Navigating the Unexpected: Iatrogenic Aortic Injuries during Transcatheter Aortic Valve Replacement (TAVR)
Abstract
1. Introduction
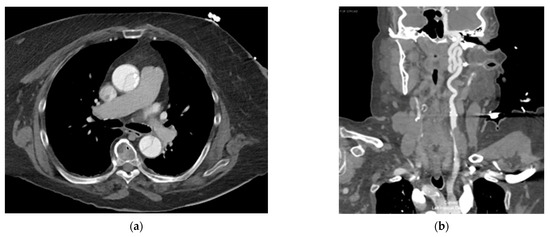
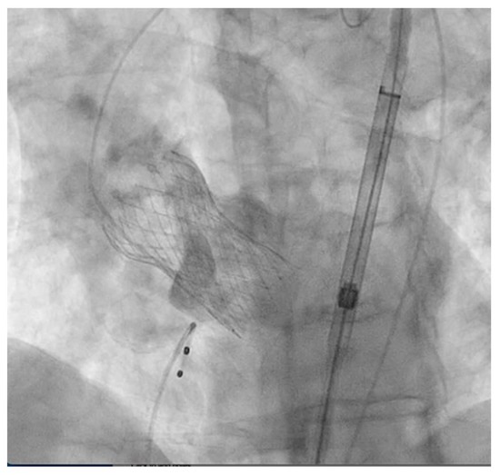
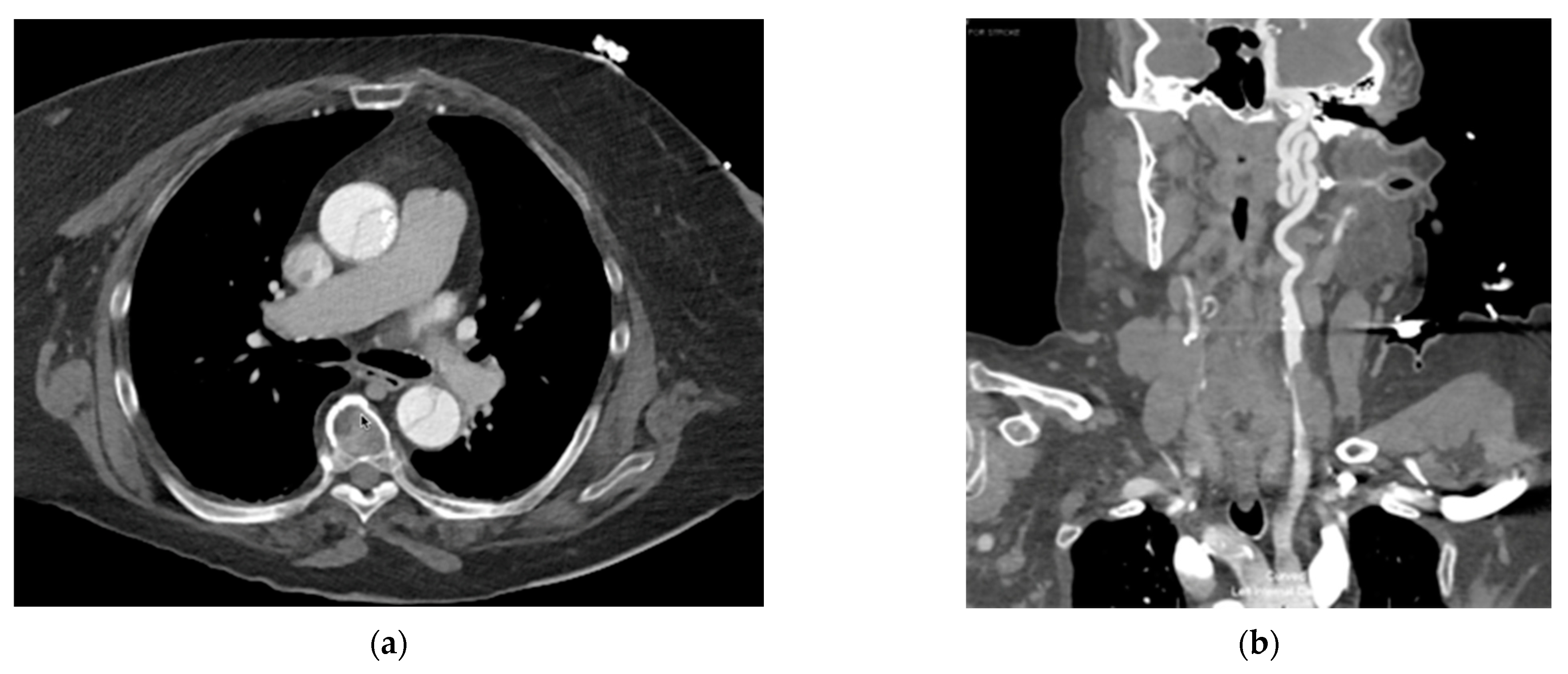
2. Detailed Case Description
3. Discussion
3.1. Aortic Annular Rupture
3.2. Aortic Hematoma
3.3. Aortic Fistula
3.4. Type A Aortic Dissection
Author Contributions
Funding
Institutional Review Board Statement
Informed Consent Statement
Data Availability Statement
Conflicts of Interest
References
- STS. STS Risk Calculator. 2018. Available online: https://www.sts.org/resources/risk-calculator (accessed on 1 September 2023).
- Pasic, M.; Unbehaun, A.; Buz, S.; Drews, T.; Hetzer, R. Annular rupture during transcatheter aortic valve replacement: Classification, pathophysiology, diagnostics, treatment approaches, and prevention. JACC Cardiovasc. Interv. 2015, 8 Pt A, 1–9. [Google Scholar] [CrossRef]
- Généreux, P.; Head, S.J.; Van Mieghem, N.M.; Kodali, S.; Kirtane, A.J.; Xu, K.; Smith, C.; Serruys, P.W.; Kappetein, A.P.; Leon, M.B. Clinical outcomes after transcatheter aortic valve replacement using valve academic research consortium definitions: A weighted meta-analysis of 3,519 patients from 16 studies. J. Am. Coll. Cardiol. 2012, 59, 2317–2326. [Google Scholar] [CrossRef] [PubMed]
- Barbanti, M.; Yang, T.-H.; Cabau, J.R.; Tamburino, C.; Wood, D.A.; Jilaihawi, H.; Blanke, P.; Makkar, R.R.; Latib, A.; Colombo, A.; et al. Anatomical and procedural features associated with aortic root rupture during balloon-expandable transcatheter aortic valve replacement. Circulation 2013, 128, 244–253. [Google Scholar] [CrossRef] [PubMed]
- Azarrafiy, R.; Albuquerque, F.N.; Carrillo, R.G.; Cohen, M.G. Coil embolization to successfully treat annular rupture during transcatheter aortic valve replacement. Catheter. Cardiovasc. Interv. 2018, 92, 1205–1208. [Google Scholar] [CrossRef] [PubMed]
- Liu, J.D.; Zhang, S.Y.; Wu, Y.Q.; Gong, R. Valve implantation for successful sealing of a balloon predilatation-induced annular rupture during transcatheter aortic valve replacement. Catheter. Cardiovasc. Interv. 2022, 100, 674–678. [Google Scholar] [CrossRef] [PubMed]
- Yu, Y.; Vallely, M.; Ng, M.K. Valve-in-valve implantation for aortic annular rupture complicating transcatheter aortic valve replacement (TAVR). J. Invasive Cardiol. 2013, 25, 409–410. [Google Scholar] [PubMed]
