Diaphragmatic Endometriosis—A Single-Center Retrospective Analysis of the Patients’ Demographics, Symptomatology, and Long-Term Treatment Outcomes
Abstract
:1. Introduction
2. Materials and Methods
3. Results
3.1. General Characteristics
3.2. Symptomatology
3.3. Pelvic Endometriosis
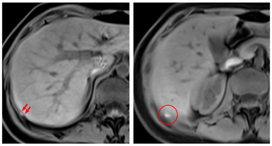
3.4. Diaphragmatic Endometriosis
3.5. Patient Follow-Up
3.6. Postoperative Hormonal-Treatment-Associated Factors
4. Discussion
5. Conclusions
Author Contributions
Funding
Institutional Review Board Statement
Informed Consent Statement
Data Availability Statement
Acknowledgments
Conflicts of Interest
References
- Zondervan, K.T.; Becker, C.M.; Missmer, S.A. Endometriosis. N. Engl. J. Med. 2020, 382, 1244–1256. [Google Scholar] [CrossRef] [PubMed]
- Clement, P.B.; Young, R.H. Two Previously Unemphasized Features of Endometriosis: Micronodular Stromal Endometriosis and Endometriosis with Stromal Elastosis. Int. J. Surg. Pathol. 2000, 8, 223–227. [Google Scholar] [CrossRef] [PubMed]
- Boyle, D.P.; McCluggage, W.G. Peritoneal stromal endometriosis: A detailed morphological analysis of a large series of cases of a common and under-recognised form of endometriosis. J. Clin. Pathol. 2009, 62, 530–533. [Google Scholar] [CrossRef] [PubMed]
- La Rosa, V.L.; De Franciscis, P.; Barra, F.; Schiattarella, A.; Török, P.; Shah, M.; Karaman, E.; Marques Cerentini, T.; Di Guardo, F.; Gullo, G.; et al. Quality of life in women with endometriosis: A narrative overview. Minerva Med. 2020, 111, 68–78. [Google Scholar] [CrossRef] [PubMed]
- Sourial, S.; Tempest, N.; Hapangama, D.K. Theories on the pathogenesis of endometriosis. Int. J. Reprod. Med. 2014, 2014, 179515. [Google Scholar] [CrossRef] [PubMed]
- Macer, M.L.; Taylor, H.S. Endometriosis and infertility: A review of the pathogenesis and treatment of endometriosis-associated infertility. Obstet. Gynecol. Clin. N. Am. 2012, 39, 535–549. [Google Scholar] [CrossRef] [PubMed]
- Arruda, M.S.; Petta, C.A.; Abrão, M.S.; Benetti-Pinto, C.L. Time elapsed from onset of symptoms to diagnosis of endometriosis in a cohort study of Brazilian women. Hum. Reprod. 2003, 18, 756–759. [Google Scholar] [CrossRef] [PubMed]
- Dai, Y.; Leng, J.H.; Lang, J.H.; Li, X.Y.; Zhang, J.J. Anatomical distribution of pelvic deep infiltrating endometriosis and its relationship with pain symptoms. Chin. Med. J. 2012, 125, 209–213. [Google Scholar]
- Lee, H.J.; Park, Y.M.; Jee, B.C.; Kim, Y.B.; Suh, C.S. Various anatomic locations of surgically proven endometriosis: A single-center experience. Obstet. Gynecol. Sci. 2015, 58, 53–58. [Google Scholar] [CrossRef]
- Veeraswamy, A.; Lewis, M.; Mann, A.; Kotikela, S.; Hajhosseini, B.; Nezhat, C. Extragenital endometriosis. Clin. Obstet. Gynecol. 2010, 53, 449–466. [Google Scholar] [CrossRef]
- Andres, M.P.; Arcoverde, F.V.L.; Souza, C.C.C.; Fernandes, L.F.C.; Abrão, M.S.; Kho, R.M. Extrapelvic Endometriosis: A Systematic Review. J. Minim. Invasive Gynecol. 2020, 27, 373–389. [Google Scholar] [CrossRef] [PubMed]
- Brews, A. Endometriosis including endometriosis of the diaphragm and Meigs’ syndrome. Proc. R. Soc. Med. 1954, 47, 461. [Google Scholar]
