Coronary Artery Aneurysms: A Clinical Case Report and Literature Review Supporting Therapeutic Choices
Abstract
1. Introduction
1.1. Definition and Classification of Coronary Artery Aneurysms
1.2. Risk Factors
1.3. Clinical Presentation
1.4. Diagnostic Skills
1.5. Treatment
1.6. CAAs in Kawasaki Disease
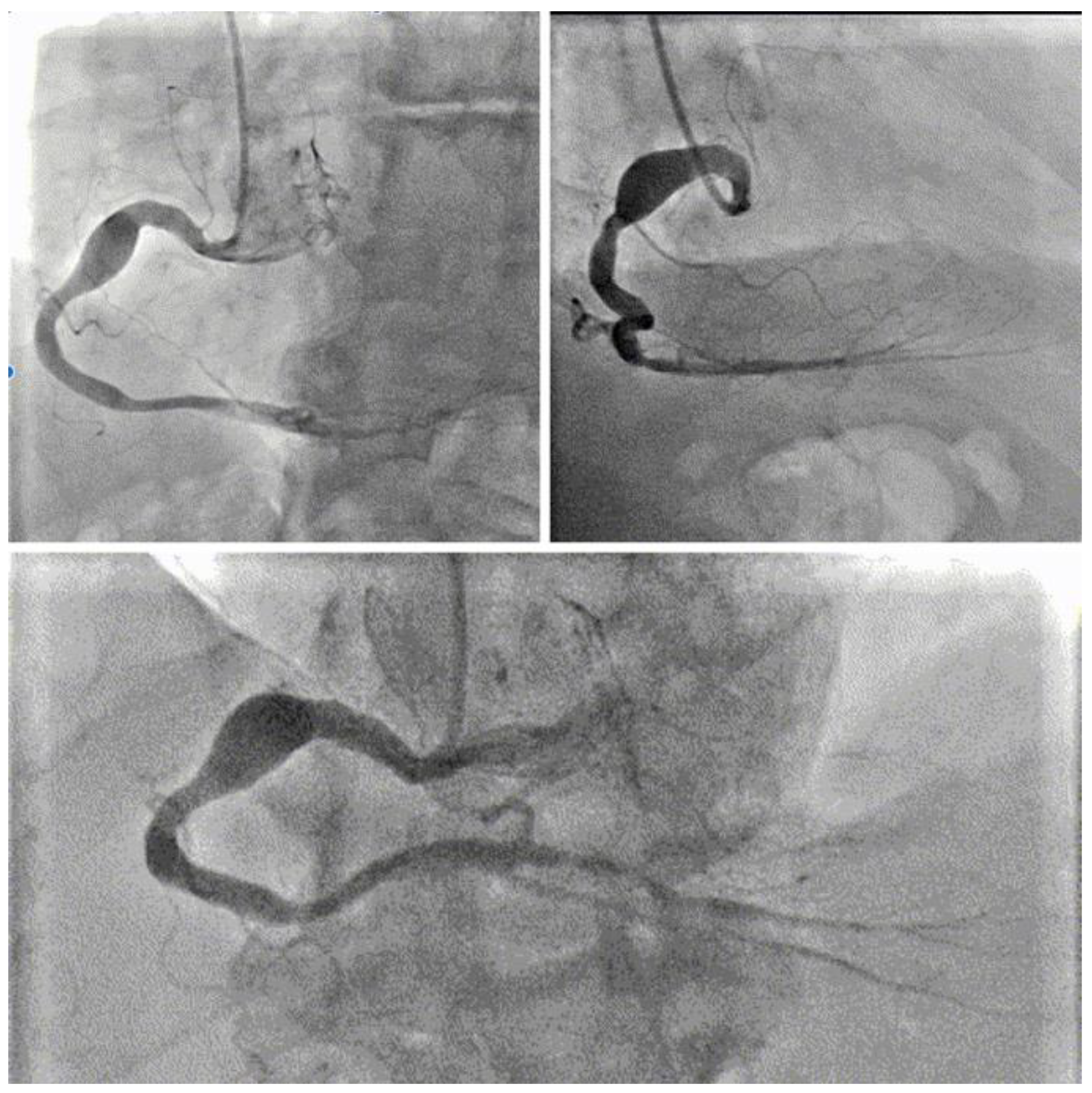
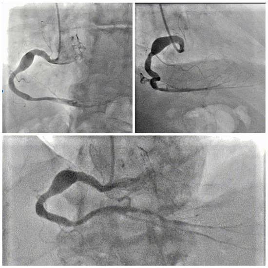
2. Clinical Case Presentation
2.1. Medical History
2.2. Examinations
2.3. Management
3. Conclusions
Author Contributions
Funding
Conflicts of Interest
References
- Li, D.; Wu, Q.; Sun, L.; Song, Y.; Wang, W.; Pan, S.; Luo, G.; Liu, Y.; Qi, Z.; Tao, T.; et al. Surgical treatment of giant coronary artery aneurysm. J. Thorac. Cardiovasc. Surg. 2005, 130, 817–821. [Google Scholar] [CrossRef]
- Morita, H.; Ozawa, H.; Yamazaki, S.; Yamauchi, Y.; Tsuji, M.; Katsumata, T.; Ishizaka, N. A case of giant coronary artery aneurysm with fistulous connection to the pulmonary artery: A case report and review of the literature. Intern. Med. 2012, 51, 1361–1366. [Google Scholar] [CrossRef] [PubMed]
- Waye, P.S.; Fisher, L.D.; Litwin, P.; A Vignola, P.; Judkins, M.P.; Kemp, H.G.; Mudd, J.G.; Gosselin, A.J. Aneurysmal coronary artery disease. Circulation 1983, 67, e134–e138. [Google Scholar]
- Núñez-Gil, I.J.; Nombela-Franco, L.; Bagur, R.; Bollati, M.; Cerrato, E.; Alfonso, E.; Liebetrau, C.; De la Torre Hernandez, J.M.; Camacho, B.; Mila, R.; et al. Rationale and design of a multicenter, international and collaborative Coronary Artery Aneurysm Reg-istry (CAAR). Clin. Cardiol. 2017, 40, e580–e585. [Google Scholar] [CrossRef] [PubMed]
- Newburger, J.W.; Takahashi, M.; Gerber, M.A.; Gewitz, M.H.; Tani, L.Y.; Burns, J.C.; Shulman, S.T.; Bolger, A.F.; Ferrieri, P.; Baltimore, R.S.; et al. Diagnosis, Treatment, and Long-Term Management of Kawasaki Disease: A Scientific Statement for Health Professionals From the American Heart Association. Circulation 2017, 135, e927–e999. [Google Scholar]
- Befeler, B.; Aranda, J.M.; Embi, A.; Mullin, F.L.; El-Sherif, N.; Lazzara, R. Coronary artery aneurysms. Study of their etiology, clinical course and effect on left ventricular function and prognosis. Am. J. Med. 1977, 62, e597–e607. [Google Scholar] [CrossRef]
- Abou Sherif, S.; Ozden Tok, O.; Taşköylü, Ö.; Goktekin, O.; Kilic, I.D. Coronary Artery Aneurysms: A Review of the Epidemiology, Pathophysiology, Diagnosis, and Treatment. Front. Cardiovasc. Med. 2017, 4, 24. [Google Scholar] [CrossRef]