- Geyer, M.; Tamm, A.; Dohle, D.-S.; Kornberger, A.; Schnorbus, B.; Beiras-Fernandez, A.; Münzel, T.; von Bardeleben, R.S. “Unlucky punch”: Unexpected annular rupture during TAVR and successful treatment. Echocardiography 2021, 38, 705–706. [Google Scholar] [CrossRef] [PubMed]
- El-Andari, R.; Bozso, S.J.; Kang, J.J.; Manikala, V.K.; Moon, M.C.; Al-Aklabi, M.; Welsh, R.C.; Nagendran, J. Surgical Repair of a Transannular Rupture during Transfemoral Transcatheter Aortic Valve Replacement. Clin. Med. Insights Case Rep. 2021, 14, 11795476211038126. [Google Scholar] [CrossRef]
- Pineda, A.M.; Harrison, J.K.; Kleiman, N.S.; Rihal, C.S.; Kodali, S.K.; Kirtane, A.J.; Leon, M.B.; Sherwood, M.W.; Manandhar, P.; Vemulapalli, S.; et al. Incidence and Outcomes of Surgical Bailout during TAVR: Insights from the STS/ACC TVT Registry. JACC Cardiovasc. Interv. 2019, 12, 1751–1764. [Google Scholar] [CrossRef]
- Eggebrecht, H.; Vaquerizo, B.; Moris, C.; Bossone, E.; Lämmer, J.; Czerny, M.; Zierer, A.; Schröfel, H.; Kim, W.-K.; Walther, T.; et al. Incidence and outcomes of emergent cardiac surgery during transfemoral transcatheter aortic valve implantation (TAVI): Insights from the European Registry on Emergent Cardiac Surgery during TAVI (EuRECS-TAVI). Eur. Heart J. 2018, 39, 676–684. [Google Scholar] [CrossRef]
- Thomas, T.; Poulose, A.K.; Harris, K.M. Transient Aortic Intramural Hematoma Complicating Transaortic Valve Replacement. Aorta 2016, 4, 232–234. [Google Scholar] [CrossRef] [PubMed][Green Version]
- Généreux, P.; Reiss, G.R.; Kodali, S.K.; Williams, M.R.; Hahn, R.T. Periaortic hematoma after transcatheter aortic valve replacement: Description of a new complication. Catheter. Cardiovasc. Interv. 2012, 79, 766–776. [Google Scholar] [CrossRef] [PubMed]
- Konda, M.K.; Kalavakunta, J.K.; Pratt, J.W.; Martin, D.; Gupta, V. Aorto-right Ventricular Fistula Following Percutaneous Transcatheter Aortic Valve Replacement: Case Report and Literature Review. Heart Views 2017, 18, 133–136. [Google Scholar] [CrossRef] [PubMed]
- Abaya Ghazaleh, J.; Cacdac, R.; Lim, A.; Oudah, B.; Naderi Mohabadi, A. Aorta to Right Ventricular Fistula Status Post-TAVR. J. Investig. Med. High Impact Case Rep. 2023, 11, 23247096231191875. [Google Scholar] [CrossRef] [PubMed]
- Iesu, S.; Vigorito, F.; Iuliano, G.; Masiello, P.; Citro, R. A Rare Complication of Transcatheter Aortic Valve Replacement: Aortic Root-Left Atrium Fistulization. JACC Case Rep. 2019, 1, 116–117. [Google Scholar] [CrossRef] [PubMed]
