Fetal Third-Trimester Functional Cardiovascular Abnormalities and Neonatal Elevated Bilirubin Level
Abstract
:1. Introduction
2. Materials and Methods
- Group A: normal fetal heart anatomy + normal heart study + neonatal outcome;
- Group B: normal fetal heart anatomy + functional abnormalities + neonatal outcome;
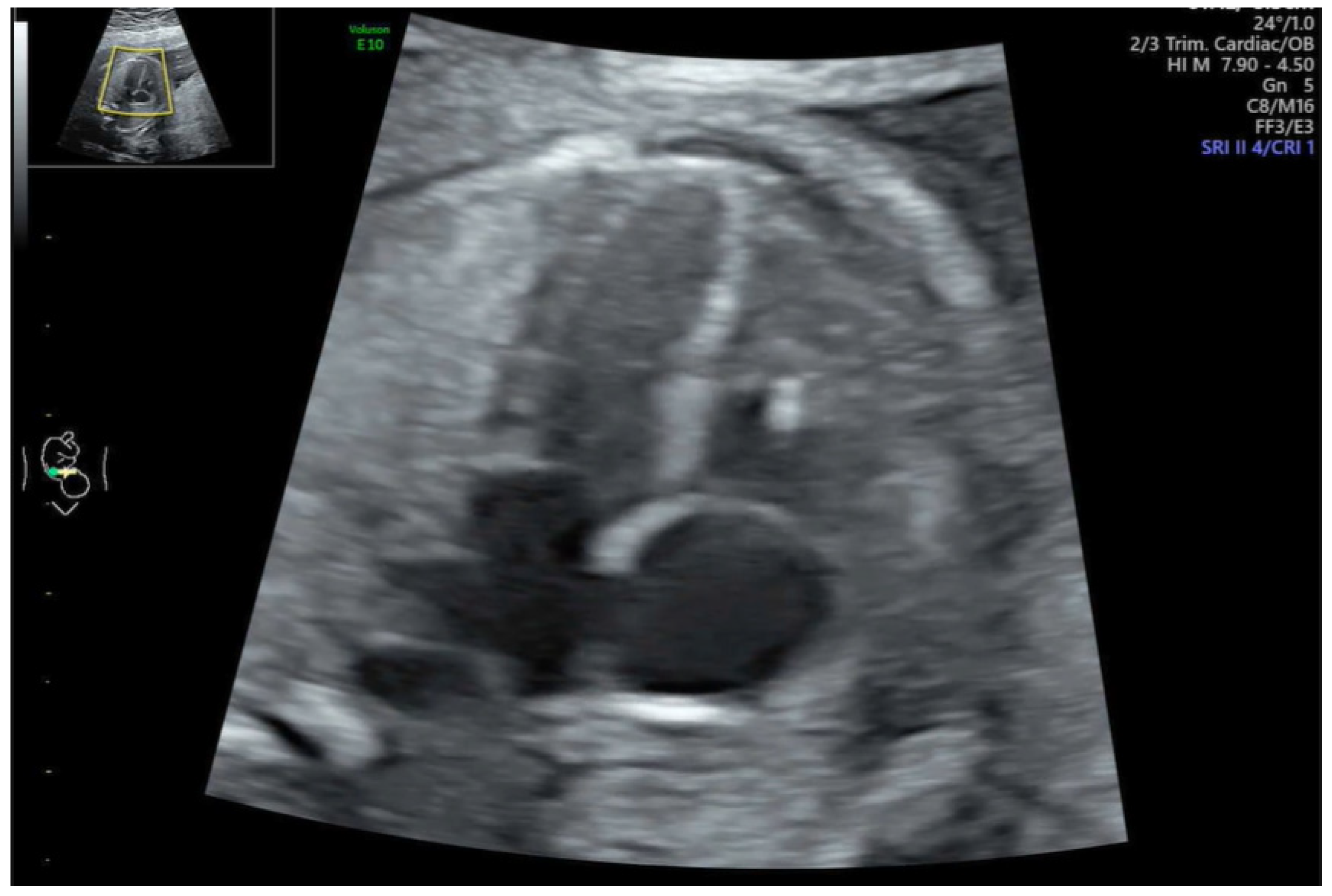
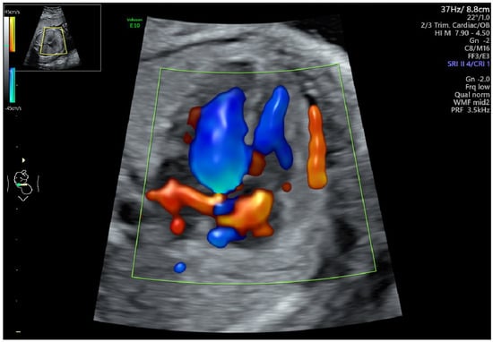
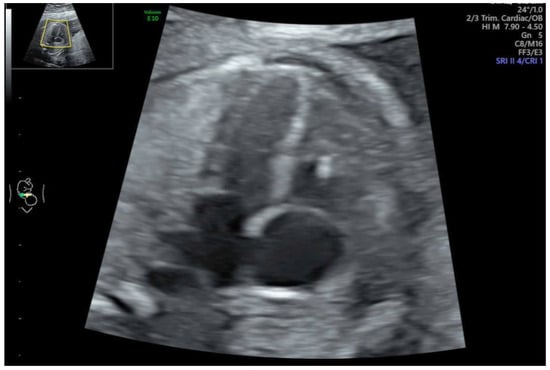
2.1. Defining of Functional Abnormalities
2.2. Statistical Evaluation
3. Results
3.1. Group A
3.2. Group B
3.3. Bilirubin Level
4. Discussion
5. Conclusions
Author Contributions
Funding
Institutional Review Board Statement
Informed Consent Statement
Data Availability Statement
Acknowledgments
Conflicts of Interest
References
- Sylwestrzak, O.; Strzelecka, I.; Słodki, M.; Respondek-Liberska, M. Fetal echocardiography is not only used to detect congenital heart disease but also to monitor fetuses, especially those with different pathologies. Kardiol. Pol. 2022, 80, 966–967. [Google Scholar] [CrossRef] [PubMed]
- Eden, R.D.; Evans, M.I.; Britt, D.W.; Evans, S.M.; Gallagher, P.; Schifrin, B.S. Combined prenatal and postnatal prediction of early neonatal compromise risk. J. Matern.-Fetal Neonatal Med. 2021, 34, 2996–3007. [Google Scholar] [CrossRef]
- Wald, R.M.; Silversides, C.K.; Kingdom, J.; Toi, A.; Lau, C.S.; Mason, J.; Colman, J.M.; Sermer, M.; Siu, S.C. Maternal Cardiac Output and Fetal Doppler Predict Adverse Neonatal Outcomes in Pregnant Women with Heart Disease. J. Am. Heart Assoc. 2015, 4, e002414. [Google Scholar] [CrossRef] [PubMed]
- Respondek-Liberska, M.; Sokołowski, Ł.; Słodki, M.; Zych-Krekora, K.; Strzelecka, I.; Krekora, M. Prenatal diagnosis of TAPVC on Monday, delivery of Tuesday and cardiac surgery at wednesday—A model of perinatal care in 3rd trimester in case of fetal/neonatal critical heart defect in tertiary center. Prenat. Cardiol. 2016, 6, 37–42. [Google Scholar] [CrossRef]
- Respondek-Liberska, M.; Sylwestrzak, O. Longitudinal functional assessment of atrial M-mode in dextro- transposition of the great arteries fetus may help to predict the necessity for urgent neonatal Rashkind procedure. Echocardiography 2022, 39, 1149–1151. [Google Scholar] [CrossRef]
- Sylwestrzak, O.; Strzelecka, I.; Silverman, N.H.; Respondek-Liberska, M. Functional assessment of atrial wall excursion and foramen ovale flap tracings in 3rd trimester as predictor of short-term hemodynamic stability in congenital heart defects fetuses. J. Perinat. Med. 2022, 51, 687–696. [Google Scholar] [CrossRef]
