Vertebral Fractures in Pediatric Suicidal Jumpers: A Retrospective Study with Epidemiological and Clinical Analysis before and after the COVID-19 Pandemic
Abstract
:1. Introduction
2. Material and Methods
3. Results
4. Discussion
5. Conclusions
Author Contributions
Funding
Institutional Review Board Statement
Informed Consent Statement
Data Availability Statement
Conflicts of Interest
References
- Theodorou, C.M.; Yamashiro, K.J.; Stokes, S.C.; Salcedo, E.S.; Hirose, S.; Beres, A.L. Pediatric suicide by violent means: A cry for help and a call for action. Inj. Epidemiol. 2022, 9, 13. [Google Scholar] [CrossRef]
- WHO. Preventing Suicide: A Global Imperative; WHO: Geneva, Switzerland, 2014; p. 92. Available online: https://www.who.int/publications/i/item/9789241564779 (accessed on 8 April 2022).
- UNICEF. The State of the World’s Children 2021; On my Mind: Promoting, Protecting and Caring for Children’s Mental Health; UNICEF: New York, NY, USA, 2021; Available online: https://www.unicef.org/reports/state-worlds-children-2021 (accessed on 8 April 2022).
- CDC. C for DC and PNC for HS. National Vital Statistics System, Mortality 2018–2021 on CDC WONDER Online Database, Released in 2023. 2023. Available online: http://wonder.cdc.gov/mcd-icd10-expanded.html (accessed on 8 April 2022).
- Kõlves, K.; de Leo, D. Suicide methods in children and adolescents. Eur. Child Adolesc. Psychiatry 2017, 26, 155–164. [Google Scholar] [CrossRef]
- Värnik, A.; Kõlves, K.; Allik, J.; Arensman, E.; Aromaa, E.; van Audenhove, C.; Bouleau, J.-H.; van der Feltz-Cornelis, C.M.; Giupponi, G.; Gusmão, R.; et al. Gender issues in suicide rates, trends and methods among youths aged 15–24 in 15 European countries. J. Affect. Disord. 2009, 113, 216–226. [Google Scholar] [CrossRef]
- Bera, L.; Souchon, M.; Ladsous, A.; Colin, V.; Lopez-Castroman, J. Emotional and Behavioral Impact of the COVID-19 Epidemic in Adolescents. Curr. Psychiatry Rep. 2022, 24, 37–46. [Google Scholar] [CrossRef] [PubMed]
- Gracia, R.; Pamias, M.; Mortier, P.; Alonso, J.; Pérez, V.; Palao, D. Is the COVID-19 pandemic a risk factor for suicide attempts in adolescent girls? J. Affect. Disord. 2021, 292, 139–141. [Google Scholar] [CrossRef]
- Yard, E.; Radhakrishnan, L.; Ballesteros, M.F.; Sheppard, M.; Gates, A.; Stein, Z.; Hartnett, K.; Kite-Powell, A.; Rodgers, L.; Adjemian, J.; et al. Emergency Department Visits for Suspected Suicide Attempts Among Persons Aged 12–25 Years Before and During the COVID-19 Pandemic—United States, January 2019–May 2021. MMWR Morb. Mortal. Wkly. Rep. 2021, 70, 888–894. [Google Scholar] [CrossRef] [PubMed]
