Performance of the Aptis Distal Radioulnar Joint Implant: A Clinical Case Series Including Four-Dimensional Computed Tomography Kinematic Analysis
Abstract
:1. Introduction
2. Materials and Methods
2.1. Study Design
2.2. Data Collection
2.3. Goniometric Measurement
2.4. Grip Strength Measurement
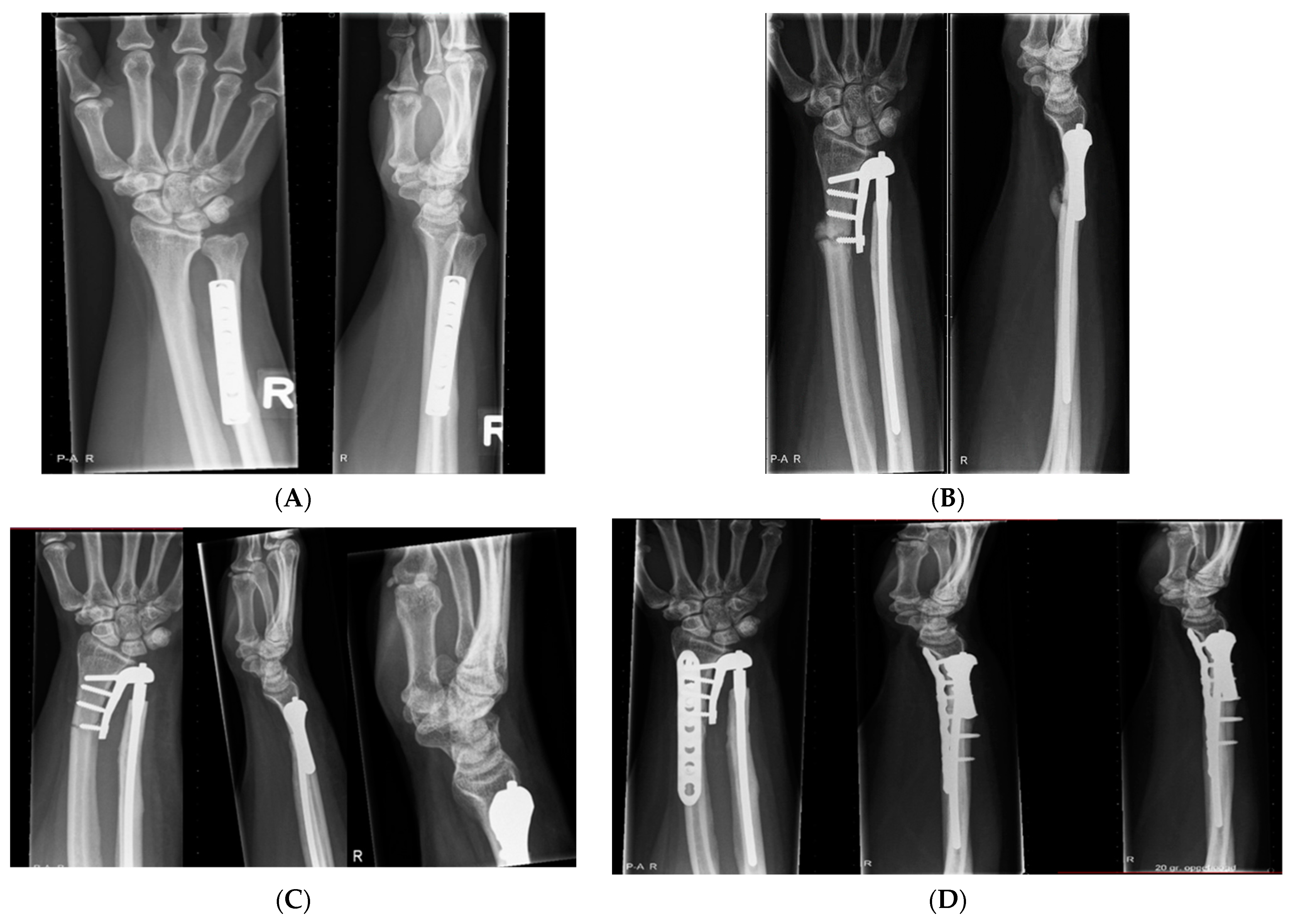
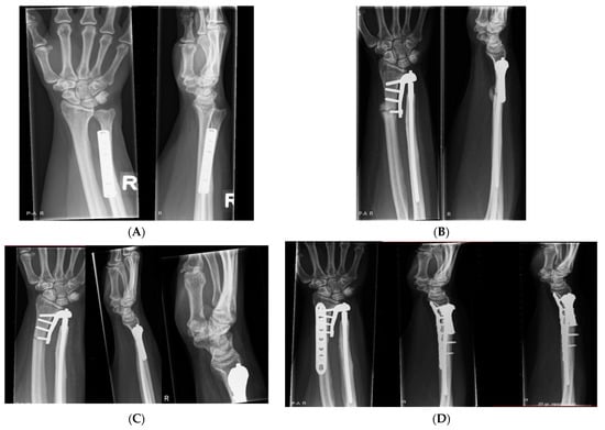
2.5. Radiographic Assessment
2.6. Surgical Technique and Postoperative Treatment
2.7. Statistics
3. Results
3.1. Demographics and Follow-Up
3.2. Clinical Evaluation
3.3. Radiological Evaluation
3.4. Complications and Revision Surgery
4. Discussion
Author Contributions
Funding
Institutional Review Board Statement
Informed Consent Statement
Data Availability Statement
Acknowledgments
Conflicts of Interest
References
- Kachooei, A.R.; Chase, S.M.; Jupiter, J.B. Outcome assessment after Aptis Distal Radioulnar Joint (DRUJ) implant arthroplasty. Arch. Bone Jt. Surg. 2014, 2, 180–184. [Google Scholar] [PubMed]
- Willis, A.A.; Berger, R.A.; Cooney, W.P., 3rd. Arthroplasty of the distal radioulnar joint using a new ulnar head endoprosthesis: Preliminary report. J. Hand Surg. Am. 2007, 32, 177–189. [Google Scholar] [CrossRef] [PubMed]
- Van Schoonhoven, J.; Kall, S.; Schober, F.; Prommersberger, K.J.; Lanz, U. The hemiresection-interposition arthroplasty as a salvage procedure for the arthritically destroyed distal radioulnar joint. Handchir. Mikrochir. Plast. Chir. 2003, 35, 175–180. [Google Scholar] [CrossRef] [PubMed]
- Sauerbier, M.; Hahn, M.E.; Fujita, M.; Neale, P.G.; Berglund, L.J.; Berger, R.A. Analysis of dynamic distal radioulnar convergence after ulnar head resection and endoprosthesis implantation. J. Hand Surg. Am. 2002, 27, 425–434. [Google Scholar] [CrossRef]
- Darrach, W. Partial excision of lower shaft of ulna for deformity following Colles’s fracture. Clin. Orthop. Relat. Res. 1992, 275, 3–4. [Google Scholar] [CrossRef]
- Watson, H.K.; Ryu, J.Y.; Burgess, R.C. Matched distal ulnar resection. J. Hand Surg. Am. 1986, 11, 812–817. [Google Scholar] [CrossRef]
- Bell, M.J.; Hill, R.J.; McMurtry, R.Y. Ulnar impingement syndrome. J. Bone Jt. Surg. Br. 1985, 67, 126–129. [Google Scholar] [CrossRef] [PubMed]
- Swanson, A.B. Implant arthroplasty for disabilities of the distal radioulnar joint. Use of a silicone rubber capping implant following resection of the ulnar head. Orthop. Clin. N. Am. 1973, 4, 373–382. [Google Scholar] [CrossRef]
