Radiographic Evidence of Sufficient Transverse Plane Alignment after Weil Osteotomy without Screw Fixation
Abstract
1. Introduction
2. Materials and Methods
2.1. Population
2.2. Inclusion and Exclusion Criteria
2.3. Surgical Procedure and Rehabilitation Protocol
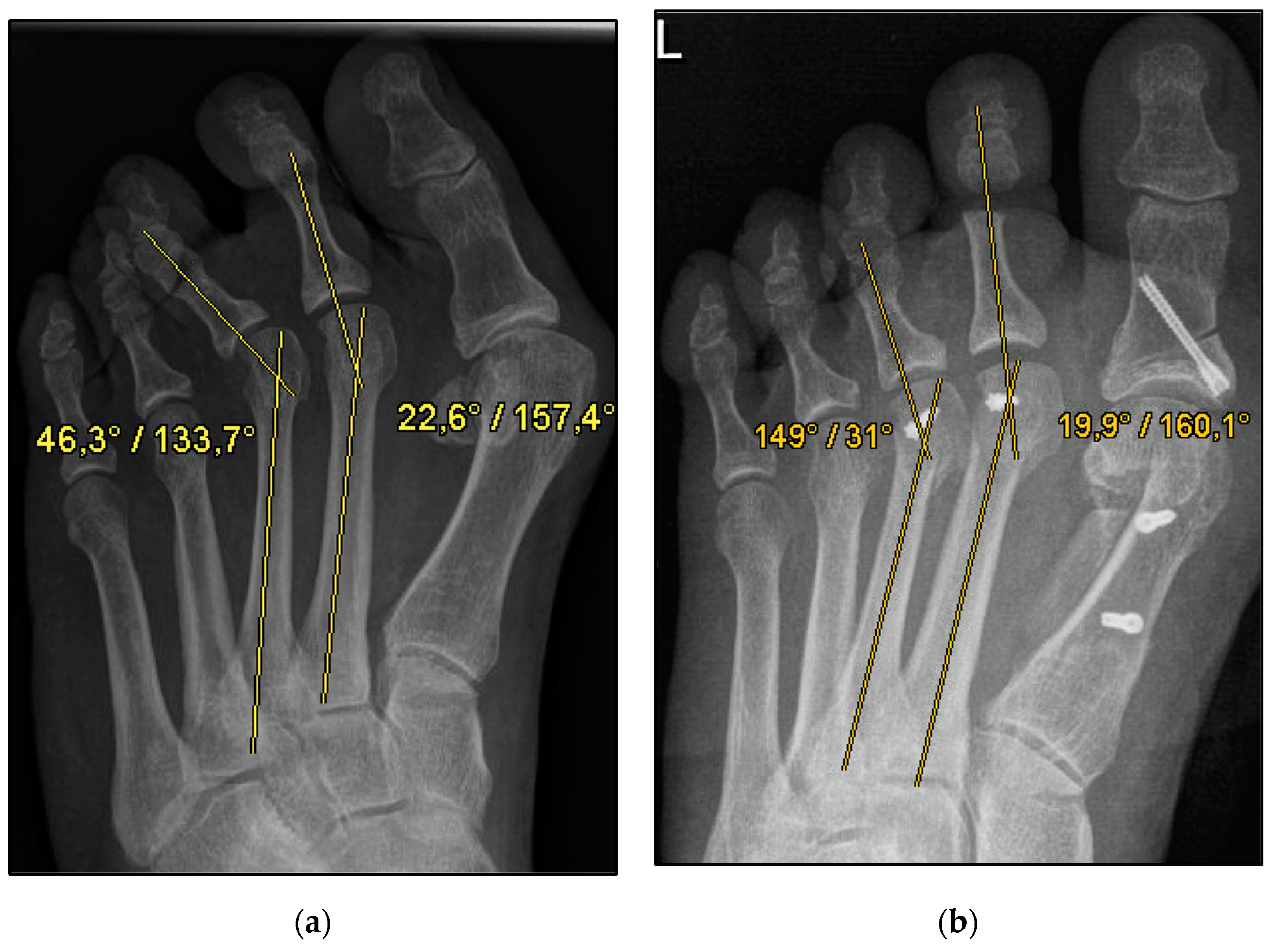
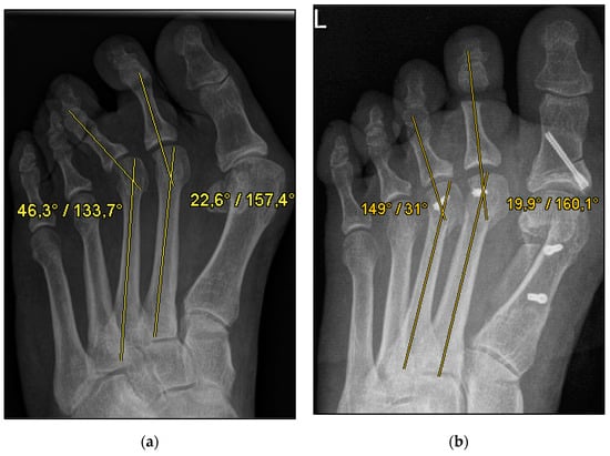
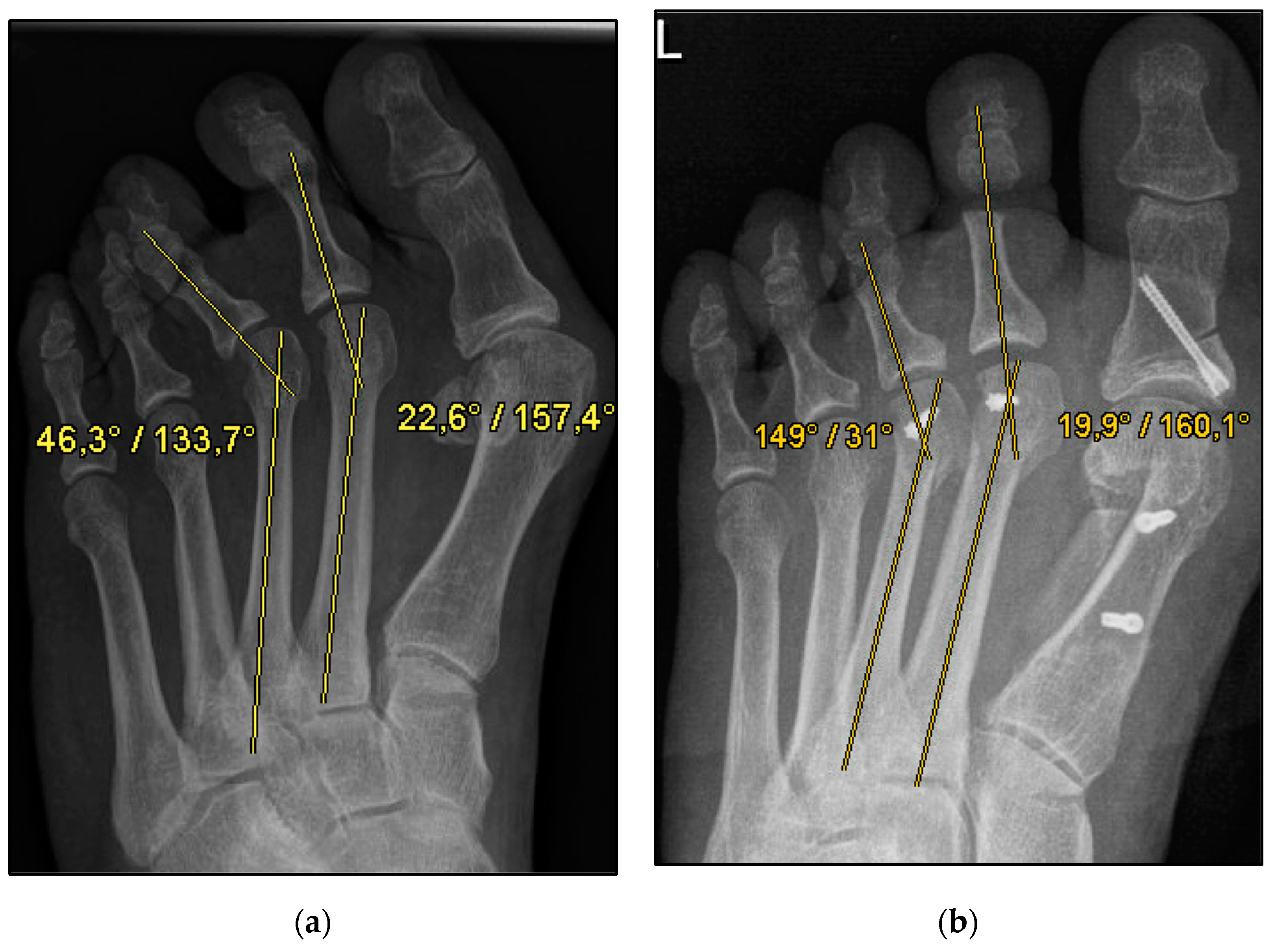
2.4. Assessment Methods
2.5. Statistical Analysis
3. Results
4. Discussion
5. Conclusions
Author Contributions
Funding
Institutional Review Board Statement
Informed Consent Statement
Data Availability Statement
Acknowledgments
Conflicts of Interest
References
- Barouk, L.S. Weil’s metatarsal osteotomy in the treatment of metatarsalgia. Orthopade 1996, 25, 338–344. [Google Scholar] [CrossRef] [PubMed]
- Wagner, E.; O’Connell, L.A.; Radkievich, R.; Caicedo, N.; Mococain, P.; Wagner, P. Incidence of and Functional Significance of Floating Toe After Weil Osteotomy. Foot Ankle Orthop. 2019, 4, 2473011419891956. [Google Scholar] [CrossRef] [PubMed]
- Wong, T.-C.; Kong, S.-W. Minimally Invasive Distal Metatarsal Osteotomy in the Treatment of Primary Metatarsalgia. J. Orthop. Trauma Rehabil. 2013, 17, 17–21. [Google Scholar] [CrossRef]
- Coillard, J.Y.; Lalevée, M.; Tourné, Y. Distal Metatarsal Minimally Invasive Osteotomy (DMMO): Surgical technique, variants, indications, and treatment decision-tree. Foot 2021, 47, 101801. [Google Scholar] [CrossRef] [PubMed]
- Yeo, N.E.; Loh, B.; Chen, J.Y.; Yew, A.K.; Ng, S.Y. Comparison of early outcome of Weil osteotomy and distal metatarsal mini-invasive osteotomy for lesser toe metatarsalgia. J. Orthop. Surg. 2016, 24, 350–353. [Google Scholar] [CrossRef]
- Henry, J.; Besse, J.L.; Fessy, M.H. Distal osteotomy of the lateral metatarsals: A series of 72 cases comparing the Weil osteotomy and the DMMO percutaneous osteotomy. Orthop. Traumatol. Surg. Res. 2011, 97, S57–S65. [Google Scholar] [CrossRef]
