Renoprotective Effect of Taxifolin in Paracetamol-Induced Nephrotoxicity: Emerging Evidence from an Animal Model
Abstract
1. Introduction
2. Materials and Methods
2.1. Animals
2.2. Blood Analyses and Histopathological Evaluation
2.3. Statistical Analysis
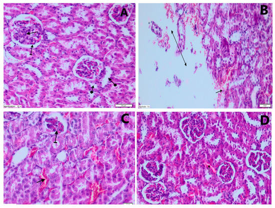
3. Results
4. Discussion
5. Conclusions
Author Contributions
Funding
Institutional Review Board Statement
Informed Consent Statement
Data Availability Statement
Conflicts of Interest
References
- Patterson, T.; Turner, J.; Gnjidic, D.; Mintzes, B.; Bennett, C.; Bywaters, L.; Clavisi, O.; Baysari, M.; Ferreira, M.; Beckenkamp, P.; et al. (C)onsumer focused (E)ducation on p(A)racetamol (S)ide (E)ffects, i(N)adequate (O)utcomes and (W)eaning (CEASE NOW) for individuals with low back pain: Results of a feasibility study. BMJ Open 2022, 12, e068164. [Google Scholar] [CrossRef]
- Prescott, L. Kinetics and metabolism of paracetamol and phenacetin. Br. J. Clin. Pharmacol. 1980, 10, 291S–298S. [Google Scholar] [CrossRef] [PubMed]
- Chiew, A.L.; Isbister, G.K.; Duffull, S.B.; Buckley, N.A. Evidence for the changing regimens of acetylcysteine. Br. J. Clin. Pharmacol. 2016, 81, 471–481. [Google Scholar] [CrossRef] [PubMed]
- Prescott, L.; Illingworth, R.; Critchley, J.; Stewart, M.; Adam, R.; Proudfoot, A. Intravenous N-acetylcystine: The treatment of choice for paracetamol poisoning. Br. Med. J. 1979, 2, 1097–1100. [Google Scholar] [CrossRef]
- Marks, D.J.; Dargan, P.I.; Archer, J.R.; Davies, C.L.; Dines, A.M.; Wood, D.M.; Greene, S.L. Outcomes from massive paracetamol overdose: A retrospective observational study. Br. J. Clin. Pharmacol. 2017, 83, 1263–1272. [Google Scholar] [CrossRef]
- Bektur, N.E.; Sahin, E.; Baycu, C.; Unver, G. Protective effects of silymarin against acetaminophen-induced hepatotoxicity and nephrotoxicity in mice. Toxicol. Ind. Health 2016, 32, 589–600. [Google Scholar] [CrossRef] [PubMed]
- Makhdoom, S.; Maqbool, A.; Muhammad, H.; Makhdoom, M.; Ashraf, H.; Khan, W.A.; Irfan, M. Nephrocurative Effect of Parthenium hysterophorus (Carrot Grass) in Paracetamol Induced Nephrotoxicity in Rabbits. Cell Mol. Biol. (Noisy-Le-Grand) 2022, 68, 33–39. [Google Scholar] [CrossRef] [PubMed]
- Zhao, Y.-L.; Zhou, G.-D.; Yang, H.-B.; Wang, J.-B.; Shan, L.-M.; Li, R.-s.; Xiao, X.-H. Rhein protects against acetaminophen-induced hepatic and renal toxicity. Food Chem. Toxicol. 2011, 49, 1705–1710. [Google Scholar] [CrossRef]
- Georgiadis, G.; Mavridis, C.; Belantis, C.; Zisis, I.E.; Skamagkas, I.; Fragkiadoulaki, I.; Heretis, I.; Tzortzis, V.; Psathakis, K.; Tsatsakis, A.; et al. Nephrotoxicity issues of organophosphates. Toxicology 2018, 406–407, 129–136. [Google Scholar] [CrossRef]
- Commandeur, J.; Vermeulen, N. Cytotoxicity and cytoprotective activities of natural compounds. The case of curcumin. Xenobiotica 1996, 26, 667–680. [Google Scholar] [CrossRef]