- Amat-Santos, I.J.; Rojas, P.; Stella, P.R.; Nombela-Franco, L.; Burgui, R.L.; Muñoz-García, A.J.; Serra, V.; Gutierrez-Ibanes, E.; Larman, M.; Olivares, R.R.; et al. Intracardiac shunts following transcatheter aortic valve implantation: A multicentre study. EuroIntervention 2018, 13, 1995–2002. [Google Scholar] [CrossRef]
- Shakoor, M.T.; Islam, A.M.; Ayub, S. Acquired Aorto-Right Ventricular Fistula following Transcatheter Aortic Valve Replacement. Case Rep. Cardiol. 2015, 2015, 608539. [Google Scholar] [CrossRef]
- Rylski, B.; Hoffmann, I.; Beyersdorf, F.; Suedkamp, M.; Siepe, M.; Nitsch, B.; Blettner, M.; Borger, M.A.; Weigang, E. Iatrogenic acute aortic dissection type A: Insight from the German Registry for Acute Aortic Dissection Type A (GERAADA). Eur. J. Cardiothorac. Surg. 2013, 44, 353–359. [Google Scholar] [CrossRef]
- Williams, M.L.; Sheng, S.; Gammie, J.S.; Rankin, J.S.; Smith, P.K.; Hughes, G.C. Aortic dissection as a complication of cardiac surgery: Report from the Society of Thoracic Surgeons database. Ann. Thorac. Surg. 2010, 90, 1812–1817. [Google Scholar] [CrossRef]
- Leontyev, S.; Borger, M.A.; Legare, J.F.; Merk, D.; Hahn, J.; Seeburger, J.; Lehmann, S.; Mohr, F.W. Iatrogenic type A aortic dissection during cardiac procedures: Early and late outcome in 48 patients. Eur. J. Cardiothorac. Surg. 2012, 41, 641–646. [Google Scholar] [CrossRef]
- Núñez-Gil, I.J.; Bautista, D.; Cerrato, E.; Salinas, P.; Varbella, F.; Omedè, P.; Ugo, F.; Ielasi, A.; Giammaria, M.; Moreno, R.; et al. Incidence, Management, and Immediate- and Long-Term Outcomes after Iatrogenic Aortic Dissection during Diagnostic or Interventional Coronary Procedures. Circulation 2015, 131, 2114–2119. [Google Scholar] [CrossRef] [PubMed]
- von Aspern, K.; Leontyev, S.; Etz, C.D.; Haunschild, J.; Misfeld, M.; Borger, M.A. Iatrogenic Type A Aortic Dissection: Challenges and Frontiers-Contemporary Single Center Data and Clinical Perspective. Aorta 2022, 10, 201–209. [Google Scholar] [CrossRef] [PubMed]
- Langer, N.B.; Hamid, N.B.; Nazif, T.M.; Khalique, O.K.; Vahl, T.P.; White, J.; Terre, J.; Hastings, R.; Leung, D.; Hahn, R.T.; et al. Injuries to the Aorta, Aortic Annulus, and Left Ventricle during Transcatheter Aortic Valve Replacement: Management and Outcomes. Circ. Cardiovasc. Interv. 2017, 10, e004735. [Google Scholar] [CrossRef] [PubMed]
- Walther, T.; Hamm, C.W.; Schuler, G.; Berkowitsch, A.; Kötting, J.; Mangner, N.; Mudra, H.; Beckmann, A.; Cremer, J.; Welz, A.; et al. Perioperative Results and Complications in 15,964 Transcatheter Aortic Valve Replacements: Prospective Data from the GARY Registry. J. Am. Coll. Cardiol. 2015, 65, 2173–2180. [Google Scholar] [CrossRef] [PubMed]
