Challenges of Hip Arthroplasty in a Paretic, Spastic Limb: A Case Study on Managing Femoral Neck Fracture Following Fixation Failure in a Hemiparetic Patient
Abstract
1. Introduction
2. Case Report: Management of a Spastic Limb in Post-Stroke Patient with Hip Fracture
2.1. The Patient
2.2. Patient Medical History
2.3. Initial Treatment
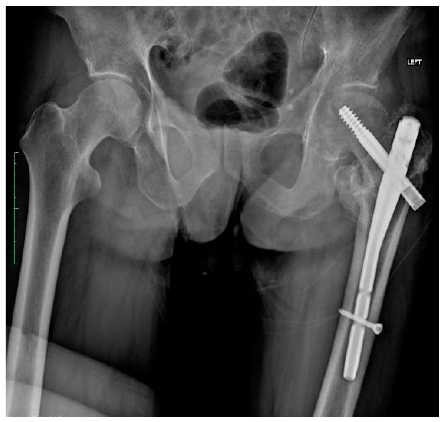
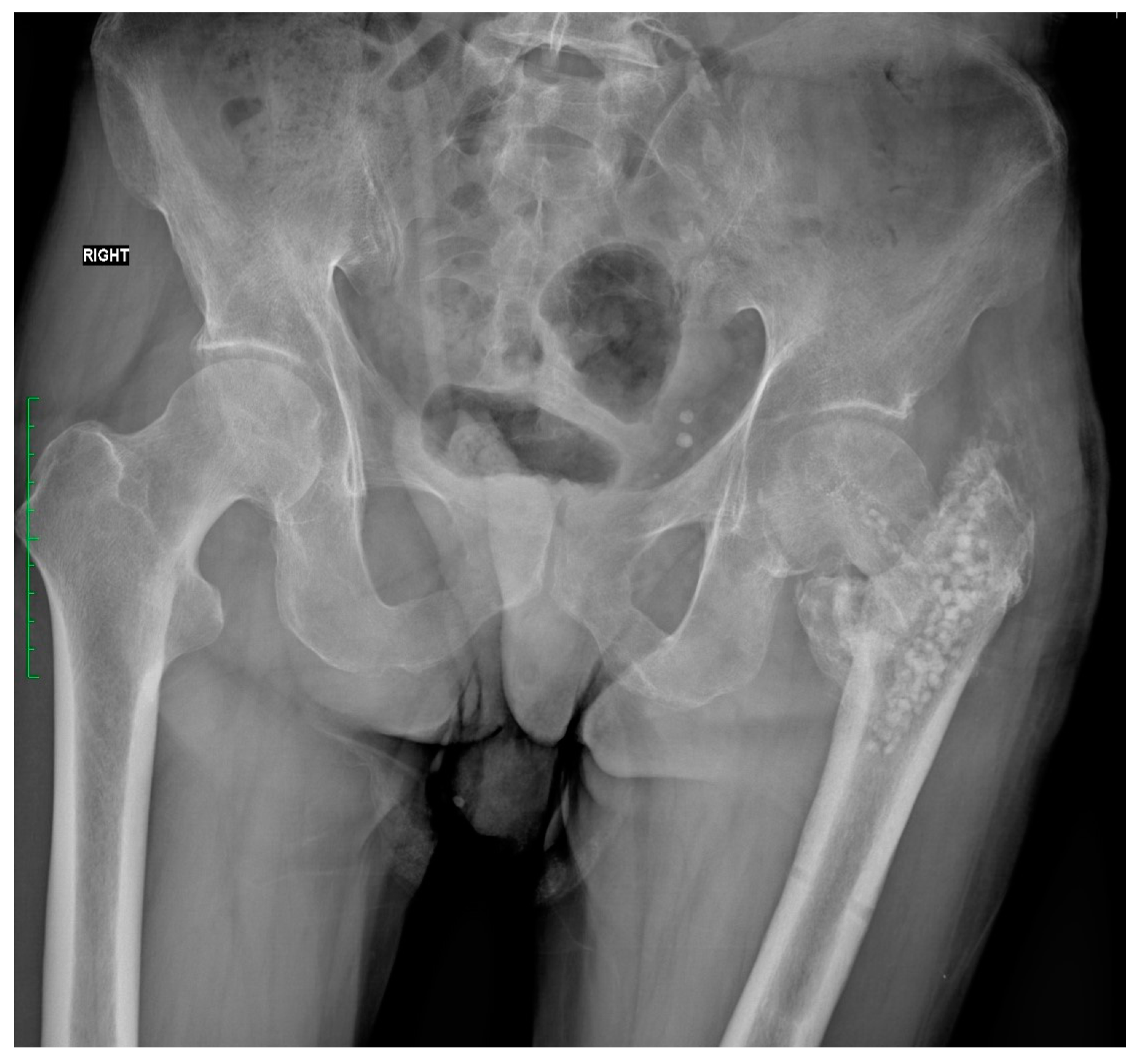
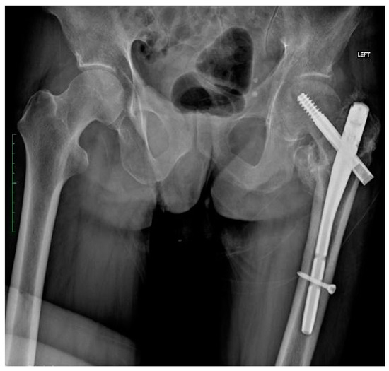
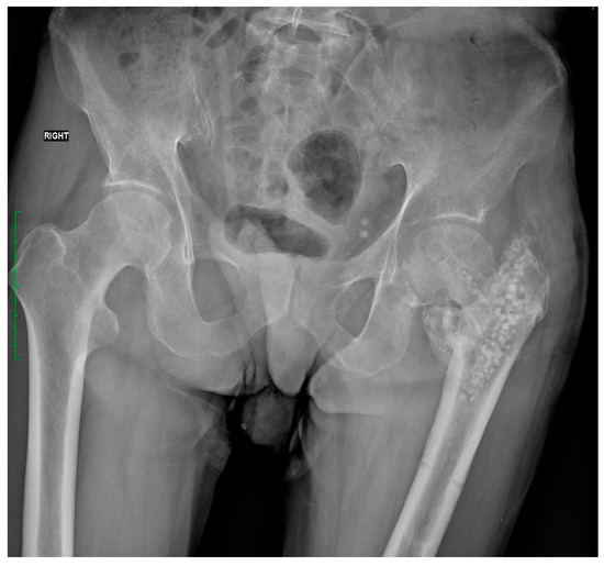
2.4. Fracture and Initial Surgery
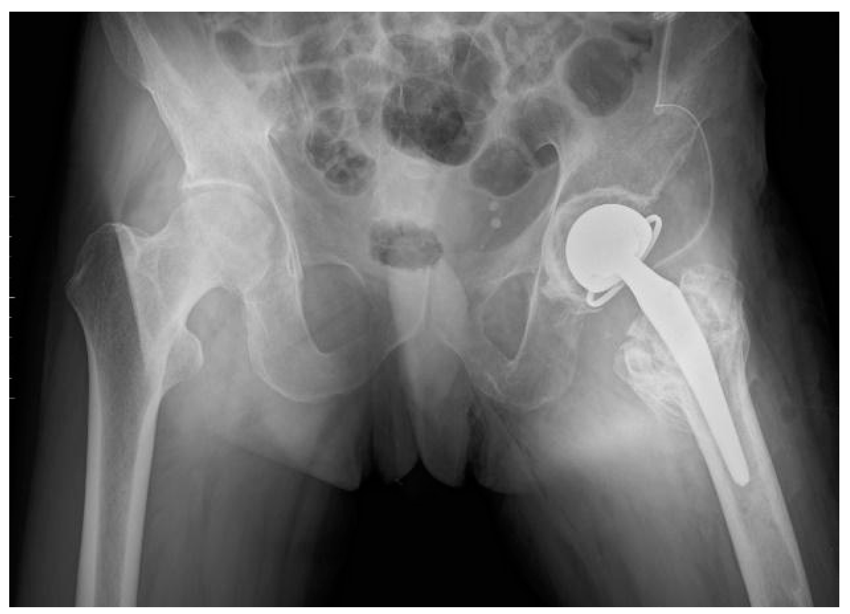
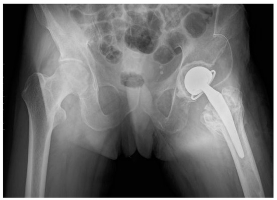
2.5. Treatment
3. Discussion
4. Conclusions: Challenges and Management Strategies for Hip Fractures in Spastic Paralysis Patients
Author Contributions
Funding
Institutional Review Board Statement
Informed Consent Statement
Data Availability Statement
Conflicts of Interest
References
- Zang, Y.; Fu, M.; Guo, J.; Zhao, Y.; Wang, Z.; Houet, Z. Characteristics and perioperative complications of hip fracture in the elderly with acute ischemic stroke: A cross-sectional study. BMC Musculoskelet. Disord. 2022, 23, 642. [Google Scholar]
- Zhang, C.; Feng, J.; Wang, S.; Gao, P.; Xu, L.; Zhu, J.; Jia, J.; Liu, L.; Liu, G.; Wang, J.; et al. Incidence of and trends in hip fracture among adults in urban China: A nationwide retrospective cohort study. PLoS Med. 2020, 17, e1003180. [Google Scholar] [CrossRef] [PubMed]
- Schmidt, A.H.; Braman, J.P.; Duwelius, P.J.; McKee, M.D. Geriatric trauma: The role of immediate arthroplasty. J. Bone Jt. Surg. 2013, 95, 2230–2239. [Google Scholar]
- Salhotra, A.; Shah, H.N.; Levi, B.; Longaker, M.T. Mechanisms of bone development and repair. Nat. Rev. Mol. Cell Biol. 2020, 21, 696–711. [Google Scholar] [CrossRef] [PubMed]
- Koudouna, S.; Evangelopoulos, D.S.; Sarantis, M.; Chronopoulos, E.; Dontas, I.A.; Pneumatico, S. The Effect of Postoperative Physical Therapy Following Hip Fracture: A Literature Review. Cureus 2023, 15, e37676. [Google Scholar] [CrossRef] [PubMed]
- Lim, J.W.; Ang, G.C. Approach to patients with hip fracture and concurrent stroke. BMJ Case Rep. 2021, 14, e236064. [Google Scholar] [CrossRef] [PubMed]
