GMRS Oncological Prosthesis with a Porous Coating Collar: A Good Option for Revision of Aseptic Loosening in the Lower Extremity
Abstract
1. Introduction
2. Patients and Methods
Statistical Analysis
3. Results
3.1. Survival of the Revision Prosthesis
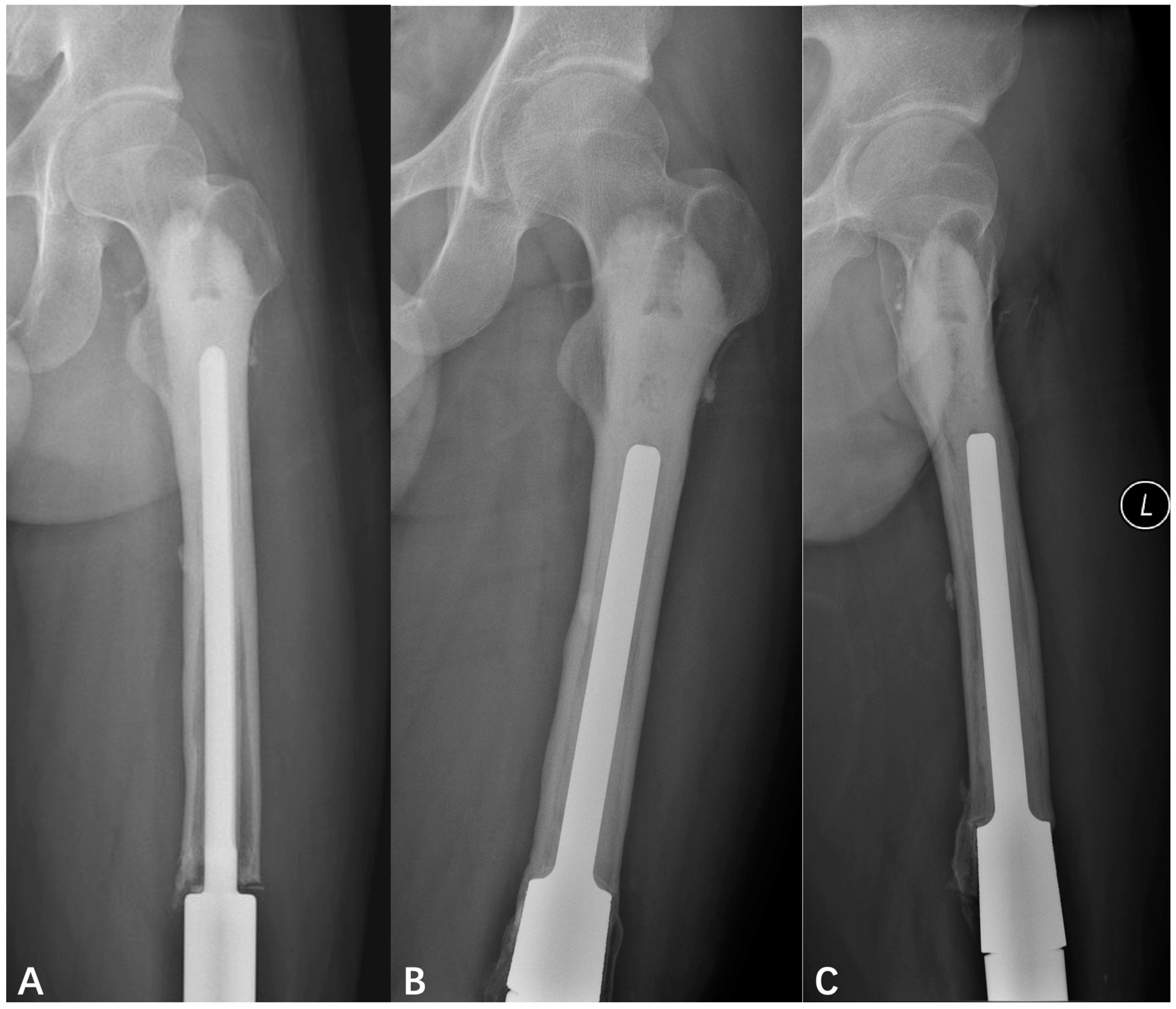
3.2. Evaluation of Aseptic Loosening
3.3. Functional Outcome of the Revision Prosthesis
4. Discussion
5. Conclusions and Future Work
Author Contributions
Funding
Institutional Review Board Statement
Informed Consent Statement
Data Availability Statement
Conflicts of Interest
References
- Simon, M.A.; Aschliman, M.A.; Thomas, N.; Mankin, H.J. Limb-Salvage Treatment versus Amputation for Osteosarcoma of the Distal End of the Femur. J. Bone Jt. Surg. 2005, 87, 2822. [Google Scholar] [CrossRef]
- Erstad, D.J.; Ready, J.; Abraham, J.; Ferrone, M.L.; Bertagnolli, M.M.; Baldini, E.H.; Raut, C.P. Amputation for Extremity Sarcoma: Contemporary Indications and Outcomes. Ann. Surg. Oncol. 2017, 25, 394–403. [Google Scholar] [CrossRef] [PubMed]
- Groundland, J.S.; Ambler, S.B.; Houskamp, L.D.J.; Orriola, J.J.; Binitie, O.T.; Letson, D.G. Surgical and Functional Outcomes After Limb‐Preservation Surgery for Tumor in Pediatric Patients. JBJS Rev. 2016, 4, e2.1–e2.13. [Google Scholar] [PubMed]
- Capanna, R.; Scoccianti, G.; Frenos, F.; Vilardi, A.; Beltrami, G.; Campanacci, D.A. What Was the Survival of Megaprostheses in Lower Limb Reconstructions After Tumor Resections? Clin. Orthop. Relat. Res. 2015, 473, 820–830. [Google Scholar] [CrossRef]
- Bernthal, N.M.; Greenberg, M.; Heberer, K.; Eckardt, J.J.; Fowler, E.G. What Are the Functional Outcomes of Endoprosthestic Reconstructions After Tumor Resection? Clin. Orthop. Relat. Res. 2015, 473, 812–819. [Google Scholar] [CrossRef]
- Henderson, E.R.; O’Connor, M.I.; Ruggieri, P.; Windhager, R.; Funovics, P.T.; Gibbons, C.L.; Guo, W.; Hornicek, F.J.; Temple, H.T.; Letson, G.D. Classification of failure of limb salvage after reconstructive surgery for bone tumours. Bone Jt. J. 2014, 96-B, 1436–1440. [Google Scholar] [CrossRef]
- Henderson, E.R.; Groundland, J.S.; Pala, E.; Dennis, J.A.; Wooten, R.; Cheong, D.; Windhager, R.; Kotz, R.I.; Mercuri, M.; Funovics, P.T.; et al. Failure Mode Classification for Tumor Endoprostheses: Retrospective Review of Five Institutions and a Literature Review. J. Bone Jt. Surg. 2011, 93, 418–429. [Google Scholar] [CrossRef]
