Novel Use of a Fibular Strut Allograft with Fibular Head in an Elderly Patient with Proximal Humeral Fracture and Severe Metaphyseal Comminution: An Alternative to Shoulder Arthroplasty
Abstract
1. Introduction
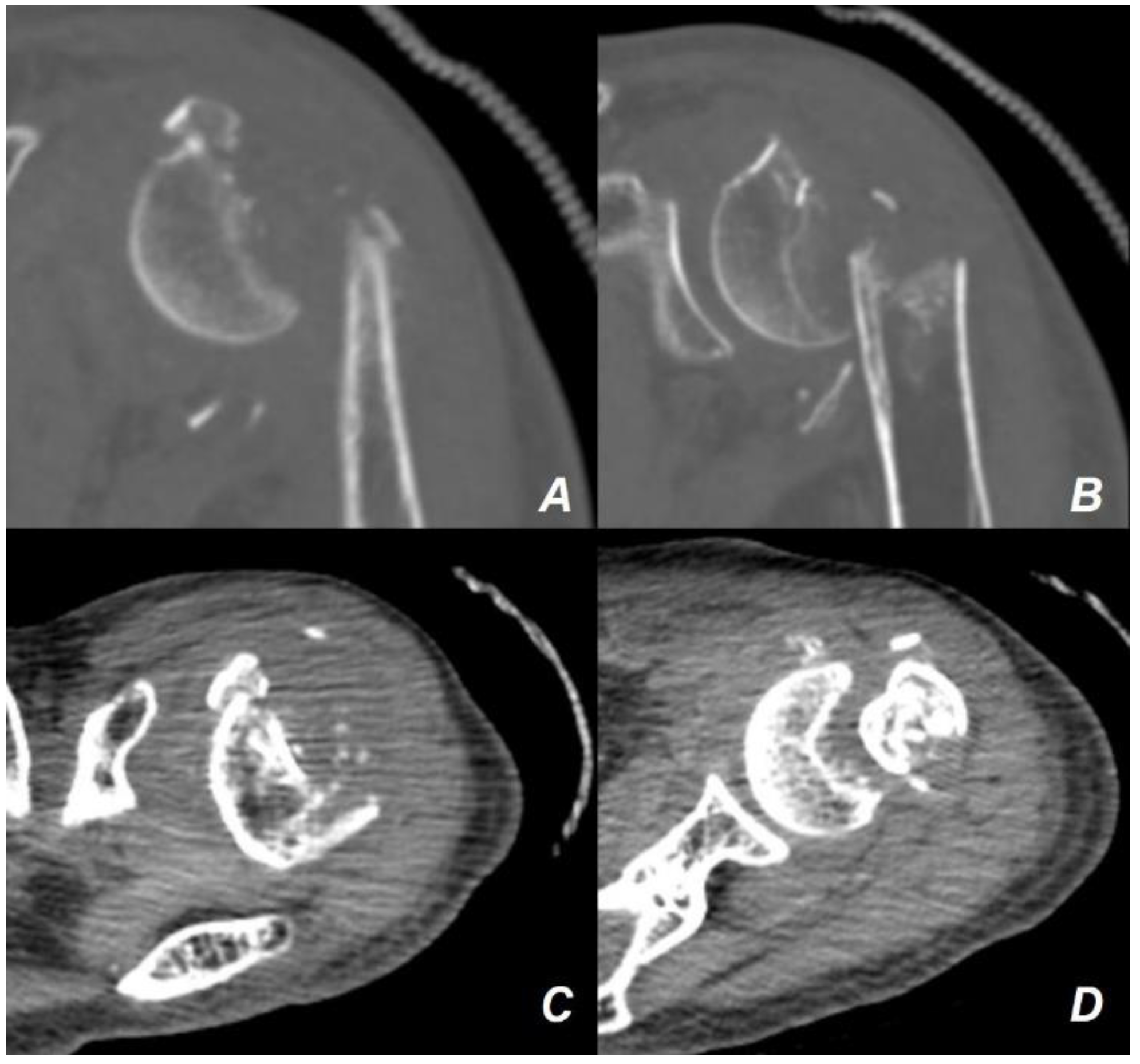
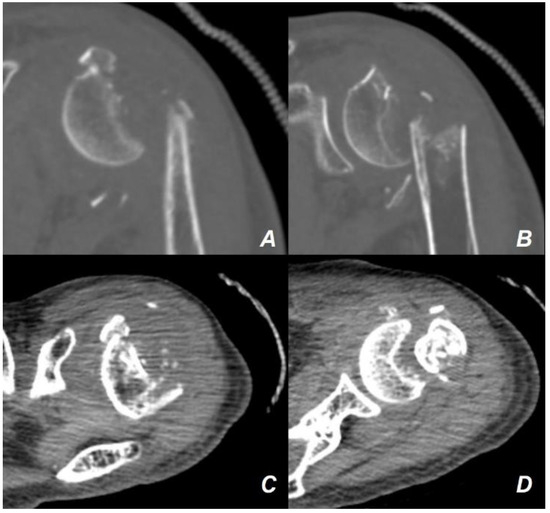
2. Case Presentation
Surgical Technique
3. Discussion
4. Conclusions
Author Contributions
Funding
Institutional Review Board Statement
Informed Consent Statement
Data Availability Statement
Acknowledgments
Conflicts of Interest
References
- Iglesias-Rodríguez, S.; Domínguez-Prado, D.M.; García-Reza, A.; Fernández-Fernández, D.; Pérez-Alfonso, E.; García-Piñeiro, J.; Castro-Menéndez, M. Epidemiology of proximal humerus fractures. J. Orthop. Surg. Res. 2021, 16, 402. [Google Scholar] [CrossRef] [PubMed]
- Martinez-Catalan, N. Conservative treatment of proximal Humerus fractures: When, how, and what to expect. Curr. Rev. Musculoskelet. Med. 2023, 16, 75–84. [Google Scholar] [CrossRef]
- Lopiz, Y.; Alcobía-Díaz, B.; Galán-Olleros, M.; García-Fernández, C.; Picado, A.L.; Marco, F. Reverse shoulder arthroplasty versus nonoperative treatment for 3-or 4-part proximal humeral fractures in elderly patients: A prospective randomized controlled trial. J. Shoulder Elb. Surg. 2019, 28, 2259–2271. [Google Scholar] [CrossRef] [PubMed]
- Gardner, M.J.; Weil, Y.; Barker, J.U.; Kelly, B.T.; Helfet, D.L.; Lorich, D.G. The importance of medial support in locked plating of proximal humerus fractures. J. Orthop. Trauma 2007, 21, 185–191. [Google Scholar] [CrossRef]
- Wang, Q.; Sheng, N.; Rui, B.; Chen, Y. The neck-shaft angle is the key factor for the positioning of calcar screw when treating proximal humeral fractures with a locking plate. Bone Jt. J. 2020, 102, 1629–1635. [Google Scholar] [CrossRef] [PubMed]
- Jung, W.-B.; Moon, E.-S.; Kim, S.-K.; Kovacevic, D.; Kim, M.-S. Does medial support decrease major complications of unstable proximal humerus fractures treated with locking plate? BMC Musculoskelet. Disord. 2013, 14, 102. [Google Scholar] [CrossRef]
- Kim, D.-Y.; Kim, T.-Y.; Hwang, J.-T. PHILOS plate fixation with polymethyl methacrylate cement augmentation of an osteoporotic proximal humerus fracture. Clin. Shoulder Elb. 2020, 23, 156. [Google Scholar] [CrossRef]
- Foruria, A.M.; Martinez-Catalan, N.; Valencia, M.; Morcillo, D.; Calvo, E. Proximal humeral fracture locking plate fixation with anatomic reduction, and a short-and-cemented-screws configuration, dramatically reduces the implant related failure rate in elderly patients. JSES Int. 2021, 5, 992–1000. [Google Scholar] [CrossRef] [PubMed]
