Clinicopathologic Features, Genetics, Treatment, and Long-Term Outcomes in Japanese Children and Young Adults with Benign Recurrent Intrahepatic Cholestasis: A Multicenter Study
Abstract
:1. Introduction
2. Methods
2.1. Design and Ethical Matters
2.2. Study Subjects
2.3. Molecular Genetic Analysis of ATP8B1 or ABCB11
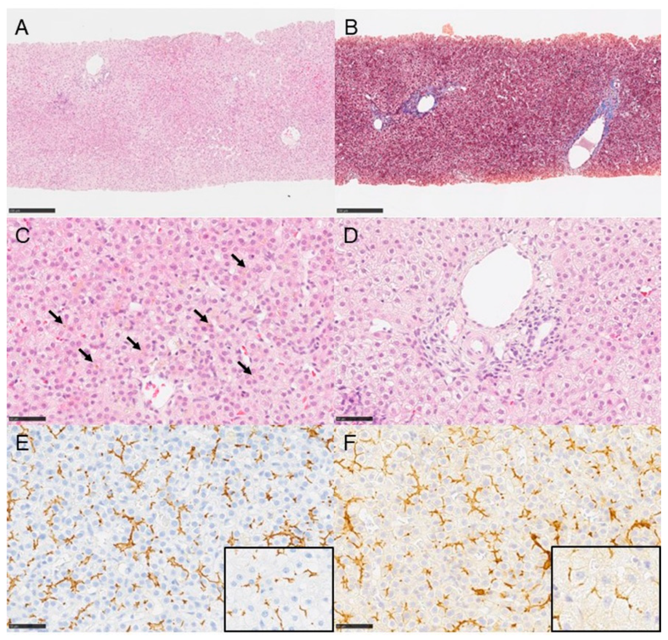
2.4. Liver Histopathology
2.5. Statistical Analysis
3. Results
3.1. Patient Characteristics and Long-Term Outcome
3.2. Genetic Features
3.3. Symptoms and Liver Function Changes during Cholestatic Attacks
3.4. Histopathologic Findings in the Liver
3.5. Treatment for Cholestatic Attacks
4. Discussion
Author Contributions
Funding
Institutional Review Board Statement
Informed Consent Statement
Data Availability Statement
Acknowledgments
Conflicts of Interest
Abbreviations
References
- Summerskill, W.H.; Walshe, J.M. Benign recurrent intrahepatic “obstructive” jaundice. Lancet 1959, 2, 686–690. [Google Scholar] [CrossRef]
- Stapelbroek, J.M.; van Erpecum, K.J.; Klomp, L.W.; Houwen, R.H. Liver disease associated with canalicular transport defects: Current and future therapies. J. Hepatol. 2010, 52, 258–271. [Google Scholar] [CrossRef] [PubMed]
- Folvik, G.; Hilde, O.; Helge, G.O. Benign recurrent intrahepatic cholestasis: Review and long-term follow-up of five cases. Scand. J. Gastroenterol. 2012, 47, 482–488. [Google Scholar] [CrossRef] [PubMed]
- Klomp, L.W.J.; Vargas, J.C.; van Mil, S.W.C.; Pawlikowska, L.; Strautnieks, S.S.; van Eijk, M.J.T.; Juijn, J.A.; Pabón-Peña, C.; Smith, L.B.; DeYoung, J.A.; et al. Characterization of mutations in ATP8B1 associated with hereditary cholestasis. Hepatology 2004, 40, 27–38. [Google Scholar] [CrossRef] [PubMed]
- van Mil, S.W.; van der Woerd, W.L.; van der Brugge, G.; Sturm, E.; Jansen, P.L.; Bull, L.N.; van den Berg, I.E.T.; Berger, R.; Houwen, R.H.J.; Klomp, L.W.; et al. Benign recurrent intrahepatic cholestasis type 2 is caused by mutations in ABCB11. Gastroenterology 2004, 127, 379–384. [Google Scholar] [CrossRef]
- Isojima, T.; Kato, N.; Ito, Y.; Kanzaki, S.; Murata, M. Growth standard charts for Japanese children with mean and standard deviation (SD) values based on the year 2000 national survey. Clin. Pediatr. Endocrinol. 2016, 25, 71–76. [Google Scholar] [CrossRef]
- Mizuochi, T.; Kimura, A.; Tanaka, A.; Muto, A.; Nittono, H.; Seki, Y.; Takahashi, T.; Kurosawa, T.; Kage, M.; Takikawa, H.; et al. Characterization of urinary bile acids in a pediatric BRIC-1 patient: Effect of rifampicin treatment. Clin. Chim. Acta 2012, 413, 1301–1304. [Google Scholar] [CrossRef]
- Togawa, T.; Sugiura, T.; Ito, K.; Endo, T.; Aoyama, K.; Ohashi, K.; Negishi, Y.; Kudo, T.; Ito, R.; Kikuchi, A.; et al. Molecular Genetic Dissection and Neonatal/Infantile Intrahepatic Cholestasis Using Targeted Next-Generation Sequencing. J. Pediatr. 2016, 171, 171–177.e4. [Google Scholar] [CrossRef]