- Johnson, C.O.; Nguyen, M.; Roth, G.A. Global, regional, and national burden of stroke, 1990–2016: A systematic analysis for the global burden of disease study 2016. Lancet Neurol. 2019, 18, 439–458. [Google Scholar] [CrossRef] [PubMed]
- Gullberg, B.; Johnell, O.; Kanis, J.A. World-Wide projections for hip fracture. Osteoporos. Int. 1997, 7, 407–413. [Google Scholar] [CrossRef] [PubMed]
- American Academy of Orthopaedic Surgeons. Management of Hip Fractures in the Elderly: Evidence-Based Clinical Practice Guideline; American Academy of Orthopaedic Surgeons: Rosemont, IL, USA, 2014. [Google Scholar]
- Buntin, M.B.; Colla, C.H.; Deb, P.; Sood, N.; Escarce, J. Medicare spending and outcomes after Postacutecare for stroke and hip fracture. Med. Care 2010, 48, 776–784. [Google Scholar] [CrossRef]
- Wang, J.; Luo, H.; Wang, O.; Zhu, X. Analysis of the Surgical Outcomes in Elderly Patients with Hip Fractures Combined with Hemiplegia. Clin. Interv. Aging 2022, 17, 1093–1098. [Google Scholar] [CrossRef]
- Kanis, J.A.; Odén, A.; McCloskey, E.V.; Johansson, H.; Wahl, D.A.; Cooper, C. A systematic review of Hip fracture incidence and probability of fracture worldwide. Osteoporos. Int. 2012, 23, 2239–2256. [Google Scholar] [CrossRef] [PubMed]
- Fisher, A.; Srikusalanukul, W.; Davis, M.; Smith, P. Poststroke hip fracture: Prevalence, clinical characteristics, mineral bone metabolism, outcomes, and gaps in prevention. Stroke Res. Treat. 2013, 2013, 641943. [Google Scholar] [CrossRef] [PubMed]
- Hu, F.; Jiang, C.; Shen, J.; Tang, P.; Wang, Y. Preoperative predictors for mortality following hip fracture surgery: A systematic review and meta-analysis. Injury 2012, 43, 676–685. [Google Scholar] [CrossRef] [PubMed]
- Mahoney, F.I.; Barthel, D.W. Functional evaluation: The Barthel Index. Md. State Med. J. 1965, 14, 61–65. [Google Scholar] [PubMed]
- Tinetti, M.E.; Williams, T.F.; Mayewski, R. Fall risk index for elderly patients based on number of chronic disabilities. Am. J. Med. 1986, 80, 429–434. [Google Scholar] [CrossRef] [PubMed]
- Samuel, A.M.; Diaz-Collado, P.J.; Szolomayer, L.K.; Nelson, S.J.; Webb, M.L.; Lukasiewicz, A.M.; Grauer, J.N. Incidence of and risk factors for inpatient stroke after hip fractures in the elderly. Orthopedics 2018, 41, e27–e32. [Google Scholar] [CrossRef] [PubMed]
