Correlation of Foraminal Parameters with Patient-Reported Outcomes in Patient with Degenerative Lumbar Foraminal Stenosis
Abstract
1. Introduction
2. Materials and Methods
2.1. Study Population
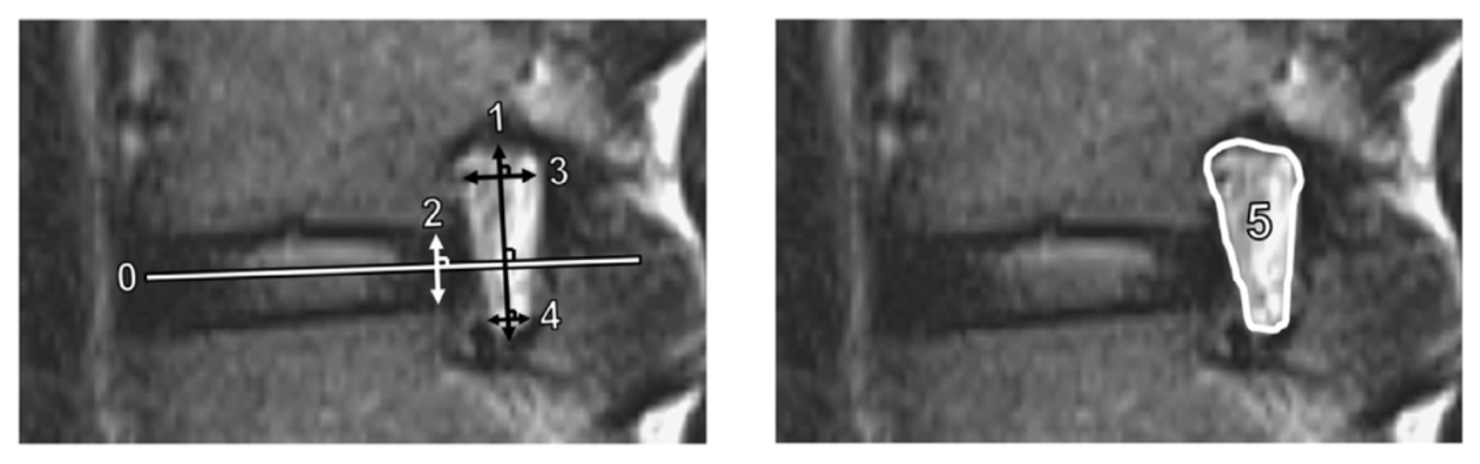
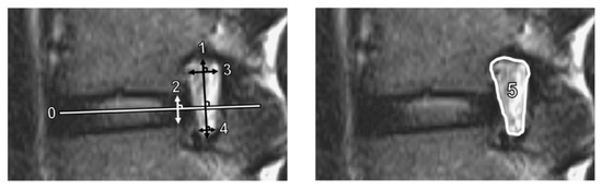
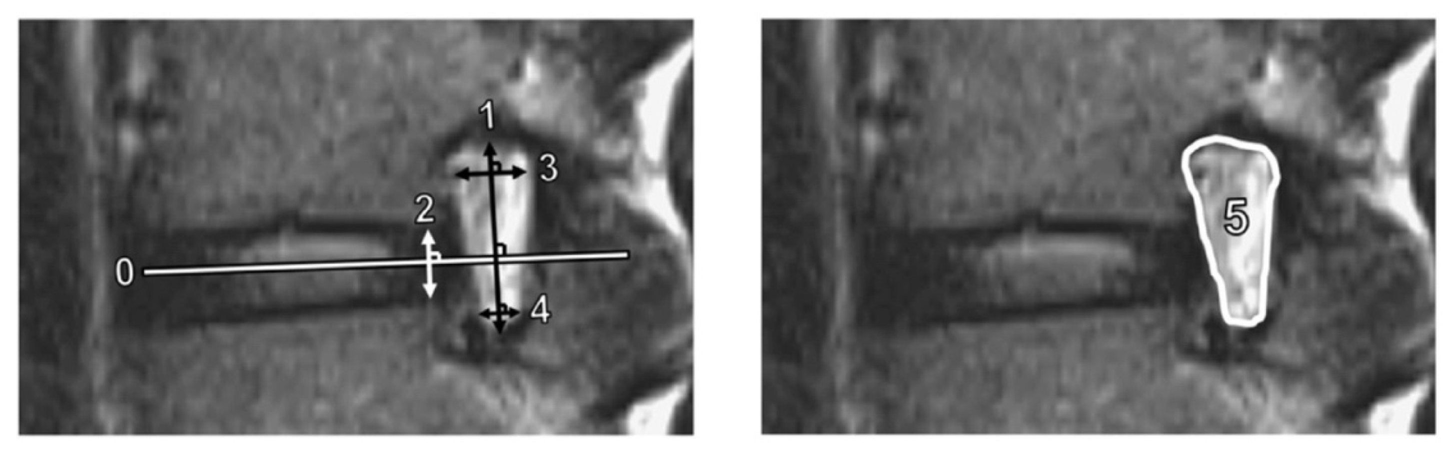
2.2. MRI Parameters and PRO Measurement
2.3. Statistic Analysis
2.4. Surgical Procedure
3. Results
3.1. Patient Population Demographics
3.2. Clinical Improvement after Surgery
3.3. Correlations between Anatomic Parameters and PROs
4. Discussion
5. Conclusions
Author Contributions
Funding
Institutional Review Board Statement
Informed Consent Statement
Data Availability Statement
Acknowledgments
Conflicts of Interest
References
- Jenis, L.G.; An, H.S. Spine update: Lumbar foraminal stenosis. Spine 2000, 25, 389–394. [Google Scholar] [CrossRef]
- Orita, S.; Inage, K.; Eguchi, Y.; Kubota, G.; Aoki, Y.; Nakamura, J.; Matsuura, Y.; Furuya, T.; Koda, M.; Ohtori, S. Lumbar foraminal stenosis, the hidden stenosis including at L5/S1. Eur. J. Orthop. Surg. Traumatol. 2016, 26, 685–693. [Google Scholar] [CrossRef] [PubMed]
- Choi, Y.K. Lumbar foraminal neuropathy: An update on non-surgical management. Korean J. Pain 2019, 32, 147–159. [Google Scholar] [CrossRef] [PubMed]
- Kim, H.-J.; Jeong, J.-H.; Cho, H.-G.; Chang, B.-S.; Lee, C.-K.; Yeom, J.S. Comparative observational study of surgical outcomes of lumbar foraminal stenosis using minimally invasive microsurgical extraforaminal decompression alone versus posterior lumbar interbody fusion: A prospective cohort study. Eur. Spine J. 2015, 24, 388–395. [Google Scholar] [CrossRef] [PubMed]
- Lowe, T.G.; Tahernia, A.D.; O’Brien, M.F.; Smith, D.A. Unilateral transforaminal posterior lumbar interbody fusion (TLIF): Indications, technique, and 2-year results. Clin. Spine Surg. 2002, 15, 31–38. [Google Scholar] [CrossRef]
- Fujibayashi, S.; Neo, M.; Takemoto, M.; Ota, M.; Nakamura, T. Paraspinal-approach transforaminal lumbar interbody fusion for the treatment of lumbar foraminal stenosis. J. Neurosurg. Spine 2010, 13, 500–508. [Google Scholar] [CrossRef]
- Hallett, A.; Huntley, J.S.; Gibson, J.N.A. Foraminal stenosis and single-level degenerative disc disease: A randomized controlled trial comparing decompression with decompression and instrumented fusion. Spine 2007, 32, 1375–1380. [Google Scholar] [CrossRef]