- Hiruma, T.; Higuchi, R.; Saji, M.; Takamisawa, I.; Shimokawa, T.; Nanasato, M. Transcatheter aortic valve replacement-related aortic dissection: A clinical case series. Catheter. Cardiovasc. Interv. 2023, 101, 668–675. [Google Scholar] [CrossRef] [PubMed]
- Yashima, F.; Hayashida, K.; Fukuda, K. Delivery balloon-induced ascending aortic dissection: An unusual complication during transcatheter aortic valve implantation. Catheter. Cardiovasc. Interv. 2016, 87, 1338–1341. [Google Scholar] [CrossRef]
- Van Mieghem, N.M.; de Jaegere, P.P. Intravascular ultrasound-guided stenting of left main stem dissection after Medtronic Corevalve implantation. Catheter. Cardiovasc. Interv. 2013, 82, 240–244. [Google Scholar] [CrossRef]
- Cereda, A.F.; Toselli, M.; Khokhar, A.; Sticchi, A.; Gallo, F.; Ruggiero, R.; Ponticelli, F.; Laricchia, A.; Mangieri, A.; Sangiorgi, G.; et al. Iatrogenic aorta-coronary dissection: Case report and systematic review. Catheter. Cardiovasc. Interv. 2021, 97, E900–E910. [Google Scholar] [CrossRef]
- Pontious, M.E.; Ashfaq, A.; Watson, J.J.; Song, H.K.; Fuss, C.; Chadderdon, S.M.; Bhamidipati, C.M. Late Type A Dissection after Transfemoral Aortic Valve Replacement. JACC Case Rep. 2020, 2, 877–881. [Google Scholar] [CrossRef]
- Kassis, N.; Saad, A.M.; Ahuja, K.R.; Gad, M.M.; Abdelfattah, O.M.; Isogai, T.; Shekhar, S.; Krishnaswamy, A.; Svensson, L.; Unai, S.; et al. Impact of thoracic aortic aneurysm on outcomes of transcatheter aortic valve replacement: A nationwide cohort analysis. Catheter. Cardiovasc. Interv. 2021, 97, 549–553. [Google Scholar] [CrossRef]
- Joshi, S.; Mosleh, W.; Amer, M.R.; Tawayha, M.; Mather, J.F.; Kiernan, F.J.; McKay, R.G.; Piccirillo, B. Outcomes of Transcatheter Aortic Valve Replacement in Patients Treated with Systemic Steroids. J. Invasive Cardiol. 2022, 34, E49–E54. [Google Scholar] [PubMed]
- Ramandi, A.; Akbarzadeh, M.A.; Khaheshi, I.; Khalilian, M.R. Aortic dissection and COVID-19; a comprehensive systematic review. Curr. Probl. Cardiol. 2023, 48, 101129. [Google Scholar] [CrossRef] [PubMed]
- Pape, L.A.; Awais, M.; Woznicki, E.M.; Suzuki, T.; Trimarchi, S.; Evangelista, A.; Myrmel, T.; Larsen, M.; Harris, K.M.; Greason, K.; et al. Presentation, Diagnosis, and Outcomes of Acute Aortic Dissection: 17-Year Trends from the International Registry of Acute Aortic Dissection. J. Am. Coll. Cardiol. 2015, 66, 350–358. [Google Scholar] [CrossRef] [PubMed]
