The Role of Echocardiography and Cardiac Computed Tomography in Diagnosis of Infective Endocarditis
Abstract
:1. Introduction
- The presence of anatomical obstacles in the performance of TEE and intolerance or refusal of TEE;
- The presence of metallic material in the heart;
- Initial negative or inconclusive TEE in the case of existing suspicion of IE;
- Suspicion of perivalvular infection;
2. Material and Methods
2.1. Study Design and Population
2.2. Transthoracic and Transesophageal Echocardiography
2.3. ECG-Gated Cardiac Computed Tomography
2.4. Technical Criteria for Image Quality Improvement
2.5. Statistical Analysis
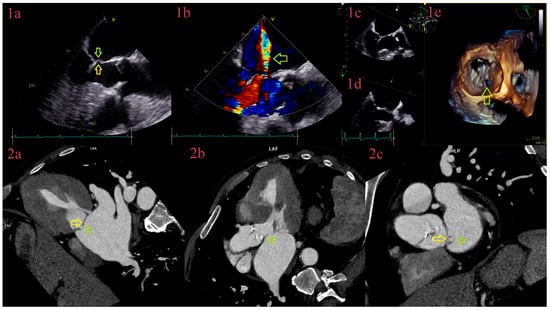
3. Results
3.1. Patients and Valves
3.2. Diagnostic Performance of Echocardiography and Cardiac Computed Tomography
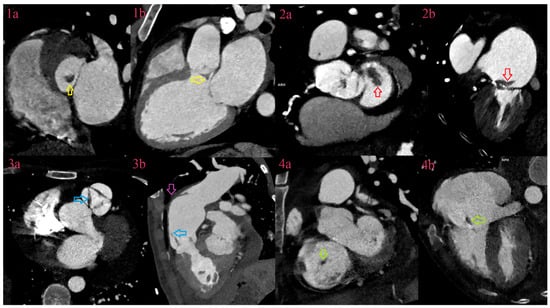
3.3. Vegetations
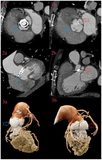
3.4. Aneurysms
3.5. Perforations
3.6. Abscesses
3.7. Pseudoaneurysms
3.8. Fistulas
3.9. Leaks
3.10. Image Quality Improvement
4. Discussion
5. Limitations of the Study
6. Conclusions
Author Contributions
Funding
Institutional Review Board Statement
Informed Consent Statement
Data Availability Statement
Conflicts of Interest
References
- Cahill, T.J.; Prendergast, B.D. Infective endocarditis. Lancet 2016, 387, 882–893. [Google Scholar] [CrossRef] [PubMed]
- Chambers, H.; Bayer, A.S. Native-Valve Infective Endocarditis. N. Engl. J. Med. 2020, 383, 567–576. [Google Scholar] [CrossRef]
- Hubers, S.A.; DeSimone, D.C.; Gersh, B.J.; Anavekar, N.S. Infective Endocarditis: A Contemporary Review. Mayo Clin. Proc. 2020, 95, 982–997. [Google Scholar] [CrossRef] [PubMed]
- Abegaz, T.M.; Bhagavathula, A.S.; Gebreyohannes, E.A.; Mekonnen, A.B.; Abebe, T.B. Short- and long-term outcomes in infective endocarditis patients: A systematic review and meta-analysis. BMC Cardiovasc. Disord. 2017, 17, 291. [Google Scholar] [CrossRef] [PubMed]
- Talha, K.M.; Baddour, L.M.; Thornhill, M.H.; Arshad, V.; Tariq, W.; Tleyjeh, I.M.; Scott, C.G.; Hyun, M.C.; Bailey, K.R.; Anavekar, N.S.; et al. Escalating incidence of infective endocarditis in Europe in the 21st century. Open Heart 2021, 8, e001846. [Google Scholar] [CrossRef]
- Baltimore, R.S.; Gewitz, M.; Baddour, L.M.; Beerman, L.B.; Jackson, M.A.; Lockhart, P.B.; Pahl, E.; Schutze, G.E.; Shulman, S.T.; Willoughby, R., Jr. Infective Endocarditis in Childhood: 2015 Update A Scientific Statement from the American Heart Association. Circulation 2015, 132, 1487–1515. [Google Scholar] [CrossRef] [PubMed]
- Durack, D.T.; Lukes, A.S.; Bright, D.K.; Service, D.E. New criteria for diagnosis of infective endocarditis: Utilization of specific echocardiographic findings. Am. J. Med. 1994, 96, 200–209. [Google Scholar] [CrossRef]
