Histologic Evaluation of Early Papilla Healing after Augmentation with Injectable Hyaluronic Acid—A Proof of Concept
Abstract
1. Introduction
2. Materials and Methods
2.1. Study Design
2.2. Patient Selection
- Nonsmoking adult patient.
- Presence of an uninterrupted frontal arch (maxillary or mandibular) of teeth affected by severe periodontitis.
- Presence of interproximal pockets deeper than 6 mm in at least 6 adjacent teeth.
- Class I, II, or III papillary recession, based on the classification of Nordland and Tarnow (1998) [48].
- Distance between the contact point and the crest of the alveolar bone equal to or greater than 5 mm.
- Keratinized tissue width of the entire area to be operated of at least 3 mm.
- Good oral hygiene—Plaque Index (PlI < 1 [49]).
- Patients who are diagnosed with systemic diseases, including hypertension, diabetes mellitus, or conditions that affect the effectiveness of periodontal therapy.
- Women who are currently pregnant or breastfeeding.
- Patients who use tobacco products.
- Patients with known allergies to hyaluronic acid or any excipients of the product used.
- Patients who are currently or have previously taken drugs that may increase the likelihood of gingival enlargement.
- Patients who are currently undergoing orthodontic treatment or have received orthodontic treatment within the past six months.
- Patients who have undergone traumatic dental hygiene procedures or periodontal surgeries within the past six months in the specific area of concern.
2.3. Periodontal Therapy
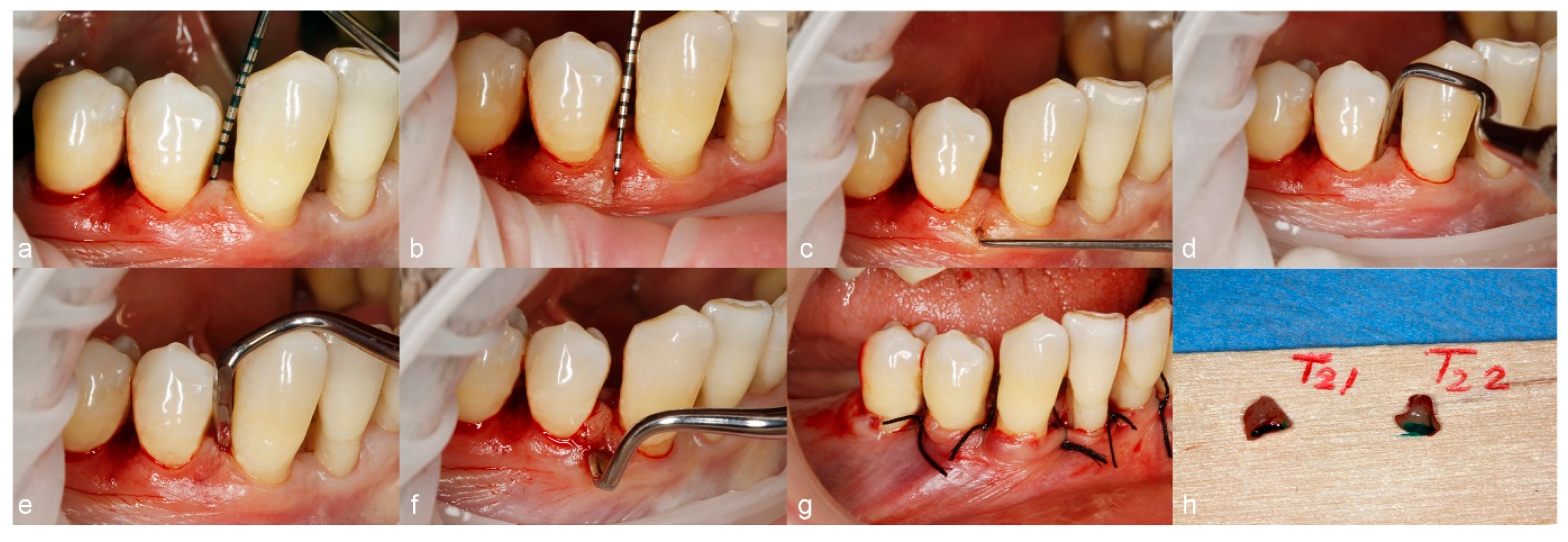
2.4. Papilla Aumentation Procedure
2.5. Surgical Procedure
2.6. Tissue Preparation
2.7. Outcome Measures
2.8. Statistical Analysis
3. Results
3.1. Histological Changes at Week 1
3.2. Histological Changes at 2 Weeks
3.3. Histological Changes at 3 Weeks
4. Discussion
4.1. New Collagen Formation
4.2. Residual HA Filler Presence
4.3. Presence and Characteristics of Inflammatory Infiltration
4.4. Presence of Granulomatous Reactions
4.5. Interstitial Edema
4.6. Epithelial Erosions
5. Conclusions
Author Contributions
Funding
Institutional Review Board Statement
Informed Consent Statement
Data Availability Statement
Conflicts of Interest
Ethical Approval
References
- Muthukumar, S.; Rangarao, S. Surgical augmentation of interdental papilla—A case series. Contemp. Clin. Dent. 2015, 6 (Suppl. S1), S294–S298. [Google Scholar] [PubMed]
- Singh, V.P.; Uppoor, A.S.; Nayak, D.G.; Shah, D. Black triangle dilemma and its management in esthetic dentistry. Dent. Res. J. 2013, 10, 296–301. [Google Scholar]
- Oreški, N.P.; Ćelebić, A.; Petričević, N. Assessment of Esthetic Characteristics of the Teeth and Surrounding Anatomical Structures. Acta Stomatol. Croat. 2017, 51, 22–32. [Google Scholar] [CrossRef] [PubMed]
- Al-Zarea, B.K.; Sghaireen, M.G.; Alomari, W.M.; Bheran, H.; Taher, I. Black triangles causes and management: A review of literature. Br. J. Appl. Sci. Technol. 2015, 6, 1. [Google Scholar] [CrossRef][Green Version]