- Murlewska, J.; Sylwestrzak, O.; Respondek-Liberska, M.; Sklansky, M.; Devore, G. Longitudinal Surveillance of Fetal Heart Failure Using Speckle Tracking Analysis. J. Clin. Med. 2022, 11, 7102. [Google Scholar] [CrossRef]
- Nowakowska, A.; Sylwestrzak, O.; Strzelecka, I.; Oszukowski, P.; Responek-Liberska, M.; Zalinska, A. Prenatal echocardiography in Trisomy 18—The key to diagnosis and further management in the second half of pregnancy. Ginekol. Pol. 2023, 94, 366–373. [Google Scholar] [CrossRef]
- Sokołowski, Ł.; Słodki, M.; Murlewska, J.; Strzelecka, I.; Kordjalik, P.; Blitek, M.; Węgrzynowski, J.; Grzesiak, M.; Krekora, M.; Czajkowski, K.; et al. Fetal echocardiography in the 3rd trimester of pregnancy as an essential element of modern prenatal diagnostics and perinatal care—Recommendations of Polish Society of Prenatal Cardiology 2020. Prenat. Cardiol. 2020, 2020, 5–12. [Google Scholar] [CrossRef]
- Krekora, M.; Grzesiak, M.; Słodki, M.; Gulczyńska, E.; Maroszyńska, I.; Respondek-Liberska, M. Prenatal 3rd trimester expectation of fetal or neonatal demise and perinatal team approach. Prenat. Cardiol. 2018, 8, 14–19. [Google Scholar] [CrossRef]
- Respondek, M.L.; Kammermeier, M.; Ludomirsky, A.; Weil, S.R.; Huhta, J.C. The prevalence and clinical significance of fetal tricuspid valve regurgitation with normal heart anatomy. Am. J. Obstet. Gynecol. 1994, 171, 1265–1270. [Google Scholar] [CrossRef]
- Szmyd, B.; Biedrzycka, M.; Karuga, F.F.; Rogut, M.; Strzelecka, I.; Respondek-Liberska, M. Interventricular Septal Thickness as a Diagnostic Marker of Fetal Macrosomia. J. Clin. Med. 2021, 10, 949. [Google Scholar] [CrossRef]
- Sylwestrzak, O.; Respondek-Liberska, M. Echocardiographic metods of fetal heart size assessment-heart to chest area ratio and transversal heart diameter. Prenat. Cardiol. 2018, 8, 20–23. [Google Scholar] [CrossRef]
- Gembruch, U.; Smrcek, J.M. The prevalence and clinical significance of tricuspid valve regurgitation in normally grown fetuses and those with intrauterine growth retardation. Ultrasound Obstet. Gynecol. 1997, 9, 374–382. [Google Scholar] [CrossRef]
- Clerici, G.; Romanelli, M.; Tosto, V.; Tsibizova, V.; Di Renzo, G.C. Fetal transient tricuspid valve regurgitation: Sonographic features and clinical evolution. J. Matern.-Fetal Neonatal Med. 2021, 34, 2435–2439. [Google Scholar] [CrossRef] [PubMed]
