Highlighting Fibroblasts Activation in Fibrosis: The State-of-The-Art Fibroblast Activation Protein Inhibitor PET Imaging in Cardiovascular Diseases
Abstract
:1. Introduction
2. Fibrosis in Cardiovascular Diseases
2.1. Fibrosis in Cardiac Diseases
2.2. Fibrosis in Vascular Diseases
3. Targeting FAP
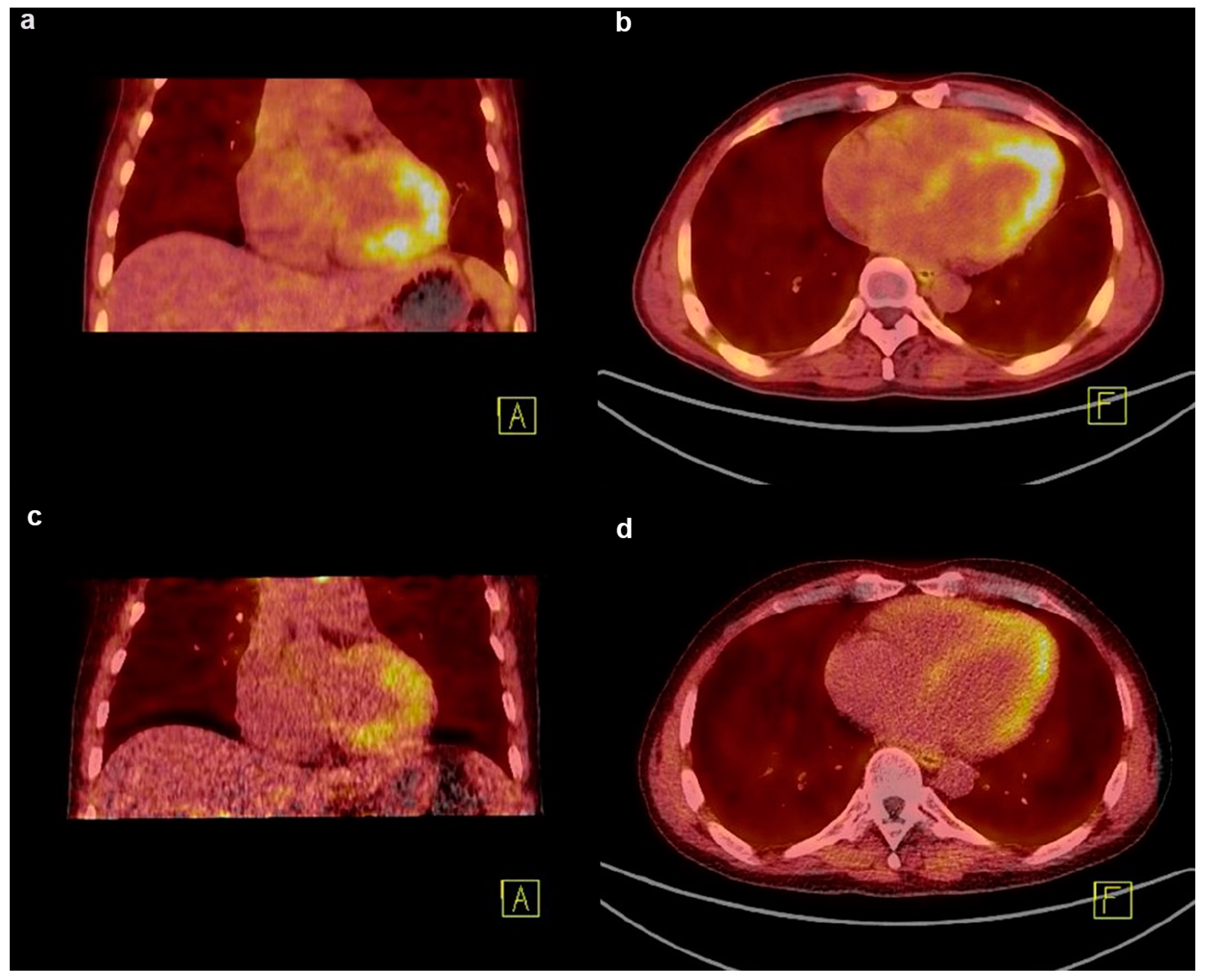
3.1. FAP in Cardiovascular Diseases
3.2. FAPI Radiopharmaceuticals
3.2.1. Development of FAPI Tracer
3.2.2. Biodistribution of FAPI Tracer
4. Application of FAPI PET Imaging in Cardiovascular Diseases
4.1. Preliminary Evidence
4.2. Early Detection
4.2.1. Myocardial Infarction
4.2.2. Heart Failure
4.2.3. Secondary Myocardial Injury
4.2.4. Vascular Diseases
4.3. Risk Stratification
4.3.1. Coronary Artery Disease
4.3.2. Cardiomyopathy
4.3.3. Atherosclerosis
4.3.4. Arteritis
4.3.5. Chronic Thromboembolic Pulmonary Hypertension
4.4. Response Evaluation
4.5. Prediction of the Evolution of LV Function
5. Multimodal Imaging
5.1. FAPI vs. CMR
5.2. FAPI vs. [68Ga]Ga-DOTATATE
5.3. FAPI vs. [13N]NH3
6. Future Directions
7. Conclusions
Author Contributions
Funding
Institutional Review Board Statement
Informed Consent Statement
Data Availability Statement
Conflicts of Interest
References
- Avery, D.; Govindaraju, P.; Jacob, M.; Todd, L.; Monslow, J.; Puré, E. Extracellular matrix directs phenotypic heterogeneity of activated fibroblasts. Matrix Biol. 2018, 67, 90–106. [Google Scholar] [CrossRef] [PubMed]
- Nagaraju, C.K.; Robinson, E.L.; Abdesselem, M.; Trenson, S.; Dries, E.; Gilbert, G.; Janssens, S.; Van Cleemput, J.; Rega, F.; Meyns, B.; et al. Myofibroblast phenotype and reversibility of fibrosis in patients with end-stage heart failure. J. Am. Coll. Cardiol. 2019, 73, 2267–2282. [Google Scholar] [CrossRef] [PubMed]
- Rurik, J.G.; Tombácz, I.; Yadegari, A.; Méndez Fernández, P.O.; Shewale, S.V.; Li, L.; Kimura, T.; Soliman, O.Y.; Papp, T.E.; Tam, Y.K.; et al. CAR T cells produced in vivo to treat cardiac injury. Science 2022, 375, 91–96. [Google Scholar] [CrossRef] [PubMed]
- Frangogiannis, N.G. Cardiac fibrosis. Cardiovasc. Res. 2021, 117, 1450–1488. [Google Scholar] [CrossRef]
- Bing, R.; Dweck, M.R. Myocardial fibrosis: Why image, how to image and clinical implications. Heart 2019, 105, 1832–1840. [Google Scholar] [CrossRef]
- Lisi, M.; Cameli, M.; Mandoli, G.E.; Pastore, M.C.; Righini, F.M.; D’Ascenzi, F.; Focardi, M.; Rubboli, A.; Mondillo, S.; Henein, M.Y. Detection of myocardial fibrosis by speckle-tracking echocardiography: From prediction to clinical applications. Heart Fail. Rev. 2022, 27, 1857–1867. [Google Scholar] [CrossRef] [PubMed]
- Raina, S.; Lensing, S.Y.; Nairooz, R.S.; Pothineni, N.V.; Hakeem, A.; Bhatti, S.; Pandey, T. Prognostic value of late gadolinium enhancement CMR in systemic amyloidosis. JACC Cardiovasc. Imaging 2016, 9, 1267–1277. [Google Scholar] [CrossRef] [PubMed]
- Wang, L.; Yan, C.; Zhao, S.; Fang, W. Comparison of 99mTc-MIBI SPECT/18F-FDG PET imaging and cardiac magnetic resonance imaging in patients with idiopathic dilated cardiomyopathy: Assessment of cardiac function and myocardial injury. Clin. Nucl. Med. 2012, 37, 1163–1169. [Google Scholar] [CrossRef]
- Liu, M.; López de Juan Abad, B.; Cheng, K. Cardiac fibrosis: Myofibroblast-mediated pathological regulation and drug delivery strategies. Adv. Drug Deliv. Rev. 2021, 173, 504–519. [Google Scholar] [CrossRef]
- Toms, J.; Kogler, J.; Maschauer, S.; Daniel, C.; Schmidkonz, C.; Kuwert, T.; Prante, O. Targeting fibroblast activation protein: Radiosynthesis and preclinical evaluation of an 18F-labeled FAP inhibitor. J. Nucl. Med. 2020, 61, 1806–1813. [Google Scholar] [CrossRef]
- Kratochwil, C.; Flechsig, P.; Lindner, T.; Abderrahim, L.; Altmann, A.; Mier, W.; Adeberg, S.; Rathke, H.; Röhrich, M.; Winter, H.; et al. 68Ga-FAPI PET/CT: Tracer uptake in 28 different kinds of cancer. J. Nucl. Med. 2019, 60, 801–805. [Google Scholar] [CrossRef] [PubMed]
- Siebermair, J.; Köhler, M.I.; Kupusovic, J.; Nekolla, S.G.; Kessler, L.; Ferdinandus, J.; Guberina, N.; Stuschke, M.; Grafe, H.; Siveke, J.T.; et al. Cardiac fibroblast activation detected by Ga-68 FAPI PET imaging as a potential novel biomarker of cardiac injury/remodeling. J. Nucl. Cardiol. 2021, 28, 812–821. [Google Scholar] [CrossRef]
- Heckmann, M.B.; Reinhardt, F.; Finke, D.; Katus, H.A.; Haberkorn, U.; Leuschner, F.; Lehmann, L.H. Relationship between cardiac fibroblast activation protein activity by positron emission tomography and cardiovascular disease. Circ. Cardiovasc. Imaging 2020, 13, e010628. [Google Scholar] [CrossRef] [PubMed]
- Ivey, M.J.; Tallquist, M.D. Defining the cardiac fibroblast. Circ. J. 2016, 80, 2269–2276. [Google Scholar] [CrossRef]
- Gibb, A.A.; Lazaropoulos, M.P.; Elrod, J.W. Myofibroblasts and fibrosis: Mitochondrial and metabolic control of cellular differentiation. Circ. Res. 2020, 127, 427–447. [Google Scholar] [CrossRef] [PubMed]
