The Combined Administration of Eicosapentaenoic Acid (EPA) and Gamma-Linolenic Acid (GLA) in Experimentally Induced Colitis: An Experimental Study in Rats
Abstract
1. Introduction
2. Materials and Methods
2.1. Experimental Animals
2.2. Groups of Animal Models
- −
- DSS group, treated with 8% DSS and 3 mL of tap water every 12 h;
- −
- Ensure Plus group, treated with 8% DSS and 3 mL of high calorie specific dietary supplement (Ensure Plus) every 12 h;
- −
- Oxepa group, treated with DSS 8% and 3 mL of specific dietary solution containing a combination of Ω3 PUFA (EPA) and Ω6 PUFA (GLA) every 12 h.
2.3. Dextran Sulfate Sodium—Induction of Colitis
2.4. EPA and GLA
2.5. High-Calorie Diet
2.6. Dietary Administration
2.7. Clinical Monitoring
2.8. Anesthesia
2.9. Blood Sampling
2.10. Tissue Sampling
2.11. Euthanasia
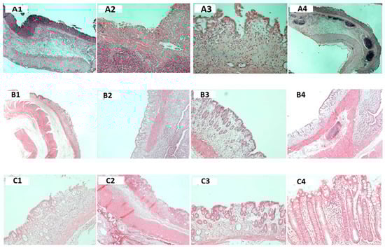
2.12. Histopathological Examination
2.13. Tissue Homogenization
2.14. TNF-α Measurement
2.15. IL-17 Measurement
2.16. Antibodies
2.17. Immunohistochemistry
2.18. Morphometry
2.19. Statistical Analysis
3. Results
3.1. Disease Activity Index (DAI)
3.2. Microscopic Activity Index (MAI)
3.3. Local Inflammatory Reaction
3.3.1. TNF-α and IL-17 in Colon
3.3.2. Neutrophil Polymorphonuclear Leukocytes (MPO-Positive Cells) and Macrophages (CD68-Positive Cells) in the Colon
3.4. Systemic Inflammatory Reaction
3.4.1. TNF-α and IL-17 in the Inferior Vena Cava and Portal Vein Serum
3.4.2. TNF-α and IL-17 in Liver, Spleen, and Lung Tissues
3.4.3. Neutrophilic Polymorphonuclear Leukocytes (MPO-Positive Cells) and Macrophages (CD68-Positive Cells) in Liver, Spleen, and Lung Tissues
4. Discussion
Supplementary Materials
Author Contributions
Funding
Institutional Review Board Statement
Informed Consent Statement
Data Availability Statement
Conflicts of Interest
References
- Gajendran, M.; Loganathan, P.; Jimenez, G.; Catinella, A.P.; Ng, N.; Umapathy, C.; Ziade, N.; Hashash, J.G. A Comprehensive Review and Update on Ulcerative Colitis. Dis. Mon. 2019, 65, 100851. [Google Scholar] [CrossRef] [PubMed]
- Calder, P.C.; Grimble, R.F. Polyunsaturated Fatty Acids, Inflammation and Immunity. Eur. J. Clin. Nutr. 2002, 56 (Suppl. S3), S14–S19. [Google Scholar] [CrossRef] [PubMed]
- de Roos, B.; Mavrommatis, Y.; Brouwer, I.A. Long-Chain n-3 Polyunsaturated Fatty Acids: New Insights into Mechanisms Relating to Inflammation and Coronary Heart Disease. Br. J. Pharmacol. 2009, 158, 413–428. [Google Scholar] [CrossRef] [PubMed]
- Calder, P.C. Polyunsaturated Fatty Acids and Inflammation. Prostaglandins. Leukot. Essent. Fat. Acids 2006, 75, 197–202. [Google Scholar] [CrossRef] [PubMed]
- Menesy, A.; Hammad, M.; Aref, S.; Abozeid, F.A.M. Level of Interleukin 17 in Inflammatory Bowel Disease and Its Relation with Disease Activity. BMC Gastroenterol. 2024, 24, 135. [Google Scholar] [CrossRef] [PubMed]
- Sands, B.E.; Kaplan, G.G. The Role of TNFalpha in Ulcerative Colitis. J. Clin. Pharmacol. 2007, 47, 930–941. [Google Scholar] [CrossRef]
- Head, K.A.; Jurenka, J.S. Inflammatory Bowel Disease Part 1: Ulcerative Colitis--Pathophysiology and Conventional and Alternative Treatment Options. Altern. Med. Rev. 2003, 8, 247–283. [Google Scholar]
- Tacon, A.; Metian, M. Global Overview on the Use of Fish Meal and Fish Oil in Industrially Compounded Aquafeeds: Trends and Future Prospects. Aquaculture 2008, 285, 146–158. [Google Scholar] [CrossRef]
- Wall, R.; Ross, R.P.; Fitzgerald, G.F.; Stanton, C. Fatty Acids from Fish: The Anti-Inflammatory Potential of Long-Chain Omega-3 Fatty Acids. Nutr. Rev. 2010, 68, 280–289. [Google Scholar] [CrossRef]
- Calder, P.C. Polyunsaturated Fatty Acids, Inflammatory Processes and Inflammatory Bowel Diseases. Mol. Nutr. Food Res. 2008, 52, 885–897. [Google Scholar] [CrossRef]
- Mills, S.C.; Windsor, A.C.; Knight, S.C. The Potential Interactions between Polyunsaturated Fatty Acids and Colonic Inflammatory Processes. Clin. Exp. Immunol. 2005, 142, 216–228. [Google Scholar] [CrossRef] [PubMed]
- Kucharzik, T.; Maaser, C.; Lügering, A.; Kagnoff, M.; Mayer, L.; Targan, S.; Domschke, W. Recent Understanding of IBD Pathogenesis: Implications for Future Therapies. Inflamm. Bowel Dis. 2006, 12, 1068–1083. [Google Scholar] [CrossRef] [PubMed]
- Kozuch, P.L.; Hanauer, S.B. Treatment of Inflammatory Bowel Disease: A Review of Medical Therapy. World J. Gastroenterol. 2008, 14, 354–377. [Google Scholar] [CrossRef] [PubMed]