- Redwine, D.B. Diaphragmatic endometriosis: Diagnosis, surgical management, and long-term results of treatment. Fertil. Steril. 2002, 77, 288–296. [Google Scholar] [CrossRef] [PubMed]
- Pagano, F.; Schwander, A.; Vaineau, C.; Knabben, L.; Nirgianakis, K.; Imboden, S.; Mueller, M.D. True Prevalence of Diaphragmatic Endometriosis and Its Association with Severe Endometriosis: A Call for Awareness and Investigation. J. Minim. Invasive Gynecol. 2023, 30, 329–334. [Google Scholar] [CrossRef] [PubMed]
- Laganà, A.S.; Naem, A. The Pathogenesis of Endometriosis: Are Endometrial Stem/Progenitor Cells Involved? In Stem Cells in Reproductive Tissues and Organs: From Fertility to Cancer; Virant-Klun, I., Ed.; Springer International Publishing: Cham, Switzerland, 2022; pp. 193–216. [Google Scholar]
- Vercellini, P.; Abbiati, A.; Viganò, P.; Somigliana, E.D.; Daguati, R.; Meroni, F.; Crosignani, P.G. Asymmetry in distribution of diaphragmatic endometriotic lesions: Evidence in favour of the menstrual reflux theory. Hum. Reprod. 2007, 22, 2359–2367. [Google Scholar] [CrossRef] [PubMed]
- Konrad, L.; Dietze, R.; Kudipudi, P.K.; Horné, F.; Meinhold-Heerlein, I. Endometriosis in MRKH cases as a proof for the coelomic metaplasia hypothesis? Reproduction 2019, 158, R41–R47. [Google Scholar] [CrossRef] [PubMed]
- Mecha, E.; Makunja, R.; Maoga, J.B.; Mwaura, A.N.; Riaz, M.A.; Omwandho, C.O.A.; Meinhold-Heerlein, I.; Konrad, L. The Importance of Stromal Endometriosis in Thoracic Endometriosis. Cells 2021, 10, 180. [Google Scholar] [CrossRef] [PubMed]
- Nezhat, C.; Lindheim, S.R.; Backhus, L.; Vu, M.; Vang, N.; Nezhat, A.; Nezhat, C. Thoracic Endometriosis Syndrome: A Review of Diagnosis and Management. JSLS 2019, 23, e2019.00029. [Google Scholar] [CrossRef]
- Vigueras Smith, A.; Cabrera, R.; Kondo, W.; Ferreira, H. Diaphragmatic endometriosis minimally invasive treatment: A feasible and effective approach. J. Obstet. Gynaecol. 2021, 41, 176–186. [Google Scholar] [CrossRef]
- Gil, Y.; Tulandi, T. Diagnosis and Treatment of Catamenial Pneumothorax: A Systematic Review. J. Minim. Invasive Gynecol. 2020, 27, 48–53. [Google Scholar] [CrossRef]
- Nezhat, C.; Seidman, D.S.; Nezhat, F.; Nezhat, C. Laparoscopic surgical management of diaphragmatic endometriosis. Fertil. Steril. 1998, 69, 1048–1055. [Google Scholar] [CrossRef] [PubMed]
- Piccus, R.; Mann, C.; Sutcliffe, R.P. Diagnosis and treatment of diaphragmatic endometriosis: Results of an international patient survey. Eur. J. Obstet. Gynecol. Reprod. Biol. 2021, 260, 48–51. [Google Scholar] [CrossRef] [PubMed]
- Wetzel, A.; Philip, C.A.; Golfier, F.; Bonnot, P.E.; Cotte, E.; Brichon, P.Y.; Darnis, B.; Chene, G.; Michy, T.; Hoffmann, P.; et al. Surgical management of diaphragmatic and thoracic endometriosis’: A French multicentric descriptive study. J. Gynecol. Obstet. Hum. Reprod. 2021, 50, 102147. [Google Scholar] [CrossRef] [PubMed]
- Ciriaco, P.; Muriana, P.; Lembo, R.; Carretta, A.; Negri, G. Treatment of Thoracic Endometriosis Syndrome: A Meta-Analysis and Review. Ann. Thorac. Surg. 2022, 113, 324–336. [Google Scholar] [CrossRef] [PubMed]
