Contrast-Enhanced Ultrasound in the Diagnosis of Solid Renal Lesions
Abstract
1. Introduction
2. Methodology
3. Application of CEUS
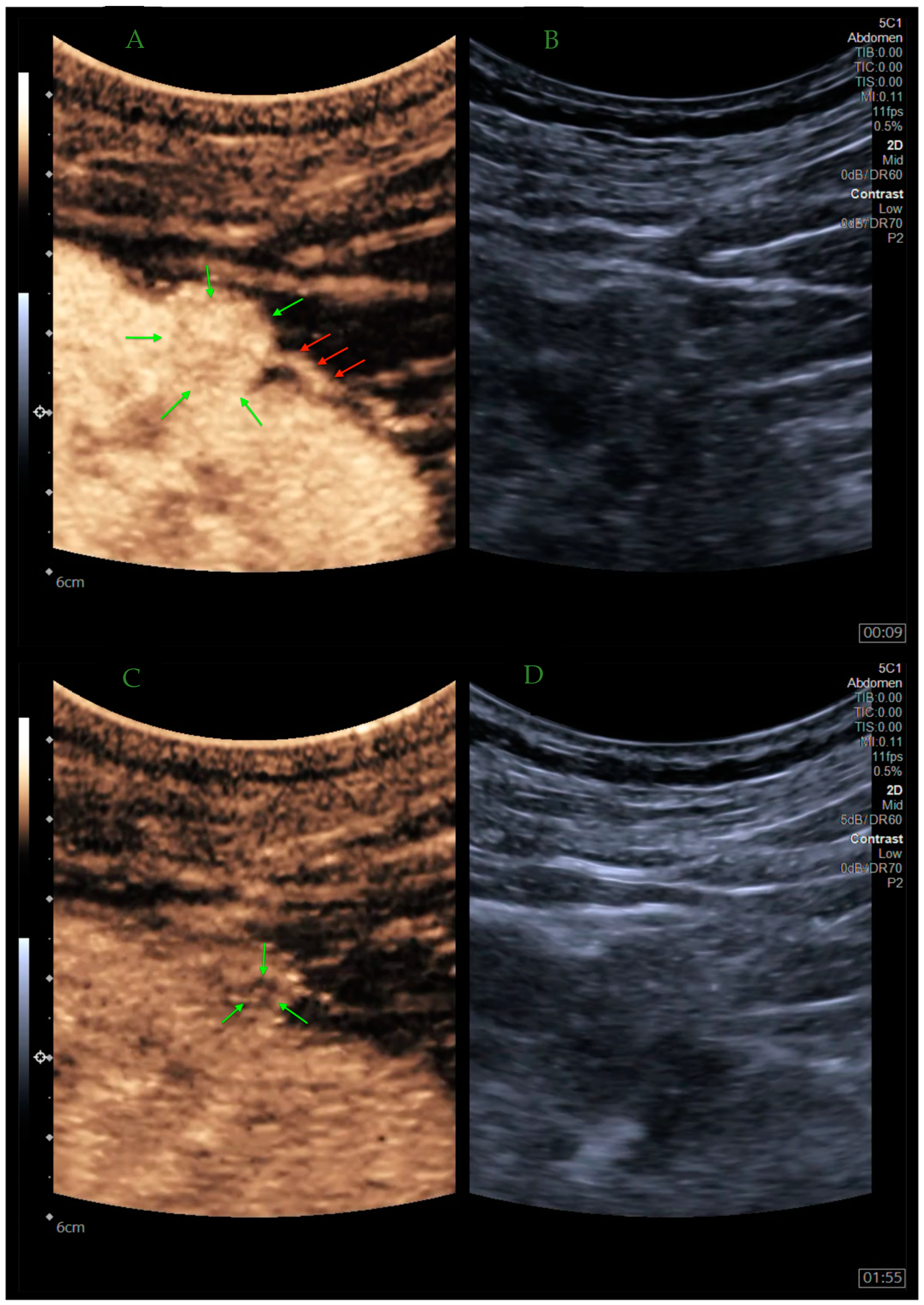
4. Solid Renal Lesions in CEUS
5. Cystic vs. Solid Renal Lesions in CEUS
| Bosniak Score | CEUS Appearance |
|---|---|
| I | Thin wall without irregularities with no enhancement on CEUS, or individual microbubbles running within tiny vessels in the wall. |
| II | Thin wall and septa without irregularities with no enhancement, or individual microbubbles running within tiny vessels in the wall and septa. |
| IIF | Thin or minimally thickened (2–3 mm), multiple septa without irregularities with no enhancement, smooth or minimally thickened wall. |
| III | Enhancing smooth thick (≥4 mm) wall or septa, and/or enhancing irregular (>3 mm) walls and/or septa. No nodules are seen. |
| IV | Enhancing smooth thick (≥4 mm) wall or septa, and/or enhancing irregular (>3 mm) walls and/or septa. Enhancing soft-tissue protrusions, either nodules with obtuse margins (≥4 mm) or with acute margins of any size. |
6. Differentiation between Renal Tumors and Pseudotumors in CEUS
7. CEUS vs. Other Diagnostic Imaging Methods
8. Monitoring Tumor Ablation
9. Conclusions
Author Contributions
Funding
Institutional Review Board Statement
Informed Consent Statement
Data Availability Statement
Conflicts of Interest
References
- Capitanio, U.; Bensalah, K.; Bex, A.; Boorjian, S.A.; Bray, F.; Coleman, J.; Gore, J.L.; Sun, M.; Wood, C.; Russo, P. Epidemiology of Renal Cell Carcinoma. Eur. Urol. 2019, 75, 74–84. [Google Scholar] [CrossRef]
- Zhang, W.; Wang, J.; Chen, L. Characteristics of high frame frequency contrast-enhanced ultrasound in renal tumors. BMC Med. Imaging 2024, 24, 71. [Google Scholar] [CrossRef]
- Barr, R.G.; Peterson, C.; Hindi, A. Evaluation of indeterminate renal masses with contrast-enhanced US: A diagnostic performance study. Radiology 2014, 271, 133–142. [Google Scholar] [CrossRef]
- Silverman, S.G.; Israel, G.M.; Herts, B.R.; Richie, J.P. Management of the incidental renal mass. Radiology 2008, 249, 16–31. [Google Scholar] [CrossRef]
- Kay, F.U.; Pedrosa, I. Imaging of Solid Renal Masses. Urol. Clin. N. Am. 2018, 45, 311–330. [Google Scholar] [CrossRef]
- Yoo, J.; Lee, J.M.; Kang, H.J.; Bae, J.S.; Jeon, S.K.; Yoon, J.H. Comparison Between Contrast-Enhanced Computed Tomography and Contrast-Enhanced Magnetic Resonance Imaging with Magnetic Resonance Cholangiopancreatography for Resectability Assessment in Extrahepatic Cholangiocarcinoma. Korean J. Radiol. 2023, 24, 983–995. [Google Scholar] [CrossRef]