- Kim, D.-S.; Lee, D.-H.; Chun, Y.-M.; Shin, S.-J. Which additional augmented fixation procedure decreases surgical failure after proximal humeral fracture with medial comminution: Fibular allograft or inferomedial screws? J. Shoulder Elb. Surg. 2018, 27, 1852–1858. [Google Scholar] [CrossRef] [PubMed]
- Lee, S.-J.; Hyun, Y.-S.; Baek, S.-H. Strut support with tricortical iliac allografts in unstable proximal humerus fractures: Surgical indication and new definition of poor medial column support. Clin. Shoulder Elb. 2019, 22, 29. [Google Scholar] [CrossRef]
- Gardner, M.J.; Boraiah, S.; Helfet, D.L.; Lorich, D.G. Indirect medial reduction and strut support of proximal humerus fractures using an endosteal implant. J. Orthop. Trauma 2008, 22, 195–200. [Google Scholar] [CrossRef] [PubMed]
- Cui, X.; Chen, H.; Ma, B.; Fan, W.; Li, H. Fibular strut allograft influences reduction and outcomes after locking plate fixation of comminuted proximal humeral fractures in elderly patients: A retrospective study. BMC Musculoskelet. Disord. 2019, 20, 511. [Google Scholar] [CrossRef] [PubMed]
- Kim, J.Y.; Lee, J.; Kim, S.-H. Comparison between MIPO and the deltopectoral approach with allogenous fibular bone graft in proximal humeral fractures. Clin. Shoulder Elb. 2020, 23, 136. [Google Scholar] [CrossRef] [PubMed]
- Zhao, L.; Qi, Y.m.; Yang, L.; Wang, G.r.; Zheng, S.n.; Wang, Q.; Liang, B.; Jiang, C.z. Comparison of the effects of proximal humeral internal locking system (PHILOS) alone and PHILOS combined with fibular allograft in the treatment of Neer three-or four-part proximal Humerus fractures in the elderly. Orthop. Surg. 2019, 11, 1003–1012. [Google Scholar] [CrossRef] [PubMed]
- Myers, D.M.; Triplet, J.J.; Warmoth, P.J.; Passias, B.J.; McGowan, S.P.; Taylor, B.C. Improved outcomes using a fibular strut in proximal humerus fracture fixation. Orthopedics 2020, 43, 262–268. [Google Scholar] [CrossRef] [PubMed]
- Tuerxun, M.; Tuxun, A.; Zeng, L.; Wang, Q.; Chen, Y. Locking plate combined with endosteal fibular allograft augmentation for medial column comminuted proximal humeral fracture. Orthopedics 2020, 43, 367–372. [Google Scholar] [CrossRef] [PubMed]
- Kelly, B.J.; Myeroff, C.M. Reverse shoulder arthroplasty for proximal humerus fracture. Curr. Rev. Musculoskelet. Med. 2020, 13, 186–199. [Google Scholar] [CrossRef] [PubMed]
- Fraser, A.N.; Bjørdal, J.; Wagle, T.M.; Karlberg, A.C.; Lien, O.A.; Eilertsen, L.; Mader, K.; Apold, H.; Larsen, L.B.; Madsen, J.E. Reverse shoulder arthroplasty is superior to plate fixation at 2 years for displaced proximal humeral fractures in the elderly: A multicenter randomized controlled trial. JBJS 2020, 102, 477–485. [Google Scholar] [CrossRef]
