A Comprehensive Excursus of the Roles of Echocardiography in Heart Transplantation Follow-Up
Abstract
1. Introduction
2. Echocardiography of the Normal Cardiac Allograft
2.1. Evaluation of Left Ventricular Function
2.2. Evaluation of Right Ventricular Function
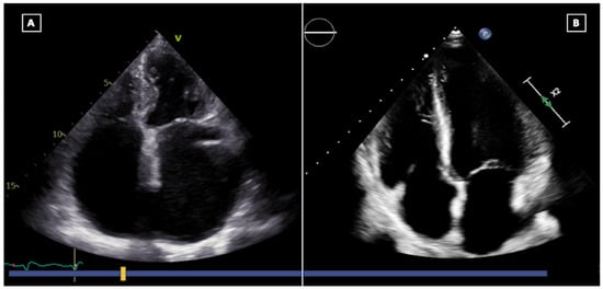
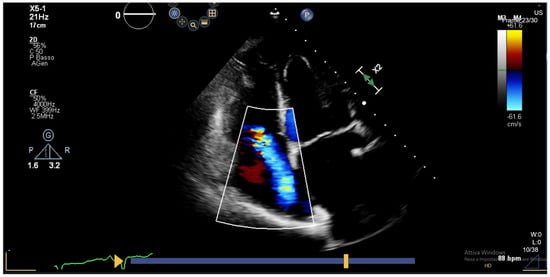
2.3. Evaluation of Postoperative Valvular Function
2.4. Evaluation of Atrial Function
2.5. Evaluation of Diastolic Function
2.6. Evaluation of Tissue Doppler Imaging
2.7. Evaluation of Postoperative Pericardial Effusion
3. Primary Graft Dysfunction
4. Echocardiography in Graft Rejection
5. Echocardiography in CAV
6. Echocardiography during Endomyocardial Biopsy
7. Conclusions
8. Future Directions
Author Contributions
Funding
Conflicts of Interest
References
- McDonagh, T.A.; Metra, M.; Adamo, M.; Gardner, R.S.; Baumbach, A.; Böhm, M.; Burri, H.; Butler, J.; Čelutkienė, J.; Chioncel, O.; et al. 2021 ESC Guidelines for the diagnosis and treatment of acute and chronic heart failure: Developed by the Task Force for the diagnosis and treatment of acute and chronic heart failure of the European Society of Cardiology (ESC) with the special contribution of the Heart Failure Association (HFA) of the ESC. Eur. Heart J. 2021, 42, 3599–3726. [Google Scholar] [PubMed]
- Velleca, A.; Shullo, M.A.; Dhital, K.; Azeka, E.; Colvin, M.; DePasquale, E.; Farrero, M.; Garcia-Guereta, L.; Jamero, G.; Khush, K.; et al. The International Society for Heart and Lung Transplantation (ISHLT) guidelines for the care of heart transplant recipients. J. Heart Lung Transplant. 2023, 42, e1–e141. [Google Scholar] [CrossRef]
- Javaheri, A.; Saha, N.; Lilly, S.M. How to Approach the Assessment of Cardiac Allograft Vasculopathy in the Modern Era: Review of Invasive Imaging Modalities. Curr. Heart Fail. Rep. 2016, 13, 86–91. [Google Scholar] [CrossRef]
- Pergola, V.; Mattesi, G.; Cozza, E.; Pradegan, N.; Tessari, C.; Dellino, C.M.; Savo, M.T.; Amato, F.; Cecere, A.; Perazzolo Marra, M.; et al. New Non-Invasive Imaging Technologies in Cardiac Transplant Follow Up: Acquired Evidence and Future Options. Diagnostics 2023, 13, 2818. [Google Scholar] [CrossRef] [PubMed]
- Gonzales-Vilchez, F.; Vazquez de Prada, J.A. Chronic renal insufficiency in heart transplant recipients: Risk factors and management options. Drugs 2014, 74, 1481–1494. [Google Scholar] [CrossRef] [PubMed]
- Thorn, E.M.; de Filippi, C.R. Echocardiography in the cardiac transplant recipient. Heart Fail. Clin. 2007, 3, 51–67. [Google Scholar] [CrossRef]
- Ingvarsson, A.; Werther Evaldsson, A.; Waktare, J.; Nilsson, J.; Smith, G.J.; Stagmo, M.; Roijer, A.; Rådegran, G.; Meurling, C.J. Normal Reference Ranges for Transthoracic Echocardiography Following Heart Transplantation. J. Am. Soc. Echocardiogr. 2018, 31, 349–360. [Google Scholar] [CrossRef] [PubMed]
- Badano, L.P.; Miglioranza, M.H.; Edvardsen, T.; Colafranceschi, A.S.; Muraru, D.; Bacal, F.; Nieman, K.; Zoppellaro, G.; Marcondes Braga, F.G.; Binder, T.; et al. European Association of Cardiovascular Imaging/Cardiovascular Imaging Department of the Brazilian Society of Cardiology recommendations for the use of cardiac imaging to assess and follow patients after heart transplantation. Eur. Heart J. Cardiovasc. Imaging 2015, 16, 919–948. [Google Scholar] [CrossRef] [PubMed]
- Gorcsan, J., 3rd; Snow, F.R.; Paulsen, W.; Arrowood, J.A.; Thompson, J.A.; Nixon, J.V. Echocardiographic profile of the transplanted human heart in clinically well recipients. J. Heart Lung Transplant. 1992, 11 Pt 1, 80–89. [Google Scholar]
- Wilhelmi, M.; Pethig, K.; Wilhelmi, M.; Nguyen, H.; Strüber, M.; Haverich, A. Heart transplantation: Echocardiographic assessment of morphology and function after more than 10 years of follow-up. Ann. Thorac. Surg. 2002, 74, 1075–1079. [Google Scholar] [CrossRef] [PubMed]
- Bhatia, S.J.; Kirshenbaum, J.M.; Shemin, R.J.; Cohn, L.H.; Collins, J.J.; Di Sesa, V.J.; Young, P.J.; Mudge, G.H., Jr.; Sutton, M.G. Time course of resolution of pulmonary hypertension and right ventricular remodeling after orthotopic cardiac transplantation. Circulation 1987, 76, 819–826. [Google Scholar] [CrossRef] [PubMed]
- Reich, D.L.; Konstadt, S.N.; Thys, D.M. The pericardium exerts constraint on the right ventricle during cardiac surgery. Acta Anaesthesiol. Scand. 1990, 34, 530–533. [Google Scholar] [CrossRef] [PubMed]
- Bittner, H.B.; Chen, E.P.; Biswas, S.S.; Van Trigt, P., 3rd; Davis, R.D. Right ventricular dysfunction after cardiac transplantation: Primarily related to status of donor heart. Ann. Thorac. Surg. 1999, 68, 1605–1611. [Google Scholar] [CrossRef]
- Raina, A.; Vaidya, A.; Gertz, Z.M.; Chambers, S.; Forfia, P.R. Marked changes in right ventricular contractile pattern after cardiothoracic surgery: Implications for post-surgical assessment of right ventricular function. J. Heart Lung Transplant. 2013, 32, 777–783. [Google Scholar] [CrossRef] [PubMed]