- Stamper, B.D. Acetyl-p-Aminophenol and Acetyl-m-Aminophenol: Using Structure-Toxicity Relationships to Identify Biomarkers for Hepatocellular Injury; University of Washington: Washington, DC, USA, 2010. [Google Scholar]
- Richie Jr, J.P.; Lang, C.A.; Chen, T.S. Acetaminophen-induced depletion of glutathione and cysteine in the aging mouse kidney. Biochem. Pharmacol. 1992, 44, 129–135. [Google Scholar] [CrossRef] [PubMed]
- Devalia, J.L.; Ogilvie, R.C.; McLean, A.E. Dissociation of cell death from covalent binding of paracetamol by flavones in a hepatocyte system. Biochem. Pharmacol. 1982, 31, 3745–3749. [Google Scholar] [CrossRef] [PubMed]
- Manyike, P.T.; Kharasch, E.D.; Kalhorn, T.F.; Slattery, J.T. Contribution of CYP2E1 and CYP3A to acetaminophen reactive metabolite formation. Clin. Pharmacol. Ther. 2000, 67, 275–282. [Google Scholar] [CrossRef] [PubMed]
- Blantz, R.C. Acetaminophen: Acute and chronic effects on renal function. Am. J. Kidney Dis. 1996, 28, S3–S6. [Google Scholar] [CrossRef]
- Iordache, A.M.; Docea, A.O.; Buga, A.M.; Zlatian, O.; Ciurea, M.E.; Rogoveanu, O.C.; Burada, F.; Sosoi, S.; Mitrut, R.; Mamoulakis, C.; et al. Sildenafil and tadalafil reduce the risk of contrast-induced nephropathy by modulating the oxidant/antioxidant balance in a murine model. Food Chem. Toxicol. 2020, 135, 111038. [Google Scholar] [CrossRef]
- Cicek, B.; Genc, S.; Yeni, Y.; Kuzucu, M.; Cetin, A.; Yildirim, S.; Bolat, I.; Kantarci, M.; Hacimuftuoglu, A.; Lazopoulos, G. Artichoke (Cynara Scolymus) Methanolic Leaf Extract Alleviates Diethylnitrosamine-Induced Toxicity in BALB/c Mouse Brain: Involvement of Oxidative Stress and Apoptotically Related Klotho/PPARγ Signaling. J. Pers. Med. 2022, 12, 2012. [Google Scholar] [CrossRef]
- Al Sulaiman, K.; Aljuhani, O.; Alhammad, A.M.; Al Aamer, K.; Alshehri, S.; Alhuwahmel, A.; Kharbosh, A.; Alshehri, A.; Alshareef, H.; Al Sulaihim, I.; et al. The potential role of adjunctive ascorbic acid in the prevention of colistin-induced nephrotoxicity in critically ill patients: A retrospective study. Saudi Pharm. J. 2022, 30, 1748–1754. [Google Scholar] [CrossRef]
- Khalaf, M.M.; Hassan, S.M.; Sayed, A.M.; Abo-Youssef, A.M. Carvacrol mitigates vancomycin-induced nephrotoxicity via regulation of IkBalpha/p38MAPK and Keap1/Nrf2 signaling pathways: An experimental study with in silico evidence. Eur. Rev. Med. Pharm. Sci. 2022, 26, 8738–8755. [Google Scholar] [CrossRef]
- Costa, C.; Tsatsakis, A.; Mamoulakis, C.; Teodoro, M.; Briguglio, G.; Caruso, E.; Tsoukalas, D.; Margina, D.; Dardiotis, E.; Kouretas, D. Current evidence on the effect of dietary polyphenols intake on chronic diseases. Food Chem. Toxicol. 2017, 110, 286–299. [Google Scholar] [CrossRef]
- Boozari, M.; Hosseinzadeh, H. Natural medicines for acute renal failure: A review. Phytother. Res. 2017, 31, 1824–1835. [Google Scholar] [CrossRef]
- Yanarates, O.; Guven, A.; Sizlan, A.; Uysal, B.; Akgul, O.; Atim, A.; Ozcan, A.; Korkmaz, A.; Kurt, E. Ameliorative effects of proanthocyanidin on renal ischemia/reperfusion injury. Ren. Fail. 2008, 30, 931–938. [Google Scholar] [CrossRef] [PubMed]