- Fu, X.; Khalil, H.; Kanisicak, O.; Boyer, J.G.; Vagnozzi, R.J.; Maliken, B.D.; Sargent, M.A.; Prasad, V.; Valiente-Alandi, I.; Blaxall, B.C. Specialized fibroblast differentiated states underlie scar formation in the infarcted mouse heart. J. Clin. Investig. 2018, 128, 2127–2143. [Google Scholar] [CrossRef] [PubMed]
- Humeres, C.; Frangogiannis, N.G. Fibroblasts in the infarcted, remodeling, and failing heart. JACC Basic Transl. Sci. 2019, 4, 449–467. [Google Scholar] [CrossRef] [PubMed]
- Prabhu, S.D.; Frangogiannis, N.G. The biological basis for cardiac repair after myocardial infarction: From inflammation to fibrosis. Circ. Res. 2016, 119, 91–112. [Google Scholar] [CrossRef]
- Bowers, S.L.; Banerjee, I.; Baudino, T.A. The extracellular matrix: At the center of it all. J. Mol. Cell. Cardiol. 2010, 48, 474–482. [Google Scholar] [CrossRef]
- Travers, J.G.; Kamal, F.A.; Robbins, J.; Yutzey, K.E.; Blaxall, B.C. Cardiac fibrosis: The fibroblast awakens. Circ. Res. 2016, 118, 1021–1040. [Google Scholar] [CrossRef] [PubMed]
- Mewton, N.; Liu, C.Y.; Croisille, P.; Bluemke, D.; Lima, J.A. Assessment of myocardial fibrosis with cardiovascular magnetic resonance. J. Am. Coll. Cardiol. 2011, 57, 891–903. [Google Scholar] [CrossRef]
- Everett, R.J.; Tastet, L.; Clavel, M.A.; Chin, C.W.; Capoulade, R.; Vassiliou, V.S.; Kwiecinski, J.; Gomez, M.; van Beek, E.J.; White, A.C.; et al. Progression of hypertrophy and myocardial fibrosis in aortic stenosis: A multicenter cardiac magnetic resonance study. Circ. Cardiovasc. Imaging 2018, 11, e007451. [Google Scholar] [CrossRef]
- Treibel, T.A.; Badiani, S.; Lloyd, G.; Moon, J.C. Multimodality imaging markers of adverse myocardial remodeling in aortic stenosis. JACC Cardiovasc. Imaging 2019, 12, 1532–1548. [Google Scholar] [CrossRef] [PubMed]
- Zou, F.; Li, Y.; Zhang, S.; Zhang, J. DP1 (prostaglandin d2 receptor 1) activation protects against vascular remodeling and vascular smooth muscle cell transition to myofibroblasts in angiotensin II-induced hypertension in mice. Hypertension 2022, 79, 1203–1215. [Google Scholar] [CrossRef] [PubMed]
- Hinz, B.; Phan, S.H.; Thannickal, V.J.; Galli, A.; Bochaton-Piallat, M.L.; Gabbiani, G. The myofibroblast: One function, multiple origins. Am. J. Pathol. 2007, 170, 1807–1816. [Google Scholar] [CrossRef] [PubMed]
- Kreuger, J.; Phillipson, M. Targeting vascular and leukocyte communication in angiogenesis, inflammation and fibrosis. Nat. Rev. Drug Discov. 2016, 15, 125–142. [Google Scholar] [CrossRef]
- Ma, Y.; Iyer, R.P.; Jung, M.; Czubryt, M.P.; Lindsey, M.L. Cardiac fibroblast activation post-myocardial infarction: Current knowledge gaps. Trends Pharmacol. Sci. 2017, 38, 448–458. [Google Scholar] [CrossRef] [PubMed]
- Hamson, E.J.; Keane, F.M.; Tholen, S.; Schilling, O.; Gorrell, M.D. Understanding fibroblast activation protein (FAP): Substrates, activities, expression and targeting for cancer therapy. Proteom. Clin. Appl. 2014, 8, 454–463. [Google Scholar] [CrossRef] [PubMed]
- Christiansen, V.J.; Jackson, K.W.; Lee, K.N.; McKee, P.A. Effect of fibroblast activation protein and alpha2-antiplasmin cleaving enzyme on collagen types I, III, and IV. Arch. Biochem. Biophys. 2007, 457, 177–186. [Google Scholar] [CrossRef]
- Levy, M.T.; McCaughan, G.W.; Abbott, C.A.; Park, J.E.; Cunningham, A.M.; Müller, E.; Rettig, W.J.; Gorrell, M.D. Fibroblast activation protein: A cell surface dipeptidyl peptidase and gelatinase expressed by stellate cells at the tissue remodelling interface in human cirrhosis. Hepatology 1999, 29, 1768–1778. [Google Scholar] [CrossRef]
- Dunshee, D.R.; Bainbridge, T.W.; Kljavin, N.M.; Zavala-Solorio, J.; Schroeder, A.C.; Chan, R.; Corpuz, R.; Wong, M.; Zhou, W.; Deshmukh, G.; et al. Fibroblast activation protein cleaves and inactivates fibroblast growth factor 21. J. Biol. Chem. 2016, 291, 5986–5996. [Google Scholar] [CrossRef]
- Lee, K.N.; Jackson, K.W.; Christiansen, V.J.; Chung, K.H.; McKee, P.A. A novel plasma proteinase potentiates alpha2-antiplasmin inhibition of fibrin digestion. Blood 2004, 103, 3783–3788. [Google Scholar] [CrossRef] [PubMed]
- Lajiness, J.D.; Conway, S.J. Origin, development, and differentiation of cardiac fibroblasts. J. Mol. Cell. Cardiol. 2014, 70, 2–8. [Google Scholar] [CrossRef]
- Tillmanns, J.; Hoffmann, D.; Habbaba, Y.; Schmitto, J.D.; Sedding, D.; Fraccarollo, D.; Galuppo, P.; Bauersachs, J. Fibroblast activation protein alpha expression identifies activated fibroblasts after myocardial infarction. J. Mol. Cell. Cardiol. 2015, 87, 194–203. [Google Scholar] [CrossRef] [PubMed]
- Aghajanian, H.; Kimura, T.; Rurik, J.G.; Hancock, A.S.; Leibowitz, M.S.; Li, L.; Scholler, J.; Monslow, J.; Lo, A.; Han, W.; et al. Targeting cardiac fibrosis with engineered T cells. Nature 2019, 573, 430–433. [Google Scholar] [CrossRef] [PubMed]
