Not Everything Is as It Seems: A Case Series and Overview of Diseases Mimicking Antineutrophil Cytoplasmic Antibody-Associated Vasculitis
Abstract
:1. Introduction
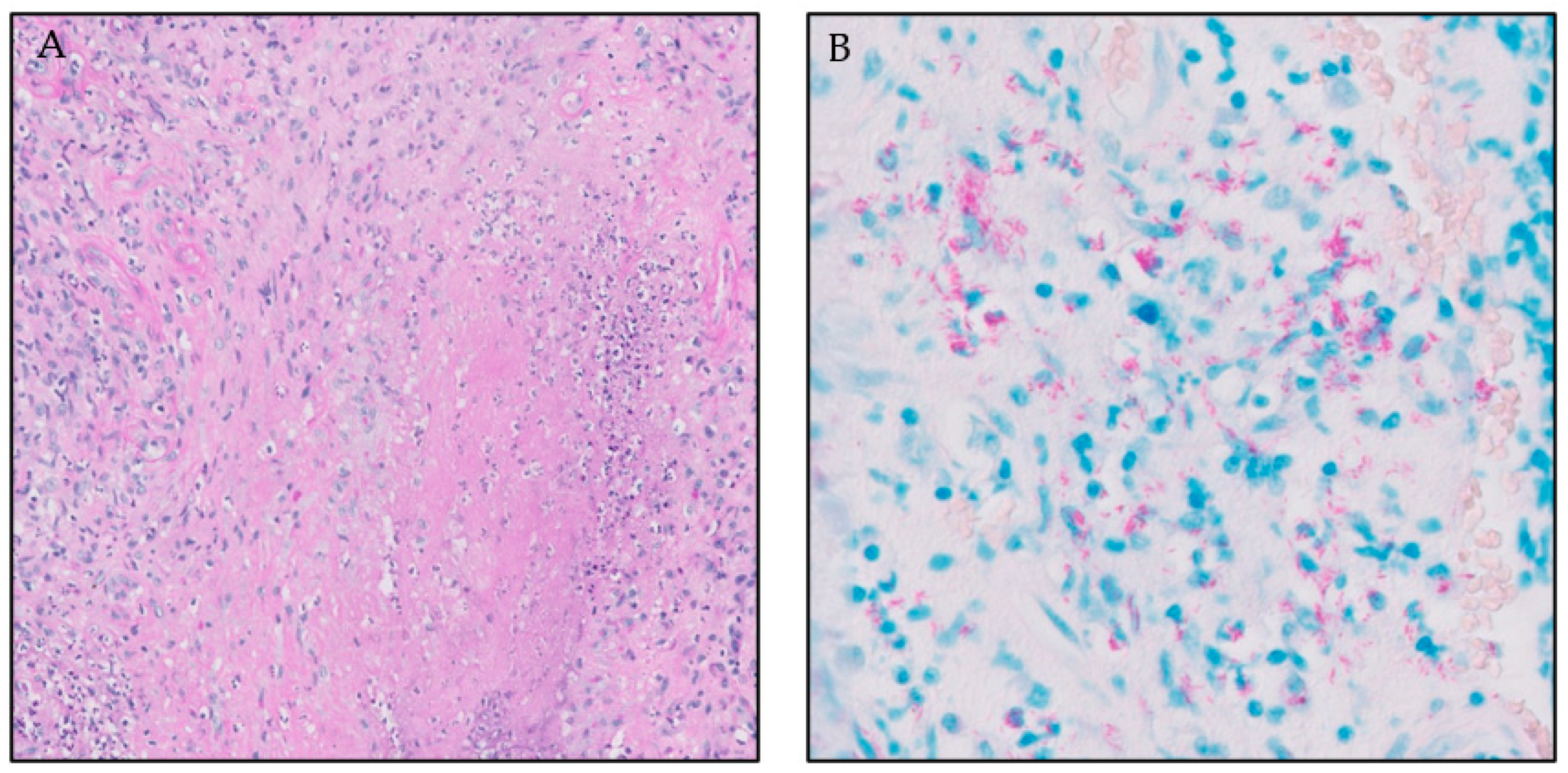
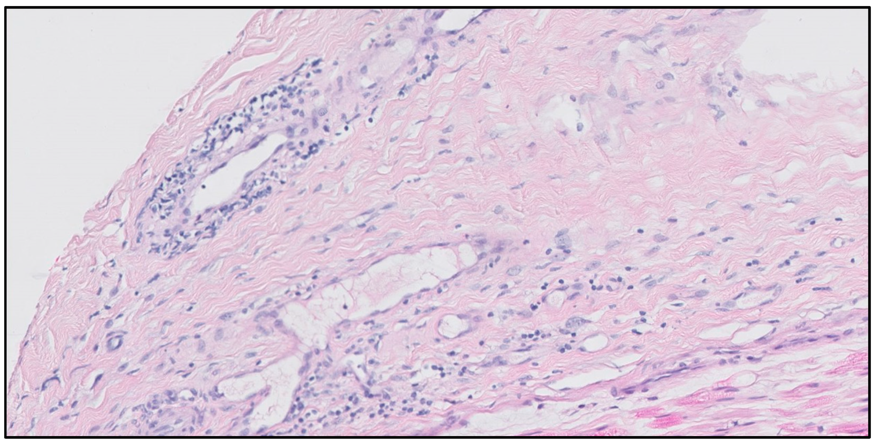
2. Case Series
3. Discussion
Author Contributions
Funding
Institutional Review Board Statement
Informed Consent Statement
Data Availability Statement
Conflicts of Interest
References
- Jennette, J.C. Overview of the 2012 revised International Chapel Hill Consensus Conference nomenclature of vasculitides. Clin. Exp. Nephrol. 2013, 17, 603–606. [Google Scholar] [CrossRef]
- Hilhorst, M.; van Paassen, P.; Cohen Tervaert, J.W. Proteinase 3-ANCA Vasculitis versus Myeloperoxidase-ANCA Vasculitis. J. Am. Soc. Nephrol. 2015, 26, 2314–2327. [Google Scholar] [CrossRef] [PubMed]
- Walton, E.W. Giant-cell granuloma of the respiratory tract (Wegener’s granulomatosis). Br. Med. J. 1958, 2, 265–270. [Google Scholar] [CrossRef] [PubMed]
- Graf, J. Central Nervous System Disease in Antineutrophil Cytoplasmic Antibodies-Associated Vasculitis. Rheum. Dis. Clin. N. Am. 2017, 43, 573–578. [Google Scholar] [CrossRef] [PubMed]
- Pereira, A.; Magrina, J.F.; Magtibay, P.M.; Stamps, B.G.; Munoz-Nunez, E.; Perez-Medina, T. Granulomatosis with Polyangiitis-Mimicking Advanced Gynecological Cancer: A Case Report and Systematic Review of the Literature. J. Pers. Med. 2022, 12, 289. [Google Scholar] [CrossRef]
- Shelton, A.; Parikh, S.; Mims, C.; Quintero-Del-Rio, A. A challenging case of granulomatosis with polyangiitis with cardiac involvement: A rare case report. AME Case Rep. 2023, 7, 8. [Google Scholar] [CrossRef]
- Bossuyt, X.; Cohen Tervaert, J.W.; Arimura, Y.; Blockmans, D.; Flores-Suarez, L.F.; Guillevin, L.; Hellmich, B.; Jayne, D.; Jennette, J.C.; Kallenberg, C.G.M.; et al. Position paper: Revised 2017 international consensus on testing of ANCAs in granulomatosis with polyangiitis and microscopic polyangiitis. Nat. Rev. Rheumatol. 2017, 13, 683–692. [Google Scholar] [CrossRef]
- Suh, J.D.; Ramakrishnan, V.R.; Tajudeen, B.; Reger, C.; Kennedy, D.W.; Chiu, A.G. Identification and treatment of nontuberculous Mycobacterium sinusitis. Am. J. Rhinol. Allergy 2011, 25, 421–424. [Google Scholar] [CrossRef]
- Faruqi, S.; Kastelik, J.A.; McGivern, D.V. Diagnostic pitfall: Mycobacterium avium complex pulmonary infection and positive ANCA. Eur. J. Intern. Med. 2008, 19, 216–218. [Google Scholar] [CrossRef]
- Huan, G.; Yang, G.; Xiao-Yu, Q.; Jiancheng, X.; Yan-Qing, S. Antineutrophil cytoplasmic antibodies in Chinese patients with tuberculosis. Rev. Soc. Bras. Med. Trop. 2018, 51, 475–478. [Google Scholar] [CrossRef] [PubMed]
