Anakinra-Dependent Recurrent Pericarditis: The Role of the R202Q Variant of the MEFV Gene
Abstract
1. Introduction
2. Case Presentation
2.1. Initial Presentation and Medical History
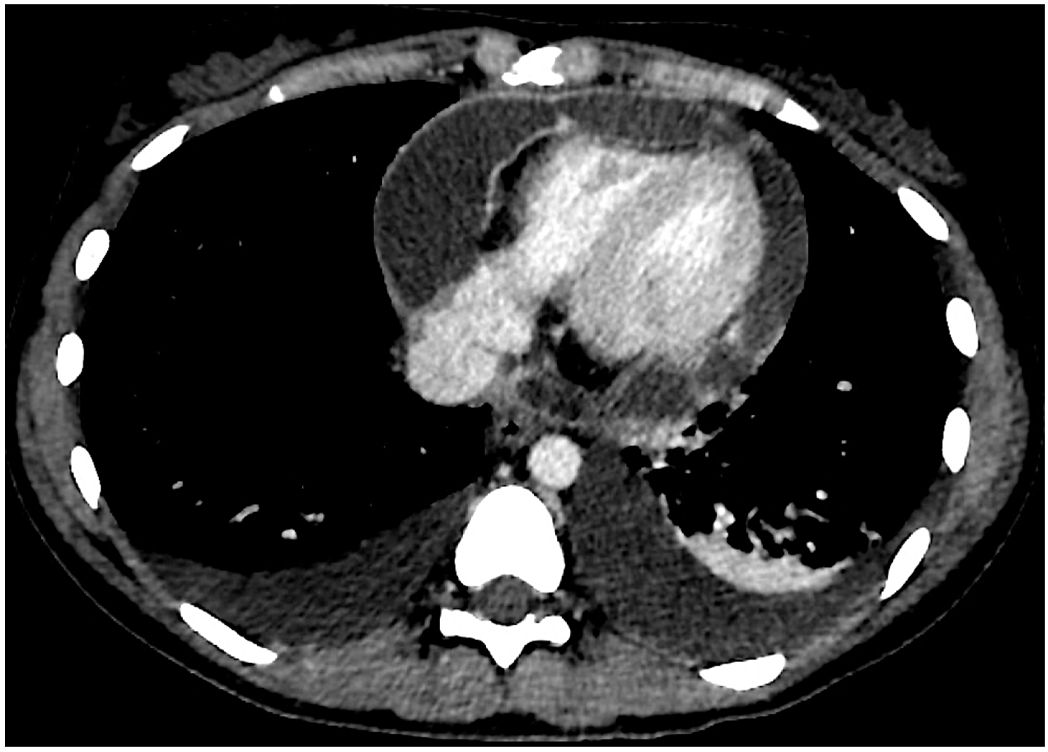
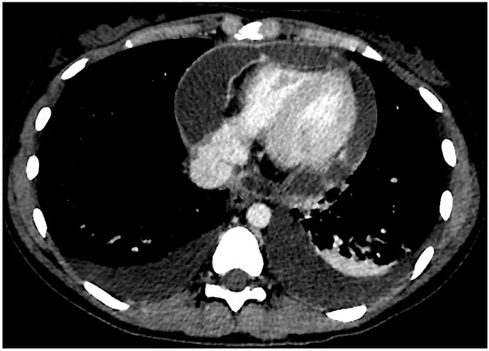
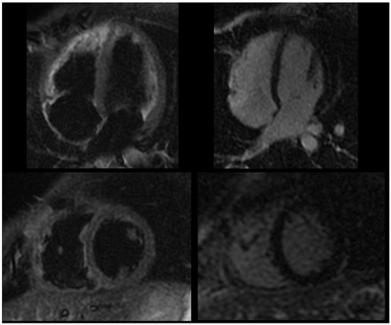
2.2. Current Assessment and Differential Diagnosis
2.3. Patient Management
3. Discussion
3.1. Diagnostic Challenges in Pericardial Diseases
3.2. Management of Acute and Recurrent Pericardial Inflammation
3.3. The Role of Genetic Factors
3.4. Treatment Strategies and Long-Term Management
4. Conclusions
Author Contributions
Funding
Institutional Review Board Statement
Informed Consent Statement
Data Availability Statement
Conflicts of Interest
References
- Morgenstern, D.; Kley, J.; Lisko, J.; Shivers, L.; Mikolich, B.; Mikolich, J.R. Chest pain in patients under age 40: Are we getting it right? J. Am. Coll. Cardiol. 2015, 65, A1298. [Google Scholar] [CrossRef]
- Boniface, N.; Kley, J.; Lisko, J.; Mikolich, B.; Mikolich, J.R. Abstract 12863: Non-Cardiac Chest Pain: Is It Really? Circulation 2014, 130, A12863. [Google Scholar] [CrossRef]
- Kandur, Y.; Kocakap, D.B.S.; Alpcan, A.; Tursun, S. Clinical significance of MEFV gene variation R202Q. Clin. Rheumatol. 2022, 41, 271–274. [Google Scholar] [CrossRef] [PubMed]
- r202q[VARNAME]-ClinVar-NCBI. Available online: https://www.ncbi.nlm.nih.gov/clinvar (accessed on 17 June 2024).
