Computed Tomography Evaluation of Extracellular Volume for Predicting Prognosis in Patients with Severe Renal Dysfunction on Dialysis
Abstract
1. Introduction
2. Materials and Methods
2.1. Protocol for Computed Tomography
2.1.1. Non-Contrast Scan
2.1.2. Post-Contrast Scan (Early Phase)
2.1.3. Post-Contrast Scan (Late Phase)
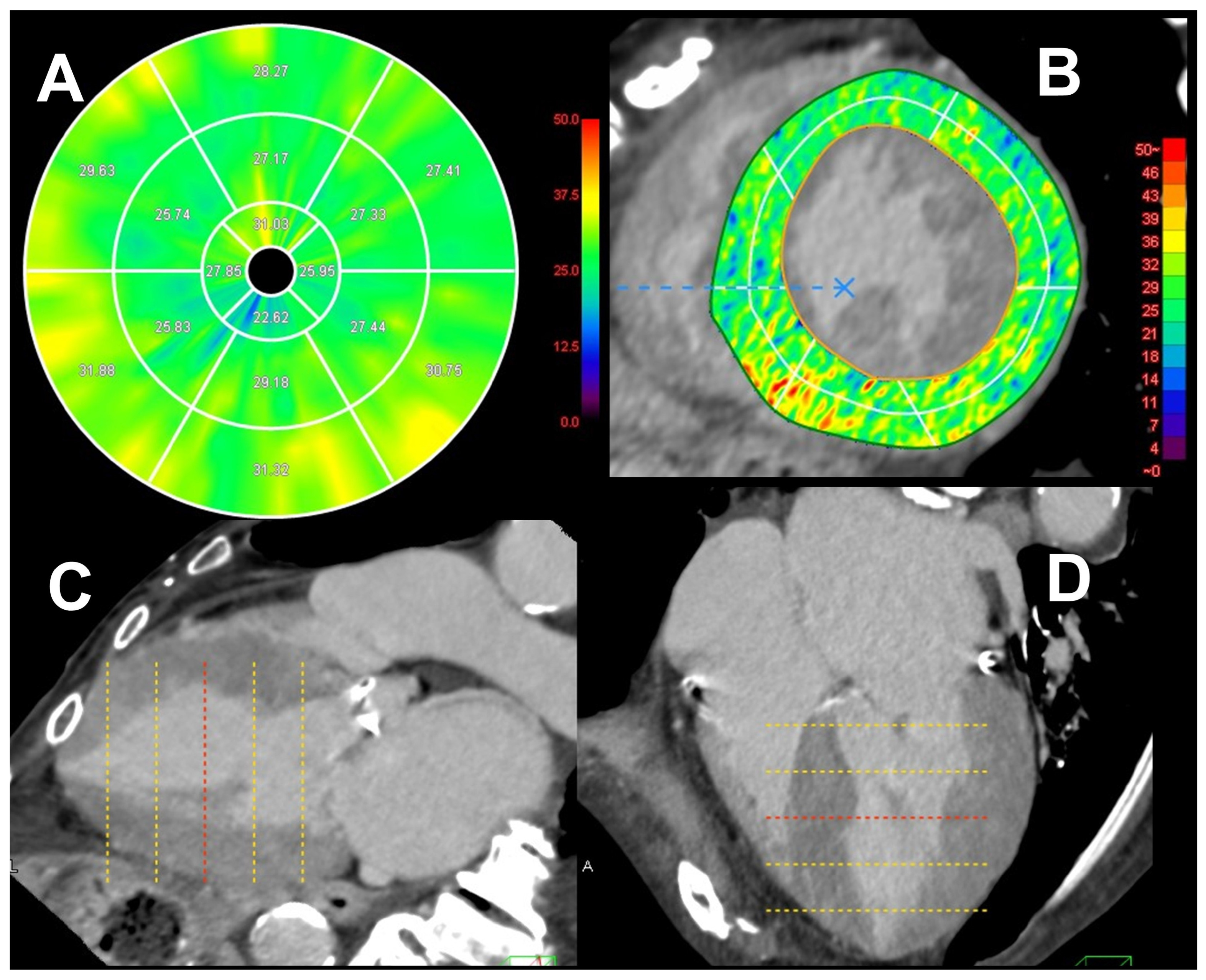
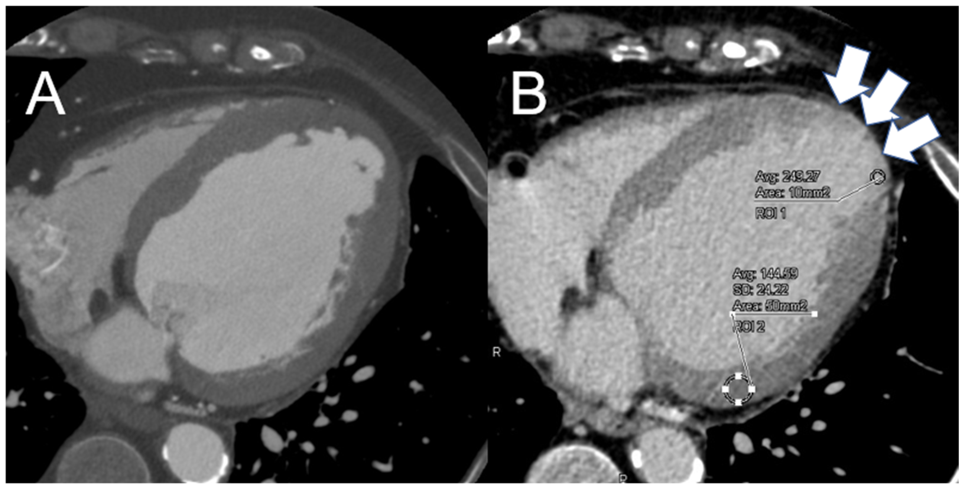
2.2. Analysis of ECV in CT
2.3. Statistical Analysis
3. Results
4. Discussion
4.1. ECV Analysis in Patients on Dialysis
4.2. Relationship Between MACE and ECV
4.3. Improving Image Quality in Late-Phase Enhancement
4.4. Clinical Significance of This Study
4.5. Limitations
5. Conclusions
Author Contributions
Funding
Institutional Review Board Statement
Informed Consent Statement
Data Availability Statement
Conflicts of Interest
References
- Ronco, C.; Haapio, M.; House, A.A.; Anavekar, N.; Bellomo, R. Cardiorenal syndrome. J. Am. Coll. Cardiol. 2008, 52, 1527–1539. [Google Scholar] [CrossRef] [PubMed]
- Cummings, K.W.; Bhalla, S.; Javidan-Nejad, C.; Bierhals, A.J.; Gutierrez, F.R.; Woodard, P.K. A Pattern-based Approach to Assessment of Delayed Enhancement in Nonischemic Cardiomyopathy at MR Imaging. RadioGraphics 2009, 29, 89–103. [Google Scholar] [CrossRef]
- Kiaos, A.; Antonakaki, D.; Bazmpani, M.-A.; Karvounis, C.; Rimoldi, O.; Karamitsos, T.D. Prognostic value of cardiovascular magnetic resonance T1 mapping techniques in non-ischemic dilated cardiomyopathy: A systematic review and meta-analysis. Int. J. Cardiol. 2020, 312, 110–116. [Google Scholar] [CrossRef]
- Avanesov, M.; Münch, J.; Weinrich, J.; Well, L.; Säring, D.; Stehning, C.; Tahir, E.; Bohnen, S.; Radunski, U.K.; Muellerleile, K.; et al. Prediction of the estimated 5-year risk of sudden cardiac death and syncope or non-sustained ventricular tachycardia in patients with hypertrophic cardiomyopathy using late gadolinium enhancement and extracellular volume CMR. Eur. Radiol. 2017, 27, 5136–5145. [Google Scholar] [CrossRef] [PubMed]
- Grobner, T.; Prischl, F. Gadolinium and nephrogenic systemic fibrosis. Kidney Int. 2007, 72, 260–264. [Google Scholar] [CrossRef]