- Nayar, M.; Rhodes, J.M. Management of Inflammatory Bowel Disease. Postgrad. Med. J. 2004, 80, 206–213. [Google Scholar] [CrossRef][Green Version]
- Kris-Etherton, P.M.; Harris, W.S.; Appel, L.J. Fish Consumption, Fish Oil, Omega-3 Fatty Acids, and Cardiovascular Disease. Circulation 2002, 106, 2747–2757. [Google Scholar] [CrossRef]
- Singer, P.; Shapiro, H.; Theilla, M.; Anbar, R.; Singer, J.; Cohen, J. Anti-Inflammatory Properties of Omega-3 Fatty Acids in Critical Illness: Novel Mechanisms and an Integrative Perspective. Intensive Care Med. 2008, 34, 1580–1592. [Google Scholar] [CrossRef]
- Simopoulos, A.P. Omega-3 Fatty Acids in Inflammation and Autoimmune Diseases. J. Am. Coll. Nutr. 2002, 21, 495–505. [Google Scholar] [CrossRef]
- Pacht, E.R.; DeMichele, S.J.; Nelson, J.L.; Hart, J.; Wennberg, A.K.; Gadek, J.E. Enteral Nutrition with Eicosapentaenoic Acid, Gamma-Linolenic Acid, and Antioxidants Reduces Alveolar Inflammatory Mediators and Protein Influx in Patients with Acute Respiratory Distress Syndrome. Crit. Care Med. 2003, 31, 491–500. [Google Scholar] [CrossRef]
- Kavanagh, T.; Lonergan, P.E.; Lynch, M.A. Eicosapentaenoic Acid and Gamma-Linolenic Acid Increase Hippocampal Concentrations of IL-4 and IL-10 and Abrogate Lipopolysaccharide-Induced Inhibition of Long-Term Potentiation. Prostaglandins Leukot. Essent. Fat. Acids 2004, 70, 391–397. [Google Scholar] [CrossRef]
- Campbell, E.L.; Serhan, C.N.; Colgan, S.P. Antimicrobial Aspects of Inflammatory Resolution in the Mucosa: A Role for Proresolving Mediators. J. Immunol. 2011, 187, 3475–3481. [Google Scholar] [CrossRef]
- Weylandt, K.H.; Chiu, C.-Y.; Gomolka, B.; Waechter, S.F.; Wiedenmann, B. Omega-3 Fatty Acids and Their Lipid Mediators: Towards an Understanding of Resolvin and Protectin Formation. Prostaglandins Other Lipid Mediat. 2012, 97, 73–82. [Google Scholar] [CrossRef] [PubMed]
- Shen, W.; Gaskins, H.R.; McIntosh, M.K. Influence of Dietary Fat on Intestinal Microbes, Inflammation, Barrier Function and Metabolic Outcomes. J. Nutr. Biochem. 2014, 25, 270–280. [Google Scholar] [CrossRef] [PubMed]
- Yates, C.M.; Calder, P.C.; Ed Rainger, G. Pharmacology and Therapeutics of Omega-3 Polyunsaturated Fatty Acids in Chronic Inflammatory Disease. Pharmacol. Ther. 2014, 141, 272–282. [Google Scholar] [CrossRef]
- Mengeaud, V.; Nano, J.L.; Fournel, S.; Rampal, P. Effects of Eicosapentaenoic Acid, Gamma-Linolenic Acid and Prostaglandin E1 on Three Human Colon Carcinoma Cell Lines. Prostaglandins. Leukot. Essent. Fatty Acids 1992, 47, 313–319. [Google Scholar] [CrossRef]
- Greenfield, S.M.; Green, A.T.; Teare, J.P.; Jenkins, A.P.; Punchard, N.A.; Ainley, C.C.; Thompson, R.P. A Randomized Controlled Study of Evening Primrose Oil and Fish Oil in Ulcerative Colitis. Aliment. Pharmacol. Ther. 1993, 7, 159–166. [Google Scholar] [CrossRef]
- Marion-Letellier, R.; Savoye, G.; Beck, P.L.; Panaccione, R.; Ghosh, S. Polyunsaturated Fatty Acids in Inflammatory Bowel Diseases: A Reappraisal of Effects and Therapeutic Approaches. Inflamm. Bowel Dis. 2013, 19, 650–661. [Google Scholar] [CrossRef]
- Wang, X.; Lin, H.; Gu, Y. Multiple roles of dihomo-γ-linolenic acid against proliferation diseases. Lipids Health Dis. 2012, 11, 25. [Google Scholar] [CrossRef] [PubMed] [PubMed Central]
- Jaudszus, A.; Gruen, M.; Watzl, B.; Ness, C.; Roth, A.; Lochner, A.; Barz, D.; Gabriel, H.; Rothe, M.; Jahreis, G. Evaluation of Suppressive and Pro-Resolving Effects of EPA and DHA in Human Primary Monocytes and T-Helper Cells. J. Lipid Res. 2013, 54, 923–935. [Google Scholar] [CrossRef]
- Sung, M.-K.; Park, M.-Y. Nutritional Modulators of Ulcerative Colitis: Clinical Efficacies and Mechanistic View. World J. Gastroenterol. 2013, 19, 994–1004. [Google Scholar] [CrossRef]
- Pearl, D.S.; Masoodi, M.; Eiden, M.; Brümmer, J.; Gullick, D.; McKeever, T.M.; Whittaker, M.A.; Nitch-Smith, H.; Brown, J.F.; Shute, J.K.; et al. Altered Colonic Mucosal Availability of N-3 and n-6 Polyunsaturated Fatty Acids in Ulcerative Colitis and the Relationship to Disease Activity. J. Crohns. Colitis 2014, 8, 70–79. [Google Scholar] [CrossRef]
- Nosrati, N.; Bakovic, M.; Paliyath, G. Molecular Mechanisms and Pathways as Targets for Cancer Prevention and Progression with Dietary Compounds. Int. J. Mol. Sci. 2017, 18, 2050. [Google Scholar] [CrossRef] [PubMed]