- Antończyk, K.; Niklewski, T.; Antończyk, R.; Zakliczyński, M.; Zembala, M.; Kukulski, T. Evaluation of the Graft Mechanical Function Using Speckle-Tracking Echocardiography During the First Year After Orthotropic Heart Transplantation. Ann. Transplant. 2018, 23, 554–560. [Google Scholar] [CrossRef] [PubMed]
- Moñivas Palomero, V.; Mingo Santos, S.; Goirigolzarri Artaza, J.; Rodriguez Gonzalez, E.; Restrepo Córdoba, M.A.; Jiménez Sanchez, D.; Rivero Arribas, B.; Garcia Lunar, I.; Mitroi, C.D.; Sayago Silva, I.; et al. Two-Dimensional Speckle Tracking Echocardiography in Heart Transplant Patients: Two-Year Follow-Up of Right and Left Ventricular Function. Echocardiography 2016, 33, 703–713. [Google Scholar] [CrossRef] [PubMed]
- Romano, G.; Raffa, G.M.; Licata, P.; Tuzzolino, F.; Baravoglia, C.H.; Sciacca, S.; Scardulla, C.; Pilato, M.; Lancellotti, P.; Clemenza, F.; et al. Can multiple previous treatment-requiring rejections affect biventricular myocardial function in heart transplant recipients? A two-dimensional speckle-tracking study. Int. J. Cardiol. 2016, 209, 54–56. [Google Scholar] [CrossRef] [PubMed]
- Tamborini, G.; Muratori, M.; Brusoni, D.; Celeste, F.; Maffessanti, F.; Caiani, E.G.; Alamanni, F.; Pepi, M. Is right ventricular systolic function reduced after cardiac surgery? A two- and three-dimensional echocardiographic study. Eur. J. Echocardiogr. 2009, 10, 630–634. [Google Scholar] [CrossRef] [PubMed]
- D’Andrea, A.; Riegler, L.; Nunziata, L.; Scarafile, R.; Gravino, R.; Salerno, G.; Amarelli, C.; Maiello, C.; Limongelli, G.; Di Salvo, G.; et al. Right heart morphology and function in heart transplantation recipients. J. Cardiovasc. Med. 2013, 14, 648–658. [Google Scholar] [CrossRef] [PubMed]
- Wong, R.C.; Abrahams, Z.; Hanna, M.; Pangrace, J.; Gonzalez-Stawinski, G.; Starling, R.; Taylor, D. Tricuspid regurgitation after cardiac transplantation: An old problem revisited. J. Heart Lung Transplant. 2008, 27, 247–252. [Google Scholar] [CrossRef] [PubMed]
- Milano, C.A.; Shah, A.S.; Van Trigt, P.; Jaggers, J.; Davis, R.D.; Glower, D.D.; Higginbotham, M.B.; Russell, S.D.; Landolfo, K.P. Evaluation of early postoperative results after bicaval versus standard cardiac transplantation and review of the literature. Am. Heart J. 2000, 140, 717–721. [Google Scholar] [CrossRef] [PubMed]
- Nguyen, V.; Cantarovich, M.; Cecere, R.; Giannetti, N. Tricuspid regurgitation after cardiac transplantation: How many biopsies are too many? J. Heart Lung Transplant. 2005, 24 (Suppl. S7), S227–S231. [Google Scholar] [CrossRef] [PubMed]
- Stevenson, L.W.; Dadourian, B.J.; Kobashigawa, J.; Child, J.S.; Clark, S.H.; Laks, H. Mitral regurgitation after cardiac transplantation. Am. J. Cardiol. 1987, 60, 119–122. [Google Scholar] [CrossRef] [PubMed]
- Mondillo, S.; Maccherini, M.; Galderisi, M. Usefulness and limitations of transthoracic echocardiography in heart transplantation recipients. Cardiovasc. Ultrasound 2008, 6, 2. [Google Scholar] [CrossRef] [PubMed]
- Peteiro, J.; Redondo, F.; Calviño, R.; Cuenca, J.; Pradas, G.; Castro Beiras, A. Differences in heart transplant physiology according to surgical technique. J. Thorac. Cardiovasc. Surg. 1996, 112, 584–589. [Google Scholar] [CrossRef]
- Goland, S.; Siegel, R.J.; Burton, K.; De Robertis, M.A.; Rafique, A.; Schwarz, E.; Zivari, K.; Mirocha, J.; Trento, A.; Czer, L.S. Changes in left and right ventricular function of donor hearts during the first year after heart transplantation. Heart 2011, 97, 1681–1686. [Google Scholar] [CrossRef] [PubMed]
- StGoar, F.G.; Gibbons, R.; Schnittger, I.; Valantine, H.A.; Popp, R.L. Left ventricular diastolic function. Doppler echocardiographic changes soon after cardiac transplantation. Circulation 1990, 82, 872–878. [Google Scholar] [CrossRef]
- Valantine, H.A.; Appleton, C.P.; Hatle, L.K.; Hunt, S.A.; Billingham, M.E.; Shumway, N.E.; Stinson, E.B.; Popp, R.L. A hemodynamic and Doppler echocardiographic study of ventricular function in long-term cardiac allograft recipients. Etiology and prognosis of restrictive-constrictive physiology. Circulation 1989, 79, 66–75. [Google Scholar] [CrossRef] [PubMed]
- Ciliberto, G.R.; Anjos, M.C.; Gronda, E.; Bonacina, E.; Danzi, G.; Colombo, P.; Mangiavacchi, M.; Alberti, A.; Frigerio, M.; De Vita, C. Significance of pericardial effusion after heart transplantation. Am. J. Cardiol. 1995, 76, 297–300. [Google Scholar] [CrossRef]
- Almenar, L.; Osa, A.; Martínez-Dolz, L.; Miró, V.; Quesada, T.; Cano, O.; Bertomeu, V.; Salvador, A. Echocardiographic evaluation of the evolutionary changes after heart transplantation. Transplant. Proc. 2006, 38, 2575–2576. [Google Scholar] [CrossRef] [PubMed]
- Stämpfli, S.F.; Özkartal, T.; Hagenbuch, N.; Bernhart, S.; Flammer, A.J.; Vecchiati, A.; Fröhlich, G.M.; Ruschitzka, F.; Held, L.; Tanner, F.C. Pericardial effusion unrelated to surgery is a predictor of mortality in heart transplant patients. Cardiol. J. 2018, 25, 714–721. [Google Scholar] [CrossRef] [PubMed]
