Malformations
6.10. Endometriosis
6.11. Genital Malformations
7. Conclusions
Funding
Conflicts of Interest
References
- WHO Adolescent-Health. Available online: https://www.who.int/health-topics/adolescent-health#tab=tab_1 (accessed on 10 April 2024).
- De Sanctis, V.; Bernasconi, S.; Bianchin, L.; Bona, G.; Bozzola, M.; Buzi, F.; De Sanctis, C.; Rigon, F.; Tatò, L.; Tonini, G.; et al. Onset of Menstrual Cycle and Menses Features among Secondary School Girls in Italy: A Questionnaire Study on 3783 Students. Indian J. Endocrinol. Metab. 2014, 18, 84. [Google Scholar] [CrossRef]
- Carlson, L.J.; Shaw, N.D. Development of Ovulatory Menstrual Cycles in Adolescent Girls. J. Pediatr. Adolesc. Gynecol. 2019, 32, 249–253. [Google Scholar] [CrossRef] [PubMed]
- De Sanctis, V.; Rigon, F.; Bernasconi, S.; Bianchin, L.; Bona, G.; Bozzola, M.; Buzi, F.; De Sanctis, C.; Tonini, G.; Radetti, G.; et al. Age at Menarche and Menstrual Abnormalities in Adolescence: Does It Matter? The Evidence from a Large Survey among Italian Secondary Schoolgirls. Indian J. Pediatr. 2019, 86, 34–41. [Google Scholar] [CrossRef] [PubMed]
- Kızılcan Çetin, S.; Aycan, Z.; Özsu, E.; Şıklar, Z.; Ceran, A.; Erişen Karaca, S.; Şenyazar, G.; Berberoğlu, M. Evaluation of Abnormal Uterine Bleeding in Adolescents: Single Center Experience. J. Clin. Res. Pediatr. Endocrinol. 2023, 15, 230–237. [Google Scholar] [CrossRef]
- Yaşa, C.; Güngör Uğurlucan, F. Approach to Abnormal Uterine Bleeding in Adolescents. J. Clin. Res. Pediatr. Endocrinol. 2020, 12, 401–410. [Google Scholar] [CrossRef]
- Hernandez, A.; Dietrich, J.E. Abnormal Uterine Bleeding in the Adolescent. Obstet. Gynecol. 2020, 135, 615–621. [Google Scholar] [CrossRef]
- Weyand, A.C.; Fitzgerald, K.D.; McGrath, M.; Gupta, V.; Braun, T.M.; Quint, E.H.; Choi, S.W. Depression in Female Adolescents with Heavy Menstrual Bleeding. J. Pediatr. 2022, 240, 171–176. [Google Scholar] [CrossRef]
- Luiro, K.; Holopainen, E. Heavy Menstrual Bleeding in Adolescent: Normal or a Sign of an Underlying Disease? Semin. Reprod. Med. 2022, 40, 023–031. [Google Scholar] [CrossRef]
- Hall, E.M.; Ravelo, A.E.; Aronoff, S.C.; Del Vecchio, M.T. Systematic Review and Meta-Analysis of the Etiology of Heavy Menstrual Bleeding in 2,770 Adolescent Females. BMC Women’s Health 2024, 24, 136. [Google Scholar] [CrossRef]
- Van ‘T Klooster, S.J.; De Vaan, A.; Van Leeuwen, J.; Pekel, L.; Van Rijn-van Kortenhof, N.M.; Engelen, E.T.; Van Greevenbroek, W.; Huisman, A.; Fischer, K.; Schutgens, R.E.G.; et al. Heavy Menstrual Bleeding in Adolescents: Incidence, Diagnostics, and Management Practices in Primary Care. Res. Pract. Thromb. Haemost. 2023, 7, 102229. [Google Scholar] [CrossRef]
