Severe Maxillary Protrusion Treated with Surgically Assisted Rapid Maxillary Expansion
Abstract
1. Introduction
2. Detailed Case Description
2.1. Treatment Objectives
- Expansion of the maxillary arch by 8.0 mm bilaterally with SARME.
- Miniscrew-assisted distalization of 5.0 mm on the right and 6.0 mm on the left maxillary dentitions.
- Miniscrew-assisted distalization of 1.0 mm on the right and 4.0 mm on the left mandibular dentitions.
2.2. Treatment Alternatives
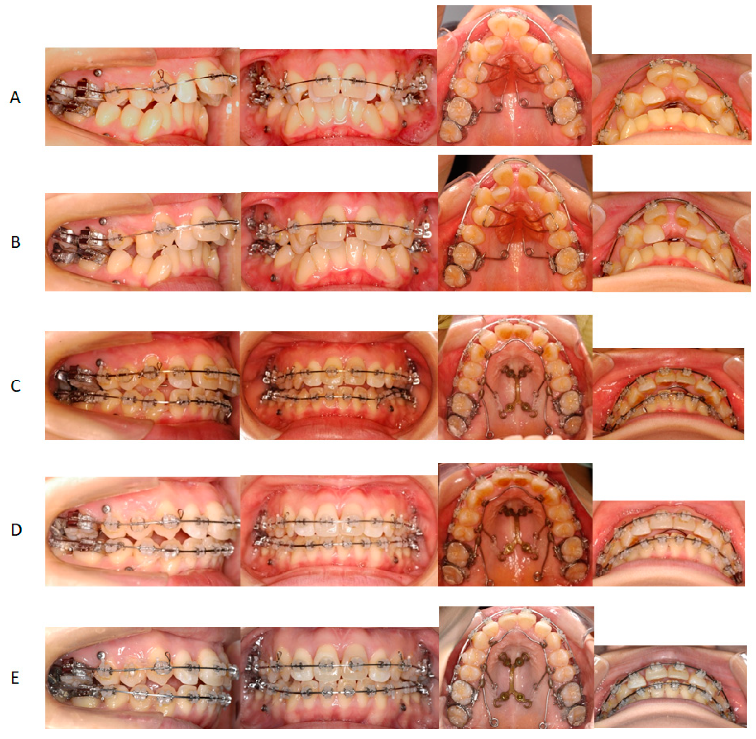
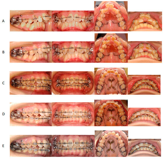
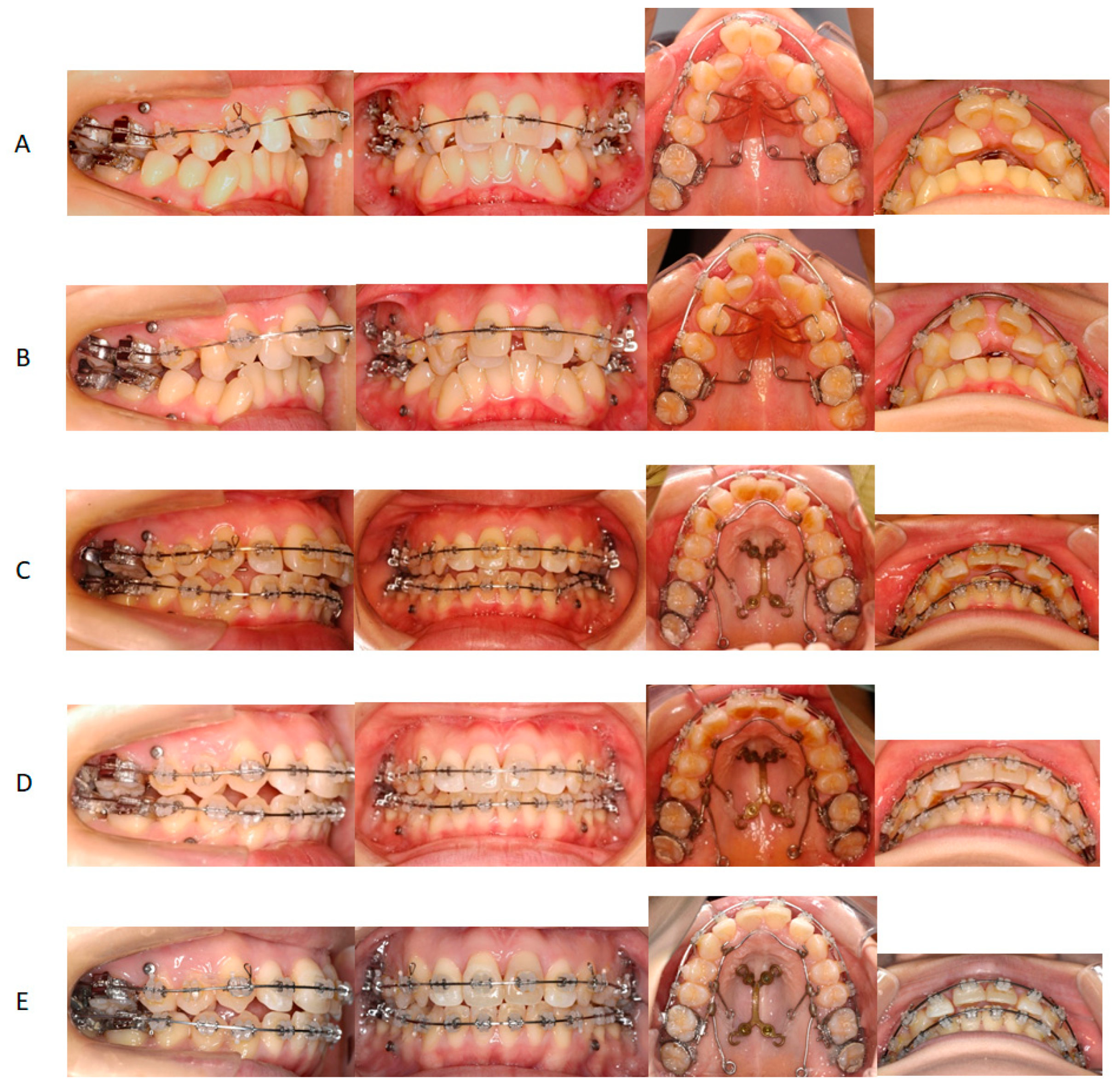
2.3. Treatment Progress
2.4. Treatment Results
3. Discussion
4. Conclusions
Author Contributions
Funding
Institutional Review Board Statement
Informed Consent Statement
Data Availability Statement
Conflicts of Interest
References
- Baccetti, T.; Franchi, L.; Cameron, C.G.; McNamara, J.A., Jr. Treatment timing for rapid maxillary expansion. Angle Orthod. 2001, 71, 343–350. [Google Scholar]
- Altieri, F.; Cassetta, M. The impact of tooth-borne vs computer-guided bone-borne rapid maxillary expansion on pain and oral health-related quality of life: A parallel cohort study. Am. J. Orthod. Dentofac. Orthop. 2020, 158, e83–e90. [Google Scholar] [CrossRef] [PubMed]
- Kurol, J.; Berglund, L. Longitudinal study and cost-benefit analysis of the effect of early treatment of posterior cross-bites in the primary dentition. Eur. J. Orthod. 1992, 14, 173–179. [Google Scholar] [CrossRef] [PubMed]
- Ugolini, A.; Agostino, P.; Silvestrini-Biavati, A.; Harrison, J.E.; Batista, K.B. Orthodontic treatment for posterior crossbites. Cochrane Database Syst. Rev. 2021, 12, CD000979. [Google Scholar] [PubMed]
- Kokich, V.G. Age changes in the human frontozygomatic suture from 20 to 95 years. Am. J. Orthod. 1976, 69, 411–430. [Google Scholar] [CrossRef] [PubMed]
- Garib, D.G.; Henriques, J.F.; Janson, G.; de Freitas, M.R.; Fernandes, A.Y. Periodontal effects of rapid maxillary expansion with tooth-tissue-borne and tooth-borne expanders: A computed tomography evaluation. Am. J. Orthod. Dentofac. Orthop. 2006, 129, 749–758. [Google Scholar] [CrossRef] [PubMed]