- Lyons, P.A.; Rayner, T.F.; Trivedi, S.; Holle, J.U.; Watts, R.A.; Jayne, D.R.; Baslund, B.; Brenchley, P.; Bruchfeld, A.; Chaudhry, A.N.; et al. Genetically distinct subsets within ANCA-associated vasculitis. N. Engl. J. Med. 2012, 367, 214–223. [Google Scholar] [CrossRef] [PubMed]
- Chen, Y.P.; Cheng, H.; Rui, H.L.; Dong, H.R. Cryoglobulinemic vasculitis and glomerulonephritis: Concerns in clinical practice. Chin. Med. J. 2019, 132, 1723–1732. [Google Scholar] [CrossRef] [PubMed]
- Khwaja, J.; D’Sa, S.; Minnema, M.C.; Kersten, M.J.; Wechalekar, A.; Vos, J.M. IgM monoclonal gammopathies of clinical significance: Diagnosis and management. Haematologica 2022, 107, 2037–2050. [Google Scholar] [CrossRef] [PubMed]
- Junek, M.L.; Zhao, L.; Garner, S.; Cuthbertson, D.; Pagnoux, C.; Koening, C.L.; Langford, C.A.; McAlear, C.A.; Monach, P.A.; Moreland, L.W.; et al. Ocular manifestations of ANCA-associated vasculitis. Rheumatology 2023, 62, 2517–2524. [Google Scholar] [CrossRef] [PubMed]
- Terroso, G.; Aleixo, J.; Bernardes, M.; Mariz, E.; Fonseca, E.; Costa, L. Nasal type extranodal NK/T cell lymphoma diagnosed in a patient with rheumatoid arthritis under methotrexate. Acta Reumatol. Port. 2014, 39, 77–81. [Google Scholar]
- Robson, J.C.; Grayson, P.C.; Ponte, C.; Suppiah, R.; Craven, A.; Judge, A.; Khalid, S.; Hutchings, A.; Watts, R.A.; Markel, P.A.; et al. 2022 American College of Rheumatology/European Alliance of Associations for Rheumatology classification criteria for granulomatosis with polyangiitis. Ann. Rheum. Dis. 2022, 81, 315–320. [Google Scholar] [CrossRef]
- Suppiah, R.; Robson, J.C.; Grayson, P.C.; Ponte, C.; Craven, A.; Khalid, S.; Judge, A.; Hutchings, A.; Merkel, P.A.; Luqmani, R.A.; et al. 2022 American College of Rheumatology/European Alliance of Associations for Rheumatology classification criteria for microscopic polyangiitis. Ann. Rheum. Dis. 2022, 81, 321–326. [Google Scholar] [CrossRef]
- Grayson, P.C.; Ponte, C.; Suppiah, R.; Robson, J.C.; Craven, A.; Judge, A.; Khalid, S.; Hutchings, A.; Luqmani, R.A.; Watts, R.A.; et al. 2022 American College of Rheumatology/European Alliance of Associations for Rheumatology Classification Criteria for Eosinophilic Granulomatosis with Polyangiitis. Ann. Rheum. Dis. 2022, 81, 309–314. [Google Scholar] [CrossRef]
- Zarka, F.; Veillette, C.; Makhzoum, J.P. A Review of Primary Vasculitis Mimickers Based on the Chapel Hill Consensus Classification. Int. J. Rheumatol. 2020, 2020, 8392542. [Google Scholar] [CrossRef]
- Maningding, E.; Kermani, T.A. Mimics of vasculitis. Rheumatology 2021, 60, 34–47. [Google Scholar] [CrossRef] [PubMed]