- Trillo, A.; Kronenfeld, R.; Simms-Cendan, J.; Davis, J.A.; Corrales-Medina, F.F. High Prevalence of Congenital Factor VII (FVII) Deficiency in Adolescent Females with Heavy Menstrual Bleeding and Iron Deficiency Anemia. J. Pediatr. Adolesc. Gynecol. 2022, 35, 647–652. [Google Scholar] [CrossRef] [PubMed]
- O’Brien, B.; Mason, J.; Kimble, R. Bleeding Disorders in Adolescents with Heavy Menstrual Bleeding: The Queensland Statewide Paediatric and Adolescent Gynaecology Service. J. Pediatr. Adolesc. Gynecol. 2019, 32, 122–127. [Google Scholar] [CrossRef] [PubMed]
- Dowlut-McElroy, T.; Williams, K.B.; Carpenter, S.L.; Strickland, J.L. Menstrual Patterns and Treatment of Heavy Menstrual Bleeding in Adolescents with Bleeding Disorders. J. Pediatr. Adolesc. Gynecol. 2015, 28, 499–501. [Google Scholar] [CrossRef] [PubMed]
- Pennesi, C.M.; Quint, E.H.; Rosen, M.W.; Compton, S.D.; Odukoya, E.J.; Weyand, A.C. Outpatient Management of Heavy Menstrual Bleeding in Adolescent and Young Women with Inherited Platelet Function Disorders. J. Pediatr. Adolesc. Gynecol. 2020, 33, 489–493. [Google Scholar] [CrossRef]
- Screening and Management of Bleeding Disorders in Adolescents with Heavy Menstrual Bleeding: ACOG COMMITTEE OPINION SUMMARY, Number 785. Obstet. Gynecol. 2019, 134, 658–659. [CrossRef]
- Stoffers, V.L.; Weyand, A.C.; Quint, E.H.; Rosen, M.W. Assessment of Iron Status in Adolescents Presenting to the Emergency Department with Heavy Menstrual Bleeding. Pediatr. Emer. Care 2022, 38, e1266–e1270. [Google Scholar] [CrossRef]
- Zia, A.; Stanek, J.; Christian-Rancy, M.; Savelli, S.; O’Brien, S.H. Iron Deficiency and Fatigue among Adolescents with Bleeding Disorders. Am. J. Hematol. 2022, 97, 60–67. [Google Scholar] [CrossRef]
- O’Brien, S.H. Evaluation and Management of Heavy Menstrual Bleeding in Adolescents: The Role of the Hematologist. Hematology 2018, 2018, 390–398. [Google Scholar] [CrossRef]
- Burton, R.C.; Williams, C.E. Double-Dose Desogestrel: Is It Effective in Adolescent Menstrual Dysfunction? J. Pediatr. Adolesc. Gynecol. 2021, 34, 662–665. [Google Scholar] [CrossRef]
- General Approaches to Medical Management of Menstrual Suppression: ACOG Clinical Consensus No. 3. Obstet. Gynecol. 2022, 140, 528–541. [CrossRef]
- Rager, T.L.; Compton, S.D.; Winfrey, O.K.; Rosen, M.W. Norethindrone Dosing for Adequate Menstrual Suppression in Adolescents. J. Pediatr. Endocrinol. Metab. 2023, 36, 732–739. [Google Scholar] [CrossRef] [PubMed]