- Carvalho, P.H.A.; Moura, L.B.; Trento, G.S.; Holzinger, D.; Gabrielli, M.A.C.; Gabrielli, M.F.R.; Pereira Filho, V.A. Surgically assisted rapid maxillary expansion: A systematic review of complications. Int. J. Oral Maxillofac. Surg. 2020, 49, 325–332. [Google Scholar] [CrossRef] [PubMed]
- Salmoria, I.; de Souza, E.C.; Furtado, A.; Franzini, C.M.; Custodio, W. Dentoskeletal changes and their correlations after micro-implant-assisted palatal expansion (MARPE) in adults with advanced midpalatal suture ossification. Clin. Oral Investig. 2022, 26, 3021–3031. [Google Scholar] [CrossRef] [PubMed]
- André, C.B.; Rino-Neto, J.; Iared, W.; Pasqua, B.P.M.; Nascimento, F.D. Stress distribution and displacement of three different types of micro-implant assisted rapid maxillary expansion (MARME): A three-dimensional finite element study. Prog. Orthod. 2021, 22, 20. [Google Scholar] [CrossRef]
- Moon, H.W.; Kim, M.J.; Ahn, H.W.; Kim, S.J.; Kim, S.H.; Chung, K.R.; Nelson, G. Molar inclination and surrounding alveolar bone change relative to the design of bone-borne maxillary expanders: A CBCT study. Angle Orthod. 2020, 90, 13–22. [Google Scholar] [CrossRef]
- Koudstaal, M.J.; Poort, L.J.; van der Wal, K.G.; Wolvius, E.B.; Prahl-Andersen, B.; Schulten, A.J. Surgically assisted rapid maxillary expansion (SARME): A review of the literature. Int. J. Oral Maxillofac. Surg. 2005, 34, 709–714. [Google Scholar] [CrossRef] [PubMed]
- Shioyasono, R.; Shioyasono, A.; Ito, A.; Yoshinaga, K.; Kinjo, S.; Watanabe, K.; Hiasa, M.; Takamaru, N.; Tanaka, E. A patient with unilateral posterior crossbite treated with modified unilateral surgically-assisted rapid maxillary expansion. AJO-DO Clin. Companion 2023, 3, 149–162. [Google Scholar] [CrossRef]
- Hassan, A.H.; AlGhamdi, A.T.; Al-Fraidi, A.A.; Al-Hubail, A.; Hajrassy, M.K. Unilateral cross bite treated by corticotomy-assisted expansion: Two case reports. Head Face Med. 2010, 6, 6. [Google Scholar] [CrossRef] [PubMed]
- Landes, C.A.; Laudemann, K.; Petruchin, O.; Revilla, C.; Seitz, O.; Kopp, S.; Ludwig, B.; Sader, R.A. Advantages and limits of 3-segment (paramedian) versus 2-segment (median) surgically assisted rapid maxillary expansion (SARME). Oral Surg. Oral Med. Oral Pathol. Oral Radiol. 2012, 113, 29–40. [Google Scholar] [CrossRef] [PubMed]