- Zhou, J.; Zhang, Y.; Gui, Y.; Chu, C.; Zhang, C.; Zhou, Q.; Zhang, Y.; Li, X.; Yan, Y. Relationship Between Isolated Mild Tricuspid Valve Regurgitation in Second-Trimester Fetuses and Postnatal Congenital Cardiac Disorders. J. Ultrasound Med. 2014, 33, 1677–1682. [Google Scholar] [CrossRef]
- Wiechec, M.; Nocun, A.; Wiercinska, E.; Beithon, J.; Knafel, A. First trimester tricuspid regurgitation and fetal abnormalities. J. Perinat. Med. 2015, 43, 597–603. [Google Scholar] [CrossRef]
- Tague, L.; Donofrio, M.T.; Fulgium, A.; McCarter, R.; Limperopoulos, C.; Schidlow, D.N. Common Findings in Late-Gestation Fetal Echocardiography. J. Ultrasound Med. 2017, 36, 2431–2437. [Google Scholar] [CrossRef] [PubMed]
- Messing, B.; Porat, S.; Imbar, T.; Valsky, D.V.; Anteby, E.Y.; Yagel, S. Mild tricuspid regurgitation: A benign fetal finding at various stages of pregnancy. Ultrasound Obstet. Gynecol. 2005, 26, 606–609; discussion 610. [Google Scholar] [CrossRef] [PubMed]
- Respondek, M.; Weil, S.R.; Huhta, J.C. Fetal echocardiography during indomethacin treatment. Ultrasound Obstet. Gynecol. 1995, 5, 86–89. [Google Scholar] [CrossRef] [PubMed]
- Smrcek, J.M.; Gembruch, U. Longitudinal observations in normally grown fetuses with tricuspid valve regurgitation: Report of 22 cases. Prenat. Diagn. 1999, 19, 197–204. [Google Scholar] [CrossRef]
- Philip, J.; Samraj, R.S.; Lopez-Colon, D.; Gonzalez-Peralta, R.; Chandran, A.; Bleiwies, M.S. Severe Direct Hyperbilirubinemia as a Consequence of Right Heart Failure in Congenital Heart Disease. World J. Pediatr. Congenit. Heart Surg. 2018, 9, 470–474. [Google Scholar] [CrossRef]
- Pavlicek, J.; Klaskova, E.; Salounova, D.; Tomaskova, H.; Piegzova, A.; Gruszka, T.; Kacerovsky, M. Area of the right atrium of the fetal heart and its significance in fetuses with tricuspid regurgitation. J. Matern.-Fetal Neonatal Med. 2022, 35, 5253–5259. [Google Scholar] [CrossRef] [PubMed]
- Huggon, I.C.; Defigueiredo, D.B.; Allan, L.D. Tricuspid regurgitation in the diagnosis of chromosomal anomalies in the fetus at 11–14 weeks of gestation. Heart 2003, 89, 1071–1073. [Google Scholar] [CrossRef]
- Faiola, S.; Tsoi, E.; Huggon, I.C.; Allan, L.D.; Nicolaides, K.H. Likelihood ratio for trisomy 21 in fetuses with tricuspid regurgitation at the 11 to 13 + 6-week scan. Ultrasound Obstet. Gynecol. 2005, 26, 22–27. [Google Scholar] [CrossRef]