- Luciani, P.; Procaccini, R.; Rotini, M.; Pettinari, F.; Gigante, A. Angular stable plate versus reverse shoulder arthroplasty for proximal humeral fractures in elderly patient. Musculoskelet. Surg. 2020, 106, 43–48. [Google Scholar] [CrossRef] [PubMed]
- Greiwe, R.M.; Kohrs, B.J.; Callegari, J.; Harm, R.G.; Hill, M.A.; Boyle, M.S. Open reduction internal fixation vs. reverse shoulder arthroplasty for the treatment of acute displaced proximal humerus fractures. JSES 2020, 30, 250–257. [Google Scholar] [CrossRef]
- Antonios, T.; Bakti, N.; Phadkhe, A.; Gulihar, A.; Singh, B. Outcomes following arthroplasty for proximal humeral fractures. J. Clin. Orthop. Trauma 2020, 11, S31–S36. [Google Scholar] [CrossRef] [PubMed]
- Tabarestani, T.Q.; Levin, J.M.; Warren, E.; Boadi, P.; Twomey-Kozak, J.; Wixted, C.; Goltz, D.E.; Wickman, J.; Hurley, E.T.; Anakwenze, O. Preoperative glenoid bone density is associated with systemic osteoporosis in primary shoulder arthroplasty. JSES 2023, 33, 727–734. [Google Scholar] [CrossRef]
- Casp, A.J.; Montgomery Jr, S.R.; Cancienne, J.M.; Brockmeier, S.F.; Werner, B.C. Osteoporosis and implant-related complications after anatomic and reverse total shoulder arthroplasty. JAAOS-J. Am. Acad. Orthop. Surg. 2020, 28, 121–127. [Google Scholar] [CrossRef] [PubMed]
- Kim, K.-C.; Rhee, K.-J.; Shin, H.-D. Tension band sutures using a washer for a proximal humerus fracture. J. Trauma Acute Care Surg. 2008, 64, 1136–1138. [Google Scholar] [CrossRef] [PubMed]
- Cho, C.-H.; Jung, G.-H.; Song, K.-S. Tension suture fixation using 2 washers for proximal humeral fractures. Orthopedics 2012, 35, 202–205. [Google Scholar] [CrossRef]
- Terrier, A.; Obrist, R.; Becce, F.; Farron, A. Cement stress predictions after anatomic total shoulder arthroplasty are correlated with preoperative glenoid bone quality. J. Shoulder Elb. Surg. 2017, 26, 1644–1652. [Google Scholar] [CrossRef] [PubMed]
- Marin, R.; Feltri, P.; Ferraro, S.; Ippolito, G.; Campopiano, G.; Previtali, D.; Filardo, G.; Marbach, F.; De Marinis, G.; Candrian, C. Impact of tuberosity treatment in reverse shoulder arthroplasty after proximal humeral fractures: A multicentre study. J. Orthop. Sci. 2023, 28, 765–771. [Google Scholar] [CrossRef] [PubMed]
- Schmalzl, J.; Jessen, M.; Sadler, N.; Lehmann, L.-J.; Gerhardt, C. High tuberosity healing rate associated with better functional outcome following primary reverse shoulder arthroplasty for proximal humeral fractures with a 135° prosthesis. BMC Musculoskelet. Disord. 2020, 21, 35. [Google Scholar] [CrossRef] [PubMed]