- Kawsara, A.; Núñez Gil, I.J.; Alqahtani, F.; Moreland, J.; Rihal, C.S.; Alkhouli, M. Management of coronary artery aneurysms. JACC Cardiovasc. Interv. 2018, 11, e1211–e1223. [Google Scholar] [CrossRef]
- Cohen, P.; O’Gara, P.T. Coronary artery aneurysms: A review of the natural history, pathophysiology, and management. Cardiol. Rev. 2008, 16, e301–e304. [Google Scholar] [CrossRef]
- Lamblin, N.; Bauters, C.; Hermant, X.; Lablanche, J.M.; Helbecque, N.; Amouyel, P. Polymorphisms in the promoter regions of MMP-2, MMP-3, MMP-9 and MMP-12 genes as determinants of aneurys-mal coronary artery disease. J. Am. Coll. Cardiol. 2002, 40, 43–48. [Google Scholar] [CrossRef]
- Aoki, J.; Kirtane, A.; Leon, M.B.; Dangas, G. Coronary artery aneurysms after drug-eluting stent implantation. JACC Cardiovasc. Interv 2008, 1, 14–21. [Google Scholar] [CrossRef] [PubMed]
- Kim, U.; Seol, S.H.; Kim, D.I.; Kim, D.K.; Jang, J.S.; Yang, T.H.; Kim, D.K.; Kim, D.S.; Min, H.K.; Choi, K.J. Clinical outcomes and the risk factors of coronary artery aneurysms that developed after drug-eluting stent implantation. Circ. J. 2011, 75, 861–867. [Google Scholar] [CrossRef]
- Fujino, Y.; Attizzani, G.F.; Nakamura, S.; Costa, M.A.; Bezerra, H.G. Coronary artery aneurysms after sirolimus-eluting stent implantation: Multimodality imaging evaluation. JACC Cardiovasc. Interv. 2013, 6, 423–424. [Google Scholar] [CrossRef] [PubMed]
- Vassilev, D.; Hazan, M.; Dean, L. Aneurysm formation after drug-eluting balloon treatment of drug-eluting in-stent restenosis: First case report. Catheter Cardiovasc. Interv. 2012, 80, 1223–1226. [Google Scholar] [CrossRef] [PubMed]
- Gargiulo, G.; Mangiameli, A.; Granata, F.; Ohno, Y.; Chisari, A.; Capodanno, D.; Tamburino, C.; La Manna, A. New-onset coronary aneurism and late-acquired incomplete scaffold apposition after full polymer jacket of a chronic total occlusion with bioresorbable scaffolds. JACC Cardiovasc. Interv. 2015, 8, e41–e43. [Google Scholar] [CrossRef]
- Cereda, A.F.; Canova, P.A.; Oreglia, J.A.; Soriano, F.S. Coronary Artery Aneurysm After Bioresorbable Scaffold Implantation in a Woman With an Acute Coronary Syndrome. J. Invasive Cardiol. 2017, 29, E77–E78. [Google Scholar]
- Fabbiocchi, F.; Calligaris, G.; Bartorelli, A.L. Progressive growth of coronary aneurysms after bioresorbable vascular scaffold implantation: Successful treatment with OCT-guided exclusion using covered stents. Catheter Cardiovasc. Interv. 2021, 97, E676–E679. [Google Scholar] [CrossRef]
