Successful Treatment of Cutaneous Squamous Cell Cancer with Cemiplimab—A Report of Two Cases Demonstrating the Management of Pseudoprogression and Adverse Events
Abstract
1. Introduction
2. Case Report
2.1. Case 1
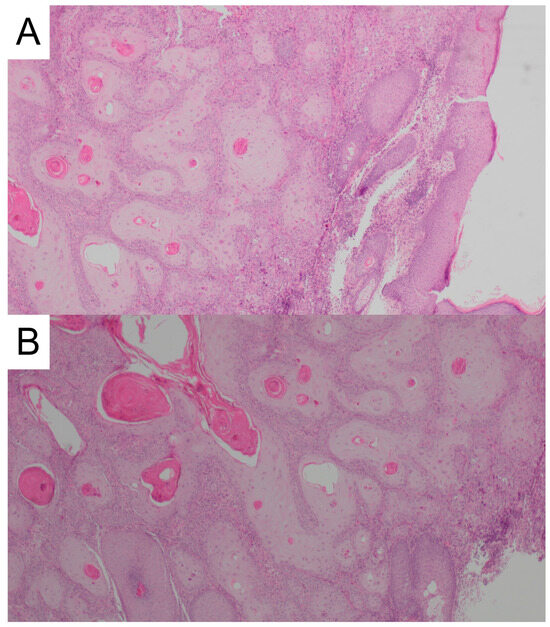
2.2. Case 2
3. Discussion
4. Conclusions
Author Contributions
Funding
Institutional Review Board Statement
Informed Consent Statement
Data Availability Statement
Conflicts of Interest
References
- Kocarnik, J.M.; Compton, K.; Dean, F.E.; Fu, W.; Gaw, B.L.; Harvey, J.D.; Henrikson, H.J.; Lu, D.; Pennini, A.; Xu, R.; et al. Cancer Incidence, Mortality, Years of Life Lost, Years Lived With Disability, and Disability-Adjusted Life Years for 29 Cancer Groups From 2010 to 2019: A Systematic Analysis for the Global Burden of Disease Study 2019. JAMA Oncol. 2022, 8, 420–444. [Google Scholar]
- Ciążyńska, M.; Kamińska-Winciorek, G.; Lange, D.; Lewandowski, B.; Reich, A.; Sławińska, M.; Pabianek, M.; Szczepaniak, K.; Hankiewicz, A.; Ułańska, M.; et al. The incidence and clinical analysis of non-melanoma skin cancer. Sci. Rep. 2021, 11, 4337. [Google Scholar] [CrossRef] [PubMed]
- Fania, L.; Didona, D.; Di Pietro, F.R.; Verkhovskaia, S.; Morese, R.; Paolino, G.; Donati, M.; Ricci, F.; Coco, V.; Ricci, F.; et al. Cutaneous Squamous Cell Carcinoma: From Pathophysiology to Novel Therapeutic Approaches. Biomedicines 2021, 9, 171. [Google Scholar] [CrossRef]
- National Cancer Institute. Common Terminology Criteria for Adverse Events (CTCAE). Version 5.0. Available online: https://ctep.cancer.gov/protocoldevelopment/electronic_applications/docs/CTCAE_v5_Quick_Reference_8.5x11.pdf (accessed on 1 June 2024).
- Thibult, M.L.; Mamessier, E.; Gertner-Dardenne, J.; Pastor, S.; Just-Landi, S.; Xerri, L.; Chetaille, B.; Olive, D. PD-1 is a novel regulator of human B-cell activation. Int. Immunol. 2013, 25, 129–137. [Google Scholar] [CrossRef] [PubMed]
- Lim, T.S.; Chew, V.; Sieow, J.L.; Goh, S.; Yeong, J.P.; Soon, A.L.; Ricciardi-Castagnoli, P. PD-1 expression on dendritic cells suppresses CD8. Oncoimmunology 2016, 5, e1085146. [Google Scholar] [CrossRef]
- Gordon, S.R.; Maute, R.L.; Dulken, B.W.; Hutter, G.; George, B.M.; McCracken, M.N.; Gupta, R.; Tsai, J.M.; Sinnha, R.; Corey, D.; et al. PD-1 expression by tumour-associated macrophages inhibits phagocytosis and tumour immunity. Nature 2017, 545, 495–499. [Google Scholar] [CrossRef]
- Qin, W.; Hu, L.; Zhang, X.; Jiang, S.; Li, J.; Zhang, Z.; Wang, X. The Diverse Function of PD-1/PD-L Pathway Beyond Cancer. Front. Immunol. 2019, 10, 2298. [Google Scholar] [CrossRef]
- National Comprehensive Cancer Network Squamous Cell Skin Cancer. Version 1. 2023. Available online: https://www.nccn.org/professionals/physician_gls/pdf/squamous.pdf (accessed on 13 June 2024).