- Adler, Y.; Charron, P.; Imazio, M.; Badano, L.; Barón-Esquivias, G.; Bogaert, J.; Brucato, A.; Gueret, P.; Klingel, K.; Lionis, C.; et al. 2015 ESC Guidelines for the diagnosis and management of pericardial diseases. Eur. Heart J. 2015, 36, 2921–2964. [Google Scholar] [CrossRef]
- Spodick, D.H. Acute Pericarditis: Current Concepts and Practice. JAMA 2003, 289, 1150–1153. [Google Scholar] [CrossRef]
- Imazio, M.; Pivetta, E.; Palacio Restrepo, S.; Sormani, P.; Pedrotti, P.; Quarta, G.; Brucato, A.; Bubbico, E.; Dal Corso, M.; Milazzo, A.; et al. Usefulness of Cardiac Magnetic Resonance for Recurrent Pericarditis. Am. J. Cardiol. 2020, 125, 146–151. [Google Scholar] [CrossRef]
- Andreis, A.; Solano, A.; Balducci, M.; Picollo, C.; Ghigliotti, M.; Giordano, M.; Agosti, A.; Collini, V.; Anselmino, M.; De Ferrari, G.M.; et al. INFLA-score: A new diagnostic paradigm to identify pericarditis. Hell. J. Cardiol. 2024. [Google Scholar] [CrossRef]
- Imazio, M.; Andreis, A.; Lubian, M.; Lazaros, G.; Lazarou, E.; Brucato, A.; Adler, Y.; Giustetto, C.; Rinaldi, M.; De Ferrari, G.M. The Torino Pericarditis Score: A new-risk stratification tool to predict complicated pericarditis. Intern. Emerg. Med. 2021, 16, 1921–1926. [Google Scholar] [CrossRef]
- Horneffer, P.J.; Miller, R.H.; Pearson, T.A.; Rykiel, M.F.; Reitz, B.A.; Gardner, T.J. The effective treatment of postpericardiotomy syndrome after cardiac operations. A randomized placebo-controlled trial. J. Thorac. Cardiovasc. Surg. 1990, 100, 292–296. [Google Scholar] [CrossRef]
- Andreis, A.; Imazio, M.; De Ferrari, G.M. Colchicine for the treatment of cardiovascular diseases: Old drug, new targets. J. Cardiovasc. Med. 2020, 22, 1–8. [Google Scholar] [CrossRef]
- Terkeltaub, R.A. Colchicine update: 2008. Semin. Arthritis Rheum. 2009, 38, 411–419. [Google Scholar] [CrossRef] [PubMed]
- Molad, Y. Update on colchicine and its mechanism of action. Curr. Rheumatol. Rep. 2002, 4, 252–256. [Google Scholar] [CrossRef] [PubMed]
- Horioka, K.; Tanaka, H.; Isozaki, S.; Konishi, H.; Fujiya, M.; Okuda, K.; Asari, M.; Shiono, H.; Ogawa, K.; Shimizu, K. Acute Colchicine Poisoning Causes Endotoxemia via the Destruction of Intestinal Barrier Function: The Curative Effect of Endotoxin Prevention in a Murine Model. Dig. Dis. Sci. 2020, 65, 132–140. [Google Scholar] [CrossRef] [PubMed]
- Andreis, A.; Imazio, M.; Casula, M.; Avondo, S.; De Ferrari, G.M. Colchicine efficacy and safety for the treatment of cardiovascular diseases. Intern. Emerg. Med. 2021, 16, 1691–1700. [Google Scholar] [CrossRef] [PubMed]
- Cerquaglia, C.; Diaco, M.; Nucera, G.; La Regina, M.; Montalto, M.; Manna, R. Pharmacological and clinical basis of treatment of Familial Mediterranean Fever (FMF) with colchicine or analogues: An update. Curr. Drug Targets Inflamm. Allergy 2005, 4, 117–124. [Google Scholar] [CrossRef]
- Zemer, D.; Pras, M.; Sohar, E.; Modan, M.; Cabili, S.; Gafni, J. Colchicine in the prevention and treatment of the amyloidosis of familial Mediterranean fever. N. Engl. J. Med. 1986, 314, 1001–1005. [Google Scholar] [CrossRef]