- Baker, E.J.; Valenzuela, C.A.; van Dooremalen, W.T.M.; Martínez-Fernández, L.; Yaqoob, P.; Miles, E.A.; Calder, P.C. Gamma-Linolenic and Pinolenic Acids Exert Anti-Inflammatory Effects in Cultured Human Endothelial Cells Through Their Elongation Products. Mol. Nutr. Food Res. 2020, 64, e2000382. [Google Scholar] [CrossRef] [PubMed]
- Crupi, R.; Cuzzocrea, S. Role of EPA in Inflammation: Mechanisms, Effects, and Clinical Relevance. Biomolecules 2022, 12, 242. [Google Scholar] [CrossRef] [PubMed]
- Gadek, J.E.; DeMichele, S.J.; Karlstad, M.D.; Pacht, E.R.; Donahoe, M.; Albertson, T.E.; Van Hoozen, C.; Wennberg, A.K.; Nelson, J.L.; Noursalehi, M. Effect of Enteral Feeding with Eicosapentaenoic Acid, Gamma-Linolenic Acid, and Antioxidants in Patients with Acute Respiratory Distress Syndrome. Enteral Nutrition in ARDS Study Group. Crit. Care Med. 1999, 27, 1409–1420. [Google Scholar] [CrossRef]
- Surette, M.E.; Stull, D.; Lindemann, J. The Impact of a Medical Food Containing Gammalinolenic and Eicosapentaenoic Acids on Asthma Management and the Quality of Life of Adult Asthma Patients. Curr. Med. Res. Opin. 2008, 24, 559–567. [Google Scholar] [CrossRef]
- Gravina, A.G.; Pellegrino, R.; Durante, T.; Palladino, G.; Imperio, G.; D’Amico, G.; Trotta, M.C.; Dallio, M.; Romeo, M.; D’Amico, M.; et al. The Melanocortin System in Inflammatory Bowel Diseases: Insights into Its Mechanisms and Therapeutic Potentials. Cells 2023, 12, 1889. [Google Scholar] [CrossRef]
- Wang, W.; Guo, D.-Y.; Lin, Y.-J.; Tao, Y.-X. Melanocortin Regulation of Inflammation. Front. Endocrinol. 2019, 10, 683. [Google Scholar] [CrossRef]
- Gravina, A.G.; Panarese, I.; Trotta, M.C.; D’Amico, M.; Pellegrino, R.; Ferraraccio, F.; Galdiero, M.; Alfano, R.; Grieco, P.; Federico, A. Melanocortin 3,5 Receptors Immunohistochemical Expression in Colonic Mucosa of Inflammatory Bowel Disease Patients: A Matter of Disease Activity? World J. Gastroenterol. 2024, 30, 1132–1142. [Google Scholar] [CrossRef]
- Patel, H.B.; Montero-Melendez, T.; Greco, K.V.; Perretti, M. Melanocortin receptors as novel effectors of macrophage responses in inflammation. Front. Immunol. 2011, 2, 41. [Google Scholar] [CrossRef] [PubMed] [PubMed Central][Green Version]
- Reynolds, J.M.; Angkasekwinai, P.; Dong, C. IL-17 Family Member Cytokines: Regulation and Function in Innate Immunity. Cytokine Growth Factor. Rev. 2010, 21, 413–423. [Google Scholar] [CrossRef]
- Miossec, P. Interleukin-17 in Fashion, at Last: Ten Years after Its Description, Its Cellular Source Has Been Identified. Arthritis Rheum. 2007, 56, 2111–2115. [Google Scholar] [CrossRef] [PubMed]
- Maloy, K.J. The Interleukin-23/Interleukin-17 axis in intestinal inflammation. J. Intern. Med. 2008, 263, 584–590. [Google Scholar] [CrossRef] [PubMed]
- Kolls, J.K.; Lindén, A. Interleukin-17 Family Members and Inflammation. Immunity 2004, 21, 467–476. [Google Scholar] [CrossRef] [PubMed]
- Gaffen, S.L. Biology of Recently Discovered Cytokines: Interleukin-17—A Unique Inflammatory Cytokine with Roles in Bone Biology and Arthritis. Arthritis Res. Ther. 2004, 6, 240–247. [Google Scholar] [CrossRef] [PubMed]
- Ivanov, S.; Lindén, A. Interleukin-17 as a Drug Target in Human Disease. Trends Pharmacol. Sci. 2009, 30, 95–103. [Google Scholar] [CrossRef]
- Witowski, J.; Książek, K.; Jörres, A. Interleukin-17: A mediator of inflammatory responses. Cell Mol. Life Sci. 2004, 61, 567–579. [Google Scholar] [CrossRef] [PubMed] [PubMed Central]
- Fujino, S.; Andoh, A.; Bamba, S.; Ogawa, A.; Hata, K.; Araki, Y.; Bamba, T.; Fujiyama, Y. Increased Expression of Interleukin 17 in Inflammatory Bowel Disease. Gut 2003, 52, 65–70. [Google Scholar] [CrossRef]
- Deng, Z.; Wang, S.; Wu, C.; Wang, C. IL-17 Inhibitor-Associated Inflammatory Bowel Disease: A Study Based on Literature and Database Analysis. Front. Pharmacol. 2023, 14, 1124628. [Google Scholar] [CrossRef]
- Obermeier, F.; Kojouharoff, G.; Hans, W.; Schölmerich, J.; Gross, V.; Falk, W. Interferon-Gamma (IFN-Gamma)- and Tumour Necrosis Factor (TNF)-Induced Nitric Oxide as Toxic Effector Molecule in Chronic Dextran Sulphate Sodium (DSS)-Induced Colitis in Mice. Clin. Exp. Immunol. 1999, 116, 238–245. [Google Scholar] [CrossRef]
- Ito, R.; Kita, M.; Shin-Ya, M.; Kishida, T.; Urano, A.; Takada, R.; Sakagami, J.; Imanishi, J.; Iwakura, Y.; Okanoue, T.; et al. Involvement of IL-17A in the Pathogenesis of DSS-Induced Colitis in Mice. Biochem. Biophys. Res. Commun. 2008, 377, 12–16. [Google Scholar] [CrossRef]
