The Clinical Course of Paranasal Sinus Mucocoeles—A Retrospective Case Series
Abstract
1. Introduction
1.1. Rationale
1.2. Objective
2. Materials and Methods
2.1. Study Design and Setting
2.2. Participants
2.3. Inclusion Criteria
2.4. Exclusion Criteria
- Nasolacrimal sac mucocoele alone;
- Resolved paranasal sinus mucocoeles managed at an alternative centre;
- Chronic rhinosinusitis (CRS) without mucocoele;
- Radiologically suspected mucocoele that was subsequently excluded clinically.
2.5. Main Outcome Measures, Variables and Data Sources
2.6. Statistical Analysis
2.7. Bias
3. Results
3.1. Participants
3.2. Outcome Data
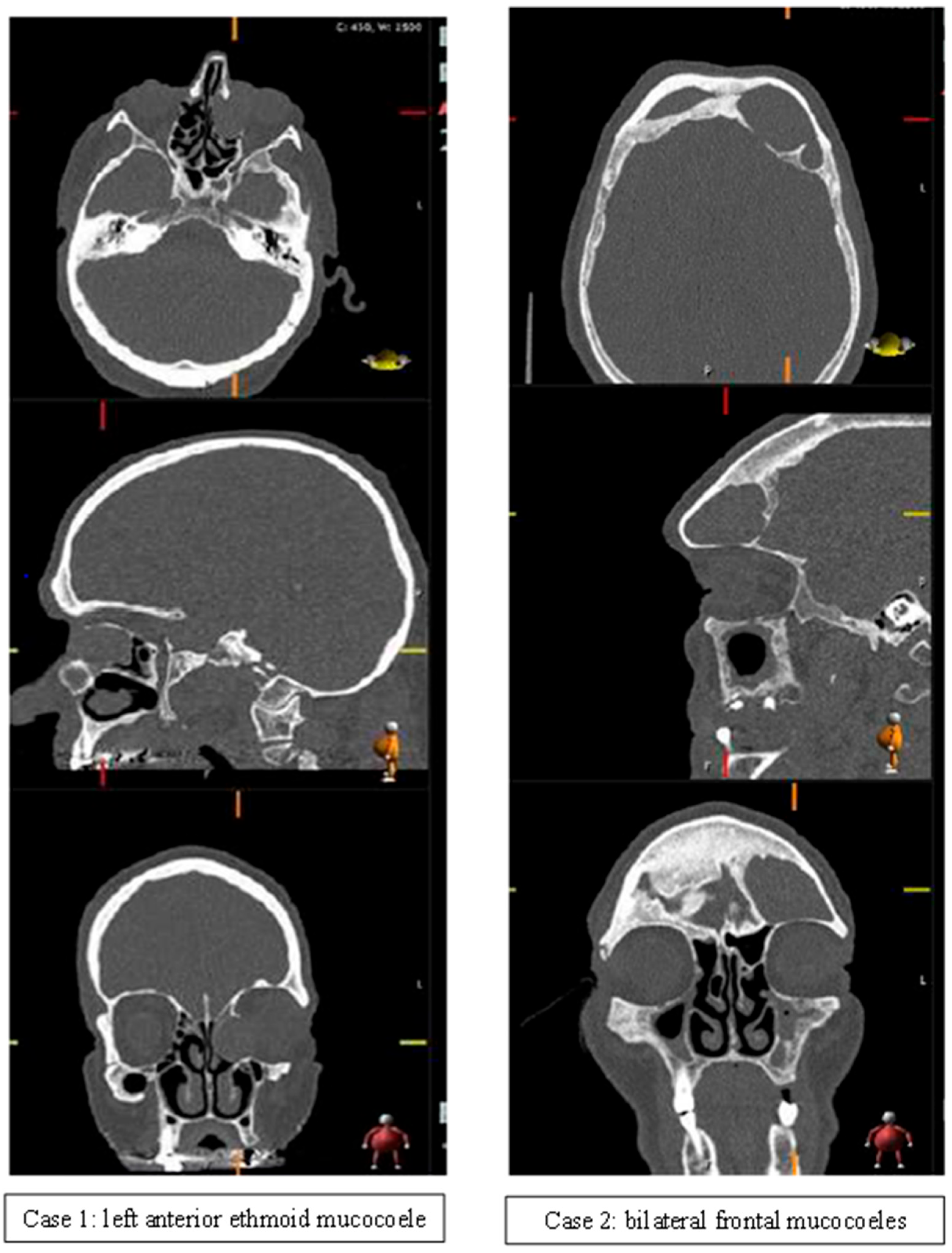
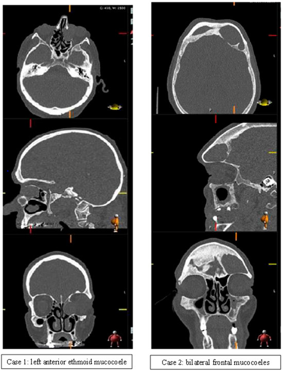
- Frontal mucocoele with extension into the antero-superior orbit causing orbital pain and headache, managed with a combined endoscopic and external approach.
