Radiographic Features of Mandibular Second Molars with Eruption Disturbances: A Retrospective Study
Abstract
1. Introduction
2. Materials and Methods
2.1. Study Population
2.2. Study Variables
2.3. Image Analysis
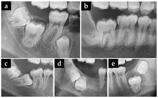
2.3.1. Radiological Differential Diagnosis of Eruption Disturbances
- (1)
- Primary retention is represented on radiographs as the cessation of the eruption of a normally positioned and developed tooth before gingival emergence, with no identifiable physical barrier during the eruption.
- (2)
- Secondary retention is displayed on radiographs as the cessation of the eruption of a normally positioned and developed tooth after gingival emergence, without a recognizable physical barrier in the eruption path, and with a lower vertical alveolar height than the rest of the tooth.
- (3)
- Impaction is the arrest of the eruption of a tooth due to a detectable physical barrier in the eruption path or due to an abnormal position of the tooth.
2.3.2. Data Collection
Patient Demographics and Baseline Information
Measurements
2.4. Statistical Analysis
3. Results
4. Discussion
5. Conclusions
- 1.
- The majority of MM2 with eruption disturbances were due to impaction, while the minority attributed to retention.
- 2.
- The majority of impacted MM2 with Type I or Type II were caused by insufficient space, while impacted MM2 with Type III were attributed to a variety of causes, including insufficient space, ectopic path, and cysts.
- 3.
- The majority of impacted MM2 in Type I and Type II were mesioangular, and Type III presented various angulations.
- 4.
- Cyst development was associated with greater impaction depth and earlier development stage of MM2. However, it was not associated with sex, age, presence of undercut, narrower posterior space, or angulation.
Author Contributions
Funding
Institutional Review Board Statement
Informed Consent Statement
Data Availability Statement
Conflicts of Interest
References
- Mah, M.; Takada, K. Orthodontic management of the impacted mandibular second molar tooth. Orthod. Fr. 2016, 87, 301–308. [Google Scholar] [CrossRef] [PubMed]
- Andreasen, J.O.; Petersen, J.K.; Laskin, D.M. Textbook and color atlas of tooth impactions: Diagnosis, treatment, prevention. Am. J. Orthod. Dentofac. Orthop. 1997, 112, 3541997. [Google Scholar]
- Baccetti, T. Tooth anomalies associated with failure of eruption of first and second permanent molars. Am. J. Orthod. Dentofac. Orthop. 2000, 118, 608–610. [Google Scholar] [CrossRef] [PubMed]
- Pogrel, M. The surgical uprighting of mandibular second molars. Am. J. Orthod. Dentofac. Orthop. 1995, 108, 180–183. [Google Scholar] [CrossRef]
- Alberto, P.L. Surgical exposure of impacted teeth. Oral Maxillofac. Surg. Clin. N. Am. 2020, 32, 561–570. [Google Scholar] [CrossRef]
- Fu, P.-S.; Wang, J.-C.; Wu, Y.-M.; Huang, T.-K.; Chen, W.-C.; Tseng, Y.-C.; Tseng, C.-H.; Hung, C.-C. Impacted mandibular second molars. Angle Orthod. 2012, 82, 670–675. [Google Scholar] [CrossRef]
- Bondemark, L.; Tsiopa, J. Prevalence of ectopic eruption, impaction, retention and agenesis of the permanent second molar. Angle Orthod. 2007, 77, 773–778. [Google Scholar] [CrossRef]
