Fetal Renal Duplicated Collecting System at 14–16 Weeks of Gestation
Abstract
:1. Introduction
2. Materials and Methods
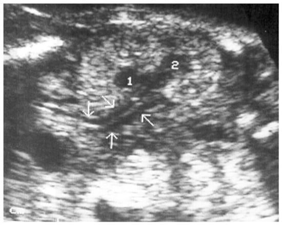
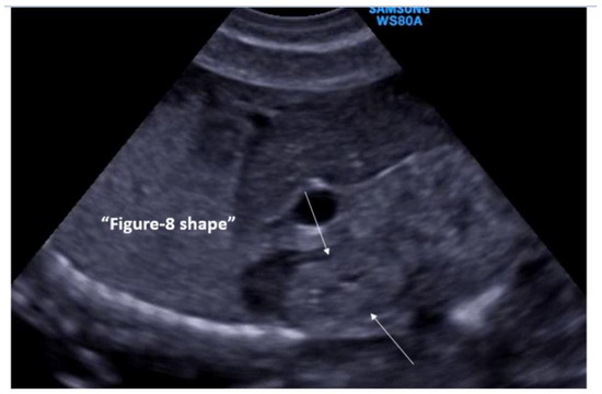
3. Results
4. Discussion
5. Conclusions
Supplementary Materials
Author Contributions
Funding
Institutional Review Board Statement
Informed Consent Statement
Data Availability Statement
Acknowledgments
Conflicts of Interest
References
- Privett, J.T.J.; Jeans, W.D.; Roylance, J. The incidence and importance of renal duplication. Clin. Radiol. 1976, 27, 521–530. [Google Scholar] [CrossRef]
- Horst, M.; Smith, G.H.H. Pelvi-ureteric junction obstruction in duplex kidneys. BJU Int. 2008, 101, 1580–1584. [Google Scholar] [CrossRef]
- Mouriquand, P.D.E.; Whitten, M.; Pracros, J.P. Duplex systems. Prenat. Diagn. 2001, 21, 952–957. [Google Scholar] [CrossRef]
- Hunziker, M.; Kutasy, B.; D’Asta, F.; Puri, P. Urinary tract anomalies associated with high grade primary vesicoureteral reflux. Pediatr. Surg. Int. 2012, 28, 201–204. [Google Scholar] [CrossRef]
- Yosypiv, I.V. Congenital anomalies of the kidney and urinary tract: A genetic disorder? Int. J. Nephrol. 2012, 2012, 909083. [Google Scholar] [CrossRef]
- Singer, A.; Maya, I.; Frumkin, A.; Zeligson, S.; Josefsberg, S.B.Y.; Berger, R.; Shachar, S.B.; Sagi-Dain, L. Is fetal isolated double renal collecting system an indication for chromosomal microarray? J. Matern. Neonatal Med. 2021, 34, 696–700. [Google Scholar] [CrossRef]
- Abuhamad, A.Z.; Horton, C.E.; Horton, S.H.; Evans, A.T. Renal duplication anomalies in the fetus: Clues for prenatal diagnosis. Ultrasound Obstet. Gynecol. 1996, 7, 174–177. [Google Scholar] [CrossRef]
- Whitten, S.M.; McHoney, M.; Wilcox, D.T.; New, S.; Chitty, L.S. Accuracy of antenatal fetal ultrasound in the diagnosis of duplex kidneys. Ultrasound Obstet. Gynecol. 2003, 21, 342–346. [Google Scholar] [CrossRef]
- Tischkowitz, M.D.; Hodgson, S.V. Fanconi anaemia. J. Med. Genet. 2003, 40, 1–10. [Google Scholar] [CrossRef]
- Hopkins, L.M. Duplicated collecting system. Am. J. Obstet. Gynecol. 2021, 225, B12–B13. [Google Scholar] [CrossRef]
- Athey, P.A.; Carpenter, R.J.; Hadlock, F.P.; Hedrick, T.D. Ultrasonic demonstration of ectopic ureterocele. Pediatrics 1983, 71, 568–571. [Google Scholar] [CrossRef] [PubMed]
- De La Vega, A.; Torres, E. Prenatal diagnosis of renal disease. Puerto Rico Health Sci. J. 2005, 24, 141–144. [Google Scholar]
- Winters, W.D.; Lebowitz, R.L. Importance of prenatal detection of hydronephrosis of the upper pole. Am. J. Roentgenol. 1990, 155, 125–129. [Google Scholar] [CrossRef]
- Van Savage, J.G.; Mesrobian, H.G.J. The impact of prenatal sonography on the morbidity and outcome of patients with renal duplication anomalies. Obstet. Gynecol. Surv. 1995, 50, 643–644. [Google Scholar] [CrossRef]
- Avni, E.F.; Dacher, J.N.; Stallenberg, B.; Collier, F.; Hall, M.; Schulman, C.C. Renal duplications: The impact of perinatal ultrasound on diagnosis and management. Eur. Urol. 1991, 20, 43–48. [Google Scholar] [CrossRef]
- Bulum, B.; Özçakar, Z.B.; Üstüner, E.; Düşünceli, E.; Kavaz, A.; Duman, D.; Walz, K.; Fitoz, S.; Tekin, M.; Yalçinkaya, F. High frequency of kidney and urinary tract anomalies in asymptomatic first-degree relatives of patients with CAKUT. Pediatr. Nephrol. 2013, 28, 2143–2147. [Google Scholar] [CrossRef]
- Jeffrey, R.B.; Laing, F.C.; Wing, V.W.; Hoddick, W. Sonography of the fetal duplex kidney. Radiology 1984, 153, 123–124. [Google Scholar] [CrossRef]
- Nguyen, H.T.; Benson, C.B.; Bromley, B.; Campbell, J.B.; Chow, J.; Coleman, B.; Cooper, C.; Crino, J.; Darge, K.; Anthony Herndon, C.D.; et al. Multidisciplinary consensus on the classification of prenatal and postnatal urinary tract dilation (UTD classification system). J. Pediatr. Urol. 2014, 10, 982–998. [Google Scholar] [CrossRef]
