Identification of a Novel Non-Canonical Splice-Site Variant in ABCD1
Abstract
1. Introduction
2. Materials and Methods
2.1. Editorial Policies and Ethical Considerations
2.2. Clinical Evaluation and Genetic Diagnosis
2.3. WES and Data Analysis
2.4. RNA-Seq and Data Analysis
2.5. In Vitro Analysis of Splice-Site Mutations of ABCD1 Exon 2 Using the Minigene Assay
3. Results
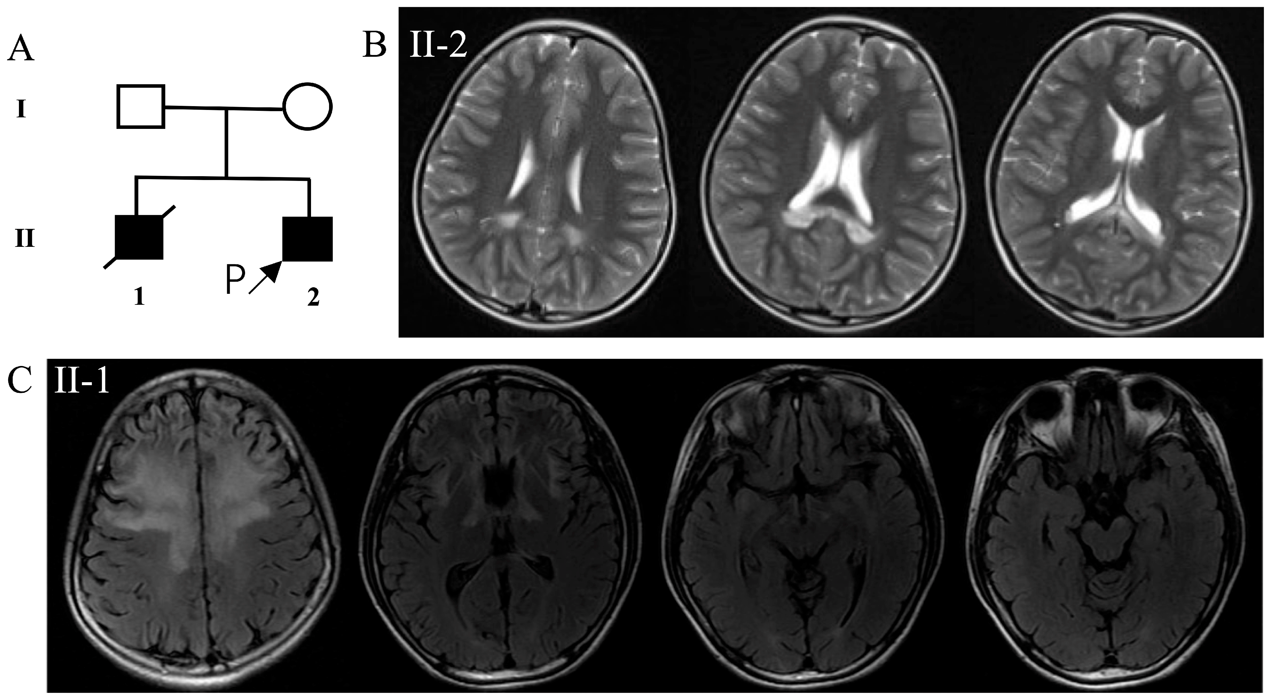
3.1. Clinical Description
3.2. Identification of a Novel ABCD1 Variant
3.3. c.901-25_901-9 Del Alters ABCD1 Splicing, Causing a Loss of Transcript Heterogeneity
3.4. Treatment, Outcome, and Extended Family Screening
4. Discussion
5. Conclusions
Supplementary Materials
Author Contributions
Funding
Institutional Review Board Statement
Informed Consent Statement
Data Availability Statement
Acknowledgments
Conflicts of Interest
References
- Mallack, E.; Gao, K.; Engelen, M.; Kemp, S. Structure and function of the ABCD1 variant database: 20 years, 940 pathogenic variants, and 3400 cases of adrenoleukodystrophy. Cells 2022, 11, 283. [Google Scholar] [CrossRef] [PubMed]
- Zhu, J.; Eichler, F.; Biffi, A.; Duncan, C.N.; Williams, D.A.; Majzoub, J.A. The changing face of adrenoleukodystrophy. Endocr. Rev. 2020, 41, 577–593. [Google Scholar] [CrossRef] [PubMed]
- Moser, A.B.; Fatemi, A. Newborn screening and emerging therapies for X-linked adrenoleukodystrophy. JAMA Neurol. 2018, 75, 1175. [Google Scholar] [CrossRef]
- Pierpont, E.I.; Nascene, D.R.; Shanley, R.; Kenney-Jung, D.L.; Ziegler, R.S.; Miller, W.P.; Gupta, A.O.; Lund, T.C.; Orchard, P.J.; Eisengart, J.B. Neurocognitive benchmarks following transplant for emerging cerebral adrenoleukodystrophy. Neurology 2020, 95, e591–e600. [Google Scholar] [CrossRef] [PubMed]
- Pierpont, E.I.; Eisengart, J.B.; Shanley, R.; Nascene, D.; Raymond, G.V.; Shapiro, E.G.; Ziegler, R.S.; Orchard, P.J.; Miller, W.P. Neurocognitive trajectory of boys who received a hematopoietic stem cell transplant at an early stage of childhood cerebral adrenoleukodystrophy. JAMA Neurol. 2017, 74, 710–717. [Google Scholar] [CrossRef]
- Eichler, F.; Duncan, C.; Musolino, P.L.; Orchard, P.J.; de Oliveira, S.; Thrasher, A.J.; Armant, M.; Dansereau, C.; Lund, T.C.; Miller, W.P. Hematopoietic stem-cell gene therapy for cerebral adrenoleukodystrophy. Engl. J. Med. 2017, 377, 1630–1638. [Google Scholar] [CrossRef]
- Vanderver, A.; Simons, C.; Helman, G.; Crawford, J.; Wolf, N.I.; Bernard, G.; Pizzino, A.; Schmidt, J.L.; Takanohashi, A.; Miller, D.; et al. Whole exome sequencing in patients with white matter abnormalities. Ann. Neurol. 2016, 79, 1031–1037. [Google Scholar] [CrossRef]
- Van der Knaap, M.; Schiffmann, R.; Mochel, F.; Wolf, N. Diagnosis, prognosis, and treatment of leukodystrophies. Lancet Neurol. 2019, 18, 962–972. [Google Scholar] [CrossRef]
- Kachwala, I.; Regelmann, M.O. Monitoring for and management of endocrine dysfunction in adrenoleukodystrophy. Int. J. Neonatal. Screen. 2022, 8, 18. [Google Scholar] [CrossRef]