- Fabbiocchi, F.; Calligaris, G.; Bartorelli, A.L. Coronary evaginations and peri-scaffold aneurysms following implantation of bioresorbable scaffolds: Incidence, outcome, and optical coherence tomography analysis of possible mechanisms. Eur. Heart J. 2016, 37, 2040–2049. [Google Scholar]
- Chua, S.K.; Cheng, J.J. Coronary artery aneurysm after implantation of a bioresorbable vascular scaffold: Case report and literature review. Catheter Cardiovasc. Interv. 2017, 90, E41–E45. [Google Scholar] [CrossRef]
- Patel, A.; Nazif, T.; Stone, G.W.; Ali, Z.A. Intraluminal bioresorbable vascular scaffold dismantling with aneurysm formation leading to very late thrombosis. Catheter Cardiovasc. Interv. 2015, 86, 678–681. [Google Scholar] [CrossRef]
- Şerban, R.; Scridon, A.; Dobreanu, D.; Elkaholut, A. Coronary artery aneurysm formation within everolimus-eluting bioresorbable stent. Int. J. Cardiol. 2014, 177, e4–e5. [Google Scholar] [CrossRef] [PubMed]
- Şerban, R.; Scridon, A.; Dobreanu, D.; Elkaholut, A. Coronary Artery Aneurysm: Evaluation, Prognosis, and Proposed Treatment Strategies. Heart Views 2019, 20, e101–e108. [Google Scholar]
- Chrissoheris, M.P.; Donohue, T.J.; Young, R.S.; Ghantous, A. Coronary artery aneurysms. Cardiol. Rev. 2008, 16, e116–e123. [Google Scholar] [CrossRef]
- Krüger, D.; Stierle, U.; Herrmann, G.; Simon, R.; Sheikhzadeh, A. Exercise-induced myocardial ischemia in isolated coronary artery ectasias and aneurysms (“dilated coronopathy”). J. Am. Coll. Cardiol. 1999, 34, e1461–e1470. [Google Scholar] [CrossRef] [PubMed]
- Núñez-Gil, I.J.; Cerrato, E.; Bollati, M.; Nombela-Franco, L.; Terol, B.; Alfonso-Rodríguez, E.; Freire, S.J.C.; Villablanca, P.A.; Santos, I.J.A.; de la Torre Hernández, J.M.; et al. CAAR investigators. Coronary artery aneurysms, insights from the international coronary artery aneurysm registry (CAAR). Int. J. Cardiol. 2020, 299, 49–55. [Google Scholar] [CrossRef]
- Pavani, M.; Cerrato, E.; Latib, A.; Ryan, N.; Calcagno, S.; Rolfo, C.; Ugo, F.; Ielasi, A.; Escaned, J.; Tespili, M. Acute and long-term outcomes after polytetrafluoroethylene or pericardium covered stenting for grade 3 coronary artery perforations: Insights from G3-CAP registry. Catheter Cardiovasc. Interv. 2018, 92, 1247–1255. [Google Scholar] [CrossRef]
