Pancreaticobiliary Diseases with Severe Complications as a Rare Indication for Emergency Pancreaticoduodenectomy: A Single-Center Experience and Review of the Literature
Abstract
1. Introduction
2. Materials and Methods
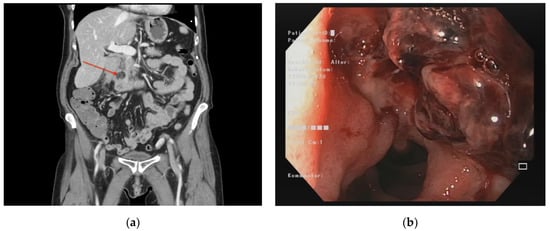
3. Results
4. Discussion
5. Conclusions
Author Contributions
Funding
Institutional Review Board Statement
Informed Consent Statement
Data Availability Statement
Conflicts of Interest
Abbreviations
| EPD | Emergency Pancreaticoduodenectomy |
| PD | Pancreaticoduodenectomy |
| ICU | Intensive Care Unit |
| NET | Neuroendocrine Tumor |
| IPMN | Intraductal Papillary Mucinous Neoplasm |
| BDA | Biliodigestive Anastomosis |
| PTCD | Percutaneous Transhepatic Cholangiography and Drainage |
| GIST | Gastrointestinal Stromal Tumor |
References
- Avisse, C.; Flament, J.B.; Delattre, J.F. Ampulla of Vater. Anatomic, embryologic, and surgical aspects. Surg. Clin. N. Am. 2000, 80, 201–212. [Google Scholar] [CrossRef] [PubMed]
- Schlicke, C.P.; Logan, A.H. Complications of duodenal ulcer. Postgrad. Med. 1962, 32, 578–584. [Google Scholar] [CrossRef] [PubMed]
- Perera, M.T.P.R.; Shimoda, M.; Kato, M.; Abe, A.; Yamazaki, R.; Sawada, T.; Kubota, K. Life-threatening bleeding from duodenal varices due to pancreatic arterio-venous malformation: Role of emergency pancreatoduodenectomy. Hepatogastroenterology 2008, 55, 1553–1556. [Google Scholar] [PubMed]
- Gagne, S.; O′Sullivan-Murphy, B.; Lo, H.S.; McIntosh, L.J. Pancreaticobiliary Trauma: A Multimodality Imaging Update. Semin. Ultrasound. CT MR 2018, 39, 355–362. [Google Scholar] [CrossRef]
- Driedger, M.R.; Puig, C.A.; Thiels, C.A.; Bergquist, J.R.; Ubl, D.S.; Habermann, E.B.; Grotz, T.E.; Smoot, R.L.; Nagorney, D.M.; Cleary, S.P.; et al. Emergent pancreatectomy for neoplastic disease: Outcomes analysis of 534 ACS-NSQIP patients. BMC Surg. 2020, 20, 169. [Google Scholar] [CrossRef]
- Tian, Y.; Ma, J.L.G.; Jayasekera, H.; Evans, P. Rare case of multiple duodenal diverticula requiring emergency pylorus-preserving pancreaticoduodenectomy. ANZ J. Surg. 2021, 91, 2529–2531. [Google Scholar] [CrossRef]
- Ramaswamy, R.S.; Choi, H.W.; Mouser, H.C.; Narsinh, K.H.; McCammack, K.C.; Treesit, T.; Kinney, T.B. Role of interventional radiology in the management of acute gastrointestinal bleeding. World J. Radiol. 2014, 6, 82. [Google Scholar] [CrossRef]
- Ansari, D.; Torén, W.; Lindberg, S.; Pyrhönen, H.S.; Andersson, R. Diagnosis and management of duodenal perforations: A narrative review. Scand J. Gastroenterol. 2019, 54, 939–944. [Google Scholar] [CrossRef]
- Samuel, R.; Bilal, M.; Tayyem, O.; Guturu, P. Evaluation and management of Non-variceal upper gastrointestinal bleeding. Dis. Mon. 2018, 64, 333–343. [Google Scholar] [CrossRef]
- Millat, B.; Fingerhut, A.; Borie, F. Surgical treatment of complicated duodenal ulcers: Controlled trials. World J. Surg. 2000, 24, 299–306. [Google Scholar] [CrossRef]
