The Occurrence and Outcomes of Cemento-Osseous Dysplasias (COD) in the Jaw Bones of the Population of Lower Silesia, Poland
Abstract
1. Introduction
2. Material and Methods
2.1. Study Design
2.2. Radiography Characteristics
2.3. Methods—Radiological Measurements
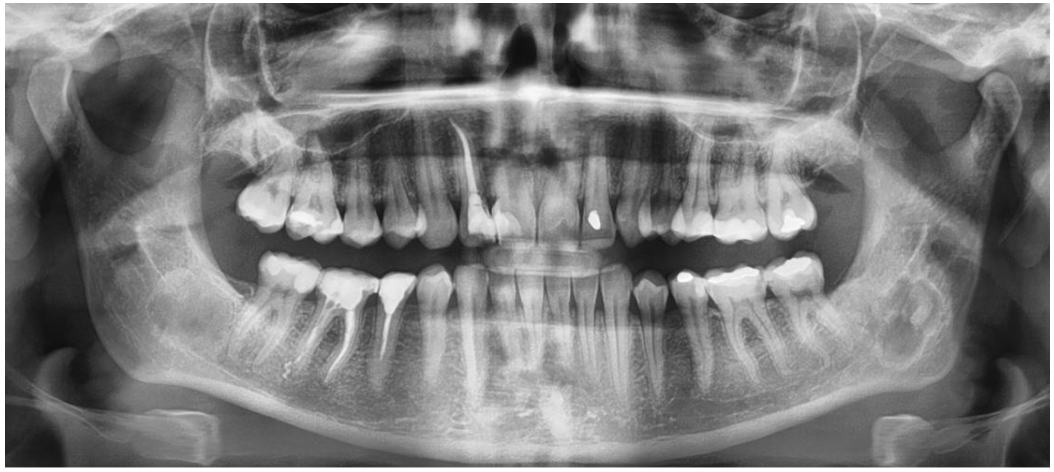
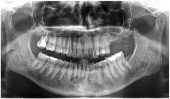
- mixed radiolucent/radiopaque lesion (depending on the stage of COD maturation), Figure 1.
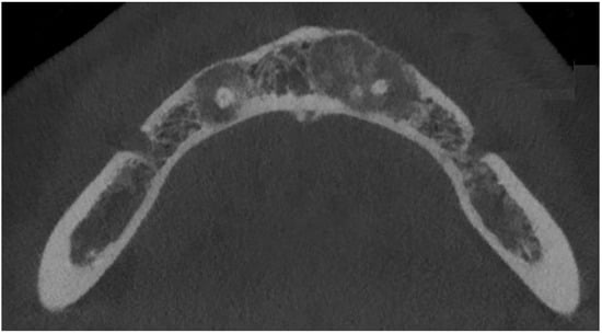
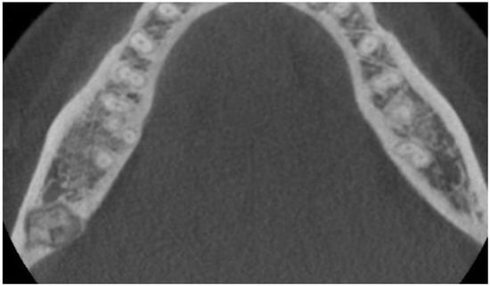
- present in the jaw/maxilla in tooth-bearing areas, Figure 3
- radiolucent with/without radio-opacities with thin radiolucent rim, Figure 2
- self-limiting radiolucency, Figure 4
- associated with anterior/posterior teeth (Figure 2)
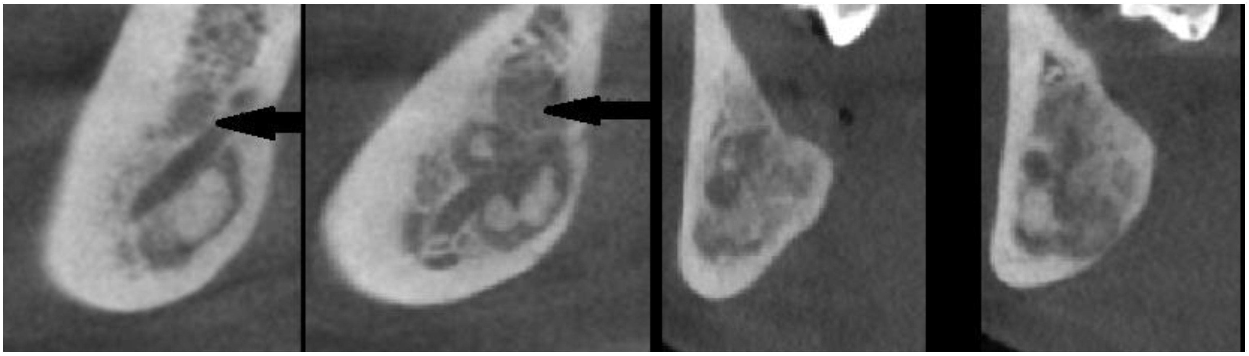
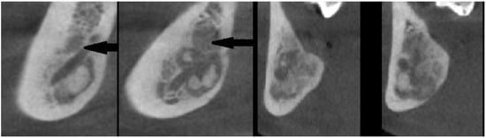
- various stages of calcifying masses inside of the lesion, Figure 5
- may cause cortical expansion or teeth displacement, Figure 5.