- Taylor, A.J.; Cerqueira, M.; Hodgson, J.M.; Mark, D.; Min, J.; O’Gara, P.; Rubin, G.D. ACCF/SCCT/ACR/AHA/ASE/ASNC/NASCI/SCAI/SCMR 2010 appropriate use criteria for cardiac computed tomography. A report of the American College of Cardiology Foundation Appropriate Use Criteria Task Force, the Society of Cardiovascular Computed Tomography, the American College of Radiology, the American Heart Association, the American Society of Echocardiography, the American Society of Nuclear Cardiology, the North American Society for Cardiovascular Imaging, the Society for Cardiovascular Angiography and Interventions, and the Society for Cardiovascular Magnetic Resonance. J. Am. Coll. Cardiol. 2010, 56, 1864–1894. [Google Scholar] [CrossRef]
- Yashima, S.; Takaoka, H.; Iwahana, T.; Nishikawa, Y.; Ota, J.; Aoki, S.; Kinoshita, M.; Takahashi, M.; Sasaki, H.; Suzuki-Eguchi, N.; et al. Evaluation of extracellular volume by computed tomography is useful for prediction of prognosis in dilated cardiomyopathy. Heart Vessel. 2022, 38, 185–194. [Google Scholar] [CrossRef] [PubMed]
- Nacif, M.S.; Kawel, N.; Lee, J.J.; Chen, X.; Yao, J.; Zavodni, A.; Sibley, C.T.; Lima, J.A.C.; Liu, S.; Bluemke, D.A. Interstitial Myocardial Fibrosis Assessed as Extracellular Volume Fraction with Low-Radiation-Dose Cardiac CT. Radiology 2012, 264, 876–883. [Google Scholar] [CrossRef]
- Budoff, M.J.; Dowe, D.; Jollis, J.G.; Gitter, M.; Sutherland, J.; Halamert, E.; Scherer, M.; Bellinger, R.; Martin, A.; Benton, R.; et al. Diagnostic Performance of 64-Multidetector Row Coronary Computed Tomographic Angiography for Evaluation of coronary artery stenosis in individuals without known coronary artery disease: Results from the prospective multicenter ACCURACY (Assessment by Coronary Computed Tomographic Angiography of Individuals Undergoing Invasive Coronary Angiography) trial. J. Am. Coll. Cardiol. 2008, 52, 1724–1732. [Google Scholar] [CrossRef]
- Hamdy, A.; Kitagawa, K.; Goto, Y.; Yamada, A.; Nakamura, S.; Takafuji, M.; Nagasawa, N.; Sakuma, H. Comparison of the different imaging time points in delayed phase cardiac CT for myocardial scar assessment and extracellular volume fraction estimation in patients with old myocardial infarction. Int. J. Cardiovasc. Imaging 2019, 35, 917–926. [Google Scholar] [CrossRef]
- Yamada, A.; Kitagawa, K.; Nakamura, S.; Takafuji, M.; Goto, Y.; Okamoto, R.; Dohi, K.; Sakuma, H. Quantification of extracellular volume fraction by cardiac computed tomography for noninvasive assessment of myocardial fibrosis in hemodialysis patients. Sci. Rep. 2020, 10, 15367. [Google Scholar] [CrossRef]