- Tchana-Sato, V.; Ancion, A.; Ansart, F.; Defraigne, J.O. Constrictive pericarditis after heart transplantation: A case report. Eur. Heart J. Case Rep. 2020, 4, 1–6. [Google Scholar] [CrossRef] [PubMed]
- Kobashigawa, J.; Zuckermann, A.; Macdonald, P.; Leprince, P.; Esmailian, F.; Luu, M.; Mancini, D.; Patel, J.; Razi, R.; Reichenspurner, H.; et al. Report from a consensus conference on primary graft dysfunction after cardiac transplantation. J. Heart Lung Transplant. 2014, 33, 327–340. [Google Scholar] [CrossRef] [PubMed]
- Hull, T.D.; Crowley, J.C.; Villavicencio, M.A.; D’Alessandro, D.A. Primary graft dysfunction in heart transplantation: How to recognize it, when to institute extracorporeal membrane oxygenation, and outcomes. JTCVS Open 2021, 8, 128–133. [Google Scholar] [CrossRef] [PubMed]
- Ingulli, E. Mechanism of cellular rejection in transplantation. Pediatr. Nephrol. 2010, 25, 61–74. [Google Scholar] [CrossRef] [PubMed]
- Colvin, M.M.; Cook, J.L.; Chang, P.; Francis, G.; Hsu, D.T.; Kiernan, M.S.; Kobashigawa, J.A.; Lindenfeld, J.; Masri, S.C.; Miller, D.; et al. Antibody-mediated rejection in cardiac transplantation: Emerging knowledge in diagnosis and management: A scientific statement from the American Heart Association. Circulation 2015, 131, 1608–1639. [Google Scholar] [CrossRef] [PubMed]
- Zorn, E. Effector B cells in cardiac allograft vasculopathy. Curr. Opin. Organ. Transplant. 2019, 24, 31–36. [Google Scholar] [CrossRef] [PubMed]
- Paulsen, W.; Magid, N.; Sagar, K.; Hastillo, A.; Wolfgang, T.C.; Lower, R.R.; Hess, M.L. Left ventricular function of heart allografts during acute rejection: An echocardiographic assessment. J. Heart Transplant. 1985, 4, 525–529. [Google Scholar] [PubMed]
- Ciliberto, G.R.; Cataldo, G.; Cipriani, M.; Mascarello, M.; Faletra, F.; Gronda, E.; De Maria, R.; Mauri, L.; Pezzano, A. Echocardiographic assessment of cardiac allograft rejection. Eur. Heart J. 1989, 10, 400–408. [Google Scholar] [CrossRef]
- Dandel, M.; Hummel, M.; Meyer, R.; Müller, J.; Kapell, S.; Ewert, R.; Hetzer, R. Left ventricular dysfunction during cardiac allograft rejection: Early diagnosis, relationship to the histological severity grade, and therapeutic implications. Transplant. Proc. 2002, 34, 2169–2173. [Google Scholar] [CrossRef] [PubMed]
- Sun, J.P.; Abdalla, I.A.; Asher, C.R.; Greenberg, N.L.; Popović, Z.B.; Taylor, D.O.; Starling, R.C.; Thomas, J.D.; Garcia, M.J. Non-invasive evaluation of orthotopic heart transplant rejection by echocardiography. J. Heart Lung Transplant. 2005, 24, 160–165. [Google Scholar] [CrossRef] [PubMed]
- Valantine, H.A.; Fowler, M.B.; Hunt, S.A.; Naasz, C.; Hatle, L.K.; Billingham, M.E.; Stinson, E.B.; Popp, R.L. Changes in Doppler echocardiographic indexes of left ventricular function as potential markers of acute cardiac rejection. Circulation 1987, 76 Pt 2, V86–V92. [Google Scholar] [PubMed]
- Vivekananthan, K.; Kalapura, T.; Mehra, M.; Lavie, C.; Milani, R.; Scott, R.; Park, M. Usefulness of the combined index of systolic and diastolic myocardial performance to identify cardiac allograft rejection. Am. J. Cardiol. 2002, 90, 517–520. [Google Scholar] [CrossRef] [PubMed]
- Burgess, M.I.; Bright-Thomas, R.J.; Yonan, N.; Ray, S.G. Can the index of myocardial performance be used to detect acute cellular rejection after heart transplantation? Am. J. Cardiol. 2003, 92, 308–311. [Google Scholar] [CrossRef] [PubMed]
- Bader, F.M.; Islam, N.; Mehta, N.A.; Worthen, N.; Ishihara, S.; Stehlik, J.; Gilbert, E.M.; Litwin, S.E. Noninvasive diagnosis of cardiac allograft rejection using echocardiography indices of systolic and diastolic function. Transplant. Proc. 2011, 43, 3877–3881. [Google Scholar] [CrossRef] [PubMed]
- Dandel, M.; Hummel, M.; Müller, J.; Wellnhofer, E.; Meyer, R.; Solowjowa, N.; Ewert, R.; Hetzer, R. Reliability of tissue Doppler wall motion monitoring after heart transplantation for replacement of invasive routine screenings by optimally timed cardiac biopsies and catheterizations. Circulation 2001, 104 (Suppl. S1), I184–I191. [Google Scholar] [CrossRef] [PubMed]
- Lunze, F.I.; Colan, S.D.; Gauvreau, K.; Perez-Atayde, A.R.; Smith, R.N.; Blume, E.D.; Singh, T.P. Tissue Doppler imaging for rejection surveillance in pediatric heart transplant recipients. J. Heart Lung Transplant. 2013, 32, 1027–1033. [Google Scholar] [CrossRef] [PubMed]
- Mankad, S.; Murali, S.; Kormos, R.L.; Mandarino, W.A.; Gorcsan, J., 3rd. Evaluation of the potential role of color-coded tissue Doppler echocardiography in the detection of allograft rejection in heart transplant recipients. Am. Heart J. 1999, 138 Pt 1, 721–730. [Google Scholar] [CrossRef] [PubMed]
- Ruiz Ortiz, M.; Rodríguez Diego, S.; Delgado Ortega, M.; Sánchez Fernández, J.J.; Ortega Salas, R.; Carnero Montoro, L.; Carrasco Ávalos, F.; López Aguilera, J.; López Granados, A.; Arizón Del Prado, J.M.; et al. Tissue Doppler velocities for ruling out rejection in heart transplant recipients in the context of myocardial strain imaging: A multivariate, prospective, single-center study. Int. J. Cardiovasc. Imaging. 2020, 36, 1455–1464. [Google Scholar] [CrossRef] [PubMed]
