Scientific Status Quo of Small Renal Lesions: Diagnostic Assessment and Radiomics
Abstract
1. Introduction
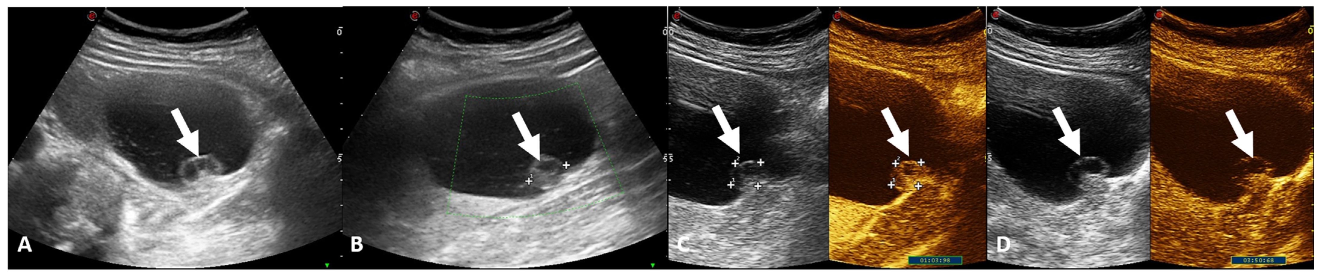
2. Ultrasound Assessment
3. Contrast-Enhanced Ultrasound Assessment
4. Computed Tomography Assessment
4.1. Lesion Density
4.2. Macroscopic Fat
4.3. Enhancement
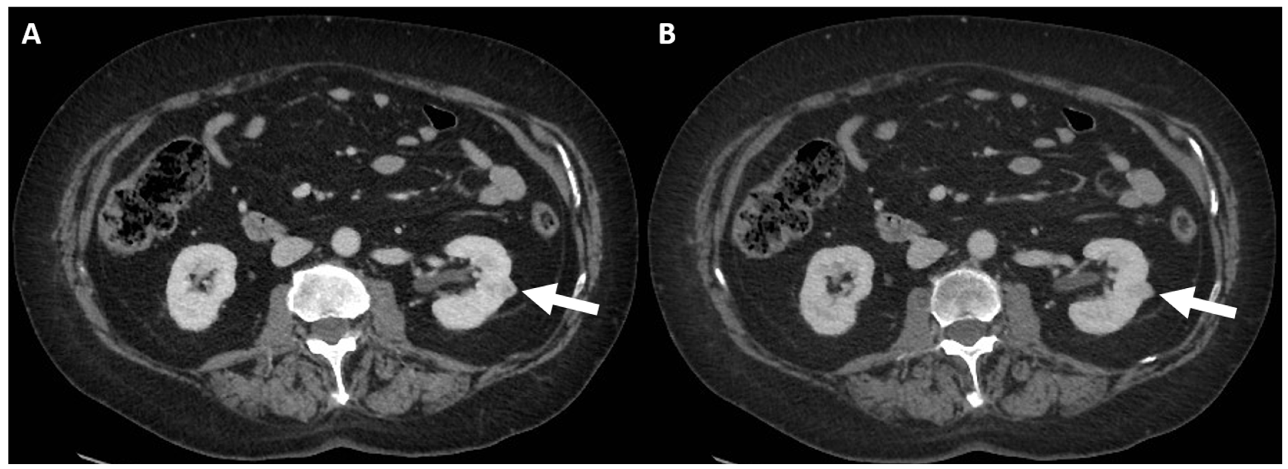
4.4. Central Scar
4.5. Growth Rate
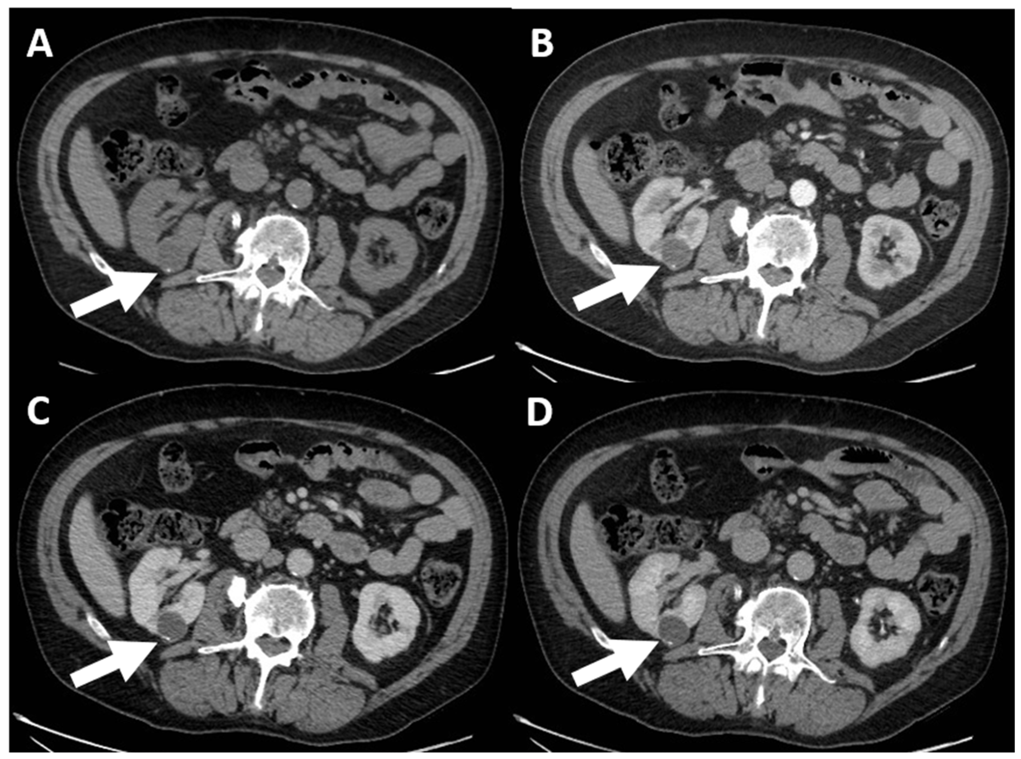
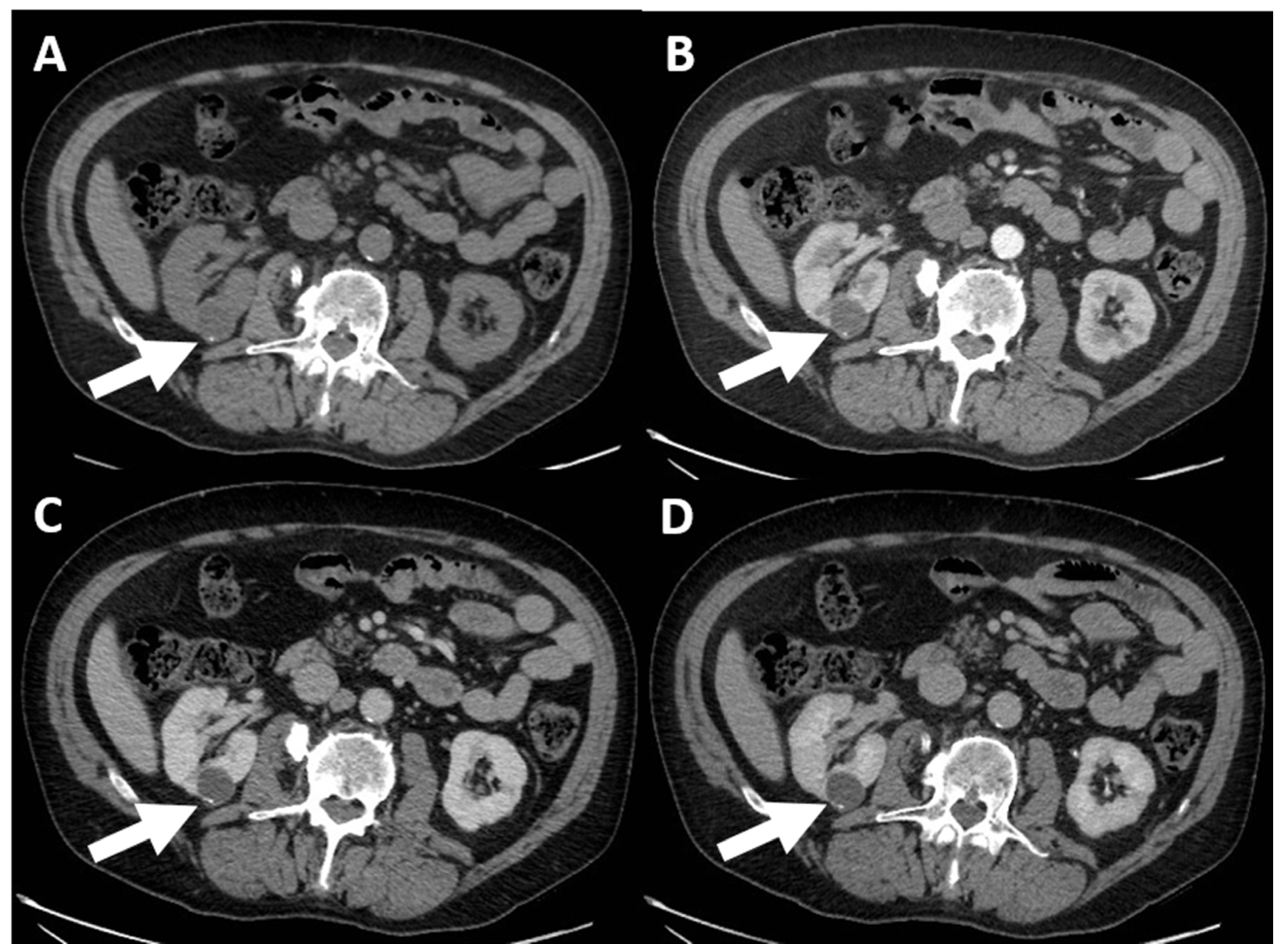
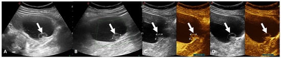
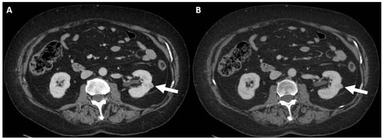
5. Cystic Renal Masses and Bosniak Classification
- -
- (a) Class I: benign simple cyst, which includes a mass with a well-defined, smooth and thin wall (≤2 mm), homogeneous and simple fluid content (−9 to 20 HU), without septa or calcifications, and with possible wall enhancement [89].
- -
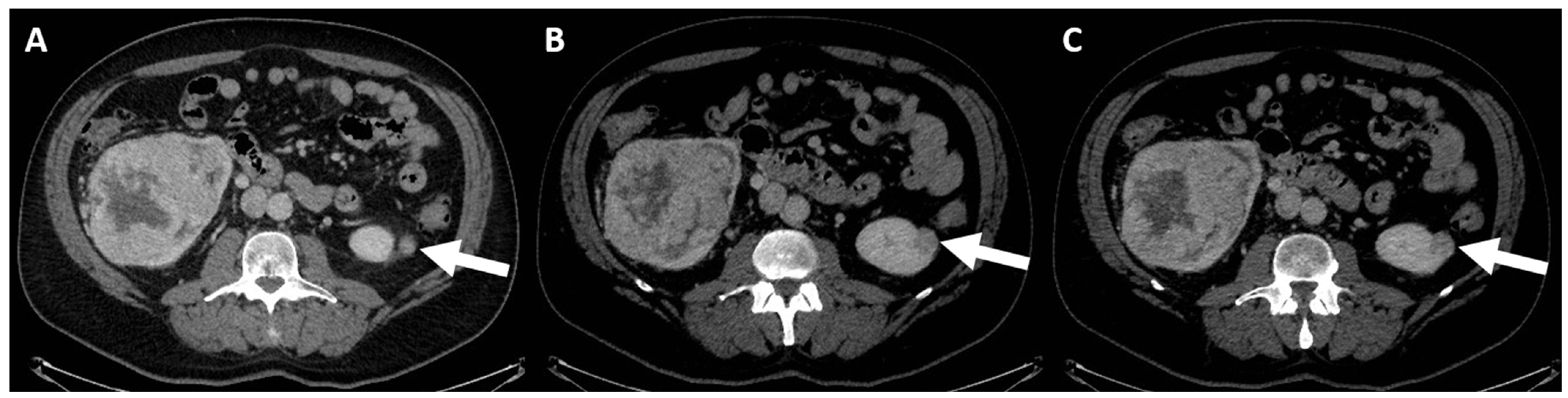
- (b) Class II: benign cyst, “minimally complex”, which includes 6 types in CT examination (Figure 3), all represented by well-defined masses with thin (≤2 mm) and smooth walls [95], and these include the following:
- Masses with thin walls (≤2 mm) and from one to three septa with possible enrichment of the septa and the wall, with the possible presence of calcifications of all types;
- Homogeneous masses with high density (≥70 HU) on non-contrast scan;
- Homogeneous masses with density >20 HU, which do not enhance and may have calcifications of all types;
- Homogeneous masses with density between −9 and 20 HU on non-contrast CT;
- Homogeneous masses with density between +21 and +30 HU at portal phase;
- Homogeneous masses with low density and too small to be characterized.
- -
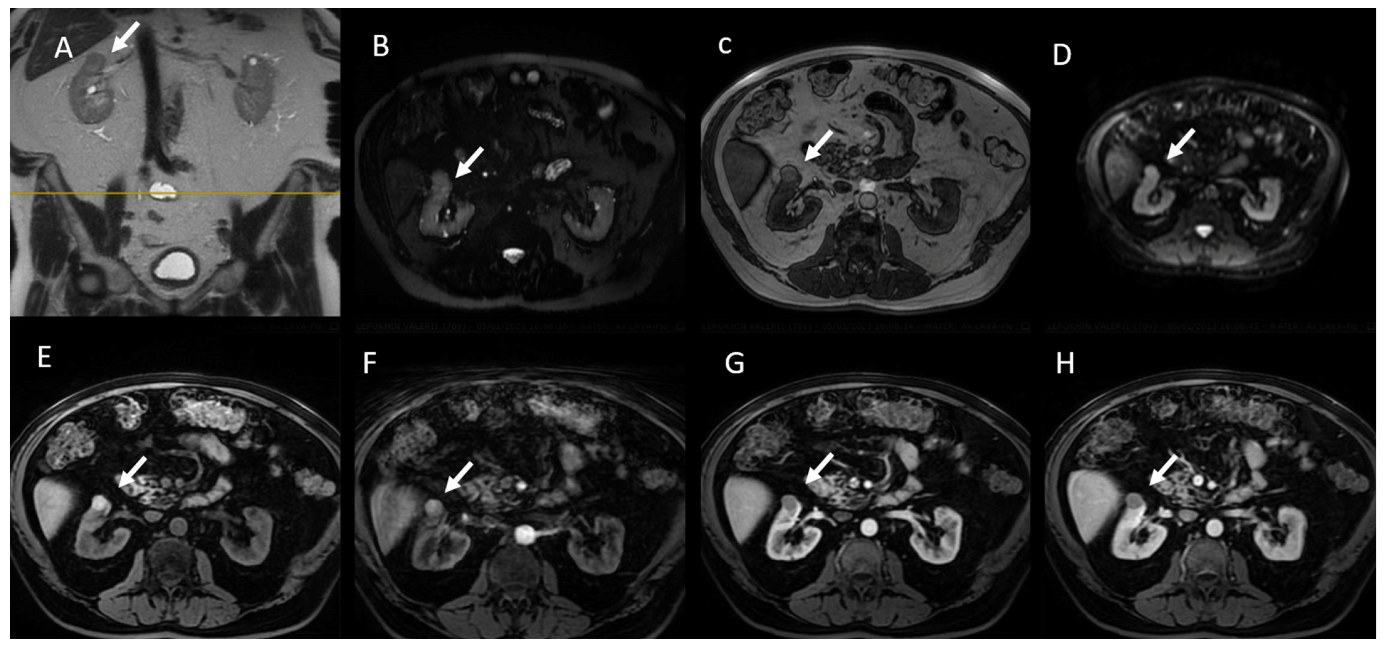
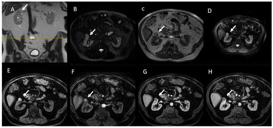
- (c) Class IIF: probably benign cyst masses that still require follow-up (F for follow-up) because they have a malignancy rate ranging from 5 to 17% [96,97]. This class comprises minimally complex cystic masses with mildly thickened (3 mm) and enhancing wall, or with mild and smooth thickening (3 mm) of one or more enhancing septa, or many (≥4) smooth and thin enhancing septa [89]. The necessary finding to define Class IIF or higher is the presence of measurable enhancement [91]. Follow-up is performed via US/CT/MRI methods, and there are no strict rules regarding timing: it is reasonable to do it at 6 months, at 12 months, and then annually for a total 5 years to assess any morphological changes [98].
