The Zygomatic Anatomy-Guided Approach, Zygomatic Orbital Floor Classification, and ORIS Criteria—A 10-Year Follow-Up
Abstract
:1. Introduction
2. Materials and Methods
2.1. Patients
- Group 1 (14 patients) received 4 zygomatic implants along with 1 or 2 conventional implants.
- Group 2 (15 patients) received 4 zygomatic implants exclusively.
- Group 3 (46 patients) received 2 zygomatic implants and 4 conventional implants.
2.2. Surgery
2.3. CBCT Standardization
2.4. Statistical Analysis
3. Results
3.1. ZAGA
3.2. ORIS
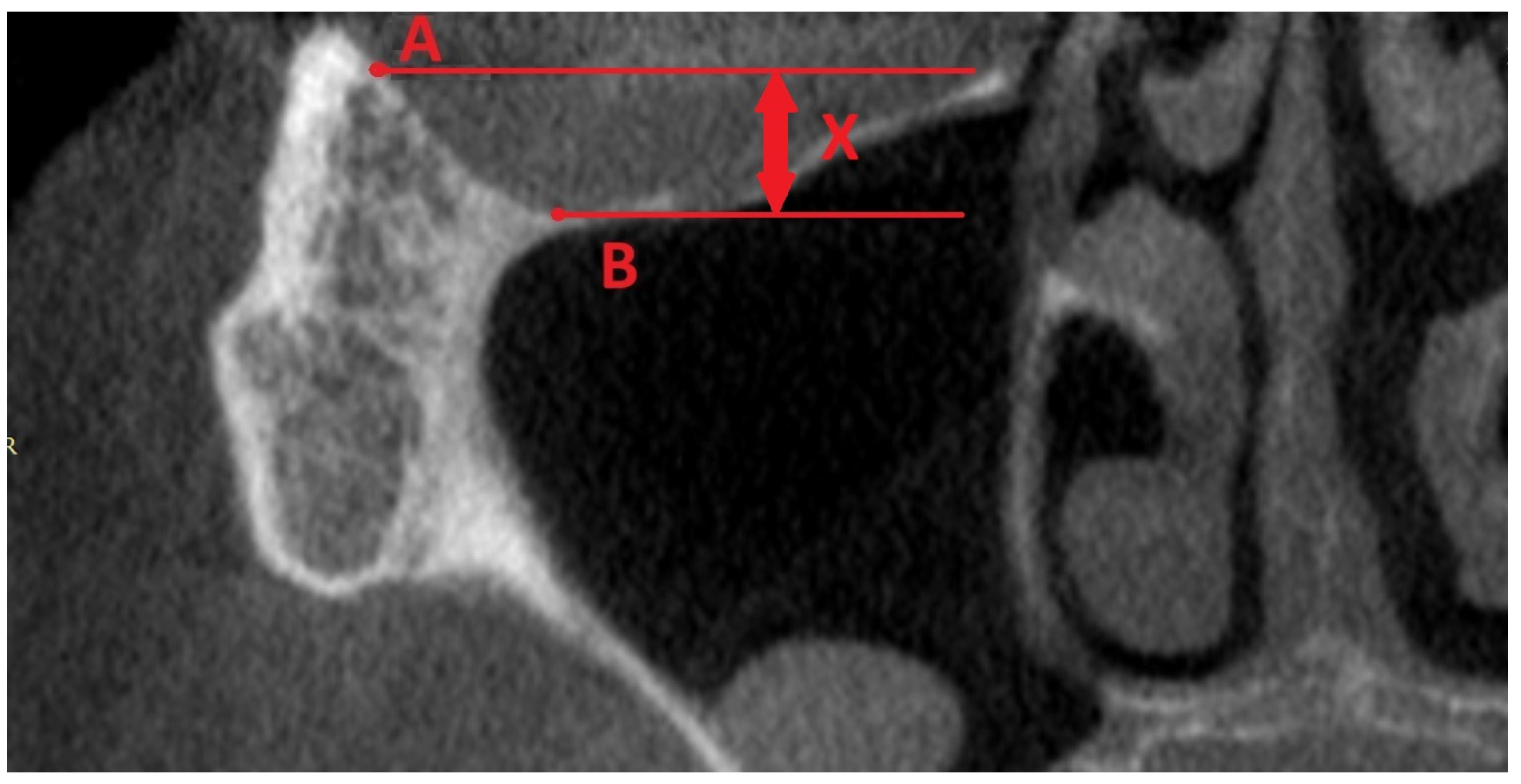
3.3. ZOF