- Mena, C.; Wencker, D.; Krumholz, H.M.; McNamara, R.L. Detection of heart transplant rejection in adults by echocardiographic diastolic indices: A systematic review of the literature. J. Am. Soc. Echocardiogr. 2006, 19, 1295–1300. [Google Scholar] [CrossRef] [PubMed]
- Marciniak, A.; Eroglu, E.; Marciniak, M.; Sirbu, C.; Herbots, L.; Droogne, W.; Claus, P.; D’hooge, J.; Bijnens, B.; Vanhaecke, J.; et al. The potential clinical role of ultrasonic strain and strain rate imaging in diagnosing acute rejection after heart transplantation. Eur. J. Echocardiogr. 2007, 8, 213–221. [Google Scholar] [CrossRef] [PubMed]
- Kato, T.S.; Oda, N.; Hashimura, K.; Hashimoto, S.; Nakatani, T.; Ueda, H.I.; Shishido, T.; Komamura, K. Strain rate imaging would predict sub-clinical acute rejection in heart transplant recipients. Eur. J. Cardiothorac. Surg. 2010, 37, 1104–1110. [Google Scholar] [CrossRef] [PubMed]
- Dandel, M.; Hetzer, R. Echocardiographic strain and strain rate imaging—Clinical applications. Int. J. Cardiol. 2009, 132, 11–24. [Google Scholar] [CrossRef] [PubMed]
- Sera, F.; Kato, T.S.; Farr, M.; Russo, C.; Jin, Z.; Marboe, C.C.; Di Tullio, M.R.; Mancini, D.; Homma, S. Left ventricular longitudinal strain by speckle-tracking echocardiography is associated with treatment-requiring cardiac allograft rejection. J. Card. Fail. 2014, 20, 359–364. [Google Scholar] [CrossRef] [PubMed]
- Sehgal, S.; Blake, J.M.; Sommerfield, J.; Aggarwal, S. Strain and strain rate imaging using speckle tracking in acute allograft rejection in children with heart transplantation. Pediatr. Transplant. 2015, 19, 188–195. [Google Scholar] [CrossRef] [PubMed]
- Clemmensen, T.S.; Løgstrup, B.B.; Eiskjær, H.; Poulsen, S.H. Changes in longitudinal myocardial deformation during acute cardiac rejection: The clinical role of two-dimensional speckle-tracking echocardiography. J. Am. Soc. Echocardiogr. 2015, 28, 330–339. [Google Scholar] [CrossRef] [PubMed]
- Mingo-Santos, S.; Moñivas-Palomero, V.; Garcia-Lunar, I.; Mitroi, C.D.; Goirigolzarri-Artaza, J.; Rivero, B.; Oteo, J.F.; Castedo, E.; González-Mirelis, J.; Cavero, M.A.; et al. Usefulness of Two-Dimensional Strain Parameters to Diagnose Acute Rejection after Heart Transplantation. J. Am. Soc. Echocardiogr. 2015, 28, 1149–1156. [Google Scholar] [CrossRef] [PubMed]
- Antończyk, K.; Niklewski, T.; Antończyk, R.; Zakliczyński, M.; Zembala, M.; Kukulski, T. Speckle-Tracking Echocardiography for Monitoring Acute Rejection in Transplanted Heart. Transplant. Proc. 2018, 50, 2090–2094. [Google Scholar] [CrossRef] [PubMed]
- Ambardekar, A.V.; Alluri, N.; Patel, A.C.; Lindenfeld, J.; Dorosz, J.L. Myocardial strain and strain rate from speckle-tracking echocardiography are unable to differentiate asymptomatic biopsy-proven cellular rejection in the first year after cardiac transplantation. J. Am. Soc. Echocardiogr. 2015, 28, 478–485. [Google Scholar] [CrossRef] [PubMed]
- da Costa, R.C.P.L.; Rodrigues, A.C.T.; Vieira, M.L.C.; Fischer, C.H.; Monaco, C.G.; Filho, E.B.L.; Bacal, F.; Caixeta, A.; Morhy, S.S. Evaluation of the myocardial deformation in the diagnosis of rejection after heart transplantation. Front. Cardiovasc. Med. 2022, 9, 991016. [Google Scholar] [CrossRef] [PubMed]
- Elkaryoni, A.; Altibi, A.M.; Khan, M.S.; Okasha, O.; Ellakany, K.; Hassan, A.; Singh, A.; Qarajeh, R.; Mehta, S.; Nanda, N.C. Global longitudinal strain assessment of the left ventricle by speckle tracking echocardiography detects acute cellular rejection in orthotopic heart transplant recipients: A systematic review and meta-analysis. Echocardiography 2020, 37, 302–309. [Google Scholar] [CrossRef] [PubMed]
- Zhu, S.; Li, M.; Tian, F.; Wang, S.; Li, Y.; Yin, P.; Zhang, L.; Xie, M. Diagnostic value of myocardial strain using two-dimensional speckle-tracking echocardiography in acute cardiac allograft rejection: A systematic review and meta-analysis. Echocardiography 2020, 37, 561–569. [Google Scholar] [CrossRef] [PubMed]
- Ciarka, A.; Cordeiro, F.; Droogne, W.; Van Cleemput, J.; Voigt, J.U. Speckle-tracking-based global longitudinal and circumferential strain detect early signs of antibody-mediated rejection in heart transplant patients. Eur. Heart J. Cardiovasc. Imaging 2022, 23, 1520–1529. [Google Scholar] [CrossRef] [PubMed]
- Clemmensen, T.S.; Firooznia, N.; Olawi, F.M.; Løgstrup, B.B.; Poulsen, S.H.; Eiskjær, H. Assessment of Acute Rejection by Global Longitudinal Strain and Cardiac Biomarkers in Heart-Transplanted Patients. Front. Immunol. 2022, 13, 841849. [Google Scholar] [CrossRef] [PubMed]
- Khush, K.K.; Cherikh, W.S.; Chambers, D.C.; Harhay, M.O.; Hayes, D., Jr.; Hsich, E.; Meiser, B.; Potena, L.; Robinson, A.; Rossano, J.W.; et al. The International Thoracic Organ Transplant Registry of the International Society for Heart and Lung Transplantation: Thirty-sixth adult heart transplantation report—2019; focus theme: Donor and recipient size match. J. Heart Lung Transplant. 2019, 38, 1056–1066. [Google Scholar] [CrossRef] [PubMed]