- Havsteen, B. Flavonoids, a class of natural products of high pharmacological potency. Biochem. Pharmacol. 1983, 32, 1141–1148. [Google Scholar] [CrossRef] [PubMed]
- Rice-Evans, C.A.; Miller, N.J.; Paganga, G. Structure-antioxidant activity relationships of flavonoids and phenolic acids. Free Radic. Biol. Med. 1996, 20, 933–956. [Google Scholar] [CrossRef]
- Wei, R.; Ding, R.; Tang, L.; Wang, Y. Grape seed proanthocyanidin extract reduces renal ischemia/reperfusion injuries in rats. Am. J. Med. Sci. 2012, 343, 452–457. [Google Scholar] [CrossRef] [PubMed]
- Akinmoladun, A.C.; Oladejo, C.O.; Josiah, S.S.; Famusiwa, C.D.; Ojo, O.B.; Olaleye, M.T. Catechin, quercetin and taxifolin improve redox and biochemical imbalances in rotenone-induced hepatocellular dysfunction: Relevance for therapy in pesticide-induced liver toxicity? Pathophysiology 2018, 25, 365–371. [Google Scholar] [CrossRef]
- Gao, L.; Yuan, P.; Zhang, Q.; Fu, Y.; Hou, Y.; Wei, Y.; Zheng, X.; Feng, W. Taxifolin improves disorders of glucose metabolism and water-salt metabolism in kidney via PI3K/AKT signaling pathway in metabolic syndrome rats. Life Sci. 2020, 263, 118713. [Google Scholar] [CrossRef]
- Bedir, F.; Kocatürk, H.; Yapanoğlu, T.; Gürsul, C.; Arslan, R.; Mammadov, R.; Çoban, A.; Altuner, D.; Suleyman, H. Protective effect of taxifolin against prooxidant and proinflammatory kidney damage associated with acrylamide in rats. Biomed. Pharmacother. 2021, 139, 111660. [Google Scholar] [CrossRef]
- Ohkawa, H.; Ohishi, N.; Yagi, K. Assay for lipid peroxides in animal tissues by thiobarbituric acid reaction. Anal. Biochem. 1979, 95, 351–358. [Google Scholar] [CrossRef]
- Sedlak, J.; Lindsay, R.H. Estimation of total, protein-bound, and nonprotein sulfhydryl groups in tissue with Ellman’s reagent. Anal. Biochem. 1968, 25, 192–205. [Google Scholar] [CrossRef]
- Lawrence, R.A.; Burk, R.F. Glutathione peroxidase activity in selenium-deficient rat liver. Biochem. Biophys. Res. Commun. 1976, 71, 952–958. [Google Scholar] [CrossRef]
- Carlberg, I.; Mannervik, B. Glutathione reductase. In Methods in Enzymology; Elsevier: Amsterdam, The Netherlands, 1985; Volume 113, pp. 484–490. [Google Scholar]
- Taghizadehghalehjoughi, A.; Hacimuftuoglu, A.; Cetin, M.; Ugur, A.B.; Galateanu, B.; Mezhuev, Y.; Okkay, U.; Taspinar, N.; Taspinar, M.; Uyanik, A. Effect of metformin/irinotecan-loaded poly-lactic-co-glycolic acid nanoparticles on glioblastoma: In vitro and in vivo studies. Nanomedicine 2018, 13, 1595–1606. [Google Scholar] [CrossRef]
- Çomaklı, S.; Sevim, Ç.; Kontadakis, G.; Doğan, E.; Taghizadehghalehjoughi, A.; Özkaraca, M.; Aschner, M.; Nikolouzakis, T.K.; Tsatsakis, A. Acute glufosinate-based herbicide treatment in rats leads to increased ocular interleukin-1β and c-Fos protein levels, as well as intraocular pressure. Toxicol. Rep. 2019, 6, 155–160. [Google Scholar] [CrossRef] [PubMed]