- Li, M.L.M.; Wong, K.C.; Chiu, W.K.; Kumta, S.-M. Intermediate-term results and risk factors analysis of tumor endoprosthesis in paediatric patients after the resection of lower extremity bone sarcoma. J. Orthop. Surg. 2022, 30, 10225536221132404. [Google Scholar]
- Bergin, P.F.; Noveau, J.B.; Jelinek, J.S.; Henshaw, R.M. Aseptic Loosening Rates in Distal Femoral Endoprostheses: Does Stem Size Matter? Clin. Orthop. Relat. Res. 2012, 470, 743–750. [Google Scholar] [CrossRef]
- Li, Z.; Yu, X.; Zheng, K. Radiographic Assessment of Aseptic Loosening of Tumor-Type Knee Prosthesis in Distal Femur. Orthop. Surg. 2022, 14, 1143–1151. [Google Scholar] [CrossRef]
- Wirganowicz, P.Z.; Eckardt, J.J.; Dorey, F.J.; Eilber, F.R.; Kabo, J.M. Etiology and Results of Tumor Endoprosthesis Revision Surgery in 64 Patients. Clin. Orthop. Relat. Res. 1999, 358, 64–74. [Google Scholar] [CrossRef]
- Zimel, M.N.; Farfalli, G.L.; Zindman, A.M.; Riedel, E.R.; Morris, C.D.; Boland, P.J.; Healey, J.H. Revision Distal Femoral Arthroplasty with the Compress® Prosthesis Has a Low Rate of Mechanical Failure at 10 Years. Clin. Orthop. Relat. Res. 2016, 474, 528–536. [Google Scholar] [CrossRef] [PubMed]
- Friesecke, C.; Plutat, J.; Block, A. Revision Arthroplasty with Use of a Total Femur Prosthesis. J. Bone Jt. Surg. 2005, 87, 2693–2701. [Google Scholar] [CrossRef]
- Niu, X.; Xu, H.; Inwards, C.Y.; Li, Y.; Ding, Y.; Letson, G.D.; Bui, M.M. Primary Bone Tumors: Epidemiologic Comparison of 9200 Patients Treated at Beijing Ji Shui Tan Hospital, Beijing, China, with 10165 Patients at Mayo Clinic, Rochester, Minnesota. Arch. Pathol. Lab. Med. 2015, 139, 1149–1155. [Google Scholar] [CrossRef] [PubMed]
- Xu, H.; Seifert, R.P.; Niu, X.; Li, Y.; Bui, M.M. The Establishment and Utility of a Free Online Database of Primary Bone Tumors. Pathol. Oncol. Res. 2015, 22, 129–133. [Google Scholar] [CrossRef] [PubMed]
- Coathup, M.J.; Batta, V.; Pollock, R.C.; Aston, W.J.; Cannon, S.R.; Skinner, J.A.; Briggs, T.W.; Unwin, P.S.; Blunn, G.W. Long-Term Survival of Cemented Distal Femoral Endoprostheses with a Hydroxyapatite-Coated Collar. J. Bone Jt. Surg. 2013, 95, 1569–1575. [Google Scholar] [CrossRef]
- Enneking, W.F.; Dunham, W.; Gebhardt, M.C.; Malawar, M.; Pritchard, D.J. A system for the functional evaluation of reconstructive procedures after surgical treatment of tumors of the musculoskeletal system. Clin. Orthop. Relat. Res. 1993, 286, 241–246. [Google Scholar] [CrossRef]