- Tufano, A.; Antonelli, L.; Di Pierro, G.B.; Flammia, R.S.; Minelli, R.; Anceschi, U.; Leonardo, C.; Franco, G.; Drudi, F.M.; Cantisani, V. Diagnostic Performance of Contrast-Enhanced Ultrasound in the Evaluation of Small Renal Masses: A Systematic Review and Meta-Analysis. Diagnostics 2022, 12, 2310. [Google Scholar] [CrossRef]
- Granata, A.; Campo, I.; Lentini, P.; Pesce, F.; Gesualdo, L.; Basile, A.; Cantisani, V.; Zeiler, M.; Bertolotto, M. Role of Contrast-Enhanced Ultrasound (CEUS) in Native Kidney Pathology: Limits and Fields of Action. Diagnostics 2021, 11, 1058. [Google Scholar] [CrossRef] [PubMed]
- Sridharan, A.; Eisenbrey, J.R.; Forsberg, F.; Lorenz, N.; Steffgen, L.; Ntoulia, A. Ultrasound contrast agents: Microbubbles made simple for the pediatric radiologist. Pediatr. Radiol. 2021, 51, 2117–2127. [Google Scholar] [CrossRef] [PubMed]
- King, K.G. Use of Contrast Ultrasound for Renal Mass Evaluation. Radiol. Clin. N. Am. 2020, 58, 935–949. [Google Scholar] [CrossRef] [PubMed]
- Dong, S.; Zhang, B.; Chen, Z.; Du, D.; Shi, H.; Zhao, Y.; Tang, Y.; Luo, H.; Jiang, J. Assessment of renal quality with quantitative contrast-enhanced ultrasound (CEUS) for differentiating kidney histopathology before procurement. Int. J. Med. Sci. 2024, 21, 19–26. [Google Scholar] [CrossRef]
- Giangregorio, F.; Garolfi, M.; Mosconi, E.; Ricevuti, L.; Debellis, M.G.; Mendozza, M.; Esposito, C.; Vigotti, E.; Cadei, D.; Abruzzese, D. High frame-rate contrast enhanced ultrasound (HIFR-CEUS) in the characterization of small hepatic lesions in cirrhotic patients. J. Ultrasound 2023, 26, 71–79. [Google Scholar] [CrossRef]
- Aggarwal, A.; Goswami, S.; Das, C.J. Contrast-enhanced ultrasound of the kidneys: Principles and potential applications. Abdom. Radiol. 2022, 47, 1369–1384. [Google Scholar] [CrossRef]
- Chen, R.; Gao, B.; Wang, X.; Zhao, H.; Wang, X.; Liu, D. Ultrasonographic assessment of renal microcirculation is a new vision for the treatment of intensive care unit associated acute kidney injury. Eur. J. Med. Res. 2024, 29, 115. [Google Scholar] [CrossRef]
- Sellitto, S.; Tarantino, L.; Barone, F.; Barone, N.; Perna, A.; Lucariello, A.; Guerra, G.; De Luca, A.; Filippelli, A.; Sellitto, C. Contrast-Enhanced Ultrasound as a Diagnostic Procedure in Renal Diseases: A Case Report. G. Ital. Nefrol. 2024, 41, 41–46. [Google Scholar]
- Tsili, A.C.; Andriotis, E.; Gkeli, M.G.; Krokidis, M.; Stasinopoulou, M.; Varkarakis, I.M.; Moulopoulos, L.A. Oncologic Imaging Subcommittee Working Group of the Hellenic Radiological Society. The role of imaging in the management of renal masses. Eur. J. Radiol. 2021, 141, 109777. [Google Scholar] [CrossRef]
- Zhu, J.; Li, N.; Zhao, P.; Wang, Y.; Song, Q.; Song, L.; Li, Q.; Luo, Y. Contrast-enhanced ultrasound (CEUS) of benign and malignant renal tumors: Distinguishing CEUS features differ with tumor size. Cancer Med. 2023, 12, 2551–2559. [Google Scholar] [CrossRef]