- Wang, X.W.; Sun, T.S.; Zhang, J.Z.; Liu, Z.; Zhao, J.W. Predictive value of American Society of Anesthesiologists classification on prognosis of elderly patients with HIP fracture. Chin. J. Traumatol. 2020, 36, 51–57. [Google Scholar]
- Morri, M.; Chiari, P.; Forni, C.; Orlandi Magi, A.; Gazineo, D.; Franchini, N.; Marconato, L.; Giamboi, T.; Cotti, A. What factors are associated with the recovery of autonomy after a hip fracture? A prospective, multicentric cohort study. Arch. Phys. Med. Rehabil. 2018, 99, 893–899. [Google Scholar] [CrossRef]
- Jørgensen, M.E.; Torp-Pedersen, C.; Gislason, G.H.; Jensen, P.F.; Berger, S.M.; Christansen, C.B.; Overgaard, C.; Schmiegelow, M.D.; Andersson, C. Time elapsed after ischemic stroke and risk of adverse cardiovascular events and mortality following elective noncardiac surgery. JAMA 2014, 312, 269–277. [Google Scholar] [CrossRef]
- Rahayu, U.B.; Wibowo, S.; Setyopranoto, I.; Hibatullah, M.R. Effectiveness of physiotherapy interventions in brain plasticity, balance and functional ability in stroke survivors: A randomized controlled trial. Neuro Rehabil. 2020, 47, 463–470. [Google Scholar] [CrossRef]
- Winter, D.A. A.B.C. (Anatomy, Biomechanics and Control) of Balance during Standing and Walking; Waterloo Biomechanics: Waterloo, ON, Canada, 1995. [Google Scholar]
- Sherrington, C.; Lord, S.R.; Close, J.C.; Barraclough, E.; Taylor, M.; O’Rourke, S.; Kurrle, S.; Tiedemann, A.; Cumming, R.G.; Herbert, R.D. A simple tool predicted probability of falling after aged care inpatient rehabilitation. J. Clin. Epidemiol. 2011, 64, 779–786. [Google Scholar] [CrossRef] [PubMed]
- Hall, S.E.; Williams, J.A.; Criddle, R.A. A prospective study of falls following hip fracture in community dwelling older adults. Australas. J. Ageing 2001, 20, 73–78. [Google Scholar] [CrossRef]
- Ogrodzka, K.; Niedźwiedzki, T. Rola endoprotezoplastyki i rehabilitacji u pacjentów z chorobą zwyrodnieniową stawów biodrowych w poprawie jakości ich życia we wczesnym okresie pooperacyjnym. J. Orthop. Trauma Surg. Relat. Res. 2012, 3, 30–40. [Google Scholar]
- Alberio, R.L.; Rusconi, M.; Martinetti, L.; Monzeglio, D.; Grassi, F.A. Total Hip Arthroplasty (THA) for Femoral Neck Fractures: Comparison between Standard and Dual Mobility Implants. Geriatrics 2021, 6, 70. [Google Scholar] [CrossRef] [PubMed]