- Plato Palathingal, J.M. Treatment of black triangle by using a sub-epithelial connective tissue graft. J. Clin. Diagn. Res. 2011, 5, 1688–1691. [Google Scholar]
- Gonzalez, M.K.S.; Almeida, A.L.P.F.; Greghi, S.L.A.; Pegoraro, L.F.; Mondelli, J.; Moreno, T. Interdental papillary house: A new concept and guide for clinicians. Int. J. Periodontics Restor. Dent. 2011, 31, e87–e93. [Google Scholar]
- Cunliffe, J.; Pretty, I. Patients’ ranking of interdental “black triangles” against other common aesthetic problems. Eur. J. Prosthodont. Restor. Dent. 2009, 17, 177–181. [Google Scholar] [PubMed]
- Chow, Y.C.; Eber, R.M.; Tsao, Y.; Shotwell, J.L.; Wang, H. Factors associated with the appearance of gingival papillae. J. Clin. Periodontol. 2010, 37, 719–727. [Google Scholar] [CrossRef] [PubMed]
- Boia, E.R.; Huț, A.R.; Roi, A.; Luca, R.E.; Munteanu, I.R.; Roi, C.I.; Riviș, M.; Boia, S.; Duse, A.O.; Vulcănescu, D.D.; et al. Associated Bacterial Coinfections in COVID-19-Positive Patients. Medicina 2023, 59, 1858. [Google Scholar] [CrossRef]
- Roi, A.; Roi, C.I.; Andreescu, N.I.; Riviş, M.; Badea, I.D.; Meszaros, N.; Rusu, L.C.; Iurciuc, S. Oral cancer histopathological subtypes in association with risk factors: A 5-year retrospective study. Romanian J. Morphol. Embryol. 2021, 61, 1213–1220. [Google Scholar] [CrossRef]
- Souza, C.A.; Pinho, R.C.M.; de Siqueira, R.A.C.; de Andrade, A.L.F.S.; Vajgel, B.d.C.F.; Neto, J.C.d.S.; Cimões, R. Factors Influencing the Presence of Papilla between Adjacent Implants and between a Tooth and an Implant. Acta Stomatol. Croat. 2019, 53, 337–346. [Google Scholar] [CrossRef] [PubMed]
- Chen, M.; Liao, Y.; Chan, C.; Ku, Y.; Pan, W.; Tu, Y. Factors Influencing the Presence of Interproximal Dental Papillae between Maxillary Anterior Teeth. J. Periodontol. 2010, 81, 318–324. [Google Scholar] [CrossRef] [PubMed]
- Tarnow, D.P.; Magner, A.W.; Fletcher, P. The Effect of the Distance From the Contact Point to the Crest of Bone on the Presence or Absence of the Interproximal Dental Papilla. J. Periodontol. 1992, 63, 995–996. [Google Scholar] [CrossRef] [PubMed]
- Cho, Y.-D.; Kim, K.-H.; Lee, Y.-M.; Ku, Y.; Seol, Y.-J. Periodontal Wound Healing and Tissue Regeneration: A Narrative Review. Pharmaceuticals 2021, 14, 456. [Google Scholar] [CrossRef]
- Csiszar, A.; Wiebe, C.; Larjava, H.; Häkkinen, L. Distinctive Molecular Composition of Human Gingival Interdental Papilla. J. Periodontol. 2007, 78, 304–314. [Google Scholar] [CrossRef] [PubMed]
- Patel, M.; Guni, A.; Nibali, L.; Garcia-Sanchez, R. Interdental papilla reconstruction: A systematic review. Clin. Oral Investig. 2024, 28, 101. [Google Scholar] [CrossRef] [PubMed]
- Lile, I.E.; Osser, G.; Negruţiu, B.M.; Valea, C.N.; Vaida, L.L.; Marian, D.; Dulceanu, R.C.; Bulzan, C.O.; Herlo, J.N.; Gag, O.L.; et al. The Structures–Reactivity Relationship on Dental Plaque and Natural Products. Appl. Sci. 2023, 13, 9111. [Google Scholar] [CrossRef]