- Parks, M.A.; Zwayne, N.; Temkit, M. Bleeding Patterns among Adolescents Using the Levonorgestrel Intrauterine Device: A Single Institution Review. J. Pediatr. Adolesc. Gynecol. 2020, 33, 555–558. [Google Scholar] [CrossRef] [PubMed]
- Khalighi, M.; Wheeler, A.P.; Adeyemi-Fowode, O.A.; Kouides, P.A.; Durazo-Arvizu, R.A.; Haley, K.; Dersch, C.M.; Weyand, A.C.; Baldwin, M.K.; Borzutzky, C. Does a Bleeding Disorder Lessen the Efficacy of the 52-Mg Levonorgestrel-Releasing Intrauterine System for Heavy Menstrual Bleeding in Adolescents? A Retrospective Multicenter Study. J. Adolesc. Health 2022, 71, 204–209. [Google Scholar] [CrossRef] [PubMed]
- O’Flynn O’Brien, K.L.; Wheeler, A.P.; Borzutzky, C.; Haley, K.M.; Kouides, P.; Adeyemi-Fowode, O. Provider Attitudes and Practices Regarding Intrauterine System (IUS) Insertion in Adolescents With and Without Bleeding Disorders for Management of Heavy Menstrual Bleeding. J. Pediatr. Adolesc. Gynecol. 2021, 34, 514–521. [Google Scholar] [CrossRef]
- Kendel, N.E.; Zia, A.; Rosenbaum, L.E.; Stanek, J.R.; Haamid, F.W.; Christian-Rancy, M.; O’Brien, S.H. Intrauterine Device Outcomes in Young Women with Heavy Menstrual Bleeding: Comparing Patients with and without Inherited Bleeding Disorders. J. Pediatr. Adolesc. Gynecol. 2022, 35, 653–658. [Google Scholar] [CrossRef]
- O’Brien, S.H.; Saini, S.; Ziegler, H.; Christian-Rancy, M.; Ahuja, S.; Hege, K.; Savelli, S.L.; Vesely, S.K. An Open-Label, Single-Arm, Efficacy Study of Tranexamic Acid in Adolescents with Heavy Menstrual Bleeding. J. Pediatr. Adolesc. Gynecol. 2019, 32, 305–311. [Google Scholar] [CrossRef]
- Srivaths, L.V.; Dietrich, J.E.; Yee, D.L.; Sangi-Haghpeykar, H.; Mahoney, D. Oral Tranexamic Acid versus Combined Oral Contraceptives for Adolescent Heavy Menstrual Bleeding: A Pilot Study. J. Pediatr. Adolesc. Gynecol. 2015, 28, 254–257. [Google Scholar] [CrossRef]
- Seppä, S.; Kuiri-Hänninen, T.; Holopainen, E.; Voutilainen, R. MANAGEMENT OF ENDOCRINE DISEASE: Diagnosis and Management of Primary Amenorrhea and Female Delayed Puberty. Eur. J. Endocrinol. 2021, 184, R225–R242. [Google Scholar] [CrossRef]
- ESHRE Guideline on Premature Ovarian Insufficiency. Available online: https://www.eshre.eu/Guidelines-and-Legal/Guidelines/Premature-ovarian-insufficiency (accessed on 15 December 2024).
- AWMF Leitlinie: Weibliche Genitale Fehlbildungen. Available online: https://register.awmf.org/de/leitlinien/detail/015-052 (accessed on 15 March 2024).