- Brown, J.B.; Cheresh, P.; Zhang, Z.; Ryu, H.; Managlia, E.; Barrett, T.A. P-Selectin Glycoprotein Ligand-1 Is Needed for Sequential Recruitment of T-Helper 1 (Th1) and Local Generation of Th17 T Cells in Dextran Sodium Sulfate (DSS) Colitis. Inflamm. Bowel Dis. 2012, 18, 323–332. [Google Scholar] [CrossRef] [PubMed]
- Bento, A.F.; Leite, D.F.P.; Marcon, R.; Claudino, R.F.; Dutra, R.C.; Cola, M.; Martini, A.C.; Calixto, J.B. Evaluation of Chemical Mediators and Cellular Response during Acute and Chronic Gut Inflammatory Response Induced by Dextran Sodium Sulfate in Mice. Biochem. Pharmacol. 2012, 84, 1459–1469. [Google Scholar] [CrossRef] [PubMed]
- Benedetti, G.; Miossec, P. Interleukin 17 contributes to the chronicity of inflammatory diseases such as rheumatoid arthritis. Eur. J. Immunol. 2014, 44, 339–347. [Google Scholar] [CrossRef] [PubMed]
- Zhang, Z.; Hinrichs, D.J.; Lu, H.; Chen, H.; Zhong, W.; Kolls, J.K. After Interleukin-12p40, Are Interleukin-23 and Interleukin-17 the next Therapeutic Targets for Inflammatory Bowel Disease? Int. Immunopharmacol. 2007, 7, 409–416. [Google Scholar] [CrossRef]
- Kilkenny, C.; Browne, W.; Cuthill, I.C.; Emerson, M.; Altman, D.G. Animal Research: Reporting in Vivo Experiments: The ARRIVE Guidelines. Br. J. Pharmacol. 2010, 160, 1577–1579. [Google Scholar] [CrossRef] [PubMed]
- Festing, M.F.W. Randomized Block Experimental Designs Can Increase the Power and Reproducibility of Laboratory Animal Experiments. ILAR J. 2014, 55, 472–476. [Google Scholar] [CrossRef]
- Murthy, S.N.S.; Cooper, H.S.; Shim, H.; Shah, R.S.; Ibrahim, S.A.; Sedergran, D.J. Treatment of Dextran Sulfate Sodium-Induced Murine Colitis by Intracolonic Cyclosporin. Dig. Dis. Sci. 1993, 38, 1722–1734. [Google Scholar] [CrossRef]
- Murphy, T.L.; Cleveland, M.G.; Kulesza, P.; Magram, J.; Murphy, K.M. Regulation of Interleukin 12 P40 Expression through an NF-Kappa B Half-Site. Mol. Cell. Biol. 1995, 15, 5258–5267. [Google Scholar] [CrossRef] [PubMed]
- Kojouharoff, G.; Hans, W.; Obermeier, F.; Männel, D.N.; Andus, T.; Schölmerich, J.; Gross, V.; Falk, W. Neutralization of Tumour Necrosis Factor (TNF) but Not of IL-1 Reduces Inflammation in Chronic Dextran Sulphate Sodium-Induced Colitis in Mice. Clin. Exp. Immunol. 1997, 107, 353–358. [Google Scholar] [CrossRef]
- Giamarellos-Bourboulis, E.J.; Adamis, T.; Laoutaris, G.; Sabracos, L.; Koussoulas, V.; Mouktaroudi, M.; Perrea, D.; Karayannacos, P.E.; Giamarellou, H. Immunomodulatory Clarithromycin Treatment of Experimental Sepsis and Acute Pyelonephritis Caused by Multidrug-Resistant Pseudomonas Aeruginosa. Antimicrob. Agents Chemother. 2004, 48, 93–99. [Google Scholar] [CrossRef]
- Engelhard, D.; Pomeranz, S.; Gallily, R.; Strauss, N.; Tuomanen, E. Serotype-Related Differences in Inflammatory Response to Streptococcus Pneumoniae in Experimental Meningitis. J. Infect. Dis. 1997, 175, 979–982. [Google Scholar] [CrossRef] [PubMed][Green Version]
- Evans, T.J. Bioassay for Tumor Necrosis Factors-α and -β. Mol. Biotechnol. 2000, 15, 243–248. [Google Scholar] [CrossRef] [PubMed]
- Yoshimura, T.; Sonoda, K.-H.; Miyazaki, Y.; Iwakura, Y.; Ishibashi, T.; Yoshimura, A.; Yoshida, H. Differential Roles for IFN-γ and IL-17 in Experimental Autoimmune Uveoretinitis. Int. Immunol. 2008, 20, 209–214. [Google Scholar] [CrossRef]
- Erdman, S.E.; Rao, V.P.; Poutahidis, T.; Rogers, A.B.; Taylor, C.L.; Jackson, E.A.; Ge, Z.; Lee, C.W.; Schauer, D.B.; Wogan, G.N.; et al. Nitric oxide and TNF-alpha trigger colonic inflammation and carcinogenesis in Helicobacter hepaticus-infected, Rag2-deficient mice. Proc. Natl. Acad. Sci. USA 2009, 106, 1027–1032. [Google Scholar] [CrossRef] [PubMed] [PubMed Central]
- Poutahidis, T.; Rao, V.P.; Olipitz, W.; Taylor, C.L.; Jackson, E.A.; Levkovich, T.; Lee, C.W.; Fox, J.G.; Ge, Z.; Erdman, S.E. CD4+ Lymphocytes Modulate Prostate Cancer Progression in Mice. Int. J. Cancer 2009, 125, 868–878. [Google Scholar] [CrossRef] [PubMed]
- Sartor, R.B. Mechanisms of Disease: Pathogenesis of Crohn’s Disease and Ulcerative Colitis. Nat. Clin. Pract. Gastroenterol. Hepatol. 2006, 3, 390–407. [Google Scholar] [CrossRef]
- van Lierop, P.P.E.; Samsom, J.N.; Escher, J.C.; Nieuwenhuis, E.E.S. Role of the Innate Immune System in the Pathogenesis of Inflammatory Bowel Disease. J. Pediatr. Gastroenterol. Nutr. 2009, 48, 142–151. [Google Scholar] [CrossRef]