- LaMotte, L.C.; Mathur, V.S. Atherosclerotic coronary artery aneurysms: Eight-year angiographic follow-up. Tex. Heart Inst. J. 2000, 27, e72–e73. [Google Scholar]
- Maehara, A.; Mintz, G.S.; Ahmed, J.M.; Fuchs, S.; Castagna, M.T.; Pichard, A.D.; Satler, L.F.; Waksman, R.; O Suddath, W.; Kent, K.M.; et al. An intravascular ultrasound classification of angiographic coronary artery aneurysms. Am. J. Cardiol. 2001, 88, e365–e370. [Google Scholar] [CrossRef]
- Fathelbab, H.; Freire, S.J.C.; Jiménez, J.L.; Piris, R.C.; Menchero, A.E.G.; Garrido, J.R.; Fernández, J.F.D. Detection of spontaneous coronary artery spasm with optical coherence tomography in a patient with acute coronary syndrome. Cardiovasc. Revascularization Med. 2017, 18, e7–e9. [Google Scholar] [CrossRef]
- Murthy, P.A.; Mohammed, T.L.; Read, K.; Gilkeson, R.C.; White, C.S. MDCT of coronary artery aneurysms. AJR Am. J. Roentgenol. 2005, 184 (Suppl. S3), S19–S20. [Google Scholar] [CrossRef]
- Núñez-Gil, I.J.; Terol, B.; Feltes, G.; Nombela-Franco, L.; Salinas, P.; Escaned, J.; Jiménez-Quevedo, P.; Gonzalo, N.; Vivas, D.; Bautista, D.; et al. Coronary aneurysms in the acute patient: Incidence, characterization and long-term management results. Cardiovasc. Revasc. Med. 2018, 19, 589–596. [Google Scholar] [CrossRef]
- D’Ascenzo, F.; Saglietto, A.; Ramakrishna, H.; Andreis, A.; Jiménez-Mazuecos, J.M.; Nombela-Franco, L.; Cerrato, E.; Liebetrau, C.; Alfonso-Rodríguez, E.; Bagur, R.; et al. CAAR Investigators. Usefulness of oral anticoagulation in patients with coronary aneurysms: Insights from the CAAR registry. Catheter Cardiovasc. Interv. 2021, 98, 864–871. [Google Scholar] [CrossRef] [PubMed]
- Khubber, S.; Chana, R.; Meenakshisundaram, C.; Dhaliwal, K.; Gad, M.; Kaur, M.; Banerjee, K.; Verma, B.R.; Shekhar, S.; Khan, M.Z.; et al. Coronary artery aneurysms: Outcomes following medical, percutaneous interventional and surgical management. Open Heart 2021, 8, e001440. [Google Scholar] [CrossRef] [PubMed]
- Joo, H.J.; Yu, C.W.; Choi, R.; Park, J.; Lee, H.J.; Kim, J.S.; Choi, Y.J.; Park, J.H.; Hong, S.J.; Lim, D.S. Clinical outcomes of patients with coronary artery aneurysm after the first generation drug-eluting stent implantation. Cathet Cardiovasc. Interv. 2018, 92, E235–E245. [Google Scholar] [CrossRef]
- Bhoopalan, K.; Rajendran, R.; Alagarsamy, S.; Kesavamoorthy, N. Successful extraction of refractory thrombus from an ectasic coronary artery using stent retriever during primary angioplasty for acute myocardial infarction: A case report. Eur. Heart J. Case Rep. 2019, 3, yty161. [Google Scholar]