- no changes within the teeth root apex, Figure 3
2.4. Statistical Analysis
3. Results
3.1. COD and Sex-Related Differencess
3.2. Multifocal and Single COD Localizations
3.3. COD Symptoms and Decision-Making
3.4. COD Outcomes
3.5. COD Localization and Symptoms
4. Discussion
5. Conclusions
Author Contributions
Funding
Institutional Review Board Statement
Informed Consent Statement
Data Availability Statement
Conflicts of Interest
References
- Avril, L.; Lombardi, T.; Ailianou, A.; Burkhardt, K.; Varoquaux, A.; Scolozzi, P.; Becker, M. Radiolucent lesions of the mandible: A pattern-based approach to diagnosis. Insights Imaging 2014, 5, 85–101. [Google Scholar] [CrossRef]
- Soluk-Tekkesin, M.; Wright, J.M. The World Health Organization Classification of Odontogenic Lesions: A Summary of the Changes of the 2022 (5th) Edition. Turk. J. Pathol. 2022, 38, 168–184. [Google Scholar] [CrossRef] [PubMed] [PubMed Central]
- Vanhoenacker, F.M.; Bosmans, F.; Vanhoenacker, C.; Bernaerts, A. Imaging of Mixed and Radiopaque Jaw Lesions. Semin. Musculoskelet. Radiol. 2020, 24, 558–569. [Google Scholar] [CrossRef] [PubMed]
- Albagieh, H.; Aldosari, M.; Alkhathlan, A.; Alfawaz, N.; Almutairi, M. Radiolucent lesions that may resemble inflammatory periapical lesions: A review article. Saudi Dent. J. 2023, 35, 916–919. [Google Scholar] [CrossRef] [PubMed] [PubMed Central]
- Holmes, K.R.; Holmes, R.D.; Martin, M.; Murray, N. Practical Approach to Radiopaque Jaw Lesions. Radiographics 2021, 41, 1164–1185. [Google Scholar] [CrossRef] [PubMed]
- McLean, A.C.; Vargas, P.A. Cystic Lesions of the Jaws: The Top 10 Differential Diagnoses to Ponder. Head Neck Pathol. 2023, 17, 85–98. [Google Scholar] [CrossRef] [PubMed] [PubMed Central]
- Dhanuthai, K.; Chiramanaphan, K.; Tevavichulada, V.; Tangwongwarachai, S.; Chantarangsu, S. Intraosseous jaw lesions: A 25-year experience. J. Oral Maxillofac. Pathol. 2022, 26, 595. [Google Scholar] [CrossRef] [PubMed] [PubMed Central]
- Urs, A.B.; Augustine, J.; Gupta, S. Cemento-osseous dysplasia: Clinicopathological spectrum of 10 cases analyzed in a tertiary dental institute. J. Oral Maxillofac. Pathol. 2020, 24, 576. [Google Scholar] [CrossRef] [PubMed] [PubMed Central]
- Salvi, A.S.; Patankar, S.; Desai, K.; Wankhedkar, D. Focal cemento-osseous dysplasia: A case report with a review of literature. J. Oral Maxillofac. Pathol. 2020, 24 (Suppl. 1), S15–S18. [Google Scholar] [CrossRef] [PubMed] [PubMed Central]
- Benaessa, M.M.; Mahomed, F.; Ngwenya, S.P. A retrospective clinico-pathologic analysis of cemento-osseous dysplasia in a South African patient population. Afr. Health Sci. 2019, 19, 3154–3159. [Google Scholar] [CrossRef] [PubMed] [PubMed Central]
- Alsufyani, N.A.; Lam, E.W. Cemento-osseous dysplasia of the jaw bones: Key radiographic features. Dentomaxillofac. Radiol. 2011, 40, 141–146. [Google Scholar] [CrossRef] [PubMed] [PubMed Central]
- Decolibus, K.; Shahrabi-Farahani, S.; Brar, A.; Rasner, S.D.; Aguirre, S.E.; Owosho, A.A. Cemento-Osseous Dysplasia of the Jaw: Demographic and Clinical Analysis of 191 New Cases. Dent. J. 2023, 11, 138. [Google Scholar] [CrossRef]
- The Jamovi Project. jamovi. Version 2.5. [Computer Software]. 2024. Available online: https://www.jamovi.org (accessed on 15 November 2024).