- Parlato, C.; Iavarone, A.; Gentile, M.; Albanese, R.; Moraci, A. Outcome of lumbar intervertebral foraminal stenosis surgery and depression. Eur. Neurol. 2013, 69, 304–308. [Google Scholar] [CrossRef]
- Wildermuth, S.; Zanetti, M.; Duewell, S.; Schmid, M.R.; Romanowski, B.; Benini, A.; Böni, T.; Hodler, J. Lumbar spine: Quantitative and qualitative assessment of positional (upright flexion and extension) MR imaging and myelography. Radiology 1998, 207, 391–398. [Google Scholar] [CrossRef]
- Lee, S.; Lee, J.W.; Yeom, J.S.; Kim, K.-J.; Kim, H.-J.; Chung, S.K.; Kang, H.S. A practical MRI grading system for lumbar foraminal stenosis. Am. J. Roentgenol. 2010, 194, 1095–1098. [Google Scholar] [CrossRef]
- Sartoretti, E.; Wyss, M.; Alfieri, A.; Binkert, C.A.; Erne, C.; Sartoretti-Schefer, S.; Sartoretti, T. Introduction and reproducibility of an updated practical grading system for lumbar foraminal stenosis based on high-resolution MR imaging. Sci. Rep. 2021, 11, 12000. [Google Scholar] [CrossRef]
- Gopinath, P. Lumbar segmental instability: Points to ponder. J. Orthop. 2015, 12, 165. [Google Scholar] [CrossRef]
- Steurer, J.; Roner, S.; Gnannt, R.; Hodler, J. Quantitative radiologic criteria for the diagnosis of lumbar spinal stenosis: A systematic literature review. BMC Musculoskelet. Disord. 2011, 12, 175. [Google Scholar] [CrossRef]
- Hasegawa, T.; An, H.S.; Haughton, V.M.; Nowicki, B.H. Lumbar foraminal stenosis: Critical heights of the intervertebral discs and foramina. A cryomicrotome study in cadavera. J. Bone Jt. Surg. 1995, 77, 32–38. [Google Scholar] [CrossRef]
- Ren, Z.; Liu, A.; Yang, K.; Wang, D.; Buser, Z.; Wang, J.C. Evaluation of changes in lumbar neuroforaminal dimensions in symptomatic young adults using positional MRI. Eur. Spine J. 2017, 26, 1999–2006. [Google Scholar] [CrossRef]
- Bakkai, A.; Wai, E.; Roffey, D. Does the degree of foraminal stenosis affect the outcome of decompressive surgery in patients with lumbar spinal stenosis? Comparison of pain scores and disability at baseline and follow-up. Orthop. Proc. 2013, 95-B, 39. [Google Scholar]
- Chang, S.-B.; Lee, S.-H.; Ahn, Y.; Kim, J.-M. Risk factor for unsatisfactory outcome after lumbar foraminal and far lateral microdecompression. Spine 2006, 31, 1163–1167. [Google Scholar] [CrossRef]