- Tarasevicius, S.; Jermolajevas, V.; Tarasevicius, R.; Zegunis, V.; Smailys, A.; Kalesinskas, R.J. Total hip replacement for the treatment of femoral neck fractures. Long-term results. Medicina 2005, 41, 465–469. [Google Scholar] [PubMed]
- Härstedt, M.; Rogmark, C.; Sutton, R.; Melander, O.; Fedorowski, A. Impact of comorbidity on 6 month hospital readmission and mortality after Hip fracture surgery. Injury 2015, 46, 713–718. [Google Scholar] [CrossRef] [PubMed]
- Li, K.; Zheng, Y. Internal fixation versus conservative treatment for elderly patients with a trochanteric Hip fracture in conjunction with post-stroke hemiplegia. Injury 2016, 47, 2169–2172. [Google Scholar] [CrossRef] [PubMed]
- Pedersen, A.B.; Ehrenstein, V.; Szépligeti, S.K.; Sørensen, H. Hip fracture, comorbidity, and the risk of myocardial infarction and stroke: A Danish Nationwide Cohort Study, 1995–2015. J. Bone Miner. Res. 2017, 32, 2339–2346. [Google Scholar] [CrossRef] [PubMed]
- Moldovan, F. Bone Cement Implantation Syndrome: A Rare Disaster Following Cemented Hip Arthroplasties—Clinical Considerations Supported by Case Studies. J. Pers. Med. 2023, 13, 1381. [Google Scholar] [CrossRef]
- Borkowski, L.; Lübek, T.; Jojczuk, M.; Nogalski, A.; Belcarz, A.; Palka, K.; Hajnos, M.; Ginalska, G. Behavior of new hydroxyapatite/glucan composite in human serum. J. Biomed. Mater. Res. Part B 2018, 106, 2653–2664. [Google Scholar] [CrossRef]
- Wang, Z.; Hou, J.-Z.; Wu, C.-H.; Zhou, Y.-J.; Gu, X.-M.; Wang, H.-H.; Feng, W.; Cheng, Y.-X.; Bao, H.-W. A systematic review and meta-analysis of direct anterior approach versus posterior approach in total hip arthroplasty. J. Orthop. Surg. Res. 2018, 13, 229–237. [Google Scholar] [CrossRef]
- Peris, S.; Howard, J.; Lanting, B.; Jones, I.; Birmingham, T.; Vasarhelyi, E. Comaring the anterior, posterior and lateral approach: Gait analysis in total hip arhrosplasty. Can. J. Surg. 2018, 61, 50–57. [Google Scholar]
- Parry, M.C.; Povey, J.; Blom, A.W.; Whitehouse, M.R. Comparison of acetabular bone resection, offset, leg length and post operative function between hip resurfacing arthroplasty and total hip arthroplasty. J. Arthroplast. 2015, 30, 799–803. [Google Scholar] [CrossRef] [PubMed]