- Li, J.S.; Sexton, D.J.; Mick, N.; Nettles, R.; Fowler, V.G., Jr.; Ryan, T.; Bashore, T.; Corey, G.R. Proposed Modifications to the Duke Criteria for the Diagnosis of Infective Endocarditis. Clin. Infect. Dis. 2000, 30, 633–638. [Google Scholar] [CrossRef]
- Habib, G.; Lancellotti, P.; Antunes, M.J.; Bongiorni, M.G.; Casalta, J.P.; Del Zotti, F.; Dulgheru, R.; El Khoury, G.; Erba, P.A.; Iung, B.; et al. The Task Force for the Management of infective Endo-carditis of the European Society of Cardiology (ESC) Endorsed by European Association for Cardio-Thoracic Surgery (EACTS), the European Association of Nuclear Medicine (EANM). 2015 ESC Guidelines for the management of infective endocarditis. Eur. Heart J. 2015, 36, 3075–3123. [Google Scholar]
- Salaun, E.; Habib, G. Beyond standard echocardiography in Infective endocarditis Computed tomography, 3-dimensional imaging and multi-imaging. Circ. Cardiovasc. Imaging 2018, 11, e007626. [Google Scholar] [CrossRef]
- Pettersson, G.B.; Hussain, S.T.; Shrestha, N.K.; Gordon, S.; Fraser, T.G.; Ibrahim, K.S.; Blackstone, E.H. Infective endocarditis: An Atlas of disease progression for describing, staging, coding, and understanding the pathology. J. Thorac. Cardiovasc. Surg. 2014, 147, 1142–1149. [Google Scholar] [CrossRef] [PubMed]
- Habib, G.; Badano, L.; Tribouilloy, C.; Vilacosta, I.; Zamorano, J.L.; Galderisi, M. Recommendations for the practice of echo-cardiography in infective endocarditis. Eur. J. Echocardiogr. 2010, 11, 202–219. [Google Scholar] [CrossRef] [PubMed]
- Bin Saeedan, M.; Wang, T.K.M.; Cremer, P.; Wahadat, A.R.; Budde, R.P.J.; Unai, S.; Pettersson, G.B.; Bolen, M.A. Role of Cardiac CT in Infective Endocarditis: Current Evidence, Opportunities, and Challenges. Radiol. Cardiothorac. Imaging 2021, 3, e200378. [Google Scholar] [CrossRef] [PubMed]
- Erba, P.A.; Pizzi, M.N.; Roque, A.; Salaun, E.; Lancellotti, P.; Tornos, P.; Habib, G. Multimodality imaging in Infective endocaditis An Imaging Team Within the Endocarditis Team. Circulation 2019, 140, 1753–1765. [Google Scholar] [CrossRef]
- Pettersson, G.B.; Hussain, S.T. Current AATS guidelines on surgical treatment of infective endocarditis. Ann. Cardiothorac. Surg. 2019, 8, 630–644. [Google Scholar] [CrossRef]
- Cahill, T.J.; Baddour, L.M.; Habib, G.; Hoen, B.; Salaun, E.; Pettersson, G.B.; Schäfers, H.J.; Prendergast, B.D. Challenges in Infective Endocarditis. J. Am. Coll. Cardiol. 2017, 69, 325–344. [Google Scholar] [CrossRef]
- Afonso, L.; Kottam, A.; Reddy, V.; Penumetcha, A. Echocardiography in Infective Endocarditis: State of the Art. Curr. Cardiol. Rep. 2017, 19, 127. [Google Scholar] [CrossRef]