- Benchimol, E.I.; Smeeth, L.; Guttmann, A.; Harron, K.; Moher, D.; Petersen, I.; Sørensen, H.T.; von Elm, E.; Langan, S.M. The REporting of studies Conducted using Observational Routinely-collected health Data (RECORD) statement. PLoS Med. 2015, 12, e1001885. [Google Scholar] [CrossRef] [PubMed]
- Becker, C.M.; Bokor, A.; Heikinheimo, O.; Horne, A.; Jansen, F.; Kiesel, L.; King, K.; Kvaskoff, M.; Nap, A.; Petersen, K.; et al. ESHRE guideline: Endometriosis. Hum. Reprod. Open 2022, 2022, hoac009. [Google Scholar] [CrossRef] [PubMed]
- Keckstein, J.; Saridogan, E.; Ulrich, U.A.; Sillem, M.; Oppelt, P.; Schweppe, K.W.; Krentel, H.; Janschek, E.; Exacoustos, C.; Malzoni, M.; et al. The #Enzian classification: A comprehensive non-invasive and surgical description system for endometriosis. Acta Obstet. Et Gynecol. Scand. 2021, 100, 1165–1175. [Google Scholar] [CrossRef]
- Ceccaroni, M.; Roviglione, G.; Giampaolino, P.; Clarizia, R.; Bruni, F.; Ruffo, G.; Patrelli, T.S.; De Placido, G.; Minelli, L. Laparoscopic surgical treatment of diaphragmatic endometriosis: A 7-year single-institution retrospective review. Surg. Endosc. 2013, 27, 625–632. [Google Scholar] [CrossRef]
- Yalcin, I.; Bump, R.C. Validation of two global impression questionnaires for incontinence. Am. J. Obstet. Gynecol. 2003, 189, 98–101. [Google Scholar] [CrossRef]
- Srikrishna, S.; Robinson, D.; Cardozo, L. Validation of the Patient Global Impression of Improvement (PGI-I) for urogenital prolapse. Int. Urogynecol. J. 2010, 21, 523–528. [Google Scholar] [CrossRef]
- American Society for Reproductive, M. Revised American Society for Reproductive Medicine classification of endometriosis: 1996. Fertil. Steril. 1997, 67, 817–821. [Google Scholar] [CrossRef] [PubMed]
- Endometriosis UK. Endometriosis Facts and Figures. Available online: https://www.endometriosis-uk.org/endometriosis-facts-and-figures (accessed on 26 August 2023).
- Leyendecker, G.; Kunz, G.; Wildt, L.; Beil, D.; Deininger, H. Uterine hyperperistalsis and dysperistalsis as dysfunctions of the mechanism of rapid sperm transport in patients with endometriosis and infertility. Hum. Reprod. 1996, 11, 1542–1551. [Google Scholar] [CrossRef]
- Klemmt, P.A.B.; Starzinski-Powitz, A. Molecular and Cellular Pathogenesis of Endometriosis. Curr. Women’s Health Rev. 2018, 14, 106–116. [Google Scholar] [CrossRef] [PubMed]
- Ceccaroni, M.; Roviglione, G.; Farulla, A.; Bertoglio, P.; Clarizia, R.; Viti, A.; Mautone, D.; Ceccarello, M.; Stepniewska, A.; Terzi, A.C. Minimally invasive treatment of diaphragmatic endometriosis: A 15-year single referral center’s experience on 215 patients. Surg. Endosc. 2021, 35, 6807–6817. [Google Scholar] [CrossRef] [PubMed]
- Soriano, D.; Schonman, R.; Gat, I.; Schiff, E.; Seidman, D.S.; Carp, H.; Weintraub, A.Y.; Ben-Nun, A.; Goldenberg, M. Thoracic endometriosis syndrome is strongly associated with severe pelvic endometriosis and infertility. J. Minim. Invasive Gynecol. 2012, 19, 742–748. [Google Scholar] [CrossRef]