- Colvin-Adams, M.; Agnihotri, A. Cardiac allograft vasculopathy: Current knowledge and future direction. Clin. Transplant. 2011, 25, 175–184. [Google Scholar] [CrossRef] [PubMed]
- Costello, J.P.; Mohanakumar, T.; Nath, D.S. Mechanisms of chronic cardiac allograft rejection. Tex. Heart Inst. J. 2013, 40, 395–399. [Google Scholar] [PubMed]
- Mehra, M.R.; Ventura, H.O.; Smart, F.W.; Stapleton, D.D.; Collins, T.J.; Ramee, S.R.; Murgo, J.P.; White, C.J. New developments in the diagnosis and management of cardiac allograft vasculopathy. Tex. Heart Inst. J. 1995, 22, 138–144. [Google Scholar] [PubMed]
- Mehra, M.R.; Crespo-Leiro, M.G.; Dipchand, A.; Ensminger, S.M.; Hiemann, N.E.; Kobashigawa, J.A.; Madsen, J.; Parameshwar, J.; Starling, R.C.; Uber, P.A. International Society for Heart and Lung echocardiographic assessment and prognosis. Front. Cardiovasc. Med. 2022, 9, 969270. [Google Scholar]
- Wever-Pinzon, O.; Romero, J.; Kelesidis, I.; Wever-Pinzon, J.; Manrique, C.; Budge, D.; Drakos, S.G.; Piña, I.L.; Kfoury, A.G.; Garcia, M.J.; et al. Coronary computed tomography angiography for the detection of cardiac allograft vasculopathy: A meta-analysis of prospective trials. J. Am. Coll. Cardiol. 2014, 63, 1992–2004. [Google Scholar] [CrossRef] [PubMed]
- Barbir, M.; Lazem, F.; Banner, N.; Mitchell, A.; Yacoub, M. The prognostic significance of non-invasive cardiac tests in heart transplant recipients. Eur. Heart J. 1997, 18, 692–696. [Google Scholar] [CrossRef] [PubMed]
- Störk, S.; Behr, T.M.; Birk, M.; Uberfuhr, P.; Klauss, V.; Spes, C.H.; Angermann, C.E. Assessment of cardiac allograft vasculopathy late after heart transplantation: When is coronary angiography necessary? J. Heart Lung Transplant. 2006, 25, 1103–1108. [Google Scholar] [CrossRef] [PubMed]
- Sciaccaluga, C.; Fusi, C.; Landra, F.; Barilli, M.; Lisi, M.; Mandoli, G.E.; D’Ascenzi, F.; Focardi, M.; Valente, S.; Cameli, M. Diastolic function in heart transplant: From physiology to early detection of left ventricular dysfunction related to transplant coronary artery disease. J. Heart Lung Transplant. 2003, 22, 1353–1364. [Google Scholar]
- Daud, A.; Xu, D.; Revelo, M.P.; Shah, Z.; Drakos, S.G.; Dranow, E.; Stoddard, G.; Kfoury, A.G.; Hammond, M.E.H.; Nativi-Nicolau, J.; et al. Microvascular Loss and Diastolic Dysfunction in Severe Symptomatic Cardiac Allograft Vasculopathy. Circ. Heart Fail. 2018, 11, e004759. [Google Scholar] [CrossRef] [PubMed]
- Dandel, M.; Wellnhofer, E.; Hummel, M.; Meyer, R.; Lehmkuhl, H.; Hetzer, R. Transplantation working formulation of a standardized nomenclature for cardiac allograft vasculopathy-2010. J. Heart Lung Transplant. 2010, 29, 717–727. [Google Scholar]
- Clemmensen, T.S.; Løgstrup, B.B.; Eiskjær, H.; Poulsen, S.H. Evaluation of longitudinal myocardial deformation by 2-dimensional speckle-tracking echocardiography in heart transplant recipients: Relation to coronary allograft vasculopathy. J. Heart Lung Transplant. 2015, 34, 195–203. [Google Scholar] [CrossRef] [PubMed]
- Sciaccaluga, C.; Mandoli, G.E.; Sisti, N.; Natali, M.B.; Ibrahim, A.; Menci, D.; D’Errico, A.; Donati, G.; Benfari, G.; Valente, S.; et al. Detection of cardiac allograft vasculopathy by multi-layer left ventricular longitudinal strain in heart transplant recipients. Int. J. Cardiovasc. Imaging 2021, 37, 1621–1628. [Google Scholar] [CrossRef] [PubMed]
- Cohn, J.M.; Wilensky, R.L.; O’Donnell, J.A.; Bourdillon, P.D.; Dillon, J.C.; Feigenbaum, H. Exercise echocardiography, angiography, and intracoronary ultrasound after cardiac transplantation. Am. J. Cardiol. 1996, 77, 1216–1219. [Google Scholar] [CrossRef] [PubMed]
- Gebska, M.A.; Williford, N.N.; Schadler, A.J.; Laxson, C.; Alvarez, P.; Briasoulis, A.; Cadaret, L.M.; Yumul-Non, I.K.T.; Kerber, R.E.; Weiss, R.M. Pharmacological vs Exercise Stress Echocardiography for Detection of Cardiac Allograft Vasculopathy. Mayo Clin. Proc. Innov. Qual. Outcomes 2020, 4, 65–75. [Google Scholar] [CrossRef] [PubMed]
- Akosah, K.O.; McDaniel, S.; Hanrahan, J.S.; Mohanty, P.K. Dobutamine stress echocardiography early after heart transplantation predicts development of allograft coronary artery disease and outcome. J. Am. Coll. Cardiol. 1998, 31, 1607–1614. [Google Scholar] [CrossRef] [PubMed]
- Ciliberto, G.R.; Massa, D.; Mangiavacchi, M.; Danzi, G.B.; Pirelli, S.; Faletra, F.; Frigerio, M.; Gronda, E.; De Vita, C. High-dose dipyridamole echocardiography test in coronary artery disease after heart transplantation. Eur. Heart J. 1993, 14, 48–52. [Google Scholar] [CrossRef] [PubMed]
- Derumeaux, G.; Redonnet, M.; Mouton-Schleifer, D.; Bessou, J.P.; Cribier, A.; Saoudi, N.; Koning, R.; Soyer, R.; Letac, B. Dobutamine stress echocardiography in orthotopic heart transplant recipients. VACOMED Research Group. J. Am. Coll. Cardiol. 1995, 25, 1665–1672. [Google Scholar] [CrossRef] [PubMed]