- Anttila, A.; Finne, K.; Keski-Nisula, K.; Somppi, M.; Panula, K.; Peltomäki, T. Feasibility and long-term stability of surgically assisted rapid maxillary expansion with lateral osteotomy. Eur. J. Orthod. 2004, 26, 391–395. [Google Scholar] [CrossRef] [PubMed]
- Goddard, R.; Witherow, H. Surgically assisted rapid palatal expansion (SARPE). Br. J. Oral Maxillofac. Surg. 2011, 49, 65–66. [Google Scholar] [CrossRef] [PubMed]
- Magnusson, A.; Bjerklin, K.; Nilsson, P.; Marcusson, A. Surgically assisted rapid maxillary expansion: Long-term stability. Eur. J. Orthod. 2009, 31, 142–149. [Google Scholar] [CrossRef] [PubMed]
- Kobayashi, M.; Fushima, K. Orthodontic skeletal anchorage using a palatal external plate. J. Orthod. 2014, 41, 53–62. [Google Scholar] [CrossRef] [PubMed]
- Okuhashi, S.; Papademetriou, M.; Tai, K.; Park, J.H. Anchor-lock system double-y for post-sarpe retention and simultaneous molar distalization. J. Clin. Orthod. 2023, 57, 110–118. [Google Scholar]
- Otsubo, J. A study of the tooth material in Japanese adults of normal occlusion, its relationship to coronal and basal arches. J. Jpn. Orthod. Soc. 1957, 16, 36–46. [Google Scholar]
- Wada, K.; Matsushita, K.; Shimazaki, S.; Miwa, Y.; Hasuike, Y.; Susami, R. An evaluation of a new case analysis of a lateral cephalometric roentgenogram. J. Kanazawa Med. Univ. 1981, 6, 60–70. [Google Scholar]
- Lanigan, D.T.; Mintz, S.M. Complications of surgically assisted rapid palatal expansion: Review of the literature and report of a case. J. Oral Maxillofac. Surg. 2002, 60, 104–110. [Google Scholar] [CrossRef] [PubMed]
- Hichijo, N.; Furutani, M.; Kuroda, S.; Tanaka, E. Excessive gingival display treated with 2-piece segmental Le Fort I osteotomy: A case report. J. Am. Dent. Assoc. 2019, 150, 58–68. [Google Scholar] [CrossRef]
- Hellal, U.S.; Fayed, N.; Elsharkawy, R.; Abdelrahmen, M. Rapid anterior segmental maxillary retraction by compression osteogenesis. J. Craniofacial Surg. 2018, 29, 315–321. [Google Scholar] [CrossRef] [PubMed]
- Franca, B.J.; Moscardini, M.S. Surgically-assisted rapid maxillary expansion (SARME): Indications, planning and treatment of severe maxillary deficiency in an adult patient. Dent. Press J. Orthod. 2020, 25, 73–84. [Google Scholar]