- Johansen, J.K.; Jordan, M.; Thomas, M. Clinical and radiological outcomes after Weil osteotomy compared to distal metatarsal metaphyseal osteotomy in the treatment of metatarsalgia-A prospective study. Foot Ankle Surg. 2019, 25, 488–494. [Google Scholar] [CrossRef]
- Krenn, S.; Albers, S.; Bock, P.; Mansfield, C.; Chraim, M.; Trnka, H.J. Minimally Invasive Distal Metatarsal Metaphyseal Osteotomy of the Lesser Toes: Learning Curve. Foot Ankle Spec. 2018, 11, 263–268. [Google Scholar] [CrossRef]
- Devos Bevernage, B.; Deleu, P.A.; Leemrijse, T. The translating Weil osteotomy in the treatment of an overriding second toe: A report of 25 cases. Foot Ankle Surg. 2010, 16, 153–158. [Google Scholar] [CrossRef]
- Boss, A.; Herrmann, E.; Gramlich, Y.; Klug, A.; Neun, O.; Manegold, S.; Hoffmann, R.; Fischer, S. The Conventional Weil Osteotomy Does Not Require Screw Fixation. J. Clin. Med. 2023, 12, 428. [Google Scholar] [CrossRef]
- Garcia-Fernandez, D.; Gil-Garay, E.; Lora-Pablos, D.; De-la-Cruz-Bertolo, J.; Llanos-Alcazar, L.F. Comparative study of the Weil osteotomy with and without fixation. Foot Ankle Surg. 2011, 17, 103–107. [Google Scholar] [CrossRef] [PubMed]
- Cazeau, C.; Stiglitz, Y. Minimally invasive and percutaneous surgery of the forefoot current techniques in 2018. Eur. J. Orthop. Surg. Traumatol. 2018, 28, 819–837. [Google Scholar] [CrossRef] [PubMed]
- Biz, C.; Corradin, M.; Kuete Kanah, W.T.; Dalmau-Pastor, M.; Zornetta, A.; Volpin, A.; Ruggieri, P. Medium-Long-Term Clinical and Radiographic Outcomes of Minimally Invasive Distal Metatarsal Metaphyseal Osteotomy (DMMO) for Central Primary Metatarsalgia: Do Maestro Criteria Have a Predictive Value in the Preoperative Planning for This Percutaneous Technique? BioMed Res. Int. 2018, 2018, 1947024. [Google Scholar] [CrossRef]
- Besse, J.L. Metatarsalgia. Orthop. Traumatol. Surg. Res. 2017, 103, S29–S39. [Google Scholar] [CrossRef]