- Grob, J.J.; Gonzalez, R.; Basset-Seguin, N.; Vornicova, O.; Schachter, J.; Joshi, A.; Meyer, N.; Grange, F.; Piulats, J.M.; Bauman, J.R.; et al. Pembrolizumab Monotherapy for Recurrent or Metastatic Cutaneous Squamous Cell Carcinoma: A Single-Arm Phase II Trial (KEYNOTE-629). J. Clin. Oncol. 2020, 38, 2916–2925. [Google Scholar] [CrossRef] [PubMed]
- Lang, R.; Welponer, T.; Richtig, E.; Wolf, I.; Hoeller, C.; Hafner, C.; Nguyen, V.A.; Kofler, J.; Barta, M.; Koelblinger, P.; et al. Nivolumab for locally advanced and metastatic cutaneous squamous cell carcinoma (NIVOSQUACS study)-Phase II data covering impact of concomitant haematological malignancies. J. Eur. Acad. Dermatol. Venereol. 2023, 37, 1799–1810. [Google Scholar] [CrossRef]
- Schmalbach, C.E.; Ow, T.J.; Choi, K.Y.; O’Leary, M.; Lin, A.; Hughley, B.B.; Emerick, K.S.; Moore, B.; Lee, N.Y.; Zandberg, D.P.; et al. American Head and Neck Society position statement on the use of PD-1 inhibitors for treatment of advanced cutaneous squamous cell carcinoma. Head Neck 2023, 45, 32–41. [Google Scholar] [CrossRef]
- Migden, M.R.; Rischin, D.; Schmults, C.D.; Guminski, A.; Hauschild, A.; Lewis, K.D.; Chung, C.H.; Hernandez-Aya, L.; Lim, A.M.; Chag, A.L.S.; et al. PD-1 Blockade with Cemiplimab in Advanced Cutaneous Squamous-Cell Carcinoma. N. Engl. J. Med. 2018, 379, 341–351. [Google Scholar] [CrossRef]
- Migden, M.R.; Khushalani, N.I.; Chang, A.L.S.; Lewis, K.D.; Schmults, C.D.; Hernandez-Aya, L.; Meier, F.; Schadendorf, F.; Guminski, A.; Hauschild, A.; et al. Cemiplimab in locally advanced cutaneous squamous cell carcinoma: Results from an open-label, phase 2, single-arm trial. Lancet Oncol. 2020, 21, 294–305. [Google Scholar] [CrossRef]
- Migden, M.R.; Schmults, C.; Khushanlani, N.; Guminski, A.; Chang, A.L.; Lewis, K.; Ansstas, G.; Bowyer, S.E.; Hughes, B.G.M.; Schadendorf, F.; et al. Phase II study of cemiplimab in patients with advanced cutaneous squamous cell carcinoma (CSCC): Final analysis from EMPOWER-CSCC-1 groups 1, 2 and 3. Ann. Oncol. 2022, 33, S918–S919. [Google Scholar] [CrossRef]
- Champiat, S.; Lambotte, O.; Barreau, E.; Belkhir, R.; Berdelou, A.; Carbonnel, F.; Cauquil, C.; Chanson, P.; Collins, M.; Durrbach, A.; et al. Management of immune checkpoint blockade dysimmune toxicities: A collaborative position paper. Ann. Oncol. 2016, 27, 559–574. [Google Scholar] [CrossRef]
- Huang, Y.; Khan, F.; Saraiya, N.V.; Punjabi, O.S.; Gulati, V.; Erickson, A.R.; Yeh, S. Vogt-Koyanagi-Harada-like Syndrome Induced by Checkpoint Inhibitor Cemiplimab. J. Immunother. 2023, 46, 295–298. [Google Scholar] [CrossRef] [PubMed]
- Baggi, A.; Quaglino, P.; Rubatto, M.; Depenni, R.; Guida, M.; Ascierto, P.A.; Trojaniello, C.; Queirolo, P.; Saponara, M.; Peris, K.; et al. Real world data of cemiplimab in locally advanced and metastatic cutaneous squamous cell carcinoma. Eur. J. Cancer 2021, 157, 250–258. [Google Scholar] [CrossRef] [PubMed]