- R Core Team. R: A Language and Environment for Statistical Computing; Version 4.3 [Computer Software]; R Core Team: Vienna, Austria, 2023; R Packages Retrieved from CRAN Snapshot. Available online: https://cran.r-project.org (accessed on 9 January 2024).
- Kato, C.N.; Barra, S.G.; Pereira, M.J.; Gomes, L.T.; Amaral, T.M.; Abreu, L.G.; Brasileiro, C.B.; Mesquita, R.A. Mandibular radiomorphometric parameters of women with cemento-osseous dysplasia. Dentomaxillofac. Radiol. 2020, 49, 20190359. [Google Scholar] [CrossRef] [PubMed] [PubMed Central]
- Yeom, H.G.; Yoon, J.H. Concomitant cemento-osseous dysplasia and aneurysmal bone cyst of the mandible: A rare case report with literature review. BMC Oral Health 2020, 20, 276. [Google Scholar] [CrossRef] [PubMed] [PubMed Central]
- Olgac, V.; Sinanoglu, A.; Selvi, F.; Soluk-Tekkesin, M. A clinicopathologic analysis of 135 cases of cemento-osseous dysplasia: To operate or not to operate? J. Stomatol. Oral Maxillofac. Surg. 2021, 122, 278–282. [Google Scholar] [CrossRef] [PubMed]
- Kungoane, T.; Robinson, L. Florid Cemento-Osseous Dysplasia with a Concurrent Glandular Odontogenic Cyst. Head Neck Pathol. 2021, 15, 262–266. [Google Scholar] [CrossRef] [PubMed] [PubMed Central]
- Arsan, B. Cone beam computed tomography analysis of mandibular inferior cortical thickness and bone texture in cemento-osseous dysplasia. Oral Surg. Oral Med. Oral Pathol. Oral Radiol. 2022, 134, 110–118. [Google Scholar] [CrossRef] [PubMed]
- Mlouka, M.; Tlili, M.; Khanfir, F.; Hamrouni, A.; Khalfi, M.S.; Ben Amor, F. Implant placement in a focal cemento-osseous dysplasia: A modified protocol with a successful outcome. Clin. Case Rep. 2022, 10, e05307. [Google Scholar] [CrossRef] [PubMed] [PubMed Central]
- Aiuto, R.; Gucciardino, F.; Rapetti, R.; Siervo, S.; Bianch, A.E. Management of symptomatic florid cemento-osseous dysplasia: Literature review and a case report. J. Clin. Exp. Dent. 2018, 10, e291–e295. [Google Scholar] [CrossRef] [PubMed] [PubMed Central]
- Nishimura, S.; Oda, M.; Habu, M.; Takahashi, O.; Tsurushima, H.; Otani, T.; Yoshiga, D.; Wakasugi-Sato, N.; Matsumoto-Takeda, S.; Nishina, S.; et al. Imaging Characteristics of Embedded Tooth-Associated Cemento-Osseous Dysplasia by Retrospective Study. Tomography 2024, 10, 231–242. [Google Scholar] [CrossRef] [PubMed] [PubMed Central]
- Nel, C.; Yakoob, Z.; Schouwstra, C.M.; van Heerden, W.F. Familial florid cemento-osseous dysplasia: A report of three cases and review of the literature. Dentomaxillofac. Radiol. 2021, 50, 20190486. [Google Scholar] [CrossRef] [PubMed]
- Zhang, L.; Wang, Y.; Gu, Y.; Hou, Y.; Chen, Z. The need for bone biopsies in the diagnosis of new bone lesions in patients with a known primary malignancy: A comparative review of 117 biopsy cases. J. Bone Oncol. 2018, 14, 100213. [Google Scholar] [CrossRef] [PubMed] [PubMed Central]