- Hans Evers, J.L. Is adolescent endometriosis a progressive disease that needs to be diagnosed and treated? Hum. Reprod. 2013, 28, 2023. [Google Scholar] [CrossRef] [PubMed]
- Knez, J.; Bean, E.; Nijjar, S.; Tellum, T.; Chaggar, P.; Jurkovic, D. Natural progression of deep pelvic endometriosis in women who opt for expectant management. Acta Obstet. Gynecol. Scand. 2023, 102, 1298–1305. [Google Scholar] [CrossRef]
- Ochi, T.; Kurihara, M.; Tsuboshima, K.; Nonaka, Y.; Kumasaka, T. Dynamics of thoracic endometriosis in the pleural cavity. PLoS ONE 2022, 17, e0268299. [Google Scholar] [CrossRef]
- Marchiori, E.; Zanetti, G.; Rodrigues, R.S.; Souza, L.S.; Souza Junior, A.S.; Francisco, F.A.; Hochhegger, B. Pleural endometriosis: Findings on magnetic resonance imaging. J. Bras. Pneumol. 2012, 38, 797–802. [Google Scholar] [CrossRef]
- Quercia, R.; De Palma, A.; De Blasi, F.; Carleo, G.; De Iaco, G.; Panza, T.; Garofalo, G.; Simone, V.; Costantino, M.; Marulli, G. Catamenial pneumothorax: Not only VATS diagnosis. Front. Surg. 2023, 10, 1156465. [Google Scholar] [CrossRef]
- Rousset, P.; Gregory, J.; Rousset-Jablonski, C.; Hugon-Rodin, J.; Regnard, J.F.; Chapron, C.; Coste, J.; Golfier, F.; Revel, M.P. MR diagnosis of diaphragmatic endometriosis. Eur. Radiol. 2016, 26, 3968–3977. [Google Scholar] [CrossRef] [PubMed]
- Bachi, A.; Bille, A.; Khazali, S. The Combined Robotic-assisted Laparoscopic and Thoracic Approach in the Management of Diaphragmatic, Pleural, and Pericardial Endometriosis. J. Minim. Invasive Gynecol. 2023, 30, 533–534. [Google Scholar] [CrossRef] [PubMed]
- Naem, A.; Laganà, A.S. Editorial: Minimally invasive surgery as a mean of improving fertility: What do we know so far? Front. Surg. 2023, 10, 1203816. [Google Scholar] [CrossRef] [PubMed]



| Characteristics | Diaphragmatic Endometriosis Cases (n= 23) |
|---|---|
| Age (years) | 33.6 ± 5.8 |
| Menarche Age (years) | 12.7 ± 1.5 |
| Menstrual Cycle Length (days) | 28 (IQR = 1.25) |
| Menstruation Duration (days) | 5.6 ± 1.6 |
| Previous Surgical History (%) | 13 (68.4%) |
| Gravidity | |
| Nulligravidae (%) | 12 (70.6%) |
| Primigravida (%) | 5 (29.4%) |
| Parity | |
| Nulliparous (%) | 14 (82.4%) |
| Primiparous (%) | 3 (17.6%) |
| Infertility (%) | 11 (52.4%) |
| Symptoms | |
| Dysmenorrhea (%) | 15 (68.2%) |
| Menorrhagia (%) | 6 (27.3%) |
| Dyspareunia (%) | 7 (31.8%) |
| Dyschezia (%) | 6 (27.3%) |
| Hematochezia (%) | 2 (9.1%) |
| Constipation (%) | 2 (9.1%) |
| Dysuria (%) | 5 (21.7%) |
| Cyclic Shoulder pain (%) | 8 (34.8%) |
| Cyclic Upper Abdominal Pain (%) | 14 (60.9%) |
| Cyclic Chest Pain (%) | 10 (43.5%) |
| Classification | Diaphragmatic Endometriosis Cases n (%) |
|---|---|
| #ENZIAN P | 23 (100%) |
| #ENZIAN O (Left) | 6 (26.1%) |
| #ENZIAN O (Right) | 4 (17.4%) |
| #ENZIAN T (Left) | 6 (26.1%) |
| #ENZIAN T (Right) | 4 (17.4%) |
| Deep Endometriosis | 20 (87%) |
| #ENZIAN A | 11 (47.8%) |
| #ENZIAN B (Left) | 15 (65.2%) |
| #ENZIAN B (Right) | 14 (60.9%) |
| #ENZIAN C (Rectum) | 4 (17.4%) |
| #ENZIAN FA | 12 (52.2%) |
| #ENZIAN F(Diaphragm) | 23 (100%) |
| Right-Sided | 13 (68.4%) |
| Left-Sided | 2 (10.5) |
| Bilateral | 4 (21.5%) |