- Akosah, K.O.; Mohanty, P.K. Role of dobutamine stress echocardiography in heart transplant patients. Chest 1998, 113, 809–815. [Google Scholar] [CrossRef] [PubMed]
- Spes, C.H.; Klauss, V.; Mudra, H.; Schnaack, S.D.; Tammen, A.R.; Rieber, J.; Uberfuhr, P.; Reichart, B.; Theisen, K.; Angermann, C.E. Role of dobutamine stress echocardiography for diagnosis of cardiac allograft vasculopathy. Transplant. Proc. 1998, 30, 904–906. [Google Scholar] [CrossRef] [PubMed]
- Chirakarnjanakorn, S.; Starling, R.C.; Popović, Z.B.; Griffin, B.P.; Desai, M.Y. Dobutamine stress echocardiography during follow-up surveillance in heart transplant patients: Diagnostic accuracy and predictors of outcomes. J. Heart Lung Transplant. 2015, 34, 710–717. [Google Scholar] [CrossRef] [PubMed]
- Mahmoodurrahman, M.; Marek, J.; Juhardeen, H.R.; Al Otaibi, T.; Salemi, V.M.C.; Echahidi, N.; Al Buraiki, J.; Fadel, B.M.; Mohty, D. Diagnostic Accuracy of Dobutamine Stress Echocardiography for Detection of Cardiac Allograft Vasculopathy in Orthotopic Heart Transplant Patients. J. Saudi Heart Assoc. 2021, 33, 279–283. [Google Scholar] [CrossRef]
- Elkaryoni, A.; Abu-Sheasha, G.; Altibi, A.M.; Hassan, A.; Ellakany, K.; Nanda, N.C. Diagnostic accuracy of dobutamine stress echocardiography in the detection of cardiac allograft vasculopathy in heart transplant recipients: A systematic review and meta-analysis study. Echocardiography 2019, 36, 528–536. [Google Scholar] [CrossRef] [PubMed]
- Clerkin, K.J.; Farr, M.A.; Restaino, S.W.; Ali, Z.A.; Mancini, D.M. Dobutamine stress echocardiography is inadequate to detect early cardiac allograft vasculopathy. J. Heart Lung Transplant. 2016, 35, 1040–1041. [Google Scholar] [CrossRef] [PubMed]
- Bacal, F.; Moreira, L.; Souza, G.; Rodrigues, A.C.; Fiorelli, A.; Stolf, N.; Bocchi, E.; Bellotti, G.; Ramires, J.A. Dobutamine stress echocardiography predicts cardiac events or death in asymptomatic patients long-term after heart transplantation: 4-year prospective evaluation. J. Heart Lung Transplant. 2004, 23, 1238–1244. [Google Scholar] [CrossRef] [PubMed]
- Spes, C.H.; Klauss, V.; Mudra, H.; Schnaack, S.D.; Tammen, A.R.; Rieber, J.; Siebert, U.; Henneke, K.H.; Uberfuhr, P.; Reichart, B.; et al. Diagnostic and prognostic value of serial dobutamine stress echocardiography for noninvasive assessment of cardiac allograft vasculopathy: A comparison with coronary angiography and intravascular ultrasound. Circulation 1999, 100, 509–515. [Google Scholar] [CrossRef] [PubMed]
- Eroglu, E.; D’hooge, J.; Sutherland, G.R.; Marciniak, A.; Thijs, D.; Droogne, W.; Herbots, L.; Van Cleemput, J.; Claus, P.; Bijnens, B.; et al. Quantitative dobutamine stress echocardiography for the early detection of cardiac allograft vasculopathy in heart transplant recipients. Heart 2008, 94, e3. [Google Scholar] [CrossRef] [PubMed]
- Rutz, T.; de Marchi, S.F.; Roelli, P.; Gloekler, S.; Traupe, T.; Steck, H.; Eshtehardi, P.; Cook, S.; Vogel, R.; Mohacsi, P.; et al. Quantitative myocardial contrast echocardiography: A new method for the non-invasive detection of chronic heart transplant rejection. Eur. Heart J. Cardiovasc. Imaging 2013, 14, 1187–1194. [Google Scholar] [CrossRef] [PubMed]
- Tona, F.; Caforio, A.L.; Montisci, R.; Angelini, A.; Ruscazio, M.; Gambino, A.; Ramondo, A.; Thiene, G.; Gerosa, G.; Iliceto, S. Coronary flow reserve by contrast-enhanced echocardiography: A new noninvasive diagnostic tool for cardiac allograft vasculopathy. Am. J. Transplant. 2006, 6 Pt 1, 998–1003. [Google Scholar] [CrossRef] [PubMed]
- Tona, F.; Osto, E.; Tarantini, G.; Gambino, A.; Cavallin, F.; Feltrin, G.; Montisci, R.; Caforio, A.L.; Gerosa, G.; Iliceto, S. Coronary flow reserve by transthoracic echocardiography predicts epicardial intimal thickening in cardiac allograft vasculopathy. Am. J. Transplant. 2010, 10, 1668–1676. [Google Scholar] [CrossRef] [PubMed]
- Sade, L.E.; Eroğlu, S.; Yüce, D.; Bircan, A.; Pirat, B.; Sezgin, A.; Aydınalp, A.; Müderrisoğlu, H. Follow-up of heart transplant recipients with serial echocardiographic coronary flow reserve and dobutamine stress echocardiography to detect cardiac allograft vasculopathy. J. Am. Soc. Echocardiogr. 2014, 27, 531–539. [Google Scholar] [CrossRef] [PubMed]
- Pichel, I.Á.; Fernández Cimadevilla, O.C.; de la Hera Galarza, J.M.; Pasanisi, E.; Ruiz, J.M.G.; Molina, B.D.; Rodriguez, J.L.L.; Sicari, R.; Fernández, M.M. Usefulness of dual imaging stress echocardiography for the diagnosis of coronary allograft vasculopathy in heart transplant recipients. Int. J. Cardiol. 2019, 296, 109–112. [Google Scholar] [CrossRef] [PubMed]
- Bjerre, K.P.; Clemmensen, T.S.; Poulsen, S.H.; Hvas, A.M.; Løgstrup, B.B.; Grove, E.L.; Flyvholm, F.; Kristensen, S.D.; Eiskjær, H. Coronary Flow Velocity Reserve and Myocardial Deformation Predict Long-Term Outcomes in Heart Transplant Recipients. J. Am. Soc. Echocardiogr. 2021, 34, 1294–1302. [Google Scholar] [CrossRef] [PubMed]