- Gomes, A.; Glaudemans, A.W.J.M.; Touw, D.J.; van Melle, J.P.; Willems, T.P.; Maass, A.H.; Natour, E.; Prakken, N.H.J.; Borra, R.J.H.; van Geel, P.P.; et al. Diagnostic value of imaging in infective endocarditis: A systematic review. Lancet Infect. Dis. 2017, 17, e1–e14. [Google Scholar] [CrossRef]
- Wang, T.K.M.; Bin Saeedan, M.; Chan, N.; Obuchowski, N.A.; Shrestha, N.; Xu, B.; Unai, S.; Cremer, P.; Grimm, R.A.; Griffin, B.P.; et al. Complementary Diagnostic and Prognostic Contributions of Cardiac Computed Tomography for Infective Endocaditis Surgery. Circ. Cardiovasc. Imaging 2020, 13, e011126. [Google Scholar] [CrossRef]
- Sifaoui, I.; Oliver, L.; Tacher, V.; Fiore, A.; Lepeule, R.; Moussafeur, A.; Huguet, R.; Teiger, E.; Audureau, E.; Derbel, H.; et al. Diagnostic Performance of Transesophageal Echocardiography and Cardiac Computed Tomography in Infective Endocarditis. J. Am. Soc. Echocardiogr. 2020, 33, 1442–1453. [Google Scholar] [CrossRef]
- Feuchtner, G.M.; Stolzmann, P.; Dichtl, W.; Schertler, T.; Bonatti, J.; Scheffel, H.; Mueller, S.; Plass, A.; Mueller, L.; Bartel, T.; et al. Multislice Computed Tomography in Infective Endocarditis Comparison with Transesophageal Echocardiography and Intraoperative Findings. JACC 2009, 53, 436–444. [Google Scholar] [CrossRef] [PubMed]
- Gahide, G.; Bommart, S.; Demaria, R.; Sportouch, C.; Dambia, H.; Albat, B.; Vernhet-Kovacsik, H. Preoperative Evaluation in Aortic Endocarditis: Findings on Cardiac CT. Am. J. Roentgenol. 2010, 194, 574–578. [Google Scholar] [CrossRef]
- Koo, H.J.; Yang, D.H.; Kang, J.-W.; Lee, J.Y.; Kim, D.-H.; Song, J.-M.; Kang, D.-H.; Song, J.-K.; Kim, J.B.; Jung, S.-H.; et al. Demonstration of infective endocarditis by cardiac CT and transoesophageal echocardiography: Comparison with intra-operative findings. Eur. Heart J. Cardiovasc. Imaging 2018, 19, 199–207. [Google Scholar] [CrossRef]
- Ouchi, K.; Sakuma, T.; Ojiri, H. Cardiac computed tomography as a viable alternative to echocardiography to detect vegetations and perivalvular complications in patients with infective endocarditis. Jpn. J. Radiol. 2018, 36, 421–428. [Google Scholar] [CrossRef] [PubMed]
- Sims, J.R.; Anavekar, N.S.; Chandrasekaran, K.; Steckelberg, J.M.; Wilson, W.R.; Gersh, B.J.; Baddour, L.M.; DeSimone, D.C. Utility of cardiac computed tomography scanning in the diagnosis and pre-operative evaluation of patients with infective endocarditis. Int. J. Cardiovasc. Imaging 2018, 34, 1155–1163. [Google Scholar] [CrossRef]
- Ye, W.; Ren, G.; Zhong, X.; Jian, X.; Chen, O.; Ma, Q.; Fei, H.; Lin, Q.; Wu, L.; Liu, H. ECG-gated CT in Aortic Perivalvular Abscess: Comparison with Transesophageal Echocardiography and Intraoperative Findings. Radiology 2020, 297, 334–341. [Google Scholar] [CrossRef] [PubMed]