- Stein, S.; Weber, J.; Nusser-Stein, S.; Pahla, J.; Zhang, H.E.; Mohammed, S.A.; Oppi, S.; Gaul, D.S.; Paneni, F.; Tailleux, A.; et al. Deletion of fibroblast activation protein provides atheroprotection. Cardiovasc. Res. 2021, 117, 1060–1069. [Google Scholar] [CrossRef] [PubMed]
- Welt, S.; Divgi, C.R.; Scott, A.M.; Garin-Chesa, P.; Finn, R.D.; Graham, M.; Carswell, E.A.; Cohen, A.; Larson, S.M.; Old, L.J. Antibody targeting in metastatic colon cancer: A phase I study of monoclonal antibody f19 against a cell-surface protein of reactive tumor stromal fibroblasts. J. Clin. Oncol. 1994, 12, 1193–1203. [Google Scholar] [CrossRef] [PubMed]
- Scott, A.M.; Wiseman, G.; Welt, S.; Adjei, A.; Lee, F.T.; Hopkins, W.; Divgi, C.R.; Hanson, L.H.; Mitchell, P.; Gansen, D.N.; et al. A phase I dose-escalation study of sibrotuzumab in patients with advanced or metastatic fibroblast activation protein-positive cancer. Clin. Cancer Res. 2003, 9, 1639–1647. [Google Scholar] [PubMed]
- Zboralski, D.; Osterkamp, F.; Simmons, A.D.; Bredenbeck, A.; Schumann, A.; Paschke, M.; Haase, C.; von Hacht, J.L.; Kwan, T.; Lin, K.K.; et al. Preclinical evaluation of FAP-2286, a peptide-targeted radionuclide therapy (PTRT) to fibroblast activation protein alpha (FAP). Ann. Oncol. 2020, 31, S488. [Google Scholar] [CrossRef]
- Jansen, K.; Heirbaut, L.; Verkerk, R.; Cheng, J.D.; Joossens, J.; Cos, P.; Maes, L.; Lambeir, A.M.; De Meester, I.; Augustyns, K.; et al. Extended structure-activity relationship and pharmacokinetic investigation of (4-quinolinoyl)glycyl-2-cyanopyrrolidine inhibitors of fibroblast activation protein (FAP). J. Med. Chem. 2014, 57, 3053–3074. [Google Scholar] [CrossRef]
- Lindner, T.; Loktev, A.; Altmann, A.; Giesel, F.; Kratochwil, C.; Debus, J.; Jäger, D.; Mier, W.; Haberkorn, U. Development of quinoline-based theranostic ligands for the targeting of fibroblast activation protein. J. Nucl. Med. 2018, 59, 1415–1422. [Google Scholar] [CrossRef]
- Watabe, T.; Liu, Y.; Kaneda-Nakashima, K.; Shirakami, Y.; Lindner, T.; Ooe, K.; Toyoshima, A.; Nagata, K.; Shimosegawa, E.; Haberkorn, U.; et al. Theranostics targeting fibroblast activation protein in the tumor stroma: 64Cu- and 225Ac-labeled FAPI-04 in pancreatic cancer xenograft mouse models. J. Nucl. Med. 2020, 61, 563–569. [Google Scholar] [CrossRef]
- Loktev, A.; Lindner, T.; Burger, E.M.; Altmann, A.; Giesel, F.; Kratochwil, C.; Debus, J.; Marmé, F.; Jäger, D.; Mier, W.; et al. Development of fibroblast activation protein-targeted radiotracers with improved tumor retention. J. Nucl. Med. 2019, 60, 1421–1429. [Google Scholar] [CrossRef] [PubMed]
- Varasteh, Z.; Mohanta, S.; Robu, S.; Braeuer, M.; Li, Y.; Omidvari, N.; Topping, G.; Sun, T.; Nekolla, S.G.; Richter, A.; et al. Molecular imaging of fibroblast activity after myocardial infarction using a 68Ga-labeled fibroblast activation protein inhibitor, FAPI-04. J. Nucl. Med. 2019, 60, 1743–1749. [Google Scholar] [CrossRef] [PubMed]
- Zhu, W.; Guo, F.; Wang, Y.; Ding, H.; Huo, L. 68Ga-FAPI-04 accumulation in myocardial infarction in a patient with neuroendocrine carcinoma. Clin. Nucl. Med. 2020, 45, 1020–1022. [Google Scholar] [CrossRef]
- Kessler, L.; Kupusovic, J.; Ferdinandus, J.; Hirmas, N.; Umutlu, L.; Zarrad, F.; Nader, M.; Fendler, W.P.; Totzeck, M.; Wakili, R.; et al. Visualization of fibroblast activation after myocardial infarction using 68Ga-FAPI PET. Clin. Nucl. Med. 2021, 46, 807–813. [Google Scholar] [CrossRef]
- Qiao, P.; Wang, Y.; Zhu, K.; Zheng, D.; Song, Y.; Jiang, D.; Qin, C.; Lan, X. Noninvasive monitoring of reparative fibrosis after myocardial infarction in rats using 68Ga-FAPI-04 PET/CT. Mol. Pharm. 2022, 19, 4171–4178. [Google Scholar] [CrossRef]
- Notohamiprodjo, S.; Nekolla, S.G.; Robu, S.; Villagran Asiares, A.; Kupatt, C.; Ibrahim, T.; Laugwitz, K.L.; Makowski, M.R.; Schwaiger, M.; Weber, W.A.; et al. Imaging of cardiac fibroblast activation in a patient after acute myocardial infarction using 68Ga-FAPI-04. J. Nucl. Cardiol. 2022, 29, 2254–2261. [Google Scholar] [CrossRef] [PubMed]
- Yuan, T.; Wang, X. 68Ga-FAPI PET/MRI in coronary heart disease. J. Nucl. Cardiol. 2022, 29, 3608–3610. [Google Scholar] [CrossRef]
- Diekmann, J.; Koenig, T.; Thackeray, J.T.; Derlin, T.; Czerner, C.; Neuser, J.; Ross, T.L.; Schäfer, A.; Tillmanns, J.; Bauersachs, J.; et al. Cardiac fibroblast activation in patients early after acute myocardial infarction: Integration with MR tissue characterization and subsequent functional outcome. J. Nucl. Med. 2022, 63, 1415–1423. [Google Scholar] [CrossRef]
- Xie, B.; Wang, J.; Xi, X.Y.; Guo, X.; Chen, B.X.; Li, L.; Hua, C.; Zhao, S.; Su, P.; Chen, M.; et al. Fibroblast activation protein imaging in reperfused ST-elevation myocardial infarction: Comparison with cardiac magnetic resonance imaging. Eur. J. Nucl. Med. Mol. Imaging 2022, 49, 2786–2797. [Google Scholar] [CrossRef] [PubMed]