- COVID-19 Mental Disorders Collaborators. Global prevalence and burden of depressive and anxiety disorders in 204 countries and territories in 2020 due to the COVID-19 pandemic. Lancet 2021, 398, 1700–1712. [Google Scholar] [CrossRef] [PubMed]
- Sivertsen, B.; Knapstad, M.; Petrie, K.; O’Connor, R.; Lønning, K.J.; Hysing, M. Changes in mental health problems and suicidal behaviour in students and their associations with COVID-19-related restrictions in Norway: A national repeated cross-sectional analysis. BMJ Open 2022, 12, e057492. [Google Scholar] [CrossRef] [PubMed]
- Gilsbach, S.; Herpertz-Dahlmann, B.; Konrad, K. Psychological Impact of the COVID-19 Pandemic on Children and Adolescents with and Without Mental Disorders. Front. Public Health 2021, 9, 679041. [Google Scholar] [CrossRef] [PubMed]
- Carison, A.; Babl, F.E.; O’Donnell, S.M. Increased paediatric emergency mental health and suicidality presentations during COVID-19 stay at home restrictions. Emerg. Med. Australas. 2022, 34, 85–91. [Google Scholar] [CrossRef] [PubMed]
- Mayne, S.L.; Hannan, C.; Davis, M.; Young, J.F.; Kelly, M.K.; Powell, M.; Dalembert, G.; McPeak, K.E.; Jenssen, B.P.; Fiks, A.G. COVID-19 and Adolescent Depression and Suicide Risk Screening Outcomes. Pediatrics 2021, 148, e2021051507. [Google Scholar] [CrossRef] [PubMed]
- Hill, R.M.; Rufino, K.; Kurian, S.; Saxena, J.; Saxena, K.; Williams, L. Suicide Ideation and Attempts in a Pediatric Emergency Department Before and During COVID-19. Pediatrics 2021, 147, e2020029280. [Google Scholar] [CrossRef] [PubMed]
- Vicari, S.; Pontillo, M. Developmental Psychopathology in the COVID-19 period. COVID-19 Pandemic Impact on Children and Adolescents’ Mental Health. Psychiatr. Danub. 2021, 33, 33–35. [Google Scholar]
- Maina, C.; Cioffi, S.P.B.; Altomare, M.; Spota, A.; Virdis, F.; Bini, R.; Ragozzino, R.; Renzi, F.; Reitano, E.; Corasaniti, L.; et al. Increasing Trend in Violence-Related Trauma and Suicide Attempts among Pediatric Trauma Patients: A 6-Year Analysis of Trauma Mechanisms and the Effects of the COVID-19 Pandemic. J. Pers. Med. 2023, 13, 128. [Google Scholar] [CrossRef] [PubMed]
- Cirak, B.; Ziegfeld, S.; Knight, V.M.; Chang, D.; Avellino, A.M.; Paidas, C.N. Spinal injuries in children. J. Pediatr. Surg. 2004, 39, 607–612. [Google Scholar] [CrossRef] [PubMed]
- Crostelli, M.; Mazza, O.; Mariani, M.; Persiani, P.; Ranaldi, F.M.; Mascello, D.; Iorio, C. T7 vertebral burst fracture with left pedicle separated from vertebral body and displaced in vertebral canal without neurologic deficits in a 12 years old motorbike competition rider. Glob. Surg. 2018, 5, 2–5. [Google Scholar] [CrossRef]