- Oliveira, M.; Guittet, L.; Hamon, M.; Hamon, M. Comparative Value of Cardiac CT and Transesophageal Echocardiography in Infective Endocarditis: A Systematic Review and Meta-Analysis. Radiol. Cardiothorac. Imaging 2020, 2, e190189. [Google Scholar] [CrossRef]
- Habets, J.; Tanis, W.; van Herwerden, L.A.; Brink, R.B.A.v.D.; Mali, W.P.T.M.; de Mol, B.A.J.M.; Chamuleau, S.A.J.; Budde, R.P.J. Cardiac computed tomography angiography results in diagnostic and therapeutic change in prosthetic heart valve endocarditis. Int. J. Cardiovasc. Imaging 2014, 30, 377–387. [Google Scholar] [CrossRef]







| Variable | Mean ± SD or Median and IQR | Minimum–Maximum Number/ Percentage |
|---|---|---|
| Age | 52.29 ± 16.62 | 14–84 |
| Male to Female | 56:22 | 71.8%:28.2% |
| Heart Rate (bpm) | 78.00 ± 13.75 | 40–117 |
| Ejection fraction (%) | 56 ± 13 | 20–81 |
| Risk factors | ||
| Degenerative valve disease | 10 | 12.8% |
| Prosthetic valve | 13 | 16.7% |
| Bicuspid aortic valve | 14 | 17.9% |
| Mitral valve prolapse | 7 | 9.0% |
| Uncorrected congenital heart defect | 3 | 3.8% |
| Corrected congenital heart defect | 5 | 6.4% |
| Pacemaker leads | 4 | 5.1% |
| Positive blood culture | 47 out of 74 (4 missing) | 60.3% |
| Causative microorganisms | ||
| Staphylococcus species | 23.2% | |
| Streptococcus species | 10.4% | |
| Enterococcus species | 16.7% | |
| Others | 11.7% | |
| Laboratory findings | ||
| White blood cell counts [109/L) | 11.00 ± 7.79 | 3.2–62.4 |
| C-reactive protein (mL/L) | 86.30 ± 82.17 | 3.2–335.6 |
| Fibrinogen (g/L) | 5.33 ± 1.93 | 2.1–12.0 |
| Procalcitonin (ng/mL) | 0.15 ± 3.19 | 0.03–14.61 |
| Creatinine (µmol/L) | 89.50 ± 199.66 | 53–1121 |
| Systemic emboli in specific organ | ||
| Absent | 51 | 65.4% |
| Brain | 3 | 3.8% |
| Lungs | 4 | 5.1% |
| Liver | 2 | 2.6% |
| Spleen | 11 | 14.1% |
| Kidney | 1 | 1.3% |
| Muscles | 1 | 1.3% |
| Vessels | 1 | 1.3% |
| Spondylodiscitis | 2 | 2.6% |
| Coronary artery disease | ||
| Absent | 42 | 53.8% |
| Intermediate stenosis | 22 | 28.2% |
| Significant stenosis | 8 | 10.3% |
| Mycotic pseudoaneurysms | 6 | 7.7% |
| Diagnostic Performance | TTE | TEE | CCT | TTE + TEE + CCT |
|---|---|---|---|---|
| Valvular and paravalvular lesions | ||||
| Accuracy | 50.6% | 59% | 85.7% | 87.9% |
| 95% Cl | 44.4–56.8 | 52.8–66.4 | 81.3–90.0 | 83.3–92.4 |
| Sensitivity | 46.2% | 58.7% | 94.2% | 97.8% |
| 95% Cl | 39.6–52.7 | 51.4–65.9 | 91.1–97.2 | 95.6–99.9 |
| Specificity | 85.7% | 68.4% | 17.9% | 0% |
| 95% Cl | 72.8–98.7 | 47.5–89.3 | 3.7–32.0 | NR |
| PPV | 96.3% | 94.6% | 90.1% | 89.7% |