- Zhang, M.; Quan, W.; Zhu, T.; Feng, S.; Huang, X.; Meng, H.; Du, R.; Zhu, Z.; Qu, X.; Li, P.; et al. [68Ga]Ga-DOTA-FAPI-04 PET/MR in patients with acute myocardial infarction: Potential role of predicting left ventricular remodeling. Eur. J. Nucl. Med. Mol. Imaging 2023, 50, 839–848. [Google Scholar] [CrossRef] [PubMed]
- Lyu, Z.; Han, W.; Zhao, H.; Jiao, Y.; Xu, P.; Wang, Y.; Shen, Q.; Yang, S.; Zhao, C.; Tian, L.; et al. A clinical study on relationship between visualization of cardiac fibroblast activation protein activity by Al18F-NOTA-FAPI-04 positron emission tomography and cardiovascular disease. Front. Cardiovasc. Med. 2022, 9, 921724. [Google Scholar] [CrossRef]
- Wang, L.; Zhang, Z.; Zhao, Z.; Yan, C.; Fang, W. 68Ga-FAPI right heart uptake in a patient with idiopathic pulmonary arterial hypertension. J. Nucl. Cardiol. 2022, 29, 1475–1477. [Google Scholar] [CrossRef] [PubMed]
- Gu, Y.; Han, K.; Zhang, Z.; Zhao, Z.; Yan, C.; Wang, L.; Fang, W. 68Ga-FAPI PET/CT for molecular assessment of fibroblast activation in right heart in pulmonary arterial hypertension: A single-center, pilot study. J. Nucl. Cardiol. 2023, 30, 495–503. [Google Scholar] [CrossRef] [PubMed]
- Lin, K.; Chen, X.; Xue, Q.; Yao, S.; Miao, W. Diffuse uptake of [68Ga]Ga-FAPI in the left heart in a patient with hypertensive heart disease by PET/CT. J. Nucl. Cardiol. 2022, 29, 3596–3598. [Google Scholar] [CrossRef]
- Treutlein, C.; Distler, J.H.; Tascilar, K.; Fakhouri, S.C.; Györfi, A.H.; Atzinger, A.; Matei, A.E.; Dees, C.; Büttner-Herold, M.; Kuwert, T.; et al. Assessment of myocardial fibrosis in patients with systemic sclerosis using [68Ga]Ga-FAPI-04-PET-CT. Eur. J. Nucl. Med. Mol. Imaging 2023, 50, 1629–1635. [Google Scholar] [CrossRef]
- Si, J.; Zhang, X.; Chen, N.; Sun, F.; Du, P.; Li, Z.; Tian, D.; Sun, X.; Sun, G.; Cong, T.; et al. Case report: Multimodal imaging guides the management of an eosinophilic leukemia patient with eosinophilic myocarditis and intracardiac thrombus. Front. Cardiovasc. Med. 2022, 9, 903323. [Google Scholar] [CrossRef]
- Wang, G.; Yang, Q.; Wu, S.; Xu, X.; Li, X.; Liang, S.; Pan, G.; Zuo, C.; Zhao, X.; Cheng, C.; et al. Molecular imaging of fibroblast activity in pressure overload heart failure using [68Ga]Ga-FAPI-04 PET/CT. Eur. J. Nucl. Med. Mol. Imaging 2023, 50, 465–474. [Google Scholar] [CrossRef]
- Song, W.; Zhang, X.; He, S.; Gai, Y.; Qin, C.; Hu, F.; Wang, Y.; Wang, Z.; Bai, P.; Wang, J.; et al. 68Ga-FAPI PET visualize heart failure: From mechanism to clinic. Eur. J. Nucl. Med. Mol. Imaging 2023, 50, 475–485. [Google Scholar] [CrossRef]
- Totzeck, M.; Siebermair, J.; Rassaf, T.; Rischpler, C. Cardiac fibroblast activation detected by positron emission tomography/computed tomography as a possible sign of cardiotoxicity. Eur. Heart J. 2020, 41, 1060. [Google Scholar] [CrossRef] [PubMed]
- Wei, Y.; Sun, Y.; Liu, J.; Zhang, G.; Qin, X.; Xu, S.; Wang, S.; Tao, Y.; Pei, J.; Yu, J. Early detection of radiation-induced myocardial damage by [18F]AlF-NOTA-FAPI-04 PET/CT imaging. Eur. J. Nucl. Med. Mol. Imaging 2023, 50, 453–464. [Google Scholar] [CrossRef] [PubMed]
- Finke, D.; Heckmann, M.B.; Herpel, E.; Katus, H.A.; Haberkorn, U.; Leuschner, F.; Lehmann, L.H. Early detection of checkpoint inhibitor-associated myocarditis using 68Ga-FAPI PET/CT. Front. Cardiovasc. Med. 2021, 8, 614997. [Google Scholar] [CrossRef] [PubMed]
- Niu, N.; Huo, L.; Zhang, S.; Liu, Y.; Li, X. Immune checkpoint inhibitor-associated cardiotoxicity detected by 68Ga-DOTATATE PET/CT and 68Ga-FAPI PET/CT. Eur. Heart J. Cardiovasc. Imaging 2022, 23, e123. [Google Scholar] [CrossRef] [PubMed]
- Zhang, X.; Song, W.; Qin, C.; Lan, X. Different displays of 13N-NH3 myocardial perfusion and cardiac 68Ga-FAPI PET in immune checkpoint inhibitor-associated myocarditis-induced heart failure. Eur. J. Nucl. Med. Mol. Imaging 2023, 50, 964–965. [Google Scholar] [CrossRef]
- Kupusovic, J.; Kessler, L.; Nekolla, S.G.; Riesinger, L.; Weber, M.M.; Ferdinandus, J.; Kochhäuser, S.; Rassaf, T.; Wakili, R.; Rischpler, C.; et al. Visualization of thermal damage using 68Ga-FAPI-PET/CT after pulmonary vein isolation. Eur. J. Nucl. Med. Mol. Imaging 2022, 49, 1553–1559. [Google Scholar] [CrossRef] [PubMed]
- Guo, W.; Chen, H. 68Ga FAPI PET/MRI in cardiac amyloidosis. Radiology 2022, 303, 51. [Google Scholar] [CrossRef]
- Wang, X.; Guo, Y.; Gao, Y.; Ren, C.; Huang, Z.; Liu, B.; Li, X.; Chang, L.; Shen, K.; Ding, H.; et al. Feasibility of 68Ga-labeled fibroblast activation protein inhibitor PET/CT in light-chain cardiac amyloidosis. JACC Cardiovasc. Imaging 2022, 15, 1960–1970. [Google Scholar] [CrossRef]
- Wang, L.; Wang, Y.; Wang, J.; Xiao, M.; Xi, X.Y.; Chen, B.X.; Su, Y.; Zhang, Y.; Xie, B.; Dong, Z.; et al. Myocardial activity at 18F-FAPI PET/CT and risk for sudden cardiac death in hypertrophic cardiomyopathy. Radiology 2023, 306, e221052. [Google Scholar] [CrossRef]