- Scheker, L.R.; Babb, B.A.; Killion, P.E. Distal ulnar prosthetic replacement. Orthop. Clin. N. Am. 2001, 32, 365–376. [Google Scholar] [CrossRef]
- Stougie, S.D.; Van Boekel, L.; Beumer, A.; Hoogvliet, P.; Strackee, S.D.; Coert, J.H. Aptis distal radioulnar joint arthroplasty: A multicenter evaluation of functional outcome, complications and patient satisfaction. J. Wrist Surg. 2023; accepted. [Google Scholar]
- Amundsen, A.; Rizzo, M.; Berger, R.A.; Houdek, M.T.; Frihagen, F.; Moran, S.L. Twenty-year experience with primary distal radioulnar joint arthroplasty from a single institution. J. Hand Surg. Am. 2023, 48, 53–67. [Google Scholar] [CrossRef]
- Brannan, P.S.; Ward, W.A.; Gaston, R.G.; Chadderdon, R.C.; Woodside, J.C.; Connell, B. Two-year clinical and radiographic evaluation of Scheker prosthesis (Aptis) distal radioulnar joint arthroplasty. J. Hand Surg. Am. 2022, 47, 290.e1–290.e11. [Google Scholar] [CrossRef]
- Warlop, J.; Van Nuffel, M.; De Smet, L.; Degreef, I. Midterm functional outcomes of the linked semiconstrained distal radioulnar joint prosthesis. J. Wrist Surg. 2021, 11, 335–343. [Google Scholar] [CrossRef] [PubMed]
- Fuchs, N.; Meier, L.A.; Giesen, T.; Calcagni, M.; Reissner, L. Long-term results after semiconstrained distal radioulnar joint arthroplasty: A focus on complications. Hand Surg. Rehabil. 2020, 39, 186–192. [Google Scholar] [CrossRef] [PubMed]
- DeGeorge, B.R.; Berger, R.A.; Shin, A.Y. Constrained implant arthroplasty for distal radioulnar joint arthrosis: Evaluation and management of soft tissue complications. J. Hand Surg. Am. 2019, 44, 614.e1–614.e9. [Google Scholar] [CrossRef]
- Lans, J.; Chen, S.H.; Jupiter, J.B.; Scheker, L.R. Distal radioulnar joint replacement in the scarred wrist. J. Wrist Surg. 2019, 8, 55–60. [Google Scholar] [CrossRef]
- Bellevue, K.D.; Thayer, M.K.; Pouliot, M. Complications of semiconstrained distal radioulnar Joint arthroplasty. J. Hand Surg. Am. 2018, 43, 566.e1–566.e9. [Google Scholar] [CrossRef] [PubMed]
- Moulton, L.; Giddins, G. Distal radio-ulnar implant arthroplasty: A systematic review. J. Hand Surg. Eur. 2017, 42, 827–838. [Google Scholar] [CrossRef]
- Calcagni, M.; Giesen, T.F. Distal radioulnar joint arthroplasty with implants: A systematic review. EFORT Open Rev. 2016, 1, 191–196. [Google Scholar] [CrossRef]