- Gaudio, E.; Taddei, G.; Vetuschi, A.; Sferra, R.; Frieri, G.; Ricciardi, G.; Caprilli, R. Dextran Sulfate Sodium (DSS) Colitis in Rats: Clinical, Structural, and Ultrastructural Aspects. Dig. Dis. Sci. 1999, 44, 1458–1475. [Google Scholar] [CrossRef] [PubMed]
- Boismenu, R.; Chen, Y. Insights from Mouse Models of Colitis. J. Leukoc. Biol. 2000, 67, 267–278. [Google Scholar] [CrossRef]
- Axelsson, L.G.; Landström, E.; Bylund-Fellenius, A.C. Experimental Colitis Induced by Dextran Sulphate Sodium in Mice: Beneficial Effects of Sulphasalazine and Olsalazine. Aliment. Pharmacol. Ther. 1998, 12, 925–934. [Google Scholar] [CrossRef]
- Middleton, S.J.; Naylor, S.; Woolner, J.; Hunter, J.O. A Double-Blind, Randomized, Placebo-Controlled Trial of Essential Fatty Acid Supplementation in the Maintenance of Remission of Ulcerative Colitis. Aliment. Pharmacol. Ther. 2002, 16, 1131–1135. [Google Scholar] [CrossRef] [PubMed]
- Bassaganya-Riera, J.; Hontecillas, R. CLA and N-3 PUFA Differentially Modulate Clinical Activity and Colonic PPAR-Responsive Gene Expression in a Pig Model of Experimental IBD. Clin. Nutr. 2006, 25, 454–465. [Google Scholar] [CrossRef]
- Cho, J.Y.; Chi, S.-G.; Chun, H.S. Oral Administration of Docosahexaenoic Acid Attenuates Colitis Induced by Dextran Sulfate Sodium in Mice. Mol. Nutr. Food Res. 2011, 55, 239–246. [Google Scholar] [CrossRef]
- Stevceva, L.; Pavli, P.; Husband, A.J.; Doe, W.F. The Inflammatory Infiltrate in the Acute Stage of the Dextran Sulphate Sodium Induced Colitis: B Cell Response Differs Depending on the Percentage of DSS Used to Induce It. BMC Clin. Pathol. 2001, 1, 3. [Google Scholar] [CrossRef]
- Ng, Y.-L.; Klopcic, B.; Lloyd, F.; Forrest, C.; Greene, W.; Lawrance, I.C. Secreted Protein Acidic and Rich in Cysteine (SPARC) Exacerbates Colonic Inflammatory Symptoms in Dextran Sodium Sulphate-Induced Murine Colitis. PLoS ONE 2013, 8, e77575. [Google Scholar] [CrossRef]
- Froicu, M.; Cantorna, M.T. Vitamin D and the Vitamin D Receptor Are Critical for Control of the Innate Immune Response to Colonic Injury. BMC Immunol. 2007, 8, 5. [Google Scholar] [CrossRef] [PubMed]
- Parameswaran, N.; Patial, S. Tumor Necrosis Factor-α Signaling in Macrophages. Crit. Rev. Eukaryot. Gene Expr. 2010, 20, 87–103. [Google Scholar] [CrossRef] [PubMed]
- Ordás, I.; Feagan, B.G.; Sandborn, W.J. Therapeutic Drug Monitoring of Tumor Necrosis Factor Antagonists in Inflammatory Bowel Disease. Clin. Gastroenterol. Hepatol. Off. Clin. Pract. J. Am. Gastroenterol. Assoc. 2012, 10, 1076–1079. [Google Scholar] [CrossRef]
- Leso, V.; Leggio, L.; Armuzzi, A.; Gasbarrini, G.; Gasbarrini, A.; Addolorato, G. Role of the Tumor Necrosis Factor Antagonists in the Treatment of Inflammatory Bowel Disease: An Update. Eur. J. Gastroenterol. Hepatol. 2010, 22, 779–786. [Google Scholar] [CrossRef]
- Ksontini, R.; MacKay, S.L.; Moldawer, L.L. Revisiting the Role of Tumor Necrosis Factor Alpha and the Response to Surgical Injury and Inflammation. Arch. Surg. 1998, 133, 558–567. [Google Scholar] [CrossRef]
- Huang, X.; Lv, B.; Jin, H.; Zhang, S. A Meta-Analysis of the Therapeutic Effects of Tumor Necrosis Factor-α Blockers on Ulcerative Colitis. Eur. J. Clin. Pharmacol. 2011, 67, 759–766. [Google Scholar] [CrossRef]
- Hoentjen, F.; van Bodegraven, A.A. Safety of Anti-Tumor Necrosis Factor Therapy in Inflammatory Bowel Disease. World J. Gastroenterol. 2009, 15, 2067–2073. [Google Scholar] [CrossRef] [PubMed]
- Chu, W.-M. Tumor Necrosis Factor. Cancer Lett. 2013, 328, 222–225. [Google Scholar] [CrossRef]
- Camussi, G.; Albano, E.; Tetta, C.; Bussolino, F. The Molecular Action of Tumor Necrosis Factor-Alpha. Eur. J. Biochem. 1991, 202, 3–14. [Google Scholar] [CrossRef]
- Cairns, C.B.; Panacek, E.A.; Harken, A.H.; Banerjee, A. Bench to Bedside: Tumor Necrosis Factor-Alpha: From Inflammation to Resuscitation. Acad. Emerg. Med. Off. J. Soc. Acad. Emerg. Med. 2000, 7, 930–941. [Google Scholar] [CrossRef]
- Strober, W.; Fuss, I.; Mannon, P. The Fundamental Basis of Inflammatory Bowel Disease. J. Clin. Investig. 2007, 117, 514–521. [Google Scholar] [CrossRef]
- Tai, C.C.; Ding, S.T. N-3 Polyunsaturated Fatty Acids Regulate Lipid Metabolism through Several Inflammation Mediators: Mechanisms and Implications for Obesity Prevention. J. Nutr. Biochem. 2010, 21, 357–363. [Google Scholar] [CrossRef] [PubMed]