| NPV | 16.7% | 14.6% | 27.8% | NR |
| Valvular lesions | ||||
| Accuracy | 63.3% | 65.4% | 81.7% | 83.6% |
| 95% Cl | 56.3–70.4 | 57.3–73.5 | 76.0–87.3 | 77.3–89.9 |
| Sensitivity | 60% | 65.5% | 91.6% | 96.6% |
| 95% Cl | 52.3–67.7 | 56.9–74.2 | 87.2–96.0 | 93.2–99.9 |
| Specificity | 84% | 57.9% | 20% | 0% |
| 95% Cl | 69.6–98.4 | 35.2–80.6 | 4.3–35.7 | NR |
| PPV | 95.9% | 92.7% | 87.7% | 86.2% |
| NPV | 25.3% | 21.6% | 27.8% | NR |
| Paravalvular lesions | ||||
| Accuracy | 18.3% | 47.7% | 95.8% | 96.9% |
| 95% Cl | 9.9–27.3 | 35.5–59.8 | 91.1–100.5 | 92.6–101.1 |
| Sensitivity | 14.7% | 46% | 100% | 100% |
| 95% Cl | 6.3–23.1 | 33.7–58.3 | 100–100 | 100–100 |
| Specificity | 100% | 10.5% | 0% | 0% |
| 95% Cl | 100–100 | 10.5–10.5 | NR | NR |
| PPV | 100% | 100% | 95.8% | 96.9% |
| NPV | 4.9% | 5.6% | NR | NR |
| Vegetation | TTE | TEE | CCT | TTE + TEE + CCT |
|---|---|---|---|---|
| All valves | ||||
| Accuracy | 80.7% | 75.4% | 92% | 92.4% |
| 95% Cl | 72.4–88.9 | 64.9–85.9 | 86.4–97.7 | 86.0–98.8 |
| Sensitivity | 84.3% | 78.7% | 94% | 100% |
| 95% Cl | 76.5–92.2 | 68.4–89.0 | 88.9–99.1 | 100–100 |
| Specificity | 20% | 25% | 60% | 0% |
| 95% Cl | 0–55.1 | 0–67.4 | 17.1–102.9 | NR |
| PPV | 94.6% | 94% | 97.5% | 92.4% |
| NPV | 7.1% | 6.7% | 37.5% | NR |
| Native valves | ||||
| Accuracy | 82.4% | 77.8% | 95.9% | 90.9% |
| 95% Cl | 73.8–91.1 | 66.7–88.9 | 91.5–100.4 | 83.3–98.5 |
| Sensitivity | 87% | 82% | 98.6% | 100% |
| 95% Cl | 79.0–94.9 | 71.4–92.6 | 95.7–101.4 | 100–100 |
| Specificity | 20% | 25% | 60% | 0% |
| 95% Cl | 0–55.1 | 0–67.4 | 17.1–102.9 | NR |
| PPV | 93.8% | 93% | 97.1% | 90.9% |
| NPV | 100% | 9.1% | 75% | NR |
| Prosthetic valves | ||||
| Accuracy | 71.4% | 63.6% | 71.4% | 100% |
| 95% Cl | 47.8–95.1 | 35.2–92.1 | 47.8–95.1 | 100–100 |
| Sensitivity | 71.4% | 63.6% | 71.4% | 100% |
| 95% Cl | 47.8–95.1 | 35.2–92.1 | 47.8–95.1 | 100–100 |
| Specificity | NR | NR | NR | NR |
| 95% Cl | ||||
| PPV | 100% | 100% | 100% | 100% |
| NPV | NR | NR | NR | NR |
| Aneurysms | TTE | TEE | CCT | TTE + TEE + CCT |
|---|---|---|---|---|
| Native valves | ||||
| Accuracy | 50% | 48.4% | 59.5% | 61.3% |
| 95% Cl | 34.9–65.1 | 30.8–66.0 | 44.7–74.4 | 44.1–78.4 |
| Sensitivity | 8.7% | 31.6% | 100% | 100% |
| 95% Cl | 0–20.2 | 10.7–52.5 | 100–100 | 100–100 |
| Specificity | 100% | 75% | 10.5% | 0% |
| 95% Cl | 100–100 | 50.5–99.5 | 0–24.3 | NR |
| PPV | 100% | 66.7% | 57.5% | 61.9% |
| NPV | 47.5% | 40.9% | 100% | NR |
| Perforation | TTE | TEE | CCT | TTE + TEE + CCT |
|---|---|---|---|---|
| Native valves | ||||
| Accuracy | 44% | 64.9% | 82% | 86.5% |
| 95% Cl | 30.2–57.8 | 49.5–80.2 | 71.4–92.6 | 75.5–97.5 |