- Kriplani, A.; Goyal, M.; Kachhawa, G.; Mahey, R.; Kulshrestha, V. Etiology and Management of Primary Amenorrhoea: A Study of 102 Cases at Tertiary Centre. Taiwan. J. Obstet. Gynecol. 2017, 56, 761–764. [Google Scholar] [CrossRef]
- Eren, E.; Saglam, H.; Cakir, E.D.P.; Tarim, O. Etiological Evaluation of Adolescents with Primary Amenorrhea. Indian J. Pediatr. 2014, 81, 861–865. [Google Scholar] [CrossRef]
- Mörö, S.; Kosola, S.; Holopainen, E. Girls Referred for Amenorrhea: Analysis of a Patient Series from a Specialist Center. Front. Public Health 2024, 12, 1304277. [Google Scholar] [CrossRef] [PubMed]
- Passoni, P.; Inzoli, A.; De Ponti, E.; Polizzi, S.; Ceccherelli, A.; Fantauzzi, M.; Procaccianti, C.; Cattoni, A.; Villa, S.; Riva, A.; et al. Association between Physical Activity and Menstrual Cycle Disorders in Young Athletes. Int. J. Sports Med. 2024, 45, 543–548. [Google Scholar] [CrossRef] [PubMed]
- Liu, Z.; Gong, Y.; Nagamoto, H.; Okunuki, T.; Yamaguchi, R.; Kobayashi, Y.; Li, Y.; Maemichi, T.; Kumai, T. Low Body Fat Percentage and Menstrual Cycle Disorders in Female Elite Adolescent Dancers. J. Danc. Med. Sci. 2024, 28, 109–116. [Google Scholar] [CrossRef] [PubMed]
- Barrack, M.T.; Van Loan, M.D.; Rauh, M.; Nichols, J.F. Disordered Eating, Development of Menstrual Irregularity, and Reduced Bone Mass Change After a 3-Year Follow-Up In Female Adolescent Endurance Runners. Int. J. Sport Nutr. Exerc. Metab. 2021, 31, 337–344. [Google Scholar] [CrossRef]
- Mehta, J.; Thompson, B.; Kling, J.M. The Female Athlete Triad: It Takes a Team. Clevel. Clin. J. Med. 2018, 85, 313–320. [Google Scholar] [CrossRef]
- Saldanha, N.; Fisher, M. Menstrual Disorders in Adolescents and Young Adults with Eating Disorders. Curr. Probl. Pediatr. Adolesc. Health Care 2022, 52, 101240. [Google Scholar] [CrossRef]
- Silveira, L.F.G.; MacColl, G.S.; Bouloux, P.M.G. Hypogonadotropic Hypogonadism. Semin. Reprod. Med. 2002, 20, 327–338. [Google Scholar] [CrossRef]
- Pedreira, C.C.; Maya, J.; Misra, M. Functional Hypothalamic Amenorrhea: Impact on Bone and Neuropsychiatric Outcomes. Front. Endocrinol. 2022, 13, 953180. [Google Scholar] [CrossRef]
- Lu, Y.; Lu, P.; Lin, L.; Chen, H.; Zhang, F.; Li, X. Characteristics of Bone Mineral Density in Patients with Functional Hypothalamic Amenorrhoea and Its Association with Reproductive Hormones and Body Composition. Clin. Endocrinol. 2024, 100, 358–365. [Google Scholar] [CrossRef]
- Nose-Ogura, S.; Yoshino, O.; Dohi, M.; Kigawa, M.; Harada, M.; Kawahara, T.; Osuga, Y.; Saito, S. Low Bone Mineral Density in Elite Female Athletes with a History of Secondary Amenorrhea in Their Teens. Clin. J. Sport Med. 2020, 30, 245–250. [Google Scholar] [CrossRef]
- Misra, M.; Klibanski, A. Anorexia Nervosa and Bone. J. Endocrinol. 2014, 221, R163–R176. [Google Scholar] [CrossRef] [PubMed]
- Klein, K.O.; Phillips, S.A. Review of Hormone Replacement Therapy in Girls and Adolescents with Hypogonadism. J. Pediatr. Adolesc. Gynecol. 2019, 32, 460–468. [Google Scholar] [CrossRef]
- Gravholt, C.H.; Andersen, N.H.; Christin-Maitre, S.; Davis, S.M.; Duijnhouwer, A.; Gawlik, A.; Maciel-Guerra, A.T.; Gutmark-Little, I.; Fleischer, K.; Hong, D.; et al. Clinical Practice Guidelines for the Care of Girls and Women with Turner Syndrome. Eur. J. Endocrinol. 2024, 190, G53–G151. [Google Scholar] [CrossRef]
