Comparison of Functional, Structural, and Microvascular Features in Different Stages of Idiopathic Epiretinal Membrane
Abstract
1. Introduction
2. Materials and Methods
2.1. Reading Performance Assessment
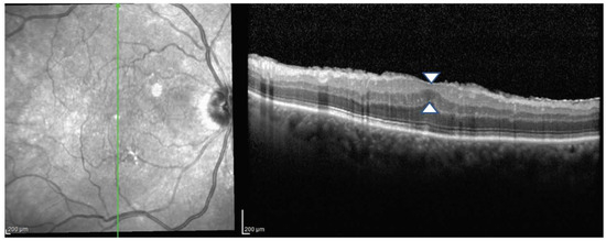
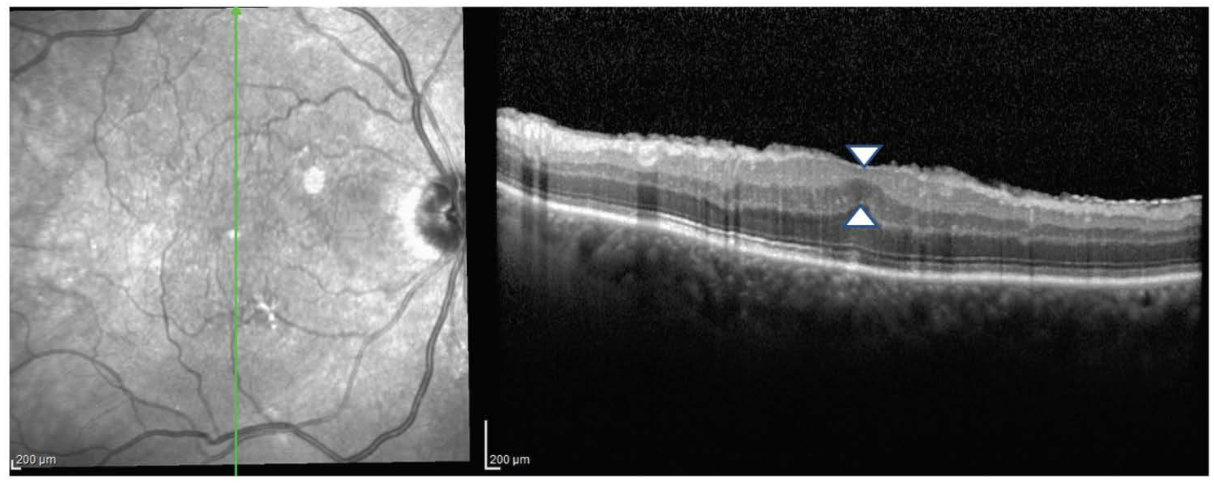
2.2. OCT Grading and Structural Assessment
2.3. Microvascular Assessment
2.4. Statistical Analysis
3. Results
3.1. Comparison between Functional Parameters in Different Stages of ERM
3.2. Comparison between Structural Parameters in Different Stages of ERM
3.3. Comparison between Microvascular Features in Different Stages of ERM
3.4. Multivariate Logistic Regression
4. Discussion
5. Conclusions
Author Contributions
Funding
Institutional Review Board Statement
Informed Consent Statement
Data Availability Statement
Conflicts of Interest
References
- Ng, C.H.; Cheung, N.; Wang, J.J.; Islam, A.F.M.; Kawasaki, R.; Meuer, S.M.; Cotch, M.F.; Klein, B.E.K.; Klein, R.; Wong, T.Y. Prevalence and Risk Factors for Epiretinal Membranes in a Multi-Ethnic United States Population. Ophthalmology 2011, 118, 694–699. [Google Scholar] [CrossRef] [PubMed]
- Folk, J.C.; Adelman, R.A.; Flaxel, C.J.; Hyman, L.; Pulido, J.S.; Olsen, T.W. Idiopathic Epiretinal Membrane and Vitreomacular Traction Preferred Practice Pattern® Guidelines. Ophthalmology 2016, 123, P152–P181. [Google Scholar] [CrossRef] [PubMed]
- Fraser-Bell, S.; Guzowski, M.; Rochtchina, E.; Wang, J.J.; Mitchell, P. Five-Year Cumulative Incidence and Progression of Epiretinal Membranes: The Blue Mountains Eye Study. Ophthalmology 2003, 110, 34–40. [Google Scholar] [CrossRef] [PubMed]
- Govetto, A.; Lalane, R.A.; Sarraf, D.; Figueroa, M.S.; Hubschman, J.P. Insights Into Epiretinal Membranes: Presence of Ectopic Inner Foveal Layers and a New Optical Coherence Tomography Staging Scheme. Am. J. Ophthalmol. 2017, 175, 99–113. [Google Scholar] [CrossRef] [PubMed]
- Kim, J.H.; Kim, Y.M.; Chung, E.J.; Lee, S.Y.; Koh, H.J. Structural and Functional Predictors of Visual Outcome of Epiretinal Membrane Surgery. Am. J. Ophthalmol. 2012, 153, 103–110.e1. [Google Scholar] [CrossRef] [PubMed]
- Shimozono, M.; Oishi, A.; Hata, M.; Matsuki, T.; Ito, S.; Ishida, K.; Kurimoto, Y. The Significance of Cone Outer Segment Tips as a Prognostic Factor in Epiretinal Membrane Surgery. Am. J. Ophthalmol. 2012, 153, 698–704.e1. [Google Scholar] [CrossRef] [PubMed]
- Watanabe, K.; Tsunoda, K.; Mizuno, Y.; Akiyama, K.; Noda, T. Outer Retinal Morphology and Visual Function in Patients with Idiopathic Epiretinal Membrane. JAMA Ophthalmol. 2013, 131, 172–177. [Google Scholar] [CrossRef] [PubMed]
- Okamoto, F.; Okamoto, Y.; Hiraoka, T.; Oshika, T. Effect of Vitrectomy for Epiretinal Membrane on Visual Function and Vision-Related Quality of Life. Am. J. Ophthalmol. 2009, 147, 869–874.e1. [Google Scholar] [CrossRef] [PubMed]