- Oonk, J.G.M.; Dobbe, J.G.G.; Strijkers, G.J.; Van Rijn, S.K.; Streekstra, G.J. Kinematic analysis of forearm rotation using four-dimensional computed tomography. J. Hand Surg. Eur. 2023, 5, 466–475. [Google Scholar] [CrossRef]
- Pääkkönen, M. Complications of Scheker semiconstrained distal radioulnar joint arthroplasty in a low-volume unit. Hand Surg. Rehabil. 2022, 41, 441–444. [Google Scholar] [CrossRef] [PubMed]
- MacDermid, J.C.; Tottenham, V. Responsiveness of the disability of the arm, shoulder, and hand (DASH) and patient-rated wrist/hand evaluation (PRWHE) in evaluating change after hand therapy. J. Hand Ther. 2004, 17, 18–23. [Google Scholar] [CrossRef] [PubMed]
- Hays, R.D.; Bjorner, J.B.; Revicki, D.A.; Spritzer, K.L.; Cella, D. Development of physical and mental health summary scores from the patient-reported outcomes measurement information system (PROMIS) global items. Qual. Life Res. 2009, 18, 873–880. [Google Scholar] [CrossRef]
- Clavien, P.A.; Barkun, J.; de Oliveira, M.L.; Vauthey, J.N.; Dindo, D.; Schulick, R.D.; de Santibañes, E.; Pekolj, J.; Slankamenac, K.; Bassi, C.; et al. The Clavien-Dindo classification of surgical complications: Five-year experience. Ann. Surg. 2009, 250, 187–196. [Google Scholar] [CrossRef] [PubMed]
- Nakamura, T. Surgeons’ Level of Expertise. J. Wrist Surg. 2020, 9, 185. [Google Scholar] [CrossRef] [PubMed]
- Mulders, A.M.; Kleipool, S.C.; Dingemans, S.A.; Van Eerten, P.; Schepers, T.; Goslings, J.C.; Schep, N.W.L. Normative data for the Patient-Rated Wrist Evaluation questionnaire. J. Hand Ther. 2018, 31, 287–294. [Google Scholar] [CrossRef]
- Rea, L.M.; Parker, R.A. Designing and Conducting Survey Research: A Comprehensive Guide; Jossey-Bass Publishers: San Fransico, CA, USA, 1992. [Google Scholar]
- Rampazzo, A.; Gharb, B.B.; Brock, G.; Scheker, L.R. Functional outcomes of the Aptis-Scheker Distal Radioulnar Joint Replacement in Patients Under 40 years old. J. Hand Surg. Am. 2015, 40, 1397–1403.e3. [Google Scholar] [CrossRef]
- Lambrecht, D.; Vanhove, W.; Hollevoet, N. Clinical and radiological results of distal radioulnar joint arthroplasty with the Aptis prosthesis. J. Hand Surg. Eur. 2022, 47, 379–386. [Google Scholar] [CrossRef]









| Case | Age (Years) | Gender M/F | Follow-Up Time | Dominant Hand | Affected Hand | Time between Trauma and Implantation | Previous Surgeries | Indication |