- Dalbeth, N.; Lauterio, T.J.; Wolfe, H.R. Mechanism of action of colchicine in the treatment of gout. Clin. Ther. 2014, 36, 1465–1479. [Google Scholar] [CrossRef]
- Artom, G.; Koren-Morag, N.; Spodick, D.H.; Brucato, A.; Guindo, J.; Bayes-de-Luna, A.; Brambilla, G.; Finkelstein, Y.; Granel, B.; Bayes-Genis, A.; et al. Pretreatment with corticosteroids attenuates the efficacy of colchicine in preventing recurrent pericarditis: A multi-centre all-case analysis. Eur. Heart J. 2005, 26, 723–727. [Google Scholar] [CrossRef]
- Brucato, A.; Brambilla, G.; Moreo, A.; Alberti, A.; Munforti, C.; Ghirardello, A.; Doria, A.; Shinar, Y.; Livneh, A.; Adler, Y.; et al. Long-Term Outcomes in Difficult-to-Treat Patients With Recurrent Pericarditis. Am. J. Cardiol. 2006, 98, 267–271. [Google Scholar] [CrossRef]
- Larson, D.M.; Menssen, K.M.; Sharkey, S.W.; Duval, S.; Schwartz, R.S.; Harris, J.; Meland, J.T.; Unger, B.T.; Henry, T.D. ‘False-positive’ cardiac catheterization laboratory activation among patients with suspected ST-segment elevation myocardial infarction. JAMA 2007, 298, 2754–2760. [Google Scholar] [CrossRef]
- Kumar, A.; Sato, K.; Verma, B.R.; Ala, C.K.; Betancor, J.; Yzeiraj, E.; Lin, L.; Mohananey, D.; Qamruddin, S.; Kontzias, A.; et al. Quantitative assessment of pericardial delayed hyperenhancement helps identify patients with ongoing recurrences of pericarditis. Open Heart 2018, 5, e000944. [Google Scholar] [CrossRef]
- Soler-Soler, J.; Sagristà-Sauleda, J.; Permanyer-Miralda, G. Relapsing pericarditis. Heart Br. Card Soc. 2004, 90, 1364–1368. [Google Scholar] [CrossRef]
- Lazaros, G.; Antonatou, K.; Vassilopoulos, D. The Therapeutic Role of Interleukin-1 Inhibition in Idiopathic Recurrent Pericarditis: Current Evidence and Future Challenges. Front. Med. 2017, 4, 78. [Google Scholar] [CrossRef]
- Karatolios, K.; Pankuweit, S.; Richter, A.; Ruppert, V.; Maisch, B. Anticardiac Antibodies in Patients with Chronic Pericardial Effusion. Dis. Markers 2016, 2016, 9262741. [Google Scholar] [CrossRef]
- Caforio, A.L.P.; Brucato, A.; Doria, A.; Brambilla, G.; Angelini, A.; Ghirardello, A.; Bottaro, S.; Tona, F.; Betterle, C.; Daliento, L.; et al. Anti-heart and anti-intercalated disk autoantibodies: Evidence for autoimmunity in idiopathic recurrent acute pericarditis. Heart Br. Card Soc. 2010, 96, 779–784. [Google Scholar] [CrossRef]
- Calabuig, I.J.; Soriano, R.M.S.; Domingo, T.F.M.; Ortiz, C.P.; Fernández, A.J.C.; Fernández, C.I.C. Recurrent Pericarditis as the Presenting Form of Adult Still’s Disease. Rev. Esp. De Cardiol. 2017, 70, 208–209. [Google Scholar] [CrossRef]
- Imazio, M.; Andreis, A.; De Ferrari, G.M.; Cremer, P.C.; Mardigyan, V.; Maestroni, S.; Luis, S.A.; Lopalco, G.; Emmi, G.; Lotan, D.; et al. Anakinra for corticosteroid-dependent and colchicine-resistant pericarditis: The IRAP (International Registry of Anakinra for Pericarditis) study. Eur. J. Prev. Cardiol. 2019, 27, 956–964. [Google Scholar] [CrossRef]