- Cho, K.H.; Park, S.J.; Cho, J.H.; Woo, S.J.; Park, K.H. Inner-Retinal Irregularity Index Predicts Postoperative Visual Prognosis in Idiopathic Epiretinal Membrane. Am. J. Ophthalmol. 2016, 168, 139–149. [Google Scholar] [CrossRef]
- Song, S.J.; Lee, M.Y.; Smiddy, W.E. GANGLION CELL LAYER THICKNESS AND VISUAL IMPROVEMENT AFTER EPIRETINAL MEMBRANE SURGERY. Retina 2016, 36, 305–310. [Google Scholar] [CrossRef]
- Chua, P.Y.; Sandinha, M.T.; Steel, D.H. Idiopathic Epiretinal Membrane: Progression and Timing of Surgery. Eye 2022, 36, 495–503. [Google Scholar] [CrossRef] [PubMed]
- Nelis, P.; Alten, F.; Clemens, C.R.; Heiduschka, P.; Eter, N. Quantification of Changes in Foveal Capillary Architecture Caused by Idiopathic Epiretinal Membrane Using OCT Angiography. Graefe’s Arch. Clin. Exp. Ophthalmol. 2017, 255, 1319–1324. [Google Scholar] [CrossRef] [PubMed]
- Mastropasqua, R.; D’aloisio, R.; Viggiano, P.; Borrelli, E.; Iafigliola, C.; Di Nicola, M.; Aharrh-Gnama, A.; Di Marzio, G.; Toto, L.; Mariotti, C.; et al. Early Retinal Flow Changes after Vitreoretinal Surgery in Idiopathic Epiretinal Membrane Using Swept Source Optical Coherence Tomography Angiography. J. Clin. Med. 2019, 8, 2067. [Google Scholar] [CrossRef] [PubMed]
- Mao, J.; Xu, Z.; Lao, J.; Chen, Y.; Xu, X.; Wu, S.; Zheng, Z.; Liu, B.; Shen, L. Assessment of Macular Microvasculature Features before and after Vitrectomy in the Idiopathic Macular Epiretinal Membrane Using a Grading System: An Optical Coherence Tomography Angiography Study. Acta Ophthalmol. 2021, 99, e1168–e1175. [Google Scholar] [CrossRef] [PubMed]
- Cappello, E.; Virgili, G.; Tollot, L.; Del Borrello, M.; Menchini, U.; Zemella, M. Reading Ability and Retinal Sensitivity after Surgery for Macular Hole and Macular Pucker. Retina 2009, 29, 1111–1118. [Google Scholar] [CrossRef] [PubMed]
- Chylack, L.T.; Wolfe, J.K.; Singer, D.M.; Leske, M.C.; Bullimore, M.A.; Bailey, I.L.; Friend, J.; McCarthy, D.; Wu, S.Y. The Lens Opacities Classification System III. The Longitudinal Study of Cataract Study Group. Arch. Ophthalmol. 1993, 111, 831–836. [Google Scholar] [CrossRef]
- Calossi, A.; Boccardo, L.; Fossetti, A.; Radner, W. Design of Short Italian Sentences to Assess near Vision Performance. J. Optom. 2014, 7, 203–209. [Google Scholar] [CrossRef] [PubMed]
- Huang, Y.; Gangaputra, S.; Lee, K.E.; Narkar, A.R.; Klein, R.; Klein, B.E.K.; Meuer, S.M.; Danis, R.P. Signal Quality Assessment of Retinal Optical Coherence Tomography Images. Investig. Ophthalmol. Vis. Sci. 2012, 53, 2133–2141. [Google Scholar] [CrossRef] [PubMed]
- Govetto, A.; Bhavsar, K.V.; Virgili, G.; Gerber, M.J.; Freund, K.B.; Curcio, C.A.; Burgoyne, C.F.; Hubschman, J.P.; Sarraf, D. Tractional Abnormalities of the Central Foveal Bouquet in Epiretinal Membranes: Clinical Spectrum and Pathophysiological Perspectives. Am. J. Ophthalmol. 2017, 184, 167–180. [Google Scholar] [CrossRef]