4. Discussion
4.1. Success Criteria of Conventional Implants
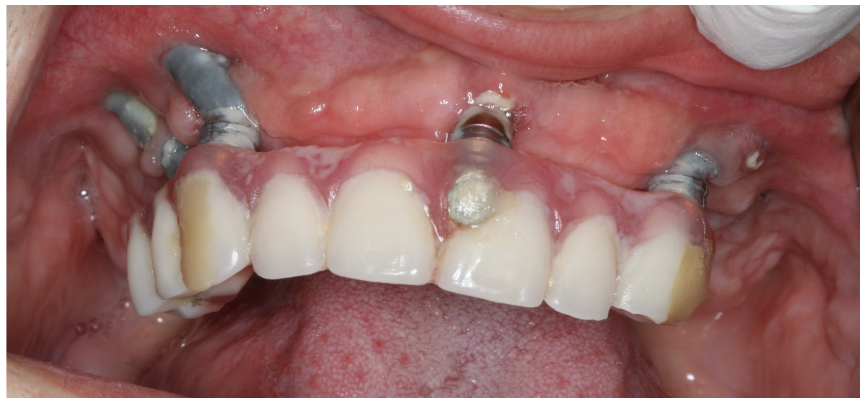
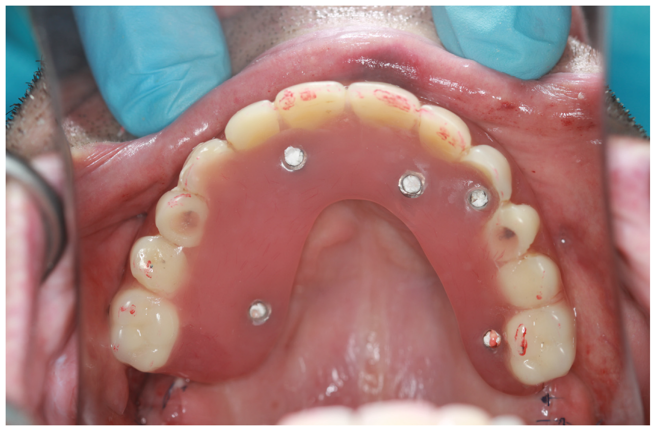
4.2. Success Criteria of Zygomatic Implants—ORIS
- Condition I: the optimal stage;
- Condition II: an alteration of routine without clinical impact;
- Condition III: a borderline situation with alterations that are clinically manifested but are still possible to successfully treat;
- Condition IV: the surviving implant supports the prosthesis but has not been measured according to the proposed criteria;
- Condition V: implant failure.