- Maestro, M.; Besse, J.L.; Ragusa, M.; Berthonnaud, E. Forefoot morphotype study and planning method for forefoot osteotomy. Foot Ankle Clin. 2003, 8, 695–710. [Google Scholar] [CrossRef]
- Highlander, P.; VonHerbulis, E.; Gonzalez, A.; Britt, J.; Buchman, J. Complications of the Weil osteotomy. Foot Ankle Spec. 2011, 4, 165–170. [Google Scholar] [CrossRef]
- Fatima, M.; Ektas, N.; Scholes, C.; Symes, M.; Wines, A. The effect of osteotomy technique (flat-cut vs wedge-cut Weil) on pain relief and complication incidence following surgical treatment for metatarsalgia in a private metropolitan clinic: Protocol for a randomised controlled trial. Trials 2022, 23, 690. [Google Scholar] [CrossRef]
- Rivero-Santana, A.; Perestelo-Perez, L.; Garces, G.; Alvarez-Perez, Y.; Escobar, A.; Serrano-Aguilar, P. Clinical effectiveness and safety of Weil’s osteotomy and distal metatarsal mini-invasive osteotomy (DMMO) in the treatment of metatarsalgia: A systematic review. Foot Ankle Surg. 2019, 25, 565–570. [Google Scholar] [CrossRef]
- Vandeputte, G.; Dereymaeker, G.; Steenwerckx, A.; Peeraer, L. The Weil osteotomy of the lesser metatarsals: A clinical and pedobarographic follow-up study. Foot Ankle Int. 2000, 21, 370–374. [Google Scholar] [CrossRef]
- García-Rey, E.; Cano, J.; Guerra, P.; Sanz-Hospital, F.J. The Weil osteotomy for median metatarsalgia. A short-term study. Foot Ankle Surg. 2004, 10, 177–180. [Google Scholar] [CrossRef]
- Pascual Huerta, J.; Arcas Lorente, C.; García Carmona, F.J. The Weil osteotomy: A comprehensive review. Rev. Española De Podol. 2017, 28, e38–e51. [Google Scholar] [CrossRef]
- Samaila, E.M.; Ditta, A.; Negri, S.; Leigheb, M.; Colo, G.; Magnan, B. Central metatarsal fractures: A review and current concepts. Acta Biomed. 2020, 91, 36–46. [Google Scholar] [CrossRef] [PubMed]
- Cakir, H.; Van Vliet-Koppert, S.T.; Van Lieshout, E.M.; De Vries, M.R.; Van Der Elst, M.; Schepers, T. Demographics and outcome of metatarsal fractures. Arch. Orthop. Trauma Surg. 2011, 131, 241–245. [Google Scholar] [CrossRef] [PubMed]