- Cho, S.-Y.; Ki, Y.; Chu, V.; Chan, J. Impaction of permanent mandibular second molars in ethnic Chinese schoolchildren. J. Can. Dent. Assoc. 2008, 74, 521. [Google Scholar]
- Cassetta, M.; Altieri, F.; Di Mambro, A.; Galluccio, G.; Barbato, E. Impaction of permanent mandibular second molar: A retrospective study. Med. Oral Patol. Oral Cir. Bucal. 2013, 18, e564–e568. [Google Scholar] [CrossRef]
- Haralabakis, N.B.; Tsianou, A.; Nicolopoulos, C. Surgical correction of mesially impacted mandibular second molars. J. Clin. Orthod. JCO 2003, 37, 209–212, quiz 204. [Google Scholar]
- Sawicka, M.; Racka-Pilszak, B.; Rosnowska-Mazurkiewicz, A. Uprighting partially impacted permanent second molars. Angle Orthod. 2007, 77, 148–154. [Google Scholar] [CrossRef] [PubMed]
- Varpio, M.; Wellfelt, B. Disturbed eruption of the lower second molar: Clinical appearance, prevalence, and etiology. ASDC J. Dent. Child. 1988, 55, 114–118. [Google Scholar] [PubMed]
- Sonis, A.; Ackerman, M. E-space preservation. Angle Orthod. 2011, 81, 1045–1049. [Google Scholar] [CrossRef] [PubMed]
- Raghoebar, G.M.; Boering, G.; Vissink, A.; Stegenga, B. Eruption disturbances of permanent molars: A review. J. Oral Pathol. Med. 1991, 20, 159–166. [Google Scholar] [CrossRef] [PubMed]
- Raghoebar, G.M.; Boering, G.; Jansen, H.; Vissink, A. Secondary retention of permanent molars: A histologic study. J. Oral Pathol. Med. 1989, 18, 427–431. [Google Scholar] [CrossRef]
- Raghoebar, G.; Boering, G.; Vissink, A. Clinical, radiographic and histological characteristics of secondary retention of permanent molars. J. Dent. 1991, 19, 164–170. [Google Scholar] [CrossRef] [PubMed]
- McArdle, L.W.; Andiappan, M.; Khan, I.; Jones, J.; McDonald, F. Diseases associated with mandibular third molar teeth. Br. Dent. J. 2018, 224, 434–440. [Google Scholar] [CrossRef]
- KalaiSelvan, S.; Ganesh, S.K.N.; Natesh, P.; Moorthy, M.S.; Niazi, T.M.; Babu, S.S. Prevalence and pattern of impacted mandibular third molar: An institution-based retrospective study. J. Pharm. Bioallied Sci. 2020, 12, S462–S467. [Google Scholar] [CrossRef]
- Carter, K.; Worthington, S. Predictors of third molar impaction: A systematic review and meta-analysis. J. Dent. Res. 2016, 95, 267–276. [Google Scholar] [CrossRef]
- Haavikko, K. The formation and the alveolar and clinical eruption of the permanent teeth. An orthopantomographic study. Suom. Hammaslaak. Toim. Fin. Tandlakarsallskapets Forh. 1970, 66, 103–170. [Google Scholar]
- Jaroń, A.; Trybek, G. The pattern of mandibular third molar impaction and assessment of surgery difficulty: A retrospective study of radiographs in east Baltic population. Int. J. Environ. Res. Public Health 2021, 18, 6016. [Google Scholar] [CrossRef] [PubMed]
- Kim, S.-G.; Kim, M.-H.; Chae, C.-H.; Jung, Y.-K.; Choi, J.-Y. Downregulation of matrix metalloproteinases in hyperplastic dental follicles results in abnormal tooth eruption. BMB Rep. 2008, 41, 322–327. [Google Scholar] [CrossRef] [PubMed]