- Tidke, P.; Gupta, N.; Patil, D.; Ghadage, M.; Sinha, A.; Dalave, P.; Makkad, R.S. Periapical Cemento-Osseous Dysplasia: A Journey from Diagnostic Dilemma to Accurate Diagnosis with Use of 3D Imaging. J. Pharm. Bioallied Sci. 2024, 16 (Suppl. 1), S951–S954. [Google Scholar] [CrossRef] [PubMed] [PubMed Central]
- Berberi, A. Clinical, CBCT and Histological Analysis of a Florid Cemento-Osseous Dysplasia with Co-Occurrence of Simple Bone Cyst in the Mandible: A Case Report. J. Dent. 2024, 25, 278–287. [Google Scholar] [CrossRef] [PubMed] [PubMed Central]
- Ma, Y.; Fang, D.; Ji, M. Periapical cemento-osseous dysplasia masquerading as asymptomatic chronic apical periodontitis in a Chinese woman: A case report. Clin. Case Rep. 2024, 12, e9551. [Google Scholar] [CrossRef] [PubMed] [PubMed Central]
- Hajjami, F.; Ouertani, H.; Brahem, H.; Mehrez, H.; Blouza, I.; Khattech, M.B. Association of simple bone cyst and cemento-osseous dysplasia: A long-term follow-up. Clin. Case Rep. 2023, 11, e7161. [Google Scholar] [CrossRef] [PubMed] [PubMed Central]
- Fatani, B.; Alotaibi, A.G.; Alzahrani, Y.; Almahmoud, M.I. Periapical Cemento-Osseous Dysplasia in a Medically Compromised Patient: A Case Report. Cureus 2023, 15, e39623. [Google Scholar] [CrossRef] [PubMed] [PubMed Central]












| Symptom | Count | Proportion |
|---|---|---|
| no symptoms | 31 | 75.6% |
| swelling | 1 | 2.4% |
| pain | 2 | 4.9% |
| inflammatory infiltrate | 2 | 4.9% |
| fistula | 1 | 2.4% |
| other symptoms | 4 | 9.8% |
| Outcome | Count | Proportion |
|---|---|---|
| observation | 30 | 73.2% |
| removal for HP evaluation | 1 | 2.4% |
| removal for future implant placement | 1 | 2.4% |
| teeth removed with the COD | 6 | 14.6% |
| bone inflammation | 1 | 2.4% |
| teeth removed with COD and mandibular fracture | 1 | 2.4% |
| endodontic treatment | 1 | 2.4% |
| Mandibular Premolars | ||||
|---|---|---|---|---|
| Sex | Unaffected | Affected | Total | |
| Male | Observed | 1 | 6 | 7 |
| Expected | 5.29 | 1.71 | 7 | |
| Female | Observed | 30 | 4 | 34 |
| Expected | 25.71 | 8.29 | 34 | |
| Outcome | ||||||||
|---|---|---|---|---|---|---|---|---|
| Observation | Removal for HP Evaluation | Removal for Future Implant Placement | Teeth Removed with the COD | Bone Inflammation | Teeth Removed with COD and Mandibular Fracture | Endodontic Treatment | ||
| no symptoms | Observed | 30 | 0 | 0 | 1 | 0 | 0 | 0 |
| Expected | 22.68 | 0.76 | 0.76 | 4.54 | 0.76 | 0.76 | 0.76 | |
| swelling | Observed | 0 | 0 | 0 | 1 | 0 | 0 | 0 |
| Expected | 0.73 | 0.02 | 0.02 | 0.15 | 0.02 | 0.02 | 0.02 | |
| pain | Observed | 0 | 0 | 0 | 1 | 0 | 0 | 1 |
| Expected | 1.46 | 0.05 | 0.05 | 0.29 | 0.05 | 0.05 | 0.05 | |
| inflammatory infiltrate | Observed | 0 | 0 | 0 | 1 | 1 | 0 | 0 |