- Sköld, C. Spasticity in spinal cord injury: Self- and clinically rated intrinsic fluctuations and intervention-induced changes. Arch. Phys. Med. Rehabil. 2000, 81, 144–149. [Google Scholar] [CrossRef] [PubMed]
- Platz, T.; Eickhof, C.; Nuyens, G.; Vuadens, P. Clinical scales for the assessment of spasticity, associated phenomena, and function: A systematic review of the literature. Disabil. Rehabil. 2005, 27, 7–18. [Google Scholar] [CrossRef] [PubMed]
- Firoozbakhsh, K.K.; Kunkel, C.F.; Scremin, A.M.E.; Moneim, M.S. Isokinetic dynamometric technique for spasticity assessment. Am. J. Phys. Med. Rehabil. 1993, 72, 379–385. [Google Scholar] [CrossRef] [PubMed]
- Logan, L.R. Rehabilitation techniques to maximize spasticity management. Top. Stroke Rehabil. 2011, 18, 203–211. [Google Scholar] [CrossRef]
- Ivanhoe, C.B.; Francisco, G.E.; McGuire, J.R.; Subramanian, T.; Grissom, S.P. Intrathecal baclofen management of poststroke spastic hypertonia: Implications for function and quality of life. Arch. Phys. Med. Rehabil. 2006, 87, 1509–1515. [Google Scholar] [CrossRef]






| Barthel Index Activity | Score in 2006 (after Stroke Year) | Score in 2022 (before Operation) | Score in 2024 (after Operation) |
|---|---|---|---|
| Feeding 0 = unable 5 = needs help cutting, spreading butter, etc., or requires modified diet 10 = independent | 10 | 10 | 10 |
| Bathing 0 = dependent 5 = independent (or in shower) | 5 | 0 | 0 |
| Grooming 0 = needs to help with personal care 5 = independent face/hair/teeth/shaving (implements provided) | 5 | 0 | 0 |
| Dressing 0 = dependent 5 = needs help but can do about half unaided 10 = independent (including buttons, zips, laces, etc.) | 5 | 0 | 5 |
| Bowels 0 = incontinent (or needs to be given enemas) 5 = occasional accident 10 = continent | 10 | 10 | 10 |
| Bladder 0 = incontinent, or catheterized and unable to manage alone 5 = occasional accident 10 = continent | 10 | 10 | 10 |
| Toilet use 0 = dependent 5 = needs some help, but can do something alone 10 = independent (on and off, dressing, wiping) | 5 | 0 | 5 |
| Transfers (bed to chair and back) 0 = unable, no sitting balance 5 = major help (one or two people, physical), can sit 10 = minor help (verbal or physical) 15 = independent | 10 | 5 | 5 |