- Chen, H.L.; Li, H.Y.; Wu, J.F.; Wu, S.H.; Chen, H.L.; Yang, Y.H.; Hsu, Y.-H.; Liou, B.-Y.; Chang, M.-H.; Ni, Y.H.; et al. Panel-Based Next-Generation Sequencing for the Diagnosis of Cholestatic Genetic Liver Diseases: Clinical Utility and Challenges. J. Pediatr. 2019, 205, 153–159.e6. [Google Scholar] [CrossRef]
- Ito, S.; Togawa, T.; Imagawa, K.; Ito, K.; Endo, T.; Sugiura, T.; Saitoh, S. Real-life Progression of the Use of a Genetic Panel in to Diagnose Neonatal Cholestasis. JPGN Rep. 2022, 3, e196. [Google Scholar] [CrossRef]
- Mizuochi, T.; Takano, T.; Yanagi, T.; Ushijima, K.; Suzuki, M.; Miyoshi, Y.; Ito, Y.; Inui, A.; Tajiri, H. Epidemiologic features of 348 children with hepatitis C virus infection over a 30-year period: A nationwide survey in Japan. J. Gastroenterol. 2018, 53, 419–426. [Google Scholar] [CrossRef]
- Goodman, Z.D. Grading and staging systems for inflammation and fibrosis in chronic liver diseases. J. Hepatol. 2007, 47, 598–607. [Google Scholar] [CrossRef]
- Suzuki, H.; Arinaga-Hino, T.; Sano, T.; Mihara, Y.; Kusano, H.; Mizuochi, T.; Togawa, T.; Ito, S.; Ide, T.; Kuwahara, R.; et al. Case Report: A Rare Case of Benign Recurrent Intrahepatic Cholestasis-Type 1 With a Novel Heterozygous Pathogenic Variant of ATP8B1. Front. Med. 2022, 9, 891659. [Google Scholar] [CrossRef]
- Mizutani, A.; Sabu, Y.; Naoi, S.; Ito, S.; Nakano, S.; Minowa, K.; Mizuochi, T.; Ito, K.; Abukawa, D.; Kaji, S.; et al. Assessment of Adenosine Triphosphatase Phospholipid Transporting 8B1 (ATP8B1) Function in Patients With Cholestasis With ATP8B1 Deficiency by Using Peripheral Blood Monocyte-Derived Macrophages. Hepatol. Commun. 2021, 5, 52–62. [Google Scholar] [CrossRef]
- Hayashi, H.; Naoi, S.; Hirose, Y.; Matsuzaka, Y.; Tanikawa, K.; Igarashi, K.; Nagasaka, H.; Kage, M.; Inui, A.; Kusuhara, H.; et al. Successful treatment with 4-phenylbutyrate in a patient with benign recurrent intrahepatic cholestasis type 2 refractory to biliary drainage and bilirubin absorption. Hepatol. Res. 2016, 46, 192–200. [Google Scholar] [CrossRef]
- Davit-Spraul, A.; Fabre, M.; Branchereau, S.; Baussan, C.; Gonzales, E.; Stieger, B.; Bernard, O.; Jacquemin, E. ATP8B1 and ABCB11 analysis in 62 children with normal gamma-glutamyl transferase progressive familial intrahepatic cholestasis (PFIC): Phenotypic differences between PFIC1 and PFIC2 and natural history. Hepatology 2010, 51, 1645–1655. [Google Scholar] [CrossRef] [PubMed]
- Stindt, J.; Ellinger, P.; Weissenberger, K.; Dröge, C.; Herebian, D.; Mayatepek, E.; Homey, B.; Braun, S.; Esch, J.S.A.; Horacek, M.; et al. A novel mutation within a transmembrane helix of the bile salt export pump (BSEP, ABCB11) with delayed development of cirrhosis. Liver Int. 2013, 33, 1527–1535. [Google Scholar] [CrossRef] [PubMed]
- Vitale, G.; Pirillo, M.; Mantovani, V.; Marasco, E.; Aquilano, A.; Gamal, N.; Francalanci, P.; Conti, F.; Andreone, P. Bile salt export pump deficiency disease: Two novel, late onset, ABCB11 mutations identified by next generation sequencing. Ann. Hepatol. 2016, 15, 795–800. [Google Scholar]
- Wietholtz, H.; Marschall, H.U.; Sjövall, J.; Matern, S. Stimulation of bile acid 6 alpha-hydroxylation by rifampin. J. Hepatol. 1996, 24, 713–718. [Google Scholar] [CrossRef] [PubMed]