- -
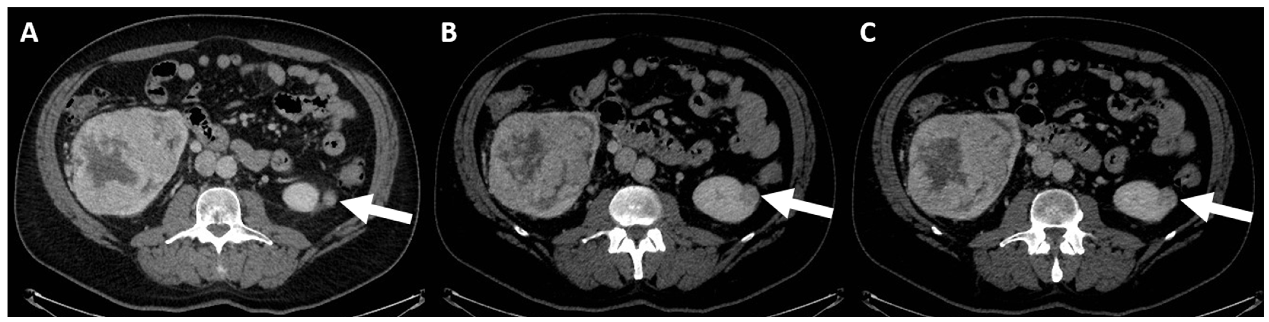
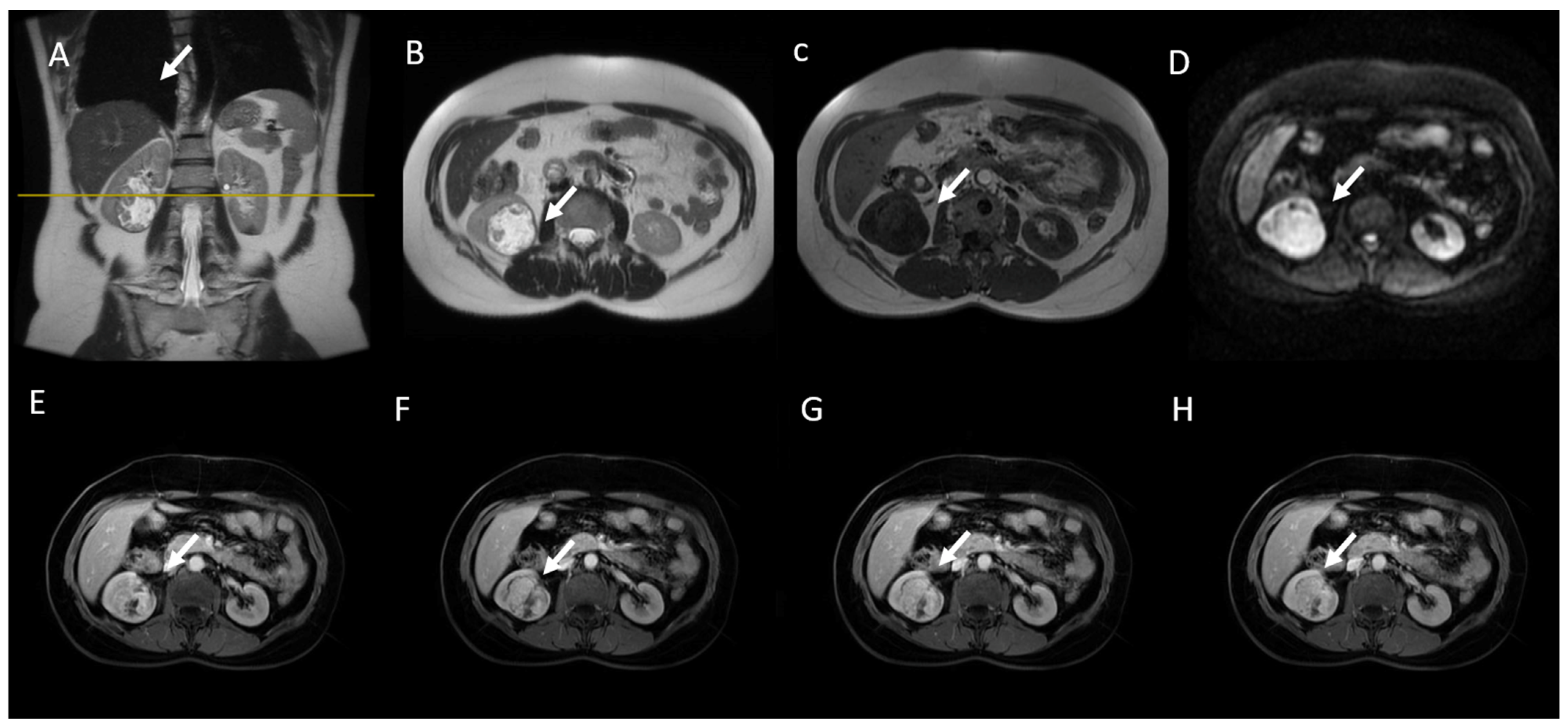
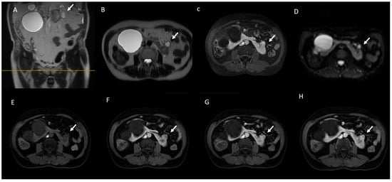
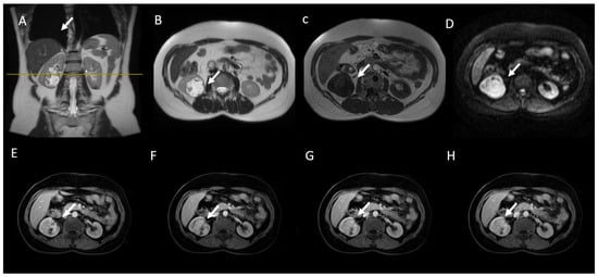
- (d) Class III: indeterminate cystic mass, which includes cystic masses characterized by one or more thickened (≥4 mm) or enhancing and irregular (≤3 mm and with convex marginal protrusions) walls or septa [91]. Bosniak III masses (Figure 4) are “potentially” malignant in that they have an intermediate probability of malignancy (about 55%) [97]. Therefore, urologic consultation should be considered for possible partial nephrectomy or radiofrequency ablation in candidates unfit for surgery [99].
- -
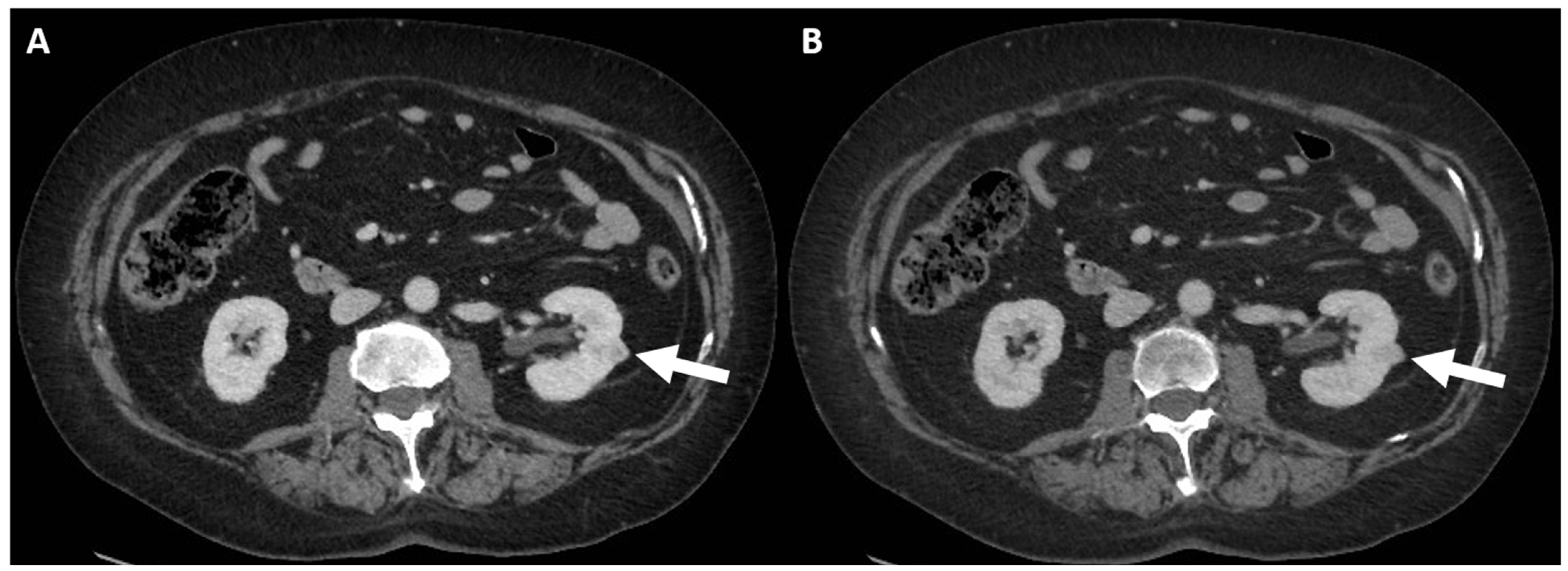
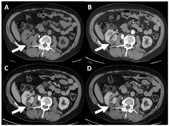
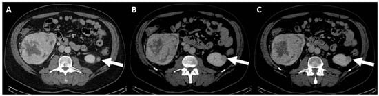
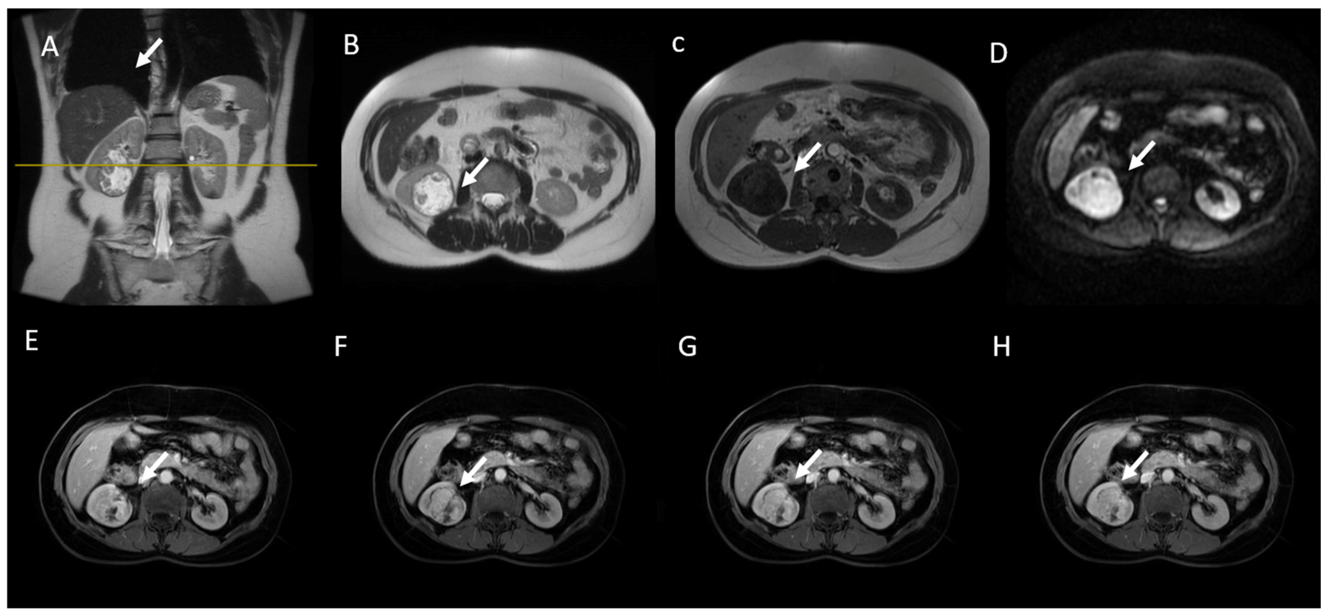
- (e) Class IV: clearly malignant cystic mass, which includes masses characterized by the presence of one or more enhancing nodules (≥4 mm convex protrusion with obtuse margins, or a convex protrusion of any size that has acute margins). A Bosniak IV mass (Figure 5) has a malignancy rate of about 90% and therefore requires urologic consultation to perform partial or total nephrectomy [100].
6. MRI Assessment
6.1. T2W Imaging
6.2. CS (IP D OP) Imaging
6.3. Diffusion-Weighted Imaging
6.4. Gadolinium-Enhanced Sequences
6.5. MRI in Bosniak Classification
- -
- Bosniak I cysts appear as well-defined masses with a smooth, thin wall (≤2 mm), homogeneous simple fluid with a signal intensity (SI) similar to that of cerebrospinal fluid (CSF) and without septa or calcifications. The wall may show contrast enhancement.
- -
- Class II includes three types of cystic lesions, all of which are well-defined and have thin (≤2 mm) and smooth walls:
- The first type has lesions with thin (≤2 mm) and few (one to three) septa. The septa may have enhancement or calcifications of any type. Calcifications are less evident in MRI than in CT.
- The second type shows homogeneous and marked T2 hyperintensity (i.e., like that of cerebrospinal fluid) in the MRI without contrast.