- Falcon, O.; Faiola, S.; Huggon, I.; Allan, L.; Nicolaides, K.H. Fetal tricuspid regurgitation at the 11 + 0 to 13 + 6-week scan: Association with chromosomal defects and reproducibility of the method. Ultrasound Obstet. Gynecol. 2006, 27, 609–612. [Google Scholar] [CrossRef]
- Pereira, S.; Ganapathy, R.; Syngelaki, A.; Maiz, N.; Nicolaides, K.H. Contribution of Fetal Tricuspid Regurgitation in First-Trimester Screening for Major Cardiac Defects. Obstet. Gynecol. 2011, 117, 1384–1391. [Google Scholar] [CrossRef] [PubMed]
- Respondek-Liberska, M.; Krasoń, A. Isolated, persistent functional tricuspid valve regurgitation in a fetus with normal heart anatomy (and no extracardiac malformation). Case report. Fetal Diagn. Ther. 2003, 18, 174–178. [Google Scholar] [CrossRef] [PubMed]
- Turner-Gomes, S.O.; Izukawa, T.; Rowe, R.D. Persistence of atrioventricular valve regurgitation and electrocardiographic abnormalities following transient myocardial ischemia of the newborn. Pediatr. Cardiol. 1989, 10, 191–194. [Google Scholar] [CrossRef] [PubMed]
- Barker, D.J.P. The origins of the developmental origins theory. J. Intern. Med. 2007, 261, 412–417. [Google Scholar] [CrossRef]
- Cavoretto, P.I.; Salmeri, N.; Candiani, M.; Farina, A. Reference ranges of uterine artery pulsatility index from first to third trimester based on serial Doppler measurements: Longitudinal cohort study. Ultrasound Obstet. Gynecol. 2023, 61, 474–480. [Google Scholar] [CrossRef] [PubMed]
- Papageorghiou, A.T.; Kennedy, S.H.; Salomon, L.J.; Altman, D.G.; Ohuma, E.O.; Stones, W.; Gravett, M.G.; Barros, F.C.; Victora, C.; Purwar, M.; et al. International Fetal and Newborn Growth Consortium for the 21(st) Century (INTERGROWTH-21(st)). The INTERGROWTH-21st fetal growth standards: Toward the global integration of pregnancy and pediatric care. Am. J. Obstet. Gynecol. 2018, 218, S630–S640. [Google Scholar] [CrossRef] [PubMed]



| Case (Initial) | Prenatal Genetic Dgn | Fetal ECHO | Postnatal Dgn | Comments | Hospital Stay (Days) |
|---|---|---|---|---|---|
| 1 | None | Normal anatomy, no functional anomalies | 2 mm VSD | During fetal and postnatal life no additional functional anomalies | 3 |
| 2 | Turner S (NIFTY 1 trim) | Normal anatomy, no functional anomalies | Normal heart | Low hairline, widely positioned nipples, puffy feet | 3 |
| 3 | Down S (NIFTY 1 trim) | Normal anatomy, no functional anomalies | Normal heart | Dysmorphic face | 4 |
| 4 | None | Normal anatomy, no functional anomalies | Normal heart | Fetal Alcohol Syndrome | 30 |
