Surgical Management of Scapulothoracic Bursitis in a Patient with Systemic Lupus Erythematosus: A Case Report
Abstract
1. Introduction
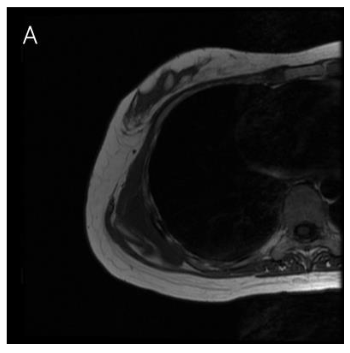
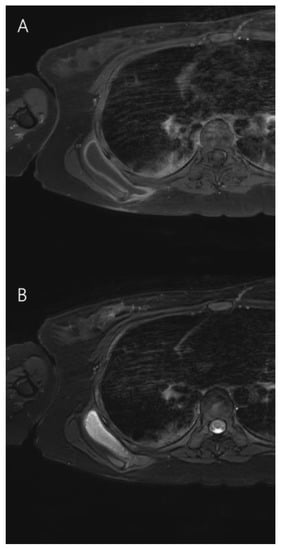
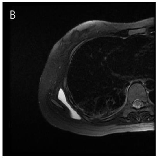
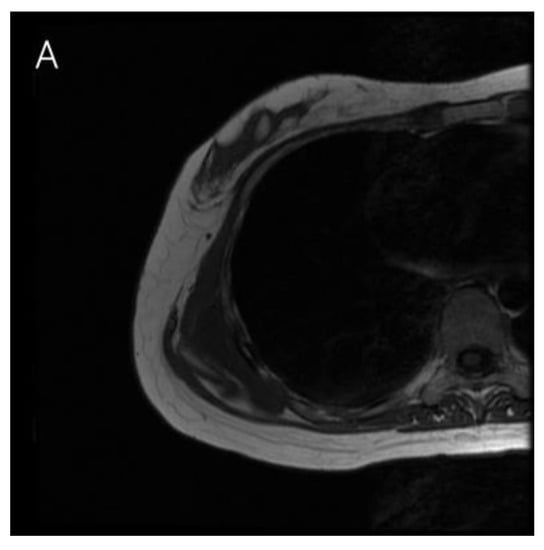
2. Case Presentation
3. Discussion
4. Conclusions
Author Contributions
Funding
Institutional Review Board Statement
Informed Consent Statement
Data Availability Statement
Acknowledgments
Conflicts of Interest
Abbreviations
References
- Kibler, W.B. The role of the scapula in athletic shoulder function. Am. J. Sports Med. 1998, 26, 325–337. [Google Scholar] [CrossRef] [PubMed]
- Kuhn, J.E.; Plancher, K.D.; Hawkins, R.J. Symptomatic scapulothoracic crepitus and bursitis. J. Am. Acad. Orthop. Surg. 1998, 6, 267–273. [Google Scholar] [CrossRef] [PubMed]
- Warth, R.J.; Spiegl, U.J.; Millett, P.J. Scapulothoracic bursitis and snapping scapula syndrome: A critical review of current evidence. Am. J. Sports Med. 2015, 43, 236–245. [Google Scholar] [CrossRef] [PubMed]
- Schiavon, F.; Ragazzi, R. Bilateral scapulothoracic bursitis. Arthritis Rheumatol. 2008, 58, 585. [Google Scholar] [CrossRef] [PubMed]
- Conduah, A.H.; Baker, C.L., 3rd; Baker, C.L., Jr. Clinical management of scapulothoracic bursitis and the snapping scapula. Sports Health 2010, 2, 147–155. [Google Scholar] [CrossRef] [PubMed]
- Choi, J.Y.; Seo, J.H.; Cha, W.J.; Seo, B.F.; Jung, S.N. A propeller superficial transverse cervical artery perforator flap for defect coverage of the submental area: A case report. Arch. Craniofac. Surg. 2021, 22, 341–344. [Google Scholar] [CrossRef] [PubMed]
- Wang, M.L.; Miller, A.J.; Ballard, B.L.; Botte, M.J. Management of Snapping Scapula Syndrome. Orthopedics 2016, 39, e783–e786. [Google Scholar] [CrossRef] [PubMed]
- Lambie, P.; Kaufman, R.; Beardmore, T. Septic ischial bursitis in systemic lupus erythematosus presenting as a perirectal mass. J. Rheumatol. 1989, 16, 1497–1499. [Google Scholar] [PubMed]
- Thong, B.; Olsen, N.J. Systemic lupus erythematosus diagnosis and management. Rheumatology 2017, 56 (Suppl. 1), i3–i13. [Google Scholar] [CrossRef] [PubMed]
- Ruperto, N.; Hanrahan, L.M.; Alarcón, G.S.; Belmont, H.M.; Brey, R.L.; Brunetta, P.; Buyon, J.P.; Costner, M.I.; Cronin, M.E.; Dooley, M.A.; et al. International consensus for a definition of disease flare in lupus. Lupus 2011, 20, 453–462. [Google Scholar] [CrossRef] [PubMed]
- Ricci, V.; Chang, K.V.; Güvener, O.; Mezian, K.; Kara, M.; Leblebicioğlu, G.; Stecco, C.; Pirri, C.; Ata, A.M.; Dughbaj, M.; et al. EURO-MUSCULUS/USPRM Dynamic Ultrasound Protocols for Shoulder. Am. J. Phys. Med. Rehabil. 2022, 101, e29–e36. [Google Scholar] [CrossRef] [PubMed]







Disclaimer/Publisher’s Note: The statements, opinions and data contained in all publications are solely those of the individual author(s) and contributor(s) and not of MDPI and/or the editor(s). MDPI and/or the editor(s) disclaim responsibility for any injury to people or property resulting from any ideas, methods, instructions or products referred to in the content. |
© 2023 by the authors. Licensee MDPI, Basel, Switzerland. This article is an open access article distributed under the terms and conditions of the Creative Commons Attribution (CC BY) license (https://creativecommons.org/licenses/by/4.0/).
Share and Cite
Choi, J.H.; Choi, S.Y.; Kim, K.S.; Hwang, J.H.; Lee, S.Y. Surgical Management of Scapulothoracic Bursitis in a Patient with Systemic Lupus Erythematosus: A Case Report. J. Clin. Med. 2023, 12, 561. https://doi.org/10.3390/jcm12020561
Choi JH, Choi SY, Kim KS, Hwang JH, Lee SY. Surgical Management of Scapulothoracic Bursitis in a Patient with Systemic Lupus Erythematosus: A Case Report. Journal of Clinical Medicine. 2023; 12(2):561. https://doi.org/10.3390/jcm12020561
Chicago/Turabian StyleChoi, Jun Ho, Seung Yeon Choi, Kwang Seog Kim, Jae Ha Hwang, and Sam Yong Lee. 2023. "Surgical Management of Scapulothoracic Bursitis in a Patient with Systemic Lupus Erythematosus: A Case Report" Journal of Clinical Medicine 12, no. 2: 561. https://doi.org/10.3390/jcm12020561
APA StyleChoi, J. H., Choi, S. Y., Kim, K. S., Hwang, J. H., & Lee, S. Y. (2023). Surgical Management of Scapulothoracic Bursitis in a Patient with Systemic Lupus Erythematosus: A Case Report. Journal of Clinical Medicine, 12(2), 561. https://doi.org/10.3390/jcm12020561