- Nery, C.; Coughlin, M.J.; Baumfeld, D.; Mann, T.S. Lesser metatarsophalangeal joint instability: Prospective evaluation and repair of plantar plate and capsular insufficiency. Foot Ankle Int. 2012, 33, 301–311. [Google Scholar] [CrossRef] [PubMed]
- Schuh, R.; Trnka, H.J. Metatarsalgia: Distal metatarsal osteotomies. Foot Ankle Clin. 2011, 16, 583–595. [Google Scholar] [CrossRef] [PubMed]
- Trnka, H.J.; Nyska, M.; Parks, B.G.; Myerson, M.S. Dorsiflexion contracture after the Weil osteotomy: Results of cadaver study and three-dimensional analysis. Foot Ankle Int. 2001, 22, 47–50. [Google Scholar] [CrossRef] [PubMed]
- Flores, D.V.; Mejia Gomez, C.; Fernandez Hernando, M.; Davis, M.A.; Pathria, M.N. Adult Acquired Flatfoot Deformity: Anatomy, Biomechanics, Staging, and Imaging Findings. Radiographics 2019, 39, 1437–1460. [Google Scholar] [CrossRef]
- Filardi, V. Flatfoot and normal foot a comparative analysis of the stress shielding. J. Orthop. 2018, 15, 820–825. [Google Scholar] [CrossRef]
- Malhotra, K.; Davda, K.; Singh, D. The pathology and management of lesser toe deformities. EFORT Open Rev. 2016, 1, 409–419. [Google Scholar] [CrossRef]
- Austin, D.W.; Leventen, E.O. A new osteotomy for hallux valgus: A horizontally directed “V” displacement osteotomy of the metatarsal head for hallux valgus and primus varus. Clin. Orthop. Relat. Res. 1981, 157, 25–30. [Google Scholar] [CrossRef]







| Characteristic | With Screw Fixation (n = 87) | Without Screw Fixation (n = 49) | All (n = 136/127) | p | |
|---|---|---|---|---|---|
| Age, years | Mean | 63.44 | 63.02 | 63.42 | 0.955 |
| SEM | 1.36 | 1.46 | 1.02 | ||
| Minimum | 26.00 | 36.00 | 26.00 | ||
| Maximum | 88.00 | 83.00 | 88.00 | ||
| BMI, kg/m2 | Mean | 26.72 | 25.65 | 26.33 | 0.183 |
| SEM | 0.55 | 0.67 | 0.431 | ||
| Minimum | 17.78 | 19.30 | 17.78 | ||
| Maximum | 42.20 | 39.20 | 42.20 | ||
| Sex, n (%) | Male | 12 (13.79) | 5 (10.20) | 17 (12.50) | 0.043 |
| Female | 75 (86.21) | 44 (89.89) | 119 (87.50) | ||