- Klein, A.L.; Imazio, M.; Cremer, P.; Brucato, A.; Abbate, A.; Fang, F.; Insalaco, A.; LeWinter, M.; Lewis, B.S.; Lin, D.; et al. Phase 3 Trial of Interleukin-1 Trap Rilonacept in Recurrent Pericarditis. N. Engl. J. Med. 2020, 384, 31–41. [Google Scholar] [CrossRef]
- Tombetti, E.; Mulè, A.; Tamanini, S.; Matteucci, L.; Negro, E.; Brucato, A.; Carnovale, C. Novel Pharmacotherapies for Recurrent Pericarditis: Current Options in 2020. Curr. Cardiol. Rep. 2020, 22, 59. [Google Scholar] [CrossRef]
- Goletti, D.; Petrone, L.; Ippolito, G.; Niccoli, L.; Nannini, C.; Cantini, F. Preventive therapy for tuberculosis in rheumatological patients undergoing therapy with biological drugs. Expert Rev. Anti. Infect Ther. 2018, 16, 501–512. [Google Scholar] [CrossRef]
- Andreis, A.; Imazio, M.; Giustetto, C.; Brucato, A.; Adler, Y.; De Ferrari, G.M. Anakinra for constrictive pericarditis associated with incessant or recurrent pericarditis. Heart Br. Cardiol. Soc. 2020, 106, 1561–1565. [Google Scholar] [CrossRef]
- Epçaçan, S.; Sahin, S.; Kasapcopur, O. Anaphylactic reaction to anakinra in a child with steroid-dependent idiopathic recurrent pericarditis and successful management with canakinumab. Cardiol. Young 2019, 29, 549–551. [Google Scholar] [CrossRef]
- Kougkas, N.; Fanouriakis, A.; Papalopoulos, I.; Bertsias, G.; Avgoustidis, N.; Repa, A.; Sidiropoulos, P. Canakinumab for recurrent rheumatic disease associated-pericarditis: A case series with long-term follow-up. Rheumatology 2018, 57, 1494–1495. [Google Scholar] [CrossRef]
- Klein, A.L.; Imazio, M.; Brucato, A.; Cremer, P.; LeWinter, M.; Abbate, A.; Lin, D.; Martini, A.; Beutler, A.; Chang, S.; et al. RHAPSODY: Rationale for and design of a pivotal Phase 3 trial to assess efficacy and safety of rilonacept, an interleukin-1α and interleukin-1β trap, in patients with recurrent pericarditis. Am. Heart J. 2020, 228, 81–90. [Google Scholar] [CrossRef]
- Cantarini, L.; Lucherini, O.M.; Cimaz, R.; Galeazzi, M. Recurrent pericarditis caused by a rare mutation in the TNFRSF1A gene and with excellent response to anakinra treatment. Clin. Exp. Rheumatol. 2010, 28, 802. [Google Scholar]
- Mauro, A.G.; Bonaventura, A.; Vecchié, A.; Mezzaroma, E.; Carbone, S.; Narayan, P.; Potere, N.; Cannatà, A.; Paolini, J.F.; Bussani, R.; et al. The Role of NLRP3 Inflammasome in Pericarditis. JACC Basic Transl. Sci. 2021, 6, 137–150. [Google Scholar] [CrossRef]
- Infevers-Tabular List. Available online: https://infevers.umai-montpellier.fr/web/search.php?n=1 (accessed on 30 June 2024).
- Tufan, A.; Lachmann, H.J. Familial Mediterranean fever, from pathogenesis to treatment: A contemporary review. Turk. J. Med. Sci. 2020, 50, 1591–1610. [Google Scholar] [CrossRef]
- Familial Mediterranean Fever (FMF) in Turkey: Results of a Nationwide Multicenter Study-PubMed. Available online: https://pubmed.ncbi.nlm.nih.gov/15643295/ (accessed on 30 June 2024).