|---|---|---|---|---|---|---|---|---|
| 1 | 54 | F | 37 | R | R | - | 3 | DRUJ OA |
| 2 * | 35 | M | 113 | R | R | 81 | 4 | Ulnar instability after (hemi-) UH implant |
| 3 | 43 | M | 45 | R | L | 60 | 3 | DRUJ OA and instability |
| 4 | 63 | F | 76 | R | R | 29 | 1 | DRUJ OA and instability |
| 5 * | 55 | M | 59 | R | R | - | 4 | Ulnar instability after UH implant |
| 6 | 59 | F | 13 | R | L | 13 | 3 | DRUJ OA |
| 7 * | 65 | M | 40 | R | L | 231 | 5 | Ulnar instability after UH implant |
| 8 | 56 | M | 20 | R | L | 14 | 3 | DRUJ OA and instability |
| 9 | 26 | M | 44 | R | L | 90 | 3 | Ulnar instability after SK procedure |
| 10 | 62 | M | 47 | R | R | 96 | 1 | DRUJ OA |
| 11 | 38 | M | 106 | L | L | 17 | 2 | DRUJ OA and instability |
| 12 * | 56 | F | 95 | R | L | - | 5 | Ulnar instability after UH implant |
|
Mean (SD) | 50.4 (13.3) | 57.9 (32.7) | 70.1 (69.0) | 3.1 (1.3) |
| Category | Wrist Motion Affected Side | Wrist Motion Healthy Contralateral Side | Grip Strength Pain | ||||||||||||
|---|---|---|---|---|---|---|---|---|---|---|---|---|---|---|---|
| Case | Flexion ° | Extension ° | Radial Deviation ° | Ulnar deviation ° | Supination ° | Pronation ° | Flexion ° | Extension ° | Radial Deviation ° | Ulnar Deviation ° | Supination ° | Pronation ° | R/L (kg) Postoperative | VAS Pain Rest | VAS Pain Max |
| 1 | 45/46 | 60/54 | -/16 | -/32 | 60/46 | 80/46 | 66 | 64 | 20 | 36 | 64 | 90 | 16.0/17.3 | -/4 | -/9 |
| 2 | 80/62 | 40/66 | -/14 | -/28 | 20/50 | 90/80 | 80 | 80 | 30 | 38 | 74 | 86 | 64.3/59.3 | -/0 | -/4 |
| 3 | 50/25 | 50/56 | 20/16 | 30/24 | 50/36 | 70/86 | 60 | 72 | 22 | 40 | 40 | 80 | 46.7/18.3 | -/4 | -/7 |
| 4 | -/42 | -/72 | -/12 | -/30 | -/50 | -/82 | 62 | 68 | 28 | 38 | 50 | 80 | 24.3/20.3 | -/0 | -/0 |
| 5 | -/62 | -/64 | -/14 | -/35 | 0/66 | 30/82 | 60 | 65 | 22 | 36 | 60 | 110 | 60.7/46.0 | 6/0 | 10/1 |
| 6 | 50/46 | 60/64 | -/16 | -/34 | 40/58 | 45/84 | 56 | 68 | 23 | 38 | 66 | 84 | 36.3/31 | 0/1 | -/2 |
| 7 | 80/66 | 60/72 | 20/16 | 40/28 | 90/72 | 90/74 | 76 | 74 | 18 | 30 | 62 | 98 | 48.7/44 | -/0 | -/0 |
| 8 | 45/60 | 50/68 | -/11 | -/33 | 65/68 | 70/86 | 90 | 80 | 18 | 32 | 62 | 85 | 52.5/44.7 | -/1 | -/4 |
| 9 | -/46 | -/64 | -/18 | -/30 | -/74 | -/90 | 62 | 70 | 26 | 12 | 76 | 90 | 39/19.3 | 9/5 | 9/7 |
| 10 | -/36 | -/78 | -/14 | -/28 | -/44 | -/84 | 59 | 78 | 16 | 30 | 52 | 82 | 43/44.3 | -/0 | -/0 |
