Redo Thyroidectomy: Updated Insights
Abstract
1. Introduction
Objective
2. Methods
3. Results: Sample-Focused Analysis in Redo Thyroid Surgery
3.1. Intra-Operative Neurophysiological Monitoring of the Laryngeal Nerves
3.2. Intra-Operatory Parathyroid Considerations during Thyroidectomy
3.3. Redo for Bleeding Complications
3.4. Redo TORT (Trans-Oral Robotic Thyroidectomy)
3.5. Trans-Axillary Robotic Redo Thyroidectomy
3.6. Cost-Analysis in Redo Surgery
4. Discussion
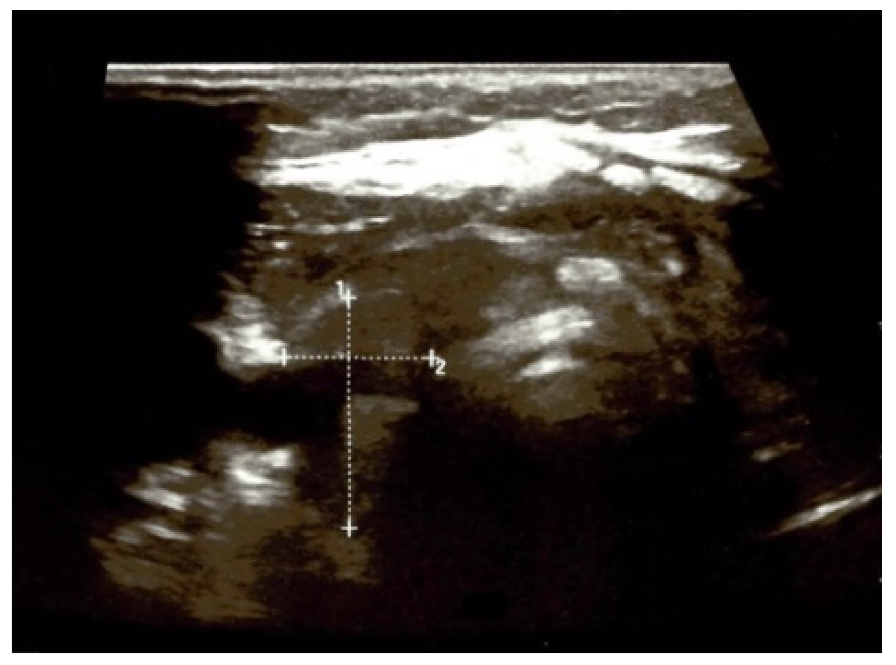
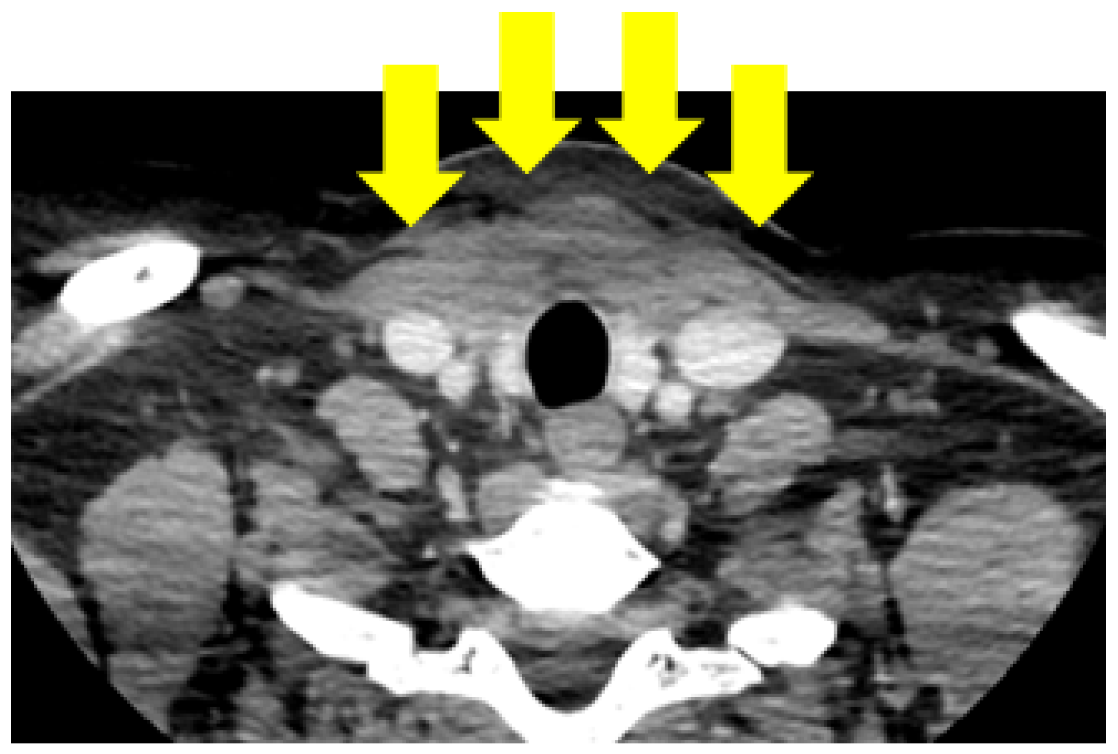
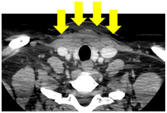
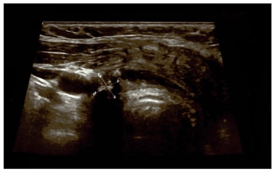
4.1. Clinical Vignette
4.1.1. First Admission
4.1.2. Initial Thyroidectomy and Removal of the Ectopic Thyroid Tissue
4.1.3. Post-Operatory Assessments
4.1.4. Redo Thyroidectomy
4.1.5. Post-Redo Outcome
4.2. Current Limits and Further Expansion
5. Conclusions
Author Contributions
Funding
Institutional Review Board Statement
Informed Consent Statement
Data Availability Statement
Acknowledgments
Conflicts of Interest
References
- Paz-Ibarra, J.; Concepción-Zavaleta, M.J.; Quiroz-Aldave, J.E. Environmental factors related to the origin and evolution of differentiated thyroid cancer: A narrative review. Expert Rev. Endocrinol. Metab. 2024, 1–9. [Google Scholar] [CrossRef] [PubMed]
- Street, M.E.; Shulhai, A.M.; Petraroli, M.; Patianna, V.; Donini, V.; Giudice, A.; Gnocchi, M.; Masetti, M.; Montani, A.G.; Rotondo, R.; et al. The impact of environmental factors and contaminants on thyroid function and disease from fetal to adult life: Current evidence and future directions. Front. Endocrinol. 2024, 15, 1429884. [Google Scholar] [CrossRef] [PubMed]
- Abraham, P.J.; Lindeman, B.M. Management of Incidental Thyroid Nodules. Surg. Clin. N. Am. 2024, 104, 711–723. [Google Scholar] [CrossRef] [PubMed]
- Lorenz, K. Endocrine oncology: An update on surgical treatments. Inn. Med. 2024, 65, 656–663. [Google Scholar] [CrossRef]
- Cirello, V.; Lugaresi, M.; Moneta, C.; Dufour, P.; Manzo, A.; Carbone, E.; Colombo, C.; Fugazzola, L.; Charlier, C.; Pirard, C. Thyroid cancer and endocrine disruptive chemicals: A case-control study on per-fluoroalkyl substances and other persistent organic pollutants. Eur. Thyroid J. 2024, 13, e230192. [Google Scholar] [CrossRef]
- Chatterjee, S.; Mair, M.; Shaha, A.R.; Paleri, V.; Sawhney, S.; Mishra, A.; Bhandarkar, S.; D’Cruz, A.K. Current evidences in poorly differentiated thyroid carcinoma: A systematic review and subsection meta-analysis for clinical decision making. Endocrine 2024, 85, 509–519. [Google Scholar] [CrossRef]
- Magra, V.; Boulogeorgou, K.; Paschou, E.; Sevva, C.; Manaki, V.; Mpotani, I.; Mantalovas, S.; Laskou, S.; Kesisoglou, I.; Koletsa, T.; et al. Frequency of Thyroid Microcarcinoma in Patients Who Underwent Total Thyroidectomy with Benign Indication-A 5-Year Retrospective Review. Medicina 2024, 60, 468. [Google Scholar] [CrossRef] [PubMed]
- Shen, Y.; Wang, X.; Wang, L.; Xiong, D.; Wu, C.; Cen, L.; Xie, L.; Li, X. Modifiable risk factors for thyroid cancer: Lifestyle and residence environment. Endokrynol. Pol. 2024, 75, 119–129. [Google Scholar] [CrossRef]
- Rubinstein, W.S.; Patriotis, C.; Dickherber, A.; Han, P.K.J.; Katki, H.A.; LeeVan, E.; Pinsky, P.F.; Prorok, P.C.; Skarlupka, A.L.; Temkin, S.M.; et al. Cancer screening with multicancer detection tests: A translational science review. CA Cancer J. Clin. 2024, 74, 368–382. [Google Scholar] [CrossRef]
- Abraham, P.J.; Wu, C.; Wang, R.; Herring, B.; Zmijewski, P.; Gillis, A.; Fazendin, J.; Lindeman, B.; Chen, H. The overtreatment of papillary thyroid microcarcinoma in the community. Am. J. Surg. 2024, 233, 132–135. [Google Scholar] [CrossRef]
- Piticchio, T.; Russ, G.; Radzina, M.; Frasca, F.; Durante, C.; Trimboli, P. Head-to-head comparison of American, European, and Asian TIRADSs in thyroid nodule assessment: Systematic review and meta-analysis. Eur. Thyroid J. 2024, 13, e230242. [Google Scholar] [CrossRef] [PubMed]
- Anghel, A.; Stanciu, S.; Ciobica, M.L.; Stoicescu, D.; Muresan, M.M. Contrast-enhanced ultrasound-clinical applications. Rom. J. Mil. Med. 2011, 114, 25–30. [Google Scholar]