- Lin, M.; Xue, Q.; You, X.; Yao, S.; Miao, W. Cerebral venous sinus thrombosis caused by neuro-behçet disease accidentally detected by 68Ga-FAPI PET/CT. Clin. Nucl. Med. 2021, 46, 1028–1029. [Google Scholar] [CrossRef]
- Wu, S.; Pang, Y.; Zhao, L.; Zhao, L.; Chen, H. 68Ga-FAPI PET/CT versus 18F-FDG PET/CT for the evaluation of disease activity in takayasu arteritis. Clin. Nucl. Med. 2021, 46, 847–849. [Google Scholar] [CrossRef]
- Hu, Z.; Yang, X.; You, Z.; Chen, Y.; Liu, H. Increased 68Ga-FAPI uptake in active atherosclerotic plaque. Clin. Nucl. Med. 2022, 47, 545–546. [Google Scholar] [CrossRef] [PubMed]
- Yang, Q.; Zhang, Z.; Li, M.; Xu, W.H.; Huo, L. Increased 68Ga-FAPI uptake of symptomatic intracranial atherosclerotic plaque revealed by PET/MR. Clin. Nucl. Med. 2022, 47, 469–470. [Google Scholar] [CrossRef]
- Qi, N.; Wang, H.; Wang, H.; Ren, S.; You, Z.; Chen, X.; Guan, Y.; Xie, F.; Hua, F.; Zhao, J. Non-tumoral uptake of 68Ga-FAPI-04 PET: A retrospective study. Front. Oncol. 2022, 12, 989595. [Google Scholar] [CrossRef] [PubMed]
- Wu, M.; Ning, J.; Li, J.; Lai, Z.; Shi, X.; Xing, H.; Hacker, M.; Liu, B.; Huo, L.; Li, X. Feasibility of in vivo imaging of fibroblast activation protein in human arterial walls. J. Nucl. Med. 2022, 63, 948–951. [Google Scholar] [CrossRef]
- Kosmala, A.; Serfling, S.E.; Michalski, K.; Lindner, T.; Schirbel, A.; Higuchi, T.; Hartrampf, P.E.; Derlin, T.; Buck, A.K.; Weich, A.; et al. Molecular imaging of arterial fibroblast activation protein: Association with calcified plaque burden and cardiovascular risk factors. Eur. J. Nucl. Med. Mol. Imaging 2023, 50, 3011–3021. [Google Scholar] [CrossRef]
- Gong, J.; Chen, B.; Xing, H.; Huo, L.; Yang, Y.; Yang, M. Pulmonary artery imaging with 68Ga-FAPI-04 in patients with chronic thromboembolic pulmonary hypertension. J. Nucl. Cardiol. 2023, 30, 1166–1172. [Google Scholar] [CrossRef] [PubMed]
- Zhao, L.; Pang, Y.; Sun, L.; Lin, Q.; Chen, H. Extranodal Rosai-Dorfman disease involving pulmonary artery detected by 68Ga-FAPI PET/CT and fused 68Ga-FAPI PET/MRI. Eur. J. Nucl. Med. Mol. Imaging 2023, 50, 2565–2566. [Google Scholar] [CrossRef]
- Mona, C.E.; Benz, M.R.; Hikmat, F.; Grogan, T.R.; Lueckerath, K.; Razmaria, A.; Riahi, R.; Slavik, R.; Girgis, M.D.; Carlucci, G.; et al. Correlation of 68Ga-FAPi-46 PET biodistribution with FAP expression by immunohistochemistry in patients with solid cancers: Interim analysis of a prospective translational exploratory study. J. Nucl. Med. 2022, 63, 1021–1026. [Google Scholar] [CrossRef]
- Hu, K.; Wang, L.; Wu, H.; Huang, S.; Tian, Y.; Wang, Q.; Xiao, C.; Han, Y.; Tang, G. [18F]FAPI-42 PET imaging in cancer patients: Optimal acquisition time, biodistribution, and comparison with [68Ga]Ga-FAPI-04. Eur. J. Nucl. Med. Mol. Imaging 2022, 49, 2833–2843. [Google Scholar] [CrossRef]
- Wei, Y.; Zheng, J.; Ma, L.; Liu, X.; Xu, S.; Wang, S.; Pei, J.; Cheng, K.; Yuan, S.; Yu, J. [18F]AlF-NOTA-FAPI-04: FAP-targeting specificity, biodistribution, and PET/CT imaging of various cancers. Eur. J. Nucl. Med. Mol. Imaging 2022, 49, 2761–2773. [Google Scholar] [CrossRef]
- Glatting, F.M.; Hoppner, J.; Liew, D.P.; van Genabith, A.; Spektor, A.M.; Steinbach, L.; Hubert, A.; Kratochwil, C.; Giesel, F.L.; Dendl, K.; et al. Repetitive early 68Ga-FAPI PET acquisition comparing 68Ga-FAPI-02, 68Ga-FAPI-46, and 68Ga-FAPI-74: Methodologic and diagnostic implications for malignant, inflammatory/reactive, and degenerative lesions. J. Nucl. Med. 2022, 63, 1844–1851. [Google Scholar] [CrossRef]
- Giesel, F.L.; Kratochwil, C.; Schlittenhardt, J.; Dendl, K.; Eiber, M.; Staudinger, F.; Kessler, L.; Fendler, W.P.; Lindner, T.; Koerber, S.A.; et al. Head-to-head intra-individual comparison of biodistribution and tumor uptake of 68Ga-FAPI and 18F-FDG PET/CT in cancer patients. Eur. J. Nucl. Med. Mol. Imaging 2021, 48, 4377–4385. [Google Scholar] [CrossRef] [PubMed]
- Maruyama, K.; Imanaka-Yoshida, K. The pathogenesis of cardiac fibrosis: A review of recent progress. Int. J. Mol. Sci. 2022, 23, 2617. [Google Scholar] [CrossRef]
- McDonagh, T.A.; Metra, M.; Adamo, M.; Gardner, R.S.; Baumbach, A.; Böhm, M.; Burri, H.; Butler, J.; Čelutkienė, J.; Chioncel, O.; et al. 2021 ESC guidelines for the diagnosis and treatment of acute and chronic heart failure: Developed by the task force for the diagnosis and treatment of acute and chronic heart failure of the european society of cardiology (ESC). Eur. J. Heart Fail. 2022, 24, 4–131. [Google Scholar]
- GBD 2017 Disease and Injury Incidence and Prevalence Collaborators. Global, regional, and national incidence, prevalence, and years lived with disability for 354 diseases and injuries for 195 countries and territories, 1990–2017: A systematic analysis for the global burden of disease study 2017. Lancet 2018, 392, 1789–1858.