- Kandasamy, S.; Goonewardene, M.; Tennant, M. Changes in interdental papillae heights following alignment of anterior teeth. Orthod. J. 2007, 23, 16–23. [Google Scholar] [CrossRef]
- Abdelhafez, R.S.; Talib, A.A.; Al-Taani, D.S. The effect of orthodontic treatment on the periodontium and soft tissue esthetics in adult patients. Clin. Exp. Dent. Res. 2022, 8, 410–420. [Google Scholar] [CrossRef]
- Cardaropoli, D.; Re, S.; Corrente, G. The Papilla Presence Index (PPI): A New System to Assess Interproximal Papillary Levels. Int. J. Periodontics Restor. Dent. 2004, 24, 488–492. [Google Scholar] [CrossRef]
- Tarnow, D.P. Semilunar coronally repositioned flap. J. Clin. Periodontol. 1986, 13, 182–185. [Google Scholar] [CrossRef] [PubMed]
- Carnio, J. Surgical reconstruction of interdental papilla using an interposed subepithelial connective tissue graft: A case report. J. Prosthet. Dent. 2004, 92, 282. [Google Scholar] [CrossRef]
- Cortellini, P.; Prato, G.P.; Tonetti, M.S. The Modified Papilla Preservation Technique. A New Surgical Approach for Interproximal Regenerative Procedures. J. Periodontol. 1995, 66, 261–266. [Google Scholar] [CrossRef] [PubMed]
- Nordland, W.P.; Sandhu, H.S.; Perio, C. Microsurgical technique for augmentation of the interdental papilla: Three case reports. Int. J. Periodontics Restor. Dent. 2008, 28, 543–549. [Google Scholar]
- Kozuch, O.; Mayer, V. Pig kidney epithelial (PS) cells: A perfect tool for the study of flaviviruses and some other arboviruses. Acta Virol. 1975, 19, 498. [Google Scholar] [PubMed]
- Sharma, A.A.; Park, J.H. Esthetic Considerations in Interdental Papilla: Remediation and Regeneration. J. Esthet. Restor. Dent. 2010, 22, 18–28. [Google Scholar] [CrossRef] [PubMed]
- Becker, W.; Gabitov, I.; Stepanov, M.; Kois, J.; Smidt, A.; Becker, B.E. Minimally Invasive Treatment for Papillae Deficiencies in the Esthetic Zone: A Pilot Study. Clin. Implant. Dent. Relat. Res. 2010, 12, 1–8. [Google Scholar] [CrossRef] [PubMed]
- Mansouri, S.S.; Ghasemi, M.; Salmani, Z.; Shams, N. Clinical application of hyaluronic acid gel for reconstruction of interdental papilla at the esthetic zone. J. Iran. Dent. Assoc. 2013, 25, 208–213. [Google Scholar]
- Duranti, F.; Salti, G.; Bovani, B.; Calandra, M.; Rosati, M.L. Injectable hyaluronic acid gel for soft tissue augmentation: A clinical and histological study. Dermatol. Surg. 1998, 24, 1317–1325. [Google Scholar] [CrossRef]
- Mochizuki, M.; Aoi, N.; Gonda, K.; Hirabayashi, S.; Komuro, Y. Evaluation of the in vivo kinetics and biostimulatory effects of subcutaneously injected hyaluronic acid filler. Plast. Reconstr. Surg. 2018, 142, 112–121. [Google Scholar] [CrossRef]
- Awartani, F.A.; Tatakis, D.N. Interdental papilla loss: Treatment by hyaluronic acid gel injection: A case series. Clin. Oral Investig. 2016, 20, 1775–1780. [Google Scholar] [CrossRef] [PubMed]