| Sensitivity | 42.9% | 63.9% | 83.7% | 88.9% |
| 95% Cl | 29–56.7 | 48.2–79.6 | 73.3–94.0 | 78.6–99.2 |
| Specificity | 100% | 100% | 0% | 0% |
| 95% Cl | 100–100 | 100–100 | NR | NR |
| PPV | 100% | 100% | 97.6% | 97% |
| NPV | 3.4% | 7.1% | NR | NR |
| Abscesses | TTE | TEE | CCT | TTE + TEE + CCT |
|---|---|---|---|---|
| All valves | ||||
| Accuracy | 20% | 47.4% | 95% | 94.7% |
| 95% Cl | 2.5–37.5 | 24.9–69.8 | 85.4–104.6 | 84.7–104.8 |
| Sensitivity | 15.8% | 44.4% | 100% | 100% |
| 95% Cl | 0–32.2 | 21.5–67.4 | 100–100 | 100–100 |
| Specificity | 100% | 100% | 0% | 0% |
| 95% Cl | 100–100 | 100–100 | NR | NR |
| PPV | 100% | 100% | 95% | 94.7% |
| NPV | 5.9% | 9.1% | NR | NR |
| Native valves | ||||
| Accuracy | 0% | 36.4% | 100% | 100% |
| 95% Cl | 0–0 | 7.9–64.8 | 100–100 | 100–100 |
| Sensitivity | 0% | 36.4% | 100% | 100% |
| 95% Cl | NR | 7.9–64.8 | 100–100 | 100–100 |
| Specificity | NR | NR | NR | NR |
| 95% Cl | ||||
| PPV | NR | 100% | 100% | 100% |
| NPV | NR | NR | NR | NR |
| Prosthetic valves | ||||
| Accuracy | 50% | 62.5% | 87.5% | 87.5% |
| 95% Cl | 15.4–84.6 | 29.0–96.0 | 64.6–110.4 | 64.6–110.4 |
| Sensitivity | 42.9% | 57.1% | 100% | 100% |
| 95% Cl | 6.2–79.5 | 20.5–93.8 | 100–100 | 100–100 |
| Specificity | 100% | 100% | 0% | 0% |
| 95% Cl | 100–100 | 100–100 | NR | NR |
| PPV | 100% | 100% | 87.5% | 87.5% |
| NPV | 20% | 25% | NR | NR |
| Pseudoaneurysms | TTE | TEE | CCT | TTE + TEE + CCT |
|---|---|---|---|---|
| All valves | ||||
| Accuracy | 13% | 43.9% | 95.7% | 97.5% |
| 95% Cl | 3.3–22.8 | 28.7–59.1 | 89.8–101.5 | 92.7–102.3 |
| Sensitivity | 9.1% | 42.5% | 100% | 100% |
| 95% Cl | 0.6–17.6 | 7.2–57.8 | 100–100 | 100–100 |
| Specificity | 100% | 100% | 0% | 0% |
| 95% Cl | 100–100 | 100–100 | NR | NR |
| PPV | 100% | 100% | 95.7% | 97.5% |
| NPV | 4.8% | 4.2% | NR | NR |
| Native valves | ||||
| Accuracy | 11.1% | 29.2% | 92.6% | 95.7% |
| 95% Cl | 0–23.0 | 11.0–47.4 | 82.7–102.5 | 87.3–104.0 |
| Sensitivity | 4% | 26.1% | 100% | 100% |
| 95% Cl | 0–11.7 | 8.1–44.0 | 100–100 | 100–100 |
| Specificity | 100 | 100% | 0% | 0% |
| 95% Cl | 100–100 | 100–100 | NR | NR |
| PPV | 100% | 100% | 92.6% | 95.7% |
| NPV | 7.7% | 5.6% | NR | NR |
| Prosthetic valves | ||||
| Accuracy | 15.8% | 64.7% | 100% | 100% |
| 95% Cl | 0–32.2 | 42.0–87.4 | 100 | 100–100 |
| Sensitivity | 15.8% | 64.7% | 100% | 100% |
| 95% Cl | 0–32.2 | 42.0–87.4 | 100–100 | 100–100 |
| Specificity | NR | NR | 0 | NR |
| 95% Cl | NR | |||
| PPV | 100% | 100% | 100% | 100% |
| NPV | 0% | 0% | NR | NR |
| Localization | TTE | TEE | CCT | TTE + TEE + CCT |
|---|---|---|---|---|
| Pseudoaneurysms—Posterior and to the left side of the valve and in intervalvular fibrosa | ||||