- Kjær, I. Mechanism of human tooth eruption: Review article including a new theory for future studies on the eruption process. Scientifica 2014, 2014, 341905. [Google Scholar] [CrossRef] [PubMed]
- Wise, G.E.; King, G.J. Mechanisms of tooth eruption and orthodontic tooth movement. J. Dent. Res. 2008, 87, 414–434. [Google Scholar] [CrossRef]
- Evans, R. Incidence of lower second permanent molar impaction. Br. J. Orthod. 1988, 15, 199–203. [Google Scholar] [CrossRef]
- Shapira, Y.; Finkelstein, T.; Shpack, N.; Lai, Y.H.; Kuftinec, M.M.; Vardimon, A. Mandibular second molar impaction. Part I: Genetic traits and characteristics. Am. J. Orthod. Dentofac. Orthop. 2011, 140, 32–37. [Google Scholar] [CrossRef]
- Grover, P.S.; Lorton, L. The incidence of unerupted permanent teeth and related clinical cases. Oral Surg. Oral Med. Oral Pathol. 1985, 59, 420–425. [Google Scholar] [CrossRef]
- Tanaka, M.M.; Johnston, L.E. The prediction of the size of unerupted canines and premolars in a contemporary orthodontic population. J. Am. Dent. Assoc. 1974, 88, 798–801. [Google Scholar] [CrossRef]
- Ling, J.Y.K.; Wong, R.W.K. Tanaka-Johnston mixed dentition analysis for southern Chinese in Hong Kong. Angle Orthod. 2006, 76, 632–636. [Google Scholar] [CrossRef]
- Kenrad, J.; Vedtofte, H.; Andreasen, J.O.; Kvetny, M.J.; Kjær, I. A retrospective overview of treatment choice and outcome in 126 cases with arrested eruption of mandibular second molars. Clin. Oral Investig. 2011, 15, 81–87. [Google Scholar] [CrossRef]
- Padwa, B.L.; Dang, R.R.; Resnick, C.M. Surgical uprighting is a successful procedure for management of impacted mandibular second molars. J. Oral Maxillofac. Surg. 2017, 75, 1581–1590. [Google Scholar] [CrossRef] [PubMed]
- Cassetta, M.; Altieri, F.; Calasso, S. Etiological factors in second mandibular molar impaction. J. Clin. Exp. Dent. 2014, 6, e150–e154. [Google Scholar] [CrossRef] [PubMed]
- Gulses, A.; Varol, A.; Sencimen, M.; Dumlu, A. A study of impacted love: Kissing molars. Oral Health Dent. Manag. 2012, 11, 185–188. [Google Scholar] [PubMed]
- Nakamura, T.; Miwa, K.; Kanda, S.; Nonaka, K.; Anan, H.; Higash, S.; Beppu, K. Rosette formation of impacted molar teeth in mucopolysaccharidoses and related disorders. Dentomaxillofacial Radiol. 1992, 21, 45–49. [Google Scholar] [CrossRef]
- Ghougassian, S.S.; Ghafari, J.G. Association between mandibular third molar formation and retromolar space. Angle Orthod. 2014, 84, 946–950. [Google Scholar] [CrossRef] [PubMed]
- Tamer, I.; Oztas, E.; Marsan, G. Up-to-date approach in the treatment of impacted mandibular molars: A literature review. Turk. J. Orthod. 2020, 33, 183–191. [Google Scholar] [CrossRef]
- Scholl, R.J.; Kellett, H.M.; Neumann, D.P.; Lurie, A.G. Cysts and cystic lesions of the mandible: Clinical and radiologic-histopathologic review. Radiographics 1999, 19, 1107–1124. [Google Scholar] [CrossRef]
- Ertas, U.; Yavuz, M. Interesting eruption of 4 teeth associated with a large dentigerous cyst in mandible by only marsupialization. J. Oral Maxillofac. Surg. 2003, 61, 728–730. [Google Scholar] [CrossRef]
- Gondim, J.O.; Neto, J.J.S.M.; Nogueira, R.L.M.; Giro, E.M.A. Conservative management of a dentigerous cyst secondary to primary tooth trauma. Dent. Traumatol. 2008, 24, 676–679. [Google Scholar] [CrossRef]