- Ghosh, S.; Roy, S.; Pal, P.; Dutta, A.; Halder, A. Cytogenetic Analysis of Patients with Primary Amenorrhea in Eastern India. J. Obstet. Gynaecol. 2018, 38, 270–275. [Google Scholar] [CrossRef]
- Kanner, L.; Hakim, J.C.E.; Davis Kankanamge, C.; Patel, V.; Yu, V.; Podany, E.; Gomez-Lobo, V. Noncytotoxic-Related Primary Ovarian Insufficiency in Adolescents: Multicenter Case Series and Review. J. Pediatr. Adolesc. Gynecol. 2018, 31, 597–604. [Google Scholar] [CrossRef]
- Itonaga, T.; Koga, E.; Nishigaki, S.; Kawai, M.; Sakakibara, H.; Hasegawa, Y. A Retrospective Multicenter Study of Bone Mineral Density in Adolescents and Adults with Turner Syndrome in Japan. Endocr. J. 2020, 67, 1023–1028. [Google Scholar] [CrossRef]
- Hagen, C.P.; Aksglaede, L.; Sorensen, K.; Mouritsen, A.; Andersson, A.-M.; Petersen, J.H.; Main, K.M.; Juul, A. Individual Serum Levels of Anti-Mullerian Hormone in Healthy Girls Persist through Childhood and Adolescence: A Longitudinal Cohort Study. Hum. Reprod. 2012, 27, 861–866. [Google Scholar] [CrossRef]
- Teede, H.J.; Tay, C.T.; Laven, J.; Dokras, A.; Moran, L.J.; Piltonen, T.T.; Costello, M.F.; Boivin, J.; Redman, L.M.; Boyle, J.A.; et al. Recommendations from the 2023 International Evidence-Based Guideline for the Assessment and Management of Polycystic Ovary Syndrome. Hum. Reprod. 2023, 38, 1655–1679. [Google Scholar] [CrossRef]
- Carmina, E.; Dewailly, D.; Escobar-Morreale, H.F.; Kelestimur, F.; Moran, C.; Oberfield, S.; Witchel, S.F.; Azziz, R. Non-Classic Congenital Adrenal Hyperplasia Due to 21-Hydroxylase Deficiency Revisited: An Update with a Special Focus on Adolescent and Adult Women. Hum. Reprod. Update 2017, 23, 580–599. [Google Scholar] [CrossRef]
- Oliveira, J.C.; Sousa, F.C.; Campos, S.T.; Geraldes, F.B.; Belo, J.L.; Leite, M.H.; Mirante, M.A.; Águas, M.F. Congenital Adrenal Hyperplasia in Adolescence—A Gynecological Perspective. Ginekol. Pol. 2023, 94, 170–176. [Google Scholar] [CrossRef]
- Meczekalski, B.; Niwczyk, O.; Kostrzak, A.; Maciejewska-Jeske, M.; Bala, G.; Szeliga, A. PCOS in Adolescents—Ongoing Riddles in Diagnosis and Treatment. J. Clin. Med. 2023, 12, 1221. [Google Scholar] [CrossRef] [PubMed]
- Villarroel, C.; López, P.; Merino, P.M.; Iñiguez, G.; Sir-Petermann, T.; Codner, E. Hirsutism and Oligomenorrhea Are Appropriate Screening Criteria for Polycystic Ovary Syndrome in Adolescents. Gynecol. Endocrinol. 2015, 31, 625–629. [Google Scholar] [CrossRef] [PubMed]
- Da Silva Bouzas, I.C.; Cader, S.A.; Leão, L.; Kuschnir, M.C.; Braga, C. Menstrual Cycle Alterations during Adolescence: Early Expression of Metabolic Syndrome and Polycystic Ovary Syndrome. J. Pediatr. Adolesc. Gynecol. 2014, 27, 335–341. [Google Scholar] [CrossRef]
- West, S.; Lashen, H.; Bloigu, A.; Franks, S.; Puukka, K.; Ruokonen, A.; Jarvelin, M.-R.; Tapanainen, J.S.; Morin-Papunen, L. Irregular Menstruation and Hyperandrogenaemia in Adolescence Are Associated with Polycystic Ovary Syndrome and Infertility in Later Life: Northern Finland Birth Cohort 1986 Study. Hum. Reprod. 2014, 29, 2339–2351. [Google Scholar] [CrossRef]
- Borshuliak, A.V.; Andriiets, O.A.; Bakun, O.V.; Andriiets, A.V.; Andriiets, V.V.; Sheremet, M.I.; Varlas, V.N. State of Hormonal Balance in Adolescent Girls with Menstrual Function Disorders Associated with Obesity. J. Med. Life 2021, 14, 834–840. [Google Scholar] [CrossRef]
- AWMF: Endometriose. Available online: https://register.awmf.org/de/leitlinien/detail/015-045 (accessed on 30 March 2024).