- Kong, P.; Christia, P.; Frangogiannis, N.G. The pathogenesis of cardiac fibrosis. Cell. Mol. Life Sci. 2014, 71, 549–574. [Google Scholar] [CrossRef]
- Aragam, K.G.; Jiang, T.; Goel, A.; Kanoni, S.; Wolford, B.N.; Atri, D.S.; Weeks, E.M.; Wang, M.; Hindy, G.; Zhou, W.; et al. Discovery and systematic characterization of risk variants and genes for coronary artery disease in over a million participants. Nat. Genet. 2022, 54, 1803–1815. [Google Scholar] [CrossRef] [PubMed]
- Frangogiannis, N.G. Chemokines in the ischemic myocardium: From inflammation to fibrosis. Inflamm. Res. 2004, 53, 585–595. [Google Scholar] [CrossRef]
- Panza, J.A.; Chrzanowski, L.; Bonow, R.O. Myocardial viability assessment before surgical revascularization in ischemic cardiomyopathy: JACC review topic of the week. J. Am. Coll. Cardiol. 2021, 78, 1068–1077. [Google Scholar] [CrossRef]
- McNally, E.M.; Barefield, D.Y.; Puckelwartz, M.J. The genetic landscape of cardiomyopathy and its role in heart failure. Cell Metab. 2015, 21, 174–182. [Google Scholar] [CrossRef]
- Olivotto, I.; Girolami, F.; Sciagrà, R.; Ackerman, M.J.; Sotgia, B.; Bos, J.M.; Nistri, S.; Sgalambro, A.; Grifoni, C.; Torricelli, F.; et al. Microvascular function is selectively impaired in patients with hypertrophic cardiomyopathy and sarcomere myofilament gene mutations. J. Am. Coll. Cardiol. 2011, 58, 839–848. [Google Scholar] [CrossRef]
- Zhu, F.; Li, P.; Sheng, Y. Treatment of myocardial interstitial fibrosis in pathological myocardial hypertrophy. Front. Pharmacol. 2022, 13, 1004181. [Google Scholar] [CrossRef] [PubMed]
- Shirani, J.; Pick, R.; Roberts, W.C.; Maron, B.J. Morphology and significance of the left ventricular collagen network in young patients with hypertrophic cardiomyopathy and sudden cardiac death. J. Am. Coll. Cardiol. 2000, 35, 36–44. [Google Scholar] [CrossRef] [PubMed]
- Dorbala, S. Fibroblast activation: A novel mechanism of heart failure in light chain cardiac amyloidosis? JACC Cardiovasc. Imaging 2022, 15, 1971–1973. [Google Scholar] [CrossRef]
- Fontana, M.; Ćorović, A.; Scully, P.; Moon, J.C. Myocardial amyloidosis: The exemplar interstitial disease. JACC Cardiovasc. Imaging 2019, 12, 2345–2356. [Google Scholar] [CrossRef]
- Giesel, F.L.; Kratochwil, C.; Lindner, T.; Marschalek, M.M.; Loktev, A.; Lehnert, W.; Debus, J.; Jäger, D.; Flechsig, P.; Altmann, A.; et al. 68Ga-FAPI PET/CT: Biodistribution and preliminary dosimetry estimate of 2 DOTA-containing FAP-targeting agents in patients with various cancers. J. Nucl. Med. 2019, 60, 386–392. [Google Scholar] [CrossRef]
- Björkegren, J.L.; Lusis, A.J. Atherosclerosis: Recent developments. Cell 2022, 185, 1630–1645. [Google Scholar] [CrossRef]
- Brokopp, C.E.; Schoenauer, R.; Richards, P.; Bauer, S.; Lohmann, C.; Emmert, M.Y.; Weber, B.; Winnik, S.; Aikawa, E.; Graves, K.; et al. Fibroblast activation protein is induced by inflammation and degrades type I collagen in thin-cap fibroatheromata. Eur. Heart J. 2011, 32, 2713–2722. [Google Scholar] [CrossRef]
- Meletta, R.; Müller Herde, A.; Chiotellis, A.; Isa, M.; Rancic, Z.; Borel, N.; Ametamey, S.M.; Krämer, S.D.; Schibli, R. Evaluation of the radiolabeled boronic acid-based FAP inhibitor MIP-1232 for atherosclerotic plaque imaging. Molecules 2015, 20, 2081–2099. [Google Scholar] [CrossRef]
- Esatoglu, S.N.; Hatemi, G. Takayasu arteritis. Curr. Opin. Rheumatol. 2022, 34, 18–24. [Google Scholar] [CrossRef]
- Tombetti, E.; Mason, J.C. Takayasu arteritis: Advanced understanding is leading to new horizons. Rheumatology 2019, 58, 206–219. [Google Scholar] [CrossRef] [PubMed]
- Papamatheakis, D.G.; Poch, D.S.; Fernandes, T.M.; Kerr, K.M.; Kim, N.H.; Fedullo, P.F. Chronic thromboembolic pulmonary hypertension: JACC focus seminar. J. Am. Coll. Cardiol. 2020, 76, 2155–2169. [Google Scholar] [CrossRef] [PubMed]
- Bochenek, M.L.; Rosinus, N.S.; Lankeit, M.; Hobohm, L.; Bremmer, F.; Schütz, E.; Klok, F.A.; Horke, S.; Wiedenroth, C.B.; Münzel, T.; et al. From thrombosis to fibrosis in chronic thromboembolic pulmonary hypertension. Thromb. Haemost. 2017, 117, 769–783. [Google Scholar] [CrossRef]
- Morsia, E.; Reichard, K.; Pardanani, A.; Tefferi, A.; Gangat, N. WHO defined chronic eosinophilic leukemia, not otherwise specified (CEL, NOS): A contemporary series from the mayo clinic. Am. J. Hematol. 2020, 95, E172–E174. [Google Scholar] [CrossRef] [PubMed]
- Al Ali, A.M.; Straatman, L.P.; Allard, M.F.; Ignaszewski, A.P. Eosinophilic myocarditis: Case series and review of literature. Can. J. Cardiol. 2006, 22, 1233–1237. [Google Scholar] [CrossRef]
- Curtis, C.; Ogbogu, P. Hypereosinophilic syndrome. Clin. Rev. Allergy Immunol. 2016, 50, 240–251. [Google Scholar] [CrossRef]
- González, A.; Schelbert, E.B.; Díez, J.; Butler, J. Myocardial interstitial fibrosis in heart failure: Biological and translational perspectives. J. Am. Coll. Cardiol. 2018, 71, 1696–1706. [Google Scholar] [CrossRef]
- Schaer, J.C.; Waser, B.; Mengod, G.; Reubi, J.C. Somatostatin receptor subtypes sst1, sst2, sst3 and sst5 expression in human pituitary, gastroentero-pancreatic and mammary tumors: Comparison of mRNA analysis with receptor autoradiography. Int. J. Cancer 1997, 70, 530–537. [Google Scholar] [CrossRef]
- Zamora, V.; Cabanne, A.; Salanova, R.; Bestani, C.; Domenichini, E.; Marmissolle, F.; Giacomi, N.; O’Connor, J.; Méndez, G.; Roca, E.; et al. Immunohistochemical expression of somatostatin receptors in digestive endocrine tumours. Dig. Liver Dis. 2010, 42, 220–225. [Google Scholar] [CrossRef]
- Rominger, A.; Saam, T.; Vogl, E.; Ubleis, C.; la Fougère, C.; Förster, S.; Haug, A.; Cumming, P.; Reiser, M.F.; Nikolaou, K.; et al. In vivo imaging of macrophage activity in the coronary arteries using 68Ga-DOTATATE PET/CT: Correlation with coronary calcium burden and risk factors. J. Nucl. Med. 2010, 51, 193–197. [Google Scholar] [CrossRef]
- Pedersen, S.F.; Sandholt, B.V.; Keller, S.H.; Hansen, A.E.; Clemmensen, A.E.; Sillesen, H.; Højgaard, L.; Ripa, R.S.; Kjær, A. 64Cu-DOTATATE PET/MRI for detection of activated macrophages in carotid atherosclerotic plaques: Studies in patients undergoing endarterectomy. Arterioscler. Thromb. Vasc. Biol. 2015, 35, 1696–1703. [Google Scholar] [CrossRef]
- Toner, Y.C.; Ghotbi, A.A.; Naidu, S.; Sakurai, K.; van Leent, M.M.T.; Jordan, S.; Ordikhani, F.; Amadori, L.; Sofias, A.M.; Fisher, E.L.; et al. Systematically evaluating DOTATATE and FDG as PET immuno-imaging tracers of cardiovascular inflammation. Sci. Rep. 2022, 12, 6185. [Google Scholar] [CrossRef]