- Sun, D.; Wei, C.; Li, Y.; Lu, Q.; Zhang, W.; Hu, B. Contrast-Enhanced Ultrasonography with Quantitative Analysis allows Differentiation of Renal Tumor Histotypes. Sci. Rep. 2016, 6, 35081. [Google Scholar] [CrossRef]
- Dipinto, P.; Canale, V.; Minelli, R.; Capuano, M.A.; Catalano, O.; Di Pierro, G.B.; Anceschi, U.; Perdonà, S.; Tufano, A. Qualitative and quantitative characteristics of CEUS for renal cell carcinoma and angiomyolipoma: A narrative review. J. Ultrasound 2024, 27, 13–20. [Google Scholar] [CrossRef] [PubMed]
- Drelich, K.; Zbroja, M.; Cyranka, W.; Pustelniak, O.; Kopyto, E.; Kuczyńska, M. The definitive role of CEUS in an ambiguous case of renal cell carcinoma. J. Ultrason. 2021, 21, e248–e251. [Google Scholar] [CrossRef] [PubMed]
- Stojanović, N.; Ignjatovic, I.; Kostov, M.; Mijović, Z.; Zivković, S.; Kosević, B. Giant renal oncocytoma. Vojnosanit. Pregl. 2013, 70, 68–71. [Google Scholar] [CrossRef]
- Tao, L.; Fan, J.; Zhan, W.; Li, W.; Lu, J.; Yang, N.; Ma, B.; Zhou, W. Contrast-enhanced ultrasound manifestations of renal masses undetectable on conventional ultrasound. Front. Oncol. 2022, 12, 943960. [Google Scholar] [CrossRef] [PubMed]
- Atri, M.; Jang, H.J.; Kim, T.K.; Khalili, K. Contrast-enhanced US of the Liver and Kidney: A Problem-solving Modality. Radiology 2022, 303, 1–25. [Google Scholar] [CrossRef] [PubMed]
- Tufano, A.; Drudi, F.M.; Angelini, F.; Polito, E.; Martino, M.; Granata, A.; Di Pierro, G.B.; Kutrolli, E.; Sampalmieri, M.; Canale, V.; et al. Contrast-Enhanced Ultrasound (CEUS) in the Evaluation of Renal Masses with Histopathological Validation-Results from a Prospective Single-Center Study. Diagnostics 2022, 12, 1209. [Google Scholar] [CrossRef] [PubMed]
- Lu, Q.; Xue, L.Y.; Huang, B.J.; Wang, W.P.; Li, C.X. Histotype differentiation of hypo-echoic renal tumors on CEUS: Usefulness of enhancement homogeneity and intensity. Abdom. Imaging 2015, 40, 1675–1683. [Google Scholar] [CrossRef] [PubMed]
- Gerst, S.; Hann, L.E.; Li, D.; Gonen, M.; Tickoo, S.; Sohn, M.J.; Russo, P. Evaluation of renal masses with contrast-enhanced ultrasound: Initial experience. AJR Am. J. Roentgenol. 2011, 197, 897–906. [Google Scholar] [CrossRef] [PubMed]
- King, K.G.; Gulati, M.; Malhi, H.; Hwang, D.; Gill, I.S.; Cheng, P.M.; Grant, E.G.; Duddalwar, V.A. Quantitative assessment of solid renal masses by contrast-enhanced ultrasound with time-intensity curves: How we do it. Abdom. Imaging 2015, 40, 2461–2471. [Google Scholar] [CrossRef]
- Wu, Y.; Du, L.; Li, F.; Zhang, H.; Cai, Y.; Jia, X. Renal oncocytoma: Contrast-enhanced sonographic features. J. Ultrasound Med. 2013, 32, 441–448. [Google Scholar] [CrossRef]