- Rao, K.N.; Randolph, G.W.; Lopez, F.; Zafereo, M.; Coca-Pelaz, A.; Piazza, C.; Dange, P.; Rodrigo, J.P.; Stenman, G.; de Keizer, B.; et al. Assessment of the risk of malignancy in Bethesda III thyroid nodules: A comprehensive review. Endocrine 2024, 85, 473–492. [Google Scholar] [CrossRef]
- Nistor, C.; Ciuche, A.; Constantinescu, I. Emergency surgical tracheal decompression in a huge retrosternal goiter. Acta Endocrinol. 2017, 13, 370–374. [Google Scholar] [CrossRef]
- Kushchayev, S.; Kushchayeva, Y.; Glushko, T.; Pestun, I.; Teytelboym, O. Discovery of metastases in thyroid cancer and “benign metastasizing goiter”: A historical note. Front. Endocrinol. 2024, 15, 1354750. [Google Scholar] [CrossRef]
- Lebbink, C.A.; Links, T.P.; Czarniecka, A.; Dias, R.P.; Elisei, R.; Izatt, L.; Krude, H.; Lorenz, K.; Luster, M.; Newbold, K.; et al. 2022 European Thyroid Association Guidelines for the management of pediatric thyroid nodules and differentiated thyroid carcinoma. Eur. Thyroid J. 2022, 11, e220146. [Google Scholar] [CrossRef]
- Pitoia, F.; Trimboli, P. New insights in thyroid diagnosis and treatment. Rev. Endocr. Metab. Disord. 2024, 25, 1–3. [Google Scholar] [CrossRef] [PubMed]
- Bastien, A.J.; Ho, A.S. Surgical Management of Substernal Thyroid Goiters. Otolaryngol. Clin. N. Am. 2024, 57, 39–52. [Google Scholar] [CrossRef]
- Gómez-Ramírez, J.; Heras, P.C.; Jiménez, R.A.; Saez, L.D.J.; Pineda, E.Y.; Syro, C.Z.; Campo, C.F. Large goiters and postoperative complications: Does it really matter? Langenbecks Arch. Surg. 2023, 408, 213. [Google Scholar] [CrossRef]
- Christou, N.; Di Maria, S.; Mirallié, E.; Noullet, S.; Mathonnet, M.; Menegaux, F. Ambulatory thyroidectomy. Recommendations of the Association francophone de chirurgie endocrinienne (AFCE), with the Société française d’endocrinologie (SFE) and the Société française de médecine nucléaire (SFMN). J. Visc. Surg. 2023, 160, S119–S126. [Google Scholar] [CrossRef]
- Marciniak, C.; Bihain, F.; Caiazzo, R.; Brunaud, L. Robotic thyroidectomy. Recommendations of the AFCE (Association francophone de chirurgie endocrinienne) with the SFE (Société française d’endocrinologie) and the SFMN (Société française de médecine nucléaire). J. Visc. Surg. 2023, 160, S127–S129. [Google Scholar] [CrossRef] [PubMed]
- Moffatt, D.C.; Tucker, J.; Goldenberg, D. Management of compression symptoms of thyroid goiters: Hemithyroidectomy is equally as successful as total thyroidectomy. Am. J. Otolaryngol. 2023, 44, 103676. [Google Scholar] [CrossRef]
- Papachristos, A.J.; Bin Mohamed Ebrahim, M.E.; Fuchs, T.L.; Gill, A.J.; Delbridge, L.; Serpell, J.; Sidhu, S.B. Beware the recurrent ‘benign’ multinodular goitre. ANZ J. Surg. 2023, 93, 907–910. [Google Scholar] [CrossRef] [PubMed]
- Remer, L.F.; Linhares, S.M.; Scola, W.H.; Khan, Z.F.; Lew, J.I. Transient Hypocalcemia After Total Thyroidectomy: The Obesity Paradox at Work? J. Surg. Res. 2022, 278, 93–99. [Google Scholar] [CrossRef]
- Daoud, M.Y.I. Nature and outcome of malignant goiter: A revisit. Pan Afr. Med. J. 2021, 38, 204. [Google Scholar] [CrossRef] [PubMed]
- Spartalis, E.; Plakopitis, N.; Theodori, M.A.; Karagiannis, S.P.; Athanasiadis, D.I.; Spartalis, M.; Boutzios, G.; Paschou, S.A.; Nikiteas, N.; Troupis, T. Thyroid cancer surgery during the coronavirus disease 2019 pandemic: Perioperative management and oncological and anatomical considerations. Future Oncol. 2021, 17, 4389–4395. [Google Scholar] [CrossRef]
- Jasim, S.; Patel, K.N.; Randolph, G.; Adams, S.; Cesareo, R.; Condon, E.; Henrichsen, T.; Itani, M.; Papaleontiou, M.; Rangel, L.; et al. American Association of Clinical Endocrinology Disease State Clinical Review: The Clinical Utility of Minimally Invasive Interventional Procedures in the Management of Benign and Malignant Thyroid Lesions. Endocr. Pract. 2022, 28, 433–448. [Google Scholar] [CrossRef]
- Ghabisha, S.; Ahmed, F.; Alyhari, Q.; Al-Wageeh, S.; Dajenah, M.; Altam, A.; Aljbri, W.; Al-Naggar, A.; Al-Shami, E.; Al-Mekhlafy, Z.; et al. Assessment of demographic characteristics and histopathological pattern of thyroidectomies patients in a resource-limited setting: A retrospective cross-sectional study. Pan Afr. Med. J. 2022, 43, 213. [Google Scholar] [CrossRef]
- Marti, J.L.; Holm, T.; Randolph, G. Universal Use of Intraoperative Nerve Monitoring by Recently Fellowship-Trained Thyroid Surgeons is Common, Associated with Higher Surgical Volume, and Impacts Intraoperative Decision-Making. World J. Surg. 2016, 40, 337–343. [Google Scholar] [CrossRef]