- Mittermayer, F.; Windhager, R.; Dominkus, M.; Krepler, P.; Schwameis, E.; Sluga, M.; Strasser, G. Revision of the Kotz type of tumour endoprosthesis for the lower limb. J. Bone Jt. Surgery. Br. Vol. 2002, 84-B, 401–406. [Google Scholar] [CrossRef]
- Plötz, W.; Rechl, H.; Burgkart, R.; Messmer, C.; Schelter, R.; Hipp, E.; Gradinger, R. Limb Salvage with Tumor Endoprostheses for Malignant Tumors of the Knee. Clin. Orthop. Relat. Res. 2002, 405, 207–215. [Google Scholar] [CrossRef]
- Gosheger, G.; Gebert, C.; Ahrens, H.; Streitbuerger, A.; Winkelmann, W.; Hardes, J. Endoprosthetic Reconstruction in 250 Patients with Sarcoma. Clin. Orthop. Relat. Res. 2006, 450, 164–171. [Google Scholar] [CrossRef]
- Chao, E.Y.S.; Fuchs, B.; Rowland, C.M.; Ilstrup, D.M.; Pritchard, D.J.; Sim, F.H. Long-term results of segmental prosthesis fixation by extracortical bone-bridging and ingrowth. J. Bone Jt. Surgery. Am. Vol. 2004, 86-A, 948–955. [Google Scholar] [CrossRef] [PubMed]
- Schwartz, A.J.; Kabo, J.M.; Eilber, F.C.; Eilber, F.R.; Eckardt, J.J. Cemented Distal Femoral Endoprostheses for Musculoskeletal Tumor: Improved Survival of Modular versus Custom Implants. Clin. Orthop. Relat. Res. 2010, 468, 2198–2210. [Google Scholar] [CrossRef] [PubMed]
- Kawai, A.; Lin, P.P.; Boland, P.J.; Athanasian, E.A.; Healey, J.H. Relationship between magnitude of resection, complication, and prosthetic survival after prosthetic knee reconstructions for distal femoral tumors. J. Surg. Oncol. 1999, 70, 109–115. [Google Scholar] [CrossRef]
- Unwin, P.S.; Cannon, S.R.; Grimer, R.J.; Kemp, H.B.; Sneath, R.S.; Walker, P.S. Aseptic loosening in cemented custom-made prosthetic replacements for bone tumours of the lower limb. J. Bone Jt. Surgery. Br. Vol. 1996, 78, 5–13. [Google Scholar] [CrossRef]
- Pedtke, A.C.; Wustrack, R.L.; Fang, A.S.; Grimer, R.J.; O’Donnell, R.J. Aseptic Failure: How Does the Compress® Implant Compare to Cemented Stems? Clin. Orthop. Relat. Res. 2012, 470, 735–742. [Google Scholar] [CrossRef]
- Griffin, A.M.; Parsons, J.A.; Davis, A.M.; Bell, R.S.; Wunder, J.S. Uncemented Tumor Endoprostheses at the Knee. Clin. Orthop. Relat. Res. 2005, 438, 71–79. [Google Scholar] [CrossRef]
- Othman, S.; Bricker, J.T.; Azoury, S.C.; Elfanagely, O.; Weber, K.L.; Kovach, S.J. Allograft Alone vs. Allograft with Intramedullary Vascularized Fibular Graft for Lower Extremity Bone Cancer: A Systematic Review and Meta-Analysis. J. Plast. Reconstr. Aesthetic Surg. 2020, 73, 1221–1231. [Google Scholar] [CrossRef]
