Bilateral Atypical Femoral Fracture in a Bisphosphonate-Naïve Patient with Prior Long-Term Denosumab Therapy: A Case Report of the Management Strategy and a Literature Review
Abstract
1. Introduction
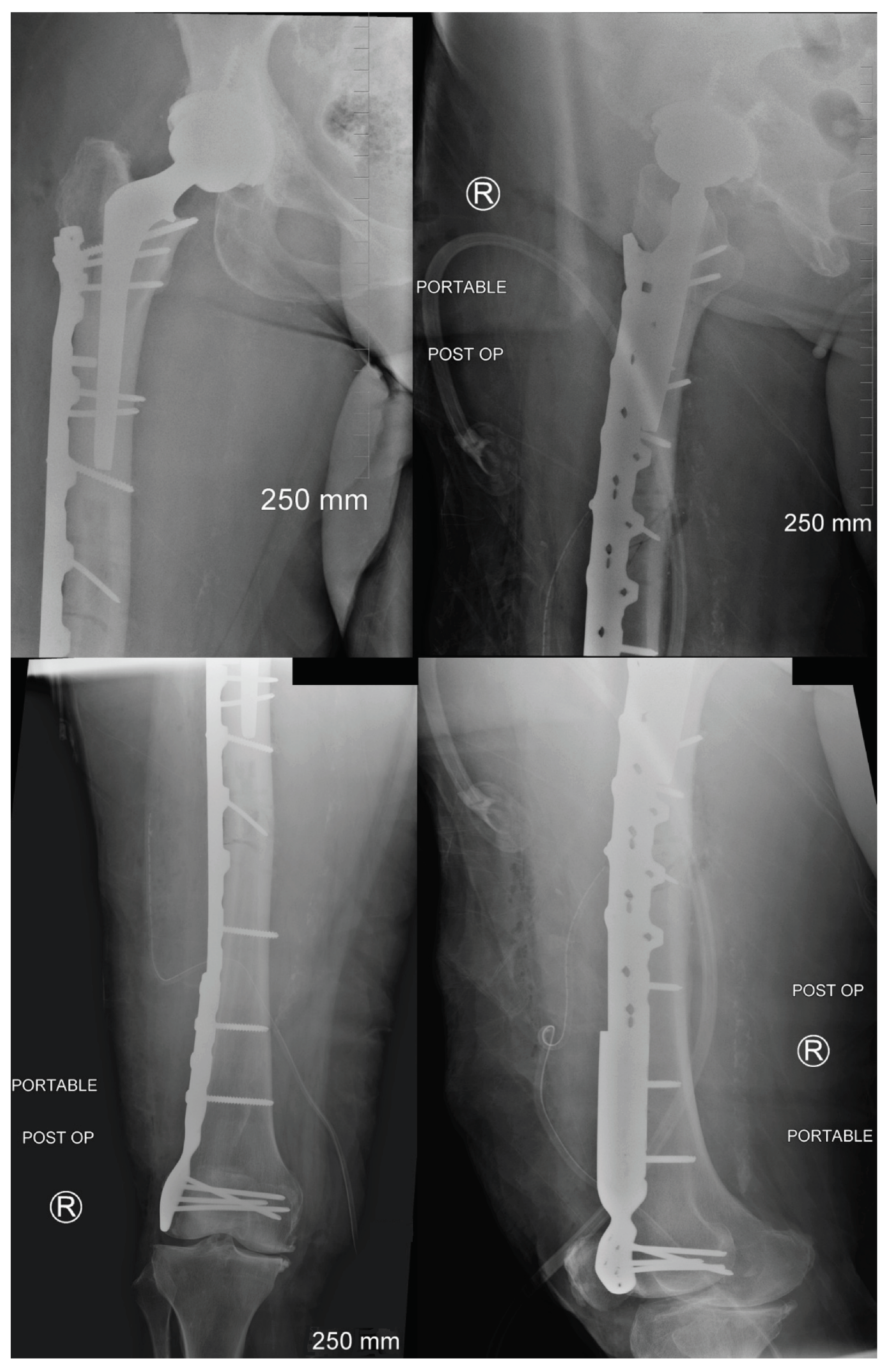
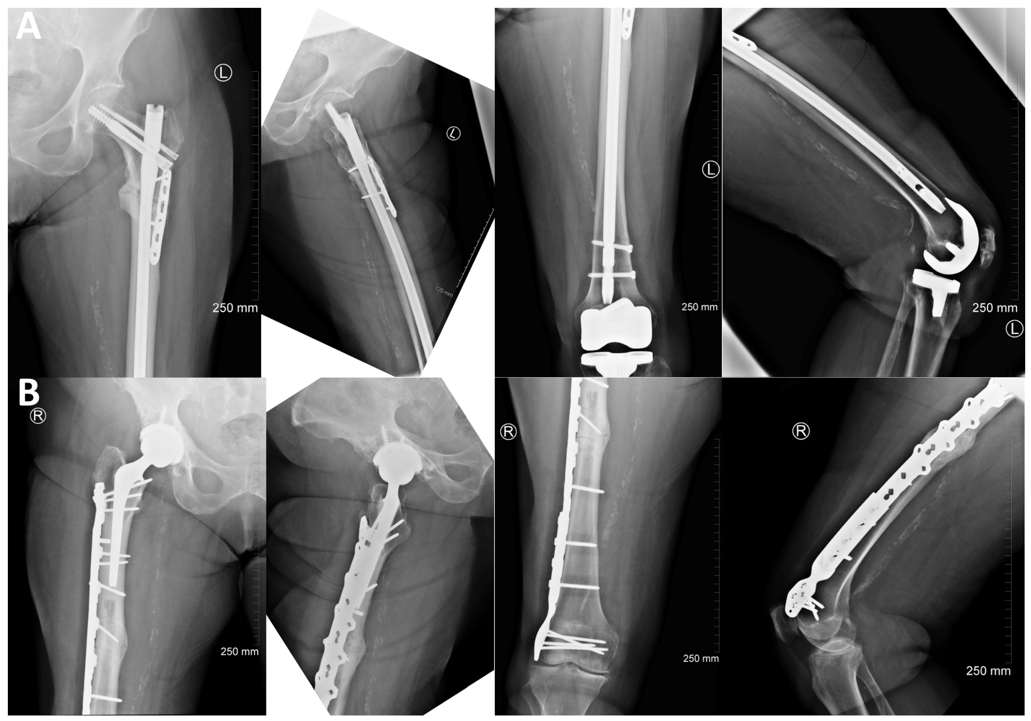
2. Case Description
3. Discussion
4. Conclusions
Author Contributions
Funding
Institutional Review Board Statement
Informed Consent Statement
Data Availability Statement
Conflicts of Interest
References
- Yoon, R.S.; Hwang, J.S.; Beebe, K.S. Long-Term Bisphosphonate Usage and Subtrochanteric Insufficiency Fractures: A Cause for Concern? J. Bone Jt. Surg. Br. Vol. 2011, 93-B, 1289–1295. [Google Scholar] [CrossRef]
- Shane, E.; Burr, D.; Abrahamsen, B.; Adler, R.A.; Brown, T.D.; Cheung, A.M.; Cosman, F.; Curtis, J.R.; Dell, R.; Dempster, D.W.; et al. Atypical Subtrochanteric and Diaphyseal Femoral Fractures: Second Report of a Task Force of the American Society for Bone and Mineral Research. J. Bone Miner. Res. 2014, 29, 1–23. [Google Scholar] [CrossRef]
- Starr, J.; Tay, Y.K.D.; Shane, E. Current Understanding of Epidemiology, Pathophysiology, and Management of Atypical Femur Fractures. Curr. Osteoporos. Rep. 2018, 16, 519–529. [Google Scholar] [CrossRef]
- Takahashi, M.; Ozaki, Y.; Kizawa, R.; Masuda, J.; Sakamaki, K.; Kinowaki, K.; Umezu, T.; Kondoh, C.; Tanabe, Y.; Tamura, N.; et al. Atypical Femoral Fracture in Patients with Bone Metastasis Receiving Denosumab Therapy: A Retrospective Study and Systematic Review. BMC Cancer 2019, 19, 980. [Google Scholar] [CrossRef]
- Ota, S.; Inoue, R.; Shiozaki, T.; Yamamoto, Y.; Hashimoto, N.; Takeda, O.; Yoshikawa, K.; Ito, J.; Ishibashi, Y. Atypical Femoral Fracture after Receiving Antiresorptive Drugs in Breast Cancer Patients with Bone Metastasis. Breast Cancer 2017, 24, 601–607. [Google Scholar] [CrossRef][Green Version]
- Schilcher, J.; Aspenberg, P. Atypical Fracture of the Femur in a Patient Using Denosumab—A Case Report. Acta Orthop. 2014, 85, 6–7. [Google Scholar] [CrossRef]