- Warisawa, T.; Naganuma, T.; Nakumura, S.; Hartmann, M.; Stoel, M.G.; Louwerenburg, J.H.W.; Basalus, M.W.; Von Birgelen, C.; Koo, B.K. How should I treat multiple coronary aneurysms with severe stenoses? EuroIntervention 2015, 11, 843–846. [Google Scholar] [CrossRef] [PubMed]
- Barioli, A.; Pellizzari, N.; Favero, L.; Cernetti, C. Unconventional treatment of a giant coronary aneurysm presenting as ST-elevation myocardial infarction: A case report. Eur. Heart J. Case Rep. 2021, 5, ytab385. [Google Scholar] [CrossRef]
- De Hous, N.; Haine, S.; Oortman, R.; Laga, S. Alternative approach for the surgical treatment of left main coronary artery aneurysm. Ann Thorac Surg 2019, 108, e91–e93. [Google Scholar] [CrossRef] [PubMed]
- Burns, J.C.; Glode, M.P.; Clarke, S.H.; Wiggins, J., Jr.; Hathaway, W.E. Coagulopathy and platelet activation in Kawasaki syndrome: Identification of patients at high risk for development of coronary artery aneurysms. J. Pediatr. 1984, 105, 206–211. [Google Scholar] [CrossRef]
- Franco, A.; Shimizu, C.; Tremoulet, A.H.; Burns, J.C. Memory Tcells and characterization of peripheral T-cell clones in acute Kawasaki disease. Autoimmunity 2010, 43, 317–324. [Google Scholar] [CrossRef]
- Rowley, A.H.; Baker, S.C.; Shulman, S.T.; Garcia, F.L.; Fox, L.M.; Kos, I.M.; Crawford, S.E.; Russo, P.A.; Hammadeh, R.; Takahashi, K.; et al. RNA-containing cytoplasmic inclusion bodies in ciliated bronchial epithelium months to years after acute Kawasaki disease. PLoS ONE 2008, 3, e1582. [Google Scholar] [CrossRef] [PubMed]
- Rowley, A.H.; Baker, S.C.; Shulman, S.T.; Rand, K.H.; Tretiakova, M.S.; Perlman, E.J.; Garcia, F.L.; Tajuddin, N.F.; Fox, L.M.; Huang, J.H. Ultrastructural, immunofluorescence, and RNA evidence support the hypothesis of a “new” virus associated with Kawasaki disease. J. Infect. Dis. 2011, 203, 1021–1030. [Google Scholar] [CrossRef] [PubMed]
- Printz, B.F.; Sleeper, L.A.; Newburger, J.W.; Minich, L.L.; Bradley, T.; Cohen, M.S.; Frank, D.; Li, J.S.; Margossian, R.; Shirali, G.; et al. Noncoronary cardiac abnormalities are associated with coronary artery dilation and with laboratory inflammatory markers in acute Kawasaki disease. J. Am. Coll. Cardiol. 2011, 57, 86–92. [Google Scholar] [CrossRef] [PubMed]