4.2.1. Offset of the Prostheses (O)
4.2.2. Rhinosinus Status (R)
4.2.3. Peri-Implant Soft Tissue Condition (I)
4.2.4. Stability (S)
4.3. Intra-/Extrasinusand Intra/Extramaxillae
4.4. Zygomatic Orbital Floor (ZOF)
4.5. Limitations
5. Conclusions
Author Contributions
Funding
Institutional Review Board Statement
Informed Consent Statement
Acknowledgments
Conflicts of Interest
References
- Brånemark, P.-I.; Gröndahl, K.; Ohrnell, L.-O.; Nilsson, P.; Petruson, B.; Svensson, B.; Engstrand, P.; Nannmark, U. Zygoma fixture in the management of advanced atrophy of the maxilla: Technique and long-term results. Scand. J. Plast. Reconstr. Surg. Hand Surg. 2004, 38, 70–85. [Google Scholar] [CrossRef] [PubMed]
- Duarte, L.R.; Filho, H.N.; Francischone, C.E.; Peredo, L.G.; Brånemark, P.-I. The establishment of a protocol for the total rehabilitation of atrophic maxillae employing four zygomatic fixtures in an immediate loading system—A 30-month clinical and radiographic follow-up. Clin. Implant. Dent. Relat. Res. 2007, 9, 186–196. [Google Scholar] [CrossRef] [PubMed]
- Davó, R.; Pons, O. 5-year outcome of cross-arch prostheses supported by four immediately loaded zygomatic implants: A prospective case series. Eur. J. Oral Implantol. 2015, 8, 169–174. [Google Scholar] [PubMed]
- Lan, K.; Wang, F.; Huang, W.; Davó, R.; Wu, Y. Quad zygomatic implants: A systematic review and meta-analysis on survival and complications. Int. J. Oral Maxillofac. Implant. 2021, 36, 21–29. [Google Scholar] [CrossRef]
- Mommaerts, M.Y. Additively manufactured sub-periosteal jaw implants. Int. J. Oral Maxillofac. Surg. 2017, 46, 938–940. [Google Scholar] [CrossRef]
- Davó, R.; Felice, P.; Pistilli, R.; Barausse, C.; Marti-Pages, C.; Ferrer-Fuertes, A.; Ippolito, D.R.; Esposito, M. Immediately loaded zygomatic implants vs conventional dental implants in augmented atrophic maxillae: 1-year post-loading results from a multicentre randomized controlled trial. Eur. J. Oral Implantol. 2018, 11, 145–161. [Google Scholar]
- Aparicio, C.; López-Piriz, R.; Albrektsson, T. ORIS Criteria of Success for the Zygoma-Related Rehabilitation: The (Revisited) Zygoma Success Code. Int. J. Oral Maxillofac. Implant. 2020, 35, 366–378. [Google Scholar] [CrossRef]
- Aparicio, C.; Manresa, C.; Francisco, K.; Claros, P.; Alández, J.; Gonzalez-Martin, O.; Albrektsson, T. Zygomatic implants: Indications, techniques and outcomes, and the Zygomatic Success. Periodontology 2014, 66, 41–58. [Google Scholar] [CrossRef]
- Schnitman, P.A.; Shulman, L.B. Recommendations of the consensus development conference on dental implants. J. Am. Dent. Assoc. 1979, 98, 373–377. [Google Scholar] [CrossRef]
- Albrektsson, T.; Zarb, G.; Worthington, P.; Eriksson, A. The long-term efficacy of currently used dental implants: A review and proposed criteria of success. Int. J. Oral Maxillofac. Implant. 1986, 1, 11–25. [Google Scholar]
- Albrektsson, T.; Isador, F. Consensus report of Session IV. In Proceedings of the 1st European Workshop on Periodontology, Thurgau, Switzerland, 1–4 February 1993; Lang, N.P., Karring, T., Eds.; Quintessence: London, UK, 1994; pp. 365–369. [Google Scholar]
- Zarb, G.A.; Albrektsson, T. Editorial: Towards optimized treatment outcomes for dental implants. J. Prosthet. Dent. 1998, 80, 639–640. [Google Scholar] [CrossRef] [PubMed]