| 5 | Maternal CMV | Normal anatomy, no functional anomalies | Normal heart | Alive and well | 19 |
| Case | Prenatal Diagnosis | Postnatal Diagnosis | Delivery | Birth Weight | Apgar | Bilirubin mg/Dl and Other Data | Days in Hospital |
|---|---|---|---|---|---|---|---|
| 1 | NHA + TR. | NHA | V | 3300 | 6 | Neonatal resuscitation | 4 |
| 2 | NHA + FO spinnaker | NHA + FO | Cs | 3530 | 10 | 4 | |
| 3 | NHA + abnormal E/A ratio for MV and TV, SGA | NHA | Cs | 2380 | 10 | 4 | |
| 4 | NHA + TR | NHA + FO | Cs | 3120 | 10 | 4 | |
| 5 | NHA + TR | NHA | Cs | 2680 | 9 | 4 | |
| 6 | NHA + PAC | NHA | V | 3280 | 10 | 4 | |
| 7 | NHA + TR + PE | NHA + FO | V | 3390 | 10 | 4 | |
| 8 | NHA + TR + AFI + Placentitis + hydrops testis | NHA | V | 3620 | 10 | 4 | |
| 9 | NHA + TR + BS+ PE | NHA | V | 2570 | 10 | 4 | |
| 10 | NHA + TR + bowel distended, Pyelectasis, AFI | NHA Polydactyly | V | 2790 | 8 | 16 | 4 |
| 11 | NHA + Myocardial hypertrophy | NHA | V | 3660 | 10 | Green amniotic fluid 14.5 | 4 |
| 12 | NHA + TR + PE + FO | NHA | V | 3260 | 10 | 15 | 4 |
| 13 | NHA + PE + FO | NHA | 3230 | 10 | 15 | 4 | |
| 14 | NHA+ TR + KMP | NHA | Cs | 2780 | 10 | Green amniotic fluid | 4 |
| 15 | BS, FO spinnaker | NHA | CS | 3180 | 10 | Positive blood culture, the next one negative | 5 |
| 16 | NHA + DA/Ao + placentitis | NHA | V | 3230 | 10 | 10 | 5 |
| 17 | NHA + FO + DV velocity > 100 cm/s + placentitis + oligohydramnion | NHA | V | 4030 | 10 | 15 | 5 |
| 18 | NHA + cardiomegaly | Normal anatomy, no functional anomalies | CS | 3140 | 10 | 12.5 Green amniotic fluid | 5 |
| 19 | Cardiomegaly, TR, Ao arch | NHA + TR | V | 2900 | 10 | TR, 10 | 6 |
| 20 | TR | NHA | CS | 3900 | 9 | 11.45 | 6 |
| 21 | TR, MR, AFI, placentitis | Normal anatomy | V | 2310 | 9 | GBS (+) | 6 |
| 22 | Cardiomegaly, BS | Normal anatomy | CS | 3220 | 8 | Positive blood culture, the next one negative | 6 |
| 23 | TR | Normal anatomy | CS | 3870 | 8 | CRP 14 Sat 87% | 6 |
| 24 | TR | Normal anatomy Cryptorchismus | CS | 3670 | 10 | GBS (+) 12 | 8 |
| 25 | NHA + TR + KMP + placentitis | Normal anatomy | V | 3550 | 10 | 16.1 | 8 |
| 26 | NHA + UMB | Normal anatomy | CS | 2470 | 8 | CRP 10 conjunctivitis | 11 |
| 27 | LGA, Hypertrophy | Normal anatomy | CS | 3400 | 10 | Green amniotic fluid | 16 |
| 28 | SVT | SVT, X-ray | CS | 2400 | 9 | Atelectasis, Streptococcus cristatus, Staphylococcus hominis | 21 |
| 3173 ± 474 | 9.7 ± 0.9 | Mean bilirubin 12 ± 2 mg/dL | 6 ± 3 |