- -
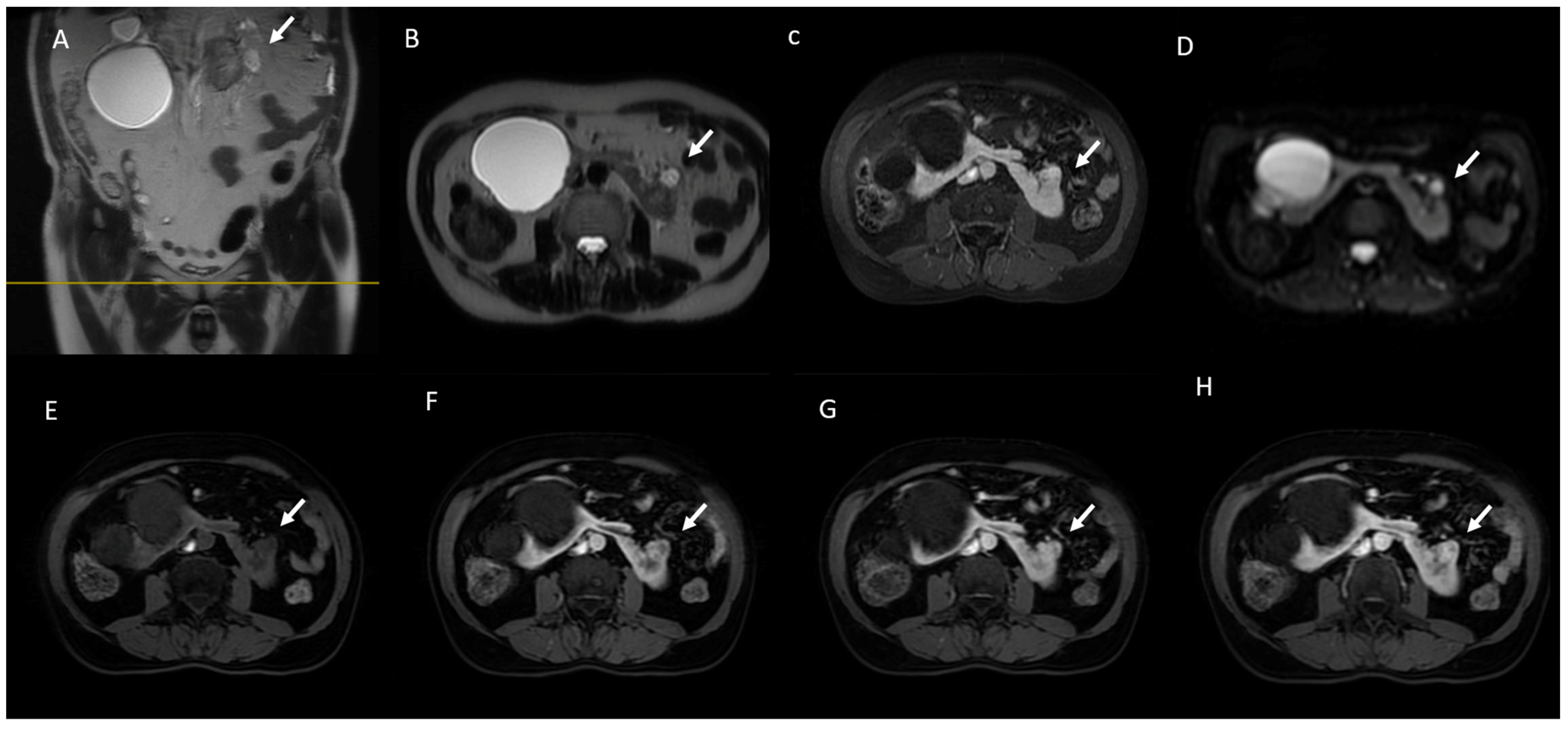
- The IIF type is a non-enhancing and heterogeneously hyperintense lesion with no contrast in the T1W image. This type of lesion is important because sometimes RCCs, especially papillary subtypes, are hemorrhagic and may show mild or absent enhancement [161].
6.6. Imaging Tools and Renal Lesions: Advantages and Limits
6.7. Imaging Guided Percutaneous Biopsy
7. Radiomics
8. Conclusions
Author Contributions
Funding
Institutional Review Board Statement
Informed Consent Statement
Data Availability Statement
Acknowledgments
Conflicts of Interest
References
- Sebastià, C.; Corominas, D.; Musquera, M.; Paño, B.; Ajami, T.; Nicolau, C. Active surveillance of small renal masses. Insights Imaging 2020, 11, 63. [Google Scholar] [CrossRef] [PubMed]
- Campbell, S.C.; Faraday, M.; Uzzo, R.G. Small renal mass. N. Engl. J. Med. 2010, 362, 2334, author reply 2334–2335. [Google Scholar] [CrossRef] [PubMed]
- Yano, M.; Fowler, K.J.; Srisuwan, S.; Salter, A.; Siegel, C.L. Quantitative multiparametric MR analysis of small renal lesions: Correlation with surgical pathology. Abdom. Radiol. 2018, 43, 3390–3399. [Google Scholar] [CrossRef]
- Ha, S.C.; Zlomke, H.A.; Cost, N.; Wilson, S. The Past, Present, and Future in Management of Small Renal Masses. J. Oncol. 2015, 2015, 364807. [Google Scholar] [CrossRef]
- Cancer Research UK. Kidney Cancer Statistics. Available online: http://www.cancerresearchuk.org/health-professional/cancer-statistics/statistics-bycancer-type/kidney-cancer#heading-Zero (accessed on 23 March 2023).
- Jayson, M.; Sanders, H. Increased incidence of serendipitously discovered renal cell carcinoma. Urology 1998, 51, 203–205. [Google Scholar] [CrossRef]
- Cohen, H.T.; McGovern, F.J. Renal-cell carcinoma. N. Engl. J. Med. 2005, 353, 2477–2490. [Google Scholar] [CrossRef]
- Bhatt, S.; MacLennan, G.; Dogra, V. Renal pseudotumors. Am. J. Roentgenol. 2007, 188, 1380–1387. [Google Scholar] [CrossRef]
- Kolbenstvedt, A.; Lien, H.H. Isolated renal hilar lip on computed tomography. Radiology 1982, 143, 150. [Google Scholar] [CrossRef]
- Dyer, R.B.; Chen, M.Y.; Zagoria, R.J. Classic signs in uroradiology. Radiographics 2004, 24 (Suppl. S1), S247–S280. [Google Scholar] [CrossRef]
- Altay, B.; Barışık, C.C.; Erkurt, B.; Kiremit, M.C. Subepithelial pelvic hematoma of the kidney (Antopol-Goldman Lesion). Turk. J. Urol. 2015, 41, 48–50. [Google Scholar] [CrossRef]
- Rinaldo, C.; Grimaldi, D.; Di Serafino, M.; Iacobellis, F.; Verde, F.; Caruso, M.; Sabatino, V.; Orabona, G.D.; Schillirò, M.L.; Vallone, G.; et al. An update on pyelonephritis: Role of contrast enhancement ultrasound (CEUS). J. Ultrasound. 2022. [Google Scholar] [CrossRef] [PubMed]
- Jana, M. Renal “Pseudotumor” on Contrast-Enhanced Ultrasound. Am. J. Roentgenol. 2021, 217, 1241. [Google Scholar] [CrossRef]
- Renzulli, M.; Brandi, N.; Argalia, G.; Brocchi, S.; Farolfi, A.; Fanti, S.; Golfieri, R. Morphological, dynamic and functional characteristics of liver pseudolesions and benign lesions. Radiol. Med. 2022, 127, 129–144. [Google Scholar] [CrossRef] [PubMed]
- Elstob, A.; Gonsalves, M.; Patel, U. Diagnostic modalities. Int. J. Surg. 2016, 36 Pt C, 504–512. [Google Scholar] [CrossRef]
- De Meerleer, G.; Khoo, V.; Escudier, B.; Joniau, S.; Bossi, A.; Ost, P.; Briganti, A.; Fonteyne, V.; Van Vulpen, M.; Lumen, N.; et al. Radiotherapy for renal-cell carcinoma. Lancet Oncol. 2014, 15, e170–e177. [Google Scholar] [CrossRef] [PubMed]
- Lancellotta, V.; Del Regno, L.; Di Stefani, A.; Fionda, B.; Marazzi, F.; Rossi, E.; Balducci, M.; Pampena, R.; Morganti, A.G.; Mangoni, M.; et al. The role of stereotactic radiotherapy in addition to immunotherapy in the management of melanoma brain metastases: Results of a systematic review. Radiol. Med. 2022, 127, 773–783. [Google Scholar] [CrossRef] [PubMed]
- Petrillo, A.; Fusco, R.; Barretta, M.L.; Granata, V.; Mattace Raso, M.; Porto, A.; Sorgente, E.; Fanizzi, A.; Massafra, R.; Lafranceschina, M.; et al. Radiomics and artificial intelligence analysis by T2-weighted imaging and dynamic contrast-enhanced magnetic resonance imaging to predict Breast Cancer Histological Outcome. Radiol. Med. 2023. [Google Scholar] [CrossRef]
- Granata, V.; Fusco, R.; De Muzio, F.; Brunese, M.C.; Setola, S.V.; Ottaiano, A.; Cardone, C.; Avallone, A.; Patrone, R.; Pradella, S.; et al. Radiomics and machine learning analysis by computed tomography and magnetic resonance imaging in colorectal liver metastases prognostic assessment. Radiol. Med. 2023. [Google Scholar] [CrossRef]
- Johnson, D.C.; Vukina, J.; Smith, A.B.; Meyer, A.M.; Wheeler, S.B.; Kuo, T.M.; Tan, H.J.; Woods, M.E.; Raynor, M.C.; Wallen, E.M.; et al. Preoperatively misclassified, surgically removed benign renal masses: A systematic review of surgical series and United States population level burden estimate. J. Urol. 2015, 193, 30–35. [Google Scholar] [CrossRef]
- Franco, D.; Granata, V.; Fusco, R.; Grassi, R.; Nardone, V.; Lombardi, L.; Cappabianca, S.; Conforti, R.; Briganti, F.; Grassi, R.; et al. Artificial intelligence and radiation effects on brain tissue in glioblastoma patient: Preliminary data using a quantitative tool. Radiol. Med. 2023, 128, 813–827. [Google Scholar] [CrossRef]
- Granata, V.; Fusco, R.; Cozzi, D.; Danti, G.; Faggioni, L.; Buccicardi, D.; Prost, R.; Ferrari, R.; Trinci, M.; Galluzzo, M.; et al. Structured reporting of computed tomography in the polytrauma patient assessment: A Delphi consensus proposal. Radiol. Med. 2023, 128, 222–233. [Google Scholar] [CrossRef] [PubMed]
- Finelli, A.; Ismaila, N.; Bro, B.; Durack, J.; Eggener, S.; Evans, A.; Gill, I.; Graham, D.; Huang, W.; Jewett, M.A.; et al. Management of small renal masses: American Society of Clinical Oncology clinical practice guideline. J. Clin. Oncol. 2017, 35, 668–680. [Google Scholar] [CrossRef] [PubMed]
- Granata, V.; Simonetti, I.; Fusco, R.; Setola, S.V.; Izzo, F.; Scarpato, L.; Vanella, V.; Festino, L.; Simeone, E.; Ascierto, P.A.; et al. Management of cutaneous melanoma: Radiologists challenging and risk assessment. Radiol. Med. 2022, 127, 899–911. [Google Scholar] [CrossRef] [PubMed]
- Zeilinger, M.G.; Giese, D.; Schmidt, M.; May, M.S.; Janka, R.; Heiss, R.; Ammon, F.; Achenbach, S.; Uder, M.; Treutlein, C. Highly accelerated, Dixon-based non-contrast MR angiography versus high-pitch CT angiography. Radiol. Med. 2023. [Google Scholar] [CrossRef]
- Hu, X.; Shi, S.; Wang, Y.; Yuan, J.; Chen, M.; Wei, L.; Deng, W.; Feng, S.T.; Peng, Z.; Luo, Y. Dual-energy CT improves differentiation of non-hypervascular pancreatic neuroendocrine neoplasms from CA 19-9-negative pancreatic ductal adenocarcinomas. Radiol. Med. 2023. [Google Scholar] [CrossRef]
- He, X.; Li, K.; Wei, R.; Zuo, M.; Yao, W.; Zheng, Z.; He, X.; Fu, Y.; Li, C.; An, C.; et al. A multitask deep learning radiomics model for predicting the macrotrabecular-massive subtype and prognosis of hepatocellular carcinoma after hepatic arterial infusion chemotherapy. Radiol. Med. 2023. [Google Scholar] [CrossRef]
- Pirosa, M.C.; Esposito, F.; Raia, G.; Chianca, V.; Cozzi, A.; Ruinelli, L.; Ceriani, L.; Zucca, E.; Del Grande, F.; Rizzo, S. CT-based body composition in diffuse large B cell lymphoma patients: Changes after treatment and association with survival. Radiol. Med. 2023. [Google Scholar] [CrossRef]
- Spinelli, M.S.; Balbaa, M.F.; Gallazzi, M.B.; Eid, M.E.; Kotb, H.T.; Shafei, M.E.; Ierardi, A.M.; Daolio, P.A.; Barile, A.; Carrafiello, G. Role of percutaneous CT-guided radiofrequency ablation in treatment of intra-articular, in close contact with cartilage and extra-articular osteoid osteomas: Comparative analysis and new classification system. Radiol. Med. 2022, 127, 1142–1150. [Google Scholar] [CrossRef]
- Bassi, E.; Russo, A.; Oliboni, E.; Zamboni, F.; De Santis, C.; Mansueto, G.; Montemezzi, S.; Foti, G. The role of an artificial intelligence software in clinical senology: A mammography multi-reader study. Radiol. Med. 2023. [Google Scholar] [CrossRef]
- Gakis, G.; Kramer, U.; Schilling, D.; Kruck, S.; Stenzl, A.; Schlemmer, H.P. Small renal oncocytomas: Differentiation with multiphase CT. Eur. J. Radiol. 2011, 80, 274–278. [Google Scholar] [CrossRef]
- Ramamurthy, N.K.; Moosavi, B.; McInnes, M.D.; Flood, T.A.; Schieda, N. Multiparametric MRI of solid renal masses: Pearls and pitfalls. Clin. Radiol. 2015, 70, 304–316. [Google Scholar] [CrossRef] [PubMed]
- Meyer, M.; Nelson, R.C.; Vernuccio, F.; Gonzalez, F.; Schabel, C.; Mileto, A.; Patel, B.N.; Schoenberg, S.O.; Marin, D. Comparison of Iodine Quantification and Conventional Attenuation Measurements for Differentiating Small, Truly Enhancing Renal Masses from High-Attenuation Nonenhancing Renal Lesions With Dual-Energy CT. Am. J. Roentgenol. 2019, 213, W26–W37. [Google Scholar] [CrossRef] [PubMed]
- Granata, V.; Fusco, R.; Setola, S.V.; Castelguidone, E.L.D.; Camera, L.; Tafuto, S.; Avallone, A.; Belli, A.; Incollingo, P.; Palaia, R.; et al. The multidisciplinary team for gastroenteropancreatic neuroendocrine tumours: The radiologist’s challenge. Radiol. Oncol. 2019, 53, 373–387. [Google Scholar] [CrossRef]
- Bertelli, E.; Palombella, A.; Sessa, F.; Baldi, I.; Morelli, N.; Verna, S.; Greco, I.; Morselli, S.; Pili, A.; Sebastianelli, A.; et al. Contrast-enhanced ultrasound (CEUS) imaging for active surveillance of small renal masses. World J. Urol. 2021, 39, 2853–2860. [Google Scholar] [CrossRef] [PubMed]
- Heidenreich, A.; Ravery, V.; European Society of Oncological Urology. Preoperative imaging in renal cell cancer. World J. Urol. 2004, 22, 307–315. [Google Scholar] [CrossRef]
- Forman, H.P.; Middleton, W.D.; Melson, G.L.; McClennan, B.L. Hyperechoic renal cell carcinomas: Increase in detection at US. Radiology 1993, 188, 431–434. [Google Scholar] [CrossRef]
- Hajianfar, G.; Haddadi Avval, A.; Hosseini, S.A.; Nazari, M.; Oveisi, M.; Shiri, I.; Zaidi, H. Time-to-event overall survival prediction in glioblastoma multiforme patients using magnetic resonance imaging radiomics. Radiol. Med. 2023. [Google Scholar] [CrossRef]
- Katabathina, V.S.; Kota, G.; Dasyam, A.K.; Shanbhogue, A.K.; Prasad, S.R. Adult renal cystic disease: A genetic, biological, and developmental primer. Radiographics 2010, 30, 1509–1523. [Google Scholar] [CrossRef]
- Terada, N.; Ichioka, K.; Matsuta, Y.; Okubo, K.; Yoshimura, K.; Arai, Y. The natural history of simple renal cysts. J. Urol. 2002, 167, 21–23. [Google Scholar] [CrossRef]
- Hélénon, O.; Crosnier, A.; Verkarre, V.; Merran, S.; Méjean, A.; Correas, J.M. Simple and complex renal cysts in adults: Classification system for renal cystic masses. Diagn. Interv. Imaging 2018, 99, 189–218. [Google Scholar] [CrossRef]
- Eble, J.N. Angiomyolipoma of kidney. Semin. Diagn. Pathol. 1998, 15, 21–40. [Google Scholar] [PubMed]
- Jinzaki, M.; Tanimoto, A.; Narimatsu, Y.; Ohkuma, K.; Kurata, T.; Shinmoto, H.; Hiramatsu, K.; Mukai, M.; Murai, M. Angiomyolipoma: Imaging findings in lesions with minimal fat. Radiology 1997, 205, 497–502. [Google Scholar] [CrossRef] [PubMed]
- Nicolau, C.; Antunes, N.; Paño, B.; Sebastia, C. Imaging Characterization of Renal Masses. Medicina 2021, 57, 51. [Google Scholar] [CrossRef] [PubMed]
- Schwarze, V.; Marschner, C.; Negrão de Figueiredo, G.; Knösel, T.; Rübenthaler, J.; Clevert, D.A. Single-center study: The diagnostic performance of contrast-enhanced ultrasound (CEUS) for assessing renal oncocytoma. Scand. J. Urol. 2020, 54, 135–140. [Google Scholar] [CrossRef]
- Fan, L.; Lianfang, D.; Jinfang, X.; Yijin, S.; Ying, W. Diagnostic efficacy of contrast-enhanced ultrasonography in solid renal parenchymal lesions with maximum diameters of 5 cm. J. Ultrasound Med. 2008, 27, 875–885. [Google Scholar] [CrossRef]
- Malhi, H.; Grant, E.G.; Duddalwar, V. Contrast-enhanced ultrasound of the liver and kidney. Radiol. Clin. N. Am. 2014, 52, 1177–1190. [Google Scholar] [CrossRef] [PubMed]
- Contrast-Enhanced Ultrasound. Reference Article, Radiopaedia.org. Available online: https://radiopaedia.org/articles/contrast-enhanced-ultrasound-2?lang=us (accessed on 27 November 2022).