- Liu, H.; Cao, H.; Chen, L.; Fang, L.; Liu, Y.; Zhan, J.; Diao, X.; Chen, Y. The quantitative evaluation of contrast-enhanced ultrasound in the differentiation of small renal cell carcinoma subtypes and angiomyolipoma. Quant. Imaging Med. Surg. 2022, 12, 106–118. [Google Scholar] [CrossRef]
- Najafi, A.; Wildt, M.; Hainc, N.; Hohmann, J. Evaluation of Cystic and Solid Renal Lesions with Contrast-Enhanced Ultrasound: A Retrospective Study. Ultrasound Int. Open 2021, 7, E25–E34. [Google Scholar] [CrossRef]
- Nicolau, C.; Antunes, N.; Paño, B.; Sebastia, C. Imaging Characterization of Renal Masses. Medicina 2021, 57, 51. [Google Scholar] [CrossRef] [PubMed]
- Kaur, R.; Juneja, M.; Mandal, A.K. An overview of non-invasive imaging modalities for diagnosis of solid and cystic renal lesions. Med. Biol. Eng. Comput. 2020, 58, 1–24. [Google Scholar] [CrossRef] [PubMed]
- Alrumayyan, M.; Raveendran, L.; Lawson, K.A.; Finelli, A. Cystic Renal Masses: Old and New Paradigms. Urol. Clin. N. Am. 2023, 50, 227–238. [Google Scholar] [CrossRef] [PubMed]
- Park, B.K.; Kim, B.; Kim, S.H.; Ko, K.; Lee, H.M.; Choi, H.Y. Assessment of cystic renal masses based on Bosniak classification: Comparison of CT and contrast-enhanced US. Eur. J. Radiol. 2007, 61, 310–314. [Google Scholar] [CrossRef] [PubMed]
- Cantisani, V.; Bertolotto, M.; Clevert, D.A.; Correas, J.M.; Drudi, F.M.; Fischer, T.; Gilja, O.H.; Granata, A.; Graumann, O.; Harvey, C.J.; et al. EFSUMB 2020 Proposal for a Contrast-Enhanced Ultrasound-Adapted Bosniak Cyst Categorization–Position Statement. Ultraschall Med. 2021, 42, 154–166. [Google Scholar] [CrossRef] [PubMed]
- Lan, D.; Qu, H.-C.; Li, N.; Zhu, X.-W.; Liu, Y.-L.; Liu, C.-L. The Value of Contrast-Enhanced Ultrasonography and Contrast-Enhanced CT in the Diagnosis of Malignant Renal Cystic Lesions: A Meta-Analysis. PLoS ONE 2016, 11, e0155857. [Google Scholar] [CrossRef]
- Elbanna, K.Y.; Jang, H.J.; Kim, T.K.; Khalili, K.; Guimarães, L.S.; Atri, M. The added value of contrast-enhanced ultrasound in evaluation of indeterminate small solid renal masses and risk stratification of cystic renal lesions. Eur. Radiol. 2021, 31, 8468–8477. [Google Scholar] [CrossRef]
- Herms, E.; Weirich, G.; Maurer, T.; Wagenpfeil, S.; Preuss, S.; Sauter, A.; Heck, M.; Gärtner, A.; Hauner, K.; Autenrieth, M.; et al. Ultrasound-based “CEUS-Bosniak” classification for cystic renal lesions: An 8-year clinical experience. World J. Urol. 2023, 41, 679–685. [Google Scholar] [CrossRef]
- Möller, K.; Jenssen, C.; Correas, J.M.; Safai Zadeh, E.; Bertolotto, M.; Ignee, A.; Dong, Y.; Cantisani, V.; Dietrich, C.F. CEUS Bosniak Classification—Time for Differentiation and Change in Renal Cyst Surveillance. Cancers 2023, 15, 4709. [Google Scholar] [CrossRef]