| Group A: Normal Heart Anatomy & No Functional Anomalies | Group B: Normal Heart Anatomy + Functional Anomalies | Total | |
|---|---|---|---|
| Total number of cases (fetuses) | 72 | 28 | 100 |
| Number of cases with bilirubin ≥10 mg/dL | 6 | 13 | 19 |
| % of cases with elevated bilirubin level | 8% | 46% | 19% |
| Group A: Normal Heart Anatomy | Group B: Normal Heart Anatomy + Prenatal TR | Total | |
|---|---|---|---|
| Total number of cases (fetuses) | 72 | 28 | 100 |
| Number of cases with TR | 0 | 15 | 15 |
| % of cases with TR | 0% | 53% | 15% |
Disclaimer/Publisher’s Note: The statements, opinions and data contained in all publications are solely those of the individual author(s) and contributor(s) and not of MDPI and/or the editor(s). MDPI and/or the editor(s) disclaim responsibility for any injury to people or property resulting from any ideas, methods, instructions or products referred to in the content. |
© 2023 by the authors. Licensee MDPI, Basel, Switzerland. This article is an open access article distributed under the terms and conditions of the Creative Commons Attribution (CC BY) license (https://creativecommons.org/licenses/by/4.0/).
Share and Cite
Respondek-Liberska, M.; Sylwestrzak, O.; Murlewska, J.; Biały, Ł.; Krekora, M.; Tadros-Zins, M.; Gulczyńska, E.; Strzelecka, I. Fetal Third-Trimester Functional Cardiovascular Abnormalities and Neonatal Elevated Bilirubin Level. J. Clin. Med. 2023, 12, 6021. https://doi.org/10.3390/jcm12186021
Respondek-Liberska M, Sylwestrzak O, Murlewska J, Biały Ł, Krekora M, Tadros-Zins M, Gulczyńska E, Strzelecka I. Fetal Third-Trimester Functional Cardiovascular Abnormalities and Neonatal Elevated Bilirubin Level. Journal of Clinical Medicine. 2023; 12(18):6021. https://doi.org/10.3390/jcm12186021
Chicago/Turabian StyleRespondek-Liberska, Maria, Oskar Sylwestrzak, Julia Murlewska, Łucja Biały, Michał Krekora, Monika Tadros-Zins, Ewa Gulczyńska, and Iwona Strzelecka. 2023. "Fetal Third-Trimester Functional Cardiovascular Abnormalities and Neonatal Elevated Bilirubin Level" Journal of Clinical Medicine 12, no. 18: 6021. https://doi.org/10.3390/jcm12186021
APA StyleRespondek-Liberska, M., Sylwestrzak, O., Murlewska, J., Biały, Ł., Krekora, M., Tadros-Zins, M., Gulczyńska, E., & Strzelecka, I. (2023). Fetal Third-Trimester Functional Cardiovascular Abnormalities and Neonatal Elevated Bilirubin Level. Journal of Clinical Medicine, 12(18), 6021. https://doi.org/10.3390/jcm12186021