- Quaia, E.; Calliada, F.; Bertolotto, M.; Rossi, S.; Garioni, L.; Rosa, L.; Pozzi-Mucelli, R. Characterization of focal liver lesions with contrast-specific US modes and a sulfur hexafluoride-filled microbubble contrast agent: Diagnostic performance and confidence. Radiology 2004, 232, 420–430. [Google Scholar] [CrossRef]
- Piscaglia, F.; Nolsoe, C.; Dietrich, C.F.; Cosgrove, D.O.; Gilja, O.H.; Nielsen, M.B.; Albrecht, T.; Barozzi, L.; Bertolotto, M.I.C.H.E.L.E.; Catalano, O.; et al. The EFSUMB guidelines and recommendations on the clinical practice of contrast enhanced ultrasound (CEUS): Update 2011 on non-hepatic applications. Ultraschall Med. 2012, 33, 33–59. [Google Scholar] [CrossRef]
- Xu, Z.F.; Xu, H.X.; Xie, X.Y.; Liu, G.J.; Zheng, Y.L.; Lu, M.D. Renal cell carcinoma and renal angiomyolipoma: Differential diagnosis with real-time contrast-enhanced ultrasonography. J. Ultrasound Med. 2010, 29, 709–717. [Google Scholar] [CrossRef]
- Dietrich, C.F.; Nolsøe, C.P.; Barr, R.G.; Berzigotti, A.; Burns, P.N.; Cantisani, V.; Chammas, M.C.; Chaubal, N.; Choi, B.I.; Clevert, D.A.; et al. Guidelines and Good Clinical Practice Recommendations for Contrast-Enhanced Ultrasound (CEUS) in the Liver-Update 2020 WFUMB in Cooperation with EFSUMB, AFSUMB, AIUM, and FLAUS. Ultrasound Med. Biol. 2020, 46, 2579–2604. [Google Scholar] [CrossRef]
- Granata, V.; Faggioni, L.; Grassi, R.; Fusco, R.; Reginelli, A.; Rega, D.; Maggialetti, N.; Buccicardi, D.; Frittoli, B.; Rengo, M.; et al. Structured reporting of computed tomography in the staging of colon cancer: A Delphi consensus proposal. Radiol. Med. 2022, 127, 21–29. [Google Scholar] [CrossRef]
- Shang, Y.; Chen, W.; Li, G.; Huang, Y.; Wang, Y.; Kui, X.; Li, M.; Zheng, H.; Zhao, W.; Liu, J. Computed Tomography-derived intratumoral and peritumoral radiomics in predicting EGFR mutation in lung adenocarcinoma. Radiol. Med. 2023. [Google Scholar] [CrossRef] [PubMed]
- Luo, G.; Li, Z.; Ge, W.; Ji, Z.; Qiao, S.; Pan, S. Residual networks models detection of atrial septal defect from chest radiographs. Radiol. Med. 2023. [Google Scholar] [CrossRef] [PubMed]
- Zheng, C.; Gu, X.T.; Huang, X.L.; Wei, Y.C.; Chen, L.; Luo, N.B.; Lin, H.S.; Liao, J.-Y. Nomogram based on clinical and preoperative CT features for predicting the early recurrence of combined hepatocellular-cholangiocarcinoma: A multicenter study. Radiol. Med. 2023. [Google Scholar] [CrossRef]
- Sheth, S.; Fishman, E.K. Multi-detector row CT of the kidneys and urinary tract: Techniques and applications in the diagnosis of benign diseases. Radiographics 2004, 24, e20. [Google Scholar] [CrossRef] [PubMed]
- Liu, M.T.; Zhang, J.Y.; Xu, L.; Qu, Q.; Lu, M.T.; Jiang, J.F.; Zhao, X.C.; Zhang, X.Q.; Zhang, T. A multivariate model based on gadoxetic acid-enhanced MRI using Li-RADS v2018 and other imaging features for preoperative prediction of dual-phenotype hepatocellular carcinoma. Radiol. Med. 2023. [Google Scholar] [CrossRef]
- Chu, J.S.; Wang, Z.J. Protocol Optimization for Renal Mass Detection and Characterization. Radiol. Clin. N. Am. 2020, 58, 851–873. [Google Scholar] [CrossRef]
- Kang, S.K.; Huang, W.C.; Pandharipande, P.V.; Chandarana, H. Solid renal masses: What the numbers tell us. Am. J. Roentgenol. 2014, 202, 1196–1206. [Google Scholar] [CrossRef]
- Sheth, S.; Scatarige, J.C.; Horton, K.M.; Corl, F.M.; Fishman, E.K. Current concepts in the diagnosis and management of renal cell carcinoma: Role of multidetector ct and three-dimensional CT. Radiographics 2001, 21 (Suppl. S1), S237–S254. [Google Scholar] [CrossRef]
- Kim, H.L.; Zisman, A.; Han, K.R.; Figlin, R.A.; Belldegrun, A.S. Prognostic significance of venous thrombus in renal cell carcinoma. Are renal vein and inferior vena cava involvement different? J. Urol. 2004, 171, 588–591. [Google Scholar] [CrossRef]
- Alterio, D.; Zaffaroni, M.; Bossi, P.; Dionisi, F.; Elicin, O.; Falzone, A.; Ferrari, A.; Jereczek-Fossa, B.A.; Sanguineti, G.; Szturz, P.; et al. Reirradiation of head and neck squamous cell carcinomas: A pragmatic approach-part I: Prognostic factors and indications to treatment. Radiol. Med. 2023. [Google Scholar] [CrossRef] [PubMed]
- Zheng, M.; Zhu, G.; Chen, D.; Xiao, Q.; Lei, T.; Ye, C.; Pan, C.; Miao, S.; Ye, L. T1-weighted images-based radiomics for structural lesions evaluation in patients with suspected axial spondyloarthritis. Radiol. Med. 2023. [Google Scholar] [CrossRef]
- Bosniak, M.A. The small (less than or equal to 3.0 cm) renal parenchymal tumor: Detection, diagnosis, and controversies. Radiology 1991, 179, 307–317, Erratum in: Radiology 1991, 181, 289. [Google Scholar] [CrossRef] [PubMed]
- Cao, Y.; Feng, J.; Wang, C.; Yang, F.; Wang, X.; Xu, J.; Huang, C.; Zhang, S.; Li, Z.; Mao, L.; et al. LNAS: A clinically applicable deep-learning system for mediastinal enlarged lymph nodes segmentation and station mapping without regard to the pathogenesis using unenhanced CT images. Radiol. Med. 2023. [Google Scholar] [CrossRef] [PubMed]
- Jonisch, A.I.; Rubinowitz, A.N.; Mutalik, P.G.; Israel, G.M. Can high-attenuation renal cysts be differentiated from renal cell carcinoma at unenhanced CT? Radiology 2007, 243, 445–450. [Google Scholar] [CrossRef] [PubMed]
- Takahashi, N.; Takeuchi, M.; Sasaguri, K.; Leng, S.; Froemming, A.; Kawashima, A. CT negative attenuation pixel distribution and texture analysis for detection of fat in small angiomyolipoma on unenhanced CT. Abdom. Radiol. 2016, 41, 1142–1151. [Google Scholar] [CrossRef]
- Aganovic, L.; Cohan, R.H. Renal Tumors. In Diseases of the Abdomen and Pelvis 2018–2021: Diagnostic Imaging-IDKD Book; Hodler, J., Kubik-Huch, R.A., von Schulthess, G.K., Eds.; Springer: Cham, Switzerland, 2018; Chapter 1. [Google Scholar]
- Kim, J.K.; Park, S.Y.; Shon, J.H.; Cho, K.S. Angiomyolipoma with minimal fat: Differentiation from renal cell carcinoma at biphasic helical CT. Radiology 2004, 230, 677–684. [Google Scholar] [CrossRef]
- Shetty, A.S.; Sipe, A.L.; Zulfiqar, M.; Tsai, R.; Raptis, D.A.; Raptis, C.A.; Bhalla, S. In-Phase and Opposed-Phase Imaging: Applications of Chemical Shift and Magnetic Susceptibility in the Chest and Abdomen. Radiographics 2019, 39, 115–135. [Google Scholar] [CrossRef]
- Israel, G.M.; Hindman, N.; Bosniak, M.A. Evaluation of cystic renal masses: Comparison of CT and MR imaging by using the Bosniak classification system. Radiology 2004, 231, 365–371. [Google Scholar] [CrossRef]
- Şendur, A.B.; Cerit, M.N.; Şendur, H.N. Clinical applicability of US-based hepatic fat quantification tools may be expedited by adherence to guidelines. Radiol. Med. 2023. [Google Scholar] [CrossRef]
- Israel, G.M.; Bosniak, M.A. How I do it: Evaluating renal masses. Radiology 2005, 236, 441–450. [Google Scholar] [CrossRef]
- Krishna, S.; Murray, C.A.; McInnes, M.D.; Chatelain, R.; Siddaiah, M.; Al-Dandan, O.; Narayanasamy, S.; Schieda, N. CT imaging of solid renal masses: Pitfalls and solutions. Clin. Radiol. 2017, 72, 708–721. [Google Scholar] [CrossRef] [PubMed]
- Maki, D.D.; Birnbaum, B.A.; Chakraborty, D.P.; Jacobs, J.E.; Carvalho, B.M.; Herman, G.T. Renal cyst pseudoenhancement: Beam-hardening effects on CT numbers. Radiology 1999, 213, 468–472. [Google Scholar] [CrossRef] [PubMed]
- Kim, J.K.; Kim, T.K.; Ahn, H.J.; Kim, C.S.; Kim, K.R.; Cho, K.S. Differentiation of subtypes of renal cell carcinoma on helical CT scans. Am. J. Roentgenol. 2002, 178, 1499–1506. [Google Scholar] [CrossRef]
- Schatz, S.M.; Lieber, M.M. Update on oncocytoma. Curr. Urol. Rep. 2003, 4, 30–35. [Google Scholar] [CrossRef] [PubMed]
- Quinn, M.J.; Hartman, D.S.; Friedman, A.C.; Sherman, J.L.; Lautin, E.M.; Pyatt, R.S.; Ho, C.K.; Csere, R.; Fromowitz, F.B. Renal oncocytoma: New observations. Radiology 1984, 153, 49–53. [Google Scholar] [CrossRef]
- Choudhary, S.; Rajesh, A.; Mayer, N.J.; Mulcahy, K.A.; Haroon, A. Renal oncocytoma: CT features cannot reliably distinguish oncocytoma from other renal neoplasms. Clin. Radiol. 2009, 64, 517–522. [Google Scholar] [CrossRef]
- Chawla, S.N.; Crispen, P.L.; Hanlon, A.L.; Greenberg, R.E.; Chen, D.Y.; Uzzo, R.G. The natural history of observed enhancing renal masses: Meta-analysis and review of the world literature. J. Urol. 2006, 175, 425–431. [Google Scholar] [CrossRef]
- Kassouf, W.; Aprikian, A.G.; Laplante, M.; Tanguay, S. Natural history of renal masses followed expectantly. J. Urol. 2004, 171, 111–113, discussion 113. [Google Scholar] [CrossRef]
- Kunkle, D.A.; Crispen, P.L.; Chen, D.Y.; Greenberg, R.E.; Uzzo, R.G. Enhancing renal masses with zero net growth during active surveillance. J. Urol. 2007, 177, 849–853, discussion 853–854. [Google Scholar] [CrossRef]
- Siu, W.; Hafez, K.S.; Johnston, W.K., 3rd; Wolf, J.S., Jr. Growth rates of renal cell carcinoma and oncocytoma under surveillance are similar. Urol. Oncol. 2007, 25, 115–119. [Google Scholar] [CrossRef] [PubMed]
- Siegel, C.L.; McFarland, E.G.; Brink, J.A.; Fisher, A.J.; Humphrey, P.; Heiken, J.P. CT of cystic renal masses: Analysis of diagnostic performance and interobserver variation. Am. J. Roentgenol. 1997, 169, 813–818. [Google Scholar] [CrossRef]
- Parienty, R.A.; Pradel, J.; Parienty, I. Cystic renal cancers: CT characteristics. Radiology 1985, 157, 741–744. [Google Scholar] [CrossRef] [PubMed]
- Bosniak, M.A. The current radiological approach to renal cysts. Radiology 1986, 158, 1–10. [Google Scholar] [CrossRef]
- Israel, G.M.; Bosniak, M.A. An update of the Bosniak renal cyst classification system. Urology 2005, 66, 484–488. [Google Scholar] [CrossRef]
- Silverman, S.G.; Pedrosa, I.; Ellis, J.H.; Hindman, N.M.; Schieda, N.; Smith, A.D.; Remer, E.M.; Shinagare, A.B.; Curci, N.E.; Raman, S.S.; et al. Bosniak Classification of Cystic Renal Masses, Version 2019: An Update Proposal and Needs Assessment. Radiology 2019, 292, 475–488. [Google Scholar] [CrossRef]
- Smith, A.D. Bosniak Classification Version 2019: Counterpoint-It’s Complicated. Am. J. Roentgenol. 2022, 218, 421–422. [Google Scholar] [CrossRef] [PubMed]
- Schieda, N.; Davenport, M.S.; Krishna, S.; Edney, E.A.; Pedrosa, I.; Hindman, N.; Baroni, R.H.; Curci, N.E.; Shinagare, A.; Silverman, S.G. Bosniak Classification of Cystic Renal Masses, Version 2019: A Pictorial Guide to Clinical Use. Radiographics 2021, 41, 814–828, Erratum in: Radiographics 2022, 42, E33. [Google Scholar] [CrossRef]
- Muglia, V.F.; Westphalen, A.C. Bosniak classification for complex renal cysts: History and critical analysis. Radiol. Bras. 2014, 47, 368–373. [Google Scholar] [CrossRef]
- Park, B.K.; Kim, B.; Kim, S.H.; Ko, K.; Lee, H.M.; Choi, H.Y. Assessment of cystic renal masses based on Bosniak classification: Comparison of CT and contrast-enhanced US. Eur. J. Radiol. 2007, 61, 310–314. [Google Scholar] [CrossRef]
- Kashan, M.; Ghanaat, M.; Hötker, A.M.; Duzgol, C.; Sanchez, A.; DiNatale, R.G.; Blum, K.A.; Becerra, M.F.; Manley, B.J.; Casuscelli, J.; et al. Cystic Renal Cell Carcinoma: A Report on Outcomes of Surgery and Active Surveillance in Patients Retrospectively Identified on Pretreatment Imaging. J. Urol. 2018, 200, 275–282. [Google Scholar] [CrossRef]