- Muniz, J.C.; Dummer, K.; Gauvreau, K.; Colan, S.D.; Fulton, D.R.; Newburger, J.W. Coronary artery dimensions in febrile children without Kawasaki disease. Circ. Cardiovasc. Imaging 2013, 6, 239–244. [Google Scholar] [CrossRef]
- Bratincsak, A.; Reddy, V.D.; Purohit, P.J.; Tremoulet, A.H.; Molkara, D.P.; Frazer, J.R.; Dyar, D.; Bush, R.A.; Sim, J.Y.; Sang, N.; et al. Coronary artery dilation in acute Kawasaki disease and acute illnesses associated with fever. Pediatr. Infect. Dis J. 2012, 31, 924–926. [Google Scholar] [CrossRef]




Disclaimer/Publisher’s Note: The statements, opinions and data contained in all publications are solely those of the individual author(s) and contributor(s) and not of MDPI and/or the editor(s). MDPI and/or the editor(s) disclaim responsibility for any injury to people or property resulting from any ideas, methods, instructions or products referred to in the content. |
© 2024 by the authors. Licensee MDPI, Basel, Switzerland. This article is an open access article distributed under the terms and conditions of the Creative Commons Attribution (CC BY) license (https://creativecommons.org/licenses/by/4.0/).
Share and Cite
Sannino, M.; Nicolai, M.; Infusino, F.; Giulio, L.; Usai, T.L.; Biscotti, G.; Azzarri, A.; De Angelis D’Ossat, M.; Calcagno, S.; Calcagno, S. Coronary Artery Aneurysms: A Clinical Case Report and Literature Review Supporting Therapeutic Choices. J. Clin. Med. 2024, 13, 5348. https://doi.org/10.3390/jcm13185348
Sannino M, Nicolai M, Infusino F, Giulio L, Usai TL, Biscotti G, Azzarri A, De Angelis D’Ossat M, Calcagno S, Calcagno S. Coronary Artery Aneurysms: A Clinical Case Report and Literature Review Supporting Therapeutic Choices. Journal of Clinical Medicine. 2024; 13(18):5348. https://doi.org/10.3390/jcm13185348
Chicago/Turabian StyleSannino, Michele, Matteo Nicolai, Fabio Infusino, Luciani Giulio, Tommaso Leo Usai, Giovanni Biscotti, Alessandro Azzarri, Marina De Angelis D’Ossat, Sergio Calcagno, and Simone Calcagno. 2024. "Coronary Artery Aneurysms: A Clinical Case Report and Literature Review Supporting Therapeutic Choices" Journal of Clinical Medicine 13, no. 18: 5348. https://doi.org/10.3390/jcm13185348
APA StyleSannino, M., Nicolai, M., Infusino, F., Giulio, L., Usai, T. L., Biscotti, G., Azzarri, A., De Angelis D’Ossat, M., Calcagno, S., & Calcagno, S. (2024). Coronary Artery Aneurysms: A Clinical Case Report and Literature Review Supporting Therapeutic Choices. Journal of Clinical Medicine, 13(18), 5348. https://doi.org/10.3390/jcm13185348