- Yamada, K.; Matsuda, H.; Nabeta, M.; Habunaga, H.; Suzuki, A.; Nakamura, H. Clinical outcomes of microscopic decompression for degenerative lumbar foraminal stenosis: A comparison between patients with and without degenerative lumbar scoliosis. Eur. Spine J. 2011, 20, 947–953. [Google Scholar] [CrossRef]
- Park, H.J.; Kim, S.S.; Lee, S.Y.; Park, N.H.; Rho, M.H.; Hong, H.P.; Kwag, H.J.; Kook, S.H.; Choi, S.H. Clinical correlation of a new MR imaging method for assessing lumbar foraminal stenosis. Am. J. Neuroradiol. 2012, 33, 818–822. [Google Scholar] [CrossRef]
- Farshad, M.; Sutter, R.; Hoch, A. Severity of foraminal lumbar stenosis and the relation to clinical symptoms and response to periradicular infiltration—Introduction of the “melting sign”. Spine J. 2018, 18, 294–299. [Google Scholar] [CrossRef]
- Yamada, K.; Abe, Y.; Satoh, S.; Yanagibashi, Y.; Hyakumachi, T.; Masuda, T. A novel diagnostic parameter, foraminal stenotic ratio using three-dimensional magnetic resonance imaging, as a discriminator for surgery in symptomatic lumbar foraminal stenosis. Spine J. 2017, 17, 1074–1081. [Google Scholar] [CrossRef]
- Sigmundsson, F.G.; Kang, X.P.; Jönsson, B.; Strömqvist, B. Correlation between disability and MRI findings in lumbar spinal stenosis: A prospective study of 109 patients operated on by decompression. Acta Orthop. 2011, 82, 204–210. [Google Scholar] [CrossRef] [PubMed]
- Ishimoto, Y.; Yoshimura, N.; Muraki, S.; Yamada, H.; Nagata, K.; Hashizume, H.; Takiguchi, N.; Minamide, A.; Oka, H.; Kawaguchi, H. Associations between radiographic lumbar spinal stenosis and clinical symptoms in the general population: The Wakayama Spine Study. Osteoarthr. Cartil. 2013, 21, 783–788. [Google Scholar] [CrossRef] [PubMed]
- Kuittinen, P.; Sipola, P.; Aalto, T.J.; Määttä, S.; Parviainen, A.; Saari, T.; Sinikallio, S.; Savolainen, S.; Turunen, V.; Kröger, H. Correlation of lateral stenosis in MRI with symptoms, walking capacity and EMG findings in patients with surgically confirmed lateral lumbar spinal canal stenosis. BMC Musculoskelet. Disord. 2014, 15, 247. [Google Scholar] [CrossRef] [PubMed]



| Number of Patients | 58 |
|---|---|
| Age, years | 64.0 (56.0, 68.3) |
| Female, n (%) | 37 (63.8) |
| Body mass index, kg/m2 | 26.5 (23.5, 29.5) |
| Side of symptoms, n (%) | |
| Right | 25 (43.1) |
| Left | 31 (53.4) |
| Bilateral | 2 (3.4) |
| Level of operation, n (%) | |
| L2/L3 | 3 (5.2) |
| L3/L4 | 3 (5.2) |
| L4/L5 | 52 (89.7) |
| Duration of hospital stay, days | 6.0 (5.0, 7.0) |
| Parameters from MRI | |