- Cerqueira, M.D.; Weissman, N.J.; Dilsizian, V.; Jacobs, A.K.; Kaul, S.; Laskey, W.K.; Pennell, D.J.; Rumberger, J.A.; Ryan, T.; Verani, M.S. Standardized myocardial segmentation and nomenclature for tomographic imaging of the heart. Circulation 2002, 105, 539–542. [Google Scholar] [CrossRef]
- Austen, W.; Edwards, J.; Frye, R.; Gensini, G.; Gott, V.; Griffith, L.; McGoon, D.; Murphy, M.; Roe, B. A reporting system on patients evaluated for coronary artery disease. Report of the Ad Hoc Committee for Grading of Coronary Artery Disease, Council on Cardiovascular Surgery, American Heart Association. Circulation 1975, 51 (Suppl. S4), 5–40. [Google Scholar] [CrossRef]
- Nieman, K.; Shapiro, M.D.; Ferencik, M.; Nomura, C.H.; Abbara, S.; Hoffmann, U.; Gold, H.K.; Jang, I.-K.; Brady, T.J.; Cury, R.C. Reperfused Myocardial Infarction: Contrast-enhanced 64-Section CT in Comparison to MR Imaging. Radiology 2008, 247, 49–56. [Google Scholar] [CrossRef] [PubMed]
- Aoki, S.; Takaoka, H.; Ota, J.; Kanaeda, T.; Sakai, T.; Matsumoto, K.; Noguchi, Y.; Nishikawa, Y.; Yashima, S.; Suzuki, K.; et al. Strong Diagnostic Performance of Single Energy 256-row Multidetector Computed Tomography with Deep Learning Image Reconstruction in the Assessment of Myocardial Fibrosis. Intern Med. 2024, 63, 2499–2507. [Google Scholar] [CrossRef]
- Hiyamuta, H.; Tanaka, S.; Taniguchi, M.; Tokumoto, M.; Fujisaki, K.; Nakano, T.; Tsuruya, K.; Kitazono, T. The Incidence and Associated Factors of Sudden Death in Patients on Hemodialysis: 10-Year Outcome of the Q-Cohort Study. J. Atheroscler. Thromb. 2020, 27, 306–318. [Google Scholar] [CrossRef]
- Nakamori, S.; Dohi, K.; Ishida, M.; Goto, Y.; Imanaka-Yoshida, K.; Omori, T.; Goto, I.; Kumagai, N.; Fujimoto, N.; Ichikawa, Y.; et al. Native T1 Mapping and Extracellular Volume Mapping for the Assessment of Diffuse Myocardial Fibrosis in Dilated Cardiomyopathy. JACC Cardiovasc. Imaging 2018, 11, 48–59. [Google Scholar] [CrossRef]
- Aus dem Siepen, F.; Buss, S.J.; Messroghli, D.; Andre, F.; Lossnitzer, D.; Seitz, S.; Keller, M.; Schnabel, P.A.; Giannitsis, E.; Korosoglou, G.; et al. T1 mapping in dilated cardiomyopathy with cardiac magnetic resonance: Quantification of diffuse myocardial fibrosis and comparison with endomyocardial biopsy. Eur. Heart J. Cardiovasc. Imaging 2015, 16, 210–216. [Google Scholar] [CrossRef]