- Jindal, G.; Batra, H.; Kaur, S.; Vashist, D. Dentigerous cyst associated with mandibular 2nd molar: An unusual entity. J. Maxillofac. Oral Surg. 2015, 14, 154–157. [Google Scholar] [CrossRef]
- Bodner, L.; Woldenberg, Y.; Bar-Ziv, J. Radiographic features of large cystic lesions of the jaws in children. Pediatr. Radiol. 2003, 33, 3–6. [Google Scholar] [CrossRef] [PubMed]
- Terauchi, M.; Akiya, S.; Kumagai, J.; Ohyama, Y.; Yamaguchi, S. An analysis of dentigerous cysts developed around a mandibular third molar by panoramic radiographs. Dent. J. 2019, 7, 13. [Google Scholar] [CrossRef] [PubMed]
- Miyawaki, S.; Hyomoto, M.; Tsubouchi, J.; Kirita, T.; Sugimura, M. Eruption speed and rate of angulation change of a cyst-associated mandibular second premolar after marsupialization of a dentigerous cyst. Am. J. Orthod. Dentofac. Orthop. 1999, 116, 578–584. [Google Scholar] [CrossRef] [PubMed]
- Hyomoto, M.; Kawakami, M.; Inoue, M.; Kirita, T. Clinical conditions for eruption of maxillary canines and mandibular premolars associated with dentigerous cysts. Am. J. Orthod. Dentofac. Orthop. 2003, 124, 515–520. [Google Scholar] [CrossRef] [PubMed]





| Item/Eruption Disturbances | Retention | Impaction | Total | p-Value |
|---|---|---|---|---|
| Number of patients (n) | 5 | 107 | 112 | |
| Number of MM2 (n) | 6 | 137 | 143 | |
| Number of unilateral or bilateral (n) | >0.9999 | |||
| Unilateral | 4 | 77 | 81 | |
| Bilateral | 1 | 30 | 31 | |
| Side (in unilateral patients) (n) | 0.311 | |||
| Left | 1 | 45 | 46 | |
| Right | 3 | 32 | 35 | |
| Sex (n) | 0.081 | |||
| Male | 5 | 62 | 67 | |
| Female | 0 | 45 | 45 | |
| Age (yrs) | 21.50 ± 8.31 | 16.91 ± 5.95 | 17.45 ± 6.35 | 0.302 |
| Item/Eruption Disturbances | Retention | Impaction | Total | |||
|---|---|---|---|---|---|---|
| Primary Retention | Secondary Retention | Insufficient Space | Ectopic Eruption Path | Cyst of Jaw | ||
| Number of patients (n) | 2 | 3 | 87 | 9 | 11 | 112 |
| Number of MM2 (n) | 3 | 3 | 115 | 10 | 12 | 143 |
| Number of unilateral or bilateral (n) | ||||||
| Unilateral | 1 | 3 | 59 | 8 | 10 | 81 |
| Bilateral | 1 | 0 | 28 | 1 | 1 | 31 |
| Side (in unilateral patients) (n) | ||||||
| Left | 0 | 1 | 34 | 3 | 8 | 46 |
| Right | 1 | 2 | 25 | 5 | 2 | 35 |
| Sex (n) | ||||||
| Male | 2 | 3 | 52 | 5 | 5 | 67 |
| Female | 0 | 0 | 35 | 4 | 6 | 45 |
| Item/Impaction Type | Type I | Type II | Type III | Total | p-Value |
|---|---|---|---|---|---|
| Number of patients (n) | 39 | 25 | 31 | 95 | |
| Number of MM2 (n) | 63 | 38 | 36 | 137 | |
| Existence of MM3 (n) | 56 | 34 | 33 | 123 | |
| Number of unilateral or bilateral (n) | 0.130 | ||||
| Unilateral | 24 | 17 | 26 | 67 | |
| Bilateral | 15 | 8 | 5 | 28 | |
| Side (in unilateral patients) (n) | 0.701 | ||||
| Left | 14 | 9 | 17 | 40 | |
| Right | 10 | 8 | 9 | 27 | |
| Depth of mesial (mm, mean) | 5.63 ± 3.20 | 8.26 ± 3.45 | 12.16 ± 4.20 | 8.05 ± 4.42 | <0.001 ** |
| Depth of distal (mm, mean) | 0.55 ± 3.09 | 4.40 ± 2.78 | 9.70 ± 3.40 | 3.98 ± 4.84 | <0.001 ** |