- Gamage, S.N.; Goss, A.N. Surgically-assisted rapid maxillary expansion of narrowed maxillae: A case-cohort study. Australas. Orthod. J. 2013, 29, 21–27. [Google Scholar] [CrossRef]
- Naoum, S.; Goonewardene, M.; Abbott, P.V.; Karunanayake, K.; Budgeon, C. Changes in pulp blood flow and pulp sensitivity resulting from surgically assisted rapid maxillary expansion: A clinical study. Am. J. Orthod. Dentofac. Orthop. 2019, 155, 632–641. [Google Scholar] [CrossRef]
- Smeets, M.; Da Costa Senior, O.; Eman, S.; Politis, C. A retrospective analysis of the complication rate after SARPE in 111 cases, and its relationship to patient age at surgery. J. Craniomaxillofac. Surg. 2020, 48, 467–471. [Google Scholar] [CrossRef]
- de Andrade Vieira, W.; Oliveira, M.B.; Machado, L.S.; Cericato, G.O.; Lima, I.F.P.; Paranhos, L.R. Pulp changes from rapid maxillary expansion: A systematic review. Orthod. Craniofacial Res. 2022, 25, 320–335. [Google Scholar] [CrossRef] [PubMed]
- Jensen, T.; Johannesen, L.H.; Rodrigo-Domingo, M. Periodontal changes after surgically assisted rapid maxillary expansion (SARME). Oral Maxillofac. Surg. 2015, 19, 381–386. [Google Scholar] [CrossRef][Green Version]
- Soheilifar, S.; Mohebi, S.; Ameli, N. Maxillary molar distalization using conventional versus skeletal anchorage devices: A systematic review and meta-analysis. Int. Orthod. 2019, 17, 415–424. [Google Scholar] [CrossRef] [PubMed]
- Bechtold, T.E.; Park, Y.C.; Kim, K.H.; Jung, H.; Kang, J.Y.; Choi, Y.J. Long-term stability of miniscrew anchored maxillary molar distalization in Class II treatment. Angle Orthod. 2020, 90, 362–368. [Google Scholar] [CrossRef] [PubMed]
- Sugawara, J.; Kanzaki, R.; Takahashi, I.; Nagasaka, H.; Nanda, R. Distal movement of maxillary molars in nongrowing patients with the skeletal anchorage system. Am. J. Orthod. Dentofac. Orthop. 2006, 129, 723–733. [Google Scholar] [CrossRef] [PubMed]
- Tenshin, H.; Watanabe, K.; Nakaue, E.; Khurel-Ochir, T.; Hiasa, M.; Horiuchi, S.; Tanaka, E. Identification of key determinant for predicting feasible mandibular molars distalization. J. Dent. Sci. 2024, in press. [CrossRef]











| Japanese Adult Female | Pretreatment | Posttreatment | Postretention | ||
|---|---|---|---|---|---|