- Becker, M.A.; Cornel, J.H.; van de Ven, P.M.; van Rossum, A.C.; Allaart, C.P.; Germans, T. The Prognostic Value of Late Gadolinium-Enhanced Cardiac Magnetic Resonance Imaging in Nonischemic Dilated Cardiomyopathy: A Review and Meta-Analysis. JACC Cardiovasc. Imaging 2018, 11, 1274–1284. [Google Scholar] [CrossRef]
- Yu, L.; Bruesewitz, M.R.; Thomas, K.B.; Fletcher, J.G.; Kofler, J.M.; McCollough, C.H. Optimal Tube Potential for Radiation Dose Reduction in Pediatric CT: Principles, Clinical Implementations, and Pitfalls. RadioGraphics 2011, 31, 835–848. [Google Scholar] [CrossRef]
- Kitaoka, H.; Izumi, C.; Izumiya, Y.; Inomata, T.; Ueda, M.; Kubo, T.; Koyama, J.; Sano, M.; Sekijima, Y.; Tahara, N.; et al. JCS 2020 Guideline on Diagnosis and Treatment of Cardiac Amyloidosis. Circ. J. 2020, 84, 1610–1671. [Google Scholar] [CrossRef]



| MACEs (+) (N = 15) | MACEs (-) (N = 42) | p-Value | ||
|---|---|---|---|---|
| Age, years | 66 ± 9 | 70 ± 13 | 0.293 | |
| Male, n (%) | 11 (73) | 29 (69) | 1.000 | |
| Body mass index, kg/m2 | 23 ± 4 | 23 ± 4 | 0.789 | |
| Past history | Hypertension, n (%) | 13 (87) | 30 (71) | 0.312 |
| Dyslipidemia, n (%) | 7 (47) | 18 (43) | 1.000 | |
| Diabetes mellitus, n (%) | 6 (40) | 17 (40) | 1.000 | |
| Atrial fibrillation, n (%) | 2 (13) | 5 (12) | 1.000 | |
| Post-mechanical device implantation, n (%) | 3 (20) | 5 (12) | 0.422 | |
| Post-coronary artery revascularization, n (%) | 4 (27) | 17 (40) | 0.534 | |
| Post-valvular surgery, n (%) | 3 (20) | 4 (10) | 0.365 | |
| Old myocardial infarction (%) | 6 (40) | 8 (19) | 0.161 | |
| Familial history of coronary artery disease, n (%) | 0 (0) | 5 (12) | 0.314 | |
| Hematocrit (%) | 29 ± 5 | 34 ± 5 | <0.001 | |
| Serum phosphorus level (mg/dL) | 4.1 ± 1.9 | 4.7 ± 1.4 | 0.186 | |
| Serum CRP level (mg/dL) | 3.8 ± 5.2 | 1.7 ± 3.2 | 0.075 | |
| Plasma BNP level (pg/dL) | 1481 ± 997 | 807 ± 1109 | 0.0499 | |
| CTR in chest X-ray (%) | 57.7 ± 5.0 | 55.9 ± 7.9 | 0.420 | |
| TTE findings | LVEF in TTE (%) | 50 ± 17 | 54 ± 13 | 0.392 |
| Average E/e′ of LVM in TTE (%) | 14 ± 4 | 16 ± 9 | 0.331 | |
| Significant valvular disease (≥moderate) in TTE, n (%) | 9 (60%) | 10 (24%) | 0.023 | |
| Left atrial volume (mL) | 66 ± 22 | 72 ± 36 | 0.572 | |
| Cardiac CT findings | Significant coronary artery stenosis in CT, n (%) | 8 (53%) | 26 (62%) | 0.760 |
| Agatston calcium score | 1371 ± 1234 | 3457 ± 8327 | 0.341 | |
| Presence of late enhancement of LVM in CT | 3 (20%) | 19 (45%) | 0.124 | |