- McLean, L.S.; Lim, A.M.; Bressel, M.; Lee, J.; Ladwa, R.; Guminski, A.D.; Hughes, B.; Bowyer, S.; Briscoe, K.; Harris, S.; et al. Immune checkpoint inhibitor therapy for advanced cutaneous squamous cell carcinoma in Australia: A retrospective real world cohort study. Med. J. Aust. 2024, 220, 80–90. [Google Scholar] [CrossRef] [PubMed]
- Eisenhauer, E.A.; Therasse, P.; Bogaerts, J.; Schwartz, L.H.; Sargent, D.; Ford, R.; Dancey, J.; Arbuck, S. New response evaluation criteria in solid tumours: Revised RECIST guideline (version 1.1). Eur. J. Cancer 2009, 45, 228–247. [Google Scholar] [CrossRef]
- Dromain, C.; Beigelman, C.; Pozzessere, C.; Duran, R.; Digklia, A. Imaging of tumour response to immunotherapy. Eur. Radiol. Exp. 2020, 4, 2. [Google Scholar] [CrossRef]
- Ito, K.; Kita, Y.; Yokomizo, A.; Miki, J.; Yoshio, Y.; Matsumoto, H.; Segawa, T.; Karashima, T.; Nishiyama, N.; Imai, K.; et al. Discontinuation of pembrolizumab for advanced urothelial carcinoma without disease progression: Nationwide cohort study. Cancer Med. 2023, 12, 2325–2332. [Google Scholar] [CrossRef]
- Chiou, V.L.; Burotto, M. Pseudoprogression and Immune-Related Response in Solid Tumors. J. Clin. Oncol. 2015, 33, 3541–3543. [Google Scholar] [CrossRef] [PubMed]
- Oliveira, L.J.C.; Gongora, A.B.L.; Barbosa, F.G.; Dos Anjos, C.H.; Munhoz, R.R. Atypical response with bone pseudoprogression in a patient receiving nivolumab for advanced cutaneous squamous cell carcinoma. J. Immunother. Cancer 2018, 6, 130. [Google Scholar] [CrossRef] [PubMed]
- Canueto, J.; Munoz-Couselo, E.; Cardona-Machado, C.; Becerril-Andres, S.; Martin-Vallejo, J.; Serra-Guillen, C.; Soria, A.; Serrano-Domingo, J.J.; Ortiz-Velez, C.; Lostes, J.; et al. Efficacy and safety of cemiplimab in the treatment of advanced cutaneous squamous cell carcinoma: A multicentre real-world retrospective study from Spain and systematic review of the published data. J. Eur. Acad. Dermatol. Venereol. 2024. ahead of print. [Google Scholar]
- Khelef, K.; Maubec, E.; Jeudy, G.; Bonniaud, B.; Pham-Ledard, A.; Herms, F.; Aubin, F.; Beneton, N.; Dinulescu, M.; Jannic, A.; et al. Duration of treatment with cemiplimab in advanced cutaneous squamous cell carcinoma in complete response: Real-life study. J. Eur. Acad. Dermatol. Venereol. 2023, 38, e71–e73. [Google Scholar] [CrossRef] [PubMed]
- Bailly-Caille, B.; Levard, R.; Kottler, D.; Dompmartin, A.; L’Orphelin, J.M. Long-term survival after anti-PD-1 discontinuation in advanced cutaneous squamous cell carcinoma (cSCC): A proof of concept of benefit of concomitant cemiplimab and radiotherapy. Cancer Immunol. Immunother. 2024, 73, 118. [Google Scholar] [CrossRef] [PubMed]
- Ferrarotto, R.; Amit, M.; Nagarajan, P.; Rubin, M.L.; Yuan, Y.; Bell, D.; El-Naggar, A.K.; Johnson, J.M.; Morrison, W.H.; Rosenthal, D.I.; et al. Pilot Phase II Trial of Neoadjuvant Immunotherapy in Locoregionally Advanced, Resectable Cutaneous Squamous Cell Carcinoma of the Head and Neck. Clin. Cancer Res. 2021, 27, 4557–4565. [Google Scholar] [CrossRef]