- Ismail, A.; Hassan Bekhet, A.; Ibrahim Abushouk, A.; Mirbaha, S.; Baratloo, A. Denosumab and Atypical Femoral Fractures: A Scoping Literature Review. Trauma Mon. 2017, 23, e42869. [Google Scholar] [CrossRef]
- Beaudoin, C.; Jean, S.; Bessette, L.; Ste-Marie, L.-G.; Moore, L.; Brown, J.P. Denosumab Compared to Other Treatments to Prevent or Treat Osteoporosis in Individuals at Risk of Fracture: A Systematic Review and Meta-Analysis. Osteoporos. Int. 2016, 27, 2835–2844. [Google Scholar] [CrossRef]
- Ohnaru, K.; Kawamoto, T.; Yamamoto, Y.; Tanaka, K.; Mitani, S.; Hasegawa, T.; Inubushi, M.; Sone, T. Atypical Femoral Fracture in a Patient with Metastatic Breast Cancer during Denosumab Therapy. J. Clin. Case Rep. 2016, 6, 737. [Google Scholar] [CrossRef]
- Khow, K.S.F.; Yong, T.Y. Atypical Femoral Fracture in a Patient Treated with Denosumab. J. Bone Miner. Metab. 2015, 33, 355–358. [Google Scholar] [CrossRef]
- Paparodis, R.; Buehring, B.; Pelley, E.M.; Binkley, N. A Case of an Unusual Subtrochanteric Fracture in a Patient Receiving Denosumab. Endocr. Pract. 2013, 19, e64–e68. [Google Scholar] [CrossRef]
- Drampalos, E.; Skarpas, G.; Barbounakis, N.; Michos, I. Atypical Femoral Fractures Bilaterally in a Patient Receiving Denosumab. Acta Orthop. 2014, 85, 3–5. [Google Scholar] [CrossRef]
- Thompson, R.N.; Armstrong, C.L.; Heyburn, G. Bilateral Atypical Femoral Fractures in a Patient Prescribed Denosumab—A Case Report. Bone 2014, 61, 44–47. [Google Scholar] [CrossRef]
- Selga, J.; Nuñez, J.H.; Minguell, J.; Lalanza, M.; Garrido, M. Simultaneous Bilateral Atypical Femoral Fracture in a Patient Receiving Denosumab: Case Report and Literature Review. Osteoporos. Int. 2016, 27, 827–832. [Google Scholar] [CrossRef]
- Ramchand, S.K.; Chiang, C.Y.; Zebaze, R.M.; Seeman, E. Recurrence of Bilateral Atypical Femoral Fractures Associated with the Sequential Use of Teriparatide and Denosumab: A Case Report. Osteoporos. Int. 2016, 27, 821–825. [Google Scholar] [CrossRef]
- Koizumi, M.; Gokita, T.; Toda, K. Impending Atypical Femoral Fracture in Patients with Medullary Thyroid Cancer with Skeletal Metastasis Treated with Long-Term Bisphosphonate and Denosumab. Clin. Nucl. Med. 2017, 42, 463–464. [Google Scholar] [CrossRef]