- Mallack, E.J.; Turk, B.R.; Yan, H.; Price, C.; Demetres, M.; Moser, A.B.; Becker, C.; Hollandsworth, K.; Adang, L.; Vanderver, A.; et al. MRI surveillance of boys with X-linked adrenoleukodystrophy identified by newborn screening: Meta-analysis and consensus guidelines. J. Inherit. Metab. Dis. 2021, 44, 728–739. [Google Scholar] [CrossRef]
- World Medical Association. World Medical Association Declaration of Helsinki: Ethical principles for medical research involving human subjects. JAMA 2013, 310, 2191–2194. [Google Scholar] [CrossRef]
- Abuín, J.M.; Pichel, J.C.; Pena, T.F.; Amigo, J. BigBWA: Approaching the Burrows–Wheeler aligner to Big Data technologies. Bioinformatics 2015, 31, 4003–4005. [Google Scholar] [CrossRef]
- Danecek, P.; Bonfield, J.K.; Liddle, J.; Marshall, J.; Ohan, V.; Pollard, M.O.; Whitwham, A.; Keane, T.; McCarthy, S.A.; Davies, R.M.; et al. Twelve years of SAMtools and BCFtools. GigaScience 2021, 10, giab008. [Google Scholar] [CrossRef] [PubMed]
- DePristo, M.A.; Banks, E.; Poplin, R.; Garimella, K.V.; Maguire, J.R.; Hartl, C.; Philippakis, A.A.; Del Angel, G.; Rivas, M.A.; Hanna, M.; et al. A framework for variation discovery and genotyping using next-generation DNA sequencing data. Nat. Genet. 2011, 43, 491–498. [Google Scholar] [CrossRef] [PubMed]
- Shihab, H.A.; Gough, J.; Cooper, D.N.; Stenson, P.D.; Barker, G.L.A.; Edwards, K.J.; Day, I.N.M.; Gaunt, T.R. Predicting the Functional, Molecular, and Phenotypic Consequences of Amino Acid Substitutions using Hidden Markov Models. Hum. Mutat. 2013, 34, 57–65. [Google Scholar] [CrossRef]
- Ng, P.C.; Henikoff, S. Predicting deleterious amino acid substitutions. Genome Res. 2001, 11, 863–874. [Google Scholar] [CrossRef]
- Adzhubei, I.A.; Schmidt, S.; Peshkin, L.; Ramensky, V.E.; Gerasimova, A.; Bork, P.; Kondrashov, A.S.; Sunyaev, S.R. A method and server for predicting damaging missense mutations. Nat. Methods 2010, 7, 248–249. [Google Scholar] [CrossRef]
- Chun, S.; Fay, J.C. Identification of deleterious mutations within three human genomes. Genome Res. 2009, 19, 1553–1561. [Google Scholar] [CrossRef] [PubMed]
- Schwarz, J.M.; Cooper, D.N.; Schuelke, M.; Seelow, D. MutationTaster2: Mutation prediction for the deep-sequencing age. Nat. Methods 2014, 11, 361–362. [Google Scholar] [CrossRef]
- Richards, S.; Aziz, N.; Bale, S. Standards and guidelines for the interpretation of sequence variants: A joint consensus recommendation of the American College of Medical Genetics and Genomics and the Association for Molecular Pathology. Genet Med. 2015, 17, 405–424. [Google Scholar] [CrossRef]
- Dobin, A.; Davis, C.A.; Schlesinger, F.; Drenkow, J.; Zaleski, C.; Jha, S.; Batut, P.; Chaisson, M.; Gingeras, T.R. STAR: Ultrafast universal RNA-seq aligner. Bioinformatics 2013, 29, 15–21. [Google Scholar] [CrossRef] [PubMed]
