Improvement of Groin Pain in a Football Player with Femoroacetabular Impingement via a Correction of the Pelvic Position—A Case Report
Abstract
:1. Introduction
2. Case Description
2.1. Medical Examination
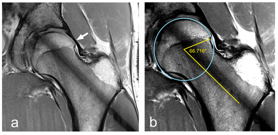
2.2. Imaging Procedures
- -
- Exertional pain.
- -
- Stiffness of the joint after exercise.
- -
- Positive FADIR test.
- -
- Apprehension test slightly painful.
- -
- Restricted hip ROM.
- -
- Irregularity at the femoral head–neck junction.
- -
- Alpha angle > 60°.
2.3. Biomechanical Examinations
2.4. Biomechanical Considerations


2.5. Therapy
- Strengthening of the hip extensors (m. gluteus maximus, hamstrings) to reduce the pelvic tilt.
- Strengthening of the abdominal muscles/trunk flexors (m. rectus abdominis, m. obliquus) to reduce the pelvic tilt.
- Strengthening and detoning of the hip flexors (m. iliopsoas) to reduce maximum hip flexion during kicking.
3. Results and Outcome
4. Discussion
5. Conclusions
Author Contributions
Funding
Institutional Review Board Statement
Informed Consent Statement
Data Availability Statement
Acknowledgments
Conflicts of Interest
References
- Weir, A.; Brukner, P.; Delahunt, E.; Ekstrand, J.; Griffin, D.; Khan, K.M.; Lovell, G.; Meyers, W.C.; Muschaweck, U.; Orchard, J.; et al. Doha agreement meeting on terminology and definitions in groin pain in athletes. Br. J. Sports Med. 2015, 49, 768–774. [Google Scholar] [CrossRef] [PubMed]
- Monckeberg, J.; Amenabar, T.; Rafols, C.; Garcia, N.; Yanez, R. Prevalence of FAI radiographic hip abnormalities in elite soccer players: Are there differences related to skeletal maturity? BMJ Open Sport Exerc. Med. 2017, 2, e000162. [Google Scholar] [CrossRef] [PubMed]
- Falotico, G.G.; Arliani, G.G.; Yamada, A.F.; Fernandes, A.d.R.C.; Ejnisman, B.; Cohen, M. Professional soccer is associated with radiographic cam and pincer hip morphology. Knee Surg. Sports Traumatol. Arthrosc. 2019, 27, 3142–3148. [Google Scholar] [CrossRef] [PubMed]
- Johnson, A.C.; Shaman, M.A.; Ryan, T.G. Femoroacetabular impingement in former high-level youth soccer players. Am. J. Sports Med. 2012, 40, 1342–1346. [Google Scholar] [CrossRef] [PubMed]
- Dinc, E.; Arslan, S.; Akikol, M.; Federation, I.T.F. The Effect of cam and pincer morphology on hamstring injury rates and return to play in elite young male football players. Acta Orthop. Traumatol. Turc. 2023, 57, 36. [Google Scholar] [CrossRef] [PubMed]
- Alrashdi, N.Z.; Brown-Taylor, L.; Bell, M.M.; Ithurburn, M.P. Movement patterns and their associations with pain, function, and hip morphology in individuals with femoroacetabular impingement syndrome: A scoping review. Phys. Ther. 2021, 101, pzab185. [Google Scholar] [CrossRef] [PubMed]
- Agricola, R.; Weinans, H. What is femoroacetabular impingement? Br. J. Sports Med. 2016, 50, 196–197. [Google Scholar] [CrossRef] [PubMed]
- Lewis, C.L.; Khuu, A.; Loverro, K.L. Gait alterations in femoroacetabular impingement syndrome differ by sex. J. Orthop. Sports Phys. Ther. 2018, 48, 649–658. [Google Scholar] [CrossRef]
- Kobayashi, N.; Higashihira, S.; Kitayama, H.; Kamono, E.; Yukizawa, Y.; Oishi, T.; Takagawa, S.; Honda, H.; Choe, H.; Inaba, Y. Effect of Decreasing the Anterior Pelvic Tilt on Range of Motion in Femoroacetabular Impingement: A Computer-Simulation Study. Orthop. J. Sports Med. 2021, 9, 2325967121999464. [Google Scholar] [CrossRef]
