Total Rehabilitation Using Adhesive Dental Restorations in Patients with Severe Tooth Wear: A 5-Year Retrospective Case Series Study
Abstract
:1. Introduction
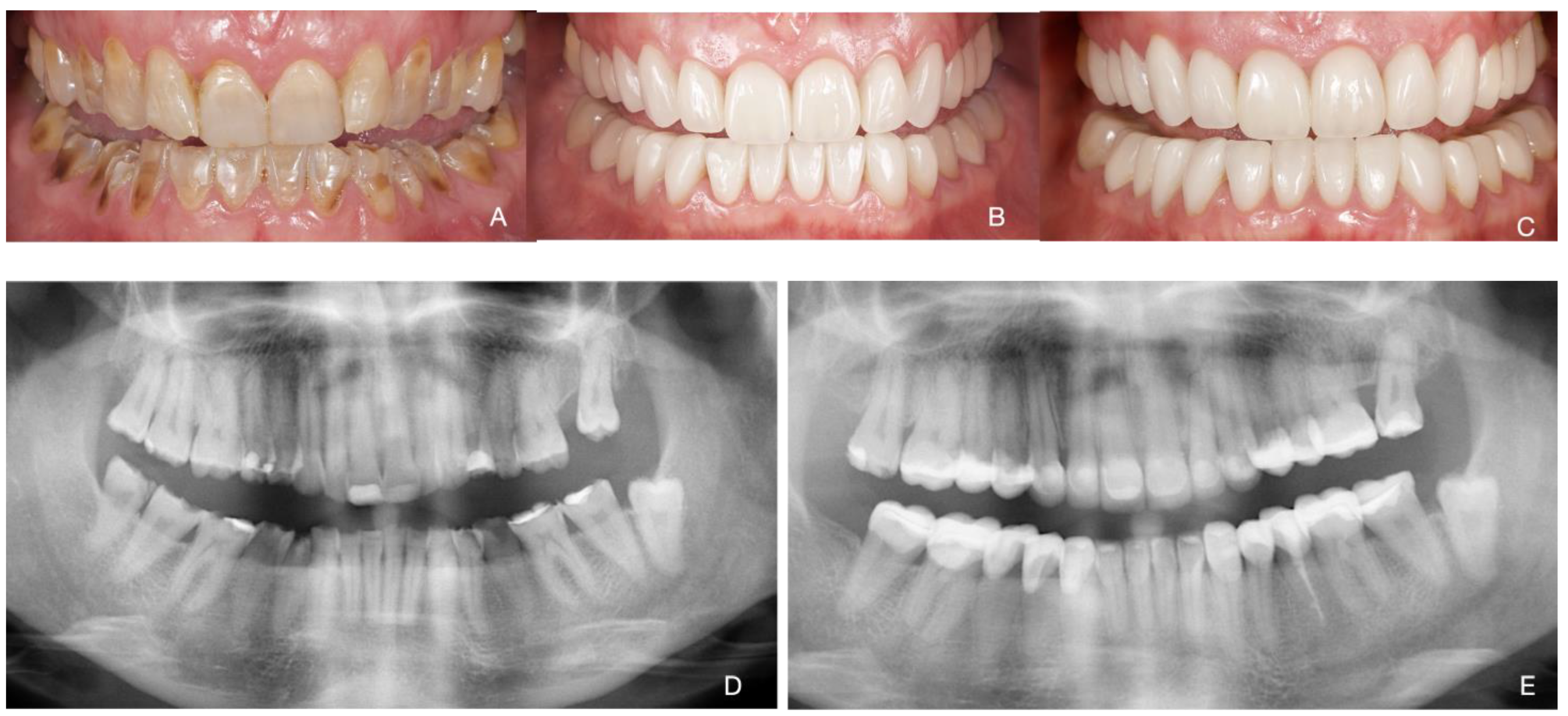
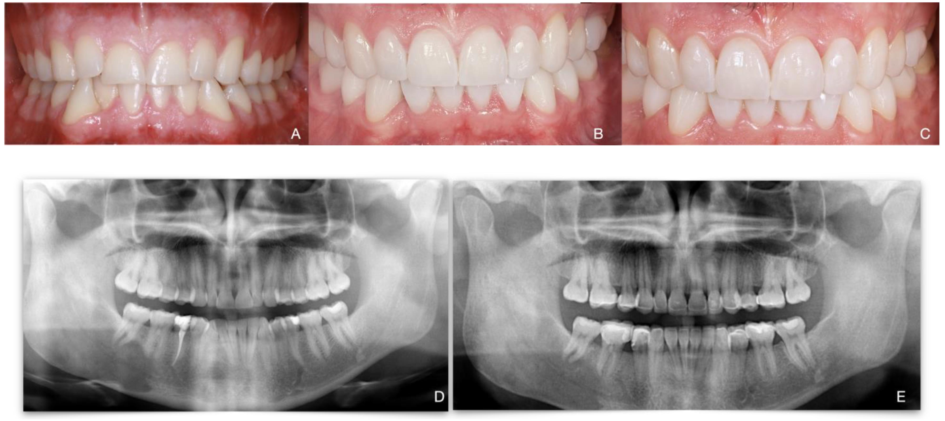
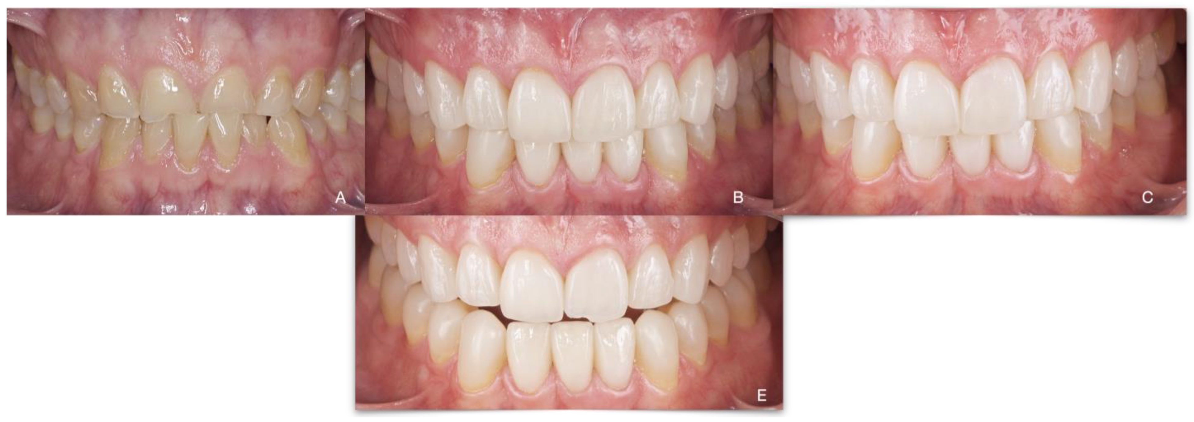
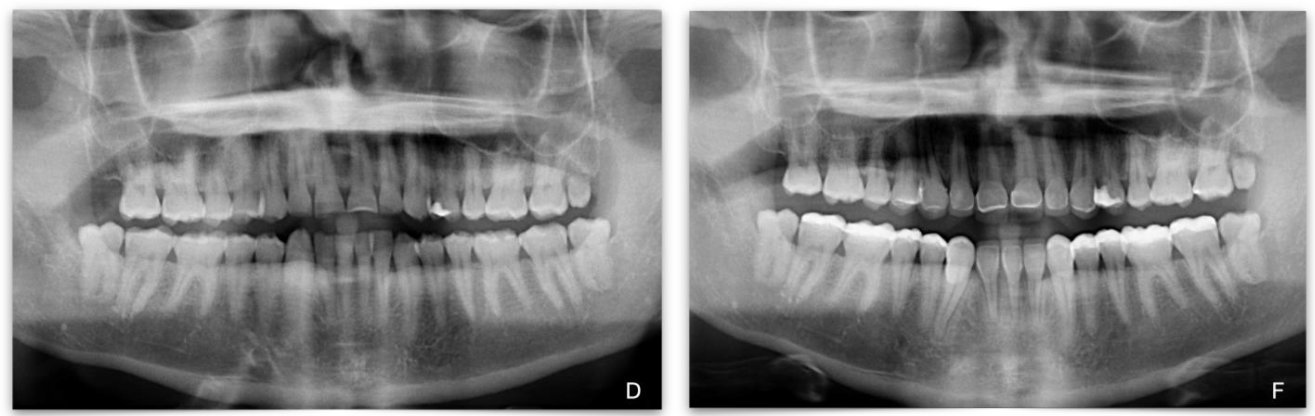
2. Materials and Methods
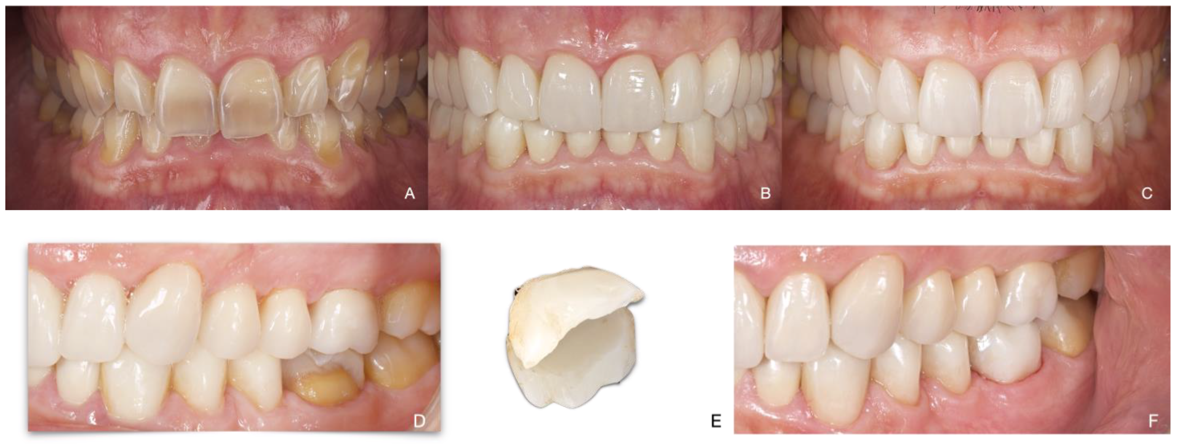
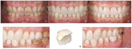
- An esthetic diagnosis using Digital Smile Design (DSD) [21].
- Final esthetics: anterosuperior vestibular veneers to achieve our final esthetic goals planned in the diagnostic process.
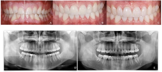
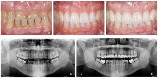
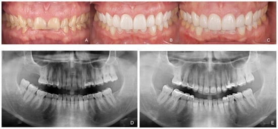
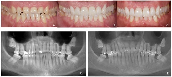
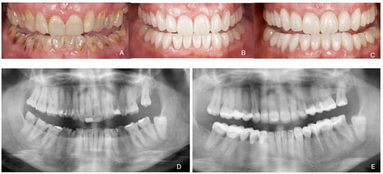
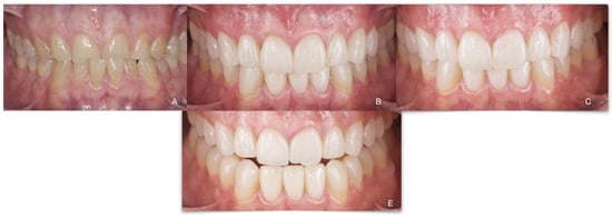
3. Results
4. Discussion
5. Conclusions
Author Contributions
Funding
Institutional Review Board Statement
Informed Consent Statement
Data Availability Statement
Conflicts of Interest
References
- Loomans, B.; Opdam, N.; Attin, T.; Bartlett, D.; Edelhoff, D.; Frankenberger, R.; Benic, G.; Ramseyer, S.; Wetselaar, P.; Sterenborg, B.; et al. Severe tooth wear: European consensus statement on management guidelines. J. Adhes. Dent. 2017, 19, 111–119. [Google Scholar] [PubMed]
- Vailati, F.; Belser, U.C. Full-mouth adhesive rehabilitation of a severely eroded dentition: The three-step technique. Part 1–3. Eur. J. Esthet. Dent. 2008, 3, 30–257. [Google Scholar] [PubMed]
- Vailati, F.; Gruetter, L.; Belser, U.C. Adhesively restored anterior maxillary dentitions affected by severe erosion: Up to 6-year results of a prospective clinical study. Eur. J. Esthet. Dent. 2013, 8, 506–530. [Google Scholar]
- Vailati, F.; Carciofo, S. CAD/CAM monolithic restorations and full-mouth adhesive rehabilitation to restore a patient with a history of bulimia: The modified three-step technique. Int. J. Esthet. Dent. 2016, 11, 36–56. [Google Scholar] [PubMed]