- Knox, J.B.; Schneider, J.E.; Cage, J.M.; Wimberly, R.L.; Riccio, A.I. Spine trauma in very young children: A retrospective study of 206 patients presenting to a level 1 pediatric trauma center. J. Pediatr. Orthop. 2014, 34, 698–702. [Google Scholar] [CrossRef] [PubMed]
- Payr, S.; Schuller, A.; Dangl, T.; Chocholka, B.; Binder, H.; Tiefenboeck, T.M. Spine Fractures in Children and Adolescents-Frequency, Causes, Diagnostics, Therapy and Outcome-A STROBE-Compliant Retrospective Study at a Level 1 Trauma Centre in Central Europe. Child 2021, 8, 1127. [Google Scholar] [CrossRef]
- Reddy, S.P.; Junewick, J.J.; Backstrom, J.W. Distribution of spinal fractures in children: Does age, mechanism of injury, or gender play a significant role? Pediatr. Radiol. 2003, 33, 776–781. [Google Scholar] [CrossRef]
- Parisini, P.; Di Silvestre, M.; Greggi, T. Treatment of spinal fractures in children and adolescents: Long-term results in 44 patients. Spine 2002, 27, 1989–1994. [Google Scholar] [CrossRef]
- Vu, C.; Gendelberg, D. Classifications in Brief: AO Thoracolumbar Classification System. Clin. Orthop. Relat. Res. 2020, 478, 434–440. [Google Scholar] [CrossRef] [PubMed]
- Canseco, J.A.; Schroeder, G.D.; Paziuk, T.M.; Karamian, B.A.; Kandziora, F.; Vialle, E.N.; Oner, F.C.; Schnake, K.J.; Dvorak, M.F.; Chapman, J.R.; et al. The Subaxial Cervical AO Spine Injury Score. Glob. Spine J. 2022, 12, 1066–1073. [Google Scholar] [CrossRef] [PubMed]
- Kweh, B.T.S.; Tee, J.W.; Oner, F.C.; Schnake, K.J.; Vialle, E.N.; Kanziora, F.; Rajasekaran, S.; Dvorak, M.; Chapman, J.R.; Benneker, L.M.; et al. Evolution of the AO Spine Sacral and Pelvic Classification System: A systematic review. J. Neurosurg. Spine 2022, 37, 914–926. [Google Scholar] [CrossRef]
- Anderson, L.D.; D’Alonzo, R.T. Fractures of the odontoid process of the axis. J. Bone Jt. Surg. Am. 1974, 56, 1663–1674. [Google Scholar] [CrossRef]
- Hart, D.J.; Wang, M.Y.; Griffith, P.; McComb, J.G. Pediatric sacral fractures. Spine 2004, 29, 667–670. [Google Scholar] [CrossRef] [PubMed]
- Montalbano, M.; Fisahn, C.; Loukas, M.; Oskouian, R.J.; Chapman, J.R.; Tubbs, R.S. Pediatric Hangman’s Fracture: A Comprehensive Review. Pediatr. Neurosurg. 2017, 52, 145–150. [Google Scholar] [CrossRef] [PubMed]
- Vander Have, K.L.; Caird, M.S.; Gross, S.; Farley, F.A.; Graziano, G.A.; Stauff, M.; Segal, L.S. Burst fractures of the thoracic and lumbar spine in children and adolescents. J. Pediatr. Orthop. 2009, 29, 713–719. [Google Scholar] [CrossRef]