- Calder, P.C. Polyunsaturated Fatty Acids and Inflammatory Processes: New Twists in an Old Tale. Biochimie 2009, 91, 791–795. [Google Scholar] [CrossRef]
- Elia, M.; Van Bokhorst-de van der Schueren, M.A.E.; Garvey, J.; Goedhart, A.; Lundholm, K.; Nitenberg, G.; Stratton, R.J. Enteral (Oral or Tube Administration) Nutritional Support and Eicosapentaenoic Acid in Patients with Cancer: A Systematic Review. Int. J. Oncol. 2006, 28, 5–23. [Google Scholar] [CrossRef][Green Version]
- Fan, Y.Y.; Chapkin, R.S. Importance of Dietary Gamma-Linolenic Acid in Human Health and Nutrition. J. Nutr. 1998, 128, 1411–1414. [Google Scholar] [CrossRef]
- Yamamoto-Furusho, J.K.; Bosques-Padilla, F.; De-Paula, J.; Galiano, M.T.; Ibañez, P.; Juliao, F.; Kotze, P.G.; Rocha, J.L.; Steinwurz, F.; Veitia, G.; et al. Diagnosis and Treatment of Inflammatory Bowel Disease: First Latin American Consensus of the Pan American Crohn’s and Colitis Organisation. Rev. Gastroenterol. México 2017, 82, 46–84. [Google Scholar] [CrossRef] [PubMed]
- Venkateswaran, N.; Weismiller, S.; Clarke, K. Indeterminate Colitis—Update on Treatment Options. J. Inflamm. Res. 2021, 14, 6383–6395. [Google Scholar] [CrossRef] [PubMed]
- Pineton de Chambrun, G.; Peyrin-Biroulet, L.; Lémann, M.; Colombel, J.-F. Clinical Implications of Mucosal Healing for the Management of IBD. Nat. Rev. Gastroenterol. Hepatol. 2010, 7, 15–29. [Google Scholar] [CrossRef]
- Geboes, K. Histopathology of Crohn’s Disease and Ulcerative Colitis. Inflamm. Bowel Dis. 2003, 4, 210–228. [Google Scholar]
- Dieleman, L.A.; Palmen, M.J.; Akol, H.; Bloemena, E.; Peña, A.S.; Meuwissen, S.G.; Van Rees, E.P. Chronic Experimental Colitis Induced by Dextran Sulphate Sodium (DSS) Is Characterized by Th1 and Th2 Cytokines. Clin. Exp. Immunol. 1998, 114, 385–391. [Google Scholar] [CrossRef]
- Robinson, L.E.; Buchholz, A.C.; Mazurak, V.C. Inflammation, Obesity, and Fatty Acid Metabolism: Influence of n-3 Polyunsaturated Fatty Acids on Factors Contributing to Metabolic Syndrome. Appl. Physiol. Nutr. Metab. Physiol. Appl. Nutr. Metab. 2007, 32, 1008–1024. [Google Scholar] [CrossRef]
- Chapkin, R.S.; McMurray, D.N.; Lupton, J.R. Colon Cancer, Fatty Acids and Anti-Inflammatory Compounds. Curr. Opin. Gastroenterol. 2007, 23, 48–54. [Google Scholar] [CrossRef] [PubMed]
- Torres, J.; Billioud, V.; Sachar, D.B.; Peyrin-Biroulet, L.; Colombel, J.-F. Ulcerative Colitis as a Progressive Disease: The Forgotten Evidence. Inflamm. Bowel Dis. 2012, 18, 1356–1363. [Google Scholar] [CrossRef]
- Seidelin, J.B.; Coskun, M.; Nielsen, O.H. Mucosal Healing in Ulcerative Colitis: Pathophysiology and Pharmacology. Adv. Clin. Chem. 2013, 59, 101–123. [Google Scholar] [CrossRef]
- Meier, J.; Sturm, A. Current Treatment of Ulcerative Colitis. World J. Gastroenterol. 2011, 17, 3204–3212. [Google Scholar] [CrossRef]
- Di Sabatino, A.; Biancheri, P.; Rovedatti, L.; Macdonald, T.T.; Corazza, G.R. Recent Advances in Understanding Ulcerative Colitis. Intern. Emerg. Med. 2012, 7, 103–111. [Google Scholar] [CrossRef] [PubMed]
- Weylandt, K.H.; Kang, J.X.; Wiedenmann, B.; Baumgart, D.C. Lipoxins and Resolvins in Inflammatory Bowel Disease. Inflamm. Bowel Dis. 2007, 13, 797–799. [Google Scholar] [CrossRef]
- Ariel, A.; Serhan, C.N. Resolvins and Protectins in the Termination Program of Acute Inflammation. Trends Immunol. 2007, 28, 176–183. [Google Scholar] [CrossRef]
- Kasuga, K.; Yang, R.; Porter, T.F.; Agrawal, N.; Petasis, N.A.; Irimia, D.; Toner, M.; Serhan, C.N. Rapid Appearance of Resolvin Precursors in Inflammatory Exudates: Novel Mechanisms in Resolution. J. Immunol. 2008, 181, 8677–8687. [Google Scholar] [CrossRef] [PubMed]
- Bazan, N.G. Omega-3 Fatty Acids, pro-Inflammatory Signaling and Neuroprotection. Curr. Opin. Clin. Nutr. Metab. Care 2007, 10, 136–141. [Google Scholar] [CrossRef]
- Chang, H.C.; Yang, H.-L.; Pan, J.-H.; Korivi, M.; Pan, J.-Y.; Hsieh, M.-C.; Chao, P.-M.; Huang, P.-J.; Tsai, C.-T.; Hseu, Y.-C. Hericium Erinaceus Inhibits TNF-α-Induced Angiogenesis and ROS Generation through Suppression of MMP-9/NF-ΚB Signaling and Activation of Nrf2-Mediated Antioxidant Genes in Human EA.Hy926 Endothelial Cells. Oxid. Med. Cell. Longev. 2016, 2016, 8257238. [Google Scholar] [CrossRef]
- Ren, Z.; Xu, Z.; Amakye, W.K.; Liu, W.; Zhao, Z.; Gao, L.; Wang, M.; Ren, J. Hericium Erinaceus Mycelium-Derived Polysaccharide Alleviates Ulcerative Colitis and Modulates Gut Microbiota in Cynomolgus Monkeys. Mol. Nutr. Food Res. 2023, 67, e2200450. [Google Scholar] [CrossRef]