| 11 | 30/44 | 20/62 | 15/12 | 0/16 | 0/52 | 30/80 | 60 | 80 | 18 | 30 | 60 | 90 | 57/40.7 | 10/1 | 10/4 |
| 12 | -/38 | -/48 | -/16 | -/34 | 70/40 | 40/86 | 68 | 33 | 17 | 33 | 64 | 84 | 32.7/16.3 | -/0 | -/1 |
| Mean (SD) | 54.2 (18.8)/ 49.7 (14.2) | 43.3 (14.6)/ 63.3 (6.4) | 18.3 (2.9)/ 14.7(2.3) | 23.3 (20.8)/ 22.7 (6.1) | 43.9 (31.6)/ 54.2 (12.7) | 62.7 (24.1)/ 78.4 (12.0) | 66.9 (10.3) | 69.3 (12.9) | 21.5 (4.5) | 32.8 (7.4) | 60.8 (9.9) | 88.3 (8.6) | 6.3 (4.5)/ 1.8 (2.2) | 9.7 (0.6)/ 4.0 (3.0) | |
| p-value | 0.464 | 0.051 | 0.08 ‡ | 0.945 | 0.381 | 0.135 | 0.122 | 0.108 | |||||||
| Case | Patient Satisfaction with Aptis Implant | Aptis Implant Again? | Recommend Aptis Implant | Occupation | Return Work/Hobby |
|---|---|---|---|---|---|
| 1 | Neutral | No | No | Not able to work | No/No |
| 2 | Very satisfied | Yes | Yes | Navy | Yes/Yes |
| 3 | Very satisfied | Yes | Yes | Volunteer | No/No |
| 4 | Very satisfied | Yes | Yes | Retired | NA/Yes |
| 5 | Very satisfied | Yes | Yes | Manual Laborer | Yes/Yes |
| 6 | Very satisfied | Yes | Yes | Photographer | Yes/Yes |
| 7 | Very satisfied | Yes | Yes | Retired | NA/Yes |
| 8 | Very satisfied | Yes | Yes | Lieutenant Fire Fighter | Yes/Yes |
| 9 | Very satisfied | Yes | Yes | Courier | No/Yes |
| 10 | Very satisfied | Yes | Yes | Retired | NA/Yes |
| 11 | Satisfied | Yes | Yes | Account Manager | Yes/Yes |
| 12 | Neutral | Yes | Yes | Domestic help | Yes/Yes |
| % | (83%) | (92%) | (92%) | (83%)/(50%) |
| PRWHE Scores | PROMIS T-Scores (SE) | |||||||||
|---|---|---|---|---|---|---|---|---|---|---|
| Case | Pain | Function | Total | Esthetics | Pain Intensity Raw-Score | Pain Interference | Physical Function Upper Extremity | Depression | Anxiety | Ability to Participate in Social Roles + Activities |
| 1 | 40 | 33.5 | 77.5 | 4 * | 8 | 71 (1.4) | 35.6 (2.4) | 62.1 (1.8) | 63.5 (2.0) | 47.0 (1.6) |
| 2 | 9 | 3 | 12 | 0 | 1 | 40.7 (5.9) | 47.7 (3.9) | 38.2 (5.7) | 43.2 (3.3) | 65.4 (4.9) |
| 3 | 20 | 44 | 64 | 0 | 5 | 64.1 (1.3) | 24.9 (2.3) | 50.9 (2.0) | 49.4 (2.3) | 36.9 (1.5) |
| 4 | 0 | 0 | 0 | 0 | 0 | 40.7 (5.9) | 58.2 (6.7) | 38.2 (5.7) | 37.1 (5.5) | 65.4 (4.9) |
| 5 | 4 | 0 | 4 | 0 | 1 | 51.2 (1.5) | 58.2 (6.7) | 38.2 (5.7) | 37.1 (5.5) | 52.7 (1.6) |
| 6 | 8 | 10 | 18 | 0 | 1 | 52.3 (1.4) | 38.6 (2.6) | 44.7 (3.3) | 47.8 (2.5) | 56.8 (1.7) |