- Pi, S.; Choi, Y.J.; Hwang, S.; Lee, D.; Yook, J.I.; Kim, K.; Chung, C.J. Local Injection of Hyaluronic Acid Filler Improves Open Gingival Embrasure: Validation Through a Rat Model. J. Periodontol. 2017, 88, 1221–1230. [Google Scholar] [CrossRef] [PubMed]
- D’agostino, A.; Stellavato, A.; Busico, T.; Papa, A.; Tirino, V.; Papaccio, G.; La Gatta, A.; De Rosa, M.; Schiraldi, C. In vitro analysis of the effects on wound healing of high- and low-molecular weight chains of hyaluronan and their hybrid H-HA/L-HA complexes. BMC Cell Biol. 2015, 16, 19. [Google Scholar] [CrossRef]
- Lee, J.H.; Lee, K.E.; Nam, O.H.; Chae, Y.K.; Lee, M.-H.; Kweon, D.-K.; Kim, M.S.; Lee, H.-S.; Choi, S.C. Orodispersible hyaluronic acid film delivery for oral wound healing in rats. J. Dent. Sci. 2022, 17, 1595–1603. [Google Scholar] [CrossRef] [PubMed]
- Pilloni, A.; Marini, L.; Gagliano, N.; Canciani, E.; Dellavia, C.; Cornaghi, L.B.; Costa, E.; Rojas, M.A. Clinical, histological, immunohistochemical, and biomolecular analysis of hyaluronic acid in early wound healing of human gingival tissues: A randomized, split-mouth trial. J. Periodontol. 2023, 94, 868–881. [Google Scholar] [CrossRef] [PubMed]
- Fakhari, A.; Berkland, C. Applications and emerging trends of hyaluronic acid in tissue engineering, as a dermal filler and in osteoarthritis treatment. Acta Biomater. 2013, 9, 7081–7092. [Google Scholar] [CrossRef]
- Attenello, N.; Maas, C. Injectable Fillers: Review of Material and Properties. Facial Plast. Surg. 2015, 31, 29–34. [Google Scholar] [CrossRef] [PubMed]
- Elson, M.L. Soft tissue augmentation: A review. Dermatol. Surg. 1995, 21, 491–500. [Google Scholar] [CrossRef] [PubMed]
- Pollack, S.V. Silicone, fibrel, and collagen implantation for facial lines and wrinkles. J. Dermatol. Surg. Oncol. 1990, 16, 957–961. [Google Scholar] [CrossRef]
- Tezel, A.; Fredrickson, G.H. The science of hyaluronic acid dermal fillers. J. Cosmet. Laser Ther. 2008, 10, 35–42. [Google Scholar] [CrossRef]
- Asparuhova, M.B.; Kiryak, D.; Eliezer, M.; Mihov, D.; Sculean, A. Activity of two hyaluronan preparations on primary human oral fibroblasts. J. Periodontal Res. 2019, 54, 33–45. [Google Scholar] [CrossRef] [PubMed]
- Lee, W.-P.; Seo, Y.-S.; Kim, H.-J.; Yu, S.-J.; Kim, B.-O. The association between radiographic embrasure morphology and interdental papilla reconstruction using injectable hyaluronic acid gel. J. Periodontal Implant. Sci. 2016, 46, 277–287. [Google Scholar] [CrossRef] [PubMed]
- Lee, W.; Kim, H.; Yu, S.; Kim, B. Six Month Clinical Evaluation of Interdental Papilla Reconstruction with Injectable Hyaluronic Acid Gel Using an Image Analysis System. J. Esthet. Restor. Dent. 2016, 28, 221–230. [Google Scholar] [CrossRef] [PubMed]
- Zhang, Y.; Zhang, Y.; Wu, H.; Hong, G. Application of Hyaluronic Acid as a Biopolymer Material in Reconstruction of Interdental Papilla in Rats. Front. Mater. 2021, 8, 798391. [Google Scholar] [CrossRef]