- Taghizadeh, H.; Taghizadehghalehjoughi, A.; Yildirim, S.; Ozkaraca, M.; Genc, S.; Yeni, Y.; Mokresh, M.Y.; Hacimuftuoglu, A.; Tsatsakis, A.; Tsarouhas, K. Deteriorated Vascular Homeostasis in Hypertension: Experimental Evidence from Aorta, Brain, and Pancreatic Vasculature. J. Pers. Med. 2022, 12, 1602. [Google Scholar] [CrossRef] [PubMed]
- Karadeniz, E.; Caglar, O.; Firinci, B.; Ahiskalioglu, A.; Aydin, M.D.; Kocak, M.N.; Taghizadehghalehjoughi, A.; Yigiter, M.; Sipal, S.; Gundogdu, B. Predeterminative role of Onuf’s nucleus ischemia on mesenteric artery vasospasm in spinal subarachnoid hemorrhage: A preliminary experimental study. Asian J. Surg. 2019, 42, 797–804. [Google Scholar] [CrossRef] [PubMed]
- Zhao, L.; Pickering, G. Paracetamol metabolism and related genetic differences. Drug Metab. Rev. 2011, 43, 41–52. [Google Scholar] [CrossRef]
- Mamoulakis, C.; Fragkiadoulaki, I.; Karkala, P.; Georgiadis, G.; Zisis, I.E.; Stivaktakis, P.; Kalogeraki, A.; Tsiaoussis, I.; Burykina, T.; Lazopoulos, G.; et al. Contrast-induced nephropathy in an animal model: Evaluation of novel biomarkers in blood and tissue samples. Toxicol. Rep. 2019, 6, 395–400. [Google Scholar] [CrossRef]
- Mamoulakis, C.; Tsarouhas, K.; Fragkiadoulaki, I.; Heretis, I.; Wilks, M.F.; Spandidos, D.A.; Tsitsimpikou, C.; Tsatsakis, A. Contrast-induced nephropathy: Basic concepts, pathophysiological implications and prevention strategies. Pharmacol. Ther. 2017, 180, 99–112. [Google Scholar] [CrossRef]
- Ndetan, H.; Evans, M.W., Jr.; Singal, A.K.; Brunner, L.J.; Calhoun, K.; Singh, K.P. Light to moderate drinking and therapeutic doses of acetaminophen: An assessment of risks for renal dysfunction. Prev. Med. Rep. 2018, 12, 253–258. [Google Scholar] [CrossRef]
- Baponwa, O.; Amang, A.P.; Mezui, C.; Koubala, B.B.; Siwe, G.T.; Vandi, V.L.; Tan, P.V. Antioxidant Mechanism of Renal and Hepatic Failure Prevention Related to Paracetamol Overdose by the Aqueous Extract of Amblygonocarpus andongensis Stem Bark. Biomed. Res. Int. 2022, 2022, 1846558. [Google Scholar] [CrossRef]
- Zisis, I.E.; Georgiadis, G.; Docea, A.O.; Calina, D.; Cercelaru, L.; Tsiaoussis, J.; Lazopoulos, G.; Sofikitis, N.; Tsatsakis, A.; Mamoulakis, C. Renoprotective Effect of Vardenafil and Avanafil in Contrast-Induced Nephropathy: Emerging Evidence from an Animal Model. J. Pers. Med. 2022, 12, 670. [Google Scholar] [CrossRef]
- Ramachandran, V.; Saravanan, R.; Raja, B. Attenuation of oxidative stress by syringic acid on acetaminophen-induced nephrotoxic rats. Comp. Clin. Pathol. 2012, 21, 1559–1564. [Google Scholar] [CrossRef]
- Tsarouhas, K.; Tsitsimpikou, C.; Papantoni, X.; Lazaridou, D.; Koutouzis, M.; Mazzaris, S.; Rezaee, R.; Mamoulakis, C.; Georgoulias, P.; Nepka, C.; et al. Oxidative stress and kidney injury in trans-radial catheterization. Biomed. Rep. 2018, 8, 417–425. [Google Scholar] [CrossRef]
- Canayakin, D.; Bayir, Y.; Kilic Baygutalp, N.; Sezen Karaoglan, E.; Atmaca, H.T.; Kocak Ozgeris, F.B.; Keles, M.S.; Halici, Z. Paracetamol-induced nephrotoxicity and oxidative stress in rats: The protective role of Nigella sativa. Pharm. Biol. 2016, 54, 2082–2091. [Google Scholar] [CrossRef] [PubMed]