| Mobility (on level surfaces) 0 = immobile or <50 yards 5 = wheelchair-independent, including corners, > 50 yards 10 = walks with help of one person (verbal or physical) > 50 yards 15 = independent (but may use any aid; for example, stick) > 50 yards | 15 | 5 | 10 |
| Stairs 0 = unable 5 = needs help (verbal, physical, carrying aid) 10 = independent | 10 | 0 | 5 |
| Total score (0–100) | 85/100 | 40/100 | 60/100 |
| Tinetti Balance Test | Score in 2006 | Score in 2022 | Score in 2024 |
|---|---|---|---|
| Sitting balance 0 = Leans or slides in chair 1 = Steady, safe | 1 | 1 | 1 |
| Rises from chair 0 = Unable to without help 1 = Able, uses arms to help 2 = Able, without use of arms | 1 | 0 | 1 |
| Attempts to rise 0 = Unable to without help 1 = Able, but requires more than 1 attempt 2 = Able to rise in 1 attempt | 1 | 0 | 1 |
| Immediate standing balance (first 5 s) 0 = Unsteady (staggers, moves feet, trunk sway) 1 = Steady but uses walker or other support 2 = Steady without walker or other support | 1 | 0 | 1 |
| Standing balance 0 = Unsteady 1 = Steady but wide stance and uses support 2 = Narrow stance without support | 1 | 0 | 1 |
| Nudged (with patient’s eyes open) 0 = Begins to fall 1 = Staggers, grabs, catches self 2 = Steady | 2 | 0 | 0 |
| Nudged (with patient’s eyes closed) 0 = Unsteady 1 = Steady | 1 | 0 | 0 |
| Turning 360 degrees 0 = Discontinuous steps 1 = Continuous steps | 0 | 0 | 0 |
| 0 = Unsteady (grabs, staggers) 1 = Steady | 1 | 0 | 0 |
| Sitting down 0 = Unsafe (misjudged distance, falls into chair) 1 = Uses arms or not a smooth motion 2 = Safe, smooth motion | 1 | 0 | 1 |
| Total score (0–16) | 10/16 | 1/16 | 6/16 |
| First Stage of Treatment—January 2023 Removal of the failed fixation, filing the bone defects with calcium sulphate antibiotic carrier | ||
| Phase | Rehabilitation Goals | Rehabilitation methods |
| Phase I Acute postop Days 1–3 after the surgery |
| ROM (range of motion)
|
| Phase II 3–14 days after the surgery |
|
|
| Phase III 3–6 weeks after the surgery |
|
|
| Second Stage of Treatment—September 2023 Botulinum therapy | ||
| Phase | Rehabilitation Goals | Rehabilitation methods |
| Phase I Day 1 |
| ROM
|
| Phase II 2nd day–6th week after the treatment |
| ROM
|