- Strobel, O.; Schneider, L.; Philipp, S.; Fritz, S.; Büchler, M.W.; Hackert, T. Emergency pancreatic surgery—Demanding and dangerous. Langenbecks Arch. Surg. 2015, 400, 837–841. [Google Scholar] [CrossRef] [PubMed]
- Cameron, J.L.; Riall, T.S.; Coleman, J.; Belcher, K.A. One thousand consecutive pancreaticoduodenectomies. Ann. Surg. 2006, 244, 10–15. [Google Scholar] [CrossRef] [PubMed]
- Dutch Pancreatic Cancer Group; de Wilde, R.F.; Besselink, M.G.H.; van der Tweel, I.; de Hingh, I.H.J.T.; van Eijck, C.H.J.; Dejong, C.H.C.; Porte, R.J.; Gouma, D.J.; Busch, O.R.C.; et al. Impact of nationwide centralization of pancreaticoduodenectomy on hospital mortality. Br. J. Surg. 2012, 99, 404–410. [Google Scholar] [CrossRef] [PubMed]
- Büchler, M.W.; Wagner, M.; Schmied, B.M.; Uhl, W.; Friess, H.; Z’Graggen, K. Changes in Morbidity after Pancreatic Resection: Toward the End of Completion Pancreatectomy. Arch. Surg. 2003, 138, 1310–1314. [Google Scholar] [CrossRef] [PubMed]
- Standop, J.; Glowka, T.; Schmitz, V.; Schaefer, N.; Hirner, A.; Kalff, J.C. Emergency Kausch-Whipple procedure: Indications and experiences. Pancreas 2010, 39, 156–159. [Google Scholar] [CrossRef]
- Nentwich, M.F.; Reeh, M.; Uzunoglu, F.G.; Bachmann, K.; Bockhorn, M.; Izbicki, J.R.; Vashist, Y.K. Non-trauma Emergency Pancreatoduodenectomies: A Single-Center Retrospective Analysis. World J. Surg. 2016, 40, 2261–2266. [Google Scholar] [CrossRef]
- Lissidini, G.; Prete, F.P.; Piccinni, G.; Gurrado, A.; Giungato, S.; Prete, F.; Testini, M. Emergency pancreaticoduodenectomy: When is it needed? A dual non-trauma centre experience and literature review. Int. J. Surg. 2015, 21, 83–88. [Google Scholar] [CrossRef]
- Z’graggen, K.; Strobel, O.; Schmied, B.M.; Zimmermann, A.; Büchler, M.W. Emergency pancreatoduodenectomy in nontrauma patients. Pancreas 2002, 24, 258–263. [Google Scholar] [CrossRef]
- Gulla, A.; Tan, W.P.; Pucci, M.J.; Dambrauskas, Z.; Rosato, E.L.; Kaulback, K.R.; Pundzius, J.; Barauskas, G.; Yeo, C.J.; Lavu, H. Emergent pancreaticoduodenectomy: A dual institution experience and review of the literature. J. Surg. Res. 2014, 186, 1–6. [Google Scholar] [CrossRef]
- Eftimie, M.A.; Lungu, V.; Tudoroiu, M.; Vatachki, G.; Batca, S.; David, L. Emergency Pancreatico-Duodenectomy with Superior Mesenteric and Portal Vein Resection and Reconstruction Using a Gore-Tex Vascular Graft. Chirurgia 2017, 112, 50–57. [Google Scholar] [CrossRef]
- Lupascu, C.; Trofin, A.M.; Zabara, M.; Vornicu, A.; Cadar, R.; Vlad, N.; Apopei, O.; Grigorean, V.; Lupascu-Ursulescu, C. Emergency Backwards Whipple for Bleeding: Formidable and Definitive Surgery. Gastroenterol. Res. Pract. 2017, 3, 2036951. [Google Scholar] [CrossRef] [PubMed]