- McGrath, T.A.; Shoeib, A.; Davenport, M.S.; Silverman, S.G.; McInnes, M.D.F.; Schieda, N. Evaluation of class II cystic renal masses proposed in Bosniak classification version 2019: A systematic review of supporting evidence. Abdom. Radiol. 2021, 46, 4888–4897. [Google Scholar] [CrossRef] [PubMed]
- Schoots, I.G.; Zaccai, K.; Hunink, M.G.; Verhagen, P.C.M.S. Bosniak Classification for Complex Renal Cysts Reevaluated: A Systematic Review. J. Urol. 2017, 198, 12–21. [Google Scholar] [CrossRef] [PubMed]
- Smith, A.D.; Remer, E.M.; Cox, K.L.; Lieber, M.L.; Allen, B.C.; Shah, S.N.; Herts, B.R. Bosniak category IIF and III cystic renal lesions: Outcomes and associations. Radiology 2012, 262, 152–160. [Google Scholar] [CrossRef]
- Warren, K.S.; McFarlane, J. The Bosniak classification of renal cystic masses. BJU Int. 2005, 95, 939–942. [Google Scholar] [CrossRef]
- Weibl, P.; Hora, M.; Kollarik, B.; Shariat, S.F.; Klatte, T. Management, pathology and outcomes of Bosniak category IIF and III cystic renal lesions. World J. Urol. 2015, 33, 295–300. [Google Scholar] [CrossRef]
- Luomala, L.; Rautiola, J.; Järvinen, P.; Mirtti, T.; Nisén, H. Active surveillance versus initial surgery in the long-term management of Bosniak IIF-IV cystic renal masses. Sci. Rep. 2022, 12, 10184. [Google Scholar] [CrossRef]
- Edney, E.; Davenport, M.S.; Curci, N.; Schieda, N.; Krishna, S.; Hindman, N.; Silverman, S.G.; Pedrosa, I. Bosniak classification of cystic renal masses, version 2019: Interpretation pitfalls and recommendations to avoid misclassification. Abdom. Radiol. 2021, 46, 2699–2711. [Google Scholar] [CrossRef] [PubMed]
- Willatt, J.M.; Hussain, H.K.; Chong, S.; Kappil, M.; Azar, S.F.; Liu, P.S.; Ruma, J.A.; Elsayes, K.M. MR imaging in the characterization of small renal masses. Abdom. Imaging 2014, 39, 761–769. [Google Scholar] [CrossRef]
- Cirillo, L.; Rustici, A.; Toni, F.; Zoli, M.; Bartiromo, F.; Gramegna, L.L.; Cicala, D.; Tonon, C.; Caranci, F.; Lodi, R. Vessel Wall MRI: Clinical implementation in cerebrovascular disorders-technical aspects. Radiol. Med. 2022, 127, 645–651. [Google Scholar] [CrossRef]
- Maggialetti, N.; Greco, C.N.; Lucarelli, N.M.; Morelli, C.; Cianci, V.; Sasso, S.; Rubini, D.; Scardapane, A.; Stabile Ianora, A.A. Applications of new radiological scores: The Node-rads in colon cancer staging. Radiol. Med. 2023. [Google Scholar] [CrossRef] [PubMed]
- Expert Panel on Urologic Imaging; Wang, Z.J.; Nikolaidis, P.; Khatri, G.; Dogra, V.S.; Ganeshan, D.; Goldfarb, S.; Gore, J.L.; Gupta, R.T.; Hartman, R.P.; et al. ACR Appropriateness Criteria® Indeterminate Renal Mass. J. Am. Coll. Radiol. 2020, 17, S415–S428. [Google Scholar] [CrossRef]
- Granata, V.; Catalano, O.; Fusco, R.; Tatangelo, F.; Rega, D.; Nasti, G.; Avallone, A.; Piccirillo, M.; Izzo, F.; Petrillo, A. The target sign in colorectal liver metastases: An atypical Gd-EOB-DTPA “uptake” on the hepatobiliary phase of MR imaging. Abdom. Imaging 2015, 40, 2364–2371. [Google Scholar] [CrossRef]
- Granata, V.; Fusco, R.; Avallone, A.; Catalano, O.; Filice, F.; Leongito, M.; Palaia, R.; Izzo, F.; Petrillo, A. Major and ancillary magnetic resonance features of LI-RADS to assess HCC: An overview and update. Infect. Agents Cancer 2017, 12, 23. [Google Scholar] [CrossRef]
- Granata, V.; Grassi, R.; Fusco, R.; Setola, S.V.; Belli, A.; Ottaiano, A.; Nasti, G.; La Porta, M.; Danti, G.; Cappabianca, S.; et al. Intrahepatic cholangiocarcinoma and its differential diagnosis at MRI: How radiologist should assess MR features. Radiol. Med. 2021, 126, 1584–1600. [Google Scholar] [CrossRef]
- Mawi, H.; Narine, R.; Schieda, N. Adequacy of Unenhanced MRI for Surveillance of Small (Clinical T1a) Solid Renal Masses. Am. J. Roentgenol. 2021, 216, 960–966. [Google Scholar] [CrossRef] [PubMed]
- Davarpanah, A.H.; Israel, G.M. MR imaging of the kidneys and adrenal glands. Radiol. Clin. N. Am. 2014, 52, 779–798. [Google Scholar] [CrossRef] [PubMed]
- De Silva, S.; Lockhart, K.R.; Aslan, P.; Nash, P.; Hutton, A.; Malouf, D.; Lee, D.; Cozzi, P.; MacLean, F.; Thompson, J. Differentiation of renal masses with multi-parametric MRI: The de Silva St George classification scheme. BMC Urol. 2022, 22, 141. [Google Scholar] [CrossRef]
- Cappabianca, S.; Granata, V.; Di Grezia, G.; Mandato, Y.; Reginelli, A.; Di Mizio, V.; Grassi, R.; Rotondo, A. The role of nasoenteric intubation in the MR study of patients with Crohn’s disease: Our experience and literature review. Radiol. Med. 2011, 116, 389–406. [Google Scholar] [CrossRef]
- Scola, E.; Desideri, I.; Bianchi, A.; Gadda, D.; Busto, G.; Fiorenza, A.; Amadori, T.; Mancini, S.; Miele, V.; Fainardi, E. Assessment of brain tumors by magnetic resonance dynamic susceptibility contrast perfusion-weighted imaging and computed tomography perfusion: A comparison study. Radiol. Med. 2022, 127, 664–672. [Google Scholar] [CrossRef]
- Fusco, R.; Granata, V.; Sansone, M.; Rega, D.; Delrio, P.; Tatangelo, F.; Romano, C.; Avallone, A.; Pupo, D.; Giordano, M.; et al. Validation of the standardized index of shape tool to analyze DCE-MRI data in the assessment of neo-adjuvant therapy in locally advanced rectal cancer. Radiol. Med. 2021, 126, 1044–1054. [Google Scholar] [CrossRef]
- Granata, V.; Fusco, R.; Risi, C.; Ottaiano, A.; Avallone, A.; De Stefano, A.; Grimm, R.; Grassi, R.; Brunese, L.; Izzo, F.; et al. Diffusion-Weighted MRI and Diffusion Kurtosis Imaging to Detect RAS Mutation in Colorectal Liver Metastasis. Cancers 2020, 12, 2420. [Google Scholar] [CrossRef]
- Nakayama, Y.; Yamashita, Y.; Matsuno, Y.; Tang, Y.; Namimoto, T.; Kadota, M.; Mitsuzaki, K.; Abe, Y.; Katahira, K.; Arakawa, A.; et al. Fast breath-hold T2-weighted MRI of the kidney by means of half-Fourier single-shot turbo spin echo: Comparison with high resolution turbo spin echo sequence. J. Comput. Assist. Tomogr. 2001, 25, 55–60. [Google Scholar] [CrossRef][Green Version]
- Fushimi, Y.; Yoshida, K.; Okawa, M.; Maki, T.; Nakajima, S.; Sakata, A.; Okuchi, S.; Hinoda, T.; Kanagaki, M.; Nakamoto, Y. Vessel wall MR imaging in neuroradiology. Radiol. Med. 2022, 127, 1032–1045. [Google Scholar] [CrossRef] [PubMed]
- Campbell, N.; Rosenkrantz, A.B.; Pedrosa, I. MRI phenotype in renal cancer: Is it clinically relevant? Top. Magn. Reson. Imaging 2014, 23, 95–115. [Google Scholar] [CrossRef] [PubMed]
- Chung, M.S.; Choi, H.J.; Kim, M.H.; Cho, K.S. Comparison of T2-weighted MRI with and without fat suppression for differentiating renal angiomyolipomas without visible fat from other renal tumors. Am. J. Roentgenol. 2014, 202, 765–771. [Google Scholar] [CrossRef] [PubMed]
- Sasiwimonphan, K.; Takahashi, N.; Leibovich, B.C.; Carter, R.E.; Atwell, T.D.; Kawashima, A. Small (<4 cm) renal mass: Differentiation of angiomyolipoma without visible fat from renal cell carcinoma utilizing MR imaging. Radiology 2012, 263, 160–168, Erratum in: Radiology 2016, 280, 653. [Google Scholar] [CrossRef]
- Prasad, S.R.; Humphrey, P.A.; Catena, J.R.; Narra, V.R.; Srigley, J.R.; Cortez, A.D.; Dalrymple, N.C.; Chintapalli, K.N. Common and uncommon histologic subtypes of renal cell carcinoma: Imaging spectrum with pathologic correlation. Radiographics 2006, 26, 1795–1806, discussion 1806–1810. [Google Scholar] [CrossRef]
- Pedrosa, I.; Sun, M.R.; Spencer, M.; Genega, E.M.; Olumi, A.F.; Dewolf, W.C.; Rofsky, N.M. MR imaging of renal masses: Correlation with findings at surgery and pathologic analysis. Radiographics 2008, 28, 985–1003. [Google Scholar] [CrossRef]
- Cornelis, F.; Tricaud, E.; Lasserre, A.S.; Petitpierre, F.; Bernhard, J.C.; Le Bras, Y.; Yacoub, M.; Bouzgarrou, M.; Ravaud, A.; Grenier, N. Routinely performed multiparametric magnetic resonance imaging helps to differentiate common subtypes of renal tumours. Eur. Radiol. 2014, 24, 1068–1080. [Google Scholar] [CrossRef]
- Israel, G.M.; Bosniak, M.A. Pitfalls in renal mass evaluation and how to avoid them. Radiographics 2008, 28, 1325–1338. [Google Scholar] [CrossRef]
- Outwater, E.K.; Bhatia, M.; Siegelman, E.S.; Burke, M.A.; Mitchell, D.G. Lipid in renal clear cell carcinoma: Detection on opposed-phase gradient-echo MR images. Radiology 1997, 205, 103–107. [Google Scholar] [CrossRef]
- Yoshimitsu, K.; Honda, H.; Kuroiwa, T.; Irie, H.; Tajima, T.; Jimi, M.; Kuroiwa, K.; Naito, S.; Masuda, K. MR detection of cytoplasmic fat in clear cell renal cell carcinoma utilizing chemical shift gradient-echo imaging. J. Magn. Reson. Imaging 1999, 9, 579–585. [Google Scholar] [CrossRef]
- Moosavi, B.; Shabana, W.M.; El-Khodary, M.; van der Pol, C.B.; Flood, T.A.; McInnes, M.D.; Schieda, N. Intracellular lipid in clear cell renal cell carcinoma tumor thrombus and metastases detected by chemical shift (in and opposed phase) MRI: Radiologic-pathologic correlation. Acta Radiol. 2016, 57, 241–248. [Google Scholar] [CrossRef]
- Richmond, L.; Atri, M.; Sherman, C.; Sharir, S. Renal cell carcinoma containing macroscopic fat on CT mimics an angiomyolipoma due to bone metaplasia without macroscopic calcification. Br. J. Radiol. 2010, 83, e179–e181. [Google Scholar] [CrossRef]
- Garin, J.M.; Marco, I.; Salva, A.; Serrano, F.; Bondia, J.M.; Pacheco, M. CT and MRI in fat-containing papillary renal cell carcinoma. Br. J. Radiol. 2007, 80, e193–e195. [Google Scholar] [CrossRef] [PubMed]
- Karlo, C.A.; Donati, O.F.; Burger, I.A.; Zheng, J.; Moskowitz, C.S.; Hricak, H.; Akin, O. MR imaging of renal cortical tumours: Qualitative and quantitative chemical shift imaging parameters. Eur. Radiol. 2013, 23, 1738–1744. [Google Scholar] [CrossRef]
- Granata, V.; Fusco, R.; Catalano, O.; Avallone, A.; Palaia, R.; Botti, G.; Tatangelo, F.; Granata, F.; Cascella, M.; Izzo, F.; et al. Diagnostic accuracy of magnetic resonance, computed tomography and contrast enhanced ultrasound in radiological multimodality assessment of peribiliary liver metastases. PLoS ONE 2017, 12, e0179951. [Google Scholar] [CrossRef] [PubMed]
- Flum, A.S.; Hamoui, N.; Said, M.A.; Yang, X.J.; Casalino, D.D.; McGuire, B.B.; Perry, K.T.; Nadler, R.B. Update on the Diagnosis and Management of Renal Angiomyolipoma. J. Urol. 2016, 195, 834–846. [Google Scholar] [CrossRef]
- Schieda, N.; Avruch, L.; Flood, T.A. Small (<1 cm) incidental echogenic renal cortical nodules: Chemical shift MRI outperforms CT for confirmatory diagnosis of angiomyolipoma (AML). Insights Imaging 2014, 5, 295–299. [Google Scholar] [CrossRef]
- Schieda, N.; Kielar, A.Z.; Al Dandan, O.; McInnes, M.D.; Flood, T.A. Ten uncommon and unusual variants of renal angiomyolipoma (AML): Radiologic-pathologic correlation. Clin. Radiol. 2015, 70, 206–220. [Google Scholar] [CrossRef] [PubMed]
- Woo, S.; Kim, S.Y.; Cho, J.Y.; Kim, S.H. Differentiation between papillary renal cell carcinoma and fat-poor angiomyolipoma: A preliminary study assessing detection of intratumoral hemorrhage with chemical shift MRI and T2*-weighted gradient echo. Acta Radiol. 2018, 59, 627–634. [Google Scholar] [CrossRef] [PubMed]