| Foraminal height, mm | 16.5 (14.5, 18.3) |
| Disc height, mm | 5.5 (4.3, 6.4) |
| Superior foraminal width, mm | 8.1 (6.4, 9.1) |
| Inferior foraminal width, mm | 2.4 (0.0, 3.2) |
| Foraminal area, mm2 | 63.0 (48.8, 79.3) |
| Before Operation | 1 Year after Operation | p Value | |
|---|---|---|---|
| VAS—back pain | 7.0 (5.3, 8.0) | 2.0 (0, 3.0) | <0.001 |
| VAS—leg pain | 7.0 (6.3, 8.8) | 0 (0, 0) | <0.001 |
| ODI | 53.3 (44.4, 57.8) | 20.0 (11.1, 37.2) | <0.001 |
| EQ-5D | 0.34 (0.34, 0.46) | 0.77 (0.65, 0.85) | <0.001 |
| VAS—Back Pain | VAS—Leg Pain | ODI | EQ-5D | |
|---|---|---|---|---|
| Before operation (baseline) | ||||
| Foraminal height | −0.015 | −0.045 | 0.042 | 0.022 |
| Disc height | 0.097 | −0.049 | 0.155 | 0.011 |
| Superior foraminal width | −0.060 | −0.062 | −0.066 | 0.180 |
| Inferior foraminal width | 0.044 | −0.089 | −0.032 | −0.068 |
| Foraminal area | −0.002 | 0.039 | −0.040 | 0.035 |
| 6 months after operation | ||||
| Foraminal height | −0.089 | −0.158 | 0.009 | 0.012 |
| Disc height | −0.069 | −0.118 | −0.017 | −0.063 |
| Superior foraminal width | 0.058 | 0.087 | 0.344 ** | −0.277 * |
| Inferior foraminal width | 0.021 | 0.025 | 0.136 | −0.165 |
| Foraminal area | 0.117 | 0.053 | 0.109 | −0.188 |
| 1 year after operation | ||||
| Foraminal height | −0.013 | −0.073 | −0.001 | 0.069 |
| Disc height | 0.115 | −0.087 | 0.022 | −0.043 |
| Superior foraminal width | 0.238 | 0.239 | 0.341 * | −0.306 * |
| Inferior foraminal width | 0.225 | 0.143 | 0.134 | −0.163 |
| Foraminal area | 0.204 | 0.260 | 0.187 | −0.234 |
| Change from baseline at 6 months (Δ PROs) | ||||
| Foraminal height | 0.025 | 0.084 | 0.102 | 0.064 |
| Disc height | 0.179 | 0.018 | 0.104 | −0.022 |
| Superior foraminal width | −0.082 | −0.124 | −0.490 ** | −0.430 ** |
| Inferior foraminal width | −0.016 | −0.173 | −0.203 | −0.086 |
| Foraminal area | −0.067 | −0.02 | −0.241 | −0.196 |
| Change from baseline at 1 year (Δ PROs) | ||||
| Foraminal height | 0.012 | −0.029 | −0.096 | 0.087 |
| Disc height | −0.021 | 0.025 | −0.076 | −0.020 |
| Superior foraminal width | 0.195 | 0.162 | 0.468 *** | −0.431 ** |
| Inferior foraminal width | 0.172 | 0.202 | 0.203 | −0.086 |
| Foraminal area | 0.108 | 0.117 | 0.278 * | −0.254 |
| ODI Change from Baseline at 1 Year | EQ-5D Change from Baseline at 1 Year | |||
|---|---|---|---|---|
| β Coefficient (95% CI) | p | β Coefficient (95% CI) | p | |