- Li, H.; Feng, J.; Liu, C.; Hou, S.; Meng, J.; Liu, J.-Y.; Zilong, S.; Chang, M.-C. Polysaccharides from an Edible Mushroom, Hericium Erinaceus, Alleviate Ulcerative Colitis in Mice by Inhibiting the NLRP3 Inflammasomes and Reestablish Intestinal Homeostasis. Int. J. Biol. Macromol. 2024, 267, 131251. [Google Scholar] [CrossRef]
- Durmus, A.; Durmus, I.; Bender, O.; Karatepe, O. The Effect of Hericium Erinaceum on the Prevention of Chemically Induced Experimental Colitis in Rats. Korean J. Intern. Med. 2021, 36, S44–S52. [Google Scholar] [CrossRef]
- Szućko-Kociuba, I.; Trzeciak-Ryczek, A.; Kupnicka, P.; Chlubek, D. Neurotrophic and Neuroprotective Effects of Hericium Erinaceus. Int. J. Mol. Sci. 2023, 24, 15960. [Google Scholar] [CrossRef]
- Gravina, A.G.; Pellegrino, R.; Palladino, G.; Coppola, A.; Brandimarte, G.; Tuccillo, C.; Ciardiello, F.; Romano, M.; Federico, A. Hericium Erinaceus, in Combination with Natural Flavonoid/Alkaloid and B(3)/B(8) Vitamins, Can Improve Inflammatory Burden in Inflammatory Bowel Diseases Tissue: An Ex Vivo Study. Front. Immunol. 2023, 14, 1215329. [Google Scholar] [CrossRef] [PubMed]
- Chau, S.C.; Chong, P.S.; Jin, H.; Tsui, K.C.; Khairuddin, S.; Tse, A.C.K.; Lew, S.Y.; Tipoe, G.L.; Lee, C.W.; Fung, M.-L.; et al. Hericium Erinaceus Promotes Anti-Inflammatory Effects and Regulation of Metabolites in an Animal Model of Cerebellar Ataxia. Int. J. Mol. Sci. 2023, 24, 6089. [Google Scholar] [CrossRef]
- Peng, Y.; Ao, M.; Dong, B.; Jiang, Y.; Yu, L.; Chen, Z.; Hu, C.; Xu, R. Anti-Inflammatory Effects of Curcumin in the Inflammatory Diseases: Status, Limitations and Countermeasures. Drug Des. Devel. Ther. 2021, 15, 4503–4525. [Google Scholar] [CrossRef]
- Sahebkar, A.; Cicero, A.F.G.; Simental-Mendía, L.E.; Aggarwal, B.B.; Gupta, S.C. Curcumin Downregulates Human Tumor Necrosis Factor-α Levels: A Systematic Review and Meta-Analysis Ofrandomized Controlled Trials. Pharmacol. Res. 2016, 107, 234–242. [Google Scholar] [CrossRef]
- Aggarwal, B.B.; Gupta, S.C.; Sung, B. Curcumin: An Orally Bioavailable Blocker of TNF and Other pro-Inflammatory Biomarkers. Br. J. Pharmacol. 2013, 169, 1672–1692. [Google Scholar] [CrossRef]
- Olivera, A.; Moore, T.W.; Hu, F.; Brown, A.P.; Sun, A.; Liotta, D.C.; Snyder, J.P.; Yoon, Y.; Shim, H.; Marcus, A.I.; et al. Inhibition of the NF-ΚB Signaling Pathway by the Curcumin Analog, 3,5-Bis(2-Pyridinylmethylidene)-4-Piperidone (EF31): Anti-Inflammatory and Anti-Cancer Properties. Int. Immunopharmacol. 2012, 12, 368–377. [Google Scholar] [CrossRef]
- Silva, A.M.; Oliveira, M.I.; Sette, L.; Almeida, C.R.; Oliveira, M.J.; Barbosa, M.A.; Santos, S.G. Resveratrol as a Natural Anti-Tumor Necrosis Factor-α Molecule: Implications to Dendritic Cells and Their Crosstalk with Mesenchymal Stromal Cells. PLoS ONE 2014, 9, e91406. [Google Scholar] [CrossRef]
- Zhang, Q.; Huang, H.; Zheng, F.; Liu, H.; Qiu, F.; Chen, Y.; Liang, C.-L.; Dai, Z. Resveratrol Exerts Antitumor Effects by Downregulating CD8(+)CD122(+) Tregs in Murine Hepatocellular Carcinoma. Oncoimmunology 2020, 9, 1829346. [Google Scholar] [CrossRef] [PubMed]
- Chu, H.; Li, H.; Guan, X.; Yan, H.; Zhang, X. Resveratrol Protects Late Endothelial Progenitor Cells from TNF- α-Induced Inflammatory Damage by Upregulating Krüppel-like Factor-2. Mol. Med. Rep. 2018, 17, 5708–5715. [Google Scholar] [CrossRef] [PubMed]
- Samsami-Kor, M.; Daryani, N.E.; Asl, P.R.; Hekmatdoost, A. Anti-Inflammatory Effects of Resveratrol in Patients with Ulcerative Colitis: A Randomized, Double-Blind, Placebo-Controlled Pilot Study. Arch. Med. Res. 2015, 46, 280–285. [Google Scholar] [CrossRef]
- Cui, X.; Jin, Y.; Hofseth, A.B.; Pena, E.; Habiger, J.; Chumanevich, A.; Poudyal, D.; Nagarkatti, M.; Nagarkatti, P.S.; Singh, U.P.; et al. Resveratrol Suppresses Colitis and Colon Cancer Associated with Colitis. Cancer Prev. Res. 2010, 3, 549–559. [Google Scholar] [CrossRef]
- Shin, H.-Y.; Kim, S.-H.; Jeong, H.-J.; Kim, S.-Y.; Shin, T.-Y.; Um, J.-Y.; Hong, S.-H.; Kim, H.-M. Epigallocatechin-3-Gallate Inhibits Secretion of TNF-Alpha, IL-6 and IL-8 through the Attenuation of ERK and NF-KappaB in HMC-1 Cells. Int. Arch. Allergy Immunol. 2007, 142, 335–344. [Google Scholar] [CrossRef]
- Du, Y.; Ding, H.; Vanarsa, K.; Soomro, S.; Baig, S.; Hicks, J.; Mohan, C. Low Dose Epigallocatechin Gallate Alleviates Experimental Colitis by Subduing Inflammatory Cells and Cytokines, and Improving Intestinal Permeability. Nutrients 2019, 11, 1743. [Google Scholar] [CrossRef]