- Gross, N.D.; Miller, D.M.; Khushalani, N.I.; Divi, V.; Ruiz, E.S.; Lipson, E.J.; Meier, F.; Su, Y.B.; Swiecicki, P.L.; Atlas, J.; et al. Neoadjuvant cemiplimab and surgery for stage II-IV cutaneous squamous-cell carcinoma: Follow-up and survival outcomes of a single-arm, multicentre, phase 2 study. Lancet Oncol. 2023, 24, 1196–1205. [Google Scholar] [CrossRef]
- Geidel, G.; Adam, L.; Rünger, A.; Menz, A.; Kött, J.; Haalck, T.; Gebhardt, C. Neoadjuvant cemiplimab induces durable complete response in locally advanced cutaneous squamous cell carcinoma. J. Eur. Acad. Dermatol. Venereol. 2023, 37, e1414–e1416. [Google Scholar] [CrossRef]
- Hanna, G.J.; Dharanesswaran, H.; Giobbie-Hurder, A.; Harran, J.J.; Liao, Z.; Pai, L.; Tchekmedyian, V.; Ruiz, E.S.; Waldman, A.H.; Schmults, C.D.; et al. Cemiplimab for Kidney Transplant Recipients With Advanced Cutaneous Squamous Cell Carcinoma. J. Clin. Oncol. 2024, 42, 1021–1030. [Google Scholar] [CrossRef]
- Lewis, K.D.; Peris, K.; Sekulic, A.; Stratigos, A.J.; Dunn, L.; Eroglu, Z.; Chang, A.L.S.; Migden, M.R.; Yoo, S.-Y.; Mohan, K.; et al. Final analysis of phase II results with cemiplimab in metastatic basal cell carcinoma after hedgehog pathway inhibitors. Ann. Oncol. 2024, 35, 221–228. [Google Scholar] [CrossRef]
- Gambichler, T.; Stricker, I.; Neid, M.; Tannapfel, A.; Susok, L. Impressive response to four cemiplimab cycles of a sonidegib-resistant giant basosquamous carcinoma of the midface. J. Eur. Acad. Dermatol. Venereol. 2022, 36, e490–e492. [Google Scholar] [CrossRef] [PubMed]
- Proietti, I.; Filippi, L.; Tolino, E.; Bernardini, N.; Svara, F.; Trovato, F.; Di Claudio, C.; Petrozza, V.; Begni, O.; Vizzaccaro, A.; et al. Supraorbital Basosquamous Carcinoma Treated with Cemiplimab Followed by Sonidegib: A Case Report and Review of the Literature. Biomedicines 2023, 11, 2903. [Google Scholar] [CrossRef] [PubMed]
- Zelin, E.; Mazzoletti, V.; Cavallo, F.; Nardello, C.; Corio, A.; Toffoli, L.; Tagliaferri, L.; Conforti, C.; Di Meo, N.; Zalaudek, I. Treatment of locally advanced and metastatic basosquamous carcinoma, navigating among sonic hedgehog pathway inhibitors, immune checkpoint inhibitors, chemotherapy, and radiotherapy: A case series and literature review. Australas. J. Dermatol. 2024, 65, 103–113. [Google Scholar] [CrossRef] [PubMed]
- Colombo, E.; Gurizzan, C.; Ottini, A.; Caspani, F.; Bergamini, C.; Locati, L.D.; Marchiselli, C.; Alberti, A.; Lorini, L.; Licitra, L.F.; et al. The association of cemiplimab plus sonidegib for synchronous cutaneous squamous cell carcinoma and basal cell carcinoma of the head and neck: Two case reports. Front. Oncol. 2023, 13, 1111146. [Google Scholar] [CrossRef] [PubMed]
- Petitprez, F.; Meylan, M.; De Reyniès, A.; Sautès-Fridman, C.; Fridman, W.H. The Tumor Microenvironment in the Response to Immune Checkpoint Blockade Therapies. Front. Immunol. 2020, 11, 784. [Google Scholar] [CrossRef] [PubMed]