- Takayama, K.; Yamada, S.; Kobori, Y.; Shiode, H. The clinical outcomes and tuberosity healing after reverse total shoulder arthroplasty for acute proximal humeral fracture using the turned stem tension band technique. J. Orthop. Sci. 2022, 27, 372–379. [Google Scholar] [CrossRef]
- Rivera, A.R.; Cardona, V. Reverse total shoulder arthroplasty for complex proximal humerus fracture in the elderly: Clinical and radiological results. JSES Rev. Rep. Technol. 2023, 3, 131–136. [Google Scholar] [CrossRef]
- Hackett Jr, D.J.; Hsu, J.E.; Matsen III, F.A. Primary shoulder hemiarthroplasty: What can be learned from 359 cases that were surgically revised? Clin. Orthop. Relat. Res. 2018, 476, 1031. [Google Scholar] [CrossRef] [PubMed]
- Solberg, B.D.; Moon, C.N.; Franco, D.P.; Paiement, G.D. Locked plating of 3-and 4-part proximal humerus fractures in older patients: The effect of initial fracture pattern on outcome. J. Orthop. Trauma 2009, 23, 113–119. [Google Scholar] [CrossRef] [PubMed]
- Gupta, A.K.; Harris, J.D.; Erickson, B.J.; Abrams, G.D.; Bruce, B.; McCormick, F.; Nicholson, G.P.; Romeo, A.A. Surgical management of complex proximal humerus fractures—A systematic review of 92 studies including 4500 patients. J. Orthop. Trauma 2015, 29, 54–59. [Google Scholar] [CrossRef] [PubMed]
- Sproul, R.C.; Iyengar, J.J.; Devcic, Z.; Feeley, B.T. A systematic review of locking plate fixation of proximal humerus fractures. Injury 2011, 42, 408–413. [Google Scholar] [CrossRef] [PubMed]
- Nie, W.; Wang, Z.; Gu, F.; Xu, S.; Yue, Y.; Shao, A.; Sun, K. Effects of fibular strut augmentation for the open reduction and internal fixation of proximal humeral fractures: A systematic review and meta-analysis. J. Orthop. Surg. Res. 2022, 17, 322. [Google Scholar] [CrossRef] [PubMed]
- Chang, H.-H.; Lim, J.-R.; Lee, K.-H.; An, H.; Yoon, T.-H.; Chun, Y.-M. The biomechanical effect of fibular strut grafts on humeral surgical neck fractures with lateral wall comminution. Sci. Rep. 2023, 13, 3744. [Google Scholar] [CrossRef] [PubMed]
- Saltzman, B.M.; Erickson, B.J.; Harris, J.D.; Gupta, A.K.; Mighell, M.; Romeo, A.A. Fibular strut graft augmentation for open reduction and internal fixation of proximal humerus fractures: A systematic review and the authors’ preferred surgical technique. Orthop. J. Sports Med. 2016, 4, 2325967116656829. [Google Scholar] [CrossRef] [PubMed]