- Anders, S.; Pyl, P.T.; Huber, W. HTSeq—A Python framework to work with high-throughput sequencing data. Bioinformatics 2015, 31, 166–169. [Google Scholar] [CrossRef] [PubMed]
- Smirnov, D.; Schlieben, L.D.; Peymani, F.; Berutti, R.; Prokisch, H. Guidelines for clinical interpretation of variant pathogenicity using RNA phenotypes. Hum. Mutat. 2022, 43, 1056–1070. [Google Scholar] [CrossRef]
- Brechtmann, F.; Mertes, C.; Matusevičiūtė, A.; Yépez, V.A.; Avsec, Ž.; Herzog, M.; Bader, D.M.; Prokisch, H.; Gagneur, J. OUTRIDER: A Statistical Method for Detecting Aberrantly Expressed Genes in RNA Sequencing Data. Am. J. Hum. Genet. 2018, 103, 907–917. [Google Scholar] [CrossRef] [PubMed]
- Mertes, C.; Scheller, I.; Yépez, V. Detection of aberrant splicing events in RNA-seq data using FRASER. Nat Commun. 2021, 12, 529. [Google Scholar] [CrossRef] [PubMed]
- Yeo, G.; Burge, C.B. Maximum entropy modeling of short sequence motifs with applications to RNA splicing signals. J. Comput. Biol. 2004, 11, 377–394. [Google Scholar] [CrossRef]
- Desmet, F.-O.; Hamroun, D.; Lalande, M.; Collod-Béroud, G.; Claustres, M.; Béroud, C. Human Splicing Finder: An online bioinformatics tool to predict splicing signals. Nucleic Acids Res. 2009, 37, e67. [Google Scholar] [CrossRef]
- Robinson, J.T.; Thorvaldsdóttir, H.; Winckler, W.; Guttman, M.; Lander, E.S.; Getz, G.; Mesirov, J.P. Integrative genomics viewer. Nat. Biotechnol. 2011, 29, 24–26. [Google Scholar] [CrossRef] [PubMed]
- Loes, D.J.; Fatemi, A.; Melhem, E.R.; Gupte, N.; Bezman, L.; Moser, H.W.; Raymond, G.V. Analysis of MRI patterns aids prediction of progression in X-linked adrenoleukodystrophy. Neurology 2003, 61, 369–374. [Google Scholar] [CrossRef]
- AlShenaifi, J.; Ewida, N.; Anazi, S.; Shamseldin, H.E.; Patel, N.; Maddirevula, S.; Al-Sheddi, T.; AlOmar, R.; Alobeid, E.; Ibrahim, N.; et al. The many faces of peroxisomal disorders: Lessons from a large Arab cohort. Clin. Genet. 2018, 95, 310–319. [Google Scholar] [CrossRef]
- Tran, C.; Hewson, S.; Steinberg, S.J.; Mercimek-Mahmutoglu, S. Late-onset Zellweger Spectrum Disorder caused by PEX6 mutations mimicking X-Linked adrenoleukodystrophy. Pediatr. Neurol. 2014, 51, 262–265. [Google Scholar] [CrossRef]
- Suzuki, Y.; Iai, M.; Kamei, A.; Tanabe, Y.; Chida, S.; Yamaguchi, S.; Zhang, Z.; Takemoto, Y.; Shimozawa, N.; Kondo, N. Peroxisomal acyl CoA oxidase deficiency. J. Pediatr. 2002, 140, 128–130. [Google Scholar] [CrossRef] [PubMed]
- Lines, M.A.; Jobling, R.; Brady, L.; Marshall, C.R.; Scherer, S.W.; Rodriguez, A.R.; Lee, L.; Lang, A.E.; Mestre, T.A.; Wanders, R.J.; et al. Peroxisomal D-bifunctional protein deficiency: Three adults diagnosed by whole-exome sequencing. Neurology 2014, 82, 963–968. [Google Scholar] [CrossRef] [PubMed]
- Barth, P.G.; Gootjes, J.; Bode, H.; Vreken, P.; Majoie, C.B.; Wanders, R.J. Late onset white matter disease in peroxisome biogenesis disorder. Neurology 2001, 57, 1949–1955. [Google Scholar] [CrossRef] [PubMed]
