Multisystem Inflammatory Syndrome of Adults (MIS-A) as Delayed Severe Presentation of SARS-CoV-2 Infection: A Description of Two Cases
Abstract
1. Background
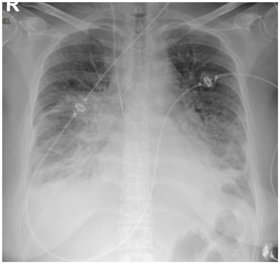
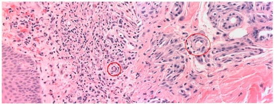
2. Case Presentations
3. Discussion
Author Contributions
Funding
Institutional Review Board Statement
Informed Consent Statement
Data Availability Statement
Conflicts of Interest
Abbreviations
| MIS-C | multisystem inflammatory syndrome in children |
| MIS-A | multisystem inflammatory syndrome in adults |
| MAS | macrophage activation syndrome |
References
- Cevik, M.; Kuppalli, K.; Kindrachuk, J.; Peiris, M. Virology, transmission, and pathogenesis of SARS-CoV-2. BMJ 2020, 371, 3862–3868. [Google Scholar] [CrossRef] [PubMed]
- The WHO Rapid Evidence Appraisal for COVID-19 Therapies (REACT) Working Group. Association Between Systemic Corticosteroids and Mortality Among Critically Ill Patients With COVID-19. JAMA 2020, 324, 1330–1341. [Google Scholar] [CrossRef] [PubMed]
- Tang, N.; Bai, H.; Chen, X.; Gong, J.; Li, D.; Sun, Z. Anticoagulant treatment is associated with decreased mortality in severe coronavirus disease 2019 patients with coagulopathy. J. Thromb. Haemost. 2020, 18, 1094–1099. [Google Scholar] [CrossRef] [PubMed]
- Radia, T.; Williams, N.; Agrawal, P.; Harman, K.; Weale, J.; Cook, J.; Gupta, A. Multi-system inflammatory syndrome in children & adolescents (MIS-C): A systematic review of clinical features and presentation. Paediatr. Respir. Rev. 2021, 38, 51–57. [Google Scholar] [PubMed]
- Morris, S.B.; Schwartz, N.G.; Patel, P.; Abbo, L.; Beauchamps, L.; Balan, S.; Lee, E.H.; Paneth-Pollak, R.; Geevarughese, A.; Lash, M.K.; et al. Case Series of Multisystem Inflammatory Syndrome in Adults Associated with SARS-CoV-2 Infection—United Kingdom and United States, March–August 2020. MMWR Morb. Mortal. Wkly. Rep. 2020, 69, 1450–1456. [Google Scholar] [CrossRef] [PubMed]
- Bastug, A.; Aslaner, H.; Aybar Bilir, Y.; Kemirtlek, N.; Gursoy, F.M.; Bastug, S.; Bodur, H. Multiple system inflammatory syndrome associated with SARS-CoV-2 infection in an adult and an adolescent. Rheumatol. Int. 2021, 41, 993–1008. [Google Scholar] [CrossRef] [PubMed]
- Rieper, K.; Sturm, A. First Cases of Multisystem Inflammatory Syndrome following SARS-CoV-2 infection in Adults in Germany. Dtsch. Med. Wochenschr. 2021, 146, 598–602. [Google Scholar] [PubMed]
- Vella, L.A.; Giles, J.R.; Baxter, A.E.; Oldridge, D.A.; Diorio, C.; Kuri-Cervantes, L.; Alanio, C.; Pampena, M.B.; Wu, J.E.; Chen, Z.; et al. Deep immune profiling of MIS-C demonstrates marked but transient immune activation compared to adult and pediatric COVID-19. Sci. Immunol. 2021, 6, eabf7570. [Google Scholar] [CrossRef] [PubMed]
- Gupta, A.; Madhavan, M.V.; Sehgal, K.; Nair, N.; Mahajan, S.; Sehrawat, T.S.; Bikdeli, B.; Ahluwalia, N.; Ausiello, J.C.; Wan, E.Y.; et al. Extrapulmonary manifestations of COVID-19. Nat. Med. 2020, 26, 1017–1032. [Google Scholar] [CrossRef] [PubMed]
- Greinacher, A.; Thiele, T.; Warkentin, T.E.; Weisser, K.; Kyrle, P.A.; Eichinger, S. Thrombotic Thrombocytopenia after ChAdOx1 nCov-19 Vaccination. N. Engl. J. Med. 2021, 384, 2092–2101. [Google Scholar] [CrossRef] [PubMed]
- Zahornacky, O.; Porubčin, Š.; Rovnakova, A.; Jarcuska, P. Multisystem Inflammatory Syndrome in Adults Associated with Recent Infection with COVID-19. Diagnostics 2023, 13, 983. [Google Scholar] [CrossRef] [PubMed]
- Worku, D. Multisystem Inflammatory Syndrome in Adults (MIS-A) and SARS-CoV-2: An Evolving Relationship. BioMed 2023, 3, 195–201. [Google Scholar] [CrossRef]
- Koning, M.T.; Haine, A.; Fens, J.; ter Bals, E.; Cloos-van Balen, M.; Karim, A.F. Post COVID-19 multisystem inflammatory syndrome in adults (MIS-A): Underappreciated in international health? A Case Series. Clin. Immunol. Commun. 2024, 5, 45–48. [Google Scholar] [CrossRef]



Disclaimer/Publisher’s Note: The statements, opinions and data contained in all publications are solely those of the individual author(s) and contributor(s) and not of MDPI and/or the editor(s). MDPI and/or the editor(s) disclaim responsibility for any injury to people or property resulting from any ideas, methods, instructions or products referred to in the content. |
© 2024 by the authors. Licensee MDPI, Basel, Switzerland. This article is an open access article distributed under the terms and conditions of the Creative Commons Attribution (CC BY) license (https://creativecommons.org/licenses/by/4.0/).
Share and Cite
Raffeiner, B.; Rojatti, M.; Tröbinger, C.; Nailescu, A.M.; Pagani, L. Multisystem Inflammatory Syndrome of Adults (MIS-A) as Delayed Severe Presentation of SARS-CoV-2 Infection: A Description of Two Cases. J. Clin. Med. 2024, 13, 6632. https://doi.org/10.3390/jcm13226632
Raffeiner B, Rojatti M, Tröbinger C, Nailescu AM, Pagani L. Multisystem Inflammatory Syndrome of Adults (MIS-A) as Delayed Severe Presentation of SARS-CoV-2 Infection: A Description of Two Cases. Journal of Clinical Medicine. 2024; 13(22):6632. https://doi.org/10.3390/jcm13226632
Chicago/Turabian StyleRaffeiner, Bernd, Marco Rojatti, Christian Tröbinger, Adriana Manuela Nailescu, and Leonardo Pagani. 2024. "Multisystem Inflammatory Syndrome of Adults (MIS-A) as Delayed Severe Presentation of SARS-CoV-2 Infection: A Description of Two Cases" Journal of Clinical Medicine 13, no. 22: 6632. https://doi.org/10.3390/jcm13226632
APA StyleRaffeiner, B., Rojatti, M., Tröbinger, C., Nailescu, A. M., & Pagani, L. (2024). Multisystem Inflammatory Syndrome of Adults (MIS-A) as Delayed Severe Presentation of SARS-CoV-2 Infection: A Description of Two Cases. Journal of Clinical Medicine, 13(22), 6632. https://doi.org/10.3390/jcm13226632