- Patel, R.V.; Han, S.; Lenherr, C.; Harris, J.D.; Noble, P.C. Pelvic tilt and range of motion in hips with femoroacetabular impingement syndrome. JAAOS—J. Am. Acad. Orthop. Surg. 2020, 28, e427–e432. [Google Scholar] [CrossRef]
- Kemp, J.L.; King, M.G.; Barton, C.; Schache, A.G.; Thorborg, K.; Roos, E.M.; Scholes, M.; Grimaldi, A.; Semciw, A.I.; Freke, M.; et al. Is exercise therapy for femoroacetabular impingement in or out of FASHIoN? We need to talk about current best practice for the non-surgical management of FAI syndrome. Br. J. Sports Med. 2019, 53, 1204–1205. [Google Scholar] [CrossRef] [PubMed]
- Gatz, M.; Driessen, A.; Eschweiler, J.; Tingart, M.; Migliorini, F. Arthroscopic surgery versus physiotherapy for femoroacetabular impingement: A meta-analysis study. Eur. J. Orthop. Surg. Traumatol. 2020, 30, 1151–1162. [Google Scholar] [CrossRef] [PubMed]
- Locks, R.; Utsunomiya, H.; Briggs, K.K.; McNamara, S.; Chahla, J.; Philippon, M.J. Return to play after hip arthroscopic surgery for femoroacetabular impingement in professional soccer players. Am. J. Sports Med. 2018, 46, 273–279. [Google Scholar] [CrossRef] [PubMed]
- Yarwood, W.; Kumar, K.H.S.; Ng, K.C.G.; Khanduja, V. Biomechanics of cam femoroacetabular impingement: A systematic review. Arthrosc. J. Arthrosc. Relat. Surg. 2022, 38, 174–189. [Google Scholar] [CrossRef]
- Bisciotti, G.N.; Volpi, P.; Zini, R.; Auci, A.; Aprato, A.; Belli, A.; Bellistri, G.; Benelli, P.; Bona, S.; Bonaiuti, D.; et al. Groin Pain Syndrome Italian Consensus Conference on terminology, clinical evaluation and imaging assessment in groin pain in athlete. BMJ Open Sport Exerc. Med. 2016, 2, e000142. [Google Scholar] [CrossRef] [PubMed]
- Youngman, T.R.; Johnson, B.L.; Morris, W.Z.; Montanez, B.; Serbin, P.A.; Wagner, K.J.; Wilson, P.L.; Alizai, H.; Ellis, H.B. Soft Tissue Cam Impingement in Adolescents: MRI Reveals Impingement Lesions Underappreciated on Radiographs. Am. J. Sports Med. 2023, 51, 3749–3755. [Google Scholar] [CrossRef] [PubMed]
- Nötzli, H.P.; Wyss, T.F.; Stoecklin, C.H.; Schmid, M.R.; Treiber, K.; Hodler, J. The contour of the femoral head-neck junction as a predictor for the risk of anterior impingement. J. Bone Jt. Surg. Br. Vol. 2002, 84, 556–560. [Google Scholar] [CrossRef]
- Agricola, R.; Waarsing, J.H.; Thomas, G.E.; Carr, A.J.; Reijman, M.; Bierma-Zeinstra, S.M.A.; Glyn-Jones, S.; Weinans, H.; Arden, N.K. Cam impingement: Defining the presence of a cam deformity by the alpha angle: Data from the CHECK cohort and Chingford cohort. Osteoarthr. Cartil. 2014, 22, 218–225. [Google Scholar] [CrossRef]
- Barrientos, C.; Barahona, M.; Diaz, J.; Brañes, J.; Chaparro, F.; Hinzpeter, J. Is there a pathological alpha angle for hip impingement? A diagnostic test study. J. Hip Preserv. Surg. 2016, 3, 223–228. [Google Scholar] [CrossRef]
- Griffin, D.R.; Dickenson, E.J.; O'Donnell, J.; Agricola, R.; Awan, T.; Beck, M.; Clohisy, J.C.; Dijkstra, H.P.; Falvey, E.; Gimpel, M.; et al. The Warwick Agreement on femoroacetabular impingement syndrome (FAI syndrome): An international consensus statement. Br. J. Sports Med. 2016, 50, 1169–1176. [Google Scholar] [CrossRef]