| Model 1 | 2.971 (1.059, 4.884) | 0.003 | −0.031 (−0.051, −0.011) | 0.003 |
| Model 2 | 2.343 (0.534, 4.151) | 0.012 | −0.026 (−0.045, −0.006) | 0.011 |
| Model 3 | 2.468 (0.715, 4.221) | 0.007 | −0.028 (−0.046, −0.009) | 0.004 |
| Male | 1.727 (−1.885, 5.340) | 0.329 | −0.016 (−0.052, 0.019) | 0.352 |
| Female | 4.004 (1.781, 6.226) | 0.001 | −0.043 (−0.067, −0.019) | 0.001 |
| <65 years | 1.210 (−0.743, 3.163) | 0.215 | −0.019 (−0.048, 0.011) | 0.203 |
| ≥65 years | 4.035 (0.922, 7.149) | 0.013 | −0.037 (−0.063, −0.011) | 0.007 |
Disclaimer/Publisher’s Note: The statements, opinions and data contained in all publications are solely those of the individual author(s) and contributor(s) and not of MDPI and/or the editor(s). MDPI and/or the editor(s) disclaim responsibility for any injury to people or property resulting from any ideas, methods, instructions or products referred to in the content. |
© 2023 by the authors. Licensee MDPI, Basel, Switzerland. This article is an open access article distributed under the terms and conditions of the Creative Commons Attribution (CC BY) license (https://creativecommons.org/licenses/by/4.0/).
Share and Cite
Lin, Y.-T.; Wang, J.-S.; Hsu, W.-E.; Lin, Y.-H.; Wu, Y.-C.; Chen, K.-H.; Pan, C.-C.; Lee, C.-H. Correlation of Foraminal Parameters with Patient-Reported Outcomes in Patient with Degenerative Lumbar Foraminal Stenosis. J. Clin. Med. 2023, 12, 479. https://doi.org/10.3390/jcm12020479
Lin Y-T, Wang J-S, Hsu W-E, Lin Y-H, Wu Y-C, Chen K-H, Pan C-C, Lee C-H. Correlation of Foraminal Parameters with Patient-Reported Outcomes in Patient with Degenerative Lumbar Foraminal Stenosis. Journal of Clinical Medicine. 2023; 12(2):479. https://doi.org/10.3390/jcm12020479
Chicago/Turabian StyleLin, Yu-Tsung, Jun-Sing Wang, Wei-En Hsu, Yu-Hsien Lin, Yun-Che Wu, Kun-Hui Chen, Chien-Chou Pan, and Cheng-Hung Lee. 2023. "Correlation of Foraminal Parameters with Patient-Reported Outcomes in Patient with Degenerative Lumbar Foraminal Stenosis" Journal of Clinical Medicine 12, no. 2: 479. https://doi.org/10.3390/jcm12020479
APA StyleLin, Y.-T., Wang, J.-S., Hsu, W.-E., Lin, Y.-H., Wu, Y.-C., Chen, K.-H., Pan, C.-C., & Lee, C.-H. (2023). Correlation of Foraminal Parameters with Patient-Reported Outcomes in Patient with Degenerative Lumbar Foraminal Stenosis. Journal of Clinical Medicine, 12(2), 479. https://doi.org/10.3390/jcm12020479