- Sidhu, P.S.; Cantisani, V.; Dietrich, C.F.; Gilja, O.H.; Saftoiu, A.; Bartels, E.; Bertolotto, M.; Calliada, F.; Clevert, D.A.; Cosgrove, D.; et al. The EFSUMB Guidelines and Recommendations for the Clinical Practice of Contrast-Enhanced Ultrasound (CEUS) in Non-Hepatic Applications: Update 2017 (Long Version). Ultraschall Med. 2018, 39, e2–e44. [Google Scholar] [CrossRef]
- Mazziotti, S.; Zimbaro, F.; Pandolfo, A.; Racchiusa, S.; Settineri, N.; Ascenti, G. Usefulness of contrast-enhanced ultrasonography in the diagnosis of renal pseudotumors. Abdom. Imaging 2010, 35, 241–245. [Google Scholar] [CrossRef] [PubMed]
- Spiesecke, P.; Fischer, T.; Maxeiner, A.; Hamm, B.; Lerchbaumer, M.H. Contrast-enhanced ultrasound (CEUS) reliably rules out neoplasm in developmental renal pseudotumor. Acta Radiol. 2021, 62, 821–829. [Google Scholar] [CrossRef] [PubMed]
- Bertolotto, M.; Cicero, C.; Catalano, O.; Currò, F.; Derchi, L.E. Solid Renal Tumors Isoenhancing to Kidneys on Contrast-Enhanced Sonography: Differentiation from Pseudomasses. J. Ultrasound Med. 2018, 37, 233–242. [Google Scholar] [CrossRef] [PubMed]
- Fontanilla, T.; Minaya, J.; Cortés, C.; Hernando, C.G.; Arangüena, R.P.; Arriaga, J.; Carmona, M.S.; Alcolado, A. Acute complicated pyelonephritis: Contrast-enhanced ultrasound. Abdom. Imaging 2012, 37, 639–646. [Google Scholar] [CrossRef] [PubMed]
- Marschner, C.A.; Ruebenthaler, J.; Schwarze, V.; Negrão de Figueiredo, G.; Zhang, L.; Clevert, D.A. Comparison of computed tomography (CT), magnetic resonance imaging (MRI) and contrast-enhanced ultrasound (CEUS) in the evaluation of unclear renal lesions. RöFo 2020, 192, 1053–1059. [Google Scholar] [CrossRef] [PubMed]
- Dietrich, C.F.; Nolsøe, C.P.; Barr, R.G.; Berzigotti, A.; Burns, P.N.; Cantisani, V.; Chammas, M.C.; Chaubal, N.; Choi, B.I.; Clevert, D.A.; et al. Guidelines and Good Clinical Practice Recommendations for Contrast-Enhanced Ultrasound (CEUS) in the Liver-Update 2020 WFUMB in Cooperation with EFSUMB, AFSUMB, AIUM, and FLAUS. Ultrasound Med. Biol. 2020, 46, 2579–2604. [Google Scholar] [CrossRef] [PubMed]
- El-Bandar, N.; Lerchbaumer, M.H.; Peters, R.; Maxeiner, A.; Kotsch, K.; Sattler, A.; Miller, K.; Schlomm, T.; Hamm, B.; Budde, K.; et al. Kidney Perfusion in Contrast-Enhanced Ultrasound (CEUS) Correlates with Renal Function in Living Kidney Donors. J. Clin. Med. 2022, 11, 791. [Google Scholar] [CrossRef]
- Back, S.J.; Acharya, P.T.; Bellah, R.D.; Cohen, H.L.; Darge, K.; Deganello, A.; Harkanyi, Z.; Ključevšek, D.; Ntoulia, A.; Paltiel, H.J.; et al. Contrast-enhanced ultrasound of the kidneys and adrenals in children. Pediatr. Radiol. 2021, 51, 2198–2213. [Google Scholar] [CrossRef]
- Kapur, J.; Oscar, H. Contrast-enhanced ultrasound of kidneys in children with renal failure. J. Med. Ultrasound 2015, 23, 86–97. [Google Scholar] [CrossRef]