- Esposito, M.; Hirsch, J.M.; Lekholm, U.; Thomsen, P. Biological factors contributing to failures of osseointegrated oral implants.(II). Etiopathogenesis. Eur. J. Oral Sci. 1998, 106, 721–764. [Google Scholar] [CrossRef] [PubMed]
- Wennerberg, A.; Albrektsson, T.; Chrcanovic, B. Long-term clinical outcome of implants with different surface modifications. Eur. J. Oral Implant. 2018, 11 (Suppl. S1), s123–s136. [Google Scholar]
- Lanza, D.C.; Kennedy, D.W. Adult rhinosinusitis defined. Otolaryngol. Head Neck Surg. 1997, 117, s1–s7. [Google Scholar] [CrossRef]
- Lund, V.J.; Mackay, I.S. Staging in rhinosinusitis. Rhinology 1993, 31, 183–184. [Google Scholar]
- Aparicio, C.; Ouazzani, W.; Aparicio, A.; Fortes, V.; Muela, R.; Pascual, A.; Codesal, M.; Barluenga, N.; Manresa, C.; Franch, M. Extra-sinus zygomatic implants: Three year experience from a new surgical approach for patients with pronounced buccal concavities for the edentulous maxilla. Clin. Implant. Dent. Relat. Res. 2010, 12, 55–61. [Google Scholar] [CrossRef] [PubMed]
- Aparicio, C.; Ouazzani, W.; Garcia, R.; Arevalo, X.; Muela, R.; Fortes, V. A prospective clinical study on titanium implants in the zygomatic arch for prosthetic rehabilitation of the atrophic edentulous maxilla with a follow-up of 6 months to 5 years. Clin. Implant. Dent. Relat. Res. 2006, 8, 114–122. [Google Scholar] [CrossRef] [PubMed]
- Aparicio, C.; Ouazzani, W.; Hatano, N. The use of zygomatic implants for prosthetic rehabilitation of the severely re-sorbedmaxilla. Periodontology 2008, 47, 162–171. [Google Scholar] [CrossRef] [PubMed]
- Boyes-Varley, J.G.; Howes, D.G.; Lownie, J.F.; Blackbeard, G.A. Surgical modifications to the Branemark zygomaticus protocol in the treatment of the severely resorbed maxilla: A clinical report. Int. J. Oral Maxillofac. Implant. 2003, 18, 232–237. [Google Scholar]
- Malo, P.; NobreMde, A.; Lopes, I. A new approach to rehabili-tate the severely atrophic maxilla using extramaxillary anchored implants in immediate function: A pilot study. J. Prosthet. Dent. 2008, 100, 354–366. [Google Scholar] [CrossRef]
- Peñarrocha, M.; Garcıa, B.; Martı, E.; Boronat, A. Rehabilitation of severely atrophic maxillae with fixed implant-supported prostheses using zygomatic implants placed using the sinus slot technique: Clinical report on a series of 21 patients. Int. J. Oral Maxillofac. Implant. 2007, 22, 645–650. [Google Scholar]
- Stella, J.P.; Warner, M.R. Sinus slot technique for simplification and improved orientation of zygomaticus dental implants: A technical note. Int. J. Oral Maxillofac. Implant. 2000, 15, 889–893. [Google Scholar]
- Al-Nawas, B.; Wegener, J.; Bender, C.; Wagner, W. Critical soft tissue parameters of the zygomatic implant. J. Clin. Periodontol. 2004, 31, 497–500. [Google Scholar] [CrossRef] [PubMed]
- Becktor, J.P.; Isaksson, S.; Abrahamsson, P.; Sennerby, L. Evaluation of 31 zygomatic implants and 74 regular dental implants used in 16 patients for prosthetic reconstruction of the atrophic maxilla with cross-arch fixed bridges. Clin. Implant. Dent. Relat. Res. 2005, 7, 159–165. [Google Scholar] [CrossRef]