- Israel, G.M.; Hindman, N.; Hecht, E.; Krinsky, G. The use of opposed-phase chemical shift MRI in the diagnosis of renal angiomyolipomas. Am. J. Roentgenol. 2005, 184, 1868–1872. [Google Scholar] [CrossRef]
- Jhaveri, K.S.; Elmi, A.; Hosseini-Nik, H.; Hedgire, S.; Evans, A.; Jewett, M.; Harisinghani, M. Predictive Value of Chemical-Shift MRI in Distinguishing Clear Cell Renal Cell Carcinoma from Non-Clear Cell Renal Cell Carcinoma and Minimal-Fat Angiomyolipoma. Am. J. Roentgenol. 2015, 205, W79–W86. [Google Scholar] [CrossRef] [PubMed]
- Campbell, S.C.; Clark, P.E.; Chang, S.S.; Karam, J.A.; Souter, L.; Uzzo, R.G. Renal Mass and Localized Renal Cancer: Evaluation, Management, and Follow-Up: AUA Guideline: Part I. J. Urol. 2021, 206, 199–208. [Google Scholar] [CrossRef] [PubMed]
- Kang, S.K.; Zhang, A.; Pandharipande, P.V.; Chandarana, H.; Braithwaite, R.S.; Littenberg, B. DWI for Renal Mass Characterization: Systematic Review and Meta-Analysis of Diagnostic Test Performance. Am. J. Roentgenol. 2015, 205, 317–324. [Google Scholar] [CrossRef] [PubMed]
- Gilet, A.G.; Kang, S.K.; Kim, D.; Chandarana, H. Advanced renal mass imaging: Diffusion and perfusion MRI. Curr. Urol. Rep. 2012, 13, 93–98. [Google Scholar] [CrossRef] [PubMed]
- Schieda, N.; Al-Dandan, O.; El-Khodary, M.; Shabana, W. Low b-value (black blood) respiratory-triggered fat-suppressed single-shot spin-echo echo-planar imaging (EPI) of the liver: Comparison of image quality at 1.5 and 3 T. Clin. Radiol. 2014, 69, 1136–1141. [Google Scholar] [CrossRef]
- Fusco, R.; Sansone, M.; Granata, V.; Grimm, R.; Pace, U.; Delrio, P.; Tatangelo, F.; Botti, G.; Avallone, A.; Pecori, B.; et al. Diffusion and perfusion MR parameters to assess preoperative short-course radiotherapy response in locally advanced rectal cancer: A comparative explorative study among Standardized Index of Shape by DCE-MRI, intravoxel incoherent motion- and diffusion kurtosis imaging-derived parameters. Abdom. Radiol. 2019, 44, 3683–3700. [Google Scholar] [CrossRef]
- Lei, Y.; Wang, H.; Li, H.F.; Rao, Y.W.; Liu, J.H.; Tian, S.F.; Ju, Y.; Li, Y.; Chen, A.L.; Chen, L.H.; et al. Diagnostic Significance of Diffusion-Weighted MRI in Renal Cancer. Biomed Res. Int. 2015, 2015, 172165. [Google Scholar] [CrossRef]
- de Silva, S.; Lockhart, K.R.; Aslan, P.; Nash, P.; Hutton, A.; Malouf, D.; Lee, D.; Cozzi, P.; MacLean, F.; Thompson, J. The diagnostic utility of diffusion weighted MRI imaging and ADC ratio to distinguish benign from malignant renal masses: Sorting the kittens from the tigers. BMC Urol. 2021, 21, 67. [Google Scholar] [CrossRef] [PubMed]
- Taouli, B.; Thakur, R.K.; Mannelli, L.; Babb, J.S.; Kim, S.; Hecht, E.M.; Lee, V.S.; Israel, G.M. Renal lesions: Characterization with diffusion-weighted imaging versus contrast-enhanced MR imaging. Radiology 2009, 251, 398–407. [Google Scholar] [CrossRef] [PubMed]
- Lassel, E.A.; Rao, R.; Schwenke, C.; Schoenberg, S.O.; Michaely, H.J. Diffusion-weighted imaging of focal renal lesions: A meta-analysis. Eur. Radiol. 2014, 24, 241–249. [Google Scholar] [CrossRef] [PubMed]
- Wang, H.; Cheng, L.; Zhang, X.; Wang, D.; Guo, A.; Gao, Y.; Ye, H. Renal cell carcinoma: Diffusion-weighted MR imaging for subtype differentiation at 3.0 T. Radiology 2010, 257, 135–143. [Google Scholar] [CrossRef]
- Granata, V.; Grassi, R.; Fusco, R.; Setola, S.V.; Palaia, R.; Belli, A.; Miele, V.; Brunese, L.; Grassi, R.; Petrillo, A.; et al. Assessment of Ablation Therapy in Pancreatic Cancer: The Radiologist’s Challenge. Front. Oncol. 2020, 10, 560952. [Google Scholar] [CrossRef]
- Sandrasegaran, K.; Sundaram, C.P.; Ramaswamy, R.; Akisik, F.M.; Rydberg, M.P.; Lin, C.; Aisen, A.M. Usefulness of diffusion-weighted imaging in the evaluation of renal masses. Am. J. Roentgenol. 2010, 194, 438–445. [Google Scholar] [CrossRef]
- Agnello, F.; Roy, C.; Bazille, G.; Galia, M.; Midiri, M.; Charles, T.; Lang, H. Small solid renal masses: Characterization by diffusion-weighted MRI at 3 T. Clin. Radiol. 2013, 68, e301–e308. [Google Scholar] [CrossRef]
- Granata, V.; Fusco, R.; Sansone, M.; Grassi, R.; Maio, F.; Palaia, R.; Tatangelo, F.; Botti, G.; Grimm, R.; Curley, S.; et al. Magnetic resonance imaging in the assessment of pancreatic cancer with quantitative parameter extraction by means of dynamic contrast-enhanced magnetic resonance imaging, diffusion kurtosis imaging and intravoxel incoherent motion diffusion-weighted imaging. Therap. Adv. Gastroenterol. 2020, 13, 1756284819885052. [Google Scholar] [CrossRef]
- Sacco, R.; Faggioni, L.; Bargellini, I.; Ginanni, B.; Battaglia, V.; Romano, A.; Bertini, M.; Bresci, G.; Bartolozzi, C. Assessment of response to sorafenib in advanced hepatocellular carcinoma using perfusion computed tomography: Results of a pilot study. Dig. Liver Dis. 2013, 45, 776–781. [Google Scholar] [CrossRef]
- Hecht, E.M.; Israel, G.M.; Krinsky, G.A.; Hahn, W.Y.; Kim, D.C.; Belitskaya-Levy, I.; Lee, V.S. Renal masses: Quantitative analysis of enhancement with signal intensity measurements versus qualitative analysis of enhancement with image subtraction for diagnosing malignancy at MR imaging. Radiology 2004, 232, 373–378. [Google Scholar] [CrossRef]
- Jalandhara, N.; Arora, R.; Batuman, V. Nephrogenic systemic fibrosis and gadolinium-containing radiological contrast agents: An update. Clin. Pharmacol. Ther. 2011, 89, 920–923. [Google Scholar] [CrossRef]
- Tsili, A.C.; Andriotis, E.; Gkeli, M.G.; Krokidis, M.; Stasinopoulou, M.; Varkarakis, I.M.; Moulopoulos, L.A.; Oncologic Imaging Subcommittee Working Group of the Hellenic Radiological Society. The role of imaging in the management of renal masses. Eur. J. Radiol. 2021, 141, 109777. [Google Scholar] [CrossRef] [PubMed]
- Ho, V.B.; Allen, S.F.; Hood, M.N.; Choyke, P.L. Renal masses: Quantitative assessment of enhancement with dynamic MR imaging. Radiology 2002, 224, 695–700. [Google Scholar] [CrossRef]
- Jinzaki, M.; Silverman, S.G.; Akita, H.; Nagashima, Y.; Mikami, S.; Oya, M. Renal angiomyolipoma: A radiological classification and update on recent developments in diagnosis and management. Abdom. Imaging 2014, 39, 588–604. [Google Scholar] [CrossRef] [PubMed]
- Palmowski, M.; Schifferdecker, I.; Zwick, S.; Macher-Goeppinger, S.; Laue, H.; Haferkamp, A.; Kauczor, H.U.; Kiessling, F.; Hallscheidt, P. Tumor perfusion assessed by dynamic contrast-enhanced MRI correlates to the grading of renal cell carcinoma: Initial results. Eur. J. Radiol. 2010, 74, e176–e180. [Google Scholar] [CrossRef] [PubMed]
- Kim, C.W.; Shanbhogue, K.P.; Schreiber-Zinaman, J.; Deng, F.M.; Rosenkrantz, A.B. Visual Assessment of the Intensity and Pattern of T1 Hyperintensity on MRI to Differentiate Hemorrhagic Renal Cysts from Renal Cell Carcinoma. Am. J. Roentgenol. 2017, 208, 337–342. [Google Scholar] [CrossRef]
- McKee, T.C.; Dave, J.; Kania, L.; Karajgikar, J.; Masarapu, V.; Deshmukh, S.; Roth, C. Are Hemorrhagic Cysts Hyperintense Enough on T1-Weighted MRI to Be Distinguished from Renal Cell Carcinomas? A Retrospective Analysis of 204 Patients. Am. J. Roentgenol. 2019, 213, 1267–1273. [Google Scholar] [CrossRef]
- Rosenkrantz, A.B.; Matza, B.W.; Portnoy, E.; Melamed, J.; Taneja, S.S.; Wehrli, N.E. Impact of size of region-of-interest on differentiation of renal cell carcinoma and renal cysts on multi-phase CT: Preliminary findings. Eur. J. Radiol. 2014, 83, 239–244. [Google Scholar] [CrossRef]
- Blute, M.L., Jr.; Drewry, A.; Abel, E.J. Percutaneous biopsy for risk stratification of renal masses. Ther. Adv. Urol. 2015, 7, 265–274. [Google Scholar] [CrossRef]
- Ierardi, A.M.; Stellato, E.; Pellegrino, G.; Bonelli, C.; Cellina, M.; Renzulli, M.; Biondetti, P.; Carrafiello, G. Fluid-dynamic control microcatheter used with glue: Preliminary experience on its feasibility and safety. Radiol. Med. 2022, 127, 272–276. [Google Scholar] [CrossRef]
- Dallan, I.; Seccia, V.; Faggioni, L.; Castelnuovo, P.; Montevecchi, F.; Casani, A.P.; Tschabitscher, M.; Vicini, C. Anatomical landmarks for transoral robotic tongue base surgery: Comparison between endoscopic, external and radiological perspectives. Surg. Radiol. Anat. 2013, 35, 3–10. [Google Scholar] [CrossRef]
- Caoili, E.M.; Davenport, M.S. Role of percutaneous needle biopsy for renal masses. Semin. Interv. Radiol. 2014, 31, 20–26. [Google Scholar] [CrossRef]
- Dechet, C.B.; Zincke, H.; Sebo, T.J.; King, B.F.; LeRoy, A.J.; Farrow, G.M.; Blute, M.L. Prospective analysis of computerized tomography and needle biopsy with permanent sectioning to determine the nature of solid renal masses in adults. J. Urol. 2003, 169, 71–74. [Google Scholar] [CrossRef]
- Rybicki, F.J.; Shu, K.M.; Cibas, E.S.; Fielding, J.R.; vanSonnenberg, E.; Silverman, S.G. Percutaneous biopsy of renal masses: Sensitivity and negative predictive value stratified by clinical setting and size of masses. Am. J. Roentgenol. 2003, 180, 1281–1287. [Google Scholar] [CrossRef]
- Park, S.Y.; Park, B.K.; Kim, C.K.; Kwon, G.Y. Ultrasound-guided core biopsy of small renal masses: Diagnostic rate and limitations. J. Vasc. Interv. Radiol. 2013, 24, 90–96. [Google Scholar] [CrossRef]
- Li, N.; Wakim, J.; Koethe, Y.; Huber, T.; Schenning, R.; Gade, T.P.; Hunt, S.J.; Park, B.J. Multicenter assessment of augmented reality registration methods for image-guided interventions. Radiol. Med. 2022, 127, 857–865. [Google Scholar] [CrossRef] [PubMed]
- Kuusk, T.; Neves, J.B.; Tran, M.; Bex, A. Radiomics to better characterize small renal masses. World J. Urol. 2021, 39, 2861–2868. [Google Scholar] [CrossRef] [PubMed]
- Granata, V.; Fusco, R.; De Muzio, F.; Cutolo, C.; Setola, S.V.; Dell’Aversana, F.; Grassi, F.; Belli, A.; Silvestro, L.; Ottaiano, A.; et al. Radiomics and machine learning analysis based on magnetic resonance imaging in the assessment of liver mucinous colorectal metastases. Radiol. Med. 2022, 127, 763–772. [Google Scholar] [CrossRef]
- Zerunian, M.; Pucciarelli, F.; Caruso, D.; Polici, M.; Masci, B.; Guido, G.; De Santis, D.; Polverari, D.; Principessa, D.; Benvenga, A.; et al. Artificial intelligence based image quality enhancement in liver MRI: A quantitative and qualitative evaluation. Radiol. Med. 2022, 127, 1098–1105. [Google Scholar] [CrossRef]
- Vicini, S.; Bortolotto, C.; Rengo, M.; Ballerini, D.; Bellini, D.; Carbone, I.; Preda, L.; Laghi, A.; Coppola, F.; Faggioni, L. A narrative review on current imaging applications of artificial intelligence and radiomics in oncology: Focus on the three most common cancers. Radiol. Med. 2022, 127, 819–836. [Google Scholar] [CrossRef]
- De Robertis, R.; Geraci, L.; Tomaiuolo, L.; Bortoli, L.; Beleù, A.; Malleo, G.; D’Onofrio, M. Liver metastases in pancreatic ductal adenocarcinoma: A predictive model based on CT texture analysis. Radiol. Med. 2022, 127, 1079–1084. [Google Scholar] [CrossRef] [PubMed]
- Lubner, M.G. Radiomics and Artificial Intelligence for Renal Mass Characterization. Radiol. Clin. N. Am. 2020, 58, 995–1008. [Google Scholar] [CrossRef] [PubMed]