- Ho, Y.; Carr, M.M.; Goldenberg, D. Trends in intraoperative neural monitoring for thyroid and parathyroid surgery amongst otolaryngologists and general surgeons. Eur. Arch. Otorhinolaryngol. 2013, 270, 2525–2530. [Google Scholar] [CrossRef]
- Ritter, A.; Ganly, I.; Wong, R.J.; Randolph, G.W.; Shpitzer, T.; Bachar, G.; Mizrachi, A. Intraoperative nerve monitoring is used routinely by a significant majority of head and neck surgeons in thyroid surgery and impacts on extent of surgery-Survey of the American Head and Neck Society. Head Neck 2020, 42, 1757–1764. [Google Scholar] [CrossRef] [PubMed]
- Randolph, G.W.; Kamani, D. Intraoperative neural monitoring in thyroid cancer surgery. Langenbecks Arch. Surg. 2014, 399, 199–207. [Google Scholar] [CrossRef] [PubMed]
- Wu, C.W.; Randolph, G.W.; Barczyński, M.; Schneider, R.; Chiang, F.Y.; Huang, T.Y.; Karcioglu, A.S.; Konturek, A.; Frattini, F.; Weber, F.; et al. Training Courses in Laryngeal Nerve Monitoring in Thyroid and Parathyroid Surgery- The INMSG Consensus Statement. Front. Endocrinol. 2021, 12, 705346. [Google Scholar] [CrossRef]
- Velayutham, P.; Thiagarajan, S.; Dhar, H.; Chidambaranathan, N.; Vaidya, A.; Teja, K. A Nationwide Survey to Assess the Practices and Patterns of Use of Intraoperative Nerve Monitoring During Thyroid Surgery Among Surgeons in India. Indian J. Surg. Oncol. 2024, 15, 18–24. [Google Scholar] [CrossRef] [PubMed]
- Davey, M.G.; Cleere, E.F.; Lowery, A.J.; Kerin, M.J. Intraoperative recurrent laryngeal nerve monitoring versus visualisation alone—A systematic review and meta-analysis of randomized controlled trials. Am. J. Surg. 2022, 224, 836–841. [Google Scholar] [CrossRef]
- Haddadin, S.W.; Mahasna, A.M.; Abumekhleb, I.A.; Almaaitah, F.S.; Alhyari, F.M.A.; Alsaidat, Y.M.; Alkhataleen, A.A.; Albaddawi, Y.Y.; Alshehabat, L.A.M.; Makhamreh, O.H. Comparison of Recurrent Laryngeal Nerve Insult Incidence Post Thyroidectomy for Benign and Malignant Lesions. Med. Arch. 2023, 77, 213–217. [Google Scholar] [CrossRef]
- Gurleyik, E. Intraoperative Monitoring and Preservation of Anatomic Integrity of Palsied Recurrent Laryngeal Nerve is Extremely Meaningful During Redo Thyroid Surgery. J. Coll. Physicians Surg. Pak. 2022, 32, SS105–SS107. [Google Scholar] [CrossRef]
- Pan, B.; Yuan, Y.; Yang, Z.; Lu, D.; Long, T.; Sun, Y.; Yin, S.; Zhang, F. Methods for the identification and preservation of parathyroid glands in thyroid surgery: A narrative review. Gland Surg. 2023, 12, 1276–1289. [Google Scholar] [CrossRef] [PubMed]
- Pace-Asciak, P.; Russell, J.; Solorzano, C.; Berber, E.; Singer, M.; Shaha, A.R.; Khafif, A.; Angelos, P.; Nixon, I.; Tufano, R.P. The utility of parathyroid autofluorescence as an adjunct in thyroid and parathyroid surgery 2023. Head Neck 2023, 45, 3157–3167. [Google Scholar] [CrossRef]
- Kiernan, C.M.; Solόrzano, C.C. New Techniques for Intraoperative Parathyroid Localization. Adv. Surg. 2023, 57, 209–223. [Google Scholar] [CrossRef]
- Rao, S.S.; Rao, H.; Moinuddin, Z.; Rozario, A.P.; Augustine, T. Preservation of parathyroid glands during thyroid and neck surgery. Front. Endocrinol. 2023, 14, 1173950. [Google Scholar] [CrossRef] [PubMed]
- Dip, F.; Alesina, P.F.; Anuwong, A.; Arora, E.; Berber, E.; Bonnin-Pascual, J.; Bouvy, N.D.; Demarchi, M.S.; Falco, J.; Hallfeldt, K.; et al. Use of fluorescence imaging and indocyanine green during thyroid and parathyroid surgery: Results of an intercontinental, multidisciplinary Delphi survey. Surgery 2022, 172, S6–S13. [Google Scholar] [CrossRef] [PubMed]
- Dalcı, K.; Topal, U.; Unal, A.G.; Eray, İ.C.; Yalav, O.; Guuney, I.B.; Sakman, G. Is radioguided occult lesion localization (ROLL) an effective and reliable method in thyroid cancer and parathyroid redo surgery? Ann. Ital. Chir. 2020, 91, 166–172. [Google Scholar]
- Canu, G.L.; Medas, F.; Cappellacci, F.; Rossi, L.; Gjeloshi, B.; Sessa, L.; Pennestrì, F.; Djafarrian, R.; Mavromati, M.; Kotsovolis, G.; et al. Risk factors for postoperative cervical haematoma in patients undergoing thyroidectomy: A retrospective, multicenter, international analysis (REDHOT study). Front. Surg. 2023, 10, 1278696. [Google Scholar] [CrossRef] [PubMed]