- Frontal mucocoele invading the left orbit and exposing dura, managed with endoscopic sinus surgery and frontonasal anastomosis jointly with Ophthalmology.
4. Discussion
4.1. Key Results
4.2. Interpretation and Comparison to Other Studies
4.3. Strengths and Limitations
4.4. Clinical Applicability and Generalisability
5. Conclusions
Author Contributions
Funding
Institutional Review Board Statement
Informed Consent Statement
Data Availability Statement
Conflicts of Interest
References
- Scangas, G.A.; Gudis, D.A.; Kennedy, D.W. The natural history and clinical characteristics of paranasal sinus mucoceles: A clinical review. Int. Forum Allergy Rhinol. 2013, 3, 712–717. [Google Scholar] [CrossRef] [PubMed]
- Rastin, M.S.; Rasouly, N. Giant ethmoid mucocele presenting as a nasal region mass with intracranial extension, a case report. Radiol. Case Rep. 2023, 18, 156–158. [Google Scholar] [CrossRef] [PubMed]
- Thompson, L.D.R. Paranasal sinus mucocele. Ear Nose Throat J. 2012, 91, 276–278. [Google Scholar] [CrossRef] [PubMed]
- Devars Du Mayne, M.; Moya-Plana, A.; Malinvaud, D.; Laccourreye, O.; Bonfils, P. Sinus mucocele: Natural history and long-term recurrence rate. Eur. Ann. Otorhinolaryngol. Head Neck Dis. 2012, 129, 125–130. [Google Scholar] [CrossRef] [PubMed]
- Plantier, D.B.; Neto, D.B.; De Rezende Pinna, F.; Voegels, R.L. Mucocele: Clinical characteristics and outcomes in 46 operated patients. Int. Arch. Otorhinolaryngol. 2019, 23, 88–91. [Google Scholar] [CrossRef] [PubMed]
- Sadiq, S.A.; Lim, M.K.; Jones, N.S. Ophthalmic manifestations of paranasal sinus mucocoeles. Int. Ophthalmol. 2009, 29, 75–79. [Google Scholar] [CrossRef] [PubMed]
- Swain, S.K.; Dubey, D. Paranasal Sinus Mucoceles: A Narrative Review. Hamdan Med. J. 2023, 16, 69. [Google Scholar] [CrossRef]
- Dos Santos, P.L.; Chihara, L.L.; Alcalde, L.F.A.; Masalskas, B.F.; Sant’ana, E.; Faria, P.E.P. Outcomes in Surgical Treatment of Mucocele in Frontal Sinus. J. Craniofac. Surg. 2017, 28, 1702–1708. [Google Scholar] [CrossRef] [PubMed]
- Waizel-Haiat, S.; Díaz-Lara, I.M.; Vargas-Aguayo, A.M.; Santiago-Cordova, J.L. Experience in the surgical treatment of paranasal sinus mucoceles in a university hospital. Cir. Cir. Engl. Ed. 2017, 85, 4–11. [Google Scholar] [CrossRef]
- Iseh, K. Endoscopic and external surgical approach to paranasal sinus mucocele. J. Surg. Tech. Case Rep. 2010, 2, 49. [Google Scholar] [CrossRef] [PubMed]
- Fokkens, W.J.; Lund, V.J.; Hopkins, C.; Hellings, P.W.; Kern, R.; Reitsma, S.; Toppila-Salmi, S.; Bernal-Sprekelsen, M.; Mullol, J.; Alobid, I.; et al. European Position Paper on Rhinosinusitis and Nasal Polyps 2020. Rhinology 2020, 58, 1–464. [Google Scholar] [CrossRef] [PubMed]
- Woodworth, B.A.; Harvey, R.J.; Neal, J.G.; Palmer, J.N.; Schlosser, R.J. Endoscopic management of frontal sinus mucoeceles with anterior table erosion. Rhinology 2008, 46, 231–237. [Google Scholar] [PubMed]
- Soon, S.R.; Lim, C.M.; Singh, H.; Sethi, D.S. Sphenoid sinus mucocele: 10 cases and literature review. J. Laryngol. Otol. 2010, 124, 44–47. [Google Scholar] [CrossRef] [PubMed]
- Miller, C.; Berens, A.; Patel, S.A.; Humphreys, I.M.; Moe, K.S. Transorbital Approach for Improved Access in the Management of Paranasal Sinus Mucoceles. J. Neurol. Surg. Part B Skull Base 2019, 80, 593–598. [Google Scholar] [CrossRef] [PubMed]
- Do I Need NHS Ethics Approval? Available online: https://www.hra-decisiontools.org.uk/ethics/ (accessed on 7 August 2023).