- Kim, S.-B.; Cho, J.; Jue, S.-S.; Park, J.H.; Kim, J.-Y. Effect of hyaluronic acid filler injection on the interdental papilla in a mouse model of open gingival embrasure. Int. J. Environ. Res. Public Health 2020, 17, 4956. [Google Scholar] [CrossRef] [PubMed]
- Sanz, M.; Herrera, D.; Kebschull, M.; Chapple, I.; Jepsen, S.; Berglundh, T.; Sculean, A.; Tonetti, M.S.; EFP Workshop Participants and Methodological Consultants; Merete Aass, A. Treatment of stage I–III periodontitis—The EFP S3 level clinical practice guideline. J. Clin. Periodontol. 2020, 47, 4–60. [Google Scholar] [CrossRef] [PubMed]
- Tonetti, M.S.; Greenwell, H.; Kornman, K.S. Staging and grading of periodontitis: Framework and proposal of a new classification and case definition. J. Periodontol. 2018, 89, S159–S172. [Google Scholar] [CrossRef] [PubMed]
- Nordland, W.P.; Tarnow, D.P. A Classification System for Loss of Papillary Height. J. Periodontol. 1998, 69, 1124–1126. [Google Scholar] [CrossRef]
- Silness, J.; Löe, H. Periodontal disease in pregnancy II. Correlation between oral hygiene and periodontal condition. Acta Odontol. Scand. 1964, 22, 121–135. [Google Scholar] [CrossRef]
- Quirynen, M.; Bollen, C.; Vandekerckhove, B.; Dekeyser, C.; Papaioannou, W.; Eyssen, H. Full-vs. partial-mouth disinfection in the treatment of periodontal infections: Short-term clinical and microbiological observations. J. Dent. Res. 1995, 74, 1459–1467. [Google Scholar] [CrossRef]
- Stein, J.M.; Yekta-Michael, S.S.; Schittenhelm, F.; Reichert, S.; Kupietz, D.; Dommisch, H.; Kasaj, A.; Wied, S.; Vela, O.; Stratul, S. Comparison of three full-mouth concepts for the non-surgical treatment of stage III and IV periodontitis: A randomized controlled trial. J. Clin. Periodontol. 2021, 48, 1516–1527. [Google Scholar] [CrossRef] [PubMed]
- Cortellini, P.; Prato, G.P.; Tonetti, M.S. The simplified papilla preservation flap. A novel surgical approach for the management of soft tissues in regenerative procedures. Int. J. Periodontics Restor. Dent. 1999, 19, 589–599. [Google Scholar]
- Bertl, K.; Bruckmann, C.; Isberg, P.; Klinge, B.; Gotfredsen, K.; Stavropoulos, A. Hyaluronan in non-surgical and surgical periodontal therapy: A systematic review. J. Clin. Periodontol. 2015, 42, 236–246. [Google Scholar] [CrossRef]
- Al-Shammari, N.M.; Shafshak, S.M.; Ali, M.S. Effect of 0.8% Hyaluronic Acid in Conventional Treatment of Moderate to Severe Chronic Periodontitis. J. Contemp. Dent. Pract. 2018, 19, 527–534. [Google Scholar] [CrossRef]
- Eick, S.; Renatus, A.; Heinicke, M.; Pfister, W.; Stratul, S.; Jentsch, H. Hyaluronic Acid as an Adjunct after Scaling and Root Planing: A Prospective Randomized Clinical Trial. J. Periodontol. 2013, 84, 941–949. [Google Scholar] [CrossRef] [PubMed]
- Casale, M.; Moffa, A.; Vella, P.; Sabatino, L.; Capuano, F.; Salvinelli, B.; Lopez, M.A.; Carinci, F.; Salvinelli, F. Hyaluronic acid: Perspectives in dentistry. A systematic review. Int. J. Immunopathol. Pharmacol. 2016, 29, 572–582. [Google Scholar] [CrossRef]
