McCleery Syndrome Caused by Pectoralis Minor Hypertrophy Treated with Multimodal Physical Therapy—A Case Report
Abstract
1. Introduction
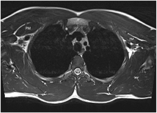
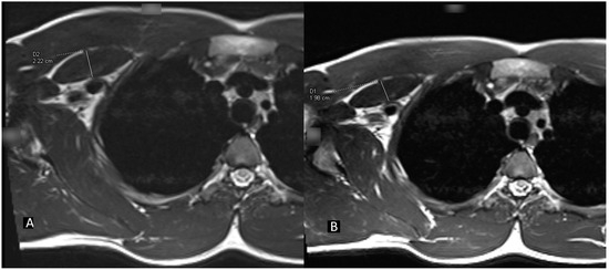
2. Case Presentation
Nerve Conduction Studies Were Normal
3. Discussion
4. Conclusions
Author Contributions
Funding
Institutional Review Board Statement
Informed Consent Statement
Data Availability Statement
Acknowledgments
Conflicts of Interest
References
- Sanders, R.J.; Annest, S.J. Thoracic outlet and pectoralis minor syndromes. Semin. Vasc. Surg. 2014, 27, 86–117. [Google Scholar] [CrossRef] [PubMed]
- Sanders, R.J.; Rao, N.M. The forgotten pectoralis minor syndrome: 100 operations for pectoralis minor syndrome alone or accompanied by neurogenic thoracic outlet syndrome. Ann. Vasc. Surg. 2010, 24, 701–708. [Google Scholar] [CrossRef] [PubMed]
- Likes, K.; Rochlin, D.H.; Call, D.; Freischlag, J.A. McCleery syndrome: Etiology and outcome. Vasc. Endovasc. Surg. 2014, 48, 106–110. [Google Scholar] [CrossRef] [PubMed]
- Wiley, A.P.; Freischlag, J.A. Delay in Diagnosis for Two Patients with McCleery Syndrome. Vasc. Endovasc. Surg. 2023, 57, 501–503. [Google Scholar] [CrossRef] [PubMed]
- Moore, R.; Wei Lum, Y. Venous thoracic outlet syndrome. Vasc. Med. 2015, 20, 182–189. [Google Scholar] [CrossRef] [PubMed]
- Laudner, K.G.; Moline, M.T.; Meister, K. The relationship between forward scapular posture and posterior shoulder tightness among baseball players. Am. J. Sports Med. 2010, 38, 2106–2112. [Google Scholar] [CrossRef] [PubMed]
- Illig, K.A.; Donahue, D.; Duncan, A.; Freischlag, J.; Gelabert, H.; Johansen, K.; Jordan, S.; Sanders, R.; Thompson, R. Reporting standards of the Society for Vascular Surgery for thoracic outlet syndrome. J. Vasc. Surg. 2016, 64, e23–e35. [Google Scholar] [CrossRef] [PubMed]
- Chandra, V.; Little, C.; Lee, J.T. Thoracic outlet syndrome in high-performance athletes. J. Vasc. Surg. 2014, 60, 1012–1018; discussion 1017–1018. [Google Scholar] [CrossRef] [PubMed]
- Chen, H.; Doornbos, N.; Williams, K.; Criado, E. Physiologic variations in venous and arterial hemodynamics in response to postural changes at the thoracic outlet in normal volunteers. Ann. Vasc. Surg. 2014, 28, 1583–1588. [Google Scholar] [CrossRef] [PubMed]
- Chandra, V.; Olcott, C., 4th; Lee, J.T. Early results of a highly selective algorithm for surgery on patients with neurogenic thoracic outlet syndrome. J. Vasc. Surg. 2011, 54, 1698–1705. [Google Scholar] [CrossRef] [PubMed]
- Adam, G.; Wang, K.; Demaree, C.J.; Jiang, J.S.; Cheung, M.; Bechara, C.F.; Lin, P.H. A Prospective Evaluation of Duplex Ultrasound for Thoracic Outlet Syndrome in High-Performance Musicians Playing Bowed String Instruments. Diagnostics 2018, 8, 11. [Google Scholar] [CrossRef] [PubMed] [PubMed Central]