- Ludwig, B.; Ludwig, M.; Dziekiewicz, A.; Mikuła, A.; Cisek, J.; Biernat, S.; Kaliszewski, K. Modern Surgical Techniques of Thyroidectomy and Advances in the Prevention and Treatment of Perioperative Complications. Cancers 2023, 15, 2931. [Google Scholar] [CrossRef]
- Guerin, C.; Van Den Heede, K.; Deguelte, S.; Najah, H.; Donatini, G. Prevention and management of post-thyroidectomy cervical haematoma. Recommendations of the AFCE (Association francophone de chirurgie endocrinienne) with the SFE (Societe francaise d’endocrinologie) and the SFMN (Societe francaise de medecine nucleaire). J. Visc. Surg. 2023, 160, S110–S118. [Google Scholar] [CrossRef]
- Edafe, O.; Cochrane, E.; Balasubramanian, S.P. Reoperation for Bleeding After Thyroid and Parathyroid Surgery: Incidence, Risk Factors, Prevention, and Management. World J. Surg. 2020, 44, 1156–1162. [Google Scholar] [CrossRef]
- Abboud, B.; El-Kheir, A. Redo thyroid surgery without drains. Surg. Today 2020, 50, 1619–1625. [Google Scholar] [CrossRef]
- Doran, H.E.; Wiseman, S.M.; Palazzo, F.F.; Chadwick, D.; Aspinall, S. Post-thyroidectomy bleeding: Analysis of risk factors from a national registry. Br. J. Surg. 2021, 108, 851–857. [Google Scholar] [CrossRef]
- Park, Y.M.; Kim, D.H.; Moon, Y.M.; Lim, J.Y.; Choi, E.C.; Kim, S.H.; Holsinger, F.C.; Koh, Y.W. Gasless transoral robotic thyroidectomy using the DaVinci SP system: Feasibility, safety, and operative technique. Oral Oncol. 2019, 95, 136–142. [Google Scholar] [CrossRef]
- Kim, H.Y.; Chai, Y.J.; Dionigi, G.; Anuwong, A.; Richmon, J.D. Transoral robotic thyroidectomy: Lessons learned from an initial consecutive series of 24 patients. Surg. Endosc. 2018, 32, 688–694. [Google Scholar] [CrossRef]
- Kim, H.K.; Park, D.; Kim, H.Y. Robotic transoral thyroidectomy: Total thyroidectomy and ipsilateral central neck dissection with da Vinci Xi Surgical System. Head Neck 2019, 41, 1536–1540. [Google Scholar] [CrossRef] [PubMed]
- Nguyen, V.C.; Song, C.M.; Ji, Y.B.; Oh, S.; Jeong, J.H.; Tae, K. Comparison of surgical outcomes of transoral robotic and endoscopic thyroidectomy: A systematic review and network meta-analysis. Head Neck 2024, 46, 688–701. [Google Scholar] [CrossRef] [PubMed]
- Oh, M.Y.; Chai, Y.J.; Yu, H.W.; Kim, S.J.; Choi, J.Y.; Lee, K.E. Transoral endoscopic thyroidectomy vestibular approach vs. transoral robotic thyroidectomy: Systematic review and meta-analysis. Updates Surg. 2023, 75, 1773–1781. [Google Scholar] [CrossRef] [PubMed]
- Chen, Y.H.; Kim, H.Y.; Anuwong, A.; Huang, T.S.; Duh, Q.Y. Transoral robotic thyroidectomy versus transoral endoscopic thyroidectomy: A propensity-score-matched analysis of surgical outcomes. Surg. Endosc. 2021, 35, 6179–6189. [Google Scholar] [CrossRef] [PubMed]
- Lee, M.J.; Oh, M.Y.; Lee, J.M.; Sun, J.; Chai, Y.J. Comparative surgical outcomes of transoral endoscopic and robotic thyroidectomy for thyroid carcinoma: A propensity score-matched analysis. Surg. Endosc. 2023, 37, 1132–1139. [Google Scholar] [CrossRef]
- Kang, Y.J.; Cho, J.H.; Stybayeva, G.; Hwang, S.H. Safety and Efficacy of Transoral Robotic Thyroidectomy for Thyroid Tumor: A Systematic Review and Meta-Analysis. Cancers 2022, 14, 4230. [Google Scholar] [CrossRef]
- Huo, J.; Ou, D.; Guo, Y.; Chen, C.; Qu, R.; Zhao, L. Safety and Efficacy of Transoral Endoscopic Thyroidectomy Vestibular Approach Versus Conventional Open Thyroidectomy: A Systematic Review and Meta-analysis. Surg. Laparosc. Endosc. Percutan. Tech. 2023, 33, 547–555. [Google Scholar] [CrossRef]
- Oh, M.Y.; Park, D.; Chai, Y.J.; Kim, K.; Kim, H.Y. Re-do transoral robotic thyroidectomy is feasible: Preliminary results of the surgical feasibility and efficacy of completion transoral robotic thyroidectomy: Cohort study. Int. J. Surg. 2024, 110, 2933–2938. [Google Scholar] [CrossRef]
- Lee, I.A.; Kim, K.; Kim, J.K.; Kang, S.W.; Lee, J.; Jeong, J.J.; Nam, K.H.; Chung, W.Y. Comparison of Surgical Outcomes between Robotic Transaxillary and Conventional Open Thyroidectomy in Pediatric Thyroid Cancer. Cancers 2021, 13, 3293. [Google Scholar] [CrossRef]
- Kim, D.H.; Kim, S.W.; Kim, G.J.; Basurrah, M.A.; Hwang, S.H. Efficacy and Safety of Minimally Invasive Thyroid Surgery: A Network Meta-Analysis. Laryngoscope 2023, 133, 2470–2479. [Google Scholar] [CrossRef] [PubMed]