- Theda, C.; Woody, R.C.; Naidu, S.; Moser, A.B.; Moser, H.W. Increased very long chain fatty acids in patients on a ketogenic diet: A cause of diagnostic confusion. J. Pediatr. 1993, 122, 724–726. [Google Scholar] [CrossRef] [PubMed]
- Engelen, M.; Kemp, S.; De Visser, M.; Van Geel, B.M.; Wanders, R.J.A.; Aubourg, P.; Poll-The, B.T. X-linked adrenoleukodystrophy (X-ALD): Clinical presentation and guidelines for diagnosis, follow-up and management. Orphanet. J. Rare Dis. 2012, 7, 51. [Google Scholar] [CrossRef] [PubMed]
- Lionel, A.C.; Costain, G.; Monfared, N.; Walker, S.; Reuter, M.S.; Hosseini, S.M.; Thiruvahindrapuram, B.; Merico, D.; Jobling, R.; Nalpathamkalam, T.; et al. Improved diagnostic yield compared with targeted gene sequencing panels suggests a role for whole-genome sequencing as a first-tier genetic test. Anesthesia Analg. 2018, 20, 435–443. [Google Scholar] [CrossRef] [PubMed]
- Marwaha, S.; Knowles, J.W.; Ashley, E.A. A guide for the diagnosis of rare and undiagnosed disease: Beyond the exome. Genome Med. 2022, 14, 23. [Google Scholar] [CrossRef] [PubMed]
- Schlüter, A.; Rodríguez-Palmero, A.; Verdura, E.; Vélez-Santamaría, V.; Ruiz, M.; Fourcade, S.; Planas-Serra, L.; Martínez, J.J.; Guilera, C.; Girós, M.; et al. Diagnosis of genetic white matter disorders by singleton whole-exome and genome sequencing using interactome-driven prioritization. Neurology 2022, 98, e912–e923. [Google Scholar] [CrossRef]
- Kevelam, S.H.; Steenweg, M.E.; Srivastava, S.; Helman, G.; Naidu, S.; Schiffmann, R.; Blaser, S.; Vanderver, A.; Wolf, N.I.; van der Knaap, M.S. Update on leukodystrophies: A historical perspective and adapted definition. Neuropediatrics 2016, 47, 349–354. [Google Scholar] [CrossRef]
- Wortmann, S.B.; Koolen, D.A.; Smeitink, J.A.; van den Heuvel, L.; Rodenburg, R.J. Whole exome sequencing of suspected mitochondrial patients in clinical practice. J. Inherit. Metab. Dis. 2015, 38, 437–443. [Google Scholar] [CrossRef]
- Kremer, L.S.; Bader, D.M.; Mertes, C.; Kopajtich, R.; Pichler, G.; Iuso, A.; Haack, T.B.; Graf, E.; Schwarzmayr, T.; Terrile, C.; et al. Genetic diagnosis of Mendelian disorders via RNA sequencing. Nat. Commun. 2017, 8, 15824. [Google Scholar] [CrossRef] [PubMed]
- Anna, A.; Monika, G. Splicing mutations in human genetic disorders: Examples, detection, and confirmation. J. Appl. Genet. 2018, 59, 253–268. [Google Scholar] [CrossRef] [PubMed]
- Mucaki, E.J.; Shirley, B.C.; Rogan, P.K. Expression changes confirm genomic variants predicted to result in allele-specific, alternative mRNA splicing. Front. Genet. 2020, 11, 109. [Google Scholar] [CrossRef]
- Frésard, L.; Smail, C.; Ferraro, N.M.; Teran, N.A.; Li, X.; Smith, K.S.; Bonner, D.; Kernohan, K.D.; Marwaha, S.; Zappala, Z.; et al. Identification of rare-disease genes using blood transcriptome sequencing and large control cohorts. Nat. Med. 2019, 25, 911–919. [Google Scholar] [CrossRef] [PubMed]