- Muscolo, D.L.; Ayerza, M.A.; Aponte-Tinao, L.A.; Ranalletta, M. Use of Distal Femoral Osteoarticular Allografts in Limb Salvage Surgery. J. Bone Jt. Surg. 2005, 87, 2449–2455. [Google Scholar]





| Demographics of Patients | Numbers |
|---|---|
| Number of patients | 16 |
| Age (years; range) | 28 (14–55) |
| Gender | |
| Male | 9 |
| Female | 7 |
| Tumor Diagnosis | |
| Conventional osteosarcoma | 7 |
| Giant cell tumor of bone | 6 |
| Chondrosarcoma | 1 |
| Chondroblastoma | 1 |
| Epitheliod haemangioendothelioma | 1 |
| Tumor locations | |
| Distal femur | 10 |
| Proximal tibia | 4 |
| Proximal femur | 2 |
| Primary prosthesis (knee) | |
| Rotating hinge knee | 8 |
| Constrained condylar knee | 6 |
Disclaimer/Publisher’s Note: The statements, opinions and data contained in all publications are solely those of the individual author(s) and contributor(s) and not of MDPI and/or the editor(s). MDPI and/or the editor(s) disclaim responsibility for any injury to people or property resulting from any ideas, methods, instructions or products referred to in the content. |
© 2023 by the authors. Licensee MDPI, Basel, Switzerland. This article is an open access article distributed under the terms and conditions of the Creative Commons Attribution (CC BY) license (https://creativecommons.org/licenses/by/4.0/).
Share and Cite
Xu, H.; Li, Y.; Yu, F.; Liu, W.; Hao, L.; Zhang, Q.; Niu, X. GMRS Oncological Prosthesis with a Porous Coating Collar: A Good Option for Revision of Aseptic Loosening in the Lower Extremity. J. Clin. Med. 2023, 12, 892. https://doi.org/10.3390/jcm12030892
Xu H, Li Y, Yu F, Liu W, Hao L, Zhang Q, Niu X. GMRS Oncological Prosthesis with a Porous Coating Collar: A Good Option for Revision of Aseptic Loosening in the Lower Extremity. Journal of Clinical Medicine. 2023; 12(3):892. https://doi.org/10.3390/jcm12030892
Chicago/Turabian StyleXu, Hairong, Yuan Li, Feng Yu, Weifeng Liu, Lin Hao, Qing Zhang, and Xiaohui Niu. 2023. "GMRS Oncological Prosthesis with a Porous Coating Collar: A Good Option for Revision of Aseptic Loosening in the Lower Extremity" Journal of Clinical Medicine 12, no. 3: 892. https://doi.org/10.3390/jcm12030892
APA StyleXu, H., Li, Y., Yu, F., Liu, W., Hao, L., Zhang, Q., & Niu, X. (2023). GMRS Oncological Prosthesis with a Porous Coating Collar: A Good Option for Revision of Aseptic Loosening in the Lower Extremity. Journal of Clinical Medicine, 12(3), 892. https://doi.org/10.3390/jcm12030892