- Park, J.; Kim, K. Current and Future of Robotic Surgery in Thyroid Cancer Treatment. Cancers 2024, 16, 2470. [Google Scholar] [CrossRef] [PubMed]
- Ciuche, A.; Nistor, C.; Motaş, C.; Horvat, T. Minimally invasive surgery in the treatment of malignant pleuro-pericardial effusions. Chirurgia 2012, 107, 206–212. [Google Scholar] [PubMed]
- de Vries, L.H.; Aykan, D.; Lodewijk, L.; Damen, J.A.A.; Borel Rinkes, I.H.M.; Vriens, M.R. Outcomes of Minimally Invasive Thyroid Surgery—A Systematic Review and Meta-Analysis. Front. Endocrinol. 2021, 12, 719397. [Google Scholar] [CrossRef]
- Nistor, C.E.; Găvan, C.S.; Ciritel, A.A.; Nemes, A.F.; Ciuche, A. The Association of Minimally Invasive Surgical Approaches and Mortality in Patients with Malignant Pleuropericarditis-A 10 Year Retrospective Observational Study. Medicina 2022, 58, 718. [Google Scholar] [CrossRef]
- Kim, D.G.; Kim, K.; Lee, J.E.; Ho, J.; Kim, J.K.; Kang, S.W.; Lee, J.; Jeong, J.J.; Nam, K.H.; Chung, W.Y. Re-do Operation Using a Robotic System due to Locoregional Recurrence after Initial Thyroidectomy for Thyroid Cancer. Sci. Rep. 2022, 12, 11531. [Google Scholar] [CrossRef]
- Rossi, L.; Materazzi, G.; Bakkar, S.; Miccoli, P. Recent Trends in Surgical Approach to Thyroid Cancer. Front. Endocrinol. 2021, 12, 699805. [Google Scholar] [CrossRef]
- Doval, A.F.; Echo, A.; Zheng, F. Reoperative Cervical Endocrine Surgery: Appropriate Valuation for the Time and Effort? J. Surg. Res. 2021, 263, 155–159. [Google Scholar] [CrossRef]
- Unlu, M.T.; Kostek, M.; Aygun, N.; Isgor, A.; Uludag, M. Non-Toxic Multinodular Goiter: From Etiopathogenesis to Treatment. Sisli Etfal Hastan. Tip. Bull. 2022, 56, 21–40. [Google Scholar] [CrossRef] [PubMed]
- Takamori, T.; Izawa, S.; Fukuhara, T.; Sato, A.; Ichikawa, H.; Motokura, T.; Yamamoto, K.; Fukuda, T. Clinical Characteristics and Predictors Related to the Progression of Multinodular Goiter Causing Tracheal Compression and Deviation: A Report of Two Cases and Review of the Literature. Intern. Med. 2022, 61, 1375–1381. [Google Scholar] [CrossRef]
- Bartsch, D.K.; Luster, M.; Buhr, H.J.; Lorenz, D.; Germer, C.T.; Goretzki, P.E.; German Society for General and Visceral Surgery. Indications for the Surgical Management of Benign Goiter in Adults. Dtsch. Arztebl. Int. 2018, 115, 1–7. [Google Scholar] [CrossRef] [PubMed]
- Brinch, F.A.; Døssing, H.; Nguyen, N.; Bonnema, S.J.; Hegedüs, L.; Godballe, C.; Sorensen, J.R. The Impact of Esophageal Compression on Goiter Symptoms before and after Thyroid Surgery. Eur. Thyroid J. 2019, 8, 16–23. [Google Scholar] [CrossRef] [PubMed]
- Cirocchi, R.; Trastulli, S.; Randolph, J.; Guarino, S.; Di Rocco, G.; Arezzo, A.; D’Andrea, V.; Santoro, A.; Barczyñski, M.; Avenia, N. Total or near-total thyroidectomy versus subtotal thyroidectomy for multinodular non-toxic goitre in adults. Cochrane Database Syst. Rev. 2015, 2015, CD010370. [Google Scholar] [CrossRef] [PubMed]
- Mulita, F.; Verras, G.I.; Dafnomili, V.D.; Tchabashvili, L.; Perdikaris, I.; Bousis, D.; Liolis, E.; Samaras, A.; Vafeiadis, V.; Delis, A.; et al. Thyroidectomy for the Management of Differentiated Thyroid Carcinoma and their Outcome on Early Postoperative Complications: A 6-year Single-Centre Retrospective Study. Chirurgia 2022, 117, 556–562. [Google Scholar] [CrossRef]
- Fackelmayer, O.J.; Inabnet, W.B., 3rd. Lobectomy or Total Thyroidectomy-Where Is the Pendulum now for Differentiated Thyroid Cancer? Surg. Oncol. Clin. N. Am. 2023, 32, 373–381. [Google Scholar] [CrossRef]
- Vasileiadis, I.; Boutzios, G.; Karalaki, M.; Misiakos, E.; Karatzas, T. Papillary thyroid carcinoma of the isthmus: Total thyroidectomy or isthmusectomy? Am. J. Surg. 2018, 216, 135–139. [Google Scholar] [CrossRef]
- Bawa, D.; Alghamdi, A.; Albishi, H.; Al-Tufail, N.; Sharma, S.P.; Khalifa, Y.M.; Khan, S.; Alhajmohammed, M.A. Post-thyroidectomy complications in southwestern Saudi Arabia: A retrospective study of a 6-year period. Ann. Saudi Med. 2021, 41, 369–375. [Google Scholar] [CrossRef]
- Rao, K.N.; Satpute, S.; Nagarkar, N.M.; Singh, A. Revision Thyroid Surgery. Indian J. Surg. Oncol. 2022, 13, 199–207. [Google Scholar] [CrossRef]
- Wojtczak, B.; Barczyński, M. Intermittent neural monitoring of the recurrent laryngeal nerve in surgery for recurrent goiter. Gland Surg. 2016, 5, 481–489. [Google Scholar] [CrossRef]