- Booher, A.M.; Isselbacher, E.M.; Nienaber, C.A.; Trimarchi, S.; Evangelista, A.; Montgomery, D.G.; Froehlich, J.B.; Ehrlich, M.P.; Oh, J.K.; Januzzi, J.L.; et al. The IRAD classification system for characterizing survival after aortic dissection. Am. J. Med. 2013, 126, 730.e19–730.e24. [Google Scholar] [CrossRef]
- Fried, E.A.; Salter, B.S.; Weiner, M.M.; Faloye, A.O.; Richter, E.W.; Pineda, A.M. Type A Aortic Dissection after a Transcatheter Aortic Valve Replacement in a Prohibitive Surgical Risk Candidate. J. Cardiothorac. Vasc. Anesth. 2022, 36 Pt A, 2803–2810. [Google Scholar] [CrossRef]
- Park, J.; Lee, S.A.; Kang, D.Y.; Kim, H.J.; Ahn, J.M.; Kim, J.B.; Park, D.W.; Choo, S.J.; Park, S.J.; Kim, D.H. Spontaneous Resolution of Extensive Iatrogenic Type A Aortic Dissection after Transcatheter Aortic Valve Replacement. JACC Case Rep. 2022, 4, 464–469. [Google Scholar] [CrossRef]
- Hashemi, H.; Khera, S.; Anastasius, M.; Ismail El-Hamamsy Tang, G.H.L.; Sharma, S.K.; Kini, A.; Lerakis, S. Acute Type A Aortic Dissection after TAVR in an Octogenarian with Ascending Aorta Aneurysm. JACC Cardiovasc. Interv. 2022, 15, 220–222. [Google Scholar] [CrossRef]
- Ong, S.H.; Mueller, R.; Gerckens, U. Iatrogenic dissection of the ascending aorta during TAVI sealed with the CoreValve revalving prosthesis. Catheter. Cardiovasc. Interv. 2011, 77, 910–914. [Google Scholar] [CrossRef]
- Miha, S.; Rok, Z.; Nikola, L.; Matjaž, B. Aortic Dissection after Transcatheter Aortic Valve Replacement: Conservative Approach with Good Outcome. J. Clin. Case Rep. 2018, 8, 1076. [Google Scholar] [CrossRef]
- Berfield, K.K.; Sweet, M.P.; McCabe, J.M.; Reisman, M.; Mackensen, G.B.; Mokadam, N.A.; Dean, L.S.; Smith, J.W. Endovascular Repair for Type A Aortic Dissection after Transcatheter Aortic Valve Replacement with a Medtronic CoreValve. Ann. Thorac. Surg. 2015, 100, 1444–1446. [Google Scholar] [CrossRef]
- Tavano, D.; Airoldi, F.; Michev, I.; Alberti, L.P.; Losa, S.; Miramonti, M.; Munaò, R.; Setacci, F. Aortic Erosion of Self-Expandable Aortic Prosthesis Treated with Endovascular Aortic Repair. JACC Cardiovasc. Interv. 2020, 13, e101–e102. [Google Scholar] [CrossRef] [PubMed]
- D’Ancona, G.; Kische, S.; Dissmann, M.; Pasic, M.; Mladenow, A.; Ince, H. Transfemoral uncovered stent to treat iatrogenic type A dissection during transcatheter aortic valve implantation. Eur. Heart J. 2015, 36, 187. [Google Scholar] [CrossRef] [PubMed]