- Siebenga, J.; Leferink, V.J.M.; Segers, M.J.M.; Elzinga, M.J.; Bakker, F.C.; Haarman, H.J.T.M.; Rommens, P.M.; ten Duis, H.-J.; Patka, P. Treatment of traumatic thoracolumbar spine fractures: A multicenter prospective randomized study of operative versus nonsurgical treatment. Spine 2006, 31, 2881–2890. [Google Scholar] [CrossRef]



| Patient | Age | Sex | Vertebral Fracture—AO Classification | Other Fractures | Other Injuries | Spine Treatment | Hospitalization Days | Follow-Up | |
|---|---|---|---|---|---|---|---|---|---|
| 1 | V.C.G.C. | 15 y 9 m | F | L1 (A4), L4 (A1), Coccyx (A0) | right distal tibia, right fibula, left proximal humerus, left ulnar styloid process | pneumothorax, splenic injury, subdural hematoma, diffuse axonal injury | T12 to L2 Percutaneous pedicle fixation | 118 | 22 months No deficit Implant removal |
| 2 | A.M. | 14 y 1 m | M | L1 (A3) | right ankle | T12 to L2 Percutaneous pedicle fixation | 20 | 21 months No deficit Implant removal | |
| 3 | Z.P.E. | 14 y 11 m | M | L3 (A1), L4(A4) | right acetabulum, right ischiopubic branch, right tibia, bilateral wrist, bilateral heels | pneumothorax, aortic isthmus lesion, right peroneal nerve injury | L3 to L5 Percutaneous pedicle fixation | 37 | 17 months No deficit Implant removal |
| 4 | B.T.M.A | 12 y 7 m | F | D11 (A1) | multiple ribs | Conservative | 15 | 17 months No deficit | |
| 5 | R.S.M. | 16 y 1 m | F | D8 (A0), D11 (A1), L1 (A1), L4 (A1) | right ankle, left distal radius | Conservative | 12 | 11 months No deficit | |
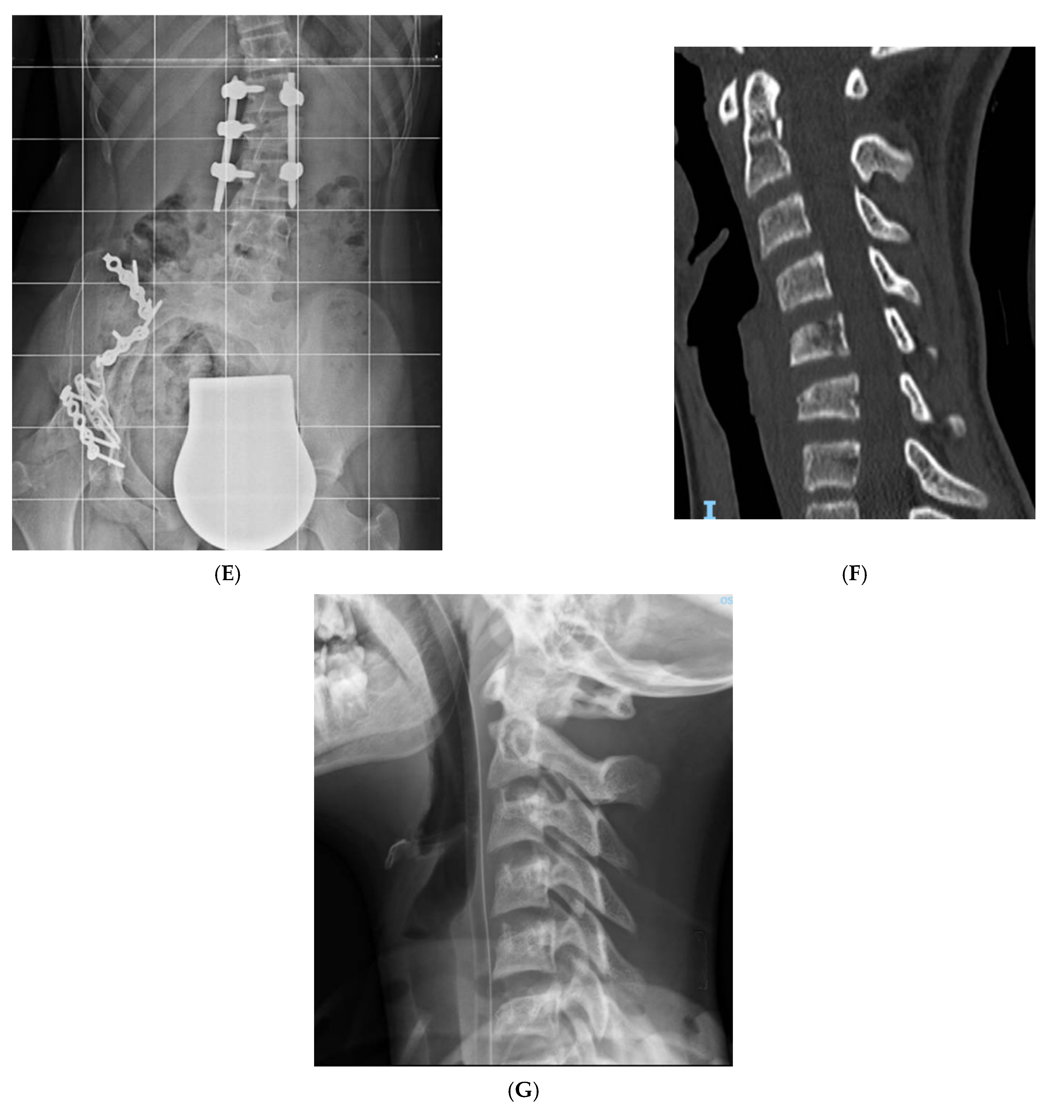
| 6 | L.G.G. | 10 y 5 m | F | C2 (AD 2), C5 (A4), C6 (A1), L1 (A1), L2 (A3), L3 (A0), L4 (A0), Right sacroiliac joint | multiple ribs, right acetabulum, ilio-ischiopubic bilateral branch, left heel | liver injury, splenic injury, pleural effusion | Halo-Vest and L1 to L3 Percutaneous pedicle fixation | 64 | 10 months No deficit |
| 7 | H.B. | 15 y 5 m | F | L5 (A0), Sacral U-Shaped Fracture (C3) | right acetabulum, bilateral olecranos, right femural shaft | paraplegia, complete neurogenic bowel and bladder dysfunction | L4 to Pelvis posterior open fusion, left sacral plate and L4 to S1 decompression | 30 | 8 months complete neurogenic bowel and bladder dysfunction; motor deficit of the right limb partial recovered |
| 8 | D.G. | 12 y 10 m | F | D6 (A1), D7 (A1) | multiple right ribs | pneumothorax | D5 to D8 Percutaneous pedicle fixation | 210 | 9 months No deficit Implant removal |
| 9 | M.D. | 16 y 5 m | M | D12 (A1), L1 (A3) | anal injury | T10 to L2 Percutaneous pedicle fixation | 56 | 6 months No deficit | |