- von Elm, E.; Altman, D.G.; Egger, M.; Pocock, S.J.; Gøtzsche, P.C.; Vandenbroucke, J.P. The Strengthening the Reporting of Observational Studies in Epidemiology (STROBE) statement: Guidelines for reporting observational studies. Lancet 2007, 370, 1453–1457. [Google Scholar] [CrossRef] [PubMed]
- Bockmühl, U.; Kratzsch, B.; Benda, K.; Draf, W. Paranasal sinus mucoceles: Surgical management and long term results. Laryngorhinootologie 2005, 84, 892–898. [Google Scholar] [CrossRef] [PubMed]
- Lee, T.J.; Li, S.P.; Fu, C.H.; Huang, C.C.; Chang, P.H.; Chen, Y.W.; Chen, C.W. Extensive paranasal sinus mucoceles: A 15-year review of 82 cases. Am. J. Otolaryngol. 2009, 30, 234–238. [Google Scholar] [CrossRef] [PubMed]
- Conboy, P.J.; Jones, N.S. The place of endoscopic sinus surgery in the treatment of paranasal sinus mucocoeles. Clin. Otolaryngol. Allied Sci. 2003, 28, 207–210. [Google Scholar] [CrossRef] [PubMed]
- Serrano, E.; Klossek, J.M.; Percodani, J.; Yardeni, E.; Dufour, X. Surgical management of paranasal sinus mucoceles: A long-term study of 60 cases. Otolaryngol. Head Neck Surg. 2004, 131, 133–140. [Google Scholar] [CrossRef] [PubMed]
- Moran, C.G.; Lecky, F.; Bouamra, O.; Lawrence, T.; Edwards, A.; Woodford, M.; Willett, K.; Coats, T.J. Changing the System—Major Trauma Patients and Their Outcomes in the NHS (England) 2008–2017. eClinicalMedicine 2018, 2, 13–21. [Google Scholar] [CrossRef] [PubMed]


| Conservatively Managed Mucocoeles | Surgically Managed Mucocoeles | p-Value | |
|---|---|---|---|
| n | 45 | 15 | - |
| Mean age (SD) | 64.4 (24.8) | 51.9 (25.1) | 0.08 |
| Male (%) | 31 (69) | 8 (53) | 0.27 |
| Sinus involved (%): Maxillary | 19 (42) | 2 (13) | 0.23 |
| Ethmoid | 5 (11) | 3 (20) | |
| Frontal | 14 (31) | 7 (47) | |
| Sphenoid | 9 (20) | 4 (27) |
| Conservatively Managed Mucocoeles | Surgically Managed Mucocoeles | p-Value | |
|---|---|---|---|
| Source of data (%) | <0.01 | ||
| Identified by Otolaryngology team | 8 (18) | 15 (100) | |
| Identified incidentally | 35 (78) | 0 (0) | |
| Lost to follow-up | 2 (4) | 1 (7) | |
| Intra-cranial extension (%) | 1 (2) | 2 (13) | 0.09 |
| Intra-orbital extension (%) | 2 (4) | 4 (27) | 0.01 |
| Recurrence (%) | - (-) | 1 (7) | - |
Disclaimer/Publisher’s Note: The statements, opinions and data contained in all publications are solely those of the individual author(s) and contributor(s) and not of MDPI and/or the editor(s). MDPI and/or the editor(s) disclaim responsibility for any injury to people or property resulting from any ideas, methods, instructions or products referred to in the content. |
© 2024 by the authors. Licensee MDPI, Basel, Switzerland. This article is an open access article distributed under the terms and conditions of the Creative Commons Attribution (CC BY) license (https://creativecommons.org/licenses/by/4.0/).
Share and Cite
Gokani, S.; Kumaresan, K.; Adari, S.; Ergisi, M.; Oludeye, O.; Jegatheeswaran, L.; Philpott, C. The Clinical Course of Paranasal Sinus Mucocoeles—A Retrospective Case Series. J. Clin. Med. 2024, 13, 397. https://doi.org/10.3390/jcm13020397
Gokani S, Kumaresan K, Adari S, Ergisi M, Oludeye O, Jegatheeswaran L, Philpott C. The Clinical Course of Paranasal Sinus Mucocoeles—A Retrospective Case Series. Journal of Clinical Medicine. 2024; 13(2):397. https://doi.org/10.3390/jcm13020397
Chicago/Turabian StyleGokani, Shyam, Kala Kumaresan, Sushritha Adari, Mehmet Ergisi, Oladapo Oludeye, Lavandan Jegatheeswaran, and Carl Philpott. 2024. "The Clinical Course of Paranasal Sinus Mucocoeles—A Retrospective Case Series" Journal of Clinical Medicine 13, no. 2: 397. https://doi.org/10.3390/jcm13020397
APA StyleGokani, S., Kumaresan, K., Adari, S., Ergisi, M., Oludeye, O., Jegatheeswaran, L., & Philpott, C. (2024). The Clinical Course of Paranasal Sinus Mucocoeles—A Retrospective Case Series. Journal of Clinical Medicine, 13(2), 397. https://doi.org/10.3390/jcm13020397