- Ferrando-Cascales, Á.; Astudillo-Rubio, D.; Pascual-Moscardó, A.; Delgado-Gaete, A. A facially driven complete-mouth rehabilitation with ultrathin CAD-CAM composite resin veneers for a patient with severe tooth wear: A minimally invasive approach. J. Prosthet. Dent. 2020, 123, 537–547. [Google Scholar] [CrossRef] [PubMed]
- Attin, T.; Filli, T.; Imfeld, C.; Schmidlin, P.R. Composite vertical bite reconstructions in eroded dentitions after 5·5 years: A case series. J. Oral. Rehabil. 2012, 39, 73–79. [Google Scholar]
- Freitas, A.C., Jr.; Silva, A.M.; Lima Verde, M.A.; Jorge de Aguiar, J.R. Oral rehabilitation of severely worn dentition using an overlay for immediate re-establishment of occlusal vertical dimension. Gerodontology 2012, 29, 75–80. [Google Scholar] [CrossRef]
- Abduo, J. Safety of increasing vertical dimension of occlusion: A systematic review. Quintessence Int. 2012, 43, 369–380. [Google Scholar]
- Resende, T.; Reis, K.; Schlichting, L.; Magne, P. Ultrathin CAD-CAM ceramic occlusal veneers and anterior bilaminar veneers for the treatment of moderate dental biocorrosion: A 1.5-year follow-up. Oper. Dent. 2018, 43, 337–346. [Google Scholar]
- Mehta, S.B.; Banerji, S.; Millar, B.J.; Suarez-Feito, J.M. Current concepts on the management of tooth wear: Part 4. An overview of the restorative techniques and dental materials commonly applied for the management of tooth wear. Br. Dent. J. 2012, 212, 169–177. [Google Scholar] [CrossRef]
- Malament, K.A.; Margvelashvili-Malament, M.; Natto, Z.S.; Thompson, V.; Rekow, D.; Att, W. Comparison of 16.9-year survival of pressed acid etched e.max lithium disilicate glass-ceramic complete and partial coverage restorations in posterior teeth: Performance and outcomes as a function of tooth position, age, sex, and thickness of ceramic material. J. Prosthet. Dent. 2021, 126, 533–545. [Google Scholar] [PubMed]