- Schnur, S.; Hans, F.; Dehne, A.; Osti, J.; Schneemann, M.; Schneider, M.; Hittinger, M. The Potential of Epigallocatechin-3-Gallate (EGCG) as Complementary Medicine for the Treatment of Inflammatory Bowel Disease. Pharmaceuticals 2023, 16, 748. [Google Scholar] [CrossRef]
- Nair, M.P.; Mahajan, S.; Reynolds, J.L.; Aalinkeel, R.; Nair, H.; Schwartz, S.A.; Kandaswami, C. The Flavonoid Quercetin Inhibits Proinflammatory Cytokine (Tumor Necrosis Factor Alpha) Gene Expression in Normal Peripheral Blood Mononuclear Cells via Modulation of the NF-Kappa Beta System. Clin. Vaccine Immunol. 2006, 13, 319–328. [Google Scholar] [CrossRef]
- Ruiz, P.A.; Braune, A.; Hölzlwimmer, G.; Quintanilla-Fend, L.; Haller, D. Quercetin Inhibits TNF-Induced NF-kappaB Transcription Factor Recruitment to Proinflammatory Gene Promoters in Murine Intestinal Epithelial Cells. J. Nutr. 2007, 137, 1208–1215. [Google Scholar] [CrossRef]









| Score | Weight Loss (%) | Stool Composition | Rectal Hemorrhage |
|---|---|---|---|
| 0 | None | Normal | No evidence |
| 1 | 1–5 | - | - |
| 2 | 6–10 | Soft (semi-formed stool) | - |
| 3 | 11–15 | - | - |
| 4 | >15 | Diarrhea | Macroscopic hemorrhage |
| Score | Epithelium | Infiltration | Ulceration | Lymph Node Activity |
|---|---|---|---|---|
| 0 | Normal | None | None | None |
| 1 | Goblet cells loss | Focal infiltration around the basis of the crypts | One ulcer | One lymph node |
| 2 | Extensive loss of goblet cells, epithelium thinning | Extensive infiltration of the stratum basale | Two ulcers | Two lymph nodes |
| 3 | Loss of crypts, architectural disruption | Extensive infiltration of the stratum basale, thinning of the mucous membrane, sever edema | Three ulcers | Three lymph nodes |
| 4 | Extensive crypt loss, ulceration | Extensive infiltration of the submucosal layer | More than three ulcers | More than three lymph nodes |
Disclaimer/Publisher’s Note: The statements, opinions and data contained in all publications are solely those of the individual author(s) and contributor(s) and not of MDPI and/or the editor(s). MDPI and/or the editor(s) disclaim responsibility for any injury to people or property resulting from any ideas, methods, instructions or products referred to in the content. |
© 2024 by the authors. Licensee MDPI, Basel, Switzerland. This article is an open access article distributed under the terms and conditions of the Creative Commons Attribution (CC BY) license (https://creativecommons.org/licenses/by/4.0/).
Share and Cite
Ioannidis, O.; Cheva, A.; Varnalidis, I.; Koutelidakis, I.; Papaziogas, V.; Christidis, P.; Anestiadou, E.; Aggelopoulos, K.; Mantzoros, I.; Pramateftakis, M.G.; et al. The Combined Administration of Eicosapentaenoic Acid (EPA) and Gamma-Linolenic Acid (GLA) in Experimentally Induced Colitis: An Experimental Study in Rats. J. Clin. Med. 2024, 13, 6661. https://doi.org/10.3390/jcm13226661
Ioannidis O, Cheva A, Varnalidis I, Koutelidakis I, Papaziogas V, Christidis P, Anestiadou E, Aggelopoulos K, Mantzoros I, Pramateftakis MG, et al. The Combined Administration of Eicosapentaenoic Acid (EPA) and Gamma-Linolenic Acid (GLA) in Experimentally Induced Colitis: An Experimental Study in Rats. Journal of Clinical Medicine. 2024; 13(22):6661. https://doi.org/10.3390/jcm13226661
Chicago/Turabian StyleIoannidis, Orestis, Angeliki Cheva, Ioannis Varnalidis, Ioannis Koutelidakis, Vasileios Papaziogas, Panagiotis Christidis, Elissavet Anestiadou, Konstantinos Aggelopoulos, Ioannis Mantzoros, Manousos George Pramateftakis, and et al. 2024. "The Combined Administration of Eicosapentaenoic Acid (EPA) and Gamma-Linolenic Acid (GLA) in Experimentally Induced Colitis: An Experimental Study in Rats" Journal of Clinical Medicine 13, no. 22: 6661. https://doi.org/10.3390/jcm13226661
APA StyleIoannidis, O., Cheva, A., Varnalidis, I., Koutelidakis, I., Papaziogas, V., Christidis, P., Anestiadou, E., Aggelopoulos, K., Mantzoros, I., Pramateftakis, M. G., Kotidis, E., Driagka, B., Aggelopoulos, S., & Giamarellos-Bourboulis, E. J. (2024). The Combined Administration of Eicosapentaenoic Acid (EPA) and Gamma-Linolenic Acid (GLA) in Experimentally Induced Colitis: An Experimental Study in Rats. Journal of Clinical Medicine, 13(22), 6661. https://doi.org/10.3390/jcm13226661