- Cummings, B.B.; Marshall, J.L.; Tukiainen, T.; Lek, M.; Donkervoort, S.; Foley, A.R.; Bolduc, V.; Waddell, L.B.; Sandaradura, S.A.; O’Grady, G.L.; et al. Improving genetic diagnosis in Mendelian disease with transcriptome sequencing. Sci. Transl. Med. 2017, 9, eaal5209. [Google Scholar] [CrossRef]
- Zhu, F.; Zhang, F.; Hu, L.; Liu, H.; Li, Y. Integrated genome and transcriptome sequencing to solve a neuromuscular puzzle: Miyoshi muscular dystrophy and early onset primary dystonia in siblings of the same family. Front. Genet. 2021, 12, 672906. [Google Scholar] [CrossRef]
- Kallabi, F.; Salem, I.H.; Ben Chehida, A.; Ben Salah, G.; Ben Turkia, H.; Tebib, N.; Keskes, L.; Kamoun, H. Splicing defects in ABCD1 gene leading to both exon skipping and partial intron retention in X-linked adrenoleukodystrophy Tunisian patient. Neurosci. Res. 2015, 97, 7–12. [Google Scholar] [CrossRef]



| PCR | Primer ID | Sequence (5′–3′) | Cycle No. |
|---|---|---|---|
| 1 | 2820-ABCD1-F | AGCACTTGGCAAACAGTGGC | 30 |
| 5038-ABCD1-R | CCCGCGCCCGGCTGCGTGTT | ||
| 2 | 3178-ABCD1-F | TGGTTTCAGTGGGAAAATGC | 30 |
| 4679-ABCD1-R | GCGACAGTCAGACTCCTGTT | ||
| 3 | pcMINI-ABCD1-KpnI-F | GGTAGGTACCGGAGCCCAAAGAAATGGGCT | 30 |
| pcMINI-ABCD1-EcoRI-R | TGCAGAATTCGAGGGGCAAGGCGAGCTCAA | ||
| ABCD1-MUT-F | CATGGCCAGGAAGCCCCCCGCAGGTGGAGC | ||
| ABCD1-MUT-R | GCTCCACCTGCGGGGGGCTTCCTGGCCATG | ||
| 4 | pcMINI-ABCD1-KpnI-F | GGTAGGTACCGGAGCCCAAAGAAATGGGCT | 30 |
| pcMINI-ABCD1-EcoRI-R | TGCAGAATTCGAGGGGCAAGGCGAGCTCAA |
Disclaimer/Publisher’s Note: The statements, opinions and data contained in all publications are solely those of the individual author(s) and contributor(s) and not of MDPI and/or the editor(s). MDPI and/or the editor(s) disclaim responsibility for any injury to people or property resulting from any ideas, methods, instructions or products referred to in the content. |
© 2023 by the authors. Licensee MDPI, Basel, Switzerland. This article is an open access article distributed under the terms and conditions of the Creative Commons Attribution (CC BY) license (https://creativecommons.org/licenses/by/4.0/).
Share and Cite
Zheng, F.; Lin, Z.; Hu, Y.; Shi, X.; Zhao, Q.; Lin, Z. Identification of a Novel Non-Canonical Splice-Site Variant in ABCD1. J. Clin. Med. 2023, 12, 473. https://doi.org/10.3390/jcm12020473
Zheng F, Lin Z, Hu Y, Shi X, Zhao Q, Lin Z. Identification of a Novel Non-Canonical Splice-Site Variant in ABCD1. Journal of Clinical Medicine. 2023; 12(2):473. https://doi.org/10.3390/jcm12020473
Chicago/Turabian StyleZheng, Feixia, Zhongdong Lin, Ying Hu, Xulai Shi, Qianlei Zhao, and Zhenlang Lin. 2023. "Identification of a Novel Non-Canonical Splice-Site Variant in ABCD1" Journal of Clinical Medicine 12, no. 2: 473. https://doi.org/10.3390/jcm12020473
APA StyleZheng, F., Lin, Z., Hu, Y., Shi, X., Zhao, Q., & Lin, Z. (2023). Identification of a Novel Non-Canonical Splice-Site Variant in ABCD1. Journal of Clinical Medicine, 12(2), 473. https://doi.org/10.3390/jcm12020473