- Tateiwa, D.; Outani, H.; Iwasa, S.; Imura, Y.; Tanaka, T.; Oshima, K.; Naka, N.; Araki, N. Atypical Femoral Fracture Associated with Bone-Modifying Agent for Bone Metastasis of Breast Cancer: A Report of Two Cases. J. Orthop. Surg. 2017, 25, 230949901772791. [Google Scholar] [CrossRef]
- Black, D.M.; Cummings, S.R.; Karpf, D.B.; Cauley, J.A.; Thompson, D.E.; Nevitt, M.C.; Bauer, D.C.; Genant, H.K.; Haskell, W.L.; Marcus, R.; et al. Randomised Trial of Effect of Alendronate on Risk of Fracture in Women with Existing Vertebral Fractures. Fracture Intervention Trial Research Group. Lancet 1996, 348, 1535–1541. [Google Scholar] [CrossRef]
- Harris, S.T. Effects of Risedronate Treatment on Vertebral and Nonvertebral Fractures in Women with Postmenopausal Osteoporosis: A Randomized Controlled Trial. JAMA 1999, 282, 1344. [Google Scholar] [CrossRef]
- McClung, M.R.; Geusens, P.; Miller, P.D.; Zippel, H.; Bensen, W.G.; Roux, C.; Adami, S.; Fogelman, I.; Diamond, T.; Eastell, R.; et al. Effect of Risedronate on the Risk of Hip Fracture in Elderly Women. Hip Intervention Program Study Group. N. Engl. J. Med. 2001, 344, 333–340. [Google Scholar] [CrossRef]
- Chesnut, C.H.; Skag, A.; Christiansen, C.; Recker, R.; Stakkestad, J.A.; Hoiseth, A.; Felsenberg, D.; Huss, H.; Gilbride, J.; Schimmer, R.C.; et al. Effects of Oral Ibandronate Administered Daily or Intermittently on Fracture Risk in Postmenopausal Osteoporosis. J. Bone Miner. Res. 2004, 19, 1241–1249. [Google Scholar] [CrossRef] [PubMed]
- Cummings, S.R.; San Martin, J.; McClung, M.R.; Siris, E.S.; Eastell, R.; Reid, I.R.; Delmas, P.; Zoog, H.B.; Austin, M.; Wang, A.; et al. Denosumab for Prevention of Fractures in Postmenopausal Women with Osteoporosis. N. Engl. J. Med. 2009, 361, 756–765. [Google Scholar] [CrossRef] [PubMed]
- Drake, M.T.; Clarke, B.L.; Khosla, S. Bisphosphonates: Mechanism of Action and Role in Clinical Practice. Mayo Clin. Proc. 2008, 83, 1032–1045. [Google Scholar] [CrossRef] [PubMed]