- Shaghaghi, A.; Salari, A.; Jalaeefar, A.; Shirkhoda, M. Management of lymph nodes in medullary thyroid carcinoma: A review. Ann. Med. Surg. 2022, 81, 104538. [Google Scholar] [CrossRef]
- Medas, F.; Tuveri, M.; Canu, G.L.; Erdas, E.; Calò, P.G. Complications after reoperative thyroid surgery: Retrospective evaluation of 152 consecutive cases. Updates Surg. 2019, 71, 705–710. [Google Scholar] [CrossRef] [PubMed]
- Chadwick, D.R. Hypocalcaemia and permanent hypoparathyroidism after total/bilateral thyroidectomy in the BAETS Registry. Gland Surg. 2017, 6 (Suppl. 1), S69–S74. [Google Scholar] [CrossRef] [PubMed]
- Wong, K.P.; Mak, K.L.; Wong, C.K.; Lang, B.H. Systematic review and meta-analysis on intra-operative neuro-monitoring in high-risk thyroidectomy. Int. J. Surg. 2017, 38, 21–30. [Google Scholar] [CrossRef]
- Giuffrida, D.; Giuffrida, R.; Puliafito, I.; Vella, V.; Memeo, L.; Puglisi, C.; Regalbuto, C.; Pellegriti, G.; Forte, S.; Belfiore, A. Thyroidectomy as Treatment of Choice for Differentiated Thyroid Cancer. Int. J. Surg. Oncol. 2019, 2019, 2715260. [Google Scholar] [CrossRef]
- Ullmann, T.M.; Papaleontiou, M.; Sosa, J.A. Current Controversies in Low-Risk Differentiated Thyroid Cancer: Reducing Overtreatment in an Era of Overdiagnosis. J. Clin. Endocrinol. Metab. 2023, 108, 271–280. [Google Scholar] [CrossRef]
- Chou, R.; Dana, T.; Brent, G.A.; Goldner, W.; Haymart, M.; Leung, A.M.; Ringel, M.D.; Sosa, J.A. Serum Thyroglobulin Measurement Following Surgery without Radioactive Iodine for Differentiated Thyroid Cancer: A Systematic Review. Thyroid 2022, 32, 613–639. [Google Scholar] [CrossRef]
- Sipos, J.A.; Aloi, J.; Gianoukakis, A.; Lee, S.L.; Klopper, J.P.; Kung, J.T.; Lupo, M.A.; Morgenstern, D.; Prat-Knoll, C.; Schuetzenmeister, A.; et al. Thyroglobulin Cutoff Values for Detecting Excellent Response to Therapy in Patients with Differentiated Thyroid Cancer. J. Endocr. Soc. 2023, 7, bvad102. [Google Scholar] [CrossRef] [PubMed]
- Campennì, A.; Barbaro, D.; Guzzo, M.; Capoccetti, F.; Giovanella, L. Personalized management of differentiated thyroid cancer in real life—Practical guidance from a multidisciplinary panel of experts. Endocrine 2020, 70, 280–291. [Google Scholar] [CrossRef]
- Kim, J.; Oh, I.; Lee, Y.N.; Lee, J.H.; Lee, Y.I.; Kim, J.; Lee, J.H. Predicting the severity of postoperative scars using artificial intelligence based on images and clinical data. Sci. Rep. 2023, 13, 13448. [Google Scholar] [CrossRef]
- Balas, S.; Tokgoz, S.; Yilmaz, K.B.; Onder, E.; Karabacak, H.; Akinci, M.; Bayar, B.; Isgoren, A. Effect of Extractum cepae, heparin sodium and allantoin combination (Contractubex(TM)) on adhesion and fibrosis after neck surgery (thyroidectomy) in rats. N. Clin. Istanb. 2022, 9, 495–500. [Google Scholar] [CrossRef]
- Kim, J.C.; Choi, J.W.; Kim, Y.C. A prospective study to evaluate the treatment effect of pulsed dye laser on thyroidectomy hypertrophic scars using 3D imaging analysis. Lasers Surg. Med. 2022, 54, 1082–1088. [Google Scholar] [CrossRef] [PubMed]
- Bach, K.; Prince, S.; Pitt, S.C.; Robbins, S.; Connor, N.P.; Macdonald, C.; Sippel, R.S.; Long, K.L. Time Heals Most Wounds—Perceptions of Thyroidectomy Scars in Patients with Thyroid Cancer. J. Surg. Res. 2022, 270, 437–443. [Google Scholar] [CrossRef] [PubMed]
- Pradeep, P.V. Scar satisfaction assessment after conventional thyroidectomy: Follow-up results. Acta Otorhinolaryngol. Ital. 2021, 41, 39–42. [Google Scholar] [CrossRef]
- Kurumety, S.K.; Helenowski, I.B.; Goswami, S.; Peipert, B.J.; Yount, S.E.; Sturgeon, C. Post-thyroidectomy neck appearance and impact on quality of life in thyroid cancer survivors. Surgery 2019, 165, 1217–1221. [Google Scholar] [CrossRef]
- Linhartová, M.; Hemmelová, B.; Čan, V.; Peňázová, P.; Marková, M. Endoscopic approaches in head and neck endocrine surgery introduction of TOETVA (TransOral Endoscopic Thyroidectomy by Vestibular Approach) into clinical use at the Department of Surgery of the University Hospital in Brno. Rozhl. Chir. 2020, 99, 509–512. [Google Scholar]
- Ranganath, R.; Shaear, M.; Razavi, C.R.; Pace-Asciak, P.; Russell, J.O.; Tufano, R.P. Imaging and choosing the right patients for transoral endoscopic parathyroidectomy vestibular approach. World J. Otorhinolaryngol. Head Neck Surg. 2020, 6, 155–160. [Google Scholar] [CrossRef] [PubMed]