- Tsunoda, K.; Watanabe, K.; Akiyama, K.; Usui, T.; Noda, T. Highly Reflective Foveal Region in Optical Coherence Tomography in Eyes with Vitreomacular Traction or Epiretinal Membrane. Ophthalmology 2012, 119, 581–587. [Google Scholar] [CrossRef]
- Johnson, M.W. Tractional Cystoid Macular Edema: A Subtle Variant of the Vitreomacular Traction Syndrome. Am. J. Ophthalmol. 2005, 140, 184.e1–184.e10. [Google Scholar] [CrossRef] [PubMed]
- Lauermann, J.L.; Woetzel, A.K.; Treder, M.; Alnawaiseh, M.; Clemens, C.R.; Eter, N.; Alten, F. Prevalences of Segmentation Errors and Motion Artifacts in OCT-Angiography Differ among Retinal Diseases. Graefe’s Arch. Clin. Exp. Ophthalmol. 2018, 256, 1807–1816. [Google Scholar] [CrossRef] [PubMed]
- Mangione, C.M.; Lee, P.P.; Pitts, J.; Gutierrez, P.; Berry, S.; Hays, R.D. Psychometric Properties of the National Eye Institute Visual Function Questionnaire (NEI-VFQ). NEI-VFQ Field Test Investigators. Arch. Ophthalmol. 1998, 116, 1496–1504. [Google Scholar] [CrossRef] [PubMed]
- McClure, M.E.; Hart, P.M.; Jackson, A.J.; Stevenson, M.R.; Chakravarthy, U. Macular Degeneration: Do Conventional Measurements of Impaired Visual Function Equate with Visual Disability? Br. J. Ophthalmol. 2000, 84, 244–250. [Google Scholar] [CrossRef] [PubMed]
- Künzel, S.H.; Lindner, M.; Sassen, J.; Möller, P.T.; Goerdt, L.; Schmid, M.; Schmitz-Valckenberg, S.; Holz, F.G.; Fleckenstein, M.; Pfau, M. Association of Reading Performance in Geographic Atrophy Secondary to Age-Related Macular Degeneration With Visual Function and Structural Biomarkers. JAMA Ophthalmol. 2021, 139, 1191–1199. [Google Scholar] [CrossRef] [PubMed]
- Boscia, G.; Ricardi, F.; Gelormini, F.; Marica, V.; Conte, F.; Ghilardi, A.; Viggiano, P.; Marolo, P.; Bandello, F.; Borrelli, E.; et al. Inter-Session Repeatability of Reading Performance Measures in Patients with Neovascular AMD. Retina 2023, 44, 707–713. [Google Scholar] [CrossRef] [PubMed]
- Ricardi, F.; Borrelli, E.; Boscia, G.; Gelormini, F.; Marica, V.; Conte, F.; Viggiano, P.; Marolo, P.; Bandello, F.; Reibaldi, M. Relationship of Topographic Distribution of Macular Atrophy Secondary to Neovascular AMD and Reading Performance. Investig. Ophthalmol. Vis. Sci. 2024, 65, 44. [Google Scholar] [CrossRef] [PubMed]
- Ricardi, F.; Reccalenda, I.; Boscia, G.; Gelormini, F.; Cimorosi, F.; Novarese, C.; Marolo, P.; Parisi, G.; Bandello, F.; Borrelli, E.; et al. Retinal OCT Biomarkers Associated with Reading Performance in Patients with Persistent vs. Resolved Diabetic Macular Edema. Eur. J. Ophthalmol. 2024. ahead of print. [Google Scholar] [CrossRef]
- Mieno, H.; Kojima, K.; Yoneda, K.; Kinoshita, F.; Mizuno, R.; Nakaji, S.; Sotozono, C. Evaluation of Pre- and Post-Surgery Reading Ability in Patients with Epiretinal Membrane: A Prospective Observational Study. BMC Ophthalmol. 2020, 20, 95. [Google Scholar] [CrossRef]