| 7 | 1 | 1.5 | 2.5 | 0 | 0 | 40.7 (5.9) | 58.2 (6.7) | 44.7 (3.3) | 47.8 (2.5) | 58.2 (2.0) |
| 8 | 12 | 3 | 15 | 0 | 2 | 49.9 (1.8) | 50.9 (4.5) | 38.2 (5.7) | 37.1 (5.5) | 51.7 (1.6) |
| 9 | 33 | 20.5 | 53.5 | 0 | 5 | 57.4 (1.3) | 45.6 (3.6) | 44.7 (3.3) | 47.8 (2.5) | 52.7 (1.6) |
| 10 | 0 | 8.5 | 8.5 | 0 | 0 | 40.7 (5.9) | 40.9 (2.9) | 38.2 (5.7) | 37.1 (5.5) | 65.4 (4.9) |
| 11 | 14 | 11.5 | 25.5 | 0 | 2 | 54.1 (1.4) | 45.6 (3.6) | 44.7 (3.3) | 43.2 (3.3) | 56.8 (1.7) |
| 12 | 4 | 7 | 13 | 0 | 2 | 58.8 (1.3) | 34.7 (2.4) | 56.8 (1.7) | 56.4 (2.0) | 40.2 (1.6) |
| Mean (SD) | 9.1 (9.7) | 11.9 (14.0) | 25.6 (27.9) | 2.25 (2.49) | 44.97 (7.97) | |||||
| Median (IQR) | 51.75 (40.7–58.8) | 45.6 (36.4–56.4) | 45.5 (37.1–49) | 54.8 (48.2–63.6) | ||||||
| Case | Radiological Evaluation | Combined Error | Translation Healthy | Translation Aptis | Δ Translation |
|---|---|---|---|---|---|
| 1 | Periprosthetic fracture; proximal screws | 11 | 1.5 | 0.5 | −1.0 |
| 2 | Lucency distal screw (37) | 6 | 2.8 | 0.6 | −2.2 |
| 3 | Heterotopic ossification (8) | 7 | 1.3 | 0.2 | −1.1 |
| 4 | No abnormalities | 5 | 2.8 | 0.5 | −2.3 |
| 5 | Heterotopic ossification (4) | 12 | 2.7 | 3.5 | 0.8 |
| 6 | - | 7 | 1.4 | 4.1 | 2.7 |
| 7 | Heterotopic ossification (5) + Lucency distal screw radius (13) | 14 | 2.1 | 0.3 | −1.9 |
| 8 | No abnormalities | 6 | 1.6 | 0.3 | −1.3 |
| 9 | Chip distal ulna (7) + Heterotopic ossification (24) | 13 | 1.8 | 0.3 | −1.5 |
| 10 | Dystrophic calcification (1.5) | 10 | 2.4 | 0.4 | −2.0 |
| 11 | Lucency distal screw (8) + heterotopic ossification (48) | 10 | 1.9 | 2.0 | 0.1 |
| 12 | Heterotopic ossification (57) | 9 | 1.7 | 0.3 | −1.4 |
| Average (SD) | 9 (3) | 2.0 (0.6) | 1.1 (1.3) | −0.9 (1.4) |
| Case | Complications (Months) | Revision Surgery | Clavien–Dindo Classification |
|---|---|---|---|
| 1 | Periprosthetic fracture; proximal screws (18 days postoperative) | Volare locking plate fixation Removal osteosynthesis material Posterior interosseus nerve neurectomy | Grade IIIa Grade IIIa Grade IIIa |
| 2 | Recurrent ECU tendinitis (37) Tenosynovitis fourth extensor compartment (113) | None Tenosynovectomy | Grade IIIa |
| 3 | Protruding screw (3.5) ECU tendinitis (8) Painful rotation (18) | Shortening screw tip and release first extensor compartment Posterior interosseus nerve neurectomy | Grade IIIa Grade IIIa |
| 4 | None | None | |
| 5 | ECU tendinitis (4) | None | Grade II |