| ECV of LVM in CT | 40.29 ± 8.23 | 33.76 ± 4.60 | 0.0004 | |
| Treatments | Revascularization of coronary arteries during follow-up | 5 (33) | 10 (24) | 0.507 |
| Valvular surgery during follow-up | 3 (20) | 8 (19) | 1.000 | |
| Administration of β-blocker, n (%) | 7 (47) | 19 (45) | 1.000 | |
| Administration of statin, n (%) | 2 (13) | 20 (48) | 0.029 | |
| Administration of ACE-i or ARB, n (%) | 6 (40) | 17 (40) | 1.000 | |
| ECV ≥ 37.26 (%) (N = 18) | ECV < 37.26 (%) (N = 39) | p-Value | ||
|---|---|---|---|---|
| Age, years | 65 ± 10 | 70 ± 13 | 0.180 | |
| Male, n (%) | 15 (83%) | 25 (64%) | 0.214 | |
| Body mass index, kg/m2 | 23 ± 4 | 23 ± 4 | 0.881 | |
| Hematocrit (%) | 30 ± 5 | 34 ± 5 | 0.019 | |
| Familial history of coronary artery disease, n (%) | 0 (0%) | 5 (13%) | 0.310 | |
| Medical treatments | Administration of β-blocker, n (%) | 8 (44%) | 18 (46%) | 1.000 |
| Administration of statin, n (%) | 5 (28%) | 17 (44%) | 0.381 | |
| Administration of ACE-i or ARB, n (%) | 7 (39%) | 16 (41%) | 1.000 | |
| Revascularization of coronary arteries during follow-up | 4 (22%) | 10 (28%) | 1.000 | |
| Valvular surgery during follow-up | 3 (17%) | 8 (21%) | 1.000 | |
| Serum phosphorus level (mg/dL) | 4.1 ± 1.6 | 4.8 ± 1.5 | 0.103 | |
| Serum CRP level (mg/dL) | 3.3 ± 4.9 | 1.8 ± 3.2 | 0.147 | |
| Plasma BNP level (pg/dL) | 1485 ± 1038 | 750 ± 1080 | 0.023 | |
| CTR in chest X-ray (%) | 59.1 ± 6.2 | 55.1 ± 7.4 | 0.050 | |
| Past history | Hypertension, n (%) | 13 (72%) | 30 (77%) | 0.702 |
| Dyslipidemia, n (%) | 6 (33%) | 19 (49%) | 0.391 | |
| Diabetes mellitus, n (%) | 8 (44%) | 15 (38%) | 0.669 | |
| Atrial fibrillation, n (%) | 4 (22%) | 3 (8%) | 0.191 | |
| Post-coronary artery revascularization, n (%) | 7 (39%) | 15 (38%) | 1.000 | |
| Post-valvular surgery, n (%) | 4 (22%) | 3 (8%) | 0.191 | |
| Old myocardial infarction (%) | 6 (33%) | 8 (21%) | 0.334 | |
| TTE findings | LVEF in TTE (%) | 50 ± 15 | 54 ± 13 | 0.329 |
| Average E/e’ of LVM on TTE (%) | 14 ± 5 | 16 ± 10 | 0.430 | |
| Significant valvular disease (≥moderate) in TTE, n (%) | 11 (61%) | 8 (21%) | 0.005 | |
| Left atrial volume (mL) | 74 ± 23 | 69 ± 37 | 0.551 | |
| CT findings | Significant coronary artery stenosis in CT, n (%) | 10 (56%) | 24 (62%) | 0.774 |
| Agatston calcium score | 1912 ± 2077 | 3367 ± 8064 | 0.484 | |
| Univariate | ||
|---|---|---|
| Hazard Ratio (95% Confidence Interval) | p-Value | |