- Kees, S.; Langevitz, P.; Zemer, D.; Padeh, S.; Pras, M.; Livneh, A. Attacks of pericarditis as a manifestation of familial Mediterranean fever (FMF). QJM Mon. J. Assoc. Physicians 1997, 90, 643–647. [Google Scholar] [CrossRef]
- Okutur, K.; Seber, S.; Oztekin, E.; Bes, C.; Borlu, F. Recurrent pericarditis as the initial manifestation of Familial Mediterranean fever. Med. Sci. Monit. Int. Med. J. Exp. Clin. Res. 2008, 14, CS139–CS141. [Google Scholar]
- Bashardoust, B. Familial Mediterranean fever; diagnosis, treatment, and complications. J. Nephropharmacol. 2015, 4, 5–8. [Google Scholar]
- Ozturk, K.; Deveci, M.; Ekinci, Z. Refractory idiopathic recurrent pericarditis: Treatment with interleukin-1 receptor antagonist is an option! J. Cardiovasc. Med. 2017, 18, 731. [Google Scholar] [CrossRef] [PubMed]
- Milenković, J.; Vojinović, J.; Debeljak, M.; Toplak, N.; Lazarević, D.; Avčin, T.; Jevtović-Stoimenov, T.; Pavlović, D.; Bojanić, V.; Milojković, M.; et al. Distribution of MEFV gene mutations and R202Q polymorphism in the Serbian population and their influence on oxidative stress and clinical manifestations of inflammation. Pediatr. Rheumatol. Online J. 2016, 14, 39. [Google Scholar] [CrossRef] [PubMed]
- Karaman, A. Recurrent pericarditis caused by familial Mediterranean fever: A case report. Zeynep Kamil Med. J. 2021, 52, 49–52. [Google Scholar] [CrossRef]
- Chae, J.J.; Cho, Y.-H.; Lee, G.-S.; Cheng, J.; Liu, P.P.; Feigenbaum, L.; Katz, S.I.; Kastner, D.L. Gain-of-function Pyrin mutations induce NLRP3 protein-independent interleukin-1β activation and severe autoinflammation in mice. Immunity 2011, 34, 755–768. [Google Scholar] [CrossRef] [PubMed]
- Omenetti, A.; Carta, S.; Delfino, L.; Martini, A.; Gattorno, M.; Rubartelli, A. OR7-003–MEFV genotype, IL1B and role of NLRP3 in FMF. Pediatr. Rheumatol. Online J. 2013, 11, A104. [Google Scholar] [CrossRef][Green Version]
- de Torre-Minguela, C.; Mesa del Castillo, P.; Pelegrín, P. The NLRP3 and Pyrin Inflammasomes: Implications in the Pathophysiology of Autoinflammatory Diseases. Front. Immunol. 2017, 8, 43. [Google Scholar] [CrossRef]
- Heilig, R.; Broz, P. Function and mechanism of the pyrin inflammasome. Eur. J. Immunol. 2018, 48, 230–238. [Google Scholar] [CrossRef]
- Malandrino, D.; Bettiol, A.; Mattioli, I.; Andreis, A.; Cantarini, L.; Dagna, L.; Biasio, M.D.; Gattorno, M.; Marcolongo, R.; Tavoni, A.; et al. Ab0021 Real Life Data on Tapering and Discontinuation of Anakinra Treatment in Recurrent Pericarditis: An International Registry. Ann.. Rheum Dis. 2023, 82, 1189–1190. [Google Scholar]



| Disclaimer/Publisher’s Note: The statements, opinions and data contained in all publications are solely those of the individual author(s) and contributor(s) and not of MDPI and/or the editor(s). MDPI and/or the editor(s) disclaim responsibility for any injury to people or property resulting from any ideas, methods, instructions or products referred to in the content. | 
© 2024 by the authors. Licensee MDPI, Basel, Switzerland. This article is an open access article distributed under the terms and conditions of the Creative Commons Attribution (CC BY) license (https://creativecommons.org/licenses/by/4.0/).
Share and Cite
Andreis, A.; Dossi, F.C.; De Ferrari, G.M.; Alunni, G.; Imazio, M. Anakinra-Dependent Recurrent Pericarditis: The Role of the R202Q Variant of the MEFV Gene. J. Clin. Med. 2024, 13, 6051. https://doi.org/10.3390/jcm13206051
Andreis A, Dossi FC, De Ferrari GM, Alunni G, Imazio M. Anakinra-Dependent Recurrent Pericarditis: The Role of the R202Q Variant of the MEFV Gene. Journal of Clinical Medicine. 2024; 13(20):6051. https://doi.org/10.3390/jcm13206051
Chicago/Turabian StyleAndreis, Alessandro, Federica Currò Dossi, Gaetano Maria De Ferrari, Gianluca Alunni, and Massimo Imazio. 2024. "Anakinra-Dependent Recurrent Pericarditis: The Role of the R202Q Variant of the MEFV Gene" Journal of Clinical Medicine 13, no. 20: 6051. https://doi.org/10.3390/jcm13206051
APA StyleAndreis, A., Dossi, F. C., De Ferrari, G. M., Alunni, G., & Imazio, M. (2024). Anakinra-Dependent Recurrent Pericarditis: The Role of the R202Q Variant of the MEFV Gene. Journal of Clinical Medicine, 13(20), 6051. https://doi.org/10.3390/jcm13206051
 
        