- Fradeani, M.; Bacherini, L.; Turrini, R.; Buda, M. Minimally Invasive Prosthetic Procedure (MIPP): Up to 12-Year Survival of Full-Mouth Rehabilitations in Patients with Severely Worn Dentition (Managed with Lithium Disilicate Ceramic Restorations). Int. J. Periodont. Restor. Dent. 2021, 41, 799–808. [Google Scholar] [CrossRef] [PubMed]
- Elderton, R.J. Clinical studies concerning re-restoration of teeth. Adv. Dent. Res. 1990, 4, 4–9. [Google Scholar] [CrossRef] [PubMed]
- Loomans, B.; Opdam, N.A. guide to managing tooth wear: The Radboud philosophy. Br. Dent. J. 2018, 22, 348–356. [Google Scholar] [CrossRef]
- Loomans, B.A.; Kreulen, C.M.; Huijs-Visser, H.E.; Sterenborg, B.A.; Bronkhorst, E.M.; Huysmans, M.C.; Opdam, N.J. Clinical performance of full rehabilitations with direct composite in severe tooth wear patients: 3.5 Years results. J. Dent. 2018, 70, 97–103. [Google Scholar]
- Giannini, M.; Hirata, R. 25 Years of Clinical Experience in Adhesive Dentistry. J. Adhes. Dent. 2020, 22, 331–333. [Google Scholar] [PubMed]
- Bartlett, D.; Sundaram, G. An up to 3-year randomized clinical study comparing indirect and direct resin composites used to restore worn posterior teeth. Int. J. Prosthodont. 2006, 19, 613–617. [Google Scholar]
- Hamburger, J.T.; Opdam, N.J.; Bronkhorst, E.M.; Kreulen, C.M.; Roeters, J.J.; Huysmans, M.C. Clinical performance of direct composite restorations for treatment of severe tooth wear. J. Adhes. Dent. 2011, 13, 585–593. [Google Scholar]
- Milosevic, A.; Burnside, G. The survival of direct composite restorations in the management of severe tooth wear including attrition and erosion: A prospective 8-year study. J. Dent. 2016, 44, 13–19. [Google Scholar] [CrossRef]
- Roehl, J.C.; Jakstat, H.A.; Becker, K.; Wetselaar, P.; Oliver-Ahlers, M. Tooth Wear Evaluation System (TWES) 2.0— Reliability of diagnosis with and without computer- assisted evaluation. J. Oral. Rehabil. 2022, 49, 81–91. [Google Scholar] [CrossRef]
- Coachman, C.; Sesma, N.; Blatz, M.B. The complete digital workflow in interdisciplinary dentistry. Int. J. Esthet. Dent. 2021, 16, 34–49. [Google Scholar] [PubMed]