- Van der Made, C.I.; Potjewijd, J.; Hoogstins, A.; Willems, H.P.J.; Kwakernaak, A.J.; de Sevaux, R.G.L.; van Daele, P.L.A.; Simons, A.; Heijstek, M.; Beck, D.B.; et al. Adult-onset autoinflammation caused by somatic mutations in UBA1: A Dutch case series of patients with VEXAS. J. Allergy Clin. Immunol. 2022, 149, 432–439.e4. [Google Scholar] [CrossRef] [PubMed]
- Choi, H.K.; Lamprecht, P.; Niles, J.L.; Gross, W.L.; Merkel, P.A. Subacute bacterial endocarditis with positive cytoplasmic antineutrophil cytoplasmic antibodies and anti-proteinase 3 antibodies. Arthritis Rheum. 2000, 43, 226–231. [Google Scholar] [CrossRef] [PubMed]
- Esnault, V.L.; Jayne, D.R.; Keogan, M.T.; Brownlee, A.A.; Testa, A.; Lecarrer, D.; Brown, D.L.; Lockwood, C.M. Anti-neutrophil cytoplasm antibodies in patients with monoclonal gammopathies. J. Clin. Lab. Immunol. 1990, 32, 153–159. [Google Scholar]
- Choi, H.K.; Merkel, P.A.; Walker, A.M.; Niles, J.L. Drug-associated antineutrophil cytoplasmic antibody-positive vasculitis: Prevalence among patients with high titers of antimyeloperoxidase antibodies. Arthritis Rheum. 2000, 43, 405–413. [Google Scholar] [CrossRef] [PubMed]
- Houben, E.; Bax, W.A.; van Dam, B.; Slieker, W.A.T.; Verhave, G.; Frerichs, F.C.P.; van Eijk, I.C.; Boersma, W.G.; de Kuyper, G.T.M.; Penne, E.L. Diagnosing ANCA-associated vasculitis in ANCA positive patients: A retrospective analysis on the role of clinical symptoms and the ANCA titre. Medicine 2016, 95, e5096. [Google Scholar] [CrossRef] [PubMed]



| AAV-Mimicking Disease | Overlapping Features with AAV (Besides Constitutional Symptoms, Systemic Inflammation and/or Anemia) | Distinguishing Features from AAV |
|---|---|---|
| Primary small- (and medium-) vessel vasculitis | ||
| Cryoglobulinemic vasculitis | Skin, nerve and kidney involvement, sometimes artralgia | No eye involvement, rarely lung involvement. Vasomotor symptoms, circulating cryoglobulines, decreased c4, PAS-positive pseudothrombi and/or complement deposition in histology |
| Polyarteriitis nodosa | Skin, nerve and kidney involvement | No active urinary sediment, negative serology. Abdominal and/or testicular pain, involvement of medium-sized vessels in histology or imaging (corkscrew phenomenon) |
| Goodpasture syndrome | Kidney and lung involvement | Soley kidney and lung involvement. Positive anti-GBM antibodies (can be false-negative and overlap with AAV exists, i.e., double positivity) |
| IgA vasculitis | Skin, kidney and joint involvement | No neurological involvement. Restricted IgA deposition in histology using immunofluorescence |
| Hypocomplementary urticarial vasculitis (syndrome) | Skin, kidney and joint involvement | Clinical urticarial skin lesions. Abdominal symptoms, decreased c3/c4 and anti-c1q antibodies can be present |