- Zou, D.D.; Sun, Y.Z.; Li, X.J.; Wu, W.J.; Xu, D.; He, Y.T.; Qi, J.; Tu, Y.; Tang, Y.; Tu, Y.-H.; et al. Single-cell sequencing highlights heterogeneity and malignant progression in actinic keratosis and cutaneous squamous cell carcinoma. eLife 2023, 12, e85270. [Google Scholar] [CrossRef] [PubMed]
- Li, X.; Zhao, S.; Bian, X.; Zhang, L.; Lu, L.; Pei, S.; Dong, L.; Shi, W.; Huang, L.; Zhang, X.; et al. Signatures of EMT, immunosuppression, and inflammation in primary and recurrent human cutaneous squamous cell carcinoma at single-cell resolution. Theranostics 2022, 12, 7532–7549. [Google Scholar] [CrossRef]
- Ksienski, D.; Truong, P.T.; Bone, J.N.; Egli, S.; Clarkson, M.; Patterson, T.; Lesperance, M.; Lakkunarajah, S. Advanced cutaneous squamous cell carcinoma: Impact of age on the safety and efficacy of cemiplimab and the prognostic significance of blood biomarkers. J. Geriatr. Oncol. 2024, 15, 101789. [Google Scholar] [CrossRef]






Disclaimer/Publisher’s Note: The statements, opinions and data contained in all publications are solely those of the individual author(s) and contributor(s) and not of MDPI and/or the editor(s). MDPI and/or the editor(s) disclaim responsibility for any injury to people or property resulting from any ideas, methods, instructions or products referred to in the content. |
© 2024 by the authors. Licensee MDPI, Basel, Switzerland. This article is an open access article distributed under the terms and conditions of the Creative Commons Attribution (CC BY) license (https://creativecommons.org/licenses/by/4.0/).
Share and Cite
Żukowska, P.; Ciepiela, K.; Kudrymska, A.; Kiełbowski, K.; Becht, R. Successful Treatment of Cutaneous Squamous Cell Cancer with Cemiplimab—A Report of Two Cases Demonstrating the Management of Pseudoprogression and Adverse Events. J. Clin. Med. 2024, 13, 4236. https://doi.org/10.3390/jcm13144236
Żukowska P, Ciepiela K, Kudrymska A, Kiełbowski K, Becht R. Successful Treatment of Cutaneous Squamous Cell Cancer with Cemiplimab—A Report of Two Cases Demonstrating the Management of Pseudoprogression and Adverse Events. Journal of Clinical Medicine. 2024; 13(14):4236. https://doi.org/10.3390/jcm13144236
Chicago/Turabian StyleŻukowska, Paulina, Katarzyna Ciepiela, Aleksandra Kudrymska, Kajetan Kiełbowski, and Rafał Becht. 2024. "Successful Treatment of Cutaneous Squamous Cell Cancer with Cemiplimab—A Report of Two Cases Demonstrating the Management of Pseudoprogression and Adverse Events" Journal of Clinical Medicine 13, no. 14: 4236. https://doi.org/10.3390/jcm13144236
APA StyleŻukowska, P., Ciepiela, K., Kudrymska, A., Kiełbowski, K., & Becht, R. (2024). Successful Treatment of Cutaneous Squamous Cell Cancer with Cemiplimab—A Report of Two Cases Demonstrating the Management of Pseudoprogression and Adverse Events. Journal of Clinical Medicine, 13(14), 4236. https://doi.org/10.3390/jcm13144236