- Hoerster, R.; Muether, P.S.; Hermann, M.M.; Koch, K.; Kirchhof, B.; Fauser, S. Subjective and Functional Deterioration in Recurrences of Neovascular AMD Are Often Preceded by Morphologic Changes in Optic Coherence Tomography. Br. J. Ophthalmol. 2011, 95, 1424–1426. [Google Scholar] [CrossRef]
- Mathews, N.R.; Tarima, S.; Kim, D.G.; Kim, J.E. Foveal Contour Changes Following Surgery for Idiopathic Epiretinal Membrane. Investig. Ophthalmol. Vis. Sci. 2014, 55, 7754–7760. [Google Scholar] [CrossRef] [PubMed]
- Wang, X.; Yang, J.; Wang, C.; Li, X. Choroidal Morphologic and Vascular Features in Patients with Unilateral Idiopathic Epiretinal Membranes: An Optical Coherence Tomography Analysis Integrated with Assessment of Retinal Layers. Front. Med. 2023, 9, 1083601. [Google Scholar] [CrossRef] [PubMed]



| Stage 2 (n = 10) | Stage 3 (n = 24) | Stage 4 (n = 10) | p-Value * | |
|---|---|---|---|---|
| Age, years (±SD) | 73.40 (±4.08) | 74.09 (±3.33) | 69.25 (±6.75) | 0.225 a |
| Gender | ||||
| Women, n (%) | 4 (40.0%) | 10 (41.7%) | 5 (50.0%) | 0.881 b |
| Men, n (%) | 6 (60.0%) | 14 (58.3%) | 5 (50.0%) | |
| Lens Status | ||||
| Pseudophakic, n (%) | 4 (40.0%) | 11 (45.8%) | 4 (40.0%) | 0.927 b |
| Phakic, n (%) | 6 (60.0%) | 13 (54.2%) | 6 (60.0%) | |
| Axial length, mm (±SD) | 24.14 (±1.08) | 24.35 (±1.21) | 24.22 (±1.33) | 0.753 b |
| Stage 2 (n = 10) | Stage 3 (n= 24) | Stage 4 (n = 10) | p-Value * | |
|---|---|---|---|---|
| BCVA, LogMAR (±SD) | 0.31 (±0.16) | 0.38 (±0.20) | 0.71 (±0.24) | 0.008 a |
| p-value (Mann–Whitney) | 0.461 b | 0.012 c | 0.003 d | |
| Reading acuity, LogRAD (±SD) | 0.61 (±0.20) | 0.64 (±0.16) | 0.84 (±0.06) | 0.003 a |
| p-value (Mann–Whitney) | 0.702 b | 0.002 c | 0.004 d | |
| Maximum RS, wpm (±SD) | 125.63 (±57.79) | 109.10 (±50.57) | 47.29 (±30.06) | 0.006 a |
| p-value (Mann–Whitney) | 0.473 b | 0.013 c | 0.003 d | |
| Amsler grid test, n (%) | 6 (60.0%) | 18 (75.0%) | 10 (100.0%) | 0.095 e |
| Stage 2 (n = 10) | Stage 3 (n= 24) | Stage 4 (n = 10) | p-Value * | |
|---|---|---|---|---|
| CMT, μm (±SD) | 444.50 (±49.02) | 485.22 ± 46.90 | 618.00 ± 109.93 | 0.004 a |
| p-value (Mann–Whitney) | 0.191 b | 0.006 c | 0.003 d | |
| Cotton ball sign, n (%) | 3 (30) | 2 (8.3) | 0 (0) | - |
| Foveolar detachment, n (%) | 1 (10) | 1 (4.2) | 0 (0) | - |
| Acquired vitelliform lesion, n (%) | 1 (10) | 3 (12.5) | 0 (0) | - |
| EZ disruption, n (%) | 1 (10) | 4 (16.7) | 4 (40) | 0.292 e |
| Tractional cysts, n (%) | 3 (30) | 12 (50) | 4 (40) | 0.548 e |
| Stage 2 (n = 10) | Stage 3 (n= 24) | Stage 4 (n = 10) | p-Value *,a | |
|---|---|---|---|---|
| FAZ parameters | ||||
| Area, mm2 (±SD) | 0.073 ± 0.058 | 0.069 ± 0.051 | 0.058 ± 0.041 | 0.885 |