- Bell, C.A.; Kern, M.J.; Aguirre, F.V.; Donohue, T.; Bach, R.; Wolford, T.; Penick, D.; Ofili, E.; Miller, L.; Labovitz, A.J.; et al. Superior accuracy of anatomic positioning with echocardiographic- over fluoroscopic-guided endomyocardial biopsy. Catheter. Cardiovasc. Diagn. 1993, 28, 291–294. [Google Scholar] [CrossRef] [PubMed]
- Toscano, G.; Gambino, A.; Bagozzi, L.; Guariento, A.; D’Amico, G.; Fedrigo, M.; Gerosa, G. Endomyocardial biopsy under echocardiographic monitoring. Multimed. Man. Cardiothorac. Surg. 2016, 2016, mmw006. [Google Scholar] [CrossRef] [PubMed]
- Grande, A.M.; Minzioni, G.; Martinelli, L.; Campana, C.; Rinaldi, M.; D’Armini, A.M.; Ragni, T.; Pederzolli, C.; Ardemagni, E.; Pederzolli, N.; et al. Echo-controlled endomyocardial biopsy in orthotopic heart transplantation with bicaval anastomosis. G. Ital. Cardiol. 1997, 27, 877–880. [Google Scholar] [PubMed]
- McCreery, C.J.; McCulloch, M.; Ahmad, M.; deFilippi, C.R. Real-time 3-dimensional echocardiography imaging for right ventricular endomyocardial biopsy: A comparison with fluoroscopy. J. Am. Soc. Echocardiogr. 2001, 14, 927–933. [Google Scholar] [CrossRef]





| ACUTE CELLULAR REJECTION | ISHLT-1990 ACR GRADE | ISHLT-1990 SEVERITY | HISTOPATHOLOGIC FINDINGS | ISHLT-2004 ACR GRADE | ISHLT-2004 SEVERITY | HISTOPATHOLOGIC FINDINGS |
| 0 | No ACR | No significant abnormality | 0R | No ACR | No significant abnormality | |
| 1A | Focal, mild ACR | Focal perivascular and/or interstitial infiltrate without myocyte damage | 1R | Mild, low-grade ACR | Interstitial and/or perivascular infiltrate with up to one focus of myocyte damage | |
| 1B | Diffuse, mild ACR | Diffuse infiltrate without myocyte damage | ||||
| 2 | Focal, moderate ACR | One focus of infiltrate with associated myocyte damage | ||||
| 3A | Multifocal, moderate ACR | Multifocal infiltrate with myocyte damage | 2R | Moderate, intermediate ACR | Two or more foci of infiltrate with associated myocyte damage | |
| 3B | Diffuse, moderate ACR | Diffuse infiltrate with myocyte damage | 3R | Severe, high-grade ACR | Diffuse infiltrate with multifocal myocyte damage +/− edema, +/− hemorrhage +/− vasculitis | |
| 4 | Severe ACR | Diffuse, polymorphous infiltrate with extensive myocyte damage +/− edema, +/− hemorrhage + vasculitis | ||||
| ANTIBODY-MEDIATED REJECTION | ISHLT-2013 AMR GRADE | SEVERITY | HISTOPATHOLOGIC FINDINGS | |||
| pAMR 0 | Negative for pathologic AMR | Histologic and immunopathologic studies are both absent | ||||
| pAMR 1 (H+) | Histopathologic AMR alone | Histologic findings are present: large endothelial nuclei, macrophage accumulation within vascular lumen, edema, necrosis, capillary fragmentation. Immunopathologic findings are absent. | ||||
| pAMR 1 (I+) | Immunopathologic AMR alone | Histologic findings are absent. Immunopathologic findings are present: C4d, CD68, CD3, pan-B-cell CD20, CD31/34, complement proteins | ||||
| pAMR 2 | Pathologic AMR | Histologic and immunopathologic findings are both present | ||||
| pAMR 3 | Severe pathologic AMR | Interstitial hemorrhage, capillary fragmentation, mixed inflammatory infiltrates, endothelial cell pyknosis, and/or karyorrhexis, and marked edema with immunopathologic findings are present | ||||
| Authors | Parameter | N Patients | EMB Rejection | Sensibility | Specificity | NPV |
|---|---|---|---|---|---|---|
| Paulsen et al. [38] | Increased LV mural thickness and mass Abnormal diastolic function | 9 | NA | NA | NA | NA |
| Ciliberto et al. [39] | Increased LV mural thickness and mass, reduction in LV EF, RV dilatation and wall motion impairment, pericardial effusion, increased myocardial echogenicity | 21 | NA | 89 with 1 parameter 72 with ≥2 | 90 with 1 parameter 100 with ≥2 | NA |
| Dandel et al. [40] | Sm of basal posterior wall ≥ 10% reduction Ea of basal posterior wall ≥ 10% reduction | 190 | Clinically relevant rejection * | 88 89 | 95 97 | 97 98 |
| Sun et al. [41] | ≥2 among: Pericardial effusion, IVRT < 90 msec, Mitral inflow E/A ratio > 1.7 | 264 | ≥1B | 57 | 54 | 68 |
| Valantine et al. [42] | IVRT and PHT shortening E peak velocity increase | 22 | NA | NA | NA | NA |
| Vivekananthan et al. [43] | MPI increase ≥ 20% | 20 | ≥3A | 90 | 90 | NA |
| Burgess et al. [44] | MPI | 50 | NA | NA | NA | NA |
| Bader et al. [45] | MPI | 54 | NA | NA | NA | NA |
| Dandel et al. [46] | Sm > 10% reduction Em > 10% reduction TEm > 10% extension | 363 pt | Clinically relevant rejection * | 88.33 91.66 93.33 | 94.06 92.08 95.05 | 93 94.8 96 |
| Lunze et al. [47] | LV S’ −15% reduction LV a’ −5% reduction | 122 pt | ≥2R or AMR | AU ROC 0.93 | NA | 99 |
| Mankad et al. [48] | s’ + e’ > 13.5 cm/s | 78 | ≥1B | 93 | 71 | |
| Ruiz Ortiz et al. [49] | S’ + E’ > 23 cm/s | 37 | ≥2R | NA | NA | 99 |
| Marciniak et al. [50] | LVPW Radial S ≤ 30% LVPW Radial SR < 3.0 s−1 | 31 | ≥1B | 85 80 | 90 86 | 93 90 |
| Kato et al. [52] | Systolic strain −27.4% Diastolic SR −2.8 s−1 | 35 | ≥1B | 82.2 75.6 | 82.3 74.9 | 82.3 75 |
| Sera et al. [54] | 2D-STE-GLS < 14.8% | 59 | ≥1B | 64 | 63 | |