- Tsai, C.-Y.; Lai, B.-R.; Wang, S.-Y.; Liao, C.-H.; Liu, Y.-Y.; Kang, S.-C.; Yeh, C.-N.; Jan, Y.-Y.; Yeh, T.-S. The impact of preoperative etiology on emergent pancreaticoduodenectomy for non-traumatic patients. World J. Emerg. Surg. 2017, 12, 1–5. [Google Scholar] [CrossRef] [PubMed]
- Ahmad, H.; Bajwa, M.K.; Lutfi, I.; Haider, J.; Alam, S.N. Spontaneous Arteriocholedochal Fistula as a Cause of Life-Threatening Hemobilia in a Type I Giant Choledochal Cyst: A Case Report on an Unusual Situation Requiring Whipple’s Pancreatoduodenectomy. Cureus 2019, 11, 5441. [Google Scholar] [CrossRef] [PubMed]
- Philip, J.; Cocieru, A. Pancreatoduodenectomy in patient with perforated duodenal diverticulum and peritonitis: Case report. Int. J. Surg. Case Rep. 2019, 58, 48–49. [Google Scholar] [CrossRef] [PubMed]
- Kitazono, M.; Fujita, M.; Katsue, K.; Ikeda, N.; Oyama, T.; Eguchi, M.; Kamimura, G.; Sato, R.; Uchiyama, S.; Toyosaki, R.; et al. A case of emergency pancreatoduodenectomy for bleeding from the duodenal mucosa due to arteriovenous malformation of the pancreatic head. Clin. Case Rep. 2021, 9, 04824. [Google Scholar] [CrossRef]
- Schlanger, D.; Popa, C.; Ciocan, A.; Șofron, C.; Al Hajjar, N. Emergency Pancreatoduodenectomy: A Non-Trauma Center Case Series. J. Clin. Med. 2022, 11, 2891. [Google Scholar] [CrossRef]
- Topal, B.; Van De Sande, S.; Fieuws, S.; Penninckx, F. Effect of centralization of pancreaticoduodenectomy on nationwide hospital mortality and length of stay. Br. J. Surg. 2007, 94, 1377–1381. [Google Scholar] [CrossRef]
- Polonski, A.; Izbicki, J.R.; Uzunoglu, F.G. Centralization of Pancreatic Surgery in Europe. J. Gastrointest. Surg. 2019, 23, 2081–2092. [Google Scholar] [CrossRef]
- van der Wilden, G.M.; Yeh, D.D.; Hwabejire, J.O.; Klein, E.N.; Fagenholz, P.J.; King, D.R.; de Moya, M.A.; Chang, Y.; Velmahos, G.C. Trauma Whipple: Do or don’t after severe pancreaticoduodenal injuries? An analysis of the National Trauma Data Bank (NTDB). World J. Surg. 2014, 38, 335–340. [Google Scholar] [CrossRef]
- Asensio, J.A.; Petrone, P.; Roldán, G.; Kuncir, E.; Demetriades, D. Pancreaticoduodenectomy: A rare procedure for the management of complex pancreaticoduodenal injuries. J. Am. Coll. Surg. 2003, 197, 937–942. [Google Scholar] [CrossRef]
- Krige, J.E.; Nicol, A.J.; Navsaria, P.H. Emergency pancreatoduodenectomy for complex injuries of the pancreas and duodenum. HPB 2014, 16, 1043–1049. [Google Scholar] [CrossRef][Green Version]
- Vasile, D.; Ilco, A.; Tenovici, G.; Popa, D.; Lutic, C.; Geogloman, I.; Popa, A. Emergency pancreatoduodenectomy for severe iatrogenic duodenal injury-case report. Chirurgia 2011, 106, 405–408. [Google Scholar] [PubMed]
- Stratigos, P.; Kouskos, E.; Kouroglou, M.; Chrisafis, I.; Fois, L.; Mavrogiorgis, A.; Axiotis, E.; Zamtrakis, S. Emergency pancreatoduodenectomy (whipple procedure) for massive upper gastrointestinal bleeding caused by a diffuse B-cell lymphoma of the duodenum: Report of a case. Surg. Today 2007, 37, 680–684. [Google Scholar] [CrossRef] [PubMed]