- Chiti, G.; Grazzini, G.; Flammia, F.; Matteuzzi, B.; Tortoli, P.; Bettarini, S.; Pasqualini, E.; Granata, V.; Busoni, S.; Messserini, L.; et al. Gastroenteropancreatic neuroendocrine neoplasms (GEP-NENs): A radiomic model to predict tumor grade. Radiol. Med. 2022, 127, 928–938. [Google Scholar] [CrossRef]
- Granata, V.; Fusco, R.; De Muzio, F.; Cutolo, C.; Setola, S.V.; Grassi, R.; Grassi, F.; Ottaiano, A.; Nasti, G.; Tatangelo, F.; et al. Radiomics textural features by MR imaging to assess clinical outcomes following liver resection in colorectal liver metastases. Radiol. Med. 2022, 127, 461–470. [Google Scholar] [CrossRef] [PubMed]
- Ma, X.; Qian, X.; Wang, Q.; Zhang, Y.; Zong, R.; Zhang, J.; Qian, B.; Yang, C.; Lu, X.; Shi, Y. Radiomics nomogram based on optimal VOI of multi-sequence MRI for predicting microvascular invasion in intrahepatic cholangiocarcinoma. Radiol. Med. 2023. [Google Scholar] [CrossRef] [PubMed]
- Caruso, D.; Polici, M.; Rinzivillo, M.; Zerunian, M.; Nacci, I.; Marasco, M.; Magi, L.; Tarallo, M.; Gargiulo, S.; Iannicelli, E.; et al. CT-based radiomics for prediction of therapeutic response to Everolimus in metastatic neuroendocrine tumors. Radiol. Med. 2022, 127, 691–701. [Google Scholar] [CrossRef] [PubMed]
- Kang, Y.J.; Ahn, H.S.; Stybayeva, G.; Lee, J.E.; Hwang, S.H. Comparison of diagnostic performance of two ultrasound risk stratification systems for thyroid nodules: A systematic review and meta-analysis. Radiol. Med. 2023. [Google Scholar] [CrossRef]
- Ursprung, S.; Beer, L.; Bruining, A.; Woitek, R.; Stewart, G.D.; Gallagher, F.A.; Sala, E. Radiomics of computed tomography and magnetic resonance imaging in renal cell carcinoma-a systematic review and meta-analysis. Eur. Radiol. 2020, 30, 3558–3566. [Google Scholar] [CrossRef]
- Han, D.; Yu, N.; Yu, Y.; He, T.; Duan, X. Performance of CT radiomics in predicting the overall survival of patients with stage III clear cell renal carcinoma after radical nephrectomy. Radiol. Med. 2022, 127, 837–847. [Google Scholar] [CrossRef]
- Masci, G.M.; Ciccarelli, F.; Mattei, F.I.; Grasso, D.; Accarpio, F.; Catalano, C.; Laghi, A.; Sammartino, P.; Iafrate, F. Role of CT texture analysis for predicting peritoneal metastases in patients with gastric cancer. Radiol. Med. 2022, 127, 251–258. [Google Scholar] [CrossRef]
- Asselin, C.; Finelli, A.; Breau, R.H.; Mallick, R.; Kapoor, A.; Rendon, R.A.; Tanguay, S.; Pouliot, F.; Fairey, A.; Lavallée, L.T.; et al. Does renal tumor biopsies for small renal carcinoma increase the risk of upstaging on final surgery pathology report and the risk of recurrence? Urol. Oncol. 2020, 38, 798.e9–798.e16. [Google Scholar] [CrossRef]
- Kim, J.H. Re: Lorenzo Marconi, Saeed Dabestani, Thomas B. Lam, et al. Systematic Review and Meta-analysis of Diagnostic Accuracy of Percutaneous Renal Tumour Biopsy. Eur Urol 2016; 69:660–73. Eur. Urol. 2016, 70, e139–e140. [Google Scholar] [CrossRef] [PubMed]
- Herrera-Caceres, J.O.; Finelli, A.; Jewett, M.A.S. Renal tumor biopsy: Indicators, technique, safety, accuracy results, and impact on treatment decision management. World J. Urol. 2019, 37, 437–443. [Google Scholar] [CrossRef] [PubMed]
- Abrahams, N.A.; Tamboli, P. Oncocytic renal neoplasms: Diagnostic considerations. Clin. Lab. Med. 2005, 25, 317–339. [Google Scholar] [CrossRef] [PubMed]
- Yap, F.Y.; Varghese, B.A.; Cen, S.Y.; Hwang, D.H.; Lei, X.; Desai, B.; Lau, C.; Yang, L.L.; Fullenkamp, A.J.; Hajian, S.; et al. Shape and texture-based radiomics signature on CT effectively discriminates benign from malignant renal masses. Eur. Radiol. 2021, 31, 1011–1021. [Google Scholar] [CrossRef] [PubMed]
- Erdim, C.; Yardimci, A.H.; Bektas, C.T.; Kocak, B.; Koca, S.B.; Demir, H.; Kilickesmez, O. Prediction of Benign and Malignant Solid Renal Masses: Machine Learning-Based CT Texture Analysis. Acad. Radiol. 2020, 27, 1422–1429. [Google Scholar] [CrossRef]
- Zhou, L.; Zhang, Z.; Chen, Y.C.; Zhao, Z.Y.; Yin, X.D.; Jiang, H.B. A Deep Learning-Based Radiomics Model for Differentiating Benign and Malignant Renal Tumors. Transl. Oncol. 2019, 12, 292–300. [Google Scholar] [CrossRef]
- Xi, I.L.; Zhao, Y.; Wang, R.; Chang, M.; Purkayastha, S.; Chang, K.; Huang, R.Y.; Silva, A.C.; Vallières, M.; Habibollahi, P.; et al. Deep Learning to Distinguish Benign from Malignant Renal Lesions Based on Routine MR Imaging. Clin. Cancer Res. 2020, 26, 1944–1952. [Google Scholar] [CrossRef]
- Nie, P.; Yang, G.; Wang, Z.; Yan, L.; Miao, W.; Hao, D.; Wu, J.; Zhao, Y.; Gong, A.; Cui, J.; et al. A CT-based radiomics nomogram for differentiation of renal angiomyolipoma without visible fat from homogeneous clear cell renal cell carcinoma. Eur. Radiol. 2020, 30, 1274–1284. [Google Scholar] [CrossRef]
- Lee, H.; Hong, H.; Kim, J.; Jung, D.C. Deep feature classification of angiomyolipoma without visible fat and renal cell carcinoma in abdominal contrast-enhanced CT images with texture image patches and hand-crafted feature concatenation. Med. Phys. 2018, 45, 1550–1561. [Google Scholar] [CrossRef]
- Cui, E.M.; Lin, F.; Li, Q.; Li, R.G.; Chen, X.M.; Liu, Z.S.; Long, W.S. Differentiation of renal angiomyolipoma without visible fat from renal cell carcinoma by machine learning based on whole-tumor computed tomography texture features. Acta Radiol. 2019, 60, 1543–1552. [Google Scholar] [CrossRef] [PubMed]
- Hodgdon, T.; McInnes, M.D.; Schieda, N.; Flood, T.A.; Lamb, L.; Thornhill, R.E. Can Quantitative CT Texture Analysis be Used to Differentiate Fat-poor Renal Angiomyolipoma from Renal Cell Carcinoma on Unenhanced CT Images? Radiology 2015, 276, 787–796. [Google Scholar] [CrossRef] [PubMed]
- Lee, H.S.; Hong, H.; Jung, D.C.; Park, S.; Kim, J. Differentiation of fat-poor angiomyolipoma from clear cell renal cell carcinoma in contrast-enhanced MDCT images using quantitative feature classification. Med. Phys. 2017, 44, 3604–3614. [Google Scholar] [CrossRef] [PubMed]
- Yang, R.; Wu, J.; Sun, L.; Lai, S.; Xu, Y.; Liu, X.; Ma, Y.; Zhen, X. Radiomics of small renal masses on multiphasic CT: Accuracy of machine learning-based classification models for the differentiation of renal cell carcinoma and angiomyolipoma without visible fat. Eur. Radiol. 2020, 30, 1254–1263. [Google Scholar] [CrossRef] [PubMed]
- Feng, Z.; Rong, P.; Cao, P.; Zhou, Q.; Zhu, W.; Yan, Z.; Liu, Q.; Wang, W. Machine learning-based quantitative texture analysis of CT images of small renal masses: Differentiation of angiomyolipoma without visible fat from renal cell carcinoma. Eur. Radiol. 2018, 28, 1625–1633. [Google Scholar] [CrossRef] [PubMed]
- Razik, A.; Goyal, A.; Sharma, R.; Kandasamy, D.; Seth, A.; Das, P.; Ganeshan, B. MR texture analysis in differentiating renal cell carcinoma from lipid-poor angiomyolipoma and oncocytoma. Br. J. Radiol. 2020, 93, 20200569. [Google Scholar] [CrossRef]
- Coy, H.; Hsieh, K.; Wu, W.; Nagarajan, M.B.; Young, J.R.; Douek, M.L.; Brown, M.S.; Scalzo, F.; Raman, S.S. Deep learning and radiomics: The utility of Google TensorFlow™ Inception in classifying clear cell renal cell carcinoma and oncocytoma on multiphasic CT. Abdom. Radiol. 2019, 44, 2009–2020. [Google Scholar] [CrossRef]
- Yu, H.; Scalera, J.; Khalid, M.; Touret, A.S.; Bloch, N.; Li, B.; Qureshi, M.M.; Soto, J.A.; Anderson, S.W. Texture analysis as a radiomic marker for differentiating renal tumors. Abdom. Radiol. 2017, 42, 2470–2478. [Google Scholar] [CrossRef]
- Li, Y.; Huang, X.; Xia, Y.; Long, L. Value of radiomics in differential diagnosis of chromophobe renal cell carcinoma and renal oncocytoma. Abdom. Radiol. 2020, 45, 3193–3201. [Google Scholar] [CrossRef]
- Kocak, B.; Kaya, O.K.; Erdim, C.; Kus, E.A.; Kilickesmez, O. Artificial Intelligence in Renal Mass Characterization: A Systematic Review of Methodologic Items Related to Modeling, Performance Evaluation, Clinical Utility, and Transparency. Am. J. Roentgenol. 2020, 215, 1113–1122. [Google Scholar] [CrossRef]
- Kocak, B.; Durmaz, E.S.; Erdim, C.; Ates, E.; Kaya, O.K.; Kilickesmez, O. Radiomics of Renal Masses: Systematic Review of Reproducibility and Validation Strategies. Am. J. Roentgenol. 2020, 214, 129–136. [Google Scholar] [CrossRef] [PubMed]
- Mallio, C.A.; Bernetti, C.; Sertorio, A.C.; Beomonte Zobel, B. Large language models and structured reporting: Never stop chasing critical thinking. Radiol. Med. 2023, 128, 1445–1446. [Google Scholar] [CrossRef] [PubMed]
- Yanagawa, M.; Ito, R.; Nozaki, T.; Fujioka, T.; Yamada, A.; Fujita, S.; Kamagata, K.; Fushimi, Y.; Tsuboyama, T.; Matsui, Y.; et al. New trend in artificial intelligence-based assistive technology for thoracic imaging. Radiol. Med. 2023, 128, 1236–1249. [Google Scholar] [CrossRef] [PubMed]
- Santone, A.; Brunese, M.C.; Donnarumma, F.; Guerriero, P.; Mercaldo, F.; Reginelli, A.; Miele, V.; Giovagnoni, A.; Brunese, L. Radiomic features for prostate cancer grade detection through formal verification. Radiol. Med. 2021, 126, 688–697. [Google Scholar] [CrossRef]
- Ma, Q.; Lu, X.; Qin, X.; Xu, X.; Fan, M.; Duan, Y.; Tu, Z.; Zhu, J.; Wang, J.; Zhang, C. A sonogram radiomics model for differentiating granulomatous lobular mastitis from invasive breast cancer: A multicenter study. Radiol. Med. 2023, 128, 1206–1216. [Google Scholar] [CrossRef] [PubMed]
- Cozzi, D.; Bicci, E.; Cavigli, E.; Danti, G.; Bettarini, S.; Tortoli, P.; Mazzoni, L.N.; Busoni, S.; Pradella, S.; Miele, V. Radiomics in pulmonary neuroendocrine tumours (NETs). Radiol. Med. 2022, 127, 609–615. [Google Scholar] [CrossRef]
- Gregucci, F.; Fiorentino, A.; Mazzola, R.; Ricchetti, F.; Bonaparte, I.; Surgo, A.; Figlia, V.; Carbonara, R.; Caliandro, M.; Ciliberti, M.P.; et al. Radiomic analysis to predict local response in locally advanced pancreatic cancer treated with stereotactic body radiation therapy. Radiol. Med. 2022, 127, 100–107. [Google Scholar] [CrossRef]
- Hou, Z.; Gao, S.; Liu, J.; Yin, Y.; Zhang, L.; Han, Y.; Yan, J.; Li, S. Clinical evaluation of deep learning-based automatic clinical target volume segmentation: A single-institution multi-site tumor experience. Radiol. Med. 2023, 128, 1250–1261. [Google Scholar] [CrossRef]
- Granata, V.; Fusco, R.; Costa, M.; Picone, C.; Cozzi, D.; Moroni, C.; La Casella, G.V.; Montanino, A.; Monti, R.; Mazzoni, F.; et al. Preliminary Report on Computed Tomography Radiomics Features as Biomarkers to Immunotherapy Selection in Lung Adenocarcinoma Patients. Cancers 2021, 13, 3992. [Google Scholar] [CrossRef]
- Zheng, X.; Liu, K.; Li, C.; Zhu, C.; Gao, Y.; Li, J.; Wu, X. A CT-based radiomics nomogram for predicting the progression-free survival in small cell lung cancer: A multicenter cohort study. Radiol. Med. 2023. [CrossRef]
- Fusco, R.; Sansone, M.; Filice, S.; Granata, V.; Catalano, O.; Amato, D.M.; Di Bonito, M.; D’Aiuto, M.; Capasso, I.; Rinaldo, M.; et al. Integration of DCE-MRI and DW-MRI Quantitative Parameters for Breast Lesion Classification. Biomed Res. Int. 2015, 2015, 237863. [Google Scholar] [CrossRef]