- Hensley, K.; Robinson, K.A.; Gabbita, S.P.; Salsman, S.; Floyd, R.A. Reactive oxygen species, cell signaling, and cell injury. Free Radic. Biol. Med. 2000, 28, 1456–1462. [Google Scholar] [CrossRef] [PubMed]
- Şener, G.; Sehirli, Ö.; Cetinel, Ş.; Yeğen, B.G.; Gedik, N.; Ayanoğlu-Dülger, G. Protective effects of MESNA (2-mercaptoethane sulphonate) against acetaminophen-induced hepatorenal oxidative damage in mice. J. Appl. Toxicol. Int. J. 2005, 25, 20–29. [Google Scholar] [CrossRef] [PubMed]
- Iordache, A.M.; Buga, A.M.; Albulescu, D.; Vasile, R.C.; Mitrut, R.; Georgiadis, G.; Zisis, I.E.; Mamoulakis, C.; Tsatsakis, A.; Docea, A.O.; et al. Phosphodiesterase-5 inhibitors ameliorate structural kidney damage in a rat model of contrast-induced nephropathy. Food Chem. Toxicol. 2020, 143, 111535. [Google Scholar] [CrossRef]
- Knight, J.A. Free radicals: Their history and current status in aging and disease. Ann. Clin. Lab. Sci. 1998, 28, 331–346. [Google Scholar]
- Fujita, T.; Fujimoto, Y. Formation and removal of active oxygen species and lipid peroxides in biological systems. Nihon Yakurigaku Zasshi. Folia Pharmacol. Jpn. 1992, 99, 381–389. [Google Scholar] [CrossRef]
- Vageli, D.P.; Doukas, S.G.; Doukas, P.G.; Judson, B.L. Bile reflux and hypopharyngeal cancer (Review). Oncol. Rep. 2021, 46, 224. [Google Scholar] [CrossRef]
- Vageli, D.P.; Doukas, P.G.; Doukas, S.G.; Tsatsakis, A.; Judson, B.L. Noxious Combination of Tobacco Smoke Nitrosamines with Bile, Deoxycholic Acid, Promotes Hypopharyngeal Squamous Cell Carcinoma, via NFkappaB, In Vivo. Cancer Prev. Res. 2022, 15, 297–308. [Google Scholar] [CrossRef]
- Vageli, D.P.; Doukas, P.G.; Siametis, A.; Judson, B.L. Targeting STAT3 prevents bile reflux-induced oncogenic molecular events linked to hypopharyngeal carcinogenesis. J. Cell Mol. Med. 2022, 26, 75–87. [Google Scholar] [CrossRef] [PubMed]
- Hashemzaei, M.; Mamoulakis, C.; Tsarouhas, K.; Georgiadis, G.; Lazopoulos, G.; Tsatsakis, A.; Shojaei Asrami, E.; Rezaee, R. Crocin: A fighter against inflammation and pain. Food Chem. Toxicol. 2020, 143, 111521. [Google Scholar] [CrossRef] [PubMed]
- Vageli, D.P.; Prasad, M.L.; Sasaki, C.T. Gastro-duodenal fluid induced Nuclear Factor-κappaB activation and early pre-malignant alterations in murine hypopharyngeal mucosa. Oncotarget 2016, 7, 5892. [Google Scholar] [CrossRef] [PubMed]
- Halka, J.; Spaleniak, S.; Kade, G.; Antosiewicz, S.; Sigorski, D. The Nephrotoxicity of Drugs Used in Causal Oncological Therapies. Curr. Oncol. 2022, 29, 9681–9694. [Google Scholar] [CrossRef] [PubMed]
- Metin, T.O.; Bayrak, G.; Yaman, S.; Doganer, A.; Yoldas, A.; Eser, N.; Aykan, D.A.; Yilmaz, B.C.; Kurt, A.H.; Ayaz, L.; et al. Expression of ER stress markers (GRP78 and PERK) in experimental nephrotoxicity induced by cisplatin and gentamicin: Roles of inflammatory response and oxidative stress. Naunyn Schmiedebergs Arch. Pharm. 2022, 9, 1–3. [Google Scholar] [CrossRef] [PubMed]