| Affected side, n (%) | Left | 36 (45.57) | 27 (56.25) | 63 (49.61) | 0.101 |
| Right | 35 (44.30) | 20 (41.67) | 55 (43.31) | ||
| Both sides | 8 (10.13) | 1 (2.08) | 9 (7.08) | ||
| Smoker, n (%) | Yes | 12 (13.79) | 6 (12.24) | 18 (13.23) | 0.767 |
| No | 75 (86.21) | 43 (87.76) | 118 (86.76) | ||
| Preexisting conditions (multiple answers), n (%) | Metabolic syndrome-associated | 35 (40.23) | 20 (40,82) | 55 (40.44) | 0.681 |
| rheumatism | 4 (4.59) | 1 (2.04) | 5 (3.67) | ||
| Others | 47 (54.02) | 28 (57.14) | 75 (55.15) | ||
| None | 15 (17.24) | 7 (14.29) | 22 (16.18) |
| Measurement | With Screw Fixation (n = 182) | Without Screw Fixation (n = 74) | All (n = 256) | p | |
|---|---|---|---|---|---|
| MTP angle, preoperative | Mean | 9.42 | 8.81 | 9.24 | 0.847 |
| SEM | 1.36 | 2.06 | 1.13 | ||
| Minimum * | −48.30 | −43.00 | −48.30 | ||
| Maximum ** | 50.30 | 55.00 | 55.00 | ||
| MTP angle, postoperative | Mean | 13.91 | 10.75 | 12.99 | 0.022 |
| SEM | 0.75 | 1.12 | 0.63 | ||
| Minimum * | −15.50 | −15.52 | −15.50 | ||
| Maximum ** | 36.60 | 41.50 | 41.50 | ||
| Extent of angle correction | Mean | 10.81 | 10.02 | 10.58 | 0.510 |
| SEM | 0.65 | 1.00 | 0.55 | ||
| Minimum | 0.00 | 0.40 | 0.40 | ||
| Maximum | 51.80 | 39.80 | 51.80 | ||
| Visibility of MTP joint space given, preoperative (%) | Yes | 93 (51.09) | 41 (55.41) | 134 (52.34) | 0.619 |
| No | 86 (47.25) | 33 (44.59) | 119 (46.48) | ||
| Visibility of MTP joint space given, postoperative (%) | Yes | 155 (85.17) | 71 (95.95) | 226 (88.28) | 0.028 |
| No | 24 (13.19) | 3 (4.05) | 27 (10.55) | ||
| n.a. | 3 (1.64) | 0 (0.00) | 3 (1.17) | ||
| Talo-first metatarsal angle, postoperative | Mean | 11.04 | 9.17 | 10.36 | 0.130 |
| SEM | 0.73 | 0.99 | 0.59 | ||
| Talonavicular coverage angle, postoperative | Mean | 10.81 | 8.24 | 9.87 | 0.055 |
| SEM | 0.83 | 0.99 | 0.65 | ||
| Hallux valgus angle, postoperative | Mean | 14.06 | 13.45 | 13.84 | 0.618 |