- May Llanas, M.E.; Moreira Echeverría, A.; García Boente, C.V.; Comesías González, M.J.; Filloy Lavía, A.C.; Hernández Sánchez, J.L.; Gómez De La Cruz, A. Ectasia piélica de diagnóstico prenatal. Incidencia y protocolo de estudio durante el año 2003. An. Pediatr. 2004, 61, 499–501. [Google Scholar] [CrossRef]
- Easterbrook, B.; Capolicchio, J.P.; Braga, L.H. Antibiotic prophylaxis for prevention of urinary tract infections in prenatal hydronephrosis: An updated systematic review. Can. Urol. Assoc. J. 2017, 11, S3–S11. [Google Scholar] [CrossRef]
- Pennesi, M.; Amoroso, S.; Bassanese, G.; Pintaldi, S.; Giacomini, G.; Barbi, E. Frequency of urinary tract infection in children with antenatal diagnosis of urinary tract dilatation. Arch. Dis. Child. 2019, 105, 260–263. [Google Scholar] [CrossRef] [PubMed]
- Braga, L.H.; Farrokhyar, F.; D’Cruz, J.; Pemberton, J.; Lorenzo, A.J. Risk factors for febrile urinary tract infection in children with prenatal hydronephrosis: A prospective study. J. Urol. 2015, 193, 1766–1771. [Google Scholar] [CrossRef] [PubMed]
- Bascietto, F.; Khalil, A.; Rizzo, G.; Makatsariya, A.; Buca, D.; Silvi, C.; Ucci, M.; Liberati, M.; Familiari, A.; D’Antonio, F. Prenatal imaging features and postnatal outcomes of isolated fetal duplex renal collecting system: A systematic review and meta-analysis. Prenat. Diagn. 2020, 40, 424–431. [Google Scholar] [CrossRef] [PubMed]
- Gurney, J.K.; Mcglynn, K.A.; Stanley, J.; Merriman, T.; Signal, V.; Shaw, C.; Edwards, R.; Richiardi, L.; Hutson, J.; Sarfati, D. Risk factors for cryptorchidism. Nat. Rev. Urol. 2017, 14, 534–548. [Google Scholar] [CrossRef] [PubMed]
- Abdullah, N.A.; Pearce, M.S.; Parker, L.; Wilkinson, J.R.; Jaffray, B.; McNally, R.J.Q. Birth prevalence of cryptorchidism and hypospadias in northern England, 1993–2000. Arch. Dis. Child. 2007, 92, 576–579. [Google Scholar] [CrossRef] [PubMed]
- Pierik, F.H.; Burdorf, A.; De Muinck Keizer-Schrama, S.M.P.F.; Wolffenbuttel, K.P.; Rien Nijman, J.M.; Juttmann, R.E.; Weber, R.F.A. The cryptorchidism prevalence among infants in the general population of Rotterdam, the Netherlands. Int. J. Androl. 2005, 28, 248–252. [Google Scholar] [CrossRef]



Disclaimer/Publisher’s Note: The statements, opinions and data contained in all publications are solely those of the individual author(s) and contributor(s) and not of MDPI and/or the editor(s). MDPI and/or the editor(s) disclaim responsibility for any injury to people or property resulting from any ideas, methods, instructions or products referred to in the content. |
© 2023 by the authors. Licensee MDPI, Basel, Switzerland. This article is an open access article distributed under the terms and conditions of the Creative Commons Attribution (CC BY) license (https://creativecommons.org/licenses/by/4.0/).
Share and Cite
Khatib, N.; Bronshtein, M.; Bachar, G.; Beloosesky, R.; Ginsberg, Y.; Zmora, O.; Weiner, Z.; Gover, A. Fetal Renal Duplicated Collecting System at 14–16 Weeks of Gestation. J. Clin. Med. 2023, 12, 7124. https://doi.org/10.3390/jcm12227124
Khatib N, Bronshtein M, Bachar G, Beloosesky R, Ginsberg Y, Zmora O, Weiner Z, Gover A. Fetal Renal Duplicated Collecting System at 14–16 Weeks of Gestation. Journal of Clinical Medicine. 2023; 12(22):7124. https://doi.org/10.3390/jcm12227124
Chicago/Turabian StyleKhatib, Nizar, Moshe Bronshtein, Gal Bachar, Ron Beloosesky, Yuval Ginsberg, Osnat Zmora, Zeev Weiner, and Ayala Gover. 2023. "Fetal Renal Duplicated Collecting System at 14–16 Weeks of Gestation" Journal of Clinical Medicine 12, no. 22: 7124. https://doi.org/10.3390/jcm12227124
APA StyleKhatib, N., Bronshtein, M., Bachar, G., Beloosesky, R., Ginsberg, Y., Zmora, O., Weiner, Z., & Gover, A. (2023). Fetal Renal Duplicated Collecting System at 14–16 Weeks of Gestation. Journal of Clinical Medicine, 12(22), 7124. https://doi.org/10.3390/jcm12227124