| Variables | Mean | SD | 25 y 0 m | 28 y 1 m | 32 y 6 m |
| Skeletal pattern | |||||
| SNA | 80.8 | 3.6 | 82.5 | 82.0 | 82.0 |
| SNB | 77.9 | 4.5 | 74.0 | 75.5 | 75.5 |
| ANB | 2.8 | 2.4 | 8.5 | 6.5 | 6.5 |
| Facial angle | 84.2 | 4.4 | 76.0 | 77.5 | 77.0 |
| Y-axis | 66.1 | 3.6 | 76.0 | 74.0 | 74.0 |
| Mand. pl./FH | 30.5 | 3.6 | 44.5 | 42.5 | 42.5 |
| Mand. pl./SN | 37.1 | 4.6 | 47.0 | 45.0 | 45.0 |
| Gonial angle | 122.1 | 5.3 | 135.0 | 134.5 | 134.5 |
| Denture pattern | |||||
| Occ. pl. to SN | 16.9 | 4.4 | 18.5 | 22.0 | 23.0 |
| U1 to SN | 105.9 | 8.8 | 121.0 | 91.5 | 91.5 |
| L1 to Mand. pl. | 93.4 | 6.8 | 86.5 | 95.5 | 95.0 |
| FMIA | 56.0 | 8.1 | 49.0 | 42.0 | 42.5 |
| Interincisal angle | 123.6 | 10.6 | 108.5 | 122.0 | 122.0 |
Disclaimer/Publisher’s Note: The statements, opinions and data contained in all publications are solely those of the individual author(s) and contributor(s) and not of MDPI and/or the editor(s). MDPI and/or the editor(s) disclaim responsibility for any injury to people or property resulting from any ideas, methods, instructions or products referred to in the content. |
© 2024 by the authors. Licensee MDPI, Basel, Switzerland. This article is an open access article distributed under the terms and conditions of the Creative Commons Attribution (CC BY) license (https://creativecommons.org/licenses/by/4.0/).
Share and Cite
Okuhashi, S.; Kobayashi, M.; Tanaka, E. Severe Maxillary Protrusion Treated with Surgically Assisted Rapid Maxillary Expansion. J. Clin. Med. 2024, 13, 4149. https://doi.org/10.3390/jcm13144149
Okuhashi S, Kobayashi M, Tanaka E. Severe Maxillary Protrusion Treated with Surgically Assisted Rapid Maxillary Expansion. Journal of Clinical Medicine. 2024; 13(14):4149. https://doi.org/10.3390/jcm13144149
Chicago/Turabian StyleOkuhashi, Sonoko, Masaru Kobayashi, and Eiji Tanaka. 2024. "Severe Maxillary Protrusion Treated with Surgically Assisted Rapid Maxillary Expansion" Journal of Clinical Medicine 13, no. 14: 4149. https://doi.org/10.3390/jcm13144149
APA StyleOkuhashi, S., Kobayashi, M., & Tanaka, E. (2024). Severe Maxillary Protrusion Treated with Surgically Assisted Rapid Maxillary Expansion. Journal of Clinical Medicine, 13(14), 4149. https://doi.org/10.3390/jcm13144149