- Mirea, C.S.; Ciorbagiu, M.C.; Obleagă, C.V.; Moraru, E.; Mogoantă, S.; Ciurea, R.N.; Foarfă, M.C.; Vîlcea, A.M.; Vîlcea, I.D. Stage IV duodenal GIST requiring emergency pancreaticoduodenectomy—Diagnosis difficulties and therapeutic options. Rom. J. Morphol. Embryol. 2018, 59, 543–548. [Google Scholar] [PubMed]
- Neofytou, K.; Giakoustidis, A.; Gore, M.; Mudan, S. Emergency Pancreatoduodenectomy with Preservation of Gastroduodenal Artery for Massive Gastrointestinal Bleeding due to Duodenal Metastasis by Clear Cell Renal Cell Carcinoma in a Patient with Celiac Artery Stenosis. Case Rep. Surg. 2014, 2014, 218953. [Google Scholar] [CrossRef]
- Bassi, C.; Falconi, M.; Salvia, R.; Mascetta, G.; Molinari, E.; Pederzoli, P.P. Management of complications after pancreaticoduodenectomy in a high volume centre: Results on 150 consecutive patients. Dig. Surg. 2001, 18, 453–457. [Google Scholar] [CrossRef] [PubMed]
- Del Valle, J.P.; Mahvi, D.A.; Fairweather, M.; Wang, J.; Clancy, T.E.; Ashley, S.W.; Urman, R.D.; Whang, E.E.; Gold, J.S. The improvement in post-operative mortality following pancreaticoduodenectomy between 2006 and 2016 is associated with an improvement in the ability to rescue patients after major morbidity, not in the rate of major morbidity. HPB 2021, 23, 434–443. [Google Scholar] [CrossRef]
- Vining, C.C.; Kuchta, K.; Schuitevoerder, D.; Paterakos, P.; Berger, Y.; Roggin, K.K.; Talamonti, M.S.; Hogg, M.E. Risk factors for complications in patients undergoing pancreaticoduodenectomy: A NSQIP analysis with propensity score matching. J. Surg. Oncol. 2020, 122, 183–194. [Google Scholar] [CrossRef]


| Patient No. | Age/Gender | Indication | Procedure | Complication | Hospital Stay (Days) | Death |
|---|---|---|---|---|---|---|
| 1 | 70/F | perforated duodenal diverticulum | cl Whipple | no | 14 | no |
| 2 | 65/F | bleeding ulcer | cl Whipple | BDA insufficiency | 95 | no |
| 3 | 66/F | complex duodenal ulcer | cl Whipple | no | 23 | no |
| 4 | 64/M | complex duodenal ulcer | cl Whipple | no | 21 | no |
| 5 | 51/M | bleeding ulcer | cl Whipple | no | 20 | no |
| 6 | 72/F | complex duodenal ulcer | cl Whipple | no | 21 | no |
| 7 | 55/M | bleeding ulcer | cl Whipple | BDA insufficiency | 45 | no |
| 8 | 78/M | bleeding ulcer | cl Whipple | BDA insufficiency | 44 | no |
| 9 | 51/M | complex duodenal ulcer | cl Whipple | no | 63 | no |
| 10 | 62/M | bleeding ulcer | cl Whipple | no | 12 | no |
| 11 | 67/F | bleeding ulcer | cl Whipple | Acute necrotizing pancreatitis, colonic ischemia | (8) * | yes |
| Study Year | Author | Patients Meeting Inclusion Criteria | Indication | Mortality Rate |
|---|---|---|---|---|
| 2002 | Z´graggen et al. [18] | 1/4 | duodenal ulcer | 0/1, 0% |
| 2013 | Gulla et al. [19] | 1/10 | bleeding duodenal ulcer | 0/1, 0% |