- Paul, S.M.; Chamberlin, A.P.; Hatt, C.; Nayak, A.V.; Danoff, J.V. Reliability, validity, and precision of an active stereophotogrammetry system for three-dimensional evaluation of the human torso. Med. Eng. Phys. 2009, 31, 1337–1342. [Google Scholar] [CrossRef] [PubMed]
- Rosario, J.L. Biomechanical assessment of human posture: A literature review. J. Bodyw. Mov. Ther. 2014, 18, 368–373. [Google Scholar] [CrossRef] [PubMed]
- Tischer, T.; Oye, S.; Wolf, A.; Feldhege, F.; Jacksteit, R.; Mittelmeier, W.; Bader, R.; Mau-Moeller, A. Measuring lower limb circumference and volume–introduction of a novel optical 3D volumetric measurement system. Biomed. Eng./Biomed. Tech. 2020, 65, 237–241. [Google Scholar] [CrossRef]
- Azadinia, F.; Hosseinabadi, M.; Ebrahimi, I.; Mohseni-Bandpei, M.-A.; Ghandhari, H.; Yassin, M.; Behtash, H.; Ganjavian, M.-S. Validity and test–retest reliability of photogrammetry in adolescents with hyperkyphosis. Physiother. Theory Pract. 2022, 38, 3018–3026. [Google Scholar] [CrossRef] [PubMed]
- Hazar, Z.; Karabicak, G.O.; Tiftikci, U. Reliability of photographic posture analysis of adolescents. J. Phys. Ther. Sci. 2015, 27, 3123–3126. [Google Scholar] [CrossRef]
- Alvim, F.C.; Peixoto, J.G.; Vicente, E.J.; Chagas, P.S.; Fonseca, D.S. Influences of the extensor portion of the gluteus maximus muscle on pelvic tilt before and after the performance of a fatigue protocol. Rev. Bras. De Fisioter. 2010, 14, 206–213. [Google Scholar] [CrossRef]
- Buchtelová, E.; Tichy, M.; Vaniková, K. Influence of muscular imbalances on pelvic position and lumbar lordosis: A theoretical basis. J. Nurs. Soc. Stud. Public Health Rehabil. 2013, 1–2, 25–36. [Google Scholar]
- Hochmuth, G.; Marhold, G. Zur Weiterentwicklung der biomechanischen Prinzipien [On the further development of biomechanical principles]. Wiss. Z. Der DHFK Leipz. 1978, 2, 63–71. [Google Scholar]
- Miki, H.; Kyo, T.; Kuroda, Y.; Nakahara, I.; Sugano, N. Risk of edge-loading and prosthesis impingement due to posterior pelvic tilting after total hip arthroplasty. Clin. Biomech. 2014, 29, 607–613. [Google Scholar] [CrossRef]
- Peters, S.; Laing, A.; Emerson, C.; Mutchler, K.; Joyce, T.; Thorborg, K.; Hölmich, P.; Reiman, M. Surgical criteria for femoroacetabular impingement syndrome: A scoping review. Br. J. Sports Med. 2017, 51, 1605–1610. [Google Scholar] [CrossRef]
- Nguyen, A.-D.; Shultz, S.J. Identifying relationships among lower extremity alignment characteristics. J. Athl. Train. 2009, 44, 511–518. [Google Scholar] [CrossRef] [PubMed]
- Lamontagne, M.; Kennedy, M.J.; Beaulé, P.E. The effect of cam FAI on hip and pelvic motion during maximum squat. Clin. Orthop. Relat. Res. 2009, 467, 645–650. [Google Scholar] [CrossRef] [PubMed]
- Ross, J.R.; Nepple, J.J.; Philippon, M.J.; Kelly, B.T.; Larson, C.M.; Bedi, A. Effect of changes in pelvic tilt on range of motion to impingement and radiographic parameters of acetabular morphologic characteristics. Am. J. Sports Med. 2014, 42, 2402–2409. [Google Scholar] [CrossRef] [PubMed]
- Stella, A.B.; Galimi, A.; Martini, M.; Di Lenarda, L.; Murena, L.; Deodato, M. Muscle asymmetries in the lower limbs of male soccer players: Preliminary findings on the association between countermovement jump and tensiomyography. Sports 2022, 10, 177. [Google Scholar] [CrossRef]
- Ludwig, O.; Kelm, J.; Hopp, S. Impact of Quadriceps/Hamstrings Torque Ratio on Three-Dimensional Pelvic Posture and Clinical Pubic Symphysis Pain-Preliminary Results in Healthy Young Male Athletes. Appl. Sci. 2020, 10, 5215. [Google Scholar] [CrossRef]