| Expected | 1.46 | 0.05 | 0.05 | 0.29 | 0.05 | 0.05 | 0.05 | |
| fistula | Observed | 0 | 0 | 0 | 1 | 0 | 0 | 0 |
| Expected | 0.73 | 0.02 | 0.02 | 0.15 | 0.02 | 0.02 | 0.02 | |
| other symptoms | Observed | 0 | 1 | 1 | 1 | 0 | 1 | 0 |
| Expected | 2.93 | 0.10 | 0.10 | 0.59 | 0.10 | 0.10 | 0.10 | |
| Sex | n | |
|---|---|---|
| Males | 7 | |
| Female | 34 | |
| Mean age | 36.7 (SD = 9.36) | |
| Affected bone: | ||
| Upper jaw | 5 | |
| Lower Jaw | 40 | |
| Affected teeth/site: | ||
| Maxillary incisors | 2 | |
| Mandibular incisors | 12 | |
| Mandibular canine | 11 | |
| Mandibular premolars | 10 | |
| Mandibular molars | 16 | |
| Mandibular angle | 12 | |
| Mandibular symphysis | 4 | |
| Multiplicity | ||
| Single | 28 | |
| Multifocal | 13 |
Disclaimer/Publisher’s Note: The statements, opinions and data contained in all publications are solely those of the individual author(s) and contributor(s) and not of MDPI and/or the editor(s). MDPI and/or the editor(s) disclaim responsibility for any injury to people or property resulting from any ideas, methods, instructions or products referred to in the content. |
© 2024 by the authors. Licensee MDPI, Basel, Switzerland. This article is an open access article distributed under the terms and conditions of the Creative Commons Attribution (CC BY) license (https://creativecommons.org/licenses/by/4.0/).
Share and Cite
Nelke, K.; Matys, J.; Janeczek, M.; Małyszek, A.; Łuczak, K.; Łukaszewski, M.; Frydrych, M.; Kulus, M.; Dąbrowski, P.; Nienartowicz, J.; et al. The Occurrence and Outcomes of Cemento-Osseous Dysplasias (COD) in the Jaw Bones of the Population of Lower Silesia, Poland. J. Clin. Med. 2024, 13, 6931. https://doi.org/10.3390/jcm13226931
Nelke K, Matys J, Janeczek M, Małyszek A, Łuczak K, Łukaszewski M, Frydrych M, Kulus M, Dąbrowski P, Nienartowicz J, et al. The Occurrence and Outcomes of Cemento-Osseous Dysplasias (COD) in the Jaw Bones of the Population of Lower Silesia, Poland. Journal of Clinical Medicine. 2024; 13(22):6931. https://doi.org/10.3390/jcm13226931
Chicago/Turabian StyleNelke, Kamil, Jacek Matys, Maciej Janeczek, Agata Małyszek, Klaudiusz Łuczak, Marceli Łukaszewski, Marta Frydrych, Michał Kulus, Paweł Dąbrowski, Jan Nienartowicz, and et al. 2024. "The Occurrence and Outcomes of Cemento-Osseous Dysplasias (COD) in the Jaw Bones of the Population of Lower Silesia, Poland" Journal of Clinical Medicine 13, no. 22: 6931. https://doi.org/10.3390/jcm13226931
APA StyleNelke, K., Matys, J., Janeczek, M., Małyszek, A., Łuczak, K., Łukaszewski, M., Frydrych, M., Kulus, M., Dąbrowski, P., Nienartowicz, J., Maag, I., Pawlak, W., & Dobrzyński, M. (2024). The Occurrence and Outcomes of Cemento-Osseous Dysplasias (COD) in the Jaw Bones of the Population of Lower Silesia, Poland. Journal of Clinical Medicine, 13(22), 6931. https://doi.org/10.3390/jcm13226931