- Kois, D.E.; Kois, J.C. Comprehensive Risk-Based Diagnostically Driven Treatment Planning: Developing Sequentially Generated Treatment. Dent. Clin. N. Am. 2015, 59, 593–608. [Google Scholar] [CrossRef] [PubMed]
- Cerutti, A.; Barabanti, N.; Özcan, M. Clinical Performance of Posterior Microhybrid Resin Composite Restorations Applied Using Regular and High-Power Mode Polymerization Protocols According to USPHS and SQUACE Criteria: 10-Year Randomized Controlled Split-Mouth Trial. J. Adhes. Dent. 2020, 22, 343–351. [Google Scholar]
- Smielak, B.; Armata, O.; Bojar, W.A. Prospective comparative analysis of the survival rates of conventional vs. no-prep/minimally invasive veneers over a mean period of 9 years. Clin. Oral. Investig. 2022, 26, 3049–3059. [Google Scholar] [CrossRef] [PubMed]
- Güth, J.F.; Erdelt, K.; Keul, C.; Burian, G.; Schweiger, J.; Edelhoff, D. In vivo wear of CAD-CAM composite versus lithium disilicate full coverage first-molar restorations: A pilot study over 2 years. Clin. Oral. Investig. 2020, 24, 4301–4311. [Google Scholar] [CrossRef]
- Torosyan, A.; Vailati, F.; Mojon, P.; Sierra, D.; Sailer, I. Retrospective clinical study of minimally invasive full-mouth rehabilitations of patients with erosions and/or abrasions following the “3-step technique”. Part 1: 6-year survival rates and technical outcomes of the restorations. Int. J. Prosthodont. 2022, 35, 139–151. [Google Scholar] [CrossRef]
- Faus-Matoses, V.; Ruiz-Bell, E.; Faus-Matoses, I.; Özcan, M.; Salvatore, S.; Faus-Llácer, V.J. An 8-year prospective clinical investigation on the survival rate of feldspathic veneers: Influence of occlusal splint in patients with bruxism. J. Dent. 2020, 99, 103352. [Google Scholar] [CrossRef]
- Mesko, M.E.; Sarkis-Onofre, R.; Cenci, M.S.; Opdam, N.J.; Loomans, B.; Pereira-Cenci, T. Rehabilitation of severely worn teeth: A systematic review. J. Dent. 2016, 48, 9–15. [Google Scholar] [CrossRef]