| 2015 | Strobel et al. [11] | 2/10 | bleeding duodenal ulcer, bile duct necrosis | 2/2, 100% |
| 2016 | Nentwich et al. [16] | 4/10 | duodenal ulcer, bleeding pancreatic pseudocyst, perforated duodenal diverticulum | 2/4, 50% |
| 2017 | Eftimie et al. [20] | 1/1 | bleeding pseudoaneurysm | 0/1, 0% |
| 2017 | Lupascu et al. [21] | 3/5 | bleeding pancreatic pseudocyst, bleeding duodenal diverticulum, duodenal varices | 1/3, 33% |
| 2017 | Tsai et al. [22] | 2/6 | bleeding duodenal ulcer, bowel ischemia | 1/2, 50% |
| 2019 | Ahmad et al. [23] | 1/1 | arteriocholedochal fistula | 0/1, 0% |
| 2019 | Philip et al. [24] | 1/1 | perforated duodenal diverticulum | 0/1, 0% |
| 2021 | Kitazono et al. [25] | 1/1 | bleeding arteriovenous malformation | 0/1, 0% |
| 2021 | Tian et al. [6] | 1/1 | duodenal diverticulum | 0/1, 0% |
| 2022 | Schlanger et al. [26] | 2/4 | bleeding pseudoaneurysm | 1/2, 50% |
Disclaimer/Publisher’s Note: The statements, opinions and data contained in all publications are solely those of the individual author(s) and contributor(s) and not of MDPI and/or the editor(s). MDPI and/or the editor(s) disclaim responsibility for any injury to people or property resulting from any ideas, methods, instructions or products referred to in the content. |
© 2023 by the authors. Licensee MDPI, Basel, Switzerland. This article is an open access article distributed under the terms and conditions of the Creative Commons Attribution (CC BY) license (https://creativecommons.org/licenses/by/4.0/).
Share and Cite
Fickenscher, M.; Vorontsov, O.; Müller, T.; Radeleff, B.; Graeb, C. Pancreaticobiliary Diseases with Severe Complications as a Rare Indication for Emergency Pancreaticoduodenectomy: A Single-Center Experience and Review of the Literature. J. Clin. Med. 2023, 12, 5760. https://doi.org/10.3390/jcm12175760
Fickenscher M, Vorontsov O, Müller T, Radeleff B, Graeb C. Pancreaticobiliary Diseases with Severe Complications as a Rare Indication for Emergency Pancreaticoduodenectomy: A Single-Center Experience and Review of the Literature. Journal of Clinical Medicine. 2023; 12(17):5760. https://doi.org/10.3390/jcm12175760
Chicago/Turabian StyleFickenscher, Maximilian, Oleg Vorontsov, Thomas Müller, Boris Radeleff, and Christian Graeb. 2023. "Pancreaticobiliary Diseases with Severe Complications as a Rare Indication for Emergency Pancreaticoduodenectomy: A Single-Center Experience and Review of the Literature" Journal of Clinical Medicine 12, no. 17: 5760. https://doi.org/10.3390/jcm12175760
APA StyleFickenscher, M., Vorontsov, O., Müller, T., Radeleff, B., & Graeb, C. (2023). Pancreaticobiliary Diseases with Severe Complications as a Rare Indication for Emergency Pancreaticoduodenectomy: A Single-Center Experience and Review of the Literature. Journal of Clinical Medicine, 12(17), 5760. https://doi.org/10.3390/jcm12175760