- Marschall, H.U.; Wagner, M.; Zollner, G.; Fickert, P.; Diczfalusy, U.; Gumhold, J.; Silbert, D.; Fuchsbichler, A.; Benthin, L.; Grundström, R.; et al. Complementary stimulation of hepatobiliary transport and detoxification systems by rifampicin and ursodeoxycholic acid in humans. Gastroenterology 2005, 129, 476–485. [Google Scholar] [CrossRef]
- Koukoulioti, E.; Ziagaki, A.; Weber, S.N.; Lammert, F.; Berg, T. Long-Term Colestyramine Treatment Prevents Cholestatic Attacks in Refractory Benign Recurrent Intrahepatic Cholestasis Type 1 Disease. Hepatology 2021, 74, 522–524. [Google Scholar] [CrossRef] [PubMed]
- van der Woerd, W.L.; van Mil, S.W.; Stapelbroek, J.M.; Klomp, L.W.; van de Graaf, S.F.; Houwen, R.H. Familial cholestasis: Progressive familial intrahepatic cholestasis, benign recurrent intrahepatic cholestasis and intrahepatic cholestasis of pregnancy. Best Pract. Res. Clin. Gastroenterol. 2010, 24, 541–553. [Google Scholar] [CrossRef] [PubMed]
- Uegaki, S.; Tanaka, A.; Mori, Y.; Kodama, H.; Fukusato, T.; Takikawa, H. Successful treatment with colestimide for a bout of cholestasis in a Japanese patient with benign recurrent intrahepatic cholestasis caused by ATP8B1 mutation. Intern. Med. 2008, 47, 599–602. [Google Scholar] [CrossRef] [PubMed]


| Patient No. | Disease Type | Sex | Age at Onset | Age at Recent Visit (y) | Duration of Follow-Up (y) | Number of Cholestatic Attacks | Pathogenic Variants in ATP8B1 or ABCB11 Gene (Allele 1/Allele 2) | Other Complications and Problems (Age at Diagnosis) | Height/Weight at Recent Visit (SD) | School/ Employment | Ref * |
|---|---|---|---|---|---|---|---|---|---|---|---|
| ATP8B1 | |||||||||||
| 1 | BRIC-1 | F | 9 m | 8 | 8 | 2 | c.922G>A;p.(Gly308Ser) /c.3579_3589del;p.(Arg1194Valfs*38) | 1.5/1.2 | Mainstream education | [8,14] | |
| 2 | BRIC-1 | F | 7 y | 11 | 4 | 1 | c.1227del;p.(Val410*) /c.2212del;p.(Thr738Leufs*5) | −0.5/−1 | Mainstream education | [7] | |
| 3 | BRIC-1 | M | 17 y | 21 | 4 | 8 | c.1429+2t>g /not detected | Atopic dermatitis (4 y) | 0.4/−0.3 | Mainstream education/ employed | [13] |
| 4 | BRIC-1 | F | 21 y | 43 | 22 | 3 | c.1408T>G;p.(Cys470Gly) /c.2854C>T;p.(Arg952*) | Type 2 diabetes (30 y) | −0.2/3.2 | Mainstream education/ employed | [14] |
| ABCB11 | |||||||||||
| 5 | BRIC-2 | M | 1 m | 11 | 11 | 3 | c.3121T>C;p.(Tyr1041His) /c.3904G>T;p.(Glu1302*) | 0.6/−0.4 | Mainstream education | [8] | |
| 6 | BRIC-2 | M | 1 m | 18 | 18 | 3 | c.1723C>T;p.(Arg575*) /c.1907A>G;p.(Glu636Gly) | Intracranial hemorrhage (2 m) | −0.2/−0.1 | Mainstream education | |
| 7 | BRIC-2 | M | 6 m | 24 | 24 | 8 | c.1211A>G;p.(Asp404Gly) /not detected | Developmental disorders (17 y) | 0.4/−0.5 | Special education/ unemployed | [15] |
| Patient No. | Disease Type | Age at Liver Biopsy | Fibrosis Stage | Inflammation Grade | BSEP Expression | MRP2 Expression |
|---|---|---|---|---|---|---|
| 1 | BRIC-1 | 9 m | F0 | A0 | Strong | Strong |
| 2 | BRIC-1 | 7 y | F1 | A0 | Strong | Strong |
| 3 | BRIC-1 | 17 y | F0 | A0 | Strong | Strong |