- Sutherland, I.W. Novel and established applications of microbial polysaccharides. Trends Biotechnol. 1998, 16, 41–46. [Google Scholar] [CrossRef]
- Prestwich, G.D.; Kuo, J. Chemically-modified HA for therapy and regenerative medicine. Curr. Pharm. Biotechnol. 2008, 9, 242–245. [Google Scholar] [CrossRef] [PubMed]
- Gold, M.H. Use of hyaluronic acid fillers for the treatment of the aging face. Clin. Interv. Aging 2007, 2, 369–376. [Google Scholar] [CrossRef]
- Carruthers, A.; Carruthers, J. Non–animal-based hyaluronic acid fillers: Scientific and technical considerations. Plast. Reconstr. Surg. 2007, 120, 33S–40S. [Google Scholar] [CrossRef]
- Dover, J.S.; Carruthers, A.; Carruthers, J.; Alam, M. Clinical Use of RESTYLANE. Ski. Ther. Lett. 2005, 10, 5–7. [Google Scholar]
- Jordan, D.R. Soft-tissue fillers for wrinkles, folds and volume augmentation. Can. J. Ophthalmol. 2003, 38, 285–288. [Google Scholar] [CrossRef] [PubMed]
- Paliwal, S.; Fagien, S.; Sun, X.; Holt, T.; Kim, T.; Hee, C.K.; Van Epps, D.; Messina, D.J. Skin extracellular matrix stimulation following injection of a hyaluronic acid–based dermal filler in a rat model. Plast. Reconstr. Surg. 2014, 134, 1224–1233. [Google Scholar] [CrossRef] [PubMed]
- Ribé, A.; Ribé, N. Neck skin rejuvenation: Histological and clinical changes after combined therapy with a fractional non-ablative laser and stabilized hyaluronic acid-based gel of non-animal origin. J. Cosmet. Laser Ther. 2011, 13, 154–161. [Google Scholar] [CrossRef] [PubMed]
- Vandana, K.L.; Singh, S.; Anil, L. Histologic evaluation of 5% Hyaluronic acid injection in oral tissue: A pilot study. Int. J. Mol. Biol. 2019, 4, 206–208. [Google Scholar] [CrossRef]
- Bertl, K.; Gotfredsen, K.; Jensen, S.S.; Bruckmann, C.; Stavropoulos, A. Can hyaluronan injections augment deficient papillae at implant-supported crowns in the anterior maxilla? A randomized controlled clinical trial with 6 months follow-up. Clin. Oral Implant. Res. 2017, 28, 1054–1061. [Google Scholar] [CrossRef] [PubMed]
- Bertl, K.; Gotfredsen, K.; Jensen, S.S.; Bruckmann, C.; Stavropoulos, A. Adverse reaction after hyaluronan injection for minimally invasive papilla volume augmentation. A report on two cases. Clin. Oral Implant. Res. 2017, 28, 871–876. [Google Scholar] [CrossRef] [PubMed]
- Tran, C.; Carraux, P.; Micheels, P.; Kaya, G.; Salomon, D. In vivo Bio-Integration of Three Hyaluronic Acid Fillers in Human Skin: A Histological Study. Dermatology 2014, 228, 47–54. [Google Scholar] [CrossRef]
- Freire, M.O.; Van Dyke, T.E. Natural resolution of inflammation. Periodontology 2000 2013, 63, 149–164. [Google Scholar] [CrossRef]





| Parameter | Week 1 | Week 2 | Week 3 | ||||||||||||
|---|---|---|---|---|---|---|---|---|---|---|---|---|---|---|---|
| Papilla 1 | Papilla 2 | Papilla 3 | Papilla 4 | Papilla 5 | Papilla 6 | Papilla 7 | Papilla 8 | Papilla 9 | Papilla 10 | Papilla 11 | Papilla 12 | Papilla 13 | Papilla 14 | Papilla 15 | |