| SEM | 0.72 | 1.04 | 0.59 | ||
| Intermetatarsal M1–M5A, postoperative | Mean | 24.00 | 25.46 | 24.53 | 0.147 |
| SEM | 0.58 | 0.84 | 0.48 |
Disclaimer/Publisher’s Note: The statements, opinions and data contained in all publications are solely those of the individual author(s) and contributor(s) and not of MDPI and/or the editor(s). MDPI and/or the editor(s) disclaim responsibility for any injury to people or property resulting from any ideas, methods, instructions or products referred to in the content. |
© 2024 by the authors. Licensee MDPI, Basel, Switzerland. This article is an open access article distributed under the terms and conditions of the Creative Commons Attribution (CC BY) license (https://creativecommons.org/licenses/by/4.0/).
Share and Cite
Ram, L.M.; Schippers, P.; Neun, O.; Gramlich, Y.; Herrmann, E.; Klug, A.; Hoffmann, R.; Fischer, S. Radiographic Evidence of Sufficient Transverse Plane Alignment after Weil Osteotomy without Screw Fixation. J. Clin. Med. 2024, 13, 331. https://doi.org/10.3390/jcm13020331
Ram LM, Schippers P, Neun O, Gramlich Y, Herrmann E, Klug A, Hoffmann R, Fischer S. Radiographic Evidence of Sufficient Transverse Plane Alignment after Weil Osteotomy without Screw Fixation. Journal of Clinical Medicine. 2024; 13(2):331. https://doi.org/10.3390/jcm13020331
Chicago/Turabian StyleRam, Leona Marleen, Philipp Schippers, Oliver Neun, Yves Gramlich, Eva Herrmann, Alexander Klug, Reinhard Hoffmann, and Sebastian Fischer. 2024. "Radiographic Evidence of Sufficient Transverse Plane Alignment after Weil Osteotomy without Screw Fixation" Journal of Clinical Medicine 13, no. 2: 331. https://doi.org/10.3390/jcm13020331
APA StyleRam, L. M., Schippers, P., Neun, O., Gramlich, Y., Herrmann, E., Klug, A., Hoffmann, R., & Fischer, S. (2024). Radiographic Evidence of Sufficient Transverse Plane Alignment after Weil Osteotomy without Screw Fixation. Journal of Clinical Medicine, 13(2), 331. https://doi.org/10.3390/jcm13020331