- Ganesan, K.; Goyal, A.; Roane, D. Bisphosphonate. In StatPearls; StatPearls Publishing: Treasure Island, FL, USA, 2024. [Google Scholar]
- McClung, M. Role of RANKL Inhibition in Osteoporosis. Arthritis Res. Ther. 2007, 9, S3. [Google Scholar] [CrossRef] [PubMed]
- Khan, A.A.; Kaiser, S. Atypical Femoral Fracture. CMAJ 2017, 189, E542. [Google Scholar] [CrossRef]
- Everts-Graber, J.; Bonel, H.; Lehmann, D.; Gahl, B.; Häuselmann, H.; Studer, U.; Ziswiler, H.-R.; Reichenbach, S.; Lehmann, T. Incidence of Atypical Femoral Fractures in Patients on Osteoporosis Therapy—A Registry-Based Cohort Study. JBMR Plus 2022, 6, e10681. [Google Scholar] [CrossRef] [PubMed]
- Ettinger, B.; Burr, D.B.; Ritchie, R.O. Proposed Pathogenesis for Atypical Femoral Fractures: Lessons from Materials Research. Bone 2013, 55, 495–500. [Google Scholar] [CrossRef] [PubMed]
- Goh, J.K.M.; Koh, J.S.B.; Ng, A.C.M.; Png, M.A.; Howe, T.S. Bilateral Atypical Femur Fractures After Denosumab in a Bisphosphonate Naive Patient: A Case Report. Calcif. Tissue Int. 2022, 111, 96–101. [Google Scholar] [CrossRef] [PubMed]
- Kumar, S.; Chang, R.; Reyes, M.; Diamond, T. Atypical Femoral Fracture in a Bisphosphonate-Naïve Patient on Denosumab for Osteoporosis. Arch. Osteoporos. 2022, 17, 131. [Google Scholar] [CrossRef]
- Van Poznak, C.; Somerfield, M.R.; Barlow, W.E.; Biermann, J.S.; Bosserman, L.D.; Clemons, M.J.; Dhesy-Thind, S.K.; Dillmon, M.S.; Eisen, A.; Frank, E.S.; et al. Role of Bone-Modifying Agents in Metastatic Breast Cancer: An American Society of Clinical Oncology-Cancer Care Ontario Focused Guideline Update. J. Clin. Oncol. 2017, 35, 3978–3986. [Google Scholar] [CrossRef]
- Wong, M.H.F.; Stockler, M.R.; Pavlakis, N. Bisphosphonates and Other Bone Agents for Breast Cancer. Cochrane Database Syst. Rev. 2012, CD003474. [Google Scholar] [CrossRef] [PubMed]
- Murphy, L.; McCarthy, J.; McCrate, F.; Laing, K.; Powell, E.; Seal, M.; Edwards, S. Use of Bisphosphonates in Metastatic Breast Cancer: Single Institution Review at the Dr. H. Bliss Murphy Cancer Centre. Support. Care Cancer 2013, 21, 1557–1560. [Google Scholar] [CrossRef] [PubMed]