| Accuracy | 18.2% | 62.5% | 95.5% | 95% |
| 95% Cl | 2.1–34.3 | 44.1–85.9 | 86.8–104.2 | 85.4–104.6 |
| Sensitivity | 14.3% | 63.2% | 100% | 100% |
| 95% Cl | 0–29.3 | 41.5–84.8 | 100–100 | 100–100 |
| Specificity | 100% | 100% | 0% | 0% |
| 95% Cl | 100–100 | 100–100 | NR | NR |
| PPV | 100% | 100% | 95.5% | 95% |
| NPV | 5.3% | 12.5% | NR | NR |
| Pseudoaneurysms—Anterior and to the right side of the valve | ||||
| Accuracy | 6.3% | 23.1% | 93.8% | 100% |
| 95% Cl | 0–18.1 | 0.2–46.0 | 81.9–105.6 | 100–100 |
| Sensitivity | 0% | 23.1% | 100% | 100% |
| 95% Cl | NR | 0.2–46.0 | 100–100 | 100–100 |
| Specificity | 100% | NR | 0% | NR |
| 95% Cl | 100–100 | NR | ||
| PPV | NR | 100% | 93.8% | 100% |
| NPV | 6.3% | NR | NR | NR |
Disclaimer/Publisher’s Note: The statements, opinions and data contained in all publications are solely those of the individual author(s) and contributor(s) and not of MDPI and/or the editor(s). MDPI and/or the editor(s) disclaim responsibility for any injury to people or property resulting from any ideas, methods, instructions or products referred to in the content. |
© 2023 by the authors. Licensee MDPI, Basel, Switzerland. This article is an open access article distributed under the terms and conditions of the Creative Commons Attribution (CC BY) license (https://creativecommons.org/licenses/by/4.0/).
Share and Cite
Petkovic, A.; Menkovic, N.; Petrovic, O.; Bilbija, I.; Radovanovic, N.N.; Stanisavljevic, D.; Putnik, S.; Maksimovic, R.; Ivanovic, B. The Role of Echocardiography and Cardiac Computed Tomography in Diagnosis of Infective Endocarditis. J. Clin. Med. 2023, 12, 5482. https://doi.org/10.3390/jcm12175482
Petkovic A, Menkovic N, Petrovic O, Bilbija I, Radovanovic NN, Stanisavljevic D, Putnik S, Maksimovic R, Ivanovic B. The Role of Echocardiography and Cardiac Computed Tomography in Diagnosis of Infective Endocarditis. Journal of Clinical Medicine. 2023; 12(17):5482. https://doi.org/10.3390/jcm12175482
Chicago/Turabian StylePetkovic, Ana, Nemanja Menkovic, Olga Petrovic, Ilija Bilbija, Nikola N. Radovanovic, Dejana Stanisavljevic, Svetozar Putnik, Ruzica Maksimovic, and Branislava Ivanovic. 2023. "The Role of Echocardiography and Cardiac Computed Tomography in Diagnosis of Infective Endocarditis" Journal of Clinical Medicine 12, no. 17: 5482. https://doi.org/10.3390/jcm12175482
APA StylePetkovic, A., Menkovic, N., Petrovic, O., Bilbija, I., Radovanovic, N. N., Stanisavljevic, D., Putnik, S., Maksimovic, R., & Ivanovic, B. (2023). The Role of Echocardiography and Cardiac Computed Tomography in Diagnosis of Infective Endocarditis. Journal of Clinical Medicine, 12(17), 5482. https://doi.org/10.3390/jcm12175482