- Tarkin, J.M.; Calcagno, C.; Dweck, M.R.; Evans, N.R.; Chowdhury, M.M.; Gopalan, D.; Newby, D.E.; Fayad, Z.A.; Bennett, M.R.; Rudd, J.H. 68Ga-DOTATATE PET identifies residual myocardial inflammation and bone marrow activation after myocardial infarction. J. Am. Coll. Cardiol. 2019, 73, 2489–2491. [Google Scholar] [CrossRef]
- Boursier, C.; Chevalier, E.; Varlot, J.; Filippetti, L.; Huttin, O.; Roch, V.; Imbert, L.; Albuisson, E.; Claudin, M.; Mandry, D.; et al. Detection of acute myocarditis by ECG-triggered PET imaging of somatostatin receptors compared to cardiac magnetic resonance: Preliminary results. J. Nucl. Cardiol. 2023, 30, 1043–1049. [Google Scholar] [CrossRef]
- Schelbert, H.R.; Phelps, M.E.; Huang, S.C.; MacDonald, N.S.; Hansen, H.; Selin, C.; Kuhl, D.E. N-13 ammonia as an indicator of myocardial blood flow. Circulation 1981, 63, 1259–1272. [Google Scholar] [CrossRef]
- Kuhle, W.G.; Porenta, G.; Huang, S.C.; Buxton, D.; Gambhir, S.S.; Hansen, H.; Phelps, M.E.; Schelbert, H.R. Quantification of regional myocardial blood flow using 13N-ammonia and reoriented dynamic positron emission tomographic imaging. Circulation 1992, 86, 1004–1017. [Google Scholar] [CrossRef]
- Hutchins, G.D.; Schwaiger, M.; Rosenspire, K.C.; Krivokapich, J.; Schelbert, H.; Kuhl, D.E. Noninvasive quantification of regional blood flow in the human heart using N-13 ammonia and dynamic positron emission tomographic imaging. J. Am. Coll. Cardiol. 1990, 15, 1032–1042. [Google Scholar] [CrossRef]
- Xin, L.; Gao, J.; Zheng, Z.; Chen, Y.; Lv, S.; Zhao, Z.; Yu, C.; Yang, X.; Zhang, R. Fibroblast Activation Protein-α as a Target in the Bench-to-Bedside Diagnosis and Treatment of Tumors: A Narrative Review. Front. Oncol. 2021, 11, 648187. [Google Scholar] [CrossRef]






| Diseases | Year | Radiopharmaceutical | Participants | Study Design | Authors | Summary | Ref. |
|---|---|---|---|---|---|---|---|
| Myocardial infarction | 2019 | [68Ga]Ga-FAPI-04 | - | Pre-clinical | Varasteh et al. | [68Ga]Ga-FAPI-04 imaging of activated fibroblasts after MI have diagnostic and prognostic value for clinical management of patients after MI. | [44] |
| 2020 | [68Ga]Ga-FAPI-04 | 1 | Case | Zhu et al. | [68Ga]Ga-FAPI-04 accumulation in the inferior wall of LV was incidentally found and diagnosed as myocardial infarction in a patient with neuroendocrine carcinoma. | [45] | |
| 2021 | [68Ga]Ga-FAPI-46 | 10 | Retrospective | Kessler et al. | The [68Ga]Ga-FAPI-46 uptake area coincided well with identified culprit lesion by coronary angiography. Fibroblast activation volume was strong correlated with LV function and peak creatine kinase. | [46] | |
| 2022 | [68Ga]Ga-FAPI-04 | - | Pre-clinical | Qiao et al. | The activated fibroblasts could be traced by [68Ga]Ga-FAPI-04 PET in the early stage after acute MI, evaluating the degree of reparative fibrosis rather than reactive fibrosis. | [47] | |
| 2022 | [68Ga]Ga-FAPI-04 | 5 | Case | Notohamiprodjo et al. | The uptake of [68Ga]Ga-FAPI-04 extends beyond the actual infarcted area and overestimates the infarct size as confirmed by follow-up CMR. | [48] | |
| 2022 | [68Ga]Ga-FAPI | 1 | Case | Yuan et al. | The [68Ga]Ga-FAPI uptake was in good concordance with abnormal CMR signals and high FDG uptake in a post-MI patient, showing its potential to evaluate activated fibroblast and cardiac remodelling after MI. | [49] | |
| 2022 | [68Ga]Ga-FAPI-46 | 35 | Retrospective | Diekmann et al. | The uptake of [68Ga]Ga-FAPI-46 mismatched the characteristics of myocardial tissue unveiled by CMR; the FAPI PET signal was feasible to predict the progression of ventricular dysfunction. | [50] | |
| 2022 | [18F]AlF-NOTA-FAPI | 28 | Prospective | Xie et al. | The [18F]AlF-NOTA-FAPI PET showed advantages over CMR in detecting involved myocardium in reperfused STEMI, and was correlated with follow-up LVEF and myocardial damage. | [51] | |
| 2023 | [68Ga]Ga-DOTA-FAPI-04 | 26 | Prospective | Zhang et al. | The [68Ga]Ga-DOTA-FAPI-04 uptake volume in the LV remodelling group after STEMI was bigger than that of the non-LV remodelling group at baseline, which significantly predicted late LV remodelling. | [52] | |
| CAD | 2022 | [18F]AlF-NOTA-FAPI-04 | 21 | Retrospective | Lyu et al. | The [18F]AlF-NOTA-FAPI-04 uptake was correlated with cardiovascular risk factors and the distribution of coronary plaques. | [53] |
| CAD and heart failure | 2021 | [68Ga]Ga-FAPI-04 | 32 | Retrospective | Siebermair et al. | There was significant correlation of CAD, age, and left ventricular ejection fraction (LVEF) with remote [68Ga]Ga-FAPI-04 uptake, especially LVEF. | [12] |
| Heart failure | 2022 | [68Ga]Ga-FAPI | 1 | Case | Wang et al. | The [68Ga]Ga-FAPI uptake was observed in the right heart in a patient with pulmonary arterial hypertension for the first time. | [54] |
| 2022 | [68Ga]Ga-FAPI-04 | 16 | Prospective | Gu et al. | There was significant positive correlation between cardiac [68Ga]Ga-FAPI-04 uptake and parameters of pulmonary hemodynamics and cardiac function in pulmonary arterial hypertension patients. | [55] | |
| 2022 | [68Ga]Ga-FAPI | 1 | Case | Lin et al. | This case indicated hypertensive heart disease, which is characterised by myocyte disarray and fibrosis, had active [68Ga]Ga-FAPI uptake. | [56] | |
| 2022 | [68Ga]Ga-FAPI-04 | 14 | Prospective | Treutlein et al. | Dynamic changes of [68Ga]Ga-FAPI-04 uptake were associated with changes in the activity of systemic sclerosis-related myocardial fibrosis. | [57] | |
| 2022 | [18F]F-FAPI | 1 | Case | Si et al. | [18F]F-FAPI PET achieved the visualisation of activated fibroblast at early stage of EM, and may aid tailored antifibrotic therapy toward EM patients. | [58] | |
| 2023 | [68Ga]Ga-FAPI-04 | - | Pre-clinical | Wang et al. | The activated fibroblasts in the heart and liver after pressure overload can be monitored by [68Ga]Ga-FAPI-04 PET/CT, which reveals an early fibrotic link in cardio–liver interactions and could better predict nonischemic heart failure prognosis. | [59] | |
| 2023 | [68Ga]Ga-FAPI | - | Pre-clinical | Song et al. | As heart failure progresses, [68Ga]Ga-FAPI uptake is high in the early stage and then gradually decreases. Active myocardial FAP expression is followed by myocardial remodelling and fibrosis. | [60] | |
| Chemotherapy-induced myocardial injury | 2020 | [68Ga]Ga-FAPI | 1 | case | Totzeck et al. | [68Ga]Ga-FAPI PET/CT may be a promising modality to early detect myocardial damage after chemotherapy for cardiotoxicity prevention. | [61] |
| 2020 | [68Ga]Ga-FAPI | 229 | Retrospective | Heckmann et al. | High [68Ga]Ga-FAPI signal intensities correlate with cardiovascular risk factors and metabolic disease. | [13] | |