| Sehgal et al. [55] | peak systolic longitudinal strain, radial strain circumferential strain | 82 | ≥2R | Significant decline during rejection: p = 0.05 p = 0.03 p = 0.05 | ||
| Clemmensen et al. [56] | GLS | 64 | ≥2R | Significant decline during rejection: −14.6% (−16.1 to −13 at baseline) vs. −13.3 (−14.9 to −11.8 at rejection). p = 0.0208 | ||
| Mingo-Santos et al. [57] | LV GLS < 15.5% RV FW < 17% LV + RV | 34 | ≥2R | 85.7 85.7 100 | 91.1 81.4 77 | 98.8 98.8 100 |
| Antonczyk et al. [58] | 4CH LS ≤ 13.8% RVFW ≤ 16.8% | 45 | ≥2R | 87 73 | 72 82 | 97 95 |
| Ambardekar et al. [59] | GLS, GCS, CSSR, CDSR, LSSR, LDSR | 30 | NA | NS | NS | NS |
| da Costa et al. [60] | LV GLS, RV FW | 54 | ≥2R | NS | NS | NS |
| Ciarka et al. [63] | GLS < 15.5% GCS < 15.2 | 403 | AMR | 100 | 100 | |
| Classification | Severity | Angiographic Findings |
|---|---|---|
| CAV 0 | Non-significant | No detectable angiographic lesion |
| CAV 1 | Mild | Angiographic LM < 50% or Primary vessel with maximum lesion < 70% or Branch stenosis < 70% |
| CAV 2 | Moderate | Angiographic LM < 50%, Single primary vessel ≥ 70% or Isolated branch stenosis in 2 systems ≥ 70% |
| CAV 3 | Severe | Angiographic LM ≥ 50% or ≥2 primary vessels ≥ 70% or Isolated branch stenosis in all 3 systems ≥ 70% or CAV1 or CAV2 with allograft dysfunction (LVEF ≤ 45%) or evidence of significant restrictive physiology |
| Authors | Parameter | Nr. Pts. | Sensitivity | Specificity | NPV |
|---|---|---|---|---|---|
| Barbir et al. [71] | LVEF < 60% with M-mode TTE | 91 | NA | NA | NA |
| Clemmensen et al. [76] | FS, TT and S’ GLS Decreased LVEF | 198 | 92.7% 94.5% | 42.0% 24.6% | 71.6% 66.4% |
| Cohn et al. [78] | WMA at exercise-TTE, inducible ischemia, resting WMA | 51 | 15% | NA | NA |
| Gebska et al. [79] | DSE vs. exercise TTE, LVEF | 81 | NA | NA | NA |
| Akosah et al. [80] | WMA at DSE | 21 | NA | NA | NA |
| Ciliberto et al. [81] | Resting Echo WMSI | 21 | poor | high | 89% |
| Derumeaux et al. [82] | WMA at DSE | 37 | 86% | 91% | 91% |
| Spes et al. [84] | WMA at DSE Systolic septum/posterior wall thickening at MMode in 2DDSE | 28 | 79% 85% | 83% 71% | 91% |
| Chirakarnjanakorn et al. [85] | DSE | 497 | 7% | 98% | 41% |
| Mahmoodurrahman et al. [86] | DSE and ICA | 99 | 3.2 ± 3.3% | 94 ± 2.9% | NA |
| Clerkin et al. [88] | DSE | 154 | 0% | 99% | 81.7% |
| Bacal et al. [89] | WMA at DSE | 39 | 64% | 91.3% | 84% |
| Spes et al. [90] | 2D Resting Echo 2D DSE Serial rest Echo Serial DSE | 109 | 57% 72% 60% 47% | 88% 88% 71% 72% | 51% 62% 80% 44% |
| Eroglu et al. [91] | IVS thickness, LV posterior wall and the LV EDD and ESD, LVEF, LV mass | 42 | 63% | 88% | 92% |
| Rutz et al. [92] | rBV < 14%. | 45 | 90% | 75% | NA |
| Tona et al. [93] | Resting WMA CFR | 73 | 57% | 85% | 85% |
| Tona et al. [94] | ED thickness of IVS and posterior wall, LVEF and CFR using CE-TTE | 22 | 80% | 100% | 89% |
| Sade et al. [95] | CFR WMSI at DSE CFR and DSE | 24 | 100% 55.6% 77.8% | 64.3% 64.3% 87.2% | 100% 69.2% |
| Pichel et al. [96] | Rest WMA CFR | 74 | 15.3% 72.7% | 96.7% 49.2% | 84.2% 91.1% |
| Bjerre et al. [97] | LV-GLS and CFR | 98 | 84.2% | 67.5% | 94.5% |
Disclaimer/Publisher’s Note: The statements, opinions and data contained in all publications are solely those of the individual author(s) and contributor(s) and not of MDPI and/or the editor(s). MDPI and/or the editor(s) disclaim responsibility for any injury to people or property resulting from any ideas, methods, instructions or products referred to in the content. |
© 2024 by the authors. Licensee MDPI, Basel, Switzerland. This article is an open access article distributed under the terms and conditions of the Creative Commons Attribution (CC BY) license (https://creativecommons.org/licenses/by/4.0/).
Share and Cite
Bacich, D.; Tessari, C.; Ciccarelli, G.; Lucertini, G.; Cerutti, A.; Pradegan, N.; Toscano, G.; Di Salvo, G.; Gambino, A.; Gerosa, G. A Comprehensive Excursus of the Roles of Echocardiography in Heart Transplantation Follow-Up. J. Clin. Med. 2024, 13, 3205. https://doi.org/10.3390/jcm13113205
Bacich D, Tessari C, Ciccarelli G, Lucertini G, Cerutti A, Pradegan N, Toscano G, Di Salvo G, Gambino A, Gerosa G. A Comprehensive Excursus of the Roles of Echocardiography in Heart Transplantation Follow-Up. Journal of Clinical Medicine. 2024; 13(11):3205. https://doi.org/10.3390/jcm13113205
Chicago/Turabian StyleBacich, Daniela, Chiara Tessari, Giulia Ciccarelli, Giovanni Lucertini, Alessia Cerutti, Nicola Pradegan, Giuseppe Toscano, Giovanni Di Salvo, Antonio Gambino, and Gino Gerosa. 2024. "A Comprehensive Excursus of the Roles of Echocardiography in Heart Transplantation Follow-Up" Journal of Clinical Medicine 13, no. 11: 3205. https://doi.org/10.3390/jcm13113205
APA StyleBacich, D., Tessari, C., Ciccarelli, G., Lucertini, G., Cerutti, A., Pradegan, N., Toscano, G., Di Salvo, G., Gambino, A., & Gerosa, G. (2024). A Comprehensive Excursus of the Roles of Echocardiography in Heart Transplantation Follow-Up. Journal of Clinical Medicine, 13(11), 3205. https://doi.org/10.3390/jcm13113205