| Parameter Monitored | PARG | TXFG | CG |
|---|---|---|---|
| MDA (μmol/gr protein) | 6.86 ± 0.212 ## | 3.58 ± 0.242 ** | 3.08 ± 0.303 |
| tGSH (nmol/gr protein) | 2.84 ± 0.324 ## | 6.88 ± 0.422 ** | 7.70 ± 0.683 |
| GPO (U/gr protein) | 3.00 ± 0.421 ## | 6.95 ± 0.693 ** | 8.18 ± 0.491 |
| GRx (U/gr protein) | 3.51 ± 0.441 ## | 8.21 ± 0.402 ** | 8.96 ± 0.512 |
| sCr (mg/dL) | 2.73 ± 0.282 ## | 0.414 ± 0.0532 ** | 0.373 ± 0.0532 |
| Blood Urea Nitrogen (mg/dL) | 158 ± 7.55 ## | 37.3 ± 2.80 ** | 34.0 ± 2.75 |
| Histopathological Findings | Control Group | PARG | TXFG |
|---|---|---|---|
| Glomerular Damage | - | +++ (6/6 animals) | + (4/6 animals) |
| Parenchyma destruction and edema | - | +++ (6/6 animals) | + (4/6 animals) |
| Hyperemia | - | +++ (6/6 animals) | ++ (5/6 animals) |
Disclaimer/Publisher’s Note: The statements, opinions and data contained in all publications are solely those of the individual author(s) and contributor(s) and not of MDPI and/or the editor(s). MDPI and/or the editor(s) disclaim responsibility for any injury to people or property resulting from any ideas, methods, instructions or products referred to in the content. |
© 2023 by the authors. Licensee MDPI, Basel, Switzerland. This article is an open access article distributed under the terms and conditions of the Creative Commons Attribution (CC BY) license (https://creativecommons.org/licenses/by/4.0/).
Share and Cite
Topal, I.; Özdamar, M.Y.; Catakli, T.; Malkoc, İ.; Hacimuftuoglu, A.; Mamoulakis, C.; Tsatsakis, A.; Tsarouhas, K.; Tsitsimpikou, C.; Taghizadehghalehjoughi, A. Renoprotective Effect of Taxifolin in Paracetamol-Induced Nephrotoxicity: Emerging Evidence from an Animal Model. J. Clin. Med. 2023, 12, 876. https://doi.org/10.3390/jcm12030876
Topal I, Özdamar MY, Catakli T, Malkoc İ, Hacimuftuoglu A, Mamoulakis C, Tsatsakis A, Tsarouhas K, Tsitsimpikou C, Taghizadehghalehjoughi A. Renoprotective Effect of Taxifolin in Paracetamol-Induced Nephrotoxicity: Emerging Evidence from an Animal Model. Journal of Clinical Medicine. 2023; 12(3):876. https://doi.org/10.3390/jcm12030876
Chicago/Turabian StyleTopal, Ismail, Mustafa Yaşar Özdamar, Tulin Catakli, İsmail Malkoc, Ahmet Hacimuftuoglu, Charalampos Mamoulakis, Aristidis Tsatsakis, Konstantinos Tsarouhas, Christina Tsitsimpikou, and Ali Taghizadehghalehjoughi. 2023. "Renoprotective Effect of Taxifolin in Paracetamol-Induced Nephrotoxicity: Emerging Evidence from an Animal Model" Journal of Clinical Medicine 12, no. 3: 876. https://doi.org/10.3390/jcm12030876
APA StyleTopal, I., Özdamar, M. Y., Catakli, T., Malkoc, İ., Hacimuftuoglu, A., Mamoulakis, C., Tsatsakis, A., Tsarouhas, K., Tsitsimpikou, C., & Taghizadehghalehjoughi, A. (2023). Renoprotective Effect of Taxifolin in Paracetamol-Induced Nephrotoxicity: Emerging Evidence from an Animal Model. Journal of Clinical Medicine, 12(3), 876. https://doi.org/10.3390/jcm12030876