| Distance from the MM1 distal to the ramus (mm, mean) | 9.00 ± 3.47 | 7.80 ± 2.34 | 9.12 ± 3.05 | 8.38 ± 3.54 | 0.226 |
| Risk factor (n) | <0.001 ** | ||||
| Insufficient space | 60 | 37 | 18 | 115 | |
| Ectopic eruption path | 3 | 0 | 7 | 10 | |
| Cysts of jaw | 0 | 1 | 11 | 12 | |
| Undercut (n) | <0.001 ** | ||||
| Undercut | 62 | 36 | 20 | 118 | |
| No-undercut | 1 | 2 | 16 | 19 | |
| Angulation (n) | <0.001 ** | ||||
| Horizontal | 7 | 6 | 6 | 19 | |
| Mesioangular | 55 | 30 | 17 | 102 | |
| Vertical | 0 | 1 | 5 | 6 | |
| Distoangular | 1 | 1 | 5 | 7 | |
| Other | 0 | 0 | 3 | 3 | |
| Haavikko Staging of MM2 (n) | 0.061 | ||||
| R1/2 | 3 | 9 | 5 | 17 | |
| R3/4 | 15 | 8 | 9 | 32 | |
| Rc | 24 | 7 | 7 | 38 | |
| Ac | 21 | 14 | 15 | 50 |
| Independent Variable | Odds Ratio | p-Value | 95% Confidence Interval | |
|---|---|---|---|---|
| Sex | 3.76 | 0.136 | 0.66 | 21.38 |
| Age | 1.18 | 0.243 | 0.9 | 1.54 |
| MM2 depth | 51.92 | 0.000 ** | 7.26 | 371.38 |
| Distance from the MM1 distal to the ramus | 0.81 | 0.142 | 0.61 | 1.07 |
| Undercut | 0.98 | 0.984 | 0.21 | 4.68 |
| Haavikko Staging (stage11) | 0.043 * | |||
| Stage8 | 229.97 | 0.005 ** | 5.30 | 9983.09 |
| Stage9 | 113.47 | 0.010 * | 3.09 | 4164.00 |
| Stage10 | 42.30 | 0.030 * | 1.42 | 1256.13 |
| Angulation (Horizontal) | 0.855 | |||
| Mesioangular | 1.55 | 0.776 | 0.08 | 31.31 |
| Vertical | 5.66 | 0.406 | 0.10 | 337.60 |
| Distoangular | 6.98 | 0.357 | 0.11 | 436.76 |
| Other | 0.00 | 0.999 | 0.00 | - |
Disclaimer/Publisher’s Note: The statements, opinions and data contained in all publications are solely those of the individual author(s) and contributor(s) and not of MDPI and/or the editor(s). MDPI and/or the editor(s) disclaim responsibility for any injury to people or property resulting from any ideas, methods, instructions or products referred to in the content. |
© 2023 by the authors. Licensee MDPI, Basel, Switzerland. This article is an open access article distributed under the terms and conditions of the Creative Commons Attribution (CC BY) license (https://creativecommons.org/licenses/by/4.0/).
Share and Cite
Kuang, Q.; Zhou, H.; Hong, H.; Lin, D.; You, M.; Lai, W.; Long, H. Radiographic Features of Mandibular Second Molars with Eruption Disturbances: A Retrospective Study. J. Clin. Med. 2023, 12, 2798. https://doi.org/10.3390/jcm12082798
Kuang Q, Zhou H, Hong H, Lin D, You M, Lai W, Long H. Radiographic Features of Mandibular Second Molars with Eruption Disturbances: A Retrospective Study. Journal of Clinical Medicine. 2023; 12(8):2798. https://doi.org/10.3390/jcm12082798
Chicago/Turabian StyleKuang, Qianyun, Hong Zhou, Huiyi Hong, Donger Lin, Meng You, Wenli Lai, and Hu Long. 2023. "Radiographic Features of Mandibular Second Molars with Eruption Disturbances: A Retrospective Study" Journal of Clinical Medicine 12, no. 8: 2798. https://doi.org/10.3390/jcm12082798
APA StyleKuang, Q., Zhou, H., Hong, H., Lin, D., You, M., Lai, W., & Long, H. (2023). Radiographic Features of Mandibular Second Molars with Eruption Disturbances: A Retrospective Study. Journal of Clinical Medicine, 12(8), 2798. https://doi.org/10.3390/jcm12082798