- Rujirachun, P.; Junyavoraluk, A.; Jakrapanichakul, D.; Wongpraparut, N.; Chunhamaneewat, N.; Maneesai, A.; Sakiyalak, P. Immediate aortic dissection after transcatheter aortic valve replacement: A case report and review of the literature. Clin. Case Rep. 2021, 9, e04412. [Google Scholar] [CrossRef] [PubMed]
- Yuan, X.; Mitsis, A.; Nienaber, C.A. Current Understanding of Aortic Dissection. Life 2022, 12, 1606. [Google Scholar] [CrossRef] [PubMed]
- Nienaber, C.A.; Sakalihasan, N.; Clough, R.E.; Aboukoura, M.; Mancuso, E.; Yeh, J.S.; Defraigne, J.-O.; Cheshire, N.; Rosendahl, U.P.; Quarto, C.; et al. Thoracic endovascular aortic repair (TEVAR) in proximal (type A) aortic dissection: Ready for a broader application? J. Thorac. Cardiovasc. Surg. 2017, 153, S3–S11. [Google Scholar] [CrossRef] [PubMed]
- Di Eusanio, M.; Patel, H.J.; Nienaber, C.A.; Montgomery, D.M.; Korach, A.; Sundt, T.M.; DeVincentiis, C.; Voehringer, M.; Peterson, M.D.; Myrmel, T.; et al. Patients with type A acute aortic dissection presenting with major brain injury: Should we operate on them? J. Thorac. Cardiovasc. Surg. 2013, 145 (Suppl. S3), S213–S221.e1. [Google Scholar] [CrossRef] [PubMed]
- Wang, C.; Zhang, L.; Li, T.; Xi, Z.; Wu, H.; Li, D. Surgical treatment of type A acute aortic dissection with cerebral malperfusion: A systematic review. J. Cardiothorac. Surg. 2022, 17, 140. [Google Scholar] [CrossRef] [PubMed]
- Sultan, I.; Bianco, V.; Patel, H.J.; Arnaoutakis, G.J.; Di Eusanio, M.; Chen, E.P.; Leshnower, B.; Sundt, T.M.; Sechtem, U.; Montgomery, D.G.; et al. Surgery for type A aortic dissection in patients with cerebral malperfusion: Results from the International Registry of Acute Aortic Dissection. J. Thorac. Cardiovasc. Surg. 2021, 161, 1713–1720.e1. [Google Scholar] [CrossRef]
- Tanaka, H.; Okada, K.; Yamashita, T.; Morimoto, Y.; Kawanishi, Y.; Okita, Y. Surgical results of acute aortic dissection complicated with cerebral malperfusion. Ann. Thorac. Surg. 2005, 80, 72–76. [Google Scholar] [CrossRef]
- Fukuhara, S.; Norton, E.L.; Chaudhary, N.; Burris, N.; Shiomi, S.; Kim, K.M.; Patel, H.J.; Deeb, G.M.; Yang, B. Type A Aortic Dissection with Cerebral Malperfusion: New Insights. Ann. Thorac. Surg. 2021, 112, 501–509. [Google Scholar] [CrossRef]
- Morimoto, N.; Okada, K.; Okita, Y. Lack of neurologic improvement after aortic repair for acute type A aortic dissection complicated by cerebral malperfusion: Predictors and association with survival. J. Thorac. Cardiovasc. Surg. 2011, 142, 1540–1544. [Google Scholar] [CrossRef] [PubMed]