| Behcet’s disease | Small-vessel involvment | Large-vessels involvement, both arterial and venous. Oralgenital ulceration, pseudofolliculitis and uveitis |
| Vasculitis in setting of a systemic auto-immune or auto-inflammatory disease | ||
| IgG4-related disease | Kidney involvement, pseudotumor orbita and pachymeningitis. Note: overlap with AAV exists | No true granulomatous inflammation, granuloma or necrotizing vasculitis. Salivary gland involvement, pancreatitis, retroperitoneal fibrosis, increased serum IgG4, histologic evidence of IgG4-rich lymphoplasma-cytic infiltrate, storiform fibrosis and obliterative flebitis |
| Systemic lupus erythematosus | Vasculitic skin lesions and kidney involvement | Mostly normal or modest increased inflammatory markers. Vasculitic lung involvement rare. Presence of SLE-specific clinical and laboratory features (e.g., ANA, anti-dsDNA, decreased c3/c4, hemolysis, thrombocytopenia, etc.) |
| Sjogren’s disease | Vasculitic skin involvement, nerve and kidney involvement | Vasculitic lung involvement rare. Salivary gland involvement, decreased c3/c4 and IgM-RF |
| Sarcoidosis | Skin, lung, kidney and joint involvement | Uveitis, myocardial involvement and hypercalciaemia. Histologic evidence of non-caseating granulomas |
| VEXAS syndrome | Scleritis, tracheal involvement and nephritis reported | Macrocytic anemia, vacuolisation of myeloid lineage in bone marrow and UBA1 mutation |
| Other diseases | ||
| Infection | ||
| Sepsis with multiorgan failure | Lung infiltrates and kidney involvement | Positive blood cultures and improvement with antibiotic treatement |
| Endocarditis | Vasculo-occlussive lesions and kidney involvement | Positive blood cultures or infectious disease serology and echocardiographic heart-valve abnormalities |
| Tuberculous mycobacterial infection | (Cavitating) lung involvement | Positive Ziehl–Neelsen staining or PCR for tuberculous mycobacteria |
| Non-tuberculous mycobacterial infection | Sinonasal crusting and discharge and sinonasal bone destruction | Positive Ziehl–Neelsen staining or PCR for non-tuberculous mycobacteria |
| Malignancy | ||
| Solid malignancies, such as lung cancer and gynecological cancer | Depends on the organ affected by the malignancy | Imaging and histopathological investigation |
| Wide range of different lymphomas | Occasionally lung or kidney involvement | Imaging and histopathological investigation and immunophenotyping and molecular analysis |
| Miscellaneous | ||
| Cocaine abuse | ENT symptoms including nasal septum perforation | History of cocaine use, positive drug screen, often a p-ANCA pattern in indirect immunofluorescence (mostly associated with positive MPO-ANCA in ELISA) and positive anti-elastase antibodies |