- Stemkens, B.; Prins, F.M.; Bruijnen, T.; Kerkmeijer, L.G.W.; Lagendijk, J.J.W.; van den Berg, C.A.T.; Tijssen, R.H.N. A dual-purpose MRI acquisition to combine 4D-MRI and dynamic contrast-enhanced imaging for abdominal radiotherapy planning. Phys. Med. Biol. 2019, 64, 06NT02. [Google Scholar] [CrossRef]
- Reiner, C.S.; Goetti, R.; Eberli, D.; Klotz, E.; Boss, A.; Pfammatter, T.; Frauenfelder, T.; Moch, H.; Sulser, T.; Alkadhi, H. CT perfusion of renal cell carcinoma: Impact of volume coverage on quantitative analysis. Investig. Radiol. 2012, 47, 33–40. [Google Scholar] [CrossRef] [PubMed]
- Zhang, D.; Wang, Y.; Yang, F.; Mao, Y.; Mu, J.; Zhao, L.; Xu, W. Diagnostic Value of Multi-Mode Ultrasonic Flow Imaging Examination in Solid Renal Tumors of Different Sizes. J. Clin. Med. 2023, 12, 566. [Google Scholar] [CrossRef] [PubMed]
- Bertolotto, M.; Bucci, S.; Valentino, M.; Currò, F.; Sachs, C.; Cova, M.A. Contrast-enhanced ultrasound for characterizing renal masses. Eur. J. Radiol. 2018, 105, 41–48. [Google Scholar] [CrossRef] [PubMed]
- Mao, Y.; Mu, J.; Zhao, J.; Yang, F.; Zhao, L. The comparative study of color doppler flow imaging, superb microvascular imaging, contrast-enhanced ultrasound micro flow imaging in blood flow analysis of solid renal mass. Cancer Imaging 2022, 22, 21. [Google Scholar] [CrossRef]
- Kuang, X.; Wang, H.; Chai, W.; Yuan, H.; He, T.; Shi, M.; Jiang, T. Clinical diagnostic value of contrast-enhanced ultrasound combined with microflow imaging in benign and malignant renal tumors: A retrospective cohort study. Biomol. Biomed. 2024. [Google Scholar] [CrossRef] [PubMed]
- Müller-Peltzer, K.; Rübenthaler, J.; Negrao de Figueiredo, G.; Clevert, D.A. CEUS–Diagnostik benigner Leberläsionen [CEUS–diagnosis of benign liver lesions]. Radiologe 2018, 58, 521–527. [Google Scholar] [CrossRef]
- Chiorean, L.; Tana, C.; Braden, B.; Caraiani, C.; Sparchez, Z.; Cui, X.W.; Baum, U.; Dietrich, C.F. Advantages and Limitations of Focal Liver Lesion Assessment with Ultrasound Contrast Agents: Comments on the European Federation of Societies for Ultrasound in Medicine and Biology (EFSUMB) Guidelines. Med. Princ. Pract. 2016, 25, 399–407. [Google Scholar] [CrossRef] [PubMed]
- Inzerillo, A.; Meloni, M.F.; Taibbi, A.; Bartolotta, T.V. Loco-regional treatment of hepatocellular carcinoma: Role of contrast-enhanced ultrasonography. World J. Hepatol. 2022, 14, 911–922. [Google Scholar] [CrossRef]
- Guo, F.; Hu, B.; Chen, L.; Li, J. Clinical application of contrast-enhanced ultrasound after percutaneous renal tumor ablation. Br. J. Radiol. 2019, 92, 20190183. [Google Scholar] [CrossRef]