- DiVasta, A.D.; Vitonis, A.F.; Laufer, M.R.; Missmer, S.A. Spectrum of Symptoms in Women Diagnosed with Endometriosis during Adolescence vs Adulthood. Am. J. Obstet. Gynecol. 2018, 218, 324.e1–324.e11. [Google Scholar] [CrossRef]
- Samaha, I.; Donayeva, A.; Amanzholkyzy, A.; Abdelazim, I.; Nurgaliyeva, R.; Gubasheva, G.; Saparbayev, S.; Ayaganov, D.; Kaldybayeva, A. The Impact of Primary Dysmenorrhea on Adolescents’ Activities and School Attendance. J. Med. Life 2023, 16, 1462–1467. [Google Scholar] [CrossRef]
- Zannoni, L.; Giorgi, M.; Spagnolo, E.; Montanari, G.; Villa, G.; Seracchioli, R. Dysmenorrhea, Absenteeism from School, and Symptoms Suspicious for Endometriosis in Adolescents. J. Pediatr. Adolesc. Gynecol. 2014, 27, 258–265. [Google Scholar] [CrossRef]
- Vercellini, P.; Bandini, V.; Viganò, P.; Ambruoso, D.; Cetera, G.E.; Somigliana, E. Proposal for Targeted, Neo-Evolutionary-Oriented Secondary Prevention of Early-Onset Endometriosis and Adenomyosis. Part II: Medical Interventions. Hum. Reprod. 2024, 39, 18–34. [Google Scholar] [CrossRef]
- Becker, C.M.; Bokor, A.; Heikinheimo, O.; Horne, A.; Jansen, F.; Kiesel, L.; King, K.; Kvaskoff, M.; Nap, A.; Petersen, K.; et al. ESHRE Guideline: Endometriosis. Hum. Reprod. Open 2022, 2022, hoac009. [Google Scholar] [CrossRef]
- Beloshevski, B.; Shimshy-Kramer, M.; Yekutiel, M.; Levinsohn-Tavor, O.; Eisenberg, N.; Smorgick, N. Delayed Diagnosis and Treatment of Adolescents and Young Women with Suspected Endometriosis. J. Gynecol. Obstet. Hum. Reprod. 2024, 53, 102737. [Google Scholar] [CrossRef]
- Martire, F.G.; Lazzeri, L.; Conway, F.; Siciliano, T.; Pietropolli, A.; Piccione, E.; Solima, E.; Centini, G.; Zupi, E.; Exacoustos, C. Adolescence and Endometriosis: Symptoms, Ultrasound Signs and Early Diagnosis. Fertil. Steril. 2020, 114, 1049–1057. [Google Scholar] [CrossRef] [PubMed]
- Whynott, R.M.; Mejia, R.B. Laparoscopic Resection of Functional, Noncommunicating Uterine Horn in Close Approximation to Functional Hemiuterus. Fertil. Steril. 2020, 114, 436–437. [Google Scholar] [CrossRef] [PubMed]
- Grimbizis, G.F.; Gordts, S.; Di Spiezio Sardo, A.; Brucker, S.; De Angelis, C.; Gergolet, M.; Li, T.-C.; Tanos, V.; Brolmann, H.; Gianaroli, L.; et al. The ESHRE/ESGE Consensus on the Classification of Female Genital Tract Congenital Anomalies. Hum. Reprod. 2013, 28, 2032–2044. [Google Scholar] [CrossRef] [PubMed]
- Mentessidou, A.; Mirilas, P. Surgical Disorders in Pediatric and Adolescent Gynecology: Vaginal and Uterine Anomalies. Int. J. Gynecol. Obstet. 2023, 160, 762–770. [Google Scholar] [CrossRef]