| Thrombotic microangiopathy | Nerve and kidney involvement | Trombocytopenia, Coombs-negatieve hemolysis with fragmentocytes |
| Cardiac myxoma | Vascular occlusions | Echocardiography of the heart |
| Calciphylaxis | Skin ulcerations, livedo and necrosis | Occuring in patients with renal replacement therapy, severe pain, livedo localised predominantly on abdominal skin and genitals and calciumphosphate depositions in biopsy |
| Antiphospholipid syndrome | Purpura, livedo and vasculo-occlusive lesions | Positive antiphospholipid antibodies (note: absence does not rule out seronegative (catastrophic) antiphospholipid syndrome |
Disclaimer/Publisher’s Note: The statements, opinions and data contained in all publications are solely those of the individual author(s) and contributor(s) and not of MDPI and/or the editor(s). MDPI and/or the editor(s) disclaim responsibility for any injury to people or property resulting from any ideas, methods, instructions or products referred to in the content. |
© 2023 by the authors. Licensee MDPI, Basel, Switzerland. This article is an open access article distributed under the terms and conditions of the Creative Commons Attribution (CC BY) license (https://creativecommons.org/licenses/by/4.0/).
Share and Cite
Houben, E.; de Groot, P.F.; Vegting, Y.; Vos, J.M.I.; Nur, E.; Hilhorst, M.L.; Hak, A.E.; Kwakernaak, A.J. Not Everything Is as It Seems: A Case Series and Overview of Diseases Mimicking Antineutrophil Cytoplasmic Antibody-Associated Vasculitis. J. Clin. Med. 2023, 12, 6144. https://doi.org/10.3390/jcm12196144
Houben E, de Groot PF, Vegting Y, Vos JMI, Nur E, Hilhorst ML, Hak AE, Kwakernaak AJ. Not Everything Is as It Seems: A Case Series and Overview of Diseases Mimicking Antineutrophil Cytoplasmic Antibody-Associated Vasculitis. Journal of Clinical Medicine. 2023; 12(19):6144. https://doi.org/10.3390/jcm12196144
Chicago/Turabian StyleHouben, Eline, Pieter F. de Groot, Yosta Vegting, Josephine M. I. Vos, Erfan Nur, Marc L. Hilhorst, A. E. (Liesbeth) Hak, and Arjan J. Kwakernaak. 2023. "Not Everything Is as It Seems: A Case Series and Overview of Diseases Mimicking Antineutrophil Cytoplasmic Antibody-Associated Vasculitis" Journal of Clinical Medicine 12, no. 19: 6144. https://doi.org/10.3390/jcm12196144
APA StyleHouben, E., de Groot, P. F., Vegting, Y., Vos, J. M. I., Nur, E., Hilhorst, M. L., Hak, A. E., & Kwakernaak, A. J. (2023). Not Everything Is as It Seems: A Case Series and Overview of Diseases Mimicking Antineutrophil Cytoplasmic Antibody-Associated Vasculitis. Journal of Clinical Medicine, 12(19), 6144. https://doi.org/10.3390/jcm12196144