- Farzad, P.; Andersson, L.; Gunnarsson, S.; Johansson, B. Rehabilitation of severely resorbed maxillae with zygomatic implants: An evaluation of implant stability, tissue conditions, and patients opinion before and after treatment. Int. J. Oral Maxillofac. Implant. 2006, 21, 399–404. [Google Scholar]
















| Group 1 | Group 2 | Group 3 | Group 4 | |
|---|---|---|---|---|
| Type of surgery: | 4 zygomatic implants + 1 or 2 conventional implants | 4 zygomatic implants | 2 zygomatic + 4 conventional implants | 3 zygomatic + 1 or 2 conventional implants |
| Number of patients: | 14 | 15 | 46 | 6 |
| Maxilla Side | Number of Patients | Average of ZAGA Class | ± | SD | Median | Minimum | Maximum |
|---|---|---|---|---|---|---|---|
| Right | 81 | 2.00 | ± | 0.91 | 2.00 | 0.00 | 4.00 |
| Left | 81 | 1.77 | ± | 0.87 | 2.00 | 0.00 | 4.00 |
| Regio of Zygomatic Implant | Number of Patients | Average of ORIS | ± | SD | Median | Minimum | Maximum |
|---|---|---|---|---|---|---|---|
| 16 | 81 | 1.28 | ± | 0.79 | 1.00 | 1.00 | 5.00 |
| 26 | 81 | 1.31 | ± | 0.74 | 1.00 | 1.00 | 5.00 |
| 13 | 33 | 1.33 | ± | 0.69 | 1.00 | 1.00 | 3.00 |
| 23 | 33 | 1.45 | ± | 0.94 | 1.00 | 1.00 | 5.00 |
| Lanza and Kennedy Task Force on Rhinosinusitis Criteria for the Diagnosis of Rhinosinusitis | ||
|---|---|---|
| Major Criteria | Minor Criteria | Diagnosis of Rhinosinusitis Requirements |
| Facial pain or pressure | Headache | Two or more major criteria |
| Facial congestion or fullness | Fever (non-acute) | One major and two or more |
| Nasal obstruction | Halitosis | Purulence on nasal examination |
| Purulent discharge | Fatigue | |
| Hyposmia or anosmia | Dental pain | |
| Purulence on examination | Cough | |
| Fever (acute only) | Otalgia or aural fullness | |
Disclaimer/Publisher’s Note: The statements, opinions and data contained in all publications are solely those of the individual author(s) and contributor(s) and not of MDPI and/or the editor(s). MDPI and/or the editor(s) disclaim responsibility for any injury to people or property resulting from any ideas, methods, instructions or products referred to in the content. |
© 2023 by the authors. Licensee MDPI, Basel, Switzerland. This article is an open access article distributed under the terms and conditions of the Creative Commons Attribution (CC BY) license (https://creativecommons.org/licenses/by/4.0/).
Share and Cite
Zielinski, R.; Okulski, J.; Simka, W.; Kozakiewicz, M. The Zygomatic Anatomy-Guided Approach, Zygomatic Orbital Floor Classification, and ORIS Criteria—A 10-Year Follow-Up. J. Clin. Med. 2023, 12, 6681. https://doi.org/10.3390/jcm12206681
Zielinski R, Okulski J, Simka W, Kozakiewicz M. The Zygomatic Anatomy-Guided Approach, Zygomatic Orbital Floor Classification, and ORIS Criteria—A 10-Year Follow-Up. Journal of Clinical Medicine. 2023; 12(20):6681. https://doi.org/10.3390/jcm12206681
Chicago/Turabian StyleZielinski, Rafal, Jakub Okulski, Wojciech Simka, and Marcin Kozakiewicz. 2023. "The Zygomatic Anatomy-Guided Approach, Zygomatic Orbital Floor Classification, and ORIS Criteria—A 10-Year Follow-Up" Journal of Clinical Medicine 12, no. 20: 6681. https://doi.org/10.3390/jcm12206681
APA StyleZielinski, R., Okulski, J., Simka, W., & Kozakiewicz, M. (2023). The Zygomatic Anatomy-Guided Approach, Zygomatic Orbital Floor Classification, and ORIS Criteria—A 10-Year Follow-Up. Journal of Clinical Medicine, 12(20), 6681. https://doi.org/10.3390/jcm12206681