- Russell, J.O.; Sahli, Z.T.; Shaear, M.; Razavi, C.; Ali, K.; Tufano, R.P. Transoral thyroid and parathyroid surgery via the vestibular approach-a 2020 update. Gland Surg. 2020, 9, 409–416. [Google Scholar] [CrossRef]
- Christakis, I.; Parsons, S.; Chadwick, D. Safe provision of elective endocrine surgery operations amid the COVID-19 crisis. Ann. R. Coll. Surg. Engl. 2022, 104, 456–464. [Google Scholar] [CrossRef]
- Nistor, C.E.; Pantile, D.; Gavan, C.S.; Ciuche, A. Pneumothorax on COVID-19 patients-retrospective clinical observations. Rom. J. Leg. Med. 2022, 30, 112–116. [Google Scholar] [CrossRef]
- Nistor, C.; Ranetti, A.E.; Ciuche, A.; Pantile, D.; Constatin, L.M.; Brincoveanu, R. Betadine in chemical pleurodesis. Farmacia 2014, 62, 897–906. [Google Scholar]
- Christofer Juhlin, C.; Mete, O.; Baloch, Z.W. The 2022 WHO classification of thyroid tumors: Novel concepts in nomenclature and grading. Endocr. Relat. Cancer 2022, 30, e220293. [Google Scholar] [CrossRef] [PubMed]
- Dušková, J. Changes in the diagnosis of thyroid tumours in the 5th edition of the WHO classification of endocrine neoplasms. Cesk Patol. 2024, 60, 59–63. [Google Scholar]
- Kitahara, C.M.; Schneider, A.B. Epidemiology of Thyroid Cancer. Cancer Epidemiol. Biomark. Prev. 2022, 31, 1284–1297. [Google Scholar] [CrossRef] [PubMed]
- Patel, J.; Klopper, J.; Cottrill, E.E. Molecular diagnostics in the evaluation of thyroid nodules: Current use and prospective opportunities. Front. Endocrinol. 2023, 14, 1101410. [Google Scholar] [CrossRef]
- Dell’Aquila, M.; Granitto, A.; Martini, M.; Capodimonti, S.; Cocomazzi, A.; Musarra, T.; Fiorentino, V.; Pontecorvi, A.; Lombardi, C.P.; Fadda, G.; et al. PD-L1 and thyroid cytology: A possible diagnostic and prognostic marker. Cancer Cytopathol. 2020, 128, 177–189. [Google Scholar] [CrossRef]
- Philippe, J.B.; Riou, J.; Lemoult, A.; Sarfati-Lebreton, M.; Hamy, A.; Mucci, S. Feasibility criteria for total thyroidectomy in outpatient surgery. Ann. Endocrinol. 2019, 80, 286–292. [Google Scholar] [CrossRef]
- Faroq Abdulrahman, S.M.; Teksöz, S.; Ferahman, S.; Demiryas, S.; Bükey, Y.; Özyiğin, A. Missed thyroid gland after total thyroidectomy. Turk. J. Surg. 2018, 34, 137–139. [Google Scholar] [CrossRef]
- Sahbaz, A.; Aksakal, N.; Ozcinar, B.; Onuray, F.; Caglayan, K.; Erbil, Y. The “forgotten” goiter after total thyroidectomy. Int. J. Surg. Case Rep. 2013, 4, 269–271. [Google Scholar] [CrossRef] [PubMed]
- Kesici, U.; Koral, Ö.; Karyağar, S.; Kesici, S.; Yılbaş, A.; Karyağar, S.; Mataracı, E.; Mataracı, İ. Missed retrosternal ectopic thyroid tissue in a patient operated for multinodular goiter. Ulus. Cerrahi Derg. 2015, 32, 67–70. [Google Scholar] [CrossRef] [PubMed]
- Calò, P.G.; Tatti, A.; Medas, F.; Petruzzo, P.; Pisano, G.; Nicolosi, A. Forgotten goiter. Our experience and a review of the literature. Ann. Ital. Chir. 2012, 83, 487–490. [Google Scholar]
- Zhao, H.; Chen, X.Y.; Wang, J.; Li, T.X.; Huang, P.X.; Du, D.X.; A-Min, B.H. Delayed infected hematoma in retrosternal area following total thyroidectomy: A case report. Ann. Med. Surg. 2024, 86, 4217–4221. [Google Scholar] [CrossRef] [PubMed]
- Parsa, A.A.; Gharib, H. Thyroid Nodules: Past, Present, and Future. Endocr. Pract. 2024; in press. [Google Scholar] [CrossRef]
- Menon, L.P.; Naqvi, S.; Maradana, J.; Edem, D. Recurrent Graves’ Disease Following Near-Total Thyroidectomy: A Case Report and Literature Review. Cureus 2024, 16, e52260. [Google Scholar] [CrossRef] [PubMed]
- Dolidze, D.D.; Shabunin, A.V.; Mumladze, R.B.; Vardanyan, A.V.; Covantsev, S.D.; Shulutko, A.M.; Semikov, V.I.; Isaev, K.M.; Kazaryan, A.M. A Narrative Review of Preventive Central Lymph Node Dissection in Patients with Papillary Thyroid Cancer—A Necessity or an Excess. Front. Oncol. 2022, 12, 906695. [Google Scholar] [CrossRef] [PubMed]
- Omry-Orbach, G. Risk Stratification in Differentiated Thyroid Cancer: An Ongoing Process. Rambam Maimonides Med. J. 2016, 7, e0003. [Google Scholar] [CrossRef]