- Osiewicz, M.A.; Werner, A.; Roeters, F.J.M.; Kleverlaan, C.J. Wear of direct resin composites and teeth: Considerations for oral rehabilitation. Eur. J. Oral. Sci. 2019, 127, 156–161. [Google Scholar] [CrossRef]
- Burke, F.J.T.; Lucarotti, P.S.K. The ultimate guide to restoration longevity in England and Wales. Part 10: Key findings from a ten million restoration dataset. Br. Dent. J. 2018, 225, 1011–1018. [Google Scholar] [CrossRef]
- Bader, J.D.; Shugars, D.A. Summary review of the survival of single crowns. Gen. Dent. 2009, 57, 74–81. [Google Scholar] [PubMed]
- Dietschi, D.; Saratti, C.M. Interceptive treatment of tooth wear: A revised protocol for the full molding technique. Int. J. Esthet. Dent. 2020, 15, 264–286. [Google Scholar] [PubMed]
- Martins, B.M.C.; Silva, E.J.N.L.D.; Ferreira, D.M.T.P.; Reis, K.R.; Fidalgo, T.K.D.S. Longevity of defective direct restorations treated by minimally invasive techniques or complete replacement in permanent teeth: A systematic review. J. Dent. 2018, 78, 22–30. [Google Scholar] [CrossRef] [PubMed]












| Variable | No Failure | Failure | Hazard Ratio (95% CI), and p-Value (Cox Regression) |
|---|---|---|---|
| Posterior Veneer (indicator) | 53 | 14 | 0.143 (CI 0.034–0.601) p = 0.008 |
| Anterior Veneer (pacial, palatal) | 138 | 6 | |
| Composite, Direct/Indirect (indicator) | 83 | 13 | 1.703 (CI 0.491–5.903) p = 0.401 |
| Ceramic | 108 | 7 | |
| Bite Guard NO (indicator) | 45 | 7 | 0.658 (CI 0.222–1.949) p = 0.450 |
| Bite Guard YES | 146 | 13 | |
| TWES 2.0 2 (Indicator) | 44 | 6 | 1.362 (CI 0.529–3.512) p = 0.522 |
| TWES 2.0 3–4 | 147 | 14 | |
| Class I | 124 | 10 | 2.355 (CI 0.992–5.591) p = 0.052 |
| Class II–III (indicator) | 67 | 10 | |
| Maxilla (indicator) | 106 | 11 | 0.494 (CI 0.177–1.380) p = 0.179 |
| Mandible | 85 | 9 | |
| Orthodontic Treatment YES (indicator) | 87 | 10 | 1.303 (CI 0.553–3.067) p = 0.545 |
| Orthodontic Treatment NO | 104 | 10 |