| r-ASRM Stage I | 2 (8.7%) |
| r-ASRM Stage II | 7 (30.4%) |
| r-ASRM Stage III | 8 (34.8%) |
| r-ASRM Stage VI | 6 (26.1%) |
| Case | Age (Years) | Presenting Complains | #ENZIAN | r-ASRM Stage | Follow-Up Duration (Months) | Follow-Up Outcomes |
|---|---|---|---|---|---|---|
| #1 | 34 | Dysmenorrhea Menorrhagia Dyspareunia Infertility | P2, O0/0, T1/1, A0, B1/1, C0, FA, F(Diaphragm) | III | 11 | No New Diaphragmatic-Endometriosis-Related Symptoms Occurred. No Postoperative Hormonal Treatment or Reoperation Were Reported. |
| #2 | 34 | Dysmenorrhea Dyspareunia Infertility | P3, O1/2, T1/1, A2, B2/2, C2, FI (Terminal Ileum), F(Diaphragm) | IV | 14 | |
| #3 | 25 | Dysmenorrhea Menorrhagia | P3, O2/2, T1/1, A0, B2/2, C0, FI (Cecum + Appendix), F(Diaphragm) | IV | 8 | |
| #4 | 30 | Dysmenorrhea Menorrhagia | P3, O0/0, T0/0, A1, B2/2, C0, FA, FI(Cecum + Appendix), F(Diaphragm) | III | 6 |
| Diaphragmatic Endometriosis Cases (n = 23) | |
|---|---|
| Treatment of Diaphragmatic Endometriosis | |
| Bipolar Coagulation (%) | 12 (52.2%) |
| Excision (%) | 4 (17.4%) |
| Excision and Coagulation (%) | 3 (13%) |
| Left In Situ (%) | 4 (17.4%) |
| Postoperative Complications | |
| Overall Complications Rate (%) | 6 (26.1%) |
| Clavien–Dindo Class 1 (%) Minimal Pneumothorax | 2 (33.3%) |
| Clavien–Dindo Class 2 (%) Urinary Tract Infection Vaginal Suture Infection | 2 (33.3%) |
| Clavien–Dindo Class 3b (%) Pouch of Douglas Hematoma Left ureteral stenosis | 2 (33.3%) |
| Follow-up Results | |
| Follow-up Duration (Months) | 23.7 ±13 |
| Cyclic Shoulder pain (n = 8) | 6 (75%) |
| Cyclic Upper Abdominal Pain (n = 14) | 9 (64.3%) |
| Cyclic Chest Pain (n = 10) | 5 (50%) |
| Reoperation (n = 23) | 1 (4.3%) |
| Postoperative Hormonal Therapy (%) | 5 (21.7%) |
| Clinical Pregnancy Rate (n = 9) | 4 (44%) |
| Live Birth Rate (n = 4) | 2 (50%) |
| Ongoing Pregnancy Rate (n = 4) | 2 (50%) |
| Patient Global Impression of Improvement | |
| Very Much Better (%) | 10 (43.5%) |
| Much Better (%) | 9 (39.1%) |
| A Little Better (%) | 2 (8.7%) |
| No Change at All (%) | 2 (8.7%) |
| Minimally Worse (%) | 0 (0%) |
| Much Worse (%) | 0 (0%) |
| Very Much Worse (%) | 0 (0%) |
| Characteristics | Treatment Group (n = 5) | Control Group (n = 18) | p-Value |
|---|---|---|---|
| Age (years) | 34.4 ± 5.8 | 33.3 ± 5.9 | 0.72 |
| Menarche Age (years) | 13 (IQR = 3) | 13 (IQR = 2.25) | 0.63 |
| Menstrual Cycle Length (days) | 28 (IQR = 3.5) | 28 (IQR = 2) | 0.64 |
| Menstruation Duration (days) | 6.5 (IQR = 1.75) | 5 (IQR = 2) | 0.17 |
| Gravidity (%) | 1 (20%) | 4 (33.3%) | 1 |
| Parity (%) | 1 (20%) | 2 (16.7%) | 0.4 |
| Abortions (%) | 1 (20%) | 2 (16.7%) | 0.4 |
| Previous Surgical History (%) | 4 (80%) | 9 (60%) | 0.25 |
| Infertility (%) | 0 (0%) | 11 (64.7%) | 0.03 |
| Preoperative Symptoms | |||
| Dysmenorrhea (%) | 3 (60%) | 12 (70.6%) | 1 |
| Menorrhagia (%) | 1 (20%) | 5 (29.4%) | 1 |
| Dyspareunia (%) | 0 (0%) | 7 (41.2%) | 0.14 |
| Dyschezia (%) | 0 (0%) | 6 (35.3%) | 0.27 |
| Hematochezia (%) | 0 (0%) | 2 (11.8%) | 1 |
| Constipation (%) | 0 (0%) | 2 (11.8%) | 1 |