- Vendramin, I.; Isola, M.; Piani, D.; Onorati, F.; Salizzoni, S.; D’Onofrio, A.; Di Marco, L.; Gatti, G.; De Martino, M.; Faggian, G.; et al. Surgical management and outcomes in patients with acute type A aortic dissection and cerebral malperfusion. JTCVS Open 2022, 10, 22–33. [Google Scholar] [CrossRef] [PubMed]
- Tiwari, K.K.; Murzi, M.; Bevilacqua, S.; Glauber, M. Which cannulation (ascending aortic cannulation or peripheral arterial cannulation) is better for acute type A aortic dissection surgery? Interact. Cardiovasc. Thorac. Surg. 2010, 10, 797–802. [Google Scholar] [CrossRef] [PubMed]
- Suleiman, S.; Szirt, R.; Coughlan, J.J. Mechanical thrombectomy for transcatheter aortic valve insertion (TAVI)-related periprocedural stroke: Current literature and future directions. EMJ Int. Cardiol. 2020, 8, 1–54. [Google Scholar] [CrossRef]


Disclaimer/Publisher’s Note: The statements, opinions and data contained in all publications are solely those of the individual author(s) and contributor(s) and not of MDPI and/or the editor(s). MDPI and/or the editor(s) disclaim responsibility for any injury to people or property resulting from any ideas, methods, instructions or products referred to in the content. |
© 2023 by the authors. Licensee MDPI, Basel, Switzerland. This article is an open access article distributed under the terms and conditions of the Creative Commons Attribution (CC BY) license (https://creativecommons.org/licenses/by/4.0/).
Share and Cite
Cavanaugh, S.; Amirjamshidi, H.; Hisamoto, K. Navigating the Unexpected: Iatrogenic Aortic Injuries during Transcatheter Aortic Valve Replacement (TAVR). J. Clin. Med. 2023, 12, 7630. https://doi.org/10.3390/jcm12247630
Cavanaugh S, Amirjamshidi H, Hisamoto K. Navigating the Unexpected: Iatrogenic Aortic Injuries during Transcatheter Aortic Valve Replacement (TAVR). Journal of Clinical Medicine. 2023; 12(24):7630. https://doi.org/10.3390/jcm12247630
Chicago/Turabian StyleCavanaugh, Shaelyn, Hossein Amirjamshidi, and Kazuhiro Hisamoto. 2023. "Navigating the Unexpected: Iatrogenic Aortic Injuries during Transcatheter Aortic Valve Replacement (TAVR)" Journal of Clinical Medicine 12, no. 24: 7630. https://doi.org/10.3390/jcm12247630
APA StyleCavanaugh, S., Amirjamshidi, H., & Hisamoto, K. (2023). Navigating the Unexpected: Iatrogenic Aortic Injuries during Transcatheter Aortic Valve Replacement (TAVR). Journal of Clinical Medicine, 12(24), 7630. https://doi.org/10.3390/jcm12247630