| New collagen formation | 0 | 0 | 0 | 0 | 0 | 2 | 1 | 2 | 1 | 1 | 2 | 2 | 2 | 1 | 1 |
| HA presence | 0 | 1 | 1 | 2 | 1 | 3 | 0 | 2 | 0 | 2 | 2 | 2 | 0 | 0 | 3 |
| Inflammatory infiltration | 3 | 3 | 2 | 3 | 3 | 2 | 3 | 2 | 3 | 2 | 1 | 1 | 1 | 3 | 1 |
| Epithelial erosions | 0 | 1 | 1 | 1 | 0 | 0 | 2 | 0 | 1 | 0 | 2 | 2 | 0 | 0 | 0 |
| Interstitial edema | 2 | 2 | 2 | 1 | 1 | 1 | 1 | 1 | 1 | 1 | 1 | 1 | 1 | 1 | 1 |
| Granulomatous reaction | 0 | 0 | 0 | 0 | 0 | 2 | 0 | 1 | 0 | 0 | 0 | 0 | 0 | 0 | 1 |
| Parameter | Week 1 | Week 2 | Week 3 | ||||||
|---|---|---|---|---|---|---|---|---|---|
| Mean | Median | Mode | Mean | Median | Mode | Mean | Median | Mode | |
| New collagen fibers | 0 | 0 | 0 | 1.4 | 1 | 1 | 1.6 | 2 | 2 |
| Presence of HA | 1 | 1 | 1 | 1.4 | 2 | 0 and 2 | 1.4 | 2 | 0 and 2 |
| Inflammatory infiltration | 2.8 | 3 | 3 | 2.4 | 2 | 2 | 1.4 | 1 | 1 |
| Epithelial erosions | 0.6 | 1 | 1 | 0.6 | 0 | 0 | 0.8 | 0 | 0 |
| Interstitial edema | 1.6 | 2 | 2 | 1 | 1 | 1 | 1 | 1 | 1 |
| Granulomatous reaction | 0 | 0 | 0 | 0.6 | 0 | 0 | 0.2 | 0 | 0 |
Disclaimer/Publisher’s Note: The statements, opinions and data contained in all publications are solely those of the individual author(s) and contributor(s) and not of MDPI and/or the editor(s). MDPI and/or the editor(s) disclaim responsibility for any injury to people or property resulting from any ideas, methods, instructions or products referred to in the content. |
© 2024 by the authors. Licensee MDPI, Basel, Switzerland. This article is an open access article distributed under the terms and conditions of the Creative Commons Attribution (CC BY) license (https://creativecommons.org/licenses/by/4.0/).
Share and Cite
Vela, O.C.; Boariu, M.I.; Iorio-Siciliano, V.; Vaduva, A.; Belova, A.; Stratul, S.-I.; Rusu, D. Histologic Evaluation of Early Papilla Healing after Augmentation with Injectable Hyaluronic Acid—A Proof of Concept. J. Clin. Med. 2024, 13, 4102. https://doi.org/10.3390/jcm13144102
Vela OC, Boariu MI, Iorio-Siciliano V, Vaduva A, Belova A, Stratul S-I, Rusu D. Histologic Evaluation of Early Papilla Healing after Augmentation with Injectable Hyaluronic Acid—A Proof of Concept. Journal of Clinical Medicine. 2024; 13(14):4102. https://doi.org/10.3390/jcm13144102
Chicago/Turabian StyleVela, Octavia Carolina, Marius Ion Boariu, Vincenzo Iorio-Siciliano, Adrian Vaduva, Alla Belova, Stefan-Ioan Stratul, and Darian Rusu. 2024. "Histologic Evaluation of Early Papilla Healing after Augmentation with Injectable Hyaluronic Acid—A Proof of Concept" Journal of Clinical Medicine 13, no. 14: 4102. https://doi.org/10.3390/jcm13144102
APA StyleVela, O. C., Boariu, M. I., Iorio-Siciliano, V., Vaduva, A., Belova, A., Stratul, S.-I., & Rusu, D. (2024). Histologic Evaluation of Early Papilla Healing after Augmentation with Injectable Hyaluronic Acid—A Proof of Concept. Journal of Clinical Medicine, 13(14), 4102. https://doi.org/10.3390/jcm13144102