- Matsoukas, S.; Scaggiante, J.; Schuldt, B.R.; Smith, C.J.; Chennareddy, S.; Kalagara, R.; Majidi, S.; Bederson, J.B.; Fifi, J.T.; Mocco, J.; et al. Accuracy of artificial intelligence for the detection of intracranial hemorrhage and chronic cerebral microbleeds: A systematic review and pooled analysis. Radiol. Med. 2022, 127, 1106–1123. [Google Scholar] [CrossRef] [PubMed]
- Granata, V.; Fusco, R.; Barretta, M.L.; Picone, C.; Avallone, A.; Belli, A.; Patrone, R.; Ferrante, M.; Cozzi, D.; Grassi, R.; et al. Radiomics in hepatic metastasis by colorectal cancer. Infect. Agents Cancer 2021, 16, 39. [Google Scholar] [CrossRef]
- Satake, H.; Ishigaki, S.; Ito, R.; Naganawa, S. Radiomics in breast MRI: Current progress toward clinical application in the era of artificial intelligence. Radiol. Med. 2022, 127, 39–56. [Google Scholar] [CrossRef] [PubMed]
- Tagliafico, A.S.; Campi, C.; Bianca, B.; Bortolotto, C.; Buccicardi, D.; Francesca, C.; Prost, R.; Rengo, M.; Faggioni, L. Blockchain in radiology research and clinical practice: Current trends and future directions. Radiol. Med. 2022, 127, 391–397. [Google Scholar] [CrossRef]
- Granata, V.; Fusco, R.; Setola, S.V.; Galdiero, R.; Picone, C.; Izzo, F.; D’Aniello, R.; Miele, V.; Grassi, R.; Grassi, R.; et al. Lymphadenopathy after BNT162b2 COVID-19 Vaccine: Preliminary Ultrasound Findings. Biology 2021, 10, 214. [Google Scholar] [CrossRef]
- Fusco, R.; Grassi, R.; Granata, V.; Setola, S.V.; Grassi, F.; Cozzi, D.; Pecori, B.; Izzo, F.; Petrillo, A. Artificial Intelligence and COVID-19 Using Chest CT Scan and Chest X-ray Images: Machine Learning and Deep Learning Approaches for Diagnosis and Treatment. J. Pers. Med. 2021, 11, 993. [Google Scholar] [CrossRef] [PubMed]
- Granata, V.; Fusco, R.; Filice, S.; Catalano, O.; Piccirillo, M.; Palaia, R.; Izzo, F.; Petrillo, A. The current role and future prospectives of functional parameters by diffusion weighted imaging in the assessment of histologic grade of HCC. Infect. Agents Cancer 2018, 13, 23. [Google Scholar] [CrossRef]
- Granata, V.; Fusco, R.; de Lutio di Castelguidone, E.; Avallone, A.; Palaia, R.; Delrio, P.; Tatangelo, F.; Botti, G.; Grassi, R.; Izzo, F.; et al. Diagnostic performance of gadoxetic acid-enhanced liver MRI versus multidetector CT in the assessment of colorectal liver metastases compared to hepatic resection. BMC Gastroenterol. 2019, 19, 129. [Google Scholar] [CrossRef]
- Granata, V.; Fusco, R.; Setola, S.V.; Piccirillo, M.; Leongito, M.; Palaia, R.; Granata, F.; Lastoria, S.; Izzo, F.; Petrillo, A. Early radiological assessment of locally advanced pancreatic cancer treated with electrochemotherapy. World J. Gastroenterol. 2017, 23, 4767–4778. [Google Scholar] [CrossRef]
- Granata, V.; Fusco, R.; Avallone, A.; Filice, F.; Tatangelo, F.; Piccirillo, M.; Grassi, R.; Izzo, F.; Petrillo, A. Critical analysis of the major and ancillary imaging features of LI-RADS on 127 proven HCCs evaluated with functional and morphological MRI: Lights and shadows. Oncotarget 2017, 8, 51224–51237. [Google Scholar] [CrossRef] [PubMed]
- Laurelli, G.; Falcone, F.; Gallo, M.S.; Scala, F.; Losito, S.; Granata, V.; Cascella, M.; Greggi, S. Long-Term Oncologic and Reproductive Outcomes in Young Women with Early Endometrial Cancer Conservatively Treated: A Prospective Study and Literature Update. Int. J. Gynecol. Cancer 2016, 26, 1650–1657. [Google Scholar] [CrossRef] [PubMed]
- Granata, V.; Fusco, R.; Avallone, A.; De Stefano, A.; Ottaiano, A.; Sbordone, C.; Brunese, L.; Izzo, F.; Petrillo, A. Radiomics-Derived Data by Contrast Enhanced Magnetic Resonance in RAS Mutations Detection in Colorectal Liver Metastases. Cancers 2021, 13, 453. [Google Scholar] [CrossRef]
- Cascella, M.; Bimonte, S.; Barbieri, A.; Del Vecchio, V.; Caliendo, D.; Schiavone, V.; Fusco, R.; Granata, V.; Arra, C.; Cuomo, A. Dissecting the mechanisms and molecules underlying the potential carcinogenicity of red and processed meat in colorectal cancer (CRC): An overview on the current state of knowledge. Infect. Agents Cancer 2018, 13, 3. [Google Scholar] [CrossRef]
- Petrillo, A.; Fusco, R.; Petrillo, M.; Granata, V.; Delrio, P.; Bianco, F.; Pecori, B.; Botti, G.; Tatangelo, F.; Caracò, C.; et al. Standardized Index of Shape (DCE-MRI) and Standardized Uptake Value (PET/CT): Two quantitative approaches to discriminate chemo-radiotherapy locally advanced rectal cancer responders under a functional profile. Oncotarget 2017, 8, 8143–8153. [Google Scholar] [CrossRef] [PubMed]
- Petrillo, A.; Fusco, R.; Petrillo, M.; Granata, V.; Sansone, M.; Avallone, A.; Delrio, P.; Pecori, B.; Tatangelo, F.; Ciliberto, G. Standardized Index of Shape (SIS): A quantitative DCE-MRI parameter to discriminate responders by non-responders after neoadjuvant therapy in LARC. Eur. Radiol. 2015, 25, 1935–1945. [Google Scholar] [CrossRef]
- Fusco, R.; Granata, V.; Mazzei, M.A.; Meglio, N.D.; Roscio, D.D.; Moroni, C.; Monti, R.; Cappabianca, C.; Picone, C.; Neri, E.; et al. Quantitative imaging decision support (QIDSTM) tool consistency evaluation and radiomic analysis by means of 594 metrics in lung carcinoma on chest CT scan. Cancer Control 2021, 28, 1073274820985786. [Google Scholar] [CrossRef]
- Avallone, A.; Pecori, B.; Bianco, F.; Aloj, L.; Tatangelo, F.; Romano, C.; Granata, V.; Marone, P.; Leone, A.; Botti, G.; et al. Critical role of bevacizumab scheduling in combination with pre-surgical chemo-radiotherapy in MRI-defined high-risk locally advanced rectal cancer: Results of the BRANCH trial. Oncotarget 2015, 6, 30394–30407. [Google Scholar] [CrossRef]
- Dehghani Firouzabadi, F.; Gopal, N.; Hasani, A.; Homayounieh, F.; Li, X.; Jones, E.C.; Yazdian Anari, P.; Turkbey, E.; Malayeri, A.A. CT radiomics for differentiating fat poor angiomyolipoma from clear cell renal cell carcinoma: Systematic review and meta-analysis. PLoS ONE 2023, 18, e0287299. [Google Scholar] [CrossRef]
- Gao, Y.; Wang, X.; Zhao, X.; Zhu, C.; Li, C.; Li, J.; Wu, X. Multiphase CT radiomics nomogram for preoperatively predicting the WHO/ISUP nuclear grade of small <4 cm) clear cell renal cell carcinoma. BMC Cancer 2023, 23, 953. [Google Scholar] [CrossRef]
- Maddalo, M.; Bertolotti, L.; Mazzilli, A.; Flore, A.G.M.; Perotta, R.; Pagnini, F.; Ziglioli, F.; Maestroni, U.; Martini, C.; Caruso, D.; et al. Small Renal Masses: Developing a Robust Radiomic Signature. Cancers 2023, 15, 4565. [Google Scholar] [CrossRef] [PubMed]
- Klontzas, M.E.; Koltsakis, E.; Kalarakis, G.; Trpkov, K.; Papathomas, T.; Sun, N.; Walch, A.; Karantanas, A.H.; Tzortzakakis, A. A pilot radiometabolomics integration study for the characterization of renal oncocytic neoplasia. Sci. Rep. 2023, 13, 12594. [Google Scholar] [CrossRef]
- Nedbal, C.; Cerrato, C.; Jahrreiss, V.; Castellani, D.; Pietropaolo, A.; Galosi, A.B.; Somani, B.K. The role of ‘artificial intelligence, machine learning, virtual reality, and radiomics’ in PCNL: A review of publication trends over the last 30 years. Ther. Adv. Urol. 2023, 15, 17562872231196676. [Google Scholar] [CrossRef] [PubMed]
- Orton, M.R.; Hann, E.; Doran, S.J.; Shepherd, S.T.C.; Ap Dafydd, D.; Spencer, C.E.; López, J.I.; Albarrán-Artahona, V.; Comito, F.; Warren, H.; et al. Interpretability of radiomics models I improved when using feature group selection strategies for predicting molecular and clinical targets in clear-cell renal cell carcinoma: Insights from the TRACERx Renal study. Cancer Imaging 2023, 23, 76. [Google Scholar] [CrossRef] [PubMed]
- Garnier, C.; Ferrer, L.; Vargas, J.; Gallinato, O.; Jambon, E.; Le Bras, Y.; Bernhard, J.C.; Colin, T.; Grenier, N.; Marcelin, C. A CT-Based Clinical, Radiological and Radiomic Machine Learning Model for Predicting Malignancy of Solid Renal Tumors (UroCCR-75). Diagnostics 2023, 13, 2548. [Google Scholar] [CrossRef] [PubMed]
- Nie, P.; Liu, S.; Zhou, R.; Li, X.; Zhi, K.; Wang, Y.; Dai, Z.; Zhao, L.; Wang, N.; Zhao, X.; et al. A preoperative CT-based deep learning radiomics model in predicting the stage, size, grade and necrosis score and outcome in localized clear cell renal cell carcinoma: A multicenter study. Eur. J. Radiol. 2023, 166, 111018. [Google Scholar] [CrossRef]
- Nie, P.; Yang, G.; Wang, Y.; Xu, Y.; Yan, L.; Zhang, M.; Zhao, L.; Wang, N.; Zhao, X.; Li, X.; et al. A CT-based deep learning radiomics nomogram outperforms the existing prognostic models for outcome prediction in clear cell renal cell carcinoma: A multicenter study. Eur. Radiol. 2023, 33, 8858–8868. [Google Scholar] [CrossRef]
- Shehata, M.; Abouelkheir, R.T.; Gayhart, M.; Van Bogaert, E.; Abou El-Ghar, M.; Dwyer, A.C.; Ouseph, R.; Yousaf, J.; Ghazal, M.; Contractor, S.; et al. Role of AI and Radiomic Markers in Early Diagnosis of Renal Cancer and Clinical Outcome Prediction: A Brief Review. Cancers 2023, 15, 2835. [Google Scholar] [CrossRef]
- Schawkat, K.; Krajewski, K.M. Insights into Renal Cell Carcinoma with Novel Imaging Approaches. Hematol. Oncol. Clin. N. Am. 2023, 37, 863–875. [Google Scholar] [CrossRef]








Disclaimer/Publisher’s Note: The statements, opinions and data contained in all publications are solely those of the individual author(s) and contributor(s) and not of MDPI and/or the editor(s). MDPI and/or the editor(s) disclaim responsibility for any injury to people or property resulting from any ideas, methods, instructions or products referred to in the content. |
© 2024 by the authors. Licensee MDPI, Basel, Switzerland. This article is an open access article distributed under the terms and conditions of the Creative Commons Attribution (CC BY) license (https://creativecommons.org/licenses/by/4.0/).
Share and Cite
Trovato, P.; Simonetti, I.; Morrone, A.; Fusco, R.; Setola, S.V.; Giacobbe, G.; Brunese, M.C.; Pecchi, A.; Triggiani, S.; Pellegrino, G.; et al. Scientific Status Quo of Small Renal Lesions: Diagnostic Assessment and Radiomics. J. Clin. Med. 2024, 13, 547. https://doi.org/10.3390/jcm13020547
Trovato P, Simonetti I, Morrone A, Fusco R, Setola SV, Giacobbe G, Brunese MC, Pecchi A, Triggiani S, Pellegrino G, et al. Scientific Status Quo of Small Renal Lesions: Diagnostic Assessment and Radiomics. Journal of Clinical Medicine. 2024; 13(2):547. https://doi.org/10.3390/jcm13020547
Chicago/Turabian StyleTrovato, Piero, Igino Simonetti, Alessio Morrone, Roberta Fusco, Sergio Venanzio Setola, Giuliana Giacobbe, Maria Chiara Brunese, Annarita Pecchi, Sonia Triggiani, Giuseppe Pellegrino, and et al. 2024. "Scientific Status Quo of Small Renal Lesions: Diagnostic Assessment and Radiomics" Journal of Clinical Medicine 13, no. 2: 547. https://doi.org/10.3390/jcm13020547
APA StyleTrovato, P., Simonetti, I., Morrone, A., Fusco, R., Setola, S. V., Giacobbe, G., Brunese, M. C., Pecchi, A., Triggiani, S., Pellegrino, G., Petralia, G., Sica, G., Petrillo, A., & Granata, V. (2024). Scientific Status Quo of Small Renal Lesions: Diagnostic Assessment and Radiomics. Journal of Clinical Medicine, 13(2), 547. https://doi.org/10.3390/jcm13020547