Disclaimer/Publisher’s Note: The statements, opinions and data contained in all publications are solely those of the individual author(s) and contributor(s) and not of MDPI and/or the editor(s). MDPI and/or the editor(s) disclaim responsibility for any injury to people or property resulting from any ideas, methods, instructions or products referred to in the content. |
© 2024 by the authors. Licensee MDPI, Basel, Switzerland. This article is an open access article distributed under the terms and conditions of the Creative Commons Attribution (CC BY) license (https://creativecommons.org/licenses/by/4.0/).
Share and Cite
Auger, K.; Lee, J.; Hong, I.S.; Jankowski, J.M.; Liporace, F.A.; Yoon, R.S. Bilateral Atypical Femoral Fracture in a Bisphosphonate-Naïve Patient with Prior Long-Term Denosumab Therapy: A Case Report of the Management Strategy and a Literature Review. J. Clin. Med. 2024, 13, 2785. https://doi.org/10.3390/jcm13102785
Auger K, Lee J, Hong IS, Jankowski JM, Liporace FA, Yoon RS. Bilateral Atypical Femoral Fracture in a Bisphosphonate-Naïve Patient with Prior Long-Term Denosumab Therapy: A Case Report of the Management Strategy and a Literature Review. Journal of Clinical Medicine. 2024; 13(10):2785. https://doi.org/10.3390/jcm13102785
Chicago/Turabian StyleAuger, Kyle, Jason Lee, Ian S. Hong, Jaclyn M. Jankowski, Frank A. Liporace, and Richard S. Yoon. 2024. "Bilateral Atypical Femoral Fracture in a Bisphosphonate-Naïve Patient with Prior Long-Term Denosumab Therapy: A Case Report of the Management Strategy and a Literature Review" Journal of Clinical Medicine 13, no. 10: 2785. https://doi.org/10.3390/jcm13102785
APA StyleAuger, K., Lee, J., Hong, I. S., Jankowski, J. M., Liporace, F. A., & Yoon, R. S. (2024). Bilateral Atypical Femoral Fracture in a Bisphosphonate-Naïve Patient with Prior Long-Term Denosumab Therapy: A Case Report of the Management Strategy and a Literature Review. Journal of Clinical Medicine, 13(10), 2785. https://doi.org/10.3390/jcm13102785