- Adamiak-Godlewska, A.; Skorupska, K.; Rechberger, T.; Romanek-Piva, K.; Miotła, P. Urogynecological and Sexual Functions after Vecchietti Reconstructive Surgery. BioMed Res. Int. 2019, 2019, 2360185. [Google Scholar] [CrossRef]
- Grimbizis, G.F.; Di Spiezio Sardo, A.; Saravelos, S.H.; Gordts, S.; Exacoustos, C.; Van Schoubroeck, D.; Bermejo, C.; Amso, N.N.; Nargund, G.; Timmerman, D.; et al. The Thessaloniki ESHRE/ESGE Consensus on Diagnosis of Female Genital Anomalies. Hum. Reprod. 2016, 31, 2–7. [Google Scholar] [CrossRef]







| Age | Age-Specific Suggestions | Dose |
|---|---|---|
| 12–13 years | No spontaneus development, and FSH is elevated | 17-β-estradiol (E2) Transdermal: 6.25 µg/day via patch Oral: 5 µg/kg/day or 0.25 mg/day |
| 12.5–15 years | Increase E2 dose at 6–12 month intervals over 2–3 years to adults’ dose | Transdermal: 12.5, 25, 37.5, 50, 75, 100 µg/day (adult dose: 100–200 µg/day) Oral: 5, 7.5, 10, 15 µg/kg/day (adult dose: 2–4 mg/day) |
| 14–16 years | Cyclic progesterone after 2 years or when breakthrough bleeding occurs | Oral micronized progesterone 100–200 mg/day or dydrogesterone 5–10 mg/day during 12–14 days of the month |
Disclaimer/Publisher’s Note: The statements, opinions and data contained in all publications are solely those of the individual author(s) and contributor(s) and not of MDPI and/or the editor(s). MDPI and/or the editor(s) disclaim responsibility for any injury to people or property resulting from any ideas, methods, instructions or products referred to in the content. |
© 2024 by the authors. Licensee MDPI, Basel, Switzerland. This article is an open access article distributed under the terms and conditions of the Creative Commons Attribution (CC BY) license (https://creativecommons.org/licenses/by/4.0/).
Share and Cite
Anthon, C.; Steinmann, M.; Vidal, A.; Dhakal, C. Menstrual Disorders in Adolescence: Diagnostic and Therapeutic Challenges. J. Clin. Med. 2024, 13, 7668. https://doi.org/10.3390/jcm13247668
Anthon C, Steinmann M, Vidal A, Dhakal C. Menstrual Disorders in Adolescence: Diagnostic and Therapeutic Challenges. Journal of Clinical Medicine. 2024; 13(24):7668. https://doi.org/10.3390/jcm13247668
Chicago/Turabian StyleAnthon, Christiane, Marcel Steinmann, Angela Vidal, and Carolin Dhakal. 2024. "Menstrual Disorders in Adolescence: Diagnostic and Therapeutic Challenges" Journal of Clinical Medicine 13, no. 24: 7668. https://doi.org/10.3390/jcm13247668
APA StyleAnthon, C., Steinmann, M., Vidal, A., & Dhakal, C. (2024). Menstrual Disorders in Adolescence: Diagnostic and Therapeutic Challenges. Journal of Clinical Medicine, 13(24), 7668. https://doi.org/10.3390/jcm13247668