- Shutze, W.; Richardson, B.; Shutze, R.; Tran, K.; Dao, A.; Ogola, G.O.; Young, A.; Pearl, G. Midterm and long-term follow-up in competitive athletes undergoing thoracic outlet decompression for neurogenic thoracic outlet syndrome. J. Vasc. Surg. 2017, 66, 1798–1805. [Google Scholar] [CrossRef] [PubMed]
- Illig, K.A. A comprehensive review of Paget-Schroetter syndrome. J. Vasc. Surg. 2010, 51, 1538–1547. [Google Scholar] [CrossRef] [PubMed]
- Aktaş, İ.; Kaya, E.; Akpınar, P.; Ünlü Özkan, F.; Vural, A.; Akgün, K. Vascular pectoralis minor syndrome as an overlooked condition: A case report. Turk. J. Phys. Med. Rehabil. 2021, 67, 538–541. [Google Scholar] [CrossRef] [PubMed] [PubMed Central]
- Ammi, M.; Péret, M.; Henni, S.; Daligault, M.; Abraham, P.; Papon, X.; Enon, B.; Picquet, J. Frequency of the Pectoralis Minor Compression Syndrome in Patients Treated for Thoracic Outlet Syndrome. Ann. Vasc. Surg. 2018, 47, 253–259. [Google Scholar] [CrossRef] [PubMed]
- Haeni, D.; Martinez-Catalan, N.; Esper, R.N.; Wagner, E.R.; El Hassan, B.T.; Sanchez-Sotelo, J. Arthroscopic release of the pectoralis minor tendon from the coracoid for pectoralis minor syndrome. J. Exp. Orthop. 2022, 9, 57. [Google Scholar] [CrossRef] [PubMed] [PubMed Central]




Disclaimer/Publisher’s Note: The statements, opinions and data contained in all publications are solely those of the individual author(s) and contributor(s) and not of MDPI and/or the editor(s). MDPI and/or the editor(s) disclaim responsibility for any injury to people or property resulting from any ideas, methods, instructions or products referred to in the content. |
© 2024 by the authors. Licensee MDPI, Basel, Switzerland. This article is an open access article distributed under the terms and conditions of the Creative Commons Attribution (CC BY) license (https://creativecommons.org/licenses/by/4.0/).
Share and Cite
Starčević, N.; Petrović, T.; Pavlović, T.; Klarić, D.; Primorac, D. McCleery Syndrome Caused by Pectoralis Minor Hypertrophy Treated with Multimodal Physical Therapy—A Case Report. J. Clin. Med. 2024, 13, 2894. https://doi.org/10.3390/jcm13102894
Starčević N, Petrović T, Pavlović T, Klarić D, Primorac D. McCleery Syndrome Caused by Pectoralis Minor Hypertrophy Treated with Multimodal Physical Therapy—A Case Report. Journal of Clinical Medicine. 2024; 13(10):2894. https://doi.org/10.3390/jcm13102894
Chicago/Turabian StyleStarčević, Neven, Tadija Petrović, Tomislav Pavlović, Danijela Klarić, and Dragan Primorac. 2024. "McCleery Syndrome Caused by Pectoralis Minor Hypertrophy Treated with Multimodal Physical Therapy—A Case Report" Journal of Clinical Medicine 13, no. 10: 2894. https://doi.org/10.3390/jcm13102894
APA StyleStarčević, N., Petrović, T., Pavlović, T., Klarić, D., & Primorac, D. (2024). McCleery Syndrome Caused by Pectoralis Minor Hypertrophy Treated with Multimodal Physical Therapy—A Case Report. Journal of Clinical Medicine, 13(10), 2894. https://doi.org/10.3390/jcm13102894