Disclaimer/Publisher’s Note: The statements, opinions and data contained in all publications are solely those of the individual author(s) and contributor(s) and not of MDPI and/or the editor(s). MDPI and/or the editor(s) disclaim responsibility for any injury to people or property resulting from any ideas, methods, instructions or products referred to in the content. |
© 2023 by the authors. Licensee MDPI, Basel, Switzerland. This article is an open access article distributed under the terms and conditions of the Creative Commons Attribution (CC BY) license (https://creativecommons.org/licenses/by/4.0/).
Share and Cite
Ferrando Cascales, Á.; Sauro, S.; Hirata, R.; Astudillo-Rubio, D.; Ferrando Cascales, R.; Agustín-Panadero, R.; Delgado-Gaete, A. Total Rehabilitation Using Adhesive Dental Restorations in Patients with Severe Tooth Wear: A 5-Year Retrospective Case Series Study. J. Clin. Med. 2023, 12, 5222. https://doi.org/10.3390/jcm12165222
Ferrando Cascales Á, Sauro S, Hirata R, Astudillo-Rubio D, Ferrando Cascales R, Agustín-Panadero R, Delgado-Gaete A. Total Rehabilitation Using Adhesive Dental Restorations in Patients with Severe Tooth Wear: A 5-Year Retrospective Case Series Study. Journal of Clinical Medicine. 2023; 12(16):5222. https://doi.org/10.3390/jcm12165222
Chicago/Turabian StyleFerrando Cascales, Álvaro, Salvatore Sauro, Ronaldo Hirata, Daniela Astudillo-Rubio, Raúl Ferrando Cascales, Rubén Agustín-Panadero, and Andrés Delgado-Gaete. 2023. "Total Rehabilitation Using Adhesive Dental Restorations in Patients with Severe Tooth Wear: A 5-Year Retrospective Case Series Study" Journal of Clinical Medicine 12, no. 16: 5222. https://doi.org/10.3390/jcm12165222
APA StyleFerrando Cascales, Á., Sauro, S., Hirata, R., Astudillo-Rubio, D., Ferrando Cascales, R., Agustín-Panadero, R., & Delgado-Gaete, A. (2023). Total Rehabilitation Using Adhesive Dental Restorations in Patients with Severe Tooth Wear: A 5-Year Retrospective Case Series Study. Journal of Clinical Medicine, 12(16), 5222. https://doi.org/10.3390/jcm12165222