| Dysuria (%) | 0 (0%) | 5 (27.8%) | 1 |
| Cyclic Shoulder pain (%) | 5 (100%) | 3 (16.7%) | 0.002 |
| Cyclic Upper Abdominal Pain (%) | 5 (100%) | 9 (50%) | 0.12 |
| Cyclic Chest Pain (%) | 4 (80%) | 6 (33.3%) | 0.13 |
| Surgical Treatment of Diaphragmatic Endometriosis | |||
| Bipolar Coagulation (%) | 4 (80%) | 8 (57.1%) | 0.6 |
| Excision Only (%) | 0 (0%) | 4 (28.6%) | |
| Excision and Coagulation (%) | 1 (20%) | 2 (14.3%) | |
| Intraoperative Complications (%) | 2 (40%) | 4 (22.2%) | 0.58 |
| Postoperative Outcomes | |||
| Follow-up Duration (Months) | 18 (IQR = 27.5) | 25.5 (IQR = 20.75) | 0.91 |
| Cyclic Shoulder pain (%) | 3 (16.7%) | 5 (100%) | 0.002 |
| Cyclic Upper Abdominal Pain (%) | 6 (33.3%) | 5 (100%) | 0.01 |
| Cyclic Chest Pain (%) | 3 (60%) | 2 (11.1%) | 0.048 |
| Reoperation (%) | 1 (20%) | 0 (0%) | 0.22 |
| Patient Global Impression of Improvement | |||
| Significant Improvement (%) (Very Much Better and Much Better) | 1 (20%) | 18 (100%) | 0.001 |
| Insignificant Improvement (%) (A Little Better and No Change) | 4 (80%) | 0 (0%) | |
Disclaimer/Publisher’s Note: The statements, opinions and data contained in all publications are solely those of the individual author(s) and contributor(s) and not of MDPI and/or the editor(s). MDPI and/or the editor(s) disclaim responsibility for any injury to people or property resulting from any ideas, methods, instructions or products referred to in the content. |
© 2023 by the authors. Licensee MDPI, Basel, Switzerland. This article is an open access article distributed under the terms and conditions of the Creative Commons Attribution (CC BY) license (https://creativecommons.org/licenses/by/4.0/).
Share and Cite
Naem, A.; Andrikos, A.; Constantin, A.S.; Khamou, M.; Andrikos, D.; Laganà, A.S.; De Wilde, R.L.; Krentel, H. Diaphragmatic Endometriosis—A Single-Center Retrospective Analysis of the Patients’ Demographics, Symptomatology, and Long-Term Treatment Outcomes. J. Clin. Med. 2023, 12, 6455. https://doi.org/10.3390/jcm12206455
Naem A, Andrikos A, Constantin AS, Khamou M, Andrikos D, Laganà AS, De Wilde RL, Krentel H. Diaphragmatic Endometriosis—A Single-Center Retrospective Analysis of the Patients’ Demographics, Symptomatology, and Long-Term Treatment Outcomes. Journal of Clinical Medicine. 2023; 12(20):6455. https://doi.org/10.3390/jcm12206455
Chicago/Turabian StyleNaem, Antoine, Argyrios Andrikos, Alin Stefan Constantin, Michael Khamou, Dimitrios Andrikos, Antonio Simone Laganà, Rudy Leon De Wilde, and Harald Krentel. 2023. "Diaphragmatic Endometriosis—A Single-Center Retrospective Analysis of the Patients’ Demographics, Symptomatology, and Long-Term Treatment Outcomes" Journal of Clinical Medicine 12, no. 20: 6455. https://doi.org/10.3390/jcm12206455
APA StyleNaem, A., Andrikos, A., Constantin, A. S., Khamou, M., Andrikos, D., Laganà, A. S., De Wilde, R. L., & Krentel, H. (2023). Diaphragmatic Endometriosis—A Single-Center Retrospective Analysis of the Patients’ Demographics, Symptomatology, and Long-Term Treatment Outcomes. Journal of Clinical Medicine, 12(20), 6455. https://doi.org/10.3390/jcm12206455