- Davids, S.; Allen, D.; Desarno, M.; Endres, N.K.; Bartlett, C.; Shafritz, A. Comparison of locked plating of varus displaced proximal humeral fractures with and without fibula allograft augmentation. J. Orthop. Trauma 2020, 34, 186–192. [Google Scholar] [CrossRef] [PubMed]









| Information | Details |
|---|---|
| Age at surgery | 88 |
| Sex | Female |
| Diagnoses | Severe osteoporosis (T-score −4.6 at the femoral neck) |
| Mild hypertension on medication | |
| Neer 4-part proximal humerus fracture on the left shoulder | |
| Physical Examination | Decreased painful range of motion in the left shoulder |
| Functional demand | Independent light household activities |
| Osteoporosis medication | None |
| Past medical history | None |
Disclaimer/Publisher’s Note: The statements, opinions and data contained in all publications are solely those of the individual author(s) and contributor(s) and not of MDPI and/or the editor(s). MDPI and/or the editor(s) disclaim responsibility for any injury to people or property resulting from any ideas, methods, instructions or products referred to in the content. |
© 2024 by the authors. Licensee MDPI, Basel, Switzerland. This article is an open access article distributed under the terms and conditions of the Creative Commons Attribution (CC BY) license (https://creativecommons.org/licenses/by/4.0/).
Share and Cite
Lim, J.-H.; Ahn, Y.-S.; Kim, S.; Kim, M.-S. Novel Use of a Fibular Strut Allograft with Fibular Head in an Elderly Patient with Proximal Humeral Fracture and Severe Metaphyseal Comminution: An Alternative to Shoulder Arthroplasty. J. Clin. Med. 2024, 13, 2200. https://doi.org/10.3390/jcm13082200
Lim J-H, Ahn Y-S, Kim S, Kim M-S. Novel Use of a Fibular Strut Allograft with Fibular Head in an Elderly Patient with Proximal Humeral Fracture and Severe Metaphyseal Comminution: An Alternative to Shoulder Arthroplasty. Journal of Clinical Medicine. 2024; 13(8):2200. https://doi.org/10.3390/jcm13082200
Chicago/Turabian StyleLim, Jun-Hyuk, Yeong-Seub Ahn, Sungmin Kim, and Myung-Sun Kim. 2024. "Novel Use of a Fibular Strut Allograft with Fibular Head in an Elderly Patient with Proximal Humeral Fracture and Severe Metaphyseal Comminution: An Alternative to Shoulder Arthroplasty" Journal of Clinical Medicine 13, no. 8: 2200. https://doi.org/10.3390/jcm13082200
APA StyleLim, J.-H., Ahn, Y.-S., Kim, S., & Kim, M.-S. (2024). Novel Use of a Fibular Strut Allograft with Fibular Head in an Elderly Patient with Proximal Humeral Fracture and Severe Metaphyseal Comminution: An Alternative to Shoulder Arthroplasty. Journal of Clinical Medicine, 13(8), 2200. https://doi.org/10.3390/jcm13082200