| Hematocrit (%) | 0.933 (0.831–1.041) | 0.218 |
| Plasma BNP level (pg/dL) | 1.000 (0.9999–1.001) | 0.105 |
| LV-ECV in CT ≥ 37.26 (%) | 4.585 (1.28–16.48) | 0.020 |
| Significant valvular disease (≥moderate) in TTE, n (%) | 2.597 (0.918–7.351) | 0.072 |
| Administration of Statin | 0.8212 (0.1655–6.041) | 0.557 |
Disclaimer/Publisher’s Note: The statements, opinions and data contained in all publications are solely those of the individual author(s) and contributor(s) and not of MDPI and/or the editor(s). MDPI and/or the editor(s) disclaim responsibility for any injury to people or property resulting from any ideas, methods, instructions or products referred to in the content. |
© 2024 by the authors. Licensee MDPI, Basel, Switzerland. This article is an open access article distributed under the terms and conditions of the Creative Commons Attribution (CC BY) license (https://creativecommons.org/licenses/by/4.0/).
Share and Cite
Goto, H.; Takaoka, H.; Ota, J.; Noguchi, Y.; Nishikawa, Y.; Matsumoto, M.; Yoshida, K.; Suzuki, K.; Aoki, S.; Yashima, S.; et al. Computed Tomography Evaluation of Extracellular Volume for Predicting Prognosis in Patients with Severe Renal Dysfunction on Dialysis. J. Clin. Med. 2024, 13, 7561. https://doi.org/10.3390/jcm13247561
Goto H, Takaoka H, Ota J, Noguchi Y, Nishikawa Y, Matsumoto M, Yoshida K, Suzuki K, Aoki S, Yashima S, et al. Computed Tomography Evaluation of Extracellular Volume for Predicting Prognosis in Patients with Severe Renal Dysfunction on Dialysis. Journal of Clinical Medicine. 2024; 13(24):7561. https://doi.org/10.3390/jcm13247561
Chicago/Turabian StyleGoto, Hiroki, Hiroyuki Takaoka, Joji Ota, Yoshitada Noguchi, Yusei Nishikawa, Moe Matsumoto, Kazuki Yoshida, Katsuya Suzuki, Shuhei Aoki, Satomi Yashima, and et al. 2024. "Computed Tomography Evaluation of Extracellular Volume for Predicting Prognosis in Patients with Severe Renal Dysfunction on Dialysis" Journal of Clinical Medicine 13, no. 24: 7561. https://doi.org/10.3390/jcm13247561
APA StyleGoto, H., Takaoka, H., Ota, J., Noguchi, Y., Nishikawa, Y., Matsumoto, M., Yoshida, K., Suzuki, K., Aoki, S., Yashima, S., Kinoshita, M., Sasaki, H., Suzuki-Eguchi, N., & Kobayashi, Y. (2024). Computed Tomography Evaluation of Extracellular Volume for Predicting Prognosis in Patients with Severe Renal Dysfunction on Dialysis. Journal of Clinical Medicine, 13(24), 7561. https://doi.org/10.3390/jcm13247561