| Radiation-induced myocardial injury | 2023 | [18F]AlF-NOTA-FAPI-04 | -/13 | Pre-clinical and retrospective | Wei et al. | [18F]AlF-NOTA-FAPI-04 PET tracer can be applied in the detection of radiation-induced myocardial damage, which obtained earlier exhibition than the decrease in LVEF. | [62] |
| Immune checkpoint inhibitors (ICIs)-associated myocardial injury | 2021 | [68Ga]Ga-FAPI | 26 | Retrospective | Finke et al. | [68Ga]Ga-FAPI PET/CT may be used to identify ICI-associated myocarditis patients at an early stage. Moreover, FAPI PET/CT also contributes to cardiac risk stratification besides biomarker, ECG, and echocardiography when integrated into cancer stage diagnostics. | [63] |
| 2022 | [68Ga]Ga-FAPI-04 | 1 | Case | Niu et al. | The mismatched image between [68Ga]Ga-DOTATATE PET and [68Ga]Ga-FAPI-04 PET revealed multiple cardiac molecular injuries induced by ICIs. | [64] | |
| 2023 | [68Ga]Ga-FAPI | 1 | Case | Zhang et al. | The areas of myocardial injury and fibrosis caused by ICI-associated myocarditis may be inconsistent. [68Ga]Ga-FAPI PET imaging may be used to detect ICI-associated myocarditis-induced heart failure, serving as indirect evidence of fibroblast activation. | [65] | |
| Iatrogenic myocardial injury | 2022 | [68Ga]Ga-FAPI-46 | 12 | Retrospective | Kupusovic et al. | [68Ga]Ga-FAPI-46 PET/CT visualised fibroblast activation of thermal damage after pulmonary vein isolation. Cryoballoon ablation seems to cause more pronounced fibroblast activation following tissue injury than radiofrequency. | [66] |
| Cardiac amyloidosis | 2022 | [68Ga]Ga-FAPI | 1 | Case | Guo et al. | [68Ga]Ga-FAPI PET showed diffuse and inhomogeneous accumulation in the thickened LV myocardium in a patient suspected with cardiac amyloidosis, indicating its potential in early detection of cardiac amyloidosis. | [67] |
| 2022 | [68Ga]Ga-FAPI-04 | 30 | Prospective | Wang et al. | [68Ga]Ga-FAPI-04 PET/CT is feasible in detecting myocardial fibroblast activation in patients with systemic amyloid light chain cardiac amyloidosis in correlation with myocardial remodelling. It might provide complementary information on cardiac molecular characterisation and staging of disease. | [68] | |
| HCM | 2023 | [18F]AlF-NOTA-FAPI | 72 | Prospective | Wang et al. | [18F]AlF-NOTA-FAPI PET/CT imaging indicated intense and heterogeneous activity in hypertrophic cardiomyopathy, and FAPI uptake was associated with 5-year risk of sudden cardiac death. | [69] |
| Thrombosis | 2021 | [68Ga]Ga-FAPI | 1 | Case | Lin et al. | [68Ga]Ga-FAPI PET/CT showed multiple increased accumulation in the cerebral venous sinus and diagnosed as neuro-Behçet disease finally. | [70] |
| Arteritis | 2021 | [68Ga]Ga-FAPI | 1 | Case | Wu et al. | This case presented an example where [68Ga]Ga-FAPI outperformed [18F]F-FDG for detecting active inflammation of Takayasu arteritis. Therefore, [68Ga]Ga-FAPI PET/CT may allow monitoring of disease activity. | [71] |
| Atherosclerosis | 2022 | [68Ga]Ga-FAPI | 1 | Case | Hu et al. | The case presented an increased [68Ga]Ga-FAPI uptake was observed in active coronary atherosclerotic plaque and the esophageal cancer with esophagitis. | [72] |
| 2022 | [68Ga]Ga-FAPI | 1 | Case | Yang et al. | This case showed [68Ga]Ga-FAPI-avid plaque of basilar artery accounting for the embolic events resulting in downstream infarction. Thus, FAPI imaging may have potential for detection of vulnerable plaques. | [73] | |
| 2022 | [68Ga]Ga-FAPI-04 | 137 | Retrospective | Qi et al. | The retrospective study included 392 non-tumoural uptake regions in [68Ga]Ga-FAPI-04 PET images. Ten regions with high FAPI uptake were confirmed as atherosclerosis. | [74] | |
| 2022 | [68Ga]Ga-FAPI-04 | 41 | Retrospective | Wu et al. | Increased expression of FAP in fibrous caps may contribute to progression of atherosclerotic plaques. [68Ga]Ga-FAPI-04 PET/CT may be potential for imaging fibroblastic activation in the arterial wall. | [75] | |
| 2023 | [68Ga]Ga-FAPI-04 | 69 | Retrospective | Kosmala et al. | [68Ga]Ga-FAPI-04 PET revealed arterial wall lesions and correlated with marked calcification and overall calcified plaque burden, but is not consistently associated with cardiovascular risk. | [76] | |
| CTEPH | 2022 | [68Ga]Ga-FAPI-04 | 26 | Prospective | Gong et al. | [68Ga]Ga-FAPI-04 demonstrated the potential for visualising fibroblast activation in the pulmonary artery wall, and the tracer uptake was positively correlated with pulmonary arterial diastolic pressure. | [77] |
| Secondary vascular injury | 2022 | [68Ga]Ga-FAPI | 1 | Case | Zhao et al. | [68Ga]Ga-FAPI PET/CT may outperform [18F]F-FDG PET/CT in the early detection of vascular lesions with a high target-to-background ratio. | [78] |
Disclaimer/Publisher’s Note: The statements, opinions and data contained in all publications are solely those of the individual author(s) and contributor(s) and not of MDPI and/or the editor(s). MDPI and/or the editor(s) disclaim responsibility for any injury to people or property resulting from any ideas, methods, instructions or products referred to in the content. |
© 2023 by the authors. Licensee MDPI, Basel, Switzerland. This article is an open access article distributed under the terms and conditions of the Creative Commons Attribution (CC BY) license (https://creativecommons.org/licenses/by/4.0/).
Share and Cite
Cui, Y.; Wang, Y.; Wang, S.; Du, B.; Li, X.; Li, Y. Highlighting Fibroblasts Activation in Fibrosis: The State-of-The-Art Fibroblast Activation Protein Inhibitor PET Imaging in Cardiovascular Diseases. J. Clin. Med. 2023, 12, 6033. https://doi.org/10.3390/jcm12186033
Cui Y, Wang Y, Wang S, Du B, Li X, Li Y. Highlighting Fibroblasts Activation in Fibrosis: The State-of-The-Art Fibroblast Activation Protein Inhibitor PET Imaging in Cardiovascular Diseases. Journal of Clinical Medicine. 2023; 12(18):6033. https://doi.org/10.3390/jcm12186033
Chicago/Turabian StyleCui, Yan, Yuxiang Wang, Shu Wang, Bulin Du, Xuena Li, and Yaming Li. 2023. "Highlighting Fibroblasts Activation in Fibrosis: The State-of-The-Art Fibroblast Activation Protein Inhibitor PET Imaging in Cardiovascular Diseases" Journal of Clinical Medicine 12, no. 18: 6033. https://doi.org/10.3390/jcm12186033
APA StyleCui, Y., Wang, Y., Wang, S., Du, B., Li, X., & Li, Y. (2023). Highlighting Fibroblasts Activation in Fibrosis: The State-of-The-Art Fibroblast Activation Protein Inhibitor PET Imaging in Cardiovascular Diseases. Journal of Clinical Medicine, 12(18), 6033. https://doi.org/10.3390/jcm12186033