- Vovdenko, S.; Ali, S.; Ali, H.; Taratkin, M.; Morozov, A.; Suvorov, A.; Khabib, D.; Rapoport, L.; Bezrukov, E. Contrast-enhanced ultrasound (CEUS) as a follow-up method after the focal treatment of renal tumors: Systematic review and meta-analysis. Int. Urol. Nephrol. 2024, 1–12. [Google Scholar] [CrossRef]



| Type of Tumor | Peak Intensity | Mean Transit Time | Tumor to Cortex Intensity |
|---|---|---|---|
| ccRCC | +++ | + | +++ |
| pRCC | + | + | + |
| chRCC | + | + | + |
| AML | ++ | ++ | ++ |
| Modality | CEUS | CE-MR | CE-CT |
|---|---|---|---|
| Radiation exposure | No radiation | No radiation | Radiation exposure |
| Toxicity | Nontoxic to kidneys | Renal toxicity | Renal toxicity |
| Duration | Fast time modality | Long time modality | Fast time modality |
| Contrast half-life | Short half-life | Long half-life | Long half-life |
| Contrast resolution | Highest contrast resolution | Lower contrast resolution | Lower contrast resolution |
| Operator dependence | Operator-dependent | Operator-independent | Operator-independent |
| Expense | Cheaper examination | More expensive examination | More expensive examination |
Disclaimer/Publisher’s Note: The statements, opinions and data contained in all publications are solely those of the individual author(s) and contributor(s) and not of MDPI and/or the editor(s). MDPI and/or the editor(s) disclaim responsibility for any injury to people or property resulting from any ideas, methods, instructions or products referred to in the content. |
© 2024 by the authors. Licensee MDPI, Basel, Switzerland. This article is an open access article distributed under the terms and conditions of the Creative Commons Attribution (CC BY) license (https://creativecommons.org/licenses/by/4.0/).
Share and Cite
Zbroja, M.; Kuczyńska, M.; Drelich, K.; Mikos, E.; Zarajczyk, A.; Cheda, M.; Dąbrowska, I.; Drelich-Zbroja, A. Contrast-Enhanced Ultrasound in the Diagnosis of Solid Renal Lesions. J. Clin. Med. 2024, 13, 3821. https://doi.org/10.3390/jcm13133821
Zbroja M, Kuczyńska M, Drelich K, Mikos E, Zarajczyk A, Cheda M, Dąbrowska I, Drelich-Zbroja A. Contrast-Enhanced Ultrasound in the Diagnosis of Solid Renal Lesions. Journal of Clinical Medicine. 2024; 13(13):3821. https://doi.org/10.3390/jcm13133821
Chicago/Turabian StyleZbroja, Monika, Maryla Kuczyńska, Katarzyna Drelich, Eryk Mikos, Agata Zarajczyk, Mateusz Cheda, Izabela Dąbrowska, and Anna Drelich-Zbroja. 2024. "Contrast-Enhanced Ultrasound in the Diagnosis of Solid Renal Lesions" Journal of Clinical Medicine 13, no. 13: 3821. https://doi.org/10.3390/jcm13133821
APA StyleZbroja, M., Kuczyńska, M., Drelich, K., Mikos, E., Zarajczyk, A., Cheda, M., Dąbrowska, I., & Drelich-Zbroja, A. (2024). Contrast-Enhanced Ultrasound in the Diagnosis of Solid Renal Lesions. Journal of Clinical Medicine, 13(13), 3821. https://doi.org/10.3390/jcm13133821