- Haugen, B.R.; Alexander, E.K.; Bible, K.C.; Doherty, G.M.; Mandel, S.J.; Nikiforov, Y.E.; Pacini, F.; Randolph, G.W.; Sawka, A.M.; Schlumberger, M.; et al. 2015 American Thyroid Association Management Guidelines for Adult Patients with Thyroid Nodules and Differentiated Thyroid Cancer: The American Thyroid Association Guidelines Task Force on Thyroid Nodules and Differentiated Thyroid Cancer. Thyroid 2016, 26, 1–133. [Google Scholar] [CrossRef]
- Chiang, F.Y.; Wang, L.F.; Huang, Y.F.; Lee, K.W.; Kuo, W.R. Recurrent laryngeal nerve palsy after thyroidectomy with routine identification of the recurrent laryngeal nerve. Surgery 2005, 137, 342–347. [Google Scholar] [CrossRef]
- Dolidze, D.; Shabunin, A.; Vardanyan, A.; Melnik, K.; Covantsev, S. Prophylaxis of postoperative hypoparathyroidism in thyroid surgery. Folia Med. 2023, 65, 207–214. [Google Scholar] [CrossRef]







| Reference Number | First Author | Study Design | Studied Population | Outcome |
|---|---|---|---|---|
| [34] | Velayutham, P | nationwide survey (India) | 101 surgeons (respondents) | 45.5% of the respondents used intra-operative nerve monitoring in redo thyroidectomy |
| [37] | Haddadin, SW | retrospective study | 255 patients with thyroid surgery | rate of unilateral recurrent laryngeal nerve injury as follows:
|
| [42] | Dip, F | intercontinental, multidisciplinary, Delphi survey-based study | 10 international experts in fluorescence imaging during endocrine (thyroid and parathyroid) surgery | indocyanine green is particularly important in redo surgery |
| [43] | Dalcı, K | retrospective study | 25 patients with redo thyroidectomy (20/25) and parathyroidectomy (5/25) | radionuclide occult lesion localisation offered mean operative time of 100.6 min thyroglobulin decrease (p < 0.05) |
| [47] | Edafe, O | retrospective study | 1913 patients who underwent thyroid and parathyroid surgery | 1.3% = risk of redo operation due to post-operatory bleeding |
| [48] | Abboud, B | retrospective study | 4153 patients with redo thyroidectomy | haematoma rate: 4% following redo completion thyroidectomy or recurrent thyroid disease |
| [49] | Doran, HE | retrospective study | 52838 patients from UK Registry of Endocrine and Thyroid Surgery | 1.2% rate of redo intervention for post-operatory bleeding |
| [59] | Oh, MY | retrospective study | 10 patients who underwent redo TORT | Initial versus redo TORT:
|
| [66] | Kim, DG | retrospective study | 65 patients with trans-axillary robotic approach (redo) for recurrent thyroid cancer:
|
|
| [68] | Doval, AF | cost analysis | 22,521 patients who underwent thyroidectomy from National Surgical Quality Improvement Program database | median dollars per minute in primary versus redo thyroidectomy: $4.97 versus $8.12 (p < 0.0001) |
Disclaimer/Publisher’s Note: The statements, opinions and data contained in all publications are solely those of the individual author(s) and contributor(s) and not of MDPI and/or the editor(s). MDPI and/or the editor(s) disclaim responsibility for any injury to people or property resulting from any ideas, methods, instructions or products referred to in the content. |
© 2024 by the authors. Licensee MDPI, Basel, Switzerland. This article is an open access article distributed under the terms and conditions of the Creative Commons Attribution (CC BY) license (https://creativecommons.org/licenses/by/4.0/).
Share and Cite
Suveica, L.; Sima, O.-C.; Ciobica, M.-L.; Nistor, C.; Cucu, A.-P.; Costachescu, M.; Ciuche, A.; Nistor, T.V.I.; Carsote, M. Redo Thyroidectomy: Updated Insights. J. Clin. Med. 2024, 13, 5347. https://doi.org/10.3390/jcm13185347
Suveica L, Sima O-C, Ciobica M-L, Nistor C, Cucu A-P, Costachescu M, Ciuche A, Nistor TVI, Carsote M. Redo Thyroidectomy: Updated Insights. Journal of Clinical Medicine. 2024; 13(18):5347. https://doi.org/10.3390/jcm13185347
Chicago/Turabian StyleSuveica, Luminita, Oana-Claudia Sima, Mihai-Lucian Ciobica, Claudiu Nistor, Anca-Pati Cucu, Mihai Costachescu, Adrian Ciuche, Tiberiu Vasile Ioan Nistor, and Mara Carsote. 2024. "Redo Thyroidectomy: Updated Insights" Journal of Clinical Medicine 13, no. 18: 5347. https://doi.org/10.3390/jcm13185347
APA StyleSuveica, L., Sima, O.-C., Ciobica, M.-L., Nistor, C., Cucu, A.-P., Costachescu, M., Ciuche, A., Nistor, T. V. I., & Carsote, M. (2024). Redo Thyroidectomy: Updated Insights. Journal of Clinical Medicine, 13(18), 5347. https://doi.org/10.3390/jcm13185347