| Perimeter, mm (±SD) | 1.29 ± 0.65 | 1.21 ± 0.45 | 1.14 ± 0.43 | 0.915 |
| Superficial capillary plexus | ||||
| Central VD, % (±SD) | 14.63 ± 4.78 | 15.14 ± 4.94 | 15.24 ± 1.98 | 0.673 |
| Inner VD, % (±SD) | 18.01 ± 4.51 | 18.27 ± 3.21 | 19.53 ± 2.48 | 0.662 |
| Total VD, % (±SD) | 17.42 ± 4.31 | 17.90 ± 3.31 | 18.18 ± 2.32 | 0.999 |
| Central perfusion, % (±SD) | 26.88 ± 9.12 | 27.49 ± 8.74 | 29.68 ± 3.94 | 0.957 |
| Inner perfusion, % (±SD) | 34.13 ± 7.35 | 35.60 ± 5.34 | 37.68 ± 5.87 | 0.336 |
| Total perfusion, % (±SD) | 33.51 ± 7.68 | 34.68 ± 5.61 | 37.68 ± 3.37 | 0.255 |
| Independent Variables | Exp(B) | CI 95% | p-Value |
|---|---|---|---|
| Reading acuity | 0.010 | 0.001–0.018 | <0.01 |
| Maximum RS | 0.011 | 0.006–0.016 | <0.01 |
| ERM stage | 0.034 | 0.012-0.108 | 0.361 |
Disclaimer/Publisher’s Note: The statements, opinions and data contained in all publications are solely those of the individual author(s) and contributor(s) and not of MDPI and/or the editor(s). MDPI and/or the editor(s) disclaim responsibility for any injury to people or property resulting from any ideas, methods, instructions or products referred to in the content. |
© 2024 by the authors. Licensee MDPI, Basel, Switzerland. This article is an open access article distributed under the terms and conditions of the Creative Commons Attribution (CC BY) license (https://creativecommons.org/licenses/by/4.0/).
Share and Cite
Marolo, P.; Borrelli, E.; Caselgrandi, P.; Parisi, G.; Gelormini, F.; Ricardi, F.; Ceroni, L.; Fallico, M.; Toro, M.D.; Ventre, L.; et al. Comparison of Functional, Structural, and Microvascular Features in Different Stages of Idiopathic Epiretinal Membrane. J. Clin. Med. 2024, 13, 3188. https://doi.org/10.3390/jcm13113188
Marolo P, Borrelli E, Caselgrandi P, Parisi G, Gelormini F, Ricardi F, Ceroni L, Fallico M, Toro MD, Ventre L, et al. Comparison of Functional, Structural, and Microvascular Features in Different Stages of Idiopathic Epiretinal Membrane. Journal of Clinical Medicine. 2024; 13(11):3188. https://doi.org/10.3390/jcm13113188
Chicago/Turabian StyleMarolo, Paola, Enrico Borrelli, Paolo Caselgrandi, Guglielmo Parisi, Francesco Gelormini, Federico Ricardi, Luca Ceroni, Matteo Fallico, Mario Damiano Toro, Luca Ventre, and et al. 2024. "Comparison of Functional, Structural, and Microvascular Features in Different Stages of Idiopathic Epiretinal Membrane" Journal of Clinical Medicine 13, no. 11: 3188. https://doi.org/10.3390/jcm13113188
APA StyleMarolo, P., Borrelli, E., Caselgrandi, P., Parisi, G., Gelormini, F., Ricardi, F., Ceroni, L., Fallico, M., Toro, M. D., Ventre, L., & Reibaldi, M. (2024). Comparison of Functional, Structural, and Microvascular Features in Different Stages of Idiopathic Epiretinal Membrane. Journal of Clinical Medicine, 13(11), 3188. https://doi.org/10.3390/jcm13113188