| 10 | G.A. | 16 y 6 m | M | L2 (A4), L5 (A4) | right orbital maxilla surface, right open tibia and fibula | L1 to S1 Percutaneous pedicle fixation | 40 | 6 months No deficit | |
| 11 | B.V. | 15 y 3 m | F | L1 (A4) | pulmonary contusion, complete neurogenic bowel and bladder dysfunction | T11 to L3 open pedicle screw fixation and posterior L1 decompression | 14 | 1 month Urinary retension | |
| 12 | P.E. | 12 y | F | L5 (A0), Sacral fracture (B3) | orbital floor, bilateral nose bones, ilio-ischiopubic left branch, pubic symphysis diastasis | L4 to ilium left open fixation and iliosacral screw | 33 | 1 month No deficit |
Disclaimer/Publisher’s Note: The statements, opinions and data contained in all publications are solely those of the individual author(s) and contributor(s) and not of MDPI and/or the editor(s). MDPI and/or the editor(s) disclaim responsibility for any injury to people or property resulting from any ideas, methods, instructions or products referred to in the content. |
© 2023 by the authors. Licensee MDPI, Basel, Switzerland. This article is an open access article distributed under the terms and conditions of the Creative Commons Attribution (CC BY) license (https://creativecommons.org/licenses/by/4.0/).
Share and Cite
Crostelli, M.; Mazza, O.; Manfroni, F.; Tundo, F.; Calogero, V.; Mazza, M.; Averna, R.; Vicari, S. Vertebral Fractures in Pediatric Suicidal Jumpers: A Retrospective Study with Epidemiological and Clinical Analysis before and after the COVID-19 Pandemic. J. Clin. Med. 2023, 12, 7412. https://doi.org/10.3390/jcm12237412
Crostelli M, Mazza O, Manfroni F, Tundo F, Calogero V, Mazza M, Averna R, Vicari S. Vertebral Fractures in Pediatric Suicidal Jumpers: A Retrospective Study with Epidemiological and Clinical Analysis before and after the COVID-19 Pandemic. Journal of Clinical Medicine. 2023; 12(23):7412. https://doi.org/10.3390/jcm12237412
Chicago/Turabian StyleCrostelli, Marco, Osvaldo Mazza, Francesca Manfroni, Federico Tundo, Valeria Calogero, Marianna Mazza, Roberto Averna, and Stefano Vicari. 2023. "Vertebral Fractures in Pediatric Suicidal Jumpers: A Retrospective Study with Epidemiological and Clinical Analysis before and after the COVID-19 Pandemic" Journal of Clinical Medicine 12, no. 23: 7412. https://doi.org/10.3390/jcm12237412
APA StyleCrostelli, M., Mazza, O., Manfroni, F., Tundo, F., Calogero, V., Mazza, M., Averna, R., & Vicari, S. (2023). Vertebral Fractures in Pediatric Suicidal Jumpers: A Retrospective Study with Epidemiological and Clinical Analysis before and after the COVID-19 Pandemic. Journal of Clinical Medicine, 12(23), 7412. https://doi.org/10.3390/jcm12237412