| Third Stage of Treatment—October 2023 Snap-on Prosthesoplasty with Adductor Tenotomy | ||
| Phase | Rehabilitation Goals | Rehabilitation methods |
| Phase I Acute postop Days 1–3 after the surgery |
| ROM
|
| Phase II Days 3–14 |
| Phase I continuation
|
| Phase III 3–5 weeks after the surgery |
|
|
Disclaimer/Publisher’s Note: The statements, opinions and data contained in all publications are solely those of the individual author(s) and contributor(s) and not of MDPI and/or the editor(s). MDPI and/or the editor(s) disclaim responsibility for any injury to people or property resulting from any ideas, methods, instructions or products referred to in the content. |
© 2024 by the authors. Licensee MDPI, Basel, Switzerland. This article is an open access article distributed under the terms and conditions of the Creative Commons Attribution (CC BY) license (https://creativecommons.org/licenses/by/4.0/).
Share and Cite
Dąbkowska, I.; Sobiech, L.; Merkisz, M.; Turżańska, K.; Blicharski, T.; Jankiewicz, K. Challenges of Hip Arthroplasty in a Paretic, Spastic Limb: A Case Study on Managing Femoral Neck Fracture Following Fixation Failure in a Hemiparetic Patient. J. Clin. Med. 2024, 13, 4023. https://doi.org/10.3390/jcm13144023
Dąbkowska I, Sobiech L, Merkisz M, Turżańska K, Blicharski T, Jankiewicz K. Challenges of Hip Arthroplasty in a Paretic, Spastic Limb: A Case Study on Managing Femoral Neck Fracture Following Fixation Failure in a Hemiparetic Patient. Journal of Clinical Medicine. 2024; 13(14):4023. https://doi.org/10.3390/jcm13144023
Chicago/Turabian StyleDąbkowska, Izabela, Lena Sobiech, Michał Merkisz, Karolina Turżańska, Tomasz Blicharski, and Katarzyna Jankiewicz. 2024. "Challenges of Hip Arthroplasty in a Paretic, Spastic Limb: A Case Study on Managing Femoral Neck Fracture Following Fixation Failure in a Hemiparetic Patient" Journal of Clinical Medicine 13, no. 14: 4023. https://doi.org/10.3390/jcm13144023
APA StyleDąbkowska, I., Sobiech, L., Merkisz, M., Turżańska, K., Blicharski, T., & Jankiewicz, K. (2024). Challenges of Hip Arthroplasty in a Paretic, Spastic Limb: A Case Study on Managing Femoral Neck Fracture Following Fixation Failure in a Hemiparetic Patient. Journal of Clinical Medicine, 13(14), 4023. https://doi.org/10.3390/jcm13144023