| 4 | BRIC-1 | 39 y | F0 | A0 | ND | ND |
| 5 | BRIC-2 | 3 y | F1 | A1 | Weak | Strong |
| 6 | BRIC-2 | 3 y | F3 | A1 | ND | ND |
| 7 | BRIC-2 | 17 y | F2 | A1 | Weak | Strong |
| Drugs | Number of Patients | Outcome (Number of Patients) |
|---|---|---|
| Ursodeoxycholic acid | 7 | Partial improvement (2) No improvement (5) |
| Phenobarbital | 4 | Partial improvement (1) No improvement (3) |
| Rifampicin | 3 | Improvement (2) Partial improvement (1) |
| Cholestyramine | 3 | Partial improvement (2) No improvement (1) |
| Antihistamine | 3 | Partial improvement (1) No improvement (2) |
| Prednisolone | 1 | Partial improvement (1) |
| 4-phenylbutyrate | 1 | Partial improvement (1) |
| Nasobiliary drainage | 1 | No improvement (1) |
Disclaimer/Publisher’s Note: The statements, opinions and data contained in all publications are solely those of the individual author(s) and contributor(s) and not of MDPI and/or the editor(s). MDPI and/or the editor(s) disclaim responsibility for any injury to people or property resulting from any ideas, methods, instructions or products referred to in the content. |
© 2023 by the authors. Licensee MDPI, Basel, Switzerland. This article is an open access article distributed under the terms and conditions of the Creative Commons Attribution (CC BY) license (https://creativecommons.org/licenses/by/4.0/).
Share and Cite
Kato, K.; Umetsu, S.; Togawa, T.; Ito, K.; Kawabata, T.; Arinaga-Hino, T.; Tsumura, N.; Yasuda, R.; Mihara, Y.; Kusano, H.; et al. Clinicopathologic Features, Genetics, Treatment, and Long-Term Outcomes in Japanese Children and Young Adults with Benign Recurrent Intrahepatic Cholestasis: A Multicenter Study. J. Clin. Med. 2023, 12, 5979. https://doi.org/10.3390/jcm12185979
Kato K, Umetsu S, Togawa T, Ito K, Kawabata T, Arinaga-Hino T, Tsumura N, Yasuda R, Mihara Y, Kusano H, et al. Clinicopathologic Features, Genetics, Treatment, and Long-Term Outcomes in Japanese Children and Young Adults with Benign Recurrent Intrahepatic Cholestasis: A Multicenter Study. Journal of Clinical Medicine. 2023; 12(18):5979. https://doi.org/10.3390/jcm12185979
Chicago/Turabian StyleKato, Ken, Shuichiro Umetsu, Takao Togawa, Koichi Ito, Takayoshi Kawabata, Teruko Arinaga-Hino, Naoya Tsumura, Ryosuke Yasuda, Yutaro Mihara, Hironori Kusano, and et al. 2023. "Clinicopathologic Features, Genetics, Treatment, and Long-Term Outcomes in Japanese Children and Young Adults with Benign Recurrent Intrahepatic Cholestasis: A Multicenter Study" Journal of Clinical Medicine 12, no. 18: 5979. https://doi.org/10.3390/jcm12185979
APA StyleKato, K., Umetsu, S., Togawa, T., Ito, K., Kawabata, T., Arinaga-Hino, T., Tsumura, N., Yasuda, R., Mihara, Y., Kusano, H., Ito, S., Imagawa, K., Hayashi, H., Inui, A., Yamashita, Y., & Mizuochi, T. (2023). Clinicopathologic Features, Genetics, Treatment, and Long-Term Outcomes in Japanese Children and Young Adults with Benign Recurrent Intrahepatic Cholestasis: A Multicenter Study. Journal of Clinical Medicine, 12(18), 5979. https://doi.org/10.3390/jcm12185979