- Ludwig, O.; Kelm, J. Groin pain and muscular imbalance of quadriceps and hamstrings in an elite soccer player—A case study. Sportverletz. Sportschaden 2016, 30, 163–167. [Google Scholar] [CrossRef]
- Teixeira, J.; Carvalho, P.; Moreira, C.; Santos, R. Isokinetic assessment of muscle imbalances and bilateral differences between knee extensores and flexores’ strength in basketball, footbal, handball and volleyball athletes. Int. J. Sports Sci. 2014, 4, 1–6. [Google Scholar]





| Movement | Left | Right |
|---|---|---|
| Extension/flexion | 10–0–125 | 10–0–130 |
| Abduction/adduction | 40–0–30 | 40–0–30 |
| External/internal rotation (hip joints in 90° flexion) | 45–0–20 | 45–0–35 |
| T(−1) | Delta T(−1) → T(0) | T(0) | Delta T(0) → T(+1) | T(+1) | |
|---|---|---|---|---|---|
| Pelvic tilt (°) | 9° | +6° | 15° | −9° | 6° |
| Trunk flexors (N) | 715 | −4.9% | 680 | +21.3% | 825 |
| Trunk extensors (N) | 760 | +12.5% | 855 | +0.6% | 860 |
| Chest muscles (N) | 568 | +15.7% | 657 | +0.5% | 660 |
| Quadriceps (N) | 980 | +17.3% | 1150 | −1,7% | 1130 |
| Hamstrings (N) | 430 | +2.8% | 442 | +25.3% | 554 |
| Ham/quad ratio (–) | 0.44 | 0.38 | 0.49 |
| Muscles | Exercises | Sets | Repetitions |
|---|---|---|---|
| Gluteus maximus | Hip thrust | 3 | 12 |
| Plank, one leg extended | 3 each side | 10 | |
| Rectus abdominis | Sit-ups on exercise ball | 3 | 12 |
| Hamstrings | Nordic hamstrings | 4 | 5 |
| Iliopsoas | Leg lift in prone position | 4 | 10 |
| Stretching in prone position | 3 each side | 40 s |
Disclaimer/Publisher’s Note: The statements, opinions and data contained in all publications are solely those of the individual author(s) and contributor(s) and not of MDPI and/or the editor(s). MDPI and/or the editor(s) disclaim responsibility for any injury to people or property resulting from any ideas, methods, instructions or products referred to in the content. |
© 2023 by the authors. Licensee MDPI, Basel, Switzerland. This article is an open access article distributed under the terms and conditions of the Creative Commons Attribution (CC BY) license (https://creativecommons.org/licenses/by/4.0/).
Share and Cite
Ludwig, O.; Schneider, G.; Kelm, J. Improvement of Groin Pain in a Football Player with Femoroacetabular Impingement via a Correction of the Pelvic Position—A Case Report. J. Clin. Med. 2023, 12, 7443. https://doi.org/10.3390/jcm12237443
Ludwig O, Schneider G, Kelm J. Improvement of Groin Pain in a Football Player with Femoroacetabular Impingement via a Correction of the Pelvic Position—A Case Report. Journal of Clinical Medicine. 2023; 12(23):7443. https://doi.org/10.3390/jcm12237443
Chicago/Turabian StyleLudwig, Oliver, Günther Schneider, and Jens Kelm. 2023. "Improvement of Groin Pain in a Football Player with Femoroacetabular Impingement via a Correction of the Pelvic Position—A Case Report" Journal of Clinical Medicine 12, no. 23: 7443. https://doi.org/10.3390/jcm12237443
APA StyleLudwig, O., Schneider, G., & Kelm, J. (2023). Improvement of Groin Pain in a Football Player with Femoroacetabular Impingement via a Correction of the Pelvic Position—A Case Report. Journal of Clinical Medicine, 12(23), 7443. https://doi.org/10.3390/jcm12237443