| 6 | None | None | |
| 7 | Extreme heterotopic ossification | Removal heterotopic ossification | Grade IIIa |
| 8 | None | None | |
| 9 | ECU tendinitis (7) | None | Grade II |
| 10 | Adhesion FPL after removal volar locking plate radius | None | |
| 11 | None | None | |
| 12 | ECU tendinitis (13) + (57) | None | Grade II |
Disclaimer/Publisher’s Note: The statements, opinions and data contained in all publications are solely those of the individual author(s) and contributor(s) and not of MDPI and/or the editor(s). MDPI and/or the editor(s) disclaim responsibility for any injury to people or property resulting from any ideas, methods, instructions or products referred to in the content. |
© 2023 by the authors. Licensee MDPI, Basel, Switzerland. This article is an open access article distributed under the terms and conditions of the Creative Commons Attribution (CC BY) license (https://creativecommons.org/licenses/by/4.0/).
Share and Cite
Stougie, S.D.; van Doesburg, M.H.M.; Oonk, J.G.M.; Plugge, L.; Streekstra, G.J.; Dobbe, J.G.G.; Coert, J.H. Performance of the Aptis Distal Radioulnar Joint Implant: A Clinical Case Series Including Four-Dimensional Computed Tomography Kinematic Analysis. J. Clin. Med. 2023, 12, 5815. https://doi.org/10.3390/jcm12185815
Stougie SD, van Doesburg MHM, Oonk JGM, Plugge L, Streekstra GJ, Dobbe JGG, Coert JH. Performance of the Aptis Distal Radioulnar Joint Implant: A Clinical Case Series Including Four-Dimensional Computed Tomography Kinematic Analysis. Journal of Clinical Medicine. 2023; 12(18):5815. https://doi.org/10.3390/jcm12185815
Chicago/Turabian StyleStougie, Shirley D., Margriet H. M. van Doesburg, Joris G. M. Oonk, Lara Plugge, Geert J. Streekstra, Johannes G. G. Dobbe, and Jan Henk Coert. 2023. "Performance of the Aptis Distal Radioulnar Joint Implant: A Clinical Case Series Including Four-Dimensional Computed Tomography Kinematic Analysis" Journal of Clinical Medicine 12, no. 18: 5815. https://doi.org/10.3390/jcm12185815
APA StyleStougie, S. D., van Doesburg, M. H. M., Oonk, J. G. M., Plugge, L., Streekstra, G. J., Dobbe, J. G. G., & Coert, J. H. (2023). Performance of the Aptis Distal Radioulnar Joint Implant: A Clinical Case Series Including Four-Dimensional Computed Tomography Kinematic Analysis. Journal of Clinical Medicine, 12(18), 5815. https://doi.org/10.3390/jcm12185815

